Sign in to use this feature.

Years

Between: -

Subjects

remove_circle_outline
remove_circle_outline
remove_circle_outline
remove_circle_outline
remove_circle_outline

Journals

Article Types

Countries / Regions

Search Results (3)

Search Parameters:
Keywords = CEA-CURIE

Order results
Result details
Results per page
Select all
Export citation of selected articles as:
20 pages, 2834 KB  
Article
EEOA: Cost and Energy Efficient Task Scheduling in a Cloud-Fog Framework
by M. Santhosh Kumar and Ganesh Reddy Karri
Sensors 2023, 23(5), 2445; https://doi.org/10.3390/s23052445 - 22 Feb 2023
Cited by 71 | Viewed by 4437
Abstract
Cloud-fog computing is a wide range of service environments created to provide quick, flexible services to customers, and the phenomenal growth of the Internet of Things (IoT) has produced an immense amount of data on a daily basis. To complete tasks and meet [...] Read more.
Cloud-fog computing is a wide range of service environments created to provide quick, flexible services to customers, and the phenomenal growth of the Internet of Things (IoT) has produced an immense amount of data on a daily basis. To complete tasks and meet service-level agreement (SLA) commitments, the provider assigns appropriate resources and employs scheduling techniques to efficiently manage the execution of received IoT tasks in fog or cloud systems. The effectiveness of cloud services is directly impacted by some other important criteria, such as energy usage and cost, which are not taken into account by many of the existing methodologies. To resolve the aforementioned problems, an effective scheduling algorithm is required to schedule the heterogeneous workload and enhance the quality of service (QoS). Therefore, a nature-inspired multi-objective task scheduling algorithm called the electric earthworm optimization algorithm (EEOA) is proposed in this paper for IoT requests in a cloud-fog framework. This method was created using the combination of the earthworm optimization algorithm (EOA) and the electric fish optimization algorithm (EFO) to improve EFO’s potential to be exploited while looking for the best solution to the problem at hand. Concerning execution time, cost, makespan, and energy consumption, the suggested scheduling technique’s performance was assessed using significant instances of real-world workloads such as CEA-CURIE and HPC2N. Based on simulation results, our proposed approach improves efficiency by 89%, energy consumption by 94%, and total cost by 87% over existing algorithms for the scenarios considered using different benchmarks. Detailed simulations demonstrate that the suggested approach provides a superior scheduling scheme with better results than the existing scheduling techniques. Full article
(This article belongs to the Section Internet of Things)
Show Figures

Figure 1

14 pages, 2293 KB  
Article
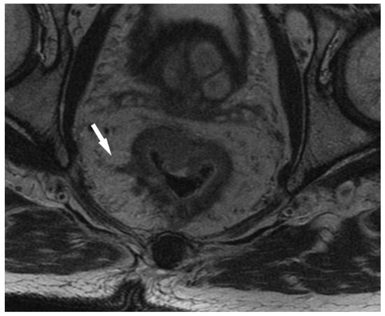
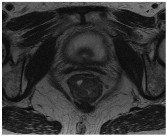
Correlation between Lymphocyte-to-Monocyte Ratio (LMR), Neutrophil-to-Lymphocyte Ratio (NLR), Platelet-to-Lymphocyte Ratio (PLR) and Extramural Vascular Invasion (EMVI) in Locally Advanced Rectal Cancer
by Cieszymierz Gawiński, Anna Hołdakowska and Lucjan Wyrwicz
Curr. Oncol. 2023, 30(1), 545-558; https://doi.org/10.3390/curroncol30010043 - 30 Dec 2022
Cited by 13 | Viewed by 3122
Abstract
Rectal cancer constitutes around one-third of all colorectal cancers. New markers are required to optimize the treatment. Extramural vascular invasion (EMVI) is a magnetic resonance imaging (MRI)-based negative prognostic marker. Lymphocyte-to-monocyte ratio (LMR), neutrophil-to-lymphocyte ratio (NLR) or platelet-to-lymphocyte ratio (PLR) are blood-based systemic [...] Read more.
Rectal cancer constitutes around one-third of all colorectal cancers. New markers are required to optimize the treatment. Extramural vascular invasion (EMVI) is a magnetic resonance imaging (MRI)-based negative prognostic marker. Lymphocyte-to-monocyte ratio (LMR), neutrophil-to-lymphocyte ratio (NLR) or platelet-to-lymphocyte ratio (PLR) are blood-based systemic inflammatory response markers with proven prognostic value in many cancers, including CRC. We hypothesized whether there is a relationship between LMR, NLR, PLR and the presence of EMVI on pre-treatment MRI in patients with locally advanced rectal cancer (LARC). We conducted a retrospective analysis of 371 patients with LARC treated in the Maria Skłodowska-Curie National Research Institute of Oncology, Warsaw, Poland between August 2016 and December 2021. One hundred eighty-four patients were found eligible for the study. A correlation between the extension of the tumour, nodal status, clinical stage of the disease and the presence of EMVI was found (p < 0.001). The pre-treatment level of neutrophils, platelets and carcinoembryonic antigen (CEA) was significantly higher in the EMVI-positive population (p = 0.041, p = 0.01, p = 0.027, respectively). There were no significant differences regarding the level of LMR, NLR and PLR between the EMVI-positive and EMVI-negative population. LMR, NLR and PLR do not differentiate patients in terms of EMVI; neither of these parameters is a good predictor of the status of EMVI in LARC. Full article
(This article belongs to the Section Gastrointestinal Oncology)
Show Figures

