Sign in to use this feature.

Years

Between: -

Subjects

remove_circle_outline
remove_circle_outline
remove_circle_outline
remove_circle_outline
remove_circle_outline

Journals

Article Types

Countries / Regions

Search Results (15)

Search Parameters:
Keywords = Masquelet induced membrane

Order results
Result details
Results per page
Select all
Export citation of selected articles as:
13 pages, 3669 KB  
Article
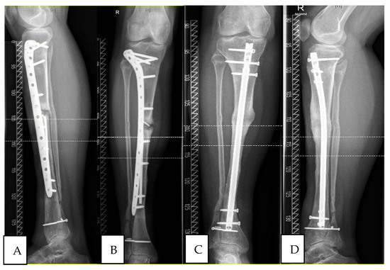
The “Bone Block Technique”: Reconstruction of Bone Defects Caused by Osteomyelitis Using Corticocancellous Bone Blocks from the Iliac Crest and the Induced Membrane Technique
by Marc Hückstädt, Christian Fischer, Alexander Weissmann, Steffen Langwald, Patrick Schröter, Friederike Klauke, Thomas Mendel, Gunther O. Hofmann, Philipp Kobbe and Sandra Schipper
Life 2025, 15(9), 1340; https://doi.org/10.3390/life15091340 - 25 Aug 2025
Viewed by 1060
Abstract
Background: The Induced Membrane Technique (IMT), commonly known as the Masquelet Technique (MT), has shown promising results in the reconstruction of bone defects caused by osteomyelitis. However, it is not a standardized surgical protocol but a treatment concept that has undergone various modifications, [...] Read more.
Background: The Induced Membrane Technique (IMT), commonly known as the Masquelet Technique (MT), has shown promising results in the reconstruction of bone defects caused by osteomyelitis. However, it is not a standardized surgical protocol but a treatment concept that has undergone various modifications, often yielding heterogeneous outcomes. Methods: This retrospective, single-center clinical cohort study included 49 patients treated with the Bone Block Technique (BBT) between 2013 and 2019 for bone defects resulting from osteomyelitis. The primary outcomes were time to bone healing, reinfection rate, and time to full weight-bearing. Additionally, infectious disease parameters, surgical site complications (SSCs), and epidemiological data were evaluated. Results: Data from 49 patients (mean age: 51 years, range: 17.6–76.9; 28.6% female) were analyzed, with a mean follow-up of 6.1 years (range: 4–10.5). The average bone defect length was 4.2 cm (range: 2.1–8.4 cm), predominantly involving the lower extremity. Primary bone consolidation was achieved in 93%, and secondary consolidation (requiring additional surgery) in 7%. Revision surgery due to recurrent infection was necessary in 16.6% of cases. The average time to full weight-bearing was 101.3 days. Conclusions: The BBT, as a modified approach based on the original IMT, represents a viable and reproducible option for bone defect reconstruction. When applied in accordance with the principles of the Diamond Concept, this technique facilitates reliable primary consolidation with a low complication rate. Full article
(This article belongs to the Section Medical Research)
Show Figures

