Sign in to use this feature.

Years

Between: -

Subjects

remove_circle_outline
remove_circle_outline
remove_circle_outline
remove_circle_outline
remove_circle_outline
remove_circle_outline
remove_circle_outline

Journals

Article Types

Countries / Regions

Search Results (15)

Search Parameters:
Keywords = Bonebridge

Order results
Result details
Results per page
Select all
Export citation of selected articles as:
10 pages, 2169 KB  
Article
Integration of Augmented Reality in Temporal Bone and Skull Base Surgeries
by Taku Ito, Taro Fujikawa, Takamori Takeda, Yoshimaru Mizoguchi, Kouta Okubo, Shinya Onogi, Yoshikazu Nakajima and Takeshi Tsutsumi
Sensors 2024, 24(21), 7063; https://doi.org/10.3390/s24217063 - 1 Nov 2024
Cited by 5 | Viewed by 2618
Abstract
Augmented reality technologies provide transformative solutions in various surgical fields. Our research focuses on the use of an advanced augmented reality system that projects 3D holographic images directly into surgical footage, potentially improving the surgeon’s orientation to the surgical field and lowering the [...] Read more.
Augmented reality technologies provide transformative solutions in various surgical fields. Our research focuses on the use of an advanced augmented reality system that projects 3D holographic images directly into surgical footage, potentially improving the surgeon’s orientation to the surgical field and lowering the cognitive load. We created a novel system that combines exoscopic surgical footage from the “ORBEYE” and displays both the surgical field and 3D holograms on a single screen. This setup enables surgeons to use the system without using head-mounted displays, instead viewing the integrated images on a 3D monitor. Thirteen surgeons and surgical assistants completed tasks with 2D and 3D graphical surgical guides. The NASA Task Load Index was used to assess mental, physical, and temporal demands. The use of 3D graphical surgical guides significantly improved performance metrics in cochlear implant surgeries by lowering mental, physical, temporal, and frustration levels. However, for Bonebridge implantation, the 2D graphical surgical guide performed better overall (p = 0.045). Participants found the augmented reality system’s video latency to be imperceptible, measuring 0.13 ± 0.01 s. This advanced augmented reality system significantly improves the efficiency and precision of cochlear implant surgeries by lowering cognitive load and improving spatial orientation. Full article
(This article belongs to the Special Issue Extended Reality in Surgery Using Sensor Technologies)
Show Figures

Figure 1

11 pages, 1146 KB  
Case Report
Audiological and Subjective Benefits in a Child with Microtia and Atresia After Sequential Bilateral Implantation with Active Bone Conduction Devices: A Case Study
by Katarzyna Cywka, Anna Ratuszniak and Piotr Henryk Skarżyński
Children 2024, 11(11), 1285; https://doi.org/10.3390/children11111285 - 24 Oct 2024
Cited by 1 | Viewed by 2020
Abstract
Background: With bilateral hearing loss, the main problems for the patient are speech understanding in noise and, especially in asymmetrical hearing loss, an inability to correctly localize sound sources. There are multiple methods of treatment and rehabilitation for people with conductive hearing loss, [...] Read more.
Background: With bilateral hearing loss, the main problems for the patient are speech understanding in noise and, especially in asymmetrical hearing loss, an inability to correctly localize sound sources. There are multiple methods of treatment and rehabilitation for people with conductive hearing loss, and one of them is to use an active bone conduction implant. This case study is designed to evaluate the auditory benefits and sound localization accuracy with active bilateral bone conduction implants—in comparison to unilateral ones—in a patient with congenital bilateral conductive hearing loss caused by a congenital malformation. We assess subjective and audiological benefits (functional, directional hearing, speech comprehension in quiet and noise). Case report: This study describes the results in a 15-year-old patient with bilateral congenital malformation of the outer ears and associated conductive hearing loss who was treated with two Bonebridge active bone conduction implants. Speech recognition ability, hearing thresholds, and sound localization were tested under three conditions: unaided, unilateral on the right-side, and bilateral on both sides. The patient filled in an Abbreviated Profile of Hearing Aid Benefit questionnaire (APHAB) to evaluate limitations in daily life caused by hearing impairment. The results show an improvement in free-field hearing thresholds and the ability to discriminate speech, both in quiet and in noise after implantation. Subjectively, the patient had significantly fewer problems with two implants than with one (or with no implant) in terms of hearing in everyday situations. Conclusions: Unilateral use of the Bonebridge device in a patient with congenital bilateral conductive hearing loss did not provide full benefits. However, bilateral implantation improved speech understanding in noise and sound localization. Full article
(This article belongs to the Special Issue The Well-Being and Care of Deaf Children)
Show Figures

