Sign in to use this feature.

Years

Between: -

Subjects

remove_circle_outline
remove_circle_outline
remove_circle_outline
remove_circle_outline
remove_circle_outline

Journals

Article Types

Countries / Regions

Search Results (7)

Search Parameters:
Keywords = acute eosinophilic appendicitis

Order results
Result details
Results per page
Select all
Export citation of selected articles as:
15 pages, 660 KB  
Article
Characterization of Th2 Serum Immune Response in Acute Appendicitis
by Nuno Carvalho, Jani-Sofia Almeida, Elisabete Carolino, Francisco Lopes, Susana Henriques, João Vaz, Hélder Coelho, Paulo Rodrigues dos Santos, Manuel Santos Rosa, Luís Moita, Carlos Luz and Paulo Matos da Costa
Int. J. Mol. Sci. 2026, 27(2), 733; https://doi.org/10.3390/ijms27020733 - 11 Jan 2026
Viewed by 157
Abstract
Acute Appendicitis (AA) is the commonest abdominal digestive surgical emergency, but its etiology is not clarified. Based on histologic observations, an allergic cause has been proposed. In a type I hypersensitivity allergic reaction, there is a Th2 immune response characterized by Th2 cells, [...] Read more.
Acute Appendicitis (AA) is the commonest abdominal digestive surgical emergency, but its etiology is not clarified. Based on histologic observations, an allergic cause has been proposed. In a type I hypersensitivity allergic reaction, there is a Th2 immune response characterized by Th2 cells, eosinophils, basophils, IgE, IL-4, IL-5, and IL-13 serum elevation. Recent studies showed a local appendicular endoluminal and parietal Th2 immune response in acute phlegmonous appendicitis. We performed a prospective single-center study where we evaluated the Th2 blood immune response in 38 patients with acute phlegmonous appendicitis, 27 patients with acute gangrenous appendicitis, and 18 patients with the clinical picture of AA, who underwent appendectomy but had negative histology for AA (negative appendectomy group). Higher levels of basophils were found in phlegmonous appendicitis (p = 0.03), and higher levels of eosinophils were found in the control group (p = 0.003). Effector memory CD4 T cells re-expressing CD45RA were higher in gangrenous (p = 0.020) and central memory CD4 T cells in phlegmonous appendicitis (p = 0.004). The number of Th2 circulating cells was higher in gangrenous appendicitis (p = 0.037), while Th1 circulating cells were higher in phlegmonous appendicitis (p = 0.028). IL-4 blood concentrations were elevated in acute gangrenous appendicitis (p = 0.029). No significant differences were found in the levels of IgE, IL-5, or IL-13 in any of the groups. Thus, a Th2 response was not detected in patients’ serum with phlegmonous appendicitis. Serum levels of IgE, IL-5, and IL-13 were not different among patients with acute phlegmonous appendicitis, acute gangrenous appendicitis, and the negative appendectomy group. These findings are in contrast to our previous work in which we evaluated the Th2 response at the local level, at the appendicular luminal aspect and appendicular wall, in phlegmonous appendicitis and control groups, and we unequivocally showed a Th2 response in phlegmonous appendicitis. Thus, in patients with phlegmonous appendicitis, the local Th2 response is not reflected in the serum levels of immune cells and cytokines. Full article
(This article belongs to the Section Molecular Biology)
Show Figures

