Invasive Streptococcus intermedius Infections in Children: Two Cases from a Pediatric Infectious Diseases Unit in Italy
Abstract
1. Introduction
2. Case Reports
2.1. Case One—Liver Abscess
2.1.1. Medical History and Clinical Manifestations
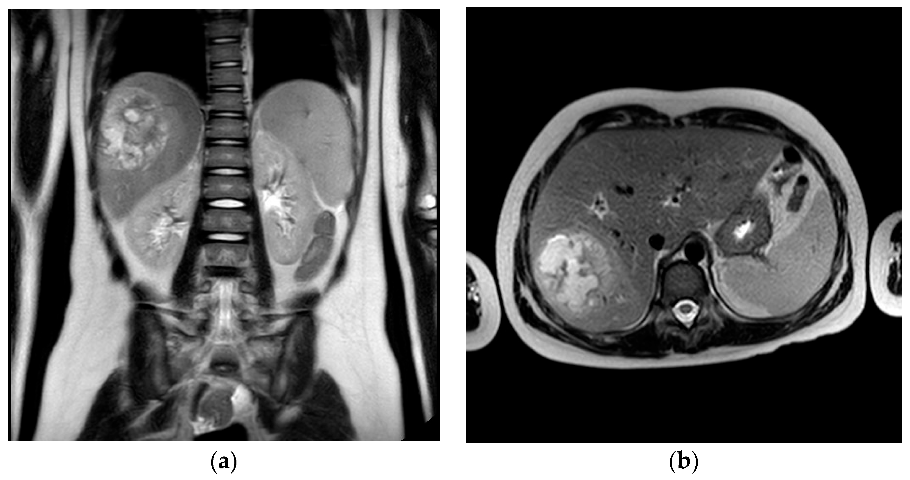
2.1.2. Initial Assessment and Hematological and Radiological Investigations
2.1.3. Microbiology Investigations
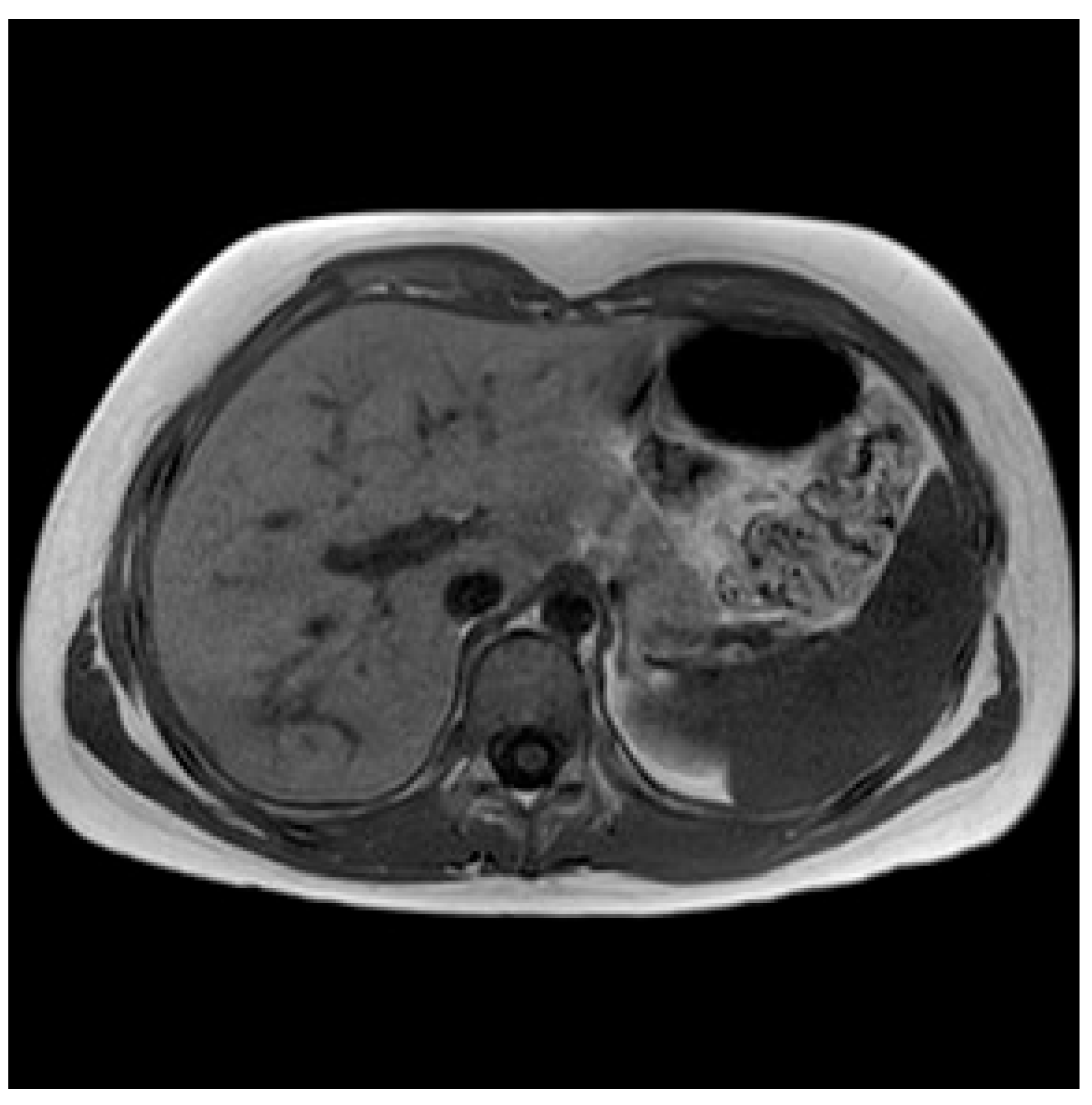
2.1.4. Treatment and Outcome
2.2. Case Two—Pansinusitis, Bilateral Otomastoiditis, and Parapharyngeal Abscess Complicated by Acute Mediastinitis, Thrombophlebitis, and Vein Thrombosis
2.2.1. Medical History and Clinical Manifestations
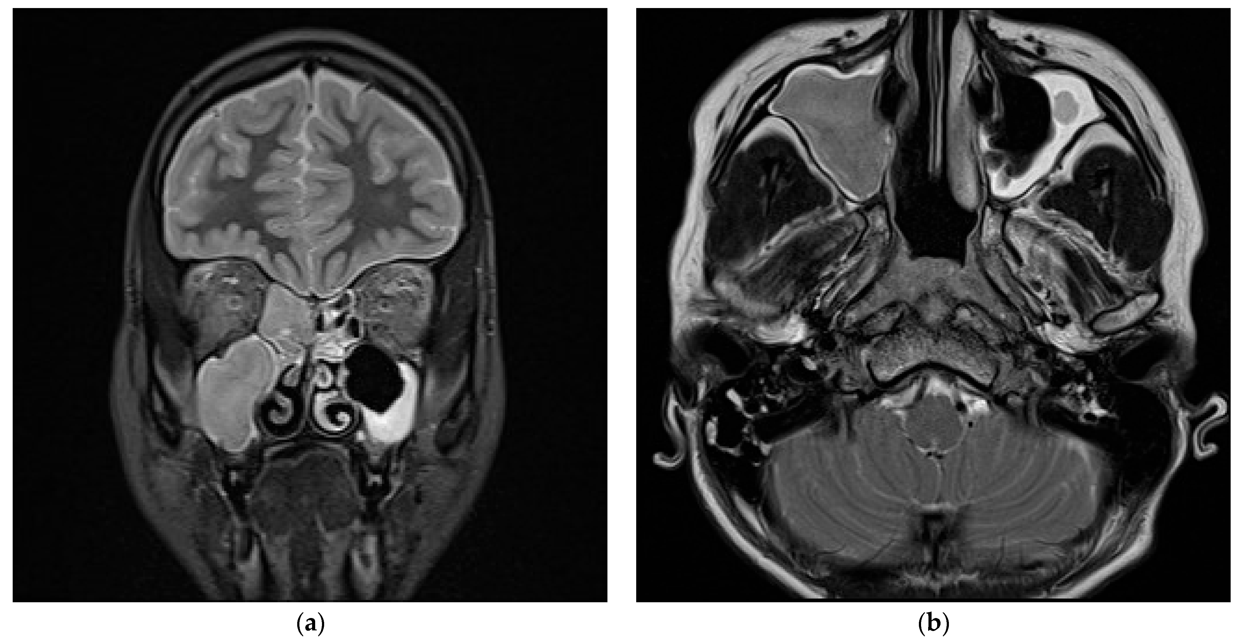
2.2.2. Initial Assessment and Hematological and Radiological Investigations
2.2.3. Microbiology Investigations
2.2.4. Treatment and Outcome
3. Discussion
4. Conclusions
Author Contributions
Funding
Institutional Review Board Statement
Informed Consent Statement
Data Availability Statement
Conflicts of Interest
References
- Jensen, A.; Hoshino, T.; Kilian, M. Taxonomy of the Anginosus Group of the Genus Streptococcus and Description of Streptococcus anginosus Subsp. Whileyi Subsp. Nov. and Streptococcus constellatus Subsp. Viborgensis Subsp. Nov. Int. J. Syst. Evol. Microbiol. 2013, 63, 2506–2519. [Google Scholar] [CrossRef] [PubMed]
- Sitkiewicz, I. How to Become a Killer, or Is It All Accidental? Virulence Strategies in Oral Streptococci. Mol. Oral Microbiol. 2018, 33, 1–12. [Google Scholar] [CrossRef] [PubMed]
- Allonen, S.; Aittoniemi, J.; Vuorialho, M.; Närhi, L.; Panula, K.; Vuento, R.; Honkaniemi, J. Streptococcus intermedius Causing Primary Bacterial Ventriculitis in a Patient with Severe Periodontitis—A Case Report. BMC Neurol. 2024, 24, 112. [Google Scholar] [CrossRef] [PubMed]
