Sign in to use this feature.

Years

Between: -

Subjects

remove_circle_outline
remove_circle_outline
remove_circle_outline
remove_circle_outline
remove_circle_outline
remove_circle_outline
remove_circle_outline
remove_circle_outline
remove_circle_outline

Journals

Article Types

Countries / Regions

Search Results (145)

Search Parameters:
Keywords = auditory lateralization

Order results
Result details
Results per page
Select all
Export citation of selected articles as:
15 pages, 3616 KB  
Article
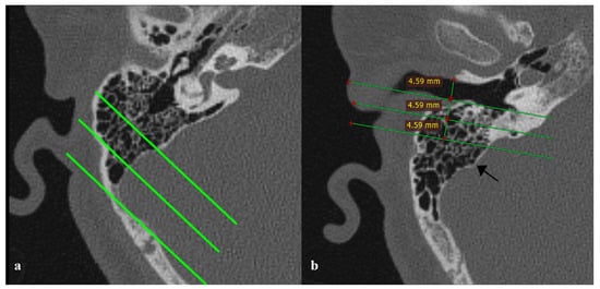
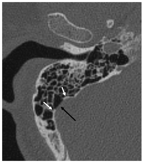
The Possible Relationship Between Sigmoid Dehiscence, Degree of Mastoid Pneumatization, and Sigmoid Sinus Position in Patients with Pulsatile Tinnitus
by Burak Bilecenoğlu, Tuğçe Akın, Berin Tuğtağ Demir, Ömer Korkmazyürek, Ali Köksal and Kaan Orhan
Diagnostics 2026, 16(6), 914; https://doi.org/10.3390/diagnostics16060914 - 19 Mar 2026
Abstract
Objective: This study aimed to determine the relationship between sigmoid sinus dehiscence (SSD), sigmoid sinus topography, mastoid pneumatization, and adjacent temporal bone structures in patients with pulsatile tinnitus (PT). Methods: A retrospective analysis was performed on 344 temporal bone cone-beam computed [...] Read more.
Objective: This study aimed to determine the relationship between sigmoid sinus dehiscence (SSD), sigmoid sinus topography, mastoid pneumatization, and adjacent temporal bone structures in patients with pulsatile tinnitus (PT). Methods: A retrospective analysis was performed on 344 temporal bone cone-beam computed tomography (CBCT) scans (172 PT patients and 172 age- and sex-matched controls). The degree of mastoid pneumatization, presence and size of SSD, sinus topography, and distances between the sigmoid sinus and key landmarks—the lateral semicircular canal (LSCC), jugular bulb (HJB), and external auditory canal (EAC)—were measured. Quantitative and qualitative characteristics were compared between groups, and independent predictors of PT were identified using multivariate logistic regression. Results: Compared to controls, SSD was substantially more common in the PT group (115/172 vs. 44/172, p < 0.001). Patients with PT had significantly larger anteroposterior and vertical sigmoid sinus dehiscence diameters (4.61 ± 0.99 mm vs. 3.87 ± 0.25 mm and 3.37 ± 0.47 mm vs. 2.92 ± 0.14 mm, respectively; both p < 0.01). Additionally, in the PT group, the sigmoid sinus was situated closer to the lateral semicircular canal, jugular bulb (JB), and external auditory canal (all p < 0.01). Conclusions: Venous pulsatile tinnitus was substantially correlated with sigmoid sinus dehiscence, sinus topography, and decreased sinus–EAC distance. Quantitative CBCT evaluation of these anatomical relationships could help with surgical planning and enhance diagnostic evaluation. Full article
(This article belongs to the Section Clinical Diagnosis and Prognosis)
Show Figures