Figure 1

15 pages, 7953 KB  
Case Report
The Use of the Masquelet Technique in the Treatment of Pathological Distal Third Femoral Fracture Secondary to Chronic Osteomyelitis
by Razvan Cosmin Tudor, Daniel Vasile Timofte, Norin Forna, Oana Viola Badulescu, Liliana Savin, Tudor Pinteala, Dan Mihailescu, Tudor Ciobotariu, Alin Ciobica, Mihnea Theodor Sirbu, Paul Dan Sirbu, Serban Dragosloveanu, Bogdan Sorin Capitanu, Romica Cergan and Cristian Scheau
Life 2025, 15(4), 537; https://doi.org/10.3390/life15040537 - 25 Mar 2025
Viewed by 1737
Abstract
Introduction: Chronic osteomyelitis is a persistent infection of the bone that poses significant challenges, particularly when associated with pathological fractures and extensive bone defects. This case report highlights the application of Masquelet’s induced membrane technique (MIMT) in managing a complex distal femur defect [...] Read more.
Introduction: Chronic osteomyelitis is a persistent infection of the bone that poses significant challenges, particularly when associated with pathological fractures and extensive bone defects. This case report highlights the application of Masquelet’s induced membrane technique (MIMT) in managing a complex distal femur defect in a 50-year-old male with a long-standing history of chronic osteomyelitis. The patient presented with a non-union fracture, severe osseous destruction, and infection, requiring a multidisciplinary approach. Case report: The first stage involved radical debridement of necrotic tissue and stabilization with a titanium plate and an antibiotic-impregnated polymethylmethacrylate spacer to induce a bioactive membrane. The second stage, performed 30 days later, after infection resolution, entailed removing the spacer, harvesting an autologous iliac crest bone graft, and filling the defect within the preserved membrane. Postoperative care included a tailored antibiotic regimen and gradual weight-bearing, leading to favorable clinical and radiological outcomes. Conclusions: This case demonstrates the utility of MIMT in reconstructing extensive bone defects while addressing infection. The technique provides a reliable and effective alternative to amputation, offering high success rates and functional restoration in complex cases. Full article
(This article belongs to the Section Medical Research)
Show Figures

Figure 1

10 pages, 6393 KB  
Article
Introducing the Pearl-String Technique: A New Concept in the Treatment of Large Bone Defects
by Christian Fischer, Steffen Langwald, Friederike Klauke, Philipp Kobbe, Thomas Mendel and Marc Hückstädt
Life 2025, 15(3), 414; https://doi.org/10.3390/life15030414 - 7 Mar 2025
Cited by 1 | Viewed by 1368
Abstract
The reconstruction of long bone defects after the primary traumatic, secondary infectious, or tumor-related loss of substance continues to represent a surgical challenge. Distraction osteogenesis using segmental transport, vascularized bone transfer, and the induced membrane technique (IMT) are established methods of reconstruction. IMT [...] Read more.
The reconstruction of long bone defects after the primary traumatic, secondary infectious, or tumor-related loss of substance continues to represent a surgical challenge. Distraction osteogenesis using segmental transport, vascularized bone transfer, and the induced membrane technique (IMT) are established methods of reconstruction. IMT has become increasingly popular in recent decades due to its practicability, reproducibility, and reliability. At the same time, the original technique has undergone numerous modifications. The results are correspondingly heterogeneous. This article is intended to provide an overview of the current principles and modifications of IMT, outline the causes of failure of the IMT, and introduce the pearl-string technique (PST). The PST developed in our hospital is based on the pearl-string-like arrangement of thermodisinfected, decorticated femoral heads (TDFHs) in combination with a mechanically stable osteosynthetic construct. The TDFHs are biologically activated with either an RIA or autologous iliac crest bone graft. To gain a better understanding of these variations, the surgical technique of both procedures is illustrated step-by-step in this article. Full article
(This article belongs to the Special Issue Reconstruction of Bone Defects)
Show Figures