Figure 1

12 pages, 794 KB  
Article
All-Inside Arthroscopic and Open Techniques of the Modified Broström Procedure for the Treatment of Lateral Ankle Instability: Comparison of the Times to Return to Play
by Sang Heon Lee, Sung Hwan Kim, Sung Bum Park, Seong Rok Oh, Seung Jin Choi and Young Koo Lee
Medicina 2024, 60(6), 921; https://doi.org/10.3390/medicina60060921 - 1 Jun 2024
Cited by 4 | Viewed by 2347
Abstract
Background and Objectives: Lateral ankle injuries are commonly encountered injuries, and the open modified Broström operation (OMBO) is the primary treatment option. Recently, an arthroscopic modification of the Broström operation (AMBO) was developed; many studies have shown that there are no significant [...] Read more.
Background and Objectives: Lateral ankle injuries are commonly encountered injuries, and the open modified Broström operation (OMBO) is the primary treatment option. Recently, an arthroscopic modification of the Broström operation (AMBO) was developed; many studies have shown that there are no significant differences in clinical and radiological outcomes between the two surgical methods. However, no studies have been conducted comparing the two surgical methods in terms of return to play (RTP) time. This study assesses the time to RTP and the functional clinical outcomes. Materials and Methods: Sixty patients were enrolled from January 2012 to July 2014. They were segregated into two cohorts: the AMBO group comprised 30 patients, while the OMBO group comprised another 30 patients. Each participant underwent standardized treatment and rehabilitation regimens and RTP time was measured using seven questions that explored the times to return of painless walking, running, jumping, squatting, climbing stairs, and rising up on the heels and toes. We compared the time intervals from the onset of instability to the date of surgery. Clinical outcomes were evaluated before the surgery, 6 weeks after surgery, and 6 months after surgery. The assessments included the American Orthopedic Foot & Ankle Society (AOFAS) ankle–hindfoot score, the pain visual analog scale (VAS) score, subjective satisfaction with rehabilitation, and activity level. Results: In terms of RTP, AMBO was associated with a shorter interval to walking without pain (7.07 ± 2.96 weeks) relative to OMBO (11.03 ± 8.58 weeks). No disparities were observed in the time to return to play (RTP) between OMBO and AMBO. While there were no discrepancies in the 6-month postoperative AOFAS or VAS scores, the 6-week postoperative VAS score was notably lower in the AMBO group compared to the OMBO group. AMBO provided a faster RTP in terms of two of the seven questions in a group exhibiting high-level physical activity. The rate of subjective satisfaction with rehabilitation was higher for AMBO than for OMBO. Conclusions: Aside from walking, the duration to return to play and the clinical outcomes were similar between AMBO and OMBO treatments for lateral ankle instability. AMBO is a good treatment option and should be carefully considered for athletes with lateral ankle instability. AMBO demonstrated positive outcomes in a group with higher activity levels compared to others, particularly in terms of time to RTP, subjective satisfaction, and postoperative pain. Full article
Show Figures

Figure 1

14 pages, 1320 KB  
Systematic Review
Systematic Review of Current Audiological Treatment Options for Patients with Treacher Collins Syndrome (TCS) and Surgical and Audiological Experiences of an Otorhinolaryngologist with TCS
by Ivana Marinac, Robert Trotić and Andro Košec
J. Pers. Med. 2024, 14(1), 81; https://doi.org/10.3390/jpm14010081 - 10 Jan 2024
Cited by 2 | Viewed by 3300
Abstract
Treacher Collins syndrome (TCS) is a rare congenital craniofacial condition that affects approximately one out of fifty thousand births. Different ratios of TCS patients have conductive hearing loss: 88%1 vs. 91.4–100.00%2. For this reason, it was examined which hearing solutions [...] Read more.
Treacher Collins syndrome (TCS) is a rare congenital craniofacial condition that affects approximately one out of fifty thousand births. Different ratios of TCS patients have conductive hearing loss: 88%1 vs. 91.4–100.00%2. For this reason, it was examined which hearing solutions can be used with this condition and how effective they are. A systematic literature review was conducted, which showed that the bone-anchored hearing aid (BAHA, OSIA), the bone conduction implant (Bonebridge) or the active implant of the middle ear (Soundbridge) are reliable methods for the treatment of conductive hearing loss in TCS patients. After the implantation of all available hearing solutions, improved hearing and speech comprehension were observed. Additionally, a statement regarding the treatment of TCS and a personalized point of view of a clinical expert with TCS were provided. However, due to the small amount of data, no general recommendations can be given for the treatment of hearing loss in TCS patients; therefore, it is advised to collect more data on hearing solutions for TCS patients in future research. Full article
(This article belongs to the Special Issue Personalized Medicine in Otolaryngology: Special Topic Otology)
Show Figures