Figure 1

11 pages, 696 KB  
Article
Association of Age-Related Hearing Loss with Domain-Specific Cognitive Performance in Older Adults
by Tatiana Marques, João Castelhano, Isabel Catarina Duarte, Carla Pinto-Moura, Miguel Castelo-Branco and António Miguéis
J. Clin. Med. 2026, 15(6), 2322; https://doi.org/10.3390/jcm15062322 - 18 Mar 2026
Abstract
Background/Objectives: Age-related hearing loss (ARHL) is highly prevalent among older adults and has been linked to cognitive decline. However, the specific cognitive domains most vulnerable to ARHL and whether these associations exhibit lateralized effects remain unclear, which is critical for understanding and [...] Read more.
Background/Objectives: Age-related hearing loss (ARHL) is highly prevalent among older adults and has been linked to cognitive decline. However, the specific cognitive domains most vulnerable to ARHL and whether these associations exhibit lateralized effects remain unclear, which is critical for understanding and mitigating its broader impact on neurocognitive function. This study aimed to characterize the clinical profile of ARHL and examine associations between hearing thresholds and cognitive performance across domains, including the influence of educational attainment as a proxy for cognitive reserve. Methods: Audiometric assessments and cognitive screening using the Mini-Mental State Examination were conducted in older adults, including normal-hearing listeners (NHL, n = 31, mean age 71.4) and those with hearing loss (HL, n = 46, mean age 73.1). Associations between pure-tone averages, clinical complaints, and cognitive domains were analyzed while considering educational attainment. Results: HL participants exhibited a higher prevalence of tinnitus (NHL: 33.3% vs. HL: 65.2%) and slightly more frequent dizziness compared to their normal-hearing peers. Cognitive assessment revealed that decreased cognitive performance was strongly associated with hearing loss (p < 0.05), and this association was influenced by low educational level. Orientation was the most affected domain (p < 0.01), while recall and language were also significantly associated with low- and high-frequency pure-tone averages, respectively. Conclusions: These findings reinforce the relationship between ARHL and cognitive decline, suggesting an attentional basis whereby higher listening effort to decode the degraded auditory input may affect cognitive performance. The results also highlight the influence of educational attainment as a moderating factor. Full article
Show Figures

Figure 1

15 pages, 639 KB  
Article
Effects of a Nanotechnology-Based Application on Balance Control in Hearing Aid Users
by Francesca Campoli, Andrea Fabris, Donatella Di Corrado, Dorota Kostrzewa-Nowak, Robert Nowak, Lucio Caprioli, Vincenzo Cristian Francavilla, Elvira Padua and Giuseppe Messina
Audiol. Res. 2026, 16(2), 42; https://doi.org/10.3390/audiolres16020042 - 8 Mar 2026
Viewed by 181
Abstract
Background: Balance impairment and falls are a major health concern in older adults. Beyond vestibular and visual factors, growing evidence indicates that age-related hearing loss contributes to postural instability through altered multisensory integration. However, interventions addressing the interaction between auditory input and postural [...] Read more.
Background: Balance impairment and falls are a major health concern in older adults. Beyond vestibular and visual factors, growing evidence indicates that age-related hearing loss contributes to postural instability through altered multisensory integration. However, interventions addressing the interaction between auditory input and postural control remain limited. This study examined whether integrating Taopatch® nanotechnology, based on localized photobiomodulation, into conventional hearing aids could influence postural control in individuals with hearing loss. Methods: Forty experienced hearing aid users (mean age 77.3 ± 15.6 years) completed five postural assessments using a SensorMedica® baropodometric platform. Four sessions employed a placebo patch identical in appearance to the active device, and the fifth used Taopatch®. Static and stabilometric parameters were analyzed under open- and closed-eye conditions. Results: Significant improvements were observed with the Taopatch®-integrated device. Sway path length (−8%, p = 0.002), mean velocity (−8%, p = 0.002), and low-frequency sway (−30%, p = 0.04) decreased, indicating smoother and more efficient postural control. A lateral redistribution of plantar load and an increase in contact surface area (up to +15%) were also found. These effects were less evident without visual input. Conclusions: Preliminary findings suggest that localized photobiomodulation integrated into hearing aids may positively influence postural stability in older adults with hearing impairment, possibly by supporting sensory integration processes. Further controlled studies are needed to confirm these effects and clarify the underlying mechanisms. Full article
(This article belongs to the Special Issue The Aging Ear)
Show Figures

