Early Concepts in CT Image-Guided Robotic Vascular Surgery: The Displacement of Retroperitoneal Structures During Simulated Procedures in a Cadaveric Model
Abstract
1. Introduction
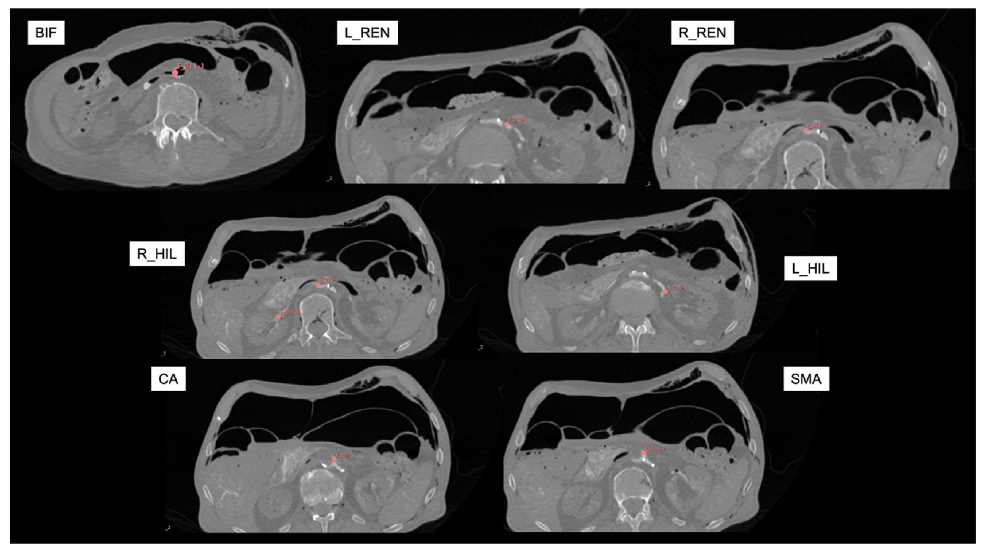
2. Materials and Methods
3. Results
3.1. Effects of Intra-Abdominal Pressure
3.2. Effects of Patient Position Change
4. Discussion
5. Conclusions
Author Contributions
Funding
Institutional Review Board Statement
Data Availability Statement
Conflicts of Interest
Abbreviations
| PP | patient position | 
| IAP | intra-abdominal pressure | 
| AR | augmented reality | 
| CT | computer tomography | 
| IGS | image-guided surgery | 
References
- Berczeli, M.; Chinnadurai, P.; Osztrogonácz, P.; Peden, E.K.; Bavare, C.S.; Sótonyi, P.; Chang, S.M.; Lumsden, A.B. Dynamic Computed Tomography Angiography Is More Accurate in Diagnosing Endoleaks Than Standard Triphasic Computed Tomography Angiography and Enables Targeted Embolization. Ann. Vasc. Surg. 2023, 88, 318–326. [Google Scholar] [CrossRef]
- Schwein, A.; Chinnadurai, P.; Behler, G.; Lumsden, A.B.; Bismuth, J.; Bechara, C.F. Computed Tomography Angiography-Fluoroscopy Image Fusion Allows Visceral Vessel Cannulation without Angiography during Fenestrated Endovascular Aneurysm Repair. J. Vasc. Surg. 2018, 68, 2–11. [Google Scholar] [CrossRef]
- Jones, D.W.; Stangenberg, L.; Swerdlow, N.J.; Alef, M.; Lo, R.; Shuja, F.; Schermerhorn, M.L. Image Fusion and 3-Dimensional Roadmapping in Endovascular Surgery. Ann. Vasc. Surg. 2018, 52, 302–311. [Google Scholar] [CrossRef]
- Sailer, A.M.; de Haan, M.W.; Peppelenbosch, A.G.; Jacobs, M.J.; Wildberger, J.E.; Schurink, G.W. Cta with Fluoroscopy Image Fusion Guidance in Endovascular Complex Aortic Aneurysm Repair. Eur. J. Vasc. Endovasc. Surg. 2014, 47, 349–356. [Google Scholar] [CrossRef]
- Hertault, A.; Maurel, B.; Sobocinski, J.; Gonzalez, T.M.; Le Roux, M.; Azzaoui, R.; Midulla, M.; Haulon, S. Impact of Hybrid Rooms with Image Fusion on Radiation Exposure during Endovascular Aortic Repair. Eur. J. Vasc. Endovasc. Surg. 2014, 48, 382–390. [Google Scholar] [CrossRef]
- Roberts, S.; Desai, A.; Checcucci, E.; Puliatti, S.; Taratkin, M.; Kowalewski, K.F.; Rivas, J.G.; Rivero, I.; Veneziano, D.; Autorino, R.; et al. “Augmented Reality” Applications in Urology: A Systematic Review. Minerva Urol. Nephrol. 2022, 74, 528–537. [Google Scholar] [CrossRef]
- Ghaednia, H.; Fourman, M.S.; Lans, A.; Detels, K.; Dijkstra, H.; Lloyd, S.; Sweeney, A.; Oosterhoff, J.H.F.; Schwab, J.H. Augmented and Virtual Reality in Spine Surgery, Current Applications and Future Potentials. Spine J. 2021, 21, 1617–1625. [Google Scholar] [CrossRef]
- Canu, G.L.; Medas, F.; Noli, E.; Calini, G.; Rottoli, M.; Ruggeri, A.; Cappellacci, F.; Calò, P.G. The Application of Augmented Reality in Robotic General Surgery: A Mini-Review. Open Med. 2025, 20, 20251170. [Google Scholar] [CrossRef]