Figure 1

11 pages, 686 KB  
Article
Comparison of Active Bone Conduction Hearing Implant Systems in Unilateral and Bilateral Conductive or Mixed Hearing Loss
by Andrea Canale, Anastasia Urbanelli, Maria Gragnano, Valerio Bordino and Andrea Albera
Brain Sci. 2023, 13(8), 1150; https://doi.org/10.3390/brainsci13081150 - 31 Jul 2023
Cited by 5 | Viewed by 2667
Abstract
Background: To assess and compare binaural benefits and subjective satisfaction of active bone conduction implant (BCI) in patients with bilateral conductive or mixed hearing loss fitted with bilateral BCI and patients with monaural conductive hearing loss fitted with monaural BCI. Methods: ITA Matrix [...] Read more.
Background: To assess and compare binaural benefits and subjective satisfaction of active bone conduction implant (BCI) in patients with bilateral conductive or mixed hearing loss fitted with bilateral BCI and patients with monaural conductive hearing loss fitted with monaural BCI. Methods: ITA Matrix test was performed both on patients affected by bilateral conductive or mixed hearing loss fitted with monaural bone conduction hearing implant (Bonebridge, Med-El) before and after implantation of contralateral bone conduction hearing implant and on patients with monaural conductive or mixed hearing loss before and after implantation of monaural BCI. The Abbreviated Profile of Hearing Aid Benefit (APHAB) questionnaire was administered to both groups of subjects and the results were compared with each other. Results: Patients of group 1 reported a difference of 4.66 dB in the summation setting compared to 0.79 dB of group 2 (p < 0.05). In the squelch setting, group 1 showed a difference of 2.42 dB compared to 1.53 dB of group 2 (p = 0.85). In the head shadow setting, patients of group 1 reported a difference of 7.5 dB, compared to 4.61 dB of group 2 (p = 0.34). As for the APHAB questionnaire, group 1 reported a mean global score difference of 11.10% while group 2 showed a difference of −4.00%. Conclusions: Bilateral BCI in patients affected by bilateral conductive or mixed hearing loss might show more advantages in terms of sound localisation, speech perception in noise and subjective satisfaction if compared to unilateral BCI fitting in patients affected by unilateral conductive hearing impairment. This may be explained by the different individual transcranial attenuation of each subject, which might lead to different outcomes in terms of binaural hearing achievement. On the other hand, patients with unilateral conductive or mixed hearing loss fitted with monaural BCI achieved good results in terms of binaural hearing and for this reason, there is no absolute contraindication to implantation in those patients. Full article
(This article belongs to the Special Issue Middle Ear and Bone Conduction Implants)
Show Figures