Figure 1

13 pages, 6421 KB  
Article
Clinical Observations of the Effectiveness of the Masquelet Induced Membrane Technique in the Treatment of Critical Long-Bone Defects of the Lower and Upper Extremities
by Kamil Kołodziejczyk, Aleksander Ropielewski, Rafał Garlewicz, Marcin Złotorowicz and Jarosław Czubak
Medicina 2024, 60(12), 1933; https://doi.org/10.3390/medicina60121933 - 24 Nov 2024
Cited by 4 | Viewed by 3908
Abstract
Background and Objectives: Successful treatment of severe trauma and fractures of the long bones with successful healing and bone union is still a significant challenge for surgeons. Unfortunately, up to 10% of long-bone fractures develop bone healing disorders. The aim of this study [...] Read more.
Background and Objectives: Successful treatment of severe trauma and fractures of the long bones with successful healing and bone union is still a significant challenge for surgeons. Unfortunately, up to 10% of long-bone fractures develop bone healing disorders. The aim of this study was to evaluate the results of treating bone defects with different etiologies in the upper and lower extremities using the induced membrane technique. Materials and Methods: We prospectively evaluated the radiological and clinical outcomes of 45 patients with severe bone defects treated with the induced membrane technique during the period from May 2021 to October 2023. The time to bone defect regeneration, size of the bone defect, and the cost of treatment were evaluated. Functional outcomes were assessed using the Disabilities of the Arm Shoulder and Hand (DASH) scale, SF-36, and the Lower Limb Functional Index (LLFI). Results: The mean follow-up time was 31 months (12–35). There were 20 patients with upper extremity bone defects and 25 with lower extremity bone defects. The mean defect length was 7.9 cm for the upper extremity (3.5–18) and 5.3 cm for the lower extremity (3–11). The mean times to achieve bone union and remodeling were 6.0 months (3–12) and 9 months (3–13) for the upper and lower limbs, respectively. Clinical evaluation at the end of treatment (achieving bone union) showed statistically significant improvements in the DASH, SF-36, and LLFI scales for pre- and postoperative outcomes. There was no statistical significance in the SF-36 clinical scale scores after surgical treatment compared to reconstructive treatment of upper and lower extremity bone defects. Results: The presented reconstructive approach to the treatment of bone defects and healing disorders and extensive analysis demonstrate the effectiveness of the induced membrane technique in a short follow-up period, with a relatively high level of patient comfort and good clinical results in the treatment of severe bone defects with particularly infectious etiologies. Full article
Show Figures

Figure 1

15 pages, 4536 KB  
Review
Human Acellular Collagen Matrices—Clinical Opportunities in Tissue Replacement
by René D. Verboket, Dirk Henrich, Maren Janko, Katharina Sommer, Jonas Neijhoft, Nicolas Söhling, Birte Weber, Johannes Frank, Ingo Marzi and Christoph Nau
Int. J. Mol. Sci. 2024, 25(13), 7088; https://doi.org/10.3390/ijms25137088 - 28 Jun 2024
Cited by 8 | Viewed by 3240
Abstract
The field of regenerative medicine is increasingly in need of effective and biocompatible materials for tissue engineering. Human acellular dermal matrix (hADM)-derived collagen matrices stand out as a particularly promising candidate. Their ability to preserve structural integrity, coupled with exceptional biocompatibility, positions them [...] Read more.
The field of regenerative medicine is increasingly in need of effective and biocompatible materials for tissue engineering. Human acellular dermal matrix (hADM)-derived collagen matrices stand out as a particularly promising candidate. Their ability to preserve structural integrity, coupled with exceptional biocompatibility, positions them as a viable choice for tissue replacement. However, their clinical application has been largely confined to serving as scaffolds. This study aims to expand the horizon of clinical uses for collagen sheets by exploring the diverse cutting-edge clinical demands. This review illustrates the clinical utilizations of collagen sheets beyond traditional roles, such as covering skin defects or acting solely as scaffolds. In particular, the potential of Epiflex®, a commercially available and immediately clinically usable allogeneic membrane, will be evaluated. Collagen sheets have demonstrated efficacy in bone reconstruction, where they can substitute the induced Masquelet membrane in a single-stage procedure, proving to be clinically effective and safe. The application of these membranes allow the reconstruction of substantial tissue defects, without requiring extensive plastic reconstructive surgery. Additionally, they are found to be apt for addressing osteochondritis dissecans lesions and for ligament reconstruction in the carpus. The compelling clinical examples showcased in this study affirm that the applications of human ADM extend significantly beyond its initial use for skin defect treatments. hADM has proven to be highly successful and well-tolerated in managing various etiologies of bone and soft tissue defects, enhancing patient care outcomes. In particular, the application from the shelf reduces the need for additional surgery or donor site defects. Full article
(This article belongs to the Special Issue Application of Biomolecular Materials in Tissue Engineering)
Show Figures