- Seetohul, J.; Shafiee, M.; Sirlantzis, K. Augmented Reality (Ar) for Surgical Robotic and Autonomous Systems: State of the Art, Challenges, and Solutions. Sensors 2023, 23, 6202. [Google Scholar] [CrossRef]
- Giannone, F.; Felli, E.; Cherkaoui, Z.; Mascagni, P.; Pessaux, P. Augmented Reality and Image-Guided Robotic Liver Surgery. Cancers 2021, 13, 6268. [Google Scholar] [CrossRef]
- Sadeghi, A.H.; Mathari, S.E.; Abjigitova, D.; Maat, A.; Taverne, Y.; Bogers, A.; Mahtab, E.A.F. Current and Future Applications of Virtual, Augmented, and Mixed Reality in Cardiothoracic Surgery. Ann. Thorac. Surg. 2022, 113, 681–691. [Google Scholar] [CrossRef] [PubMed]
- Dappa, E.; Higashigaito, K.; Fornaro, J.; Leschka, S.; Wildermuth, S.; Alkadhi, H. Cinematic Rendering—An Alternative to Volume Rendering for 3d Computed Tomography Imaging. Insights Imaging 2016, 7, 849–856. [Google Scholar] [CrossRef]
- Lengyel, B.C.; Lumsden, A.B.; Chinnadurai, P. Cinematic Rendered Computed Tomography Imaging Enhances 3d Visualization of Upper Extremity Arteriovenous Malformation. Methodist DeBakey Cardiovasc. J. 2025, 21, 13–15. [Google Scholar] [CrossRef]
- Lecointre, L.; Verde, J.; Hubele, F.; Salvadori, J.; Goffin, L.; Akladios, C.; Gallix, B. Preoperative Spect/Ct + Intraoperative Ct Fusion Enabling Surgical Augmented Reality to Target Sentinel Lymph Node in Endometrial Cancer. EJNMMI Phys. 2022, 9, 81. [Google Scholar] [CrossRef]
- Thompson, S.; Schneider, C.; Bosi, M.; Gurusamy, K.; Ourselin, S.; Davidson, B.; Hawkes, D.; Clarkson, M.J. In Vivo Estimation of Target Registration Errors during Augmented Reality Laparoscopic Surgery. Int. J. Comput. Assist. Radiol. Surg. 2018, 13, 865–874. [Google Scholar] [CrossRef]
- Chan, J.Y.K.; Holsinger, F.C.; Liu, S.; Sorger, J.M.; Azizian, M.; Tsang, R.K.Y. Augmented Reality for Image Guidance in Transoral Robotic Surgery. J. Robot. Surg. 2020, 14, 579–583. [Google Scholar] [CrossRef]
- Wijsmuller, A.R.; Romagnolo, L.G.C.; Agnus, V.; Giraudeau, C.; Melani, A.G.F.; Dallemagne, B.; Marescaux, J. Advances in Stereotactic Navigation for Pelvic Surgery. Surg. Endosc. 2018, 32, 2713–2720. [Google Scholar] [CrossRef]
- Nicolau, S.; Soler, L.; Mutter, D.; Marescaux, J. Augmented Reality in Laparoscopic Surgical Oncology. Surg. Oncol. 2011, 20, 189–201. [Google Scholar] [CrossRef]
- Lecointre, L.; Verde, J.; Goffin, L.; Venkatasamy, A.; Seeliger, B.; Lodi, M.; Swanstrom, L.L.; Akladios, C.; Gallix, B. Robotically Assisted Augmented Reality System for Identification of Targeted Lymph Nodes in Laparoscopic Gynecological Surgery: A First Step toward the Identification of Sentinel Node: Augmented Reality in Gynecological Surgery. Surg. Endosc. 2022, 36, 9224–9233. [Google Scholar] [CrossRef]