Figure 1

11 pages, 995 KB  
Article
Medical Safety and Device Reliability of Active Transcutaneous Middle Ear and Bone Conducting Implants: A Long-Term Multi-Centre Observational Study
by Deborah Vickers, John Briggs, Wiebke Lamping, Rachel Andrew, Mina Bingham, Joseph Toner, Stacey Cooper, Patrick Spielman, Hashmat Ghulam, Terry Nunn, Abi Asher, Susan Eitutis, Mark Chung, Anna Skibinska, Robert Gardner, Francesca Routh, Tom Wilson, Lisa Kennedy, Shakeel Saeed and VERS Clinical Support Team
Appl. Sci. 2023, 13(14), 8279; https://doi.org/10.3390/app13148279 - 18 Jul 2023
Cited by 2 | Viewed by 1923
Abstract
Active bone-conducting hearing devices (aBCHD; e.g., MEDEL Bonebridge® (BB)) and active middle ear implants (aMEI; e.g., MEDEL Vibrant Soundbridge® (VSB)) use radio frequency transmission to send information from an external microphone and sound processor to an internally implanted transducer. These devices [...] Read more.
Active bone-conducting hearing devices (aBCHD; e.g., MEDEL Bonebridge® (BB)) and active middle ear implants (aMEI; e.g., MEDEL Vibrant Soundbridge® (VSB)) use radio frequency transmission to send information from an external microphone and sound processor to an internally implanted transducer. These devices potentially have an advantage over devices with percutaneous links because the skin is closed over the implantable components, which should reduce the risk of skin problems and infection. On the other hand, surgical procedures are more complex, with a greater risk of damage due to surgery. The objectives of this research were to quantify the reliability and long-term survival of MEDEL VSB and BB devices, determine the adverse and serious adverse device-related complications, and consider associated causes. A multi-center observational retrospective and prospective study was conducted at eleven auditory implant centers in the United Kingdom. Data was collected using a surgical questionnaire and audiological reports. Data were obtained from patient notes or from prospective cases that had a minimum follow-up of one year post-implant. Consecutive patient records were reviewed. Datasets from 109 BB and 163 VSB were reviewed. Of these, 205 were retrospective case note reviews, and 67 were prospective cases. The mean follow-up was 4 and 6 years, respectively, for BB and VSB. Kaplan–Meier Survival analyses indicated that the BB survival was 97% and 93.3% at 1 and 5 years, respectively, and the VSB was 92.1% and 87% at the same time points. This is a large cohort study for the field and has indicated that BB and VSB are safe interventions. Care should be taken to monitor magnet strength in the first few months. For the majority of device-related effects, there was no apparent association with etiology. However, an interesting pattern emerged for individuals who exhibited an inflammatory response, e.g., adhesions or device extrusion, and those with a history of chronic suppurative otitis media. This should be considered in future work and is not surprising given that many VSB recipients have a complicated hearing history, often associated with otitis media. Full article
(This article belongs to the Special Issue Hearing Loss: From Pathophysiology to Therapies and Habilitation)
Show Figures

Figure 1

13 pages, 908 KB  
Article
Long-Term Non-Users of Transcutaneous Auditory Implants: Thirty Years of Experience at a Single Institution
by Miryam Calvino, Isabel Sánchez-Cuadrado, Javier Gavilán and Luis Lassaletta
Int. J. Environ. Res. Public Health 2023, 20(13), 6201; https://doi.org/10.3390/ijerph20136201 - 22 Jun 2023
Cited by 3 | Viewed by 1782
Abstract
Background: Although it is a recognized phenomenon, there is little published in the literature on the discontinuation of auditory implant use. Aim: To evaluate the incidence of device non-use of transcutaneous auditory implants. Patients and Methods: This is a retrospective study of [...] Read more.
Background: Although it is a recognized phenomenon, there is little published in the literature on the discontinuation of auditory implant use. Aim: To evaluate the incidence of device non-use of transcutaneous auditory implants. Patients and Methods: This is a retrospective study of all living individuals (children and adults) implanted at the La Paz Hospital (Madrid, Spain) between 1992–2015, with a follow-up examination endpoint of December 2022. 356 device recipients were included: 316 with cochlear implants (CI), 22 with middle-ear implants (Vibrant Soundbridge, VSB), and 18 with bone conduction implants (Bonebridge, BB). Results: Nine CI recipients (2.8%) were identified as non-users (mean follow-up 15.1 ± 5.4 years). The reasons for non-use were implant failure and reimplantation rejection, lack of benefit, non-attendance of rehabilitation sessions, loss of the audio processor, and cognitive and linguistic difficulties. None of them experienced any surgical complications. Six VSB recipients (27.3%) were device non-users (mean follow-up 11.4 ± 2.1 years). All of them experienced device failure or surgical complications. To date, none of the BB recipients is a non-user (mean follow-up 8.6 ± 1.1 years). Conclusion: The rates of non-use of transcutaneous auditory implants vary widely between different types of implants. Given the small proportion of non-users, information on what are the predictive factors could not be determined. The reasons for non-use should be carefully documented and used to guide careful patient selection to reduce the risk of non-use in future candidates. Full article
(This article belongs to the Section Health-Related Quality of Life and Well-Being)
Show Figures