Figure 1

12 pages, 211 KB  
Case Report
Acute Medical Events in Adults with Profound Autism: A Review and Illustrative Case Series
by Heli Patel, Anamika L. Shrimali, Christopher J. McDougle and Hannah M. Carroll
Brain Sci. 2025, 15(7), 740; https://doi.org/10.3390/brainsci15070740 - 10 Jul 2025
Viewed by 1453
Abstract
Background: Autism spectrum disorder (ASD) is associated with social-communication challenges that can hinder timely diagnosis and treatment during acute medical events (AMEs). The purpose of this report is to review the literature on medical comorbidities and AMEs in adults with profound ASD [...] Read more.
Background: Autism spectrum disorder (ASD) is associated with social-communication challenges that can hinder timely diagnosis and treatment during acute medical events (AMEs). The purpose of this report is to review the literature on medical comorbidities and AMEs in adults with profound ASD and highlight how healthcare teams can better understand atypical presentations of acute pain and discomfort in adults with profound ASD to reduce delayed diagnoses, delays in treatment, and ultimately improve health outcomes. Methods: The literature on medical comorbidities and AMEs in adults with profound ASD was reviewed using the following databases: PubMed, PsycINFO, and Google Scholar. The histories of three adults with profound ASD who experienced AMEs—specifically, appendicitis, nephrolithiasis, and eosinophilic esophagitis (EoE)—are described. The clinical cases were selected to illustrate the challenges inherent in diagnosing and treating AMEs in adults with profound ASD in the context of the review. Results: In Case 1, a 31-year-old male with autism was diagnosed with perforated appendicitis after his family noticed behavioral changes. In Case 2, a 36-year-old male with autism experienced intermittent pain from nephrolithiasis and communicated his discomfort through irritability and pointing. In Case 3, a 34-year-old male with autism exhibited atypical behavior due to pain from undiagnosed EoE, identified after years of untreated pain and multiple unsuccessful clinical procedures. Conclusions: This review and the illustrative cases demonstrate the significant role that communication barriers play in delayed medical diagnoses for adults with profound ASD during AMEs. Integrating caregiver insights and recognizing atypical pain expressions are essential for improving the accuracy and timeliness of diagnosis and treatment in this population. Full article
11 pages, 925 KB  
Article
Management and Incidence of Enterobius vermicularis Infestation in Appendectomy Specimens: A Cross-Sectional Study of 6359 Appendectomies
by Zenon Pogorelić, Vlade Babić, Marko Bašković, Vladimir Ercegović and Ivana Mrklić
J. Clin. Med. 2024, 13(11), 3198; https://doi.org/10.3390/jcm13113198 - 29 May 2024
Cited by 9 | Viewed by 5489
Abstract
Background: The role of Enterobius vermicularis infestation in the context of appendicitis is largely overlooked, but Enterobius vermicularis is considered an unexpected and significant appendicectomy finding. The aim of this study was to investigate the frequency of Enterobius vermicularis findings in appendectomies and [...] Read more.
Background: The role of Enterobius vermicularis infestation in the context of appendicitis is largely overlooked, but Enterobius vermicularis is considered an unexpected and significant appendicectomy finding. The aim of this study was to investigate the frequency of Enterobius vermicularis findings in appendectomies and to evaluate the clinical and histopathologic features of patients with Enterobius vermicularis-associated acute appendicitis and those with appendiceal Enterobius vermicularis infestation. Methods: The medical records of all children who underwent an appendectomy in two large pediatric centers in Croatia between 1 January 2009 and 1 January 2024 were retrospectively reviewed. Of 6359 appendectomies, 61 (0.96%) children were diagnosed with Enterobius vermicularis on histopathology and included in further analysis. The groups were compared with regard to demographic characteristics, laboratory values, clinical features and histopathological findings. Results: The incidence of enterobiasis fluctuated slightly in the individual study years, but was constant overall. The median age of all patients was 11 years (IQR 8.5, 13), with females predominating (60.7%). Acute appendicitis was observed in 34% of the appendiceal species. The patients with Enterobius vermicularis infestation, without appendicitis, were younger (9 years (IQR 8, 13) vs. 12 years (IQR 10, 15); p = 0.020), had longer duration of symptoms (36 h (IQR, 12, 48) vs. 24 h (IQR, 12, 36); p = 0.034), lower body temperature (37 °C (IQR 36.8, 37.4) vs. 37.6 °C (IQR, 37, 38.6) p = 0.012), lower Appendicitis Inflammation Response (AIR) score (3 (IQR 2, 5) vs. 7 (IQR 5, 9.5) p < 0.001), lower incidence of rebound tenderness (57.1% vs. 20%; p = 0.003) and less frequent vomiting (12.5% vs. 47.6%; p = 0.004) compared to the patients with Enterobius vermicularis-associated acute appendicitis. Acute inflammatory markers in the laboratory showed significantly higher values in the group of patients with acute appendicitis: C-reactive protein (p = 0.009), White blood cells (p = 0.001) and neutrophils (p < 0.001). Eosinophilia was not found in any of the groups, although eosinophil counts were significantly higher in children who had Enterobius vermicularis infestation than in those with Enterobius vermicularis-related appendicitis (2.5% (IQR 0.9, 4.3) vs. 1.8% (IQR 0.7, 2.1); p = 0.040). Conclusions: Pediatric surgeons should consider Enterobius vermicularis infestation as a differential diagnosis when removing a vermiform appendix. Younger age, longer duration of symptoms, lower body temperature, lower AIR score, lower diameter of the appendix and normal laboratory inflammatory markers could predict Enterobius vermicularis infection in children presenting with right iliac fossa pain and avoid unnecessary appendectomy. Full article
(This article belongs to the Special Issue Update on the Diagnosis and Treatment of Appendicitis)
Show Figures