- Neumayr, A.; Kubitz, R.; Bode, J.G.; Bilk, P.; Häussinger, D. Multiple Liver Abscesses with Isolation of Streptococcus intermedius Related to a Pyogenic Dental Infection in an Immuno-Competent Patient. Eur. J. Med. Res. 2010, 15, 319. [Google Scholar] [CrossRef]
- Asam, D.; Spellerberg, B. Molecular Pathogenicity of Streptococcus anginosus. Mol. Oral Microbiol. 2014, 29, 145–155. [Google Scholar] [CrossRef]
- Joanna, B.; Magdalena, P.-Z.; Ewelina, D.; Aleksandra, K.; Dariusz, N.; Katarzyna, O.; Agnieszka, S.-P.; Izabela, K.-Z.; Izabela, S.; Joanna, K. Studies of Streptococcus anginosus Virulence in Dictyostelium Discoideum and Galleria Mellonella Models. Infect. Immun. 2023, 91, e00016-23. [Google Scholar] [CrossRef]
- Tracy, M.; Wanahita, A.; Shuhatovich, Y.; Goldsmith, E.A.; Clarridge, J.E., III. Antibiotic Susceptibilities of Genetically Characterized Streptococcus milleri Group Strains. Antimicrob. Agents Chemother. 2001, 45, 1511–1514. [Google Scholar] [CrossRef]
- Pilarczyk-Zurek, M.; Sitkiewicz, I.; Koziel, J. The Clinical View on Streptococcus anginosus Group—Opportunistic Pathogens Coming Out of Hiding. Front. Microbiol. 2022, 13, 956677. [Google Scholar] [CrossRef]
- Junckerstorff, R.K.; Robinson, J.O.; Murray, R.J. Invasive Streptococcus anginosus Group Infection—Does the Species Predict the Outcome? Int. J. Infect. Dis. 2014, 18, 38–40. [Google Scholar] [CrossRef]
- Issa, E.; Salloum, T.; Tokajian, S. From Normal Flora to Brain Abscesses: A Review of Streptococcus intermedius. Front. Microbiol. 2020, 11, 826. [Google Scholar] [CrossRef]