Figure 1

10 pages, 548 KB  
Article
Performance-Based Functional Status Predicts Diffuse Cortical Atrophy in Alzheimer’s Disease
by Renata Kochhann, Patricia Ferreira da Silva, Eelco van Duinkerken, Maila Rossato Holz, Marcia Lorena Fagundes Chaves, Wyllians Vendramini Borelli and Rochele Paz Fonseca
Brain Sci. 2026, 16(3), 295; https://doi.org/10.3390/brainsci16030295 - 6 Mar 2026
Viewed by 262
Abstract
Objectives: We aimed to compare performance-based functional ability and cognitive screening performance to determine the cortical thickness relationship in cognitively unimpaired (CN) elders, mild cognitive impairment (MCI) and dementia patients, as well as to compare performance-based and proxy-evaluated functional ability and to determine [...] Read more.
Objectives: We aimed to compare performance-based functional ability and cognitive screening performance to determine the cortical thickness relationship in cognitively unimpaired (CN) elders, mild cognitive impairment (MCI) and dementia patients, as well as to compare performance-based and proxy-evaluated functional ability and to determine its cerebral white and gray matter correlates. Methods: In total, 22 CN, 32 MCI, and 21 dementia patients were included in this study. They underwent clinical, cognitive, and Magnetic Resonance Imaging (MRI) assessment. Individuals were evaluated with the Mini-Mental State Examination (MMSE), the Rey Auditory Verbal Learning test (RAVLT), the Activities of Daily Living Questionnaire (ADL-Q) and the Direct Assessment of Functional Status-Revised (DAFS-R). Results: Higher ADL-Q scores were significantly associated with lower cortical thickness (bilateral temporoparietal regions, including the inferior temporal lobes and precuneus), p < 0.05. The DAFS-R scale showed a relationship with greater cortical thickness across extensive regions of the bilateral frontal, parietal, and temporal cortices (p < 0.05). MMSE presented a more focal association, primarily in canonical memory-related areas, including the medial and lateral temporal lobes and inferior parietal regions (p < 0.05). Conclusions: Functional independence measured by ADL-Q was associated with frontal and parietal cortical thickness, while DAFS-R scores demonstrated a more diffuse evaluation of cortical atrophy. Additionally, performance-based functional abilities according to the DAFS-R appear to be a stronger marker of cortical thickness than ADL-Q and MMSE. Full article
Show Figures

Figure 1

37 pages, 4447 KB  
Article
A Citation-Based Main Path Analysis of Tinnitus Research (1984–2025): Knowledge Evolution, Thematic Clusters, and Emerging Research Directions
by Tang-Min Hsieh, Kai-Ying Chen and Hsin-Yu Hsieh
Appl. Sci. 2026, 16(5), 2474; https://doi.org/10.3390/app16052474 - 4 Mar 2026
Viewed by 299
Abstract
Over the past four decades, tinnitus research has grown into a highly interdisciplinary field spanning auditory science, neuroscience, psychology, and clinical medicine. Yet how knowledge across subfields has been inherited, diversified, and integrated over time still lacks traceable structural evidence. To address this [...] Read more.
Over the past four decades, tinnitus research has grown into a highly interdisciplinary field spanning auditory science, neuroscience, psychology, and clinical medicine. Yet how knowledge across subfields has been inherited, diversified, and integrated over time still lacks traceable structural evidence. To address this gap and move beyond frequency-oriented reviews and bibliometric studies that mainly report “hot topics” and prolific contributors, the present study reconstructs the intellectual evolution of tinnitus research (1984–2025) using citation-network-based main path analysis (MPA). From the Web of Science Core Collection, 6584 records were initially retrieved, of which 6354 formed a mutually linked core citation network (96.5%), indicating high coverage and analyzability. SPLC (Search Path Link Count)–weighted MPA was applied to extract global and key-route main paths capturing dominant knowledge trajectories and major branches. Cluster and co-word analyses were then integrated to delineate seven evolutionary stages and five major thematic clusters. This framework identifies bridging works and turning points and reveals how emerging lines—neuromodulation, implant-related treatments, and digital/telehealth CBT—branch from and later converge with established neurobiological and psychological pathways rather than appearing in isolation. Overall, the field has progressed from early psychoacoustics and spontaneous otoacoustic emissions through cochlear-injury plasticity, central gain, and limbic–auditory network models, and most recently toward mechanism-oriented diagnostics, individualized assessment, and targeted interventions. Full article
Show Figures