Figure 1

14 pages, 1016 KB  
Review
Compilation of Evidence Supporting the Role of a T Helper 2 Reaction in the Pathogenesis of Acute Appendicitis
by Nuno Carvalho, Ana Lúcia Barreira, Susana Henriques, Margarida Ferreira, Carlos Cardoso, Carlos Luz and Paulo Matos Costa
Int. J. Mol. Sci. 2024, 25(8), 4216; https://doi.org/10.3390/ijms25084216 - 11 Apr 2024
Cited by 3 | Viewed by 2890
Abstract
Despite being the most common abdominal surgical emergency, the cause of acute appendicitis (AA) remains unclear, since in recent decades little progress has been made regarding its etiology. Obstruction of the appendicular lumen has been traditionally presented as the initial event of AA; [...] Read more.
Despite being the most common abdominal surgical emergency, the cause of acute appendicitis (AA) remains unclear, since in recent decades little progress has been made regarding its etiology. Obstruction of the appendicular lumen has been traditionally presented as the initial event of AA; however, this is often the exception rather than the rule, as experimental data suggest that obstruction is not an important causal factor in AA, despite possibly occurring as a consequence of the inflammatory process. Type I hypersensitivity reaction has been extensively studied, involving Th2 lymphocytes, and cytokines such as IL-4, IL-5, IL-9 and IL-13, which have well-defined functions, such as a positive-feedback effect on Th0 for differentiating into Th2 cells, recruitment of eosinophils and the release of eosinophilic proteins and the production of IgE with the activation of mast cells, with the release of proteins from their granules. Cytotoxic activity and tissue damage will be responsible for the clinical manifestation of the allergy. AA histological features are similar to those found in allergic reactions like asthma. The intestine has all the components for an allergic immune response. It has contact with hundreds of antigens daily, most of them harmless, but some can potentially induce an allergic response. In recent years, researchers have been trying to assess if allergy is a component of AA, with their latest advances in the understanding of AA as a Th2 reaction shown by the authors of this article. Full article
Show Figures