- Jiang, S.; Li, M.; Fu, T.; Shan, F.; Jiang, L.; Shao, Z. Clinical Characteristics of Infections Caused by Streptococcus anginosus Group. Sci. Rep. 2020, 10, 9032. [Google Scholar] [CrossRef] [PubMed]
- Schwarz-Linek, U.; Höök, M.; Potts, J.R. The Molecular Basis of Fibronectin-Mediated Bacterial Adherence to Host Cells. Mol. Microbiol. 2004, 52, 631–641. [Google Scholar] [CrossRef] [PubMed]
- Allen, B.L.; Katz, B.; Höök, M. Streptococcus anginosus Adheres to Vascular Endothelium Basement Membrane and Purified Extracellular Matrix Proteins. Microb. Pathog. 2002, 32, 191–204. [Google Scholar] [CrossRef] [PubMed]
- Skov Sørensen, U.B.; Yao, K.; Yang, Y.; Tettelin, H.; Kilian, M. Capsular Polysaccharide Expression in Commensal Streptococcus Species: Genetic and Antigenic Similarities to Streptococcus Pneumoniae. MBio 2016, 7, 10–1128. [Google Scholar] [CrossRef]
- Rodriguez-Granger, J.; Spellerberg, B.; Asam, D.; Rosa-Fraile, M. Non-Haemolytic and Non-Pigmented Group b Streptococcus, an Infrequent Cause of Early Onset Neonatal Sepsis. Pathog. Dis. 2015, 73, ftv089. [Google Scholar] [CrossRef]
- Tabata, A.; Nagamune, H. Diversity of β-Hemolysins Produced by the Human Opportunistic Streptococci. Microbiol. Immunol. 2021, 65, 512–529. [Google Scholar] [CrossRef]
- Takao, A.; Nagashima, H.; Usui, H.; Sasaki, F.; Maeda, N.; Ishibashi, K.; Fujita, H. Hyaluronidase Activity in Human Pus from Which Streptococcus intermedius Was Isolated. Microbiol. Immunol. 1997, 41, 795–798. [Google Scholar] [CrossRef]
- Wu, H.; Zheng, R. Splenic Abscess Caused by Streptococcus anginosus Bacteremia Secondary to Urinary Tract Infection: A Case Report and Literature Review. Open Med. 2020, 15, 997–1002. [Google Scholar] [CrossRef]