Figure 1

12 pages, 2141 KB  
Article
The Functional Hearing Gain with an Active Transcutaneous Bone Conduction Implant Does Not Correlate with the Subjective Hearing Performance
by Alice B. Auinger, Rudolfs Liepins, Faris F. Brkic, Erich Vyskocil and Christoph Arnoldner
J. Pers. Med. 2022, 12(7), 1064; https://doi.org/10.3390/jpm12071064 - 29 Jun 2022
Cited by 4 | Viewed by 2235
Abstract
The functional hearing outcome with hearing implants does not always properly reflect the subjective benefit in everyday listening situations. In this study, the functional hearing gain and the impact on the subjective hearing ability and quality of life were assessed in patients with [...] Read more.
The functional hearing outcome with hearing implants does not always properly reflect the subjective benefit in everyday listening situations. In this study, the functional hearing gain and the impact on the subjective hearing ability and quality of life were assessed in patients with a Bonebridge. A chart review was performed on 45 patients with a Bonebridge who were provided with questionnaires regarding the hearing quality and health-related quality of life during their last clinical visit. The questionnaires consisted of the Speech, Spatial and Qualities (SSQ) and the Health Utility Index Mark 3 (HUI3). Eleven patients had to be excluded due to missing data. A total of 34 patients (37 ears) were included in the study. Aided hearing thresholds were significantly lower compared with the unaided condition, with a mean functional gain of 26.87 dB for patients with mixed/conductive hearing loss (MHL/CHL). Although patients with single-sided deafness (SSD) scored slightly lower on the SSQ compared with patients with MHL/CHL, all included patients reported improved subjective hearing quality with the BB compared with the hearing situation before implantation. No correlation was found between the functional hearing gain and the subdomains of the SSQ. SSD patients scored the HUI3 subdomain “hearing” slightly lower compared with MHL/CHL patients. Although not significant, a relationship was found between the functional gain and the “hearing” subdomain. No correlation was found for the other subdomains of the HUI3. Audiological measurements showed significantly improved hearing thresholds with the Bonebridge. Most importantly, the subjective benefit achieved in everyday listening situations was superior compared with the previous hearing condition. The lack of correlation between subjective questionnaire results and the functional hearing gain shows the importance of assessing both audiological and subjective hearing quality parameters in clinical routine. Full article
(This article belongs to the Section Personalized Therapy and Drug Delivery)
Show Figures

Figure 1

13 pages, 1011 KB  
Article
Using Generic and Disease-Specific Measures to Assess Quality of Life before and after 12 Months of Hearing Implant Use: A Prospective, Longitudinal, Multicenter, Observational Clinical Study
by Luis Lassaletta, Miryam Calvino, Isabel Sanchez-Cuadrado, Piotr Henryk Skarzynski, Katarzyna B. Cywka, Natalia Czajka, Justyna Kutyba, Dayse Tavora-Vieira, Paul van de Heyning, Griet Mertens, Hinrich Staecker, Bryan Humphrey, Mario Zernotti, Maximo Zernotti, Astrid Magele, Marlene Ploder and Julia Speranza Zabeu
Int. J. Environ. Res. Public Health 2022, 19(5), 2503; https://doi.org/10.3390/ijerph19052503 - 22 Feb 2022
Cited by 10 | Viewed by 3236
Abstract
The primary objectives of this study were to evaluate the effect of hearing implant (HI) use on quality of life (QoL) and to determine which QoL measure(s) quantify QoL with greater sensitivity in users of different types of HIs. Participants were adult cochlear [...] Read more.
The primary objectives of this study were to evaluate the effect of hearing implant (HI) use on quality of life (QoL) and to determine which QoL measure(s) quantify QoL with greater sensitivity in users of different types of HIs. Participants were adult cochlear implant (CI), active middle ear implant (VIBRANT SOUNDBRIDGE (VSB)), or active transcutaneous bone conduction implant (the BONEBRIDGE (BB)) recipients. Generic QoL and disease-specific QoL were assessed at three intervals: pre-activation, 6 months of device use, and 12 months of device use. 169 participants completed the study (110 CI, 18VSB, and 41BB). CI users’ QoL significantly increased from 0–6 m device use on both the generic- and the disease-specific measures. On some device-specific measures, their QoL also significantly increased between 6 and 12 m device use. VSB users’ QoL significantly increased between all tested intervals with the disease-specific measure but not the generic measure. BB users’ QoL significantly increased from 0–6 m device use on both the generic- and the disease-specific measures. In sum, HI users experienced significant postoperative increases in QoL within their first 12 m of device use, especially when disease-specific measures were used. Disease-specific QoL measures appeared to be more sensitive than their generic counterparts. Full article
Show Figures