Figure 1

14 pages, 4448 KB  
Article
The Impact of Defect Size on Bone Healing in Critical-Size Bone Defects Investigated on a Rat Femur Defect Model Comparing Two Treatment Methods
by Andreas Kammerer, Frederik Alexander Hartmann, Christoph Nau, Maximilian Leiblein, Alexander Schaible, Jonas Neijhoft, Dirk Henrich, René Verboket and Maren Janko
Bioengineering 2024, 11(3), 287; https://doi.org/10.3390/bioengineering11030287 - 19 Mar 2024
Cited by 11 | Viewed by 4818
Abstract
Critical-size bone defects up to 25 cm can be treated successfully using the induced membrane technique established by Masquelet. To shorten this procedure, human acellular dermis (HAD) has had success in replacing this membrane in rat models. The aim of this study was [...] Read more.
Critical-size bone defects up to 25 cm can be treated successfully using the induced membrane technique established by Masquelet. To shorten this procedure, human acellular dermis (HAD) has had success in replacing this membrane in rat models. The aim of this study was to compare bone healing for smaller and larger defects using an induced membrane and HAD in a rat model. Using our established femoral defect model in rats, the animals were placed into four groups and defects of 5 mm or 10 mm size were set, either filling them with autologous spongiosa and surrounding the defect with HAD or waiting for the induced membrane to form around a cement spacer and filling this cavity in a second operation with a cancellous bone graft. Healing was assessed eight weeks after the operation using µ-CT, histological staining, and an assessment of the progress of bone formation using an established bone healing score. The α-smooth muscle actin used as a signal of blood vessel formation was stained and counted. The 5 mm defects showed significantly better bone union and a higher bone healing score than the 10 mm defects. HAD being used for the smaller defects resulted in a significantly higher bone healing score even than for the induced membrane and significantly higher blood vessel formation, corroborating the good results achieved by using HAD in previous studies. In comparison, same-sized groups showed significant differences in bone healing as well as blood vessel formation, suggesting that 5 mm defects are large enough to show different results in healing depending on treatment; therefore, 5 mm is a viable size for further studies on bone healing. Full article
(This article belongs to the Special Issue Biomaterials for Bone Repair and Regeneration)
Show Figures

Figure 1

6 pages, 262 KB  
Editorial
Questions about Using the Induced Membrane Technique to Manage Cases of Congenital Tibial Pseudarthrosis
by Céline Klein, Florelle Gindraux, Alain-Charles Masquelet, Romuald Mentaverri and Richard Gouron
Cells 2023, 12(14), 1918; https://doi.org/10.3390/cells12141918 - 24 Jul 2023
Viewed by 1943
Abstract
The induced membrane technique is an innovative approach for repairing critical bone defects and has been applied recently in patients with congenital pseudarthrosis of the tibia (CPT). CPT is frequently associated with neurofibromatosis type 1 (NF1). Here, we briefly describe the clinical results [...] Read more.
The induced membrane technique is an innovative approach for repairing critical bone defects and has been applied recently in patients with congenital pseudarthrosis of the tibia (CPT). CPT is frequently associated with neurofibromatosis type 1 (NF1). Here, we briefly describe the clinical results of the induced membrane technique in NF1-deficient patients with CPT and in an animal model of CPT. Furthermore, we discuss the hypotheses used to explain inconsistent outcomes for the induced membrane technique in CPT–especially when associated with NF1. Full article
(This article belongs to the Special Issue Mineralized Tissues Repair and Regeneration 2.0)
17 pages, 3471 KB  
Article
Influence of the Immune Microenvironment Provided by Implanted Biomaterials on the Biological Properties of Masquelet-Induced Membranes in Rats: Metakaolin as an Alternative Spacer
by Marjorie Durand, Myriam Oger, Krisztina Nikovics, Julien Venant, Anne-Cecile Guillope, Eugénie Jouve, Laure Barbier, Laurent Bégot, Florence Poirier, Catherine Rousseau, Olivier Pitois, Laurent Mathieu, Anne-Laure Favier, Didier Lutomski and Jean-Marc Collombet
Biomedicines 2022, 10(12), 3017; https://doi.org/10.3390/biomedicines10123017 - 23 Nov 2022
Cited by 5 | Viewed by 2458
Abstract
Macrophages play a key role in the inflammatory phase of wound repair and foreign body reactions—two important processes in the Masquelet-induced membrane technique for extremity reconstruction. The macrophage response depends largely on the nature of the biomaterials implanted. However, little is known about [...] Read more.
Macrophages play a key role in the inflammatory phase of wound repair and foreign body reactions—two important processes in the Masquelet-induced membrane technique for extremity reconstruction. The macrophage response depends largely on the nature of the biomaterials implanted. However, little is known about the influence of the macrophage microenvironment on the osteogenic properties of the induced membrane or subsequent bone regeneration. We used metakaolin, an immunogenic material, as an alternative spacer to standard polymethylmethacrylate (PMMA) in a Masquelet model in rats. Four weeks after implantation, the PMMA- and metakaolin-induced membranes were harvested, and their osteogenic properties and macrophage microenvironments were investigated by histology, immunohistochemistry, mass spectroscopy and gene expression analysis. The metakaolin spacer induced membranes with higher levels of two potent pro-osteogenic factors, transforming growth factor-β (TGF-β) and bone morphogenic protein-2 (BMP-2). These alternative membranes thus had greater osteogenic activity, which was accompanied by a significant expansion of the total macrophage population, including both the M1-like and M2-like subtypes. Microcomputed tomographic analysis showed that metakaolin-induced membranes supported bone regeneration more effectively than PMMA-induced membranes through better callus properties (+58%), although this difference was not significant. This study provides the first evidence of the influence of the immune microenvironment on the osteogenic properties of the induced membranes. Full article
Show Figures