Figure 1

36 pages, 4623 KB  
Article
Energy-Aware Bag-of-Tasks Scheduling in the Cloud Computing System Using Hybrid Oppositional Differential Evolution-Enabled Whale Optimization Algorithm
by Amit Chhabra, Sudip Kumar Sahana, Nor Samsiah Sani, Ali Mohammadzadeh and Hasmila Amirah Omar
Energies 2022, 15(13), 4571; https://doi.org/10.3390/en15134571 - 22 Jun 2022
Cited by 24 | Viewed by 3862
Abstract
Bag-of-Tasks (BoT) scheduling over cloud computing resources called Cloud Bag-of-Tasks Scheduling (CBS) problem, which is a well-known NP-hard optimization problem. Whale Optimization Algorithm (WOA) is an effective method for CBS problems, which still requires further improvement in exploration ability, solution diversity, convergence speed, [...] Read more.
Bag-of-Tasks (BoT) scheduling over cloud computing resources called Cloud Bag-of-Tasks Scheduling (CBS) problem, which is a well-known NP-hard optimization problem. Whale Optimization Algorithm (WOA) is an effective method for CBS problems, which still requires further improvement in exploration ability, solution diversity, convergence speed, and ensuring adequate exploration–exploitation tradeoff to produce superior scheduling solutions. In order to remove WOA limitations, a hybrid oppositional differential evolution-enabled WOA (called h-DEWOA) approach is introduced to tackle CBS problems to minimize workload makespan and energy consumption. The proposed h-DEWOA incorporates chaotic maps, opposition-based learning (OBL), differential evolution (DE), and a fitness-based balancing mechanism into the standard WOA method, resulting in enhanced exploration, faster convergence, and adequate exploration–exploitation tradeoff throughout the algorithm execution. Besides this, an efficient allocation heuristic is added to the h-DEWOA method to improve resource assignment. CEA-Curie and HPC2N real cloud workloads are used for performance evaluation of scheduling algorithms using the CloudSim simulator. Two series of experiments have been conducted for performance comparison: one with WOA-based heuristics and another with non-WOA-based metaheuristics. Experimental results of the first series of experiments reveal that the h-DEWOA approach results in makespan improvement in the range of 5.79–13.38% (for CEA-Curie workloads), 5.03–13.80% (for HPC2N workloads), and energy consumption in the range of 3.21–14.70% (for CEA-Curie workloads) and 10.84–19.30% (for HPC2N workloads) over well-known WOA-based metaheuristics. Similarly, h-DEWOA also resulted in significant performance in comparison with recent state-of-the-art non-WOA-based metaheuristics in the second series of experiments. Statistical tests and box plots also revealed the robustness of the proposed h-DEWOA algorithm. Full article
Show Figures

Figure 1

Back to TopTop