Figure 1

12 pages, 1063 KB  
Article
Self-Rated Benefits of Auditory Performance after Bonebridge Implantation in Patients with Conductive or Mixed Hearing Loss, or Single-Sided Deafness
by Anna Ratuszniak, Piotr H. Skarzynski, Elżbieta Gos and Henryk Skarzynski
Life 2022, 12(2), 137; https://doi.org/10.3390/life12020137 - 18 Jan 2022
Cited by 9 | Viewed by 2886
Abstract
The Bonebridge implant can be a satisfactory solution for patients with conductive or mixed hearing loss (CHL or MHL), or with single-sided deafness (SSD). The aim of the study was to assess patients’ self-reported benefits with the Bonebridge and characterize the relationships between [...] Read more.
The Bonebridge implant can be a satisfactory solution for patients with conductive or mixed hearing loss (CHL or MHL), or with single-sided deafness (SSD). The aim of the study was to assess patients’ self-reported benefits with the Bonebridge and characterize the relationships between pre-implantation audiometric data, auditory functioning, and satisfaction after implantation. A focus was to see whether different types of hearing loss were associated with particular benefits. The study sample consisted of 81 patients. Procedures comprised pure tone audiometry before implantation, the Abbreviated Profile of Hearing Aid Benefit (APHAB) questionnaire, and a structured interview asking about satisfaction. Statistically significant improvements after implantation were found in all groups (CHL, MHL, SSD) on the APHAB questionnaire. In the structured interview, patients with SSD were the least satisfied. No significant correlation was found between pre-operative air-bone gap and bone conduction thresholds or with APHAB score. Bonebridge implantation is beneficial to patients with CHL or MHL, or with SSD. Assessment of patients for Bonebridge implantation is complex, and audiometric data should be complemented by patient-reported outcomes to provide deeper insight into their individual needs and attitudes. Full article
Show Figures

Figure 1

14 pages, 2021 KB  
Article
The Bonebridge BCI 602 Active Transcutaneous Bone Conduction Implant in Children: Objective and Subjective Benefits
by Katarzyna B. Cywka, Henryk Skarżyński, Bartłomiej Król and Piotr H. Skarżyński
J. Clin. Med. 2021, 10(24), 5916; https://doi.org/10.3390/jcm10245916 - 16 Dec 2021
Cited by 21 | Viewed by 3918
Abstract
Background: the Bonebridge hearing implant is an active transcutaneous bone conduction implant suitable for various types of hearing loss. It was first launched in 2012 as the BCI 601, with a newer internal part (BCI 602) released in 2019. With the new size [...] Read more.
Background: the Bonebridge hearing implant is an active transcutaneous bone conduction implant suitable for various types of hearing loss. It was first launched in 2012 as the BCI 601, with a newer internal part (BCI 602) released in 2019. With the new size and shape, the BCI 602 can be used in patients previously excluded due to insufficient anatomical conditions, especially in patients with congenital defects of the outer and middle ear. Objectives: the purpose of this study is to evaluate the objective and subjective benefits of the new Bonebridge BCI 602 in children who have hearing impairment due to conductive or mixed hearing loss. Safety and effectiveness of the device was assessed. Methods: the study group included 22 children aged 8–18 years (mean age 14.7 years) who had either conductive or mixed hearing loss. All patients were implanted unilaterally with the new Bonebridge BCI 602 implant. Pure tone audiometry, speech recognition tests (in quiet and noise), and free-field audiometry were performed before and after implantation. Word recognition scores were evaluated using the Demenko and Pruszewicz Polish Monosyllabic Word Test, and speech reception thresholds in noise were assessed using the Polish Sentence Matrix Test. The subjective assessment of benefits was carried outusing the APHAB (Abbreviated Profile of Hearing Aid Benefit) questionnaire. Results: after implantation of the Bonebridge BCI 602 all patients showed a statistically significant improvement in hearing and speech understanding. The mean word recognition score (WRS) changed from 12.1% before implantation to 87.3% after 6 months. Mean speech reception threshold (SRT) before implantation was +4.79 dB SNR and improved to −1.29 dB SNR after 6 months. All patients showed stable postoperative results. The APHAB questionnaire showed that difficulties in hearing decreased after implantation, with a statistically significant improvement in global score. Pre-operative scores (M = 35.7) were significantly worse than post-operative scores at 6 months (M = 25.7). Conclusions: the present study confirms that the Bonebridge BCI 602 is an innovative and effective solution, especially for patients with conductive and mixed hearing loss due to anatomical ear defects. The Bonebridge BCI 602 system provides valuable and stable audiological and surgical benefits. Subjective assessment also confirms the effectiveness of the BCI 602. The BCI 602 offers the same amplification as the BCI601, but with a smaller size. The smaller dimensions make it an effective treatment option for a wider group of patients, especially children with congenital defects of the outer and middle ear. Full article
(This article belongs to the Section Otolaryngology)
Show Figures