Figure 1

17 pages, 1913 KB  
Article
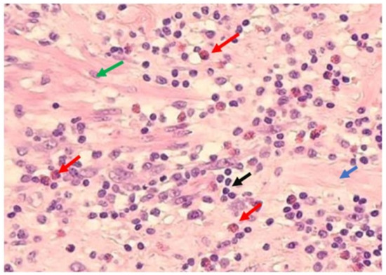
Eosinophil Granule Proteins Involvement in Acute Appendicitis—An Allergic Disease?
by Nuno Carvalho, Elisabete Carolino, Hélder Coelho, Ana Lúcia Barreira, Luísa Moreira, Margarida André, Susana Henriques, Carlos Cardoso, Luis Moita and Paulo Matos Costa
Int. J. Mol. Sci. 2023, 24(10), 9091; https://doi.org/10.3390/ijms24109091 - 22 May 2023
Cited by 8 | Viewed by 2728
Abstract
Several pieces of evidence point to an allergic component as a trigger of acute appendicitis. As the Th2 immune response is characterized by eosinophil mobilization to the target organ and release of their cationic granule proteins, it is reasonable to investigate if the [...] Read more.
Several pieces of evidence point to an allergic component as a trigger of acute appendicitis. As the Th2 immune response is characterized by eosinophil mobilization to the target organ and release of their cationic granule proteins, it is reasonable to investigate if the degranulation of eosinophils could be associated with the local injury. The primary aim of this study is to evaluate the participation of eosinophils granules proteins in acute appendicitis, both at local and systemic levels and the secondary aim is to evaluate the diagnostic accuracy of eosinophils granules proteins for the detection of acute appendicitis, as well as for distinguishing between complicated and uncomplicated acute appendicitis. Eosinophil-derived neurotoxin (EDN), eosinophil cationic protein (ECP) and eosinophil peroxidase (EP) are the most well-known eosinophil granule proteins. From August 2021 to April 2022, we present a prospective single-center study to evaluate the EDN, ECP, and EP concentrations simultaneously in appendicular lavage fluid (ALF) and the serum of 22 patients with acute phlegmonous appendicitis (APA), 24 with acute gangrenous appendicitis (AGA), and 14 normal controls. Concerning EDN, no differences were found between groups. ECP concentrations in ALF and serum were significantly higher in the histologically confirmed acute appendicitis compared to the control groups (p < 0.0001 and p < 0.0001, respectively). In ALF, no differences were found between ECP levels in APA: 38.85 ng/mL (IQR 26.50–51.77) and AGA 51.55 ng/mL (IQR 39.55–70.09) groups (p = 0.176). In the serum, no difference was found between ECP levels at APA: 39 ng/mL (IQR 21.30–56.90) and AGA: 51.30 ng/mL (IQR 20.25–62.59) (p = 0.100). For EP, the concentrations in ALF (p < 0.001) and serum (p < 0.001) were both higher in acute appendicitis compared to the control. In ALF, no difference was found between APA: 240.28 ng/mL (IQR 191.2–341.3) and AGA: 302.5 (IQR 227.7–535.85) (p = 0.236). In the serum, no differences were found between APA: 158.4 ng/mL (IQR 111.09–222.1) and AGA: 235.27 (IQR 192.33–262.51) (p = 0.179). Globally, the ALF concentrations were higher than serum concentrations, reflecting an intense inflammatory local reaction in AA. The optimal ECP cut-off for discriminating between acute appendicitis and the controls was >11.41 ng/mL, with a sensitivity of 93.5%, but with a specificity for identifying appendicitis of 21.4%, good discriminative power (AUC = 0.880). For EP, the optimal cut-off was >93.20 ng/mL, with a sensitivity of 87%, but with a specificity of 14.3% (AUC = 0.901), excellent discriminative power. For the diagnosis of perforated AA, the discriminative power of ECP and EP serum concentrations are weak (AUC = 0.562 and AUC = 0.664, respectively). Concerning the presence of peritonitis, the discriminative power of ECP and EP serum concentrations is acceptable, respectively: AUC = 0.724 and AUC = 0.735. Serum levels of EDN (p = 0.119), ECP (p = 0.586) and EP (p = 0.08) in complicated appendicitis were similar to uncomplicated appendicitis. Serum concentrations of ECP and EP can be added to decision-making AA diagnosis. A Th2-type immune response is present in AA. These data bring forward the role of an allergic reaction in the pathogenesis of acute appendicitis. Full article
(This article belongs to the Collection Feature Papers in “Molecular Biology”)
Show Figures