Figure 1

20 pages, 8139 KB  
Technical Note
Macrophages Characterization in an Injured Bone Tissue
by Krisztina Nikovics, Marjorie Durand, Cédric Castellarin, Julien Burger, Emma Sicherre, Jean-Marc Collombet, Myriam Oger, Xavier Holy and Anne-Laure Favier
Biomedicines 2022, 10(6), 1385; https://doi.org/10.3390/biomedicines10061385 - 11 Jun 2022
Cited by 7 | Viewed by 3081
Abstract
Biomaterial use is a promising approach to facilitate wound healing of the bone tissue. Biomaterials induce the formation of membrane capsules and the recruitment of different types of macrophages. Macrophages are immune cells that produce diverse combinations of cytokines playing an important role [...] Read more.
Biomaterial use is a promising approach to facilitate wound healing of the bone tissue. Biomaterials induce the formation of membrane capsules and the recruitment of different types of macrophages. Macrophages are immune cells that produce diverse combinations of cytokines playing an important role in bone healing and regeneration, but the exact mechanism remains to be studied. Our work aimed to identify in vivo macrophages in the Masquelet induced membrane in a rat model. Most of the macrophages in the damaged area were M2-like, with smaller numbers of M1-like macrophages. In addition, high expression of IL-1β and IL-6 cytokines were detected in the membrane region by RT-qPCR. Using an innovative combination of two hybridization techniques (in situ hybridization and in situ hybridization chain reaction (in situ HCR)), M2b-like macrophages were identified for the first time in cryosections of non-decalcified bone. Our work has also demonstrated that microspectroscopical analysis is essential for macrophage characterization, as it allows the discrimination of fluorescence and autofluorescence. Finally, this work has revealed the limitations of immunolabelling and the potential of in situ HCR to provide valuable information for in vivo characterization of macrophages. Full article
Show Figures

Figure 1

17 pages, 60626 KB  
Article
The Induced Membrane Technique—The Filling Matters: Evaluation of Different Forms of Membrane Filling with and without Bone Marrow Mononuclear Cells (BMC) in Large Femoral Bone Defects in Rats
by René D. Verboket, Nicolas Söhling, Myriam Heilani, Charlotte Fremdling, Alexander Schaible, Katrin Schröder, Jan C. Brune, Ingo Marzi and Dirk Henrich
Biomedicines 2022, 10(3), 642; https://doi.org/10.3390/biomedicines10030642 - 10 Mar 2022
Cited by 7 | Viewed by 3082
Abstract
The Masquelet technique is used to treat large bone defects; it is a two-stage procedure based on an induced membrane. To improve the induced membrane process, demineralized bone matrix in granular (GDBM) and fibrous form (f-DBM) was tested with and without bone marrow [...] Read more.
The Masquelet technique is used to treat large bone defects; it is a two-stage procedure based on an induced membrane. To improve the induced membrane process, demineralized bone matrix in granular (GDBM) and fibrous form (f-DBM) was tested with and without bone marrow mononuclear cells (BMC) as filling of the membrane against the gold standard filling with syngeneic cancellous bone (SCB). A total of 65 male Sprague–Dawley rats obtained a 5 mm femoral defect. These defects were treated with the induced membrane technique and filled with SCB, GDBM, or f-DBM, with or without BMC. After a healing period of eight weeks, the femurs were harvested and submitted for histological, radiological, and biomechanical analyses. The fracture load in the defect zone was lower compared to SCB in all groups. However, histological analysis showed comparable new bone formation, bone mineral density, and cartilage proportions and vascularization. The results suggest that f-DBM in combination with BMC and the induced membrane technique cannot reproduce the very good results of this material in large, non-membrane coated bone defects, nevertheless it supports the maturation of new bone tissue locally. It can be concluded that BMC should be applied in lower doses and inflammatory cells should be removed from the cell preparation before implantation. Full article
Show Figures

Figure 1

10 pages, 4868 KB  
Article
Preliminary Results of the “Capasquelet” Technique for Managing Femoral Bone Defects—Combining a Masquelet Induced Membrane and Capanna Vascularized Fibula with an Allograft
by Alexis Combal, François Thuau, Alban Fouasson-Chailloux, Pierre-Paul Arrigoni, Marc Baud’huin, Franck Duteille and Vincent Crenn
J. Pers. Med. 2021, 11(8), 774; https://doi.org/10.3390/jpm11080774 - 9 Aug 2021
Cited by 12 | Viewed by 4605
Abstract
We describe the preliminary results of a novel two-stage reconstruction technique for extended femoral bone defects using an allograft in accordance with the Capanna technique with an embedded vascularized fibula graft in an induced membrane according to the Masquelet technique. We performed what [...] Read more.
We describe the preliminary results of a novel two-stage reconstruction technique for extended femoral bone defects using an allograft in accordance with the Capanna technique with an embedded vascularized fibula graft in an induced membrane according to the Masquelet technique. We performed what we refer to as “Capasquelet” surgery in femoral diaphyseal bone loss of at least 10 cm. Four patients were operated on using this technique: two tumors and two traumatic bone defects in a septic context with a minimum follow up of one year. Consolidation on both sides, when achieved, occurred at 5.5 months (4–7), with full weight-bearing at 11 weeks (8–12). The functional scores were satisfactory with an EQ5D of 63.3 (45–75). The time to bone union and early weight-bearing with this combined technique are promising compared to the literature. The osteoinductive role of the induced membrane could play a positive role in the evolution of the graft. Longer follow up and a larger cohort are needed to better assess the implications. Nonetheless, this two-stage technique appears to have ample promise, especially in a septic context or in adjuvant radiotherapy in an oncological context. Full article
(This article belongs to the Special Issue Plastic and Reconstructive Surgery in Personalized Medicine)
Show Figures