Figure 1

11 pages, 1736 KB  
Article
Implantation of the Bonebridge BCI 602 after Mastoid Obliteration with S53P4 Bioactive Glass: A Safe Method of Treating Difficult Anatomical Conditions-Preliminary Results
by Bartłomiej Król, Katarzyna Beata Cywka, Magdalena Beata Skarżyńska and Piotr Henryk Skarżyński
Life 2021, 11(5), 374; https://doi.org/10.3390/life11050374 - 22 Apr 2021
Cited by 11 | Viewed by 2847
Abstract
This study presents the preliminary results of a new otosurgical method in patients after canal wall down (CWD) surgery; it involves the implantation of the Bonebridge BCI 602 implant after obliteration of the mastoid cavity with S53P4 bioactive glass. The study involved eight [...] Read more.
This study presents the preliminary results of a new otosurgical method in patients after canal wall down (CWD) surgery; it involves the implantation of the Bonebridge BCI 602 implant after obliteration of the mastoid cavity with S53P4 bioactive glass. The study involved eight adult patients who had a history of chronic otitis media with cholesteatoma in one or both ears and who had had prior radical surgery. The mean follow-up period was 12 months, with routine follow-up visits according to the schedule. The analysis had two aspects: a surgical aspect in terms of healing, development of bacterial flora, the impact on the inner ear or labyrinth, recurrence of cholesteatoma, and possible postoperative complications (firstly, after obliteration of the mastoid cavity with S53P4 bioactive glass, then after implantation). The second was an audiological aspect which assessed audiometric results and the patient’s satisfaction based on questionnaires. During the follow-up period, we did not notice any serious postoperative complications. Studies demonstrated significantly improved hearing thresholds and speech recognition in quiet and noise using the Bonebridge BCI 602. Data collected after six months of use showed improved audiological thresholds and patient satisfaction. Based on the preliminary results, we believe that the proposed two-stage surgical method using bioactive glass S53P4 is a safe and effective way of implanting the Bonebridge BCI 602 in difficult anatomical conditions. This makes it possible to treat a larger group of patients with the device. Full article
(This article belongs to the Section Medical Research)
Show Figures

Figure 1

9 pages, 1418 KB  
Article
Medical, Technical and Audiological Outcomes of Hearing Rehabilitation with the Bonebridge Transcutaneous Bone-Conduction Implant: A Single-Center Experience
by Faris F. Brkic, Dominik Riss, Katharina Scheuba, Christoph Arnoldner, Wolfgang Gstöttner, Wolf-Dieter Baumgartner and Erich Vyskocil
J. Clin. Med. 2019, 8(10), 1614; https://doi.org/10.3390/jcm8101614 - 3 Oct 2019
Cited by 37 | Viewed by 4222
Abstract
Bone-conduction implants are a standard therapeutic option for patients with conductive, unilateral, or mixed hearing loss who either do not tolerate conventional hearing aids or can benefit from surgery. The aim of this study was to evaluate long-term medical and technical outcomes, and [...] Read more.
Bone-conduction implants are a standard therapeutic option for patients with conductive, unilateral, or mixed hearing loss who either do not tolerate conventional hearing aids or can benefit from surgery. The aim of this study was to evaluate long-term medical and technical outcomes, and audiological results with the Bonebridge transcutaneous bone-conduction implant. This retrospective study included all patients implanted with a bone-conduction hearing implant at a tertiary medical referral center between March 2012 and October 2018. Medical and technical outcomes included the mean length of implant usage, medical and technical complications (skin and wound infection, lack of benefit, technical failure), explantations and revisions, coupling approaches, implant failure rate, implant survival and the implant loss for added follow-up years. Auditory results were measured by functional hearing gain and the Freiburger monosyllabic test at 65 dB sound pressure level. Sixty-four patients were included in the study; five of these were implanted bilaterally (69 devices). Five unilaterally implanted patients were lost to follow-up. The mean follow-up was 27.1 months (range: 0.2 months–6.3 years). The mean implant usage was 25.9 months (range: 0.2 months–6.3 years). Fifty-seven implants (89.1%) were in use at the end of the follow-up period. Complications occurred in six ears (9.4%). Five implants (7.8%) were explanted without reimplantation. Device failure occurred in one implant (1.6%), which was possibly caused by recurrent head trauma. The rate of implant loss due to technical device failure (damage to device) was 1 per 72 follow-up years. The mean improvement on the Freiburger monosyllabic test (52.1%, p = 0.0001), and in functional hearing gain across frequencies (26.5 dB, p = 0.0001) was significant. This single-center follow-up reveals the medical and technical reliability of a transcutaneous bone-conduction implant for hearing rehabilitation because complication and revision rates were low. The majority of patients still used the device at the end of the observation period. Implantation resulted in favorable hearing outcomes in comparison to that of unaided conditions. Cautious patient selection mainly regarding co-morbidities, the history of chronic otologic diseases and proper surgical technique seems to be crucial in reducing complications. Full article
(This article belongs to the Section Otolaryngology)
Show Figures