Figure 1

13 pages, 1779 KB  
Article
Dynamic Interaction Between Structural Asymmetry and Attention in the Right-Ear Advantage Revealed by MEG-Based ASSRs
by Keita Tanaka, Reo Yamada, Manami Kanamaru, Chie Obuchi, Hidehiko Okamoto, Takanori Kato and Hiromu Sakai
Brain Sci. 2026, 16(3), 286; https://doi.org/10.3390/brainsci16030286 - 4 Mar 2026
Viewed by 254
Abstract
Background/Objectives: The dichotic listening test (DLT) is widely used to assess auditory attention and hemispheric language lateralization, with the right-ear advantage (REA) representing a robust behavioral phenomenon. Although the REA is often attributed to structural asymmetries in auditory pathways and left-hemisphere dominance [...] Read more.
Background/Objectives: The dichotic listening test (DLT) is widely used to assess auditory attention and hemispheric language lateralization, with the right-ear advantage (REA) representing a robust behavioral phenomenon. Although the REA is often attributed to structural asymmetries in auditory pathways and left-hemisphere dominance for speech processing, the neural mechanisms by which selective attention modulates this asymmetry remain unclear. This study examined how directed auditory attention influences the REA and its neural correlates using magnetoencephalography (MEG)-based auditory steady-state responses (ASSRs). Methods: Fifteen right-handed participants performed directed-attention dichotic listening tasks during MEG recording. One participant was excluded from MEG analyses due to excessive noise contamination, resulting in 14 participants included in neural analyses. Participants attended to either the left or right ear throughout each session and reported the perceived stimulus from the attended ear. Dichotic speech stimuli were amplitude-modulated at 35 Hz and 45 Hz for frequency tagging. ASSR amplitudes were extracted from the left and right auditory cortices and analyzed in relation to behavioral accuracy using correlation analyses and analysis of covariance (ANCOVA). Results: Behavioral accuracy was significantly higher during right-ear attention than left-ear attention, indicating a residual REA. ASSR amplitudes tended to be higher during left-ear attention. Importantly, during left-ear attention, ASSR amplitude in the left auditory cortex showed a significant positive correlation with behavioral accuracy, whereas no such association was observed during right-ear attention. Conclusions: These findings indicate that the REA reflects a dynamic interaction between structural auditory asymmetry and top-down attentional control, with successful left-ear listening relying on compensatory recruitment of the left auditory cortex. Full article
Show Figures

Figure 1

18 pages, 651 KB  
Article
Comparison of Auditory Stream Segregation Abilities and Cerebral Asymmetry in Processing Speech in Noise in Carnatic Musicians, Bharatanatyam Dancers, and Non-Trained Individuals
by Sreeraj Konadath, Aysha Nida, Praveen Prakash, Vijaya Kumar Narne, Sunil Kumar Ravi and Reesha Oovattil Hussain
Brain Sci. 2026, 16(2), 200; https://doi.org/10.3390/brainsci16020200 - 7 Feb 2026
Viewed by 339
Abstract
Aim: This study compared spectral profile analysis thresholds, speech-in-noise perception, and cerebral asymmetry among Carnatic musicians, Bharatanatyam dancers, and non-trained individuals and examined the influence of training duration on these measures. Method: A total of 105 right-handed adults (18–30 years) with normal hearing [...] Read more.
Aim: This study compared spectral profile analysis thresholds, speech-in-noise perception, and cerebral asymmetry among Carnatic musicians, Bharatanatyam dancers, and non-trained individuals and examined the influence of training duration on these measures. Method: A total of 105 right-handed adults (18–30 years) with normal hearing were divided into Carnatic musicians (n = 35), Bharatanatyam dancers (n = 35), and non-trained controls (n = 35). Spectral stream segregation was measured using the spectral profile analysis task, and speech-in-noise perception was evaluated using the Kannada QuickSIN under right, left, and binaural conditions. Cerebral asymmetry was derived from the Laterality Index. As data were non-normally distributed, non-parametric tests were used. Results: Significant group differences emerged for spectral profile thresholds, with dancers outperforming musicians and controls. Both trained groups showed superior speech-in-noise performance compared to non-trained individuals across all listening conditions, though no differences were observed between musicians and dancers. Non-trained listeners displayed a clear right-ear advantage, whereas trained groups showed minimal or no hemispheric asymmetry. Training duration negatively correlated with selected spectral profile thresholds in both trained groups and with binaural SNR-50 in dancers, indicating training-related auditory enhancement. Conclusions: Musicians and dancers demonstrate better spectral discrimination, improved speech-in-noise perception, and reduced cerebral asymmetry compared to non-trained peers. These findings underscore training-induced auditory neuroplasticity and suggest that long-term engagement in music or dance promotes efficient auditory processing and greater bilateral hemispheric involvement. Full article
Show Figures