- Al Majid, F.; Aldrees, A.; Barry, M.; Binkhamis, K.; Allam, A.; Almohaya, A. Streptococcus anginosus Group Infections: Management and Outcome at a Tertiary Care Hospital. J. Infect. Public Health 2020, 13, 1749–1754. [Google Scholar] [CrossRef]
- Darlow, C.A.; McGlashan, N.; Kerr, R.; Oakley, S.; Pretorius, P.; Jones, N.; Matthews, P.C. Microbial Aetiology of Brain Abscess in a UK Cohort: Prominent Role of Streptococcus intermedius. J. Infect. 2020, 80, 623–629. [Google Scholar] [CrossRef]
- Yamamoto, M.; Fukushima, T.; Ohshiro, S.; Go, Y.; Tsugu, H.; Kono, K.; Tomonaga, M. Brain Abscess Caused by Streptococcus intermedius: Two Case Reports. Surg. Neurol. 1999, 51, 219–222. [Google Scholar] [CrossRef] [PubMed]
- Hidaka, H.; Kuriyama, S.; Yano, H.; Tsuji, I.; Kobayashi, T. Precipitating Factors in the Pathogenesis of Peritonsillar Abscess and Bacteriological Significance of the Streptococcus milleri Group. Eur. J. Clin. Microbiol. Infect. Dis. 2011, 30, 527–532. [Google Scholar] [CrossRef] [PubMed]
- Santos, F.V.; Pires, S.X.; Pereira, C.; Gonçalves, L.; Martins, S.; Aragão, I. Deep Neck Space Infection and Lemierre’s Syndrome Caused by Streptococcus Anginosus: A Case Report. IDCases 2020, 19, e00669. [Google Scholar] [CrossRef] [PubMed]
- Jerng, J.-S.; Hsueh, P.-R.; Teng, L.-J.; Lee, L.-N.; Yang, P.-C.; Luh, K.-T. Empyema Thoracis and Lung Abscess Caused by Viridans Streptococci. Am. J. Respir. Crit. Care Med. 1997, 156, 1508–1514. [Google Scholar] [CrossRef]
- Noguchi, S.; Yatera, K.; Kawanami, T.; Yamasaki, K.; Naito, K.; Akata, K.; Shimabukuro, I.; Ishimoto, H.; Yoshii, C.; Mukae, H. The Clinical Features of Respiratory Infections Caused by the Streptococcus anginosus Group. BMC Pulm. Med. 2015, 15, 133. [Google Scholar] [CrossRef]
- Khan, M.S.; Khan, Z.; Banglore, B.S.; Alkhoury, G.; Murphy, L.; Georgescