Sign in to use this feature.

Years

Between: -

Subjects

remove_circle_outline
remove_circle_outline
remove_circle_outline

Journals

Article Types

Countries / Regions

Search Results (3)

Search Parameters:
Keywords = aminoalkylated amide derivatives

Order results
Result details
Results per page
Select all
Export citation of selected articles as:
31 pages, 10654 KB  
Article
Design, Synthesis, and In Vitro, In Silico and In Cellulo Evaluation of New Pyrimidine and Pyridine Amide and Carbamate Derivatives as Multi-Functional Cholinesterase Inhibitors
by Martina Bortolami, Fabiana Pandolfi, Valeria Tudino, Antonella Messore, Valentina Noemi Madia, Daniela De Vita, Roberto Di Santo, Roberta Costi, Isabella Romeo, Stefano Alcaro, Marisa Colone, Annarita Stringaro, Alba Espargaró, Raimon Sabatè and Luigi Scipione
Pharmaceuticals 2022, 15(6), 673; https://doi.org/10.3390/ph15060673 - 27 May 2022
Cited by 5 | Viewed by 4407
Abstract
Alzheimer disease is an age-linked neurodegenerative disorder representing one of the greatest medical care challenges of our century. Several drugs are useful in ameliorating the symptoms, even if none could stop or reverse disease progression. The standard approach is represented by the cholinesterase [...] Read more.
Alzheimer disease is an age-linked neurodegenerative disorder representing one of the greatest medical care challenges of our century. Several drugs are useful in ameliorating the symptoms, even if none could stop or reverse disease progression. The standard approach is represented by the cholinesterase inhibitors (ChEIs) that restore the levels of acetylcholine (ACh) by inhibiting the acetylcholinesterase (AChE). Still, their limited efficacy has prompted researchers to develop new ChEIs that could also reduce the oxidative stress by exhibiting antioxidant properties and by chelating the main metals involved in the disease. Recently, we developed some derivatives constituted by a 2-amino-pyrimidine or a 2-amino-pyridine moiety connected to various aromatic groups by a flexible amino-alkyl linker as new dual inhibitors of AChE and butyrylcholinesterase (BChE). Following our previous studies, in this work we explored the role of the flexible linker by replacing the amino group with an amide or a carbamic group. The most potent compounds showed higher selectivity against BChE in respect to AChE, proving also to possess a weak anti-aggregating activity toward Aβ42 and tau and to be able to chelate Cu2+ and Fe3+ ions. Molecular docking and molecular dynamic studies proposed possible binding modes with the enzymes. It is noteworthy that these compounds were predicted as BBB-permeable and showed low cytotoxicity on the human brain cell line. Full article
(This article belongs to the Special Issue Multitarget Drug Discovery and Pharmacology)
Show Figures

Graphical abstract

20 pages, 26778 KB  
Article
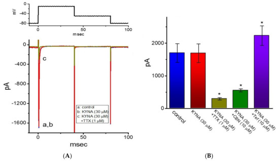
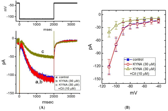
Effective Activation by Kynurenic Acid and Its Aminoalkylated Derivatives on M-Type K+ Current
by Yi-Ching Lo, Chih-Lung Lin, Wei-Yu Fang, Bálint Lőrinczi, István Szatmári, Wan-Hsuan Chang, Ferenc Fülöp and Sheng-Nan Wu
Int. J. Mol. Sci. 2021, 22(3), 1300; https://doi.org/10.3390/ijms22031300 - 28 Jan 2021
Cited by 10 | Viewed by 3180
Abstract
Kynurenic acid (KYNA, 4-oxoquinoline-2-carboxylic acid), an intermediate of the tryptophan metabolism, has been recognized to exert different neuroactive actions; however, the need of how it or its aminoalkylated amide derivative N-(2-(dimethylamino)ethyl)-3-(morpholinomethyl)-4-oxo-1,4-dihydroquinoline-2-carboxamide (KYNA-A4) exerts any effects on ion currents in excitable cells remains [...] Read more.
Kynurenic acid (KYNA, 4-oxoquinoline-2-carboxylic acid), an intermediate of the tryptophan metabolism, has been recognized to exert different neuroactive actions; however, the need of how it or its aminoalkylated amide derivative N-(2-(dimethylamino)ethyl)-3-(morpholinomethyl)-4-oxo-1,4-dihydroquinoline-2-carboxamide (KYNA-A4) exerts any effects on ion currents in excitable cells remains largely unmet. In this study, the investigations of how KYNA and other structurally similar KYNA derivatives have any adjustments on different ionic currents in pituitary GH3 cells and hippocampal mHippoE-14 neurons were performed by patch-clamp technique. KYNA or KYNA-A4 increased the amplitude of M-type K+ current (IK(M)) and concomitantly enhanced the activation time course of the current. The EC50 value required for KYNA- or KYNA-A4 -stimulated IK(M) was yielded to be 18.1 or 6.4 μM, respectively. The presence of KYNA or KYNA-A4 shifted the relationship of normalized IK(M)-conductance versus membrane potential to more depolarized potential with no change in the gating charge of the current. The voltage-dependent hysteretic area of IK(M) elicited by long-lasting triangular ramp pulse was observed in GH3 cells and that was increased during exposure to KYNA or KYNA-A4. In cell-attached current recordings, addition of KYNA raised the open probability of M-type K+ channels, along with increased mean open time of the channel. Cell exposure to KYNA or KYNA-A4 mildly inhibited delayed-rectifying K+ current; however, neither erg-mediated K+ current, hyperpolarization-activated cation current, nor voltage-gated Na+ current in GH3 cells was changed by KYNA or KYNA-A4. Under whole-cell, current-clamp recordings, exposure to KYNA or KYNA-A4 diminished the frequency of spontaneous action potentials; moreover, their reduction in firing frequency was attenuated by linopirdine, yet not by iberiotoxin or apamin. In hippocampal mHippoE-14 neurons, the addition of KYNA also increased the IK(M) amplitude effectively. Taken together, the actions presented herein would be one of the noticeable mechanisms through which they modulate functional activities of excitable cells occurring in vivo. Full article
(This article belongs to the Section Bioactives and Nutraceuticals)
Show Figures

Figure 1

11 pages, 2779 KB  
Brief Report
SZR-104, a Novel Kynurenic Acid Analogue with High Permeability through the Blood–Brain Barrier
by Kinga Molnár, Bálint Lőrinczi, Csilla Fazakas, István Szatmári, Ferenc Fülöp, Noémi Kmetykó, Róbert Berkecz, István Ilisz, István A. Krizbai, Imola Wilhelm and László Vécsei
Pharmaceutics 2021, 13(1), 61; https://doi.org/10.3390/pharmaceutics13010061 - 5 Jan 2021
Cited by 19 | Viewed by 4782
Abstract
By being an antagonist of glutamate and other receptors, kynurenic acid serves as an endogenous neuroprotectant in several pathologies of the brain. Unfortunately, systemic administration of kynurenic acid is hindered by its low permeability through the blood–brain barrier. One possibility to overcome this [...] Read more.
By being an antagonist of glutamate and other receptors, kynurenic acid serves as an endogenous neuroprotectant in several pathologies of the brain. Unfortunately, systemic administration of kynurenic acid is hindered by its low permeability through the blood–brain barrier. One possibility to overcome this problem is to use analogues with similar biological activity as kynurenic acid, but with an increased permeability through the blood–brain barrier. We synthesized six novel aminoalkylated amide derivatives of kynurenic acid, among which SZR-104 (N-(2-(dimethylamino)ethyl)-3-(morpholinomethyl)-4-hydroxyquinoline-2-carboxamide) proved to have the highest permeability through an in vitro blood–brain barrier model. In addition, permeability of SZR-104 was significantly higher than that of kynurenic acid, xanthurenic acid and 39B, a quinolone derivative/xanthurenic acid analogue. Since peripherally administered SZR-104 is able to inhibit epileptiform activity in the brain, we conclude that SZR-104 is a promising kynurenic acid analogue with good penetrability into the central nervous system. Full article
(This article belongs to the Special Issue Drug Delivery across Physiological Barriers)
Show Figures

Figure 1

Back to TopTop