Figure 1

12 pages, 2455 KB  
Article
IL-5 Serum and Appendicular Lavage Fluid Concentrations Correlate with Eosinophilic Infiltration in the Appendicular Wall Supporting a Role for a Hypersensitivity Type I Reaction in Acute Appendicitis
by Nuno Carvalho, Elisabete Carolino, Hélder Coelho, Ana Cóias, Madalena Trindade, João Vaz, Brigitta Cismasiu, Catarina Moita, Luis Moita and Paulo Matos Costa
Int. J. Mol. Sci. 2022, 23(23), 15086; https://doi.org/10.3390/ijms232315086 - 1 Dec 2022
Cited by 13 | Viewed by 2885
Abstract
Appendicitis is the most common abdominal surgical emergency, but its aetiology is not fully understood. We and others have proposed that allergic responses play significant roles in its pathophysiology. Eosinophils and Interleukin (IL)-5 are involved in a hypersensitivity type I reaction. Eosinophil infiltration [...] Read more.
Appendicitis is the most common abdominal surgical emergency, but its aetiology is not fully understood. We and others have proposed that allergic responses play significant roles in its pathophysiology. Eosinophils and Interleukin (IL)-5 are involved in a hypersensitivity type I reaction. Eosinophil infiltration is common in the allergic target organ and is dependent on IL-5. In the presence of an allergic component, it is expected that the eosinophil count and IL-5 local and systemic concentrations become elevated. To address this hypothesis, we designed a prospective study that included 65 patients with acute appendicitis (grouped as acute phlegmonous or gangrenous according to the histological definition) and 18 patients with the clinical diagnosis of acute appendicitis, but with normal histological findings (control group) were enrolled. Eosinophil blood counts and appendicular wall eosinophil infiltration were determined. IL-5 levels in blood and appendicular lavage fluid were evaluated. Appendicular lavage fluid was collected by a new methodology developed and standardized by our group. Appendicular wall eosinophil infiltration was higher in acute phlegmonous appendicitis than in gangrenous appendicitis (p = 0.000). IL-5 blood levels were similar in both pathologic and control groups (p > 0.05). In the appendicular lavage fluid, the higher levels of IL-5 were observed in the phlegmonous appendicitis group (p = 0.056). We found a positive correlation between the appendicular wall eosinophilic infiltration and the IL-5 concentrations, in both the blood and the appendicular lavage fluid, supporting the IL-5 reliance in eosinophil local infiltration. We observed the highest presence of eosinophils at phlegmonous appendicitis walls. In conclusion, the present data are compatible with a hypersensitivity type I allergic reaction in the target organ, the appendix, during the phlegmonous phase of appendicitis. Full article
(This article belongs to the Section Molecular Biology)
Show Figures

Figure 1

3 pages, 359 KB  
Case Report
Acute Eosinophilic Appendicitis after Generalized Skin Reaction Due to Unknown Cause in a Child: Case Report and Literature Review
by Maria Aggelidou, Katerina Kambouri, Maria Kouroupi, Dimitrios Cassimos, Soultana Foutzitzi and Savas Deftereos
Clin. Pract. 2019, 9(3), 1177; https://doi.org/10.4081/cp.2019.1177 - 16 Sep 2019
Cited by 3 | Viewed by 1450
Abstract
Acute eosinophilic appendicitis (AEA) is a rare variant of appendix inflammation possibly linked to allergy. Histopathological evidence of eosinophilic infiltration of the muscularis propria and edema separating the muscle fibers is the gold standard for the diagnosis. Here, we report a case of [...] Read more.
Acute eosinophilic appendicitis (AEA) is a rare variant of appendix inflammation possibly linked to allergy. Histopathological evidence of eosinophilic infiltration of the muscularis propria and edema separating the muscle fibers is the gold standard for the diagnosis. Here, we report a case of a young boy with AEA following a skin reaction of possible allergic origin. A 6-year-old male was presented to the emergency department with a two-day diffuse abdominal pain and tenderness in the right lower quadrant. A possible allergic reaction had occurred five days before as a pruritic rash. There was no history of allergy and the stool examination was negative for parasites. The initial diagnosis was acute appendicitis, and appendectomy was performed. The histopathological diagnosis was AEA. Further studies on the proper diagnostic and treatment approach of AEA before surgery are required. Full article
Back to TopTop