- Kwak, J.M.; Romagnolo, L.; Wijsmuller, A.; Gonzalez, C.; Agnus, V.; Lucchesi, F.R.; Melani, A.; Marescaux, J.; Dallemagne, B. Stereotactic Pelvic Navigation with Augmented Reality for Transanal Total Mesorectal Excision. Dis. Colon Rectum 2019, 62, 123–129. [Google Scholar] [CrossRef]
- Franco, A.; Amparore, D.; Porpiglia, F.; Autorino, R. Augmented Reality-Guided Robotic Surgery: Drilling down a Giant Leap into Small Steps. Eur. Urol. 2023, 84, 92–94. [Google Scholar] [CrossRef]
- Wu, X.; Wang, D.; Xiang, N.; Pan, M.; Jia, F.; Yang, J.; Fang, C. Augmented Reality-Assisted Navigation System Contributes to Better Intraoperative and Short-Time Outcomes of Laparoscopic Pancreaticoduodenectomy: A Retrospective Cohort Study. Int. J. Surg. 2023, 109, 2598–2607. [Google Scholar] [CrossRef]
- Attanasio, A.; Scaglioni, B.; De Momi, E.; Fiorini, P.; Valdastri, P. Autonomy in Surgical Robotics. Annu. Rev. Control. Robot. Auton. Syst. 2021, 4, 651–679. [Google Scholar] [CrossRef]
- Douek, P.C.; Boccalini, S.; Oei, E.H.G.; Cormode, D.P.; Pourmorteza, A.; Boussel, L.; Si-Mohamed, S.A.; Budde, R.P.J. Clinical Applications of Photon-Counting Ct: A Review of Pioneer Studies and a Glimpse into the Future. Radiology 2023, 309, e222432. [Google Scholar] [CrossRef] [PubMed]
- Maqsood, H.A.; Jawed, H.A.; Kumar, H.; Bansal, R.; Shahid, B.; Nazir, A.; Rustam, Z.; Aized, M.T.; Scemesky, E.A.; Lepidi, S.; et al. Advanced Imaging Techniques for Complex Endovascular Aortic Repair: Preoperative, Intraoperative and Postoperative Advancements. Ann. Vasc. Surg. 2024, 108, 519–556. [Google Scholar] [CrossRef]
- Lengyel, B.C.; Chinnadurai, P.; Corr, S.J.; Lumsden, A.B.; Bavare, C.S. Robot-Assisted Vascular Surgery: Literature Review, Clinical Applications, and Future Perspectives. J. Robot. Surg. 2024, 18, 328. [Google Scholar] [CrossRef]
- Regnier, P.; Lareyre, F.; Hassen-Khodja, R.; Durand, M.; Touma, J.; Raffort, J. Sexual Dysfunction after Abdominal Aortic Aneurysm Surgical Repair: Current Knowledge and Future Directions. Eur. J. Vasc. Endovasc. Surg. 2018, 55, 267–280. [Google Scholar] [CrossRef]
- Kokko, M.; Shi, Y.; Paydarfar, J.A.; Halter, R.J. Initial Image-Plane Assessment of Kinematic-Based Stereo Overlay in Trans-Oral Robotic Surgery; SPIE Medical Imaging: Bellingham, WA, USA, 2023; Volume 12466. [Google Scholar]
- Sui, X.; Zhang, Y.; Zhao, X.; Tao, B. Binocular-Based Dense 3d Reconstruction for Robotic Assisted Minimally Invasive Laparoscopic Surgery. Int. J. Intell. Robot. Appl. 2024, 8, 866–877. [Google Scholar] [CrossRef]
- Štádler, P.; Dorosh, J.; Dvořáček, L.; Vitásek, P.; Matouš, P.; Lin, J.C. Review and Current Update of Robotic-Assisted Laparoscopic Vascular Surgery. Semin. Vasc. Surg. 2021, 34, 225–232. [Google Scholar] [CrossRef]