Figure 1

24 pages, 6103 KB  
Article
Enhancing Alarm Localization in Multi-Window Map Interfaces with Spatialized Auditory Cues: An Eye-Tracking Study
by Jing Zhang, Xiaoyu Zhu, Wenzhe Tang, Weijia Ge, Yong Zhang and Jing Li
ISPRS Int. J. Geo-Inf. 2026, 15(2), 69; https://doi.org/10.3390/ijgi15020069 - 6 Feb 2026
Viewed by 352
Abstract
Modern geo-information platforms commonly adopt multi-window map interfaces that integrate heterogeneous data, such as dynamic maps and live camera feeds. These interfaces impose high cognitive load and slow spatial event detection. Operators must rapidly locate the source of visual alarms, a task often [...] Read more.
Modern geo-information platforms commonly adopt multi-window map interfaces that integrate heterogeneous data, such as dynamic maps and live camera feeds. These interfaces impose high cognitive load and slow spatial event detection. Operators must rapidly locate the source of visual alarms, a task often leading to delays under high visual workload. To address this challenge, this study investigated whether spatialized auditory cues can improve alarm localization in such complex monitoring interfaces. A controlled experiment with 24 participants used a within-subjects design to test factors of auditory spatial cueing (none, binaural, monaural), display dynamics (dynamic, static), and interface complexity (4, 8, 12 panes). Behavioral and eye-tracking data measured detection accuracy, efficiency, and gaze patterns. Results showed that dynamic displays and high interface complexity impaired performance, indicating increased cognitive load. In contrast, monaural lateralized auditory alarms substantially improved detection efficiency and mitigated visual overload. Interaction analyses revealed that binaural cues reduced the performance costs of dynamic displays, whereas monaural cues compensated for high-density layouts. These findings demonstrate that spatialized auditory alarms effectively support spatiotemporal situational awareness and improve operator performance in high-load geo-surveillance systems. The study offers empirical and practical implications for designing cognitively ergonomic, multimodal interfaces that move beyond purely visual alarm designs. Full article
Show Figures

Figure 1

32 pages, 5224 KB  
Article
Functional Networks in Developmental Dyslexia: Auditory Discrimination of Words and Pseudowords
by Tihomir Taskov and Juliana Dushanova
NeuroSci 2026, 7(1), 21; https://doi.org/10.3390/neurosci7010021 - 3 Feb 2026
Viewed by 408
Abstract
Developmental dyslexia (DD) often involves difficulties in phonological processing of speech. Objectives: While underlying neural changes have been identified in terms of stimulus- and task-related responses within specific brain regions and their neural connectivity, there is still limited understanding of how these changes [...] Read more.
Developmental dyslexia (DD) often involves difficulties in phonological processing of speech. Objectives: While underlying neural changes have been identified in terms of stimulus- and task-related responses within specific brain regions and their neural connectivity, there is still limited understanding of how these changes affect the overall organization of brain networks. Methods: This study used EEG and functional network analysis, focusing on small-world propensity across various frequency bands (from δ to γ), to explore the global brain organization during the auditory discrimination of words and pseudowords in children with DD. Results: The main finding revealed a systemic inefficiency in the functional network of individuals with DD, which did not achieve the optimal small-world propensity. This inefficiency arises from a fundamental trade-off between localized specialization and global communication. During word listening, the δ-/γ1-networks (related to impaired syllabic and phonemic processing of words) and the θ-/β-networks (related to pseudoword listening) in the DD group showed lower local clustering and connectivity compared to the control group, resulting in reduced functional segregation. In particular, the θ-/β-networks for words in the DD group exhibited a less optimal balance between specialized local processing and effective global communication. Centralized midline hubs, such as the postcentral gyrus (PstCG) and inferior frontal gyrus (IFG), which are crucial for global coordination, attention, and executive control, were either absent or inconsistent in individuals with DD. Consequently, the DD network adopted a constrained, motor-compensatory, and left-lateralized strategy. This led to the redirection of information flow and processing effort toward the left PstCG/IFG loop, interpreted as a compensatory effort to counteract automatic processing failures. Additionally, the γ1-network, which is involved in phonetic feature binding, lacked engagement from posterior sensory hubs, forcing this critical process into a slow and effortful motor loop. The γ2-network exhibited unusual activation of right-hemisphere posterior areas during word processing, while it employed a simpler, less mature routing strategy for pseudoword listening, which further diminished global communication. Conclusions: This functionality highlights the core phonological and temporal processing deficits characteristic of dyslexia. Full article
Show Figures

Figure 1

14 pages, 285 KB  
Review
Predictors of Rehabilitation Outcomes Following Pediatric Cochlear Implantation
by Ke Wang, Zhihan Lin, Meiling Yan, Yan Rui and Haihong Liu
J. Clin. Med. 2026, 15(3), 981; https://doi.org/10.3390/jcm15030981 - 26 Jan 2026
Viewed by 432
Abstract
Cochlear implantation (CI) is a well-established intervention for improving auditory and speech development in children with severe-to-profound hearing loss. Nonetheless, postoperative rehabilitation outcomes exhibit substantial individual variability. This review synthesizes contemporary evidence on predictors of rehabilitation success following pediatric CI. A robust set [...] Read more.
Cochlear implantation (CI) is a well-established intervention for improving auditory and speech development in children with severe-to-profound hearing loss. Nonetheless, postoperative rehabilitation outcomes exhibit substantial individual variability. This review synthesizes contemporary evidence on predictors of rehabilitation success following pediatric CI. A robust set of general factors is consistently linked to more favorable outcomes, including earlier age at implantation (with particular benefit within the first year of life), stronger preoperative receptive language skills and speech recognition, higher developmental quotient and nonverbal intelligence, and higher parental educational level. Regarding hearing-specific variables, later-onset deafness, a shorter duration of deafness, and identifiable etiologies (notably specific genetic mutations such as GJB2 and OTOF) exert significant influence. Furthermore, bilateral CI demonstrates superior outcomes compared to unilateral CI, with the surgical timing (simultaneous versus sequential) and factors such as electrode array selection and placement being critical determinants. Overall, postoperative outcomes arise from a complex interplay of biological, developmental, and environmental factors. Full article
(This article belongs to the Special Issue The Challenges and Prospects in Cochlear Implantation)
Show Figures

Graphical abstract

10 pages, 382 KB  
Article
Hemifacial Spasms with Unusual Neurovascular Compression Type: Arterial Cisternal Segment Offender
by Hyun Seok Lee, Soung Wook Park, Sang-Ku Park and Kwan Park
Life 2026, 16(1), 166; https://doi.org/10.3390/life16010166 - 19 Jan 2026
Viewed by 342
Abstract
(1) Background: Hemifacial spasm (HFS) is most commonly caused by neurovascular compression at the root exit zone (REZ) of the facial nerve; however, isolated compression along the distal cisternal segment is uncommon and remains poorly characterized. This study aimed to analyze the clinical [...] Read more.
(1) Background: Hemifacial spasm (HFS) is most commonly caused by neurovascular compression at the root exit zone (REZ) of the facial nerve; however, isolated compression along the distal cisternal segment is uncommon and remains poorly characterized. This study aimed to analyze the clinical features, intraoperative neurophysiological patterns, and surgical outcomes of patients with HFS caused by cisternal segment arterial compression. (2) Methods: Among 874 patients who underwent microvascular decompression (MVD) for HFS, 18 (2.1%) were identified as having isolated neurovascular conflict at the cisternal segment, all involving the anterior inferior cerebellar artery (AICA). Clinical characteristics, offender location, intraoperative monitoring results including lateral spread response (LSR), brainstem auditory evoked potentials, and postoperative outcomes were retrospectively evaluated. A standardized Teflon interposition technique was used in all cases. (3) Results: Postoperatively, 83.3% of patients experienced immediate spasm relief, and at the latest available follow-up, 94.4% achieved significant improvement without severe complications. (4) Conclusions: Although rare, cisternal segment arterial compression can produce typical HFS and should be considered when REZ compression is unclear or when intraoperative neuromonitoring does not respond as expected. Microvascular decompression using Teflon interposition is a safe and effective treatment option for this anatomically challenging offender location. Full article
(This article belongs to the Section Medical Research)
Show Figures

Figure 1

20 pages, 4131 KB  
Article
Graph Analysis of Age-Related Changes in Resting-State Functional Connectivity Measured with fNIRS
by Víctor Sánchez, Sergio Novi, Alex C. Carvalho, Andres Quiroga, Rodrigo Menezes Forti, Fernando Cendes, Clarissa Lin Yasuda and Rickson C. Mesquita
J. Ageing Longev. 2026, 6(1), 11; https://doi.org/10.3390/jal6010011 - 15 Jan 2026
Viewed by 464
Abstract
Resting-state functional connectivity (rsFC) provides insight into the intrinsic organization of brain networks and is increasingly recognized as a sensitive marker of age-related neural changes. Functional near-infrared spectroscopy (fNIRS) offers a portable and cost-effective approach to measuring rsFC, including in naturalistic settings. However, [...] Read more.
Resting-state functional connectivity (rsFC) provides insight into the intrinsic organization of brain networks and is increasingly recognized as a sensitive marker of age-related neural changes. Functional near-infrared spectroscopy (fNIRS) offers a portable and cost-effective approach to measuring rsFC, including in naturalistic settings. However, its sensitivity to age-related alterations in network topology remains poorly characterized. Here, we applied graph-based analysis to resting-state fNIRS data from 57 healthy participants, including 26 young adults (YA, 18–30 years) and 31 older adults (OA, 50–77 years). We observed that older adults exhibited a marked attenuation of low-frequency oscillation (LFO) power across all hemoglobin contrasts, corresponding to a 5–6-fold reduction in spectral power. In addition, network analysis revealed altered topological organization under matched sparsity conditions, characterized by reduced degree heterogeneity and increased segregation in older adults, with the strongest differences observed in the default mode (DMN), auditory, and frontoparietal control (FPC) networks. Network visualizations further indicated a shift toward more right-lateralized and posterior hub organization in older adults. Together, the coexistence of reduced oscillatory power and increased connectivity suggests that fNIRS-derived rsFC reflects combined neural and non-neural hemodynamic influences, including increased coherence arising from age-related vascular and systemic physiological processes. Overall, our findings demonstrate that fNIRS is sensitive to age-related changes in large-scale hemodynamic network organization. At the same time, sensitivity to non-neural hemodynamics highlights the need for cautious interpretation, but it may provide complementary, clinically relevant signatures of aging-related changes. Full article
Show Figures

Figure 1

17 pages, 12851 KB  
Article
The Fenestras Elisabeth Complex (Nova Structura) in the Parietal Bone of Plecotus auritus: Morphology, Topography, and Functional Significance
by Grzegorz Kłys and Paweł Socha
Animals 2026, 16(1), 109; https://doi.org/10.3390/ani16010109 - 30 Dec 2025
Viewed by 466
Abstract
Fenestrations of mammalian skull bones are rare and poorly understood, particularly within the parietal bone. In bats—a group characterised by advanced sensory specialisation and echolocation—superficial modifications of the cranial vault may have functional significance, yet their occurrence and organisation remain insufficiently documented. In [...] Read more.
Fenestrations of mammalian skull bones are rare and poorly understood, particularly within the parietal bone. In bats—a group characterised by advanced sensory specialisation and echolocation—superficial modifications of the cranial vault may have functional significance, yet their occurrence and organisation remain insufficiently documented. In this study, we describe an exceptional fenestrated complex in the posterolateral parietal bone of Plecotus auritus, comprising structural elements not previously recorded within Vespertilionidae. The aim of the study was to characterise in detail the morphology, topography, and variability of the surface structure termed Fenestras Elisabeth (nova structura), with particular emphasis on its relationship with the auditory region and its potential biomechanical–acoustic significance. The material consisted of ten skulls of P. auritus, examined using micro-CT scanning, 3D reconstruction, and qualitative analysis of fenestrated structures and their topographic relationships. Within the posterolateral parietal region, we identified an extensive and repeatable fenestrated complex comprising numerous fenestrae parietales Elisabeth, paired fenestrula Elisabeth, a central depression (recessus acousticus parietalis), and a bordering fissure (fissura occipitalis mastoidea, nova structura topographica). The complex exhibited a stable spatial organisation despite individual variation in the number and shape of the openings. All fenestrations were confined to the posterolateral zone, and the contact between the fenestrae and the fissura occipitalis mastoidea represented a diagnostic feature. Our analysis suggests that the Fenestras Elisabeth complex may be associated with combined biomechanical and acoustic constraints: (1) a biomechanical role—reducing strain in the parietal lamina during movements of the extremely mobile and elongated pinnae; and (2) an acoustic role—modulating micro-vibrations transmitted to the inner-ear structures. Individual variability and lateral asymmetry of fenestration patterns indicate a high degree of adaptive plasticity in this region of the skull. This study provides the first documentation of a large, structurally organised parietal-bone fenestration complex in Plecotus auritus, expanding current knowledge of bat cranial morphology and suggesting a likely functional significance for these previously unknown bony structures. Full article
(This article belongs to the Section Mammals)
Show Figures

Figure 1

13 pages, 997 KB  
Article
Early Speech Development in Romanian Children with Cochlear Implants Assessed Using the LittlEARS® Early Speech Production Questionnaire (LEESPQ)
by Alina Catalina Ivanov, Luminita Radulescu, Cristian Neagos, Sebastian Cozma, Corina Butnaru, Raluca Olariu, Petronela Moraru, Violeta Necula and Cristian Martu
Audiol. Res. 2025, 15(6), 172; https://doi.org/10.3390/audiolres15060172 - 8 Dec 2025
Cited by 1 | Viewed by 556 | Correction
Abstract
Objective: The aim of the study was to evaluate the validity, clinical applicability, and developmental sensitivity of the Romanian LEESPQ in children with cochlear implants (CIs), by analyzing its association with age at implantation, duration of auditory experience, and implantation laterality, and by [...] Read more.
Objective: The aim of the study was to evaluate the validity, clinical applicability, and developmental sensitivity of the Romanian LEESPQ in children with cochlear implants (CIs), by analyzing its association with age at implantation, duration of auditory experience, and implantation laterality, and by comparing the developmental trajectory with that of normal-hearing (NH) children. Methods: The study assesses the validity, reliability, and clinical sensitivity of the LEESPQ in pediatric cochlear implant users. Furthermore, it investigates the associations between total questionnaire scores and key clinical variables, including implantation laterality (unilateral versus bilateral), age at device activation, and duration of implant use. Forty-seven children with CIs (26 boys, 21 girls) were included, with implantation ages ranging from 9 months to 5 years. Of these, 21 received unilateral implants and 26 bilateral implants. Responses were analyzed both in relation to clinical variables and in comparison with available normative data from NH children, in order to delineate potential differences in linguistic developmental trajectories. Results: Findings suggest that the LEESPQ is a reliable and clinically valuable instrument for monitoring post-implant linguistic progress. It provides relevant insights into early auditory access, the linguistic environment within the family, and the development of early verbal production. Scores were significantly influenced by age at implantation and duration of auditory experience, confirming the role of early stimulation and neural plasticity in shaping speech development after cochlear implantation. Conclusions: The LEESPQ demonstrates strong clinical utility as a sensitive tool for monitoring early preverbal and verbal development in children with CIs. By capturing score variations associated with age at implantation, auditory experience, and implantation laterality, the questionnaire provides meaningful insights into early post-implant outcomes and supports individualized rehabilitation planning. These findings highlight the value of the LEESPQ for early outcome assessment in pediatric cochlear implant users. Full article
Show Figures

Figure 1

9 pages, 211 KB  
Article
Genotype Characteristics and Hearing Phenotype Analysis of Newborns with Biallelic GJB2 Mutations: A 652-Case–Cohort Study
by Jianjun Li, Bo Wu and Wenlan Liu
Int. J. Neonatal Screen. 2025, 11(4), 110; https://doi.org/10.3390/ijns11040110 - 3 Dec 2025
Viewed by 825
Abstract
This study aims to investigate the genotype characteristics of newborns with biallelic GJB2 mutations and their correlation with hearing phenotypes, providing a basis for clinical genetic counseling and hearing management. A retrospective study was conducted on 652 newborns with biallelic GJB2 mutations detected [...] Read more.
This study aims to investigate the genotype characteristics of newborns with biallelic GJB2 mutations and their correlation with hearing phenotypes, providing a basis for clinical genetic counseling and hearing management. A retrospective study was conducted on 652 newborns with biallelic GJB2 mutations detected at the Newborn Diseases Screening Center of Shenzhen Maternal and Child Health Care Hospital from January 2022 to December 2024. The differences in mutation types, hearing screening, and diagnostic results were analyzed and compared between the homozygous and compound heterozygous mutation groups to assess their correlation with hearing phenotypes. Genotype analysis identified 543 cases of homozygous mutations, mainly the c.109G>A/c.109G>A genotype (98.90%). Compound heterozygous mutations were identified in 109 cases, with the majority being c.109G>A/c.235delC (76.15%). Following two-stage hearing screening, 227 (34.82%) of the 652 cases were referred, with bilateral failure accounting for the majority (81.94%) of these cases. The referral rates showed no significant difference between the homozygous (35.54%) and compound heterozygous (31.19%) groups (p > 0.05). The overall hearing loss detection rate was 6.90% (45/652); among these, eight infants who had initially passed the newborn hearing screening were later found to have hearing loss between 2.5 and 6 months of age. Among the 45 confirmed deaf children, hearing loss was mainly mild to moderate (87.50%), and profound deafness was only seen in the homozygous mutation group (10.29%, 7/68 ears). Most newborns with biallelic GJB2 mutations passed the two-stage hearing screening, and associated hearing loss was typically mild to moderate. Long-term auditory monitoring remains essential for all genetically confirmed infants to monitor late-onset progression. Full article
Back to TopTop