Figure 1

16 pages, 1720 KB  
Article
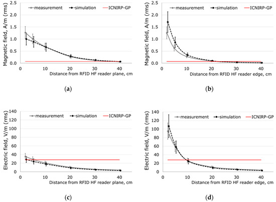
Electromagnetic Energy Absorption in a Head Approaching a Radiofrequency Identification (RFID) Reader Operating at 13.56 MHz in Users of Hearing Implants Versus Non-Users
by Patryk Zradziński, Jolanta Karpowicz and Krzysztof Gryz
Sensors 2019, 19(17), 3724; https://doi.org/10.3390/s19173724 - 28 Aug 2019
Cited by 18 | Viewed by 4757
Abstract
The aim of this study was to model the absorption in the head of an electromagnetic field (EMF) emitted by a radiofrequency identification reader operating at a frequency of 13.56 MHz (recognized as an RFID HF reader), with respect to the direct biophysical [...] Read more.
The aim of this study was to model the absorption in the head of an electromagnetic field (EMF) emitted by a radiofrequency identification reader operating at a frequency of 13.56 MHz (recognized as an RFID HF reader), with respect to the direct biophysical effects evaluated by the specific absorption rate (SAR), averaged over the entire head or locally, over any 10 g of tissues. The exposure effects were compared between the head of a user of a hearing implant with an acoustic sensor and a person without such an implant, used as a referenced case. The RFID HF reader, such as is used in shops or libraries, was modeled as a loop antenna (35 × 35 cm). SAR was calculated in a multi-layer ellipsoidal model of the head—with or without models of hearing implants of two types: Bonebridge (MED-EL, Austria) or bone anchored hearing aid attract (BAHA) (Cochlear, Sweden). Relative SAR values were calculated as the ratio between the SAR in the head of the implant user and the non-user. It was found that the use of BAHA hearing implants increased the effects of 13.56 MHz EMF exposure in the head in comparison to non-user—up to 2.1 times higher localized SAR in the worst case exposure scenario, and it is statistically significant higher than when Bonebridge implants are used (Kruscal–Wallis test with Bonferroni correction, p < 0.017). The evaluation of EMF exposure from an RFID reader with respect to limits established for the implant non-user population may be insufficient to protect an implant user when exposure approaches these limits, but the significant difference between exposure effects in users of various types of implants need to be considered. Full article
(This article belongs to the Section Physical Sensors)
Show Figures

Figure 1

11 pages, 486 KB  
Article
A Bone-Thickness Map as a Guide for Bone-Anchored Port Implantation Surgery in the Temporal Bone
by Jérémie Guignard, Andreas Arnold, Christian Weisstanner, Marco Caversaccio and Christof Stieger
Materials 2013, 6(11), 5291-5301; https://doi.org/10.3390/ma6115291 - 19 Nov 2013
Cited by 16 | Viewed by 6658
Abstract
The bone-anchored port (BAP) is an investigational implant, which is intended to be fixed on the temporal bone and provide vascular access. There are a number of implants taking advantage of the stability and available room in the temporal bone. These devices range [...] Read more.
The bone-anchored port (BAP) is an investigational implant, which is intended to be fixed on the temporal bone and provide vascular access. There are a number of implants taking advantage of the stability and available room in the temporal bone. These devices range from implantable hearing aids to percutaneous ports. During temporal bone surgery, injuring critical anatomical structures must be avoided. Several methods for computer-assisted temporal bone surgery are reported, which typically add an additional procedure for the patient. We propose a surgical guide in the form of a bone-thickness map displaying anatomical landmarks that can be used for planning of the surgery, and for the intra-operative decision of the implant’s location. The retro-auricular region of the temporal and parietal bone was marked on cone-beam computed tomography scans and tridimensional surfaces displaying the bone thickness were created from this space. We compared this method using a thickness map (n = 10) with conventional surgery without assistance (n = 5) in isolated human anatomical whole head specimens. The use of the thickness map reduced the rate of Dura Mater exposition from 100% to 20% and suppressed sigmoid sinus exposures. The study shows that a bone-thickness map can be used as a low-complexity method to improve patient’s safety during BAP surgery in the temporal bone. Full article
(This article belongs to the Special Issue Computational Modeling and Simulation in Materials Study)
Show Figures

Figure 1

Back to TopTop