- Hayashi, Y.; Misawa, K.; Hawkes, D.J.; Mori, K. Progressive Internal Landmark Registration for Surgical Navigation in Laparoscopic Gastrectomy for Gastric Cancer. Int. J. Comput. Assist. Radiol. Surg. 2016, 11, 837–845. [Google Scholar] [CrossRef]
- Felix, B.; Kalatar, S.B.; Moatz, B.; Hofstetter, C.; Karsy, M.; Parr, R.; Gibby, W. Augmented Reality Spine Surgery Navigation: Increasing Pedicle Screw Insertion Accuracy for Both Open and Minimally Invasive Spine Surgeries. Spine 2022, 47, 865–872. [Google Scholar] [CrossRef] [PubMed]
- Bounajem, M.T.; Cameron, B.; Sorensen, K.; Parr, R.; Gibby, W.; Prashant, G.; Evans, J.J.; Karsy, M. Improved Accuracy and Lowered Learning Curve of Ventricular Targeting Using Augmented Reality-Phantom and Cadaveric Model Testing. Neurosurgery 2023, 92, 884–891. [Google Scholar] [CrossRef]
- Wang, D.; Hu, H.; Zhang, Y.; Wu, X.; Zeng, X.; Yang, J.; Fang, C. Efficacy of Augmented Reality Combined with Indocyanine Green Fluorescence Imaging Guided Laparoscopic Segmentectomy for Hepatocellular Carcinoma. J. Am. Coll. Surg. 2024, 238, 321–330. [Google Scholar] [CrossRef]
- Rozen, W.M.; Chubb, D.; Stella, D.L.; Taylor, G.I.; Ashton, M.W. Evaluating Anatomical Research in Surgery: A Prospective Comparison of Cadaveric and Living Anatomical Studies of the Abdominal Wall. ANZ J. Surg. 2009, 79, 913–917. [Google Scholar] [CrossRef]
- Nagaya, N.; Shimizu, F.; Kanayama, M.; Hotta, Z.U.; Nozaki, T.; Wakumoto, Y.; Tujimura, A.; Horie, S. Movement of Target Organs and Anatomical Landmarks Caused by Body Position Change during Urological Laparoscopic Surgery. Asian J. Endosc. Surg. 2020, 13, 65–70. [Google Scholar] [CrossRef]



| Anatomical References | Anatomical Target Landmarks | ||
|---|---|---|---|
| R1 | Right Anterior Superior Iliac Spine | P1 | Aortic Bifurcation | 
| R2 | Left Anterior Superior Iliac Spine | P2 | Left Renal Artery | 
| R3 | Symphysis (upper edge) | P3 | Right Renal Artery | 
| R4 | First Sacral Vertebra | P4 | Hilum of the Left Kidney | 
| R5 | Tip of the Left XII. Rib | P5 | Hilum of the Right Kidney | 
| R6 | Tip of the Right XII. Rib | P6 | Superior Mesenteric Artery | 
| R7 * | Distal Tip of the Sternum (excluded) | P7 | Celiac Artery | 
| Target Anatomy | Pressure vs. Baseline (0 mmHg) | Supine | Right Lateral Decubitus | Left Lateral Decubitus | Trendelenburg | Reverse Trendelenburg | 
|---|---|---|---|---|---|---|
| Aortic Bifurcation | 5 | 0.5 (1.2) | 0.8 (1.8) | 0.1 (0.3) | 0.7 (0.5) | 0.8 (0.7) | 
| 15 | 2.0 (1.3) | 1.9 (2.5) | 1.6 (1.1) | 1.2 (1.2) | 0.4 (0.5) | |
| 25 | 1.7 (1.2) | 1.8 (2.5) | 2.5 (1.6) | 2.3 (1.0) | 2.2 (3.2) | |
| Left Renal Artery | 5 | 1.2 (1.2) | 0.7 (1.3) | 0.0 (0.0) | 2.7 (1.8) | 0.8 (0.5) | 
