Sign in to use this feature.

Years

Between: -

Subjects

remove_circle_outline
remove_circle_outline
remove_circle_outline
remove_circle_outline

Journals

Article Types

Countries / Regions

Search Results (5)

Search Parameters:
Keywords = replication-deficient MVA vector

Order results
Result details
Results per page
Select all
Export citation of selected articles as:
15 pages, 4231 KB  
Article
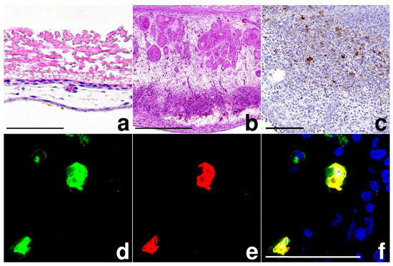
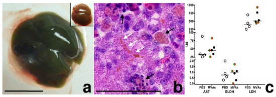
Protective MVA-ST Vaccination Robustly Activates T Cells and Antibodies in an Aged-Hamster Model for COVID-19
by Sabrina Clever, Lisa-Marie Schünemann, Federico Armando, Christian Meyer zu Natrup, Tamara Tuchel, Alina Tscherne, Malgorzata Ciurkiewicz, Wolfgang Baumgärtner, Gerd Sutter and Asisa Volz
Vaccines 2024, 12(1), 52; https://doi.org/10.3390/vaccines12010052 - 3 Jan 2024
Cited by 4 | Viewed by 3267
Abstract
Aging is associated with a decline in immune system functionality. So-called immunosenescence may impair the successful vaccination of elderly people. Thus, improved vaccination strategies also suitable for an aged immune system are required. Modified Vaccinia virus Ankara (MVA) is a highly attenuated and [...] Read more.
Aging is associated with a decline in immune system functionality. So-called immunosenescence may impair the successful vaccination of elderly people. Thus, improved vaccination strategies also suitable for an aged immune system are required. Modified Vaccinia virus Ankara (MVA) is a highly attenuated and replication-deficient vaccinia virus that has been established as a multipurpose viral vector for vaccine development against various infections. We characterized a recombinant MVA expressing a prefusion-stabilized version of SARS-CoV-2 S protein (MVA-ST) in an aged-hamster model for COVID-19. Intramuscular MVA-ST immunization resulted in protection from disease and severe lung pathology. Importantly, this protection was correlated with a potent activation of SARS-CoV-2 specific T-cells and neutralizing antibodies. Our results suggest that MVA vector vaccines merit further evaluation in preclinical models to contribute to future clinical development as candidate vaccines in elderly people to overcome the limitations of age-dependent immunosenescence. Full article
(This article belongs to the Topic Advances in Vaccines and Antimicrobial Therapy)
Show Figures

Figure 1

14 pages, 2573 KB  
Article
Development of Viral-Vectored Vaccines and Virus Replicon Particle-Based Neutralisation Assay against Mayaro Virus
by Young Chan Kim, Arlen-Celina Lücke, César López-Camacho, Beate Mareike Kümmerer and Arturo Reyes-Sandoval
Int. J. Mol. Sci. 2022, 23(8), 4105; https://doi.org/10.3390/ijms23084105 - 7 Apr 2022
Cited by 8 | Viewed by 3168
Abstract
Mayaro virus (MAYV) is an emerging alphavirus causing acute febrile illness associated with chronic polyarthralgia. Although MAYV is currently restricted to tropical regions in South America around the Amazon basin, it has the potential to spread globally by Aedes species mosquitoes. In addition, [...] Read more.
Mayaro virus (MAYV) is an emerging alphavirus causing acute febrile illness associated with chronic polyarthralgia. Although MAYV is currently restricted to tropical regions in South America around the Amazon basin, it has the potential to spread globally by Aedes species mosquitoes. In addition, there are currently no specific therapeutics or licenced vaccines against MAYV infection. We have previously shown that an adenovirus based Mayaro vaccine (ChAdOx1 May) was able to provide full protection against MAYV challenge in vaccinated A129 mice and induced high neutralising antibody titres. In this study, we have constructed a replication deficient simian adenovirus (ChAdOx2) and a Modified Ankara Virus (MVA) based vaccine expressing the MAYV structural cassette (sMAYV) similar to ChAdOx1 May, and characterised recombinant MAYV E2 glycoprotein expressed in a mammalian system for immune monitoring. We demonstrate that ChAdOx2 May was able to induce high antibody titres similar to ChAdOx1 May, and MVA May was shown to be an effective boosting strategy following prime vaccination with ChAdOx1 or ChAdOx2 May. In order to measure MAYV neutralising ability, we have developed a virus replicon particle-based neutralisation assay which effectively detected neutralising antibodies against MAYV. In summary, our study indicates the potential for further clinical development of the viral vectored MAYV vaccines against MAYV infections. Full article
(This article belongs to the Special Issue Antivirals and Vaccines)
Show Figures

Figure 1

14 pages, 3346 KB  
Article
A Single Dose of Modified Vaccinia Ankara Expressing Lassa Virus-like Particles Protects Mice from Lethal Intra-cerebral Virus Challenge
by Maria S. Salvato, Arban Domi, Camila Guzmán-Cardozo, Sandra Medina-Moreno, Juan Carlos Zapata, Haoting Hsu, Nathanael McCurley, Rahul Basu, Mary Hauser, Michael Hellerstein and Farshad Guirakhoo
Pathogens 2019, 8(3), 133; https://doi.org/10.3390/pathogens8030133 - 28 Aug 2019
Cited by 28 | Viewed by 10298
Abstract
Lassa fever surpasses Ebola, Marburg, and all other hemorrhagic fevers except Dengue in its public health impact. Caused by Lassa virus (LASV), the disease is a scourge on populations in endemic areas of West Africa, where reported incidence is higher. Here, we report [...] Read more.
Lassa fever surpasses Ebola, Marburg, and all other hemorrhagic fevers except Dengue in its public health impact. Caused by Lassa virus (LASV), the disease is a scourge on populations in endemic areas of West Africa, where reported incidence is higher. Here, we report construction, characterization, and preclinical efficacy of a novel recombinant vaccine candidate GEO-LM01. Constructed in the Modified Vaccinia Ankara (MVA) vector, GEO-LM01 expresses the glycoprotein precursor (GPC) and zinc-binding matrix protein (Z) from the prototype Josiah strain lineage IV. When expressed together, GP and Z form Virus-Like Particles (VLPs) in cell culture. Immunogenicity and efficacy of GEO-LM01 was tested in a mouse challenge model. A single intramuscular dose of GEO-LM01 protected 100% of CBA/J mice challenged with a lethal dose of ML29, a Mopeia/Lassa reassortant virus, delivered directly into the brain. In contrast, all control animals died within one week. The vaccine induced low levels of antibodies but Lassa-specific CD4+ and CD8+ T cell responses. This is the first report showing that a single dose of a replication-deficient MVA vector can confer full protection against a lethal challenge with ML29 virus. Full article
Show Figures

Figure 1

14 pages, 2234 KB  
Article
Tracking Modified Vaccinia Virus Ankara in the Chicken Embryo: In Vivo Tropism and Pathogenesis of Egg Infections
by Martin C. Langenmayer, Anna-Theresa Lülf-Averhoff, Silvia Adam-Neumair, Gerd Sutter and Asisa Volz
Viruses 2018, 10(9), 452; https://doi.org/10.3390/v10090452 - 24 Aug 2018
Cited by 4 | Viewed by 5451
Abstract
The Modified Vaccinia virus Ankara (MVA) is a highly attenuated vaccinia virus serving as a promising vector vaccine platform to develop vaccines against infectious diseases. In contrast to the well-established replication deficiency and safety of MVA in mammals, much less is known about [...] Read more.
The Modified Vaccinia virus Ankara (MVA) is a highly attenuated vaccinia virus serving as a promising vector vaccine platform to develop vaccines against infectious diseases. In contrast to the well-established replication deficiency and safety of MVA in mammals, much less is known about MVA infection in avian hosts. Here, we used a recombinant MVA expressing fluorescent reporter proteins under transcriptional control of specific viral early and late promoters to study in vivo tropism, distribution, and pathogenesis of MVA infections in embryonated chicken eggs. The chorioallantoic membrane (CAM) of embryonated chicken eggs was inoculated with recombinant MVA, MVA or phosphate-buffered saline. The infection was analyzed by fluorescence microscopy, histology, immunohistochemistry, and virus titration of embryonic tissues. After infection of the CAM, MVA spread to internal and external embryonic tissues with the liver as a major target organ. Macrophages and hematopoietic cells were identified as primary target cells of MVA infection and may be involved in virus spread. Increasing doses of MVA did not result in increased lesion severity or embryonic death. Despite MVA generalization to embryonic tissues, the CAM seems to be the major site of MVA replication. The absence of considerable organ lesions and MVA-associated mortality highlights an excellent safety profile of MVA in chicken hosts. Full article
(This article belongs to the Section Viral Immunology, Vaccines, and Antivirals)
Show Figures

Graphical abstract

27 pages, 827 KB  
Review
Modified Vaccinia Virus Ankara (MVA) as Production Platform for Vaccines against Influenza and Other Viral Respiratory Diseases
by Arwen F. Altenburg, Joost H. C. M. Kreijtz, Rory D. De Vries, Fei Song, Robert Fux, Guus F. Rimmelzwaan, Gerd Sutter and Asisa Volz
Viruses 2014, 6(7), 2735-2761; https://doi.org/10.3390/v6072735 - 17 Jul 2014
Cited by 108 | Viewed by 24954
Abstract
Respiratory viruses infections caused by influenza viruses, human parainfluenza virus (hPIV), respiratory syncytial virus (RSV) and coronaviruses are an eminent threat for public health. Currently, there are no licensed vaccines available for hPIV, RSV and coronaviruses, and the available seasonal influenza vaccines have [...] Read more.
Respiratory viruses infections caused by influenza viruses, human parainfluenza virus (hPIV), respiratory syncytial virus (RSV) and coronaviruses are an eminent threat for public health. Currently, there are no licensed vaccines available for hPIV, RSV and coronaviruses, and the available seasonal influenza vaccines have considerable limitations. With regard to pandemic preparedness, it is important that procedures are in place to respond rapidly and produce tailor made vaccines against these respiratory viruses on short notice. Moreover, especially for influenza there is great need for the development of a universal vaccine that induces broad protective immunity against influenza viruses of various subtypes. Modified Vaccinia Virus Ankara (MVA) is a replication-deficient viral vector that holds great promise as a vaccine platform. MVA can encode one or more foreign antigens and thus functions as a multivalent vaccine. The vector can be used at biosafety level 1, has intrinsic adjuvant capacities and induces humoral and cellular immune responses. However, there are some practical and regulatory issues that need to be addressed in order to develop MVA-based vaccines on short notice at the verge of a pandemic. In this review, we discuss promising novel influenza virus vaccine targets and the use of MVA for vaccine development against various respiratory viruses. Full article
(This article belongs to the Special Issue Virus-based Vaccines)
Show Figures

Figure 1

Back to TopTop