Sign in to use this feature.

Years

Between: -

Subjects

remove_circle_outline
remove_circle_outline
remove_circle_outline
remove_circle_outline

Journals

Article Types

Countries / Regions

Search Results (4)

Search Parameters:
Keywords = PirABVP toxins

Order results
Result details
Results per page
Select all
Export citation of selected articles as:
18 pages, 1208 KB  
Review
New Insights into the Mechanism of Action of PirAB from Vibrio Parahaemolyticus
by Sonia A. Soto-Rodriguez, Rodolfo Lozano-Olvera, Gabriela Ramos-Clamont Montfort, Edgar Zenteno, José Luis Sánchez-Salgado, Norberto Vibanco-Pérez and Karla G. Aguilar Rendón
Toxins 2022, 14(4), 243; https://doi.org/10.3390/toxins14040243 - 30 Mar 2022
Cited by 39 | Viewed by 8786
Abstract
PirAB toxins secreted by Vibrio parahaemolyticus (Vp) harbor the pVA1 virulence plasmid, which causes acute hepatopancreatic necrosis disease (AHPND), an emerging disease in Penaeid shrimp that can cause 70–100% mortality and that has resulted in great economic losses since its first [...] Read more.
PirAB toxins secreted by Vibrio parahaemolyticus (Vp) harbor the pVA1 virulence plasmid, which causes acute hepatopancreatic necrosis disease (AHPND), an emerging disease in Penaeid shrimp that can cause 70–100% mortality and that has resulted in great economic losses since its first appearance. The cytotoxic effect of PirABVp on the epithelial cells of the shrimp hepatopancreas (Hp) has been extensively documented. New insights into the biological role of the PirBVp subunit show that it has lectin-like activity and recognizes mucin-like O-glycosidic structures in the shrimp Hp. The search for toxin receptors can lead to a better understanding of the infection mechanisms of the pathogen and the prevention of the host disease by blocking toxin–receptor interactions using a mimetic antagonist. There is also evidence that Vp AHPND changes the community structure of the microbiota in the surrounding water, resulting in a significant reduction of several bacterial taxa, especially Neptuniibacter spp. Considering these findings, the PirABvp toxin could exhibit a dual role of damaging the shrimp Hp while killing the surrounding bacteria. Full article
Show Figures

Figure 1

13 pages, 3102 KB  
Article
A Mutant of Vibrio parahaemolyticus pirABVP (+) That Carries Binary Toxin Genes but Does Not Cause Acute Hepatopancreatic Necrosis Disease
by Luis Fernando Aranguren Caro, Hung N. Mai, Siddhartha Kanrar, Roberto Cruz-Flores and Arun K. Dhar
Microorganisms 2020, 8(10), 1549; https://doi.org/10.3390/microorganisms8101549 - 8 Oct 2020
Cited by 12 | Viewed by 5735
Abstract
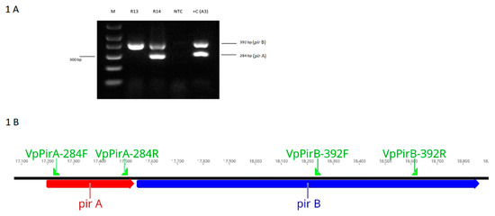
Vibrio parahaemolyticus carrying binary toxin genes, pirAB, is one of the etiological agents causing acute hepatopancreatic necrosis disease (AHPND) in shrimp. This disease has emerged recently as a major threat to shrimp aquaculture worldwide. During a routine PCR screening of AHPND-causing V. [...] Read more.
Vibrio parahaemolyticus carrying binary toxin genes, pirAB, is one of the etiological agents causing acute hepatopancreatic necrosis disease (AHPND) in shrimp. This disease has emerged recently as a major threat to shrimp aquaculture worldwide. During a routine PCR screening of AHPND-causing V. parahaemolyticus strains, an isolate tested PCR positive for pirB (R13) and another isolate tested positive for both the pirA and pirB (R14) genes. To evaluate the pathogenicity of these isolates, specific pathogen-free (SPF) Penaeus vannamei were experimentally challenged. For both R13 and R14 isolates, the final survival rate was 100% at termination of the challenge, whereas the final survival with the AHPND-causing V. parahaemolyticus was 0%. The nucleotide sequence of the plasmid DNA carrying the binary toxin genes revealed that R13 contains a deletion of the entire pirA gene whereas R14 contains the entire coding regions of both pirA and pirB genes. However, R14 possesses an insertion upstream of the pirA gene. In R14, mRNA for both pirA and pirB genes could be detected but no cognate proteins. This shows that the genome of AHPND-causing V. parahaemolyticus is highly plastic and, therefore, detection of the pirA and pirB genes alone by DNA-PCR is insufficient as a diagnostic test for AHPND. Full article
(This article belongs to the Section Gut Microbiota)
Show Figures