Figure 1

12 pages, 2284 KB  
Article
Expression of VEGF in Peripheral Serum Is a Possible Prognostic Factor in Bone-Regeneration via Masquelet-Technique—A Pilot Study
by Michael C. Tanner, Sonja Boxriker, Patrick Haubruck, Christopher Child, Fabian Westhauser, Christian Fischer, Gerhard Schmidmaier and Arash Moghaddam
J. Clin. Med. 2021, 10(4), 776; https://doi.org/10.3390/jcm10040776 - 15 Feb 2021
Cited by 1 | Viewed by 2922
Abstract
Two-step Masquelet-technique established a new procedure in the treatment of osseous defects, addressing prerequisites postulated by the “diamond concept”. Increase in blood perfusion and growth factors are enhanced by the “Masquelet-membrane”. To describe this, we measured serum levels of Vascular Endothelial Growth Factor [...] Read more.
Two-step Masquelet-technique established a new procedure in the treatment of osseous defects, addressing prerequisites postulated by the “diamond concept”. Increase in blood perfusion and growth factors are enhanced by the “Masquelet-membrane”. To describe this, we measured serum levels of Vascular Endothelial Growth Factor (VEGF) of patients with atrophic non-unions of long bones undergoing Masquelet-technique. From over 500 non-union patients undergoing Masquelet-technique with prospective follow-up we randomly selected 30 patients. 23 were included, 7 lost to follow-up or excluded because of incomplete data. Serum was drawn at specified intervals before and after surgery. Patients were followed for at least 6 months after step 2. Classification into both groups was performed according to radiological results and clinical outcome 6 months after step 2. Concentration of VEGF in patients’ serum was performed via ELISA. 14 achieved osseous consolidation (responder group), 9 cases did not (non-responder). Responders showed a significant increase of serum-VEGF in the first and second week when compared to the preoperative values of step 1. Non-responders showed a significant increase of VEGF in the second week after Steps 1 and 2. Comparison of groups showed significantly higher increase of serum-VEGF week2 after step 1 and preoperative to step 2 for responders. Results show one possibility of illustrating therapeutic progress by monitoring growth factors and possibly allowing prognostic conclusions thereof. This might lead to a more targeted treatment protocol. Full article
(This article belongs to the Section Orthopedics)
Show Figures

Figure 1

15 pages, 3359 KB  
Article
Introduction of a New Surgical Method to Improve Bone Healing in a Large Bone Defect by Replacement of the Induced Membrane by a Human Decellularized Dermis Repopulated with Bone Marrow Mononuclear Cells in Rat
by Maximilian Leiblein, Tobias Kolb, Lion Christian, Katrin Schröder, Ceyhan Yaman, Alexander Schaible, Ingo Marzi, Dirk Henrich and Maren Janko
Materials 2020, 13(11), 2629; https://doi.org/10.3390/ma13112629 - 9 Jun 2020
Cited by 9 | Viewed by 3059
Abstract
The Masquelet technique for the treatment of large bone defects is a two-stage procedure based on an induced membrane. We eliminate the first surgical step by using a decellularized dermal skin graft (Epiflex®) populated with bone marrow mononuclear cells (BMC), as [...] Read more.
The Masquelet technique for the treatment of large bone defects is a two-stage procedure based on an induced membrane. We eliminate the first surgical step by using a decellularized dermal skin graft (Epiflex®) populated with bone marrow mononuclear cells (BMC), as a replacement for the induced membrane. The aim of this study was to demonstrate the feasibility of this technology and provide evidence of equivalent bone healing in comparison to the induced membrane-technique. Therefore, 112 male Sprague–Dawley rats were allocated in six groups and received a 10 mm femoral defect. Defects were treated with either the induced membrane or decellularized dermis, with or without the addition of BMC. Defects were then filled with a scaffold (β-TCP), with or without BMC. After a healing time of eight weeks, femurs were taken for histological, radiological and biomechanical analysis. Defects treated with Epiflex® showed increased mineralization and bone formation predominantly in the transplanted dermis surrounding the defect. No significant decrease of biomechanical properties was found. Vascularization of the defect could be enhanced by addition of BMC. Considering the dramatic reduction of a patient’s burden by the reduced surgical stress and shortened time of treatment, this technique could have a great impact on clinical practice. Full article
Show Figures