| 15 | 1.2 (1.2) | 2.8 (1.4) | 1.3 (1.3) | 2.7 (1.5) | 0.8 (0.5) | |
| 25 | 3.3 (2.9) | 2.1 (1.6) | 1.3 (1.3) | 4.8 (1.2) | 2.0 (2.2) | |
| Right Renal Artery | 5 | 3.7 (3.4) | 0.7 (1.2) | 0.2 (0.6) | 1.7 (1.9) | 1.0 (1.5) | 
| 15 | 4.0 (3.2) | 2.2 (0.9) | 0.6 (0.6) | 2.5 (2.4) | 1.5 (2.4) | |
| 25 | 3.5 (2.0) | 1.9 (1.3) | 0.9 (0.5) | 5.5 (3.3) | 2.4 (2.4) | |
| Hilum of Left Kidney | 5 | 0.7 (1.6) | 0.6 (1.2) | 0.3 (0.3) | 1.2 (1.2) | 0.8 (0.5) | 
| 15 | 2.2 (1.9) | 2.9 (1.4) | 1.2 (0.9) | 2.0 (0.6) | 0.7 (0.5) | |
| 25 | 2.0 (1.3) | 2.0 (0.9) | 1.7 (1.3) | 2.5 (0.8) | 2.1 (2.1) | |
| Hilum of Right Kidney | 5 | 1.2 (1.2) | 0.6 (1.1) | 0.4 (0.5) | 3.0 (2.4) | 2.9 (4.7) | 
| 15 | 1.3 (1.4) | 2.1 (1.9) | 1.0 (0.7) | 3.0 (1.5) | 3.4 (4.6) | |
| 25 | 2.5 (3.1) | 2.1 (1.6) | 0.8 (0.6) | 4.2 (2.9) | 3.8 (3.3) | |
| Superior Mesenteric Artery | 5 | 0.7 (1.6) | 0.6 (1.1) | 0.4 (0.6) | 1.5 (1.2) | 0.7 (0.5) | 
| 15 | 2.2 (1.9) | 2.7 (1.0) | 0.8 (0.3) | 1.5 (2.3) | 1.2 (1.2) | |
| 25 | 2.7 (1.8) | 1.5 (1.4) | 2.1 (1.3) | 2.3 (1.0) | 2.7 (3.0) | |
| Celiac Artery | 5 | 0.7 (1.6) | 0.5 (1.0) | 0.4 (0.7) | 1.5 (2.0) | 0.9 (0.8) | 
| 15 | 1.5 (1.9) | 2.7 (0.8) | 0.6 (0.6) | 2.3 (2.4) | 1.2 (1.5) | |
| 25 | 2.0 (1.1) | 1.6 (1.3) | 1.3 (1.0) | 6.7 (2.6) | 3.5 (3.5) | 
| Target Anatomy | Position vs. Baseline (Supine) | 0 mmHg | 5 mmHg | 15 mmHg | 25 mmHg | 
|---|---|---|---|---|---|
| Aortic Bifurcation | Left lateral decubitus | 4.1 (3.5) | 4.2 (2.6) | 3.3 (2.8) | 4.6 (4.5) | 
| Right lateral decubitus | 8.7 (3.4) | 8.2 (3.8) | 9.2 (4.8) | 10.3 (4.7) | |
| Trendelenburg | 4.9 (2.4) | 4.4 (3.2) | 5.0 (4.1) | 3.5 (3.7) | |
| Reverse Trendelenburg | 6.3 (4.8) | 5.4 (5.0) | 6.1 (5.3) | 5.3 (3.7) | |
| Left Renal Artery | Left lateral decubitus | 4.0 (3.7) | 5.2 (3.7) | 6.5 (4.5) | 7.4 (6.9) | 
| Right lateral decubitus | 3.6 (3.6) | 3.1 (2.7) | 2.1 (1.9) | 3.8 (3.2) | |
| Trendelenburg | 4.0 (2.9) | 1.6 (1.9) | 1.7 (1.6) | 4.2 (2.0) | |
| Reverse Trendelenburg | 4.9 (4.3) | 4.8 (4.0) | 4.4 (4.2) | 2.9 (2.7) | |
| Right Renal Artery | Left lateral decubitus | 8.0 (5.2) | 6.0 (4.2) | 6.2 (3.6) | 7.1 (3.2) | 
| Right lateral decubitus | 2.5 (1.0) | 3.9 (2.5) | 4.2 (1.7) | 3.4 (1.9) | |
| Trendelenburg | 3.7 (2.6) | 2.8 (2.8) | 2.4 (2.6) | 4.8 (3.3) | |
| Reverse Trendelenburg | 4.6 (4.4) | 5.6 (4.7) | 4.4 (5.0) | 3.1 (3.8) | |
| Hilum of Left Kidney | Left lateral decubitus | 4.0 (1.8) | 4.0 (2.1) | 2.8 (1.3) | 3.9 (2.0) | 
| Right lateral decubitus | 2.9 (2.1) | 2.5 (2.5) | 2.8 (1.5) | 2.8 (2.0) | |
| Trendelenburg | 1.5 (1.0) | 2.5 (1.0) | 3.6 (1.9) | 2.8 (2.1) | |
| Reverse Trendelenburg | 5.8 (5.0) | 5.7 (5.0) | 6.6 (4.9) | 5.7 (4.4) | |
| Hilum of Right Kidney | Left lateral decubitus | 6.7 (2.8) | 6.5 (4.1) | 5.4 (2.7) | 4.2 (3.1) | 
