Sign in to use this feature.

Years

Between: -

Subjects

remove_circle_outline
remove_circle_outline
remove_circle_outline

Journals

remove_circle_outline

Article Types

Countries / Regions

Search Results (1)

Search Parameters:
Keywords = ryGM-CSF

Order results
Result details
Results per page
Select all
Export citation of selected articles as:
19 pages, 2541 KB  
Article
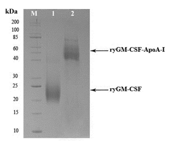
Construction of Recombinant Human GM-CSF and GM-CSF-ApoA-I Fusion Protein and Evaluation of Their Biological Activity
by Mariya Pykhtina, Svetlana Miroshnichenko, Vladimir Romanov, Antonina Grazhdantseva, Galina Kochneva and Anatoly Beklemishev
Pharmaceuticals 2021, 14(5), 459; https://doi.org/10.3390/ph14050459 - 13 May 2021
Cited by 7 | Viewed by 4759
Abstract
In this study, two strains of the yeast P. pastoris were constructed, one of which produced authentic recombinant human granulocyte-macrophage colony-stimulating factor (ryGM-CSF), and the other was a chimera consisting of ryGM-CSF genetically fused with mature human apolipoprotein A-I (ApoA-I) (ryGM-CSF-ApoA-I). Both forms [...] Read more.
In this study, two strains of the yeast P. pastoris were constructed, one of which produced authentic recombinant human granulocyte-macrophage colony-stimulating factor (ryGM-CSF), and the other was a chimera consisting of ryGM-CSF genetically fused with mature human apolipoprotein A-I (ApoA-I) (ryGM-CSF-ApoA-I). Both forms of the cytokine were secreted into the culture medium. The proteins’ yield during cultivation in flasks was 100 and 60 mg/L for ryGM-CSF and ryGM-CSF-ApoA-I, respectively. Both forms of recombinant GM-CSF stimulated the proliferation of human TF-1 erythroleukemia cells; however, the amount of chimera required was 10-fold that of authentic GM-CSF to induce a similar proliferative effect. RyGM-CSF exhibited a 2-fold proliferative effect on BFU-E (burst-forming units—erythroid) at a concentration 1.7 fold less than non-glycosylated E. coli-derived GM-CSF. The chimera together with authentic ryGM-CSF increased the number of both erythroid precursors and BMC granulocytes after 48 h of incubation of human bone marrow cells (BMCs). In addition, the chimeric form of ryGM-CSF was more effective at increasing the viability of the total amount of BMCs, decreasing apoptosis compared to the authentic form. ryGM-CSF-ApoA-I normalized the proliferation, maturation, and segmentation of neutrophils within the physiological norm, preserving the pool of blast cells under conditions of impaired granulopoiesis. The chimera form of GM-CSF exhibited the properties of a multilinear growth factor, modulating the activity of GM-CSF and, perhaps, it may be more suitable for the normalization of granulopoiesis. Full article
(This article belongs to the Section Biopharmaceuticals)
Show Figures

Figure 1

Back to TopTop