Figure 1

16 pages, 1959 KB  
Article
Regulation of Angiogenesis Discriminates Tissue Resident MSCs from Effective and Defective Osteogenic Environments
by R. J. Cuthbert, E. Jones, C. Sanjurjo-Rodríguez, A. Lotfy, P. Ganguly, S. M. Churchman, P. Kastana, H. B. Tan, D. McGonagle, E. Papadimitriou and P. V. Giannoudis
J. Clin. Med. 2020, 9(6), 1628; https://doi.org/10.3390/jcm9061628 - 28 May 2020
Cited by 12 | Viewed by 4354
Abstract
Background: The biological mechanisms that contribute to atrophic long bone non-union are poorly understood. Multipotential mesenchymal stromal cells (MSCs) are key contributors to bone formation and are recognised as important mediators of blood vessel formation. This study examines the role of MSCs in [...] Read more.
Background: The biological mechanisms that contribute to atrophic long bone non-union are poorly understood. Multipotential mesenchymal stromal cells (MSCs) are key contributors to bone formation and are recognised as important mediators of blood vessel formation. This study examines the role of MSCs in tissue formation at the site of atrophic non-union. Materials and Methods: Tissue and MSCs from non-union sites (n = 20) and induced periosteal (IP) membrane formed following the Masquelet bone reconstruction technique (n = 15) or bone marrow (n = 8) were compared. MSC content, differentiation, and influence on angiogenesis were measured in vitro. Cell content and vasculature measurements were performed by flow cytometry and histology, and gene expression was measured by quantitative polymerase chain reaction (qPCR). Results: MSCs from non-union sites had comparable differentiation potential to bone marrow MSCs. Compared with induced periosteum, non-union tissue contained similar proportion of colony-forming cells, but a greater proportion of pericytes (p = 0.036), and endothelial cells (p = 0.016) and blood vessels were more numerous (p = 0.001) with smaller luminal diameter (p = 0.046). MSCs showed marked differences in angiogenic transcripts depending on the source, and those from induced periosteum, but not non-union tissue, inhibited early stages of in vitro angiogenesis. Conclusions: In vitro, non-union site derived MSCs have no impairment of differentiation capacity, but they differ from IP-derived MSCs in mediating angiogenesis. Local MSCs may thus be strongly implicated in the formation of the immature vascular network at the non-union site. Attention should be given to their angiogenic support profile when selecting MSCs for regenerative therapy. Full article
(This article belongs to the Special Issue Latest Clinical And Basic Science Advances In Bone Regeneration)
Show Figures

Figure 1

16 pages, 2183 KB  
Article
Towards Understanding Therapeutic Failures in Masquelet Surgery: First Evidence that Defective Induced Membrane Properties are Associated with Clinical Failures
by Marjorie Durand, Laure Barbier, Laurent Mathieu, Thomas Poyot, Thomas Demoures, Jean-Baptiste Souraud, Alain-Charles Masquelet and Jean-Marc Collombet
J. Clin. Med. 2020, 9(2), 450; https://doi.org/10.3390/jcm9020450 - 6 Feb 2020
Cited by 35 | Viewed by 3602
Abstract
The two-stage Masquelet induced-membrane technique (IMT) consists of cement spacer-driven membrane induction followed by an autologous cancellous bone implantation in this membrane to promote large bone defect repairs. For the first time, this study aims at correlating IMT failures with physiological alterations of [...] Read more.
The two-stage Masquelet induced-membrane technique (IMT) consists of cement spacer-driven membrane induction followed by an autologous cancellous bone implantation in this membrane to promote large bone defect repairs. For the first time, this study aims at correlating IMT failures with physiological alterations of the induced membrane (IM) in patients. For this purpose, we compared various histological, immunohistochemical and gene expression parameters obtained from IM collected in patients categorized lately as successfully (Responders; n = 8) or unsuccessfully (Non-responders; n = 3) treated with the Masquelet technique (6 month clinical and radiologic post-surgery follow-up). While angiogenesis or macrophage distribution pattern remained unmodified in non-responder IM as compared to responder IM, we evidenced an absence of mesenchymal stem cells and reduced density of fibroblast-like cells in non-responder IM. Furthermore, non-responder IM exhibited altered extracellular matrix (ECM) remodeling parameters such as a lower expression ratio of metalloproteinase-9 (MMP-9)/tissue inhibitor of metalloproteinases (TIMP-1) mRNA as well as an important collagen overexpression as shown by picrosirius red staining. In summary, this study is the first to report evidence that IMT failure can be related to defective IM properties while underlining the importance of ECM remodeling parameters, particularly the MMP-9/TIMP-1 gene expression ratio, as early predictive biomarkers of the IMT outcome regardless of the type of bone, fracture or patient characteristics. Full article
(This article belongs to the Special Issue Latest Clinical And Basic Science Advances In Bone Regeneration)
Show Figures

Figure 1

Back to TopTop