| Right lateral decubitus | 2.8 (1.5) | 1.9 (1.3) | 1.6 (1.6) | 3.0 (3.8) | |
| Trendelenburg | 2.1 (1.5) | 3.0 (1.8) | 1.9 (2.3) | 4.0 (3.1) | |
| Reverse Trendelenburg | 14.0 (6.3) | 13.5 (6.5) | 15.9 (8.3) | 16.6 (8.9) | |
| Superior Mesenteric Artery | Left lateral decubitus | 5.8 (5.0) | 5.7 (4.5) | 6.0 (4.3) | 6.5 (4.4) | 
| Right lateral decubitus | 5.8 (5.2) | 6.5 (5.0) | 6.6 (4.1) | 5.4 (3.7) | |
| Trendelenburg | 3.1 (3.3) | 4.2 (3.4) | 4.5 (3.8) | 3.5 (2.7) | |
| Reverse Trendelenburg | 7.6 (6.2) | 8.2 (5.8) | 8.7 (6.2) | 6.2 (5.4) | |
| Celiac Artery | Left lateral decubitus | 5.2 (2.4) | 5.1 (3.1) | 4.1 (3.2) | 4.5 (3.0) | 
| Right lateral decubitus | 3.6 (3.2) | 4.6 (2.9) | 5.5 (3.0) | 3.8 (1.8) | |
| Trendelenburg | 4.9 (3.3) | 5.2 (3.4) | 5.6 (4.0) | 3.4 (2.0) | |
| Reverse Trendelenburg | 6.4 (5.1) | 6.6 (5.0) | 7.1 (5.4) | 4.1 (4.6) | 
| Disclaimer/Publisher’s Note: The statements, opinions and data contained in all publications are solely those of the individual author(s) and contributor(s) and not of MDPI and/or the editor(s). MDPI and/or the editor(s) disclaim responsibility for any injury to people or property resulting from any ideas, methods, instructions or products referred to in the content. | 
© 2025 by the authors. Licensee MDPI, Basel, Switzerland. This article is an open access article distributed under the terms and conditions of the Creative Commons Attribution (CC BY) license (https://creativecommons.org/licenses/by/4.0/).
Share and Cite
Lengyel, B.C.; Chinnadurai, P.; Barnes, R.G.; Bavare, C.S.; Lumsden, A.B. Early Concepts in CT Image-Guided Robotic Vascular Surgery: The Displacement of Retroperitoneal Structures During Simulated Procedures in a Cadaveric Model. Tomography 2025, 11, 60. https://doi.org/10.3390/tomography11060060
Lengyel BC, Chinnadurai P, Barnes RG, Bavare CS, Lumsden AB. Early Concepts in CT Image-Guided Robotic Vascular Surgery: The Displacement of Retroperitoneal Structures During Simulated Procedures in a Cadaveric Model. Tomography. 2025; 11(6):60. https://doi.org/10.3390/tomography11060060
Chicago/Turabian StyleLengyel, Balazs C., Ponraj Chinnadurai, Rebecca G. Barnes, Charudatta S. Bavare, and Alan B. Lumsden. 2025. "Early Concepts in CT Image-Guided Robotic Vascular Surgery: The Displacement of Retroperitoneal Structures During Simulated Procedures in a Cadaveric Model" Tomography 11, no. 6: 60. https://doi.org/10.3390/tomography11060060
APA StyleLengyel, B. C., Chinnadurai, P., Barnes, R. G., Bavare, C. S., & Lumsden, A. B. (2025). Early Concepts in CT Image-Guided Robotic Vascular Surgery: The Displacement of Retroperitoneal Structures During Simulated Procedures in a Cadaveric Model. Tomography, 11(6), 60. https://doi.org/10.3390/tomography11060060
 
        


 
       