Figure 1

15 pages, 1712 KB  
Article
The B Subunit of PirABvp Toxin Secreted from Vibrio parahaemolyticus Causing AHPND Is an Amino Sugar Specific Lectin
by Marcelo Victorio-De Los Santos, Norberto Vibanco-Pérez, Sonia Soto-Rodriguez, Ali Pereyra, Edgar Zenteno and Patricia Cano-Sánchez
Pathogens 2020, 9(3), 182; https://doi.org/10.3390/pathogens9030182 - 3 Mar 2020
Cited by 20 | Viewed by 5457
Abstract
Vibrio parahaemolyticus (Vp) is the etiological agent of the acute hepatopancreatic necrosis disease (AHPND) in Penaeus vannamei shrimp. Vp possesses a 63–70 kb conjugative plasmid that encodes the binary toxin PirAvp/PirBvp. The 250 kDa PirABvp complex [...] Read more.
Vibrio parahaemolyticus (Vp) is the etiological agent of the acute hepatopancreatic necrosis disease (AHPND) in Penaeus vannamei shrimp. Vp possesses a 63–70 kb conjugative plasmid that encodes the binary toxin PirAvp/PirBvp. The 250 kDa PirABvp complex was purified by affinity chromatography with galactose-sepharose 4B and on a stroma from glutaraldehyde-fixed rat erythrocytes column, as a heterotetramer of PirAvp and PirBvp subunits. In addition, recombinant pirB (rPirBvp) and pirA (rPirAvp) were obtained. The homogeneity of the purified protein was determined by SDS-PAGE analysis, and the yield of protein was 488 ng/100 μg of total protein of extracellular products. The PirABvp complex and the rPirBvp showed hemagglutinating activity toward rat erythrocytes. The rPirAvp showed no hemagglutinating capacity toward the animal red cells tested. Among different mono and disaccharides tested, only GalNH2 and GlcNH2 were able to inhibit hemagglutination of the PirABvp complex and the rPirBvp. Glycoproteins showed inhibitory specificity, and fetuin was the glycoprotein that showed the highest inhibition. Other glycoproteins, such as mucin, and glycosaminoglycans, such as heparin, also inhibited the activity. Desialylation of erythrocytes enhanced the hemagglutinating activity. This confirms that Gal or Gal (β1,4) GlcNAc are the main ligands for PirABvp. The agglutinating activity of the PirABvp complex and the rPirBvp is not dependent on cations, because addition of Mg2+ or Ca2+ showed no effect on the protein capacity. Our results strongly suggest that the PirBvp subunit is a lectin, which is part of the PirA/PirBvp complex, and it seems to participate in bacterial pathogenicity. Full article
(This article belongs to the Special Issue Emerging Infectious Diseases in Aquaculture)
Show Figures

Figure 1

14 pages, 4810 KB  
Article
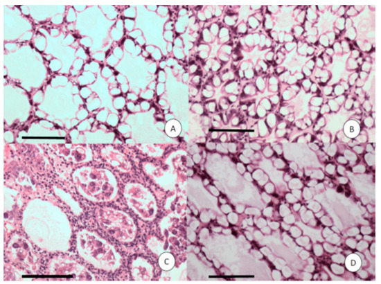
PirABVP Toxin Binds to Epithelial Cells of the Digestive Tract and Produce Pathognomonic AHPND Lesions in Germ-Free Brine Shrimp
by Vikash Kumar, Lobke De Bels, Liesbeth Couck, Kartik Baruah, Peter Bossier and Wim Van den Broeck
Toxins 2019, 11(12), 717; https://doi.org/10.3390/toxins11120717 - 9 Dec 2019
Cited by 50 | Viewed by 6936
Abstract
Acute hepatopancreatic necrosis disease (AHPND), a newly emergent farmed penaeid shrimp bacterial disease originally known as early mortality syndrome (EMS), is causing havoc in the shrimp industry. The causative agent of AHPND was found to be a specific strain of bacteria, e.g., Vibrio [...] Read more.
Acute hepatopancreatic necrosis disease (AHPND), a newly emergent farmed penaeid shrimp bacterial disease originally known as early mortality syndrome (EMS), is causing havoc in the shrimp industry. The causative agent of AHPND was found to be a specific strain of bacteria, e.g., Vibrio and Shewanella sps., that contains pVA1 plasmid (63–70 kb) encoding the binary PirAVP and PirBVP toxins. The PirABVP and toxins are the primary virulence factors of AHPND-causing bacteria that mediates AHPND and mortality in shrimp. Hence, in this study using a germ-free brine shrimp model system, we evaluated the PirABVP toxin-mediated infection process at cellular level, including toxin attachment and subsequent toxin-induced damage to the digestive tract. The results showed that, PirABVP toxin binds to epithelial cells of the digestive tract of brine shrimp larvae and produces characteristic symptoms of AHPND. In the PirABVP-challenged brine shrimp larvae, shedding or sloughing of enterocytes in the midgut and hindgut regions was regularly visualized, and the intestinal lumen was filled with moderately electron-dense cells of variable shapes and sizes. In addition, the observed cellular debris in the intestinal lumen of the digestive tract was found to be of epithelial cell origin. The detailed morphology of the digestive tract demonstrates further that the PirABVP toxin challenge produces focal to extensive necrosis and damages epithelial cells in the midgut and hindgut regions, resulting in pyknosis, cell vacuolisation, and mitochondrial and rough endoplasmic reticulum (RER) damage to different degrees. Taken together, our study provides substantial evidence that PirABVP toxins bind to the digestive tract of brine shrimp larvae and seem to be responsible for generating characteristic AHPND lesions and damaging enterocytes in the midgut and hindgut regions. Full article
(This article belongs to the Section Bacterial Toxins)
Show Figures

Figure 1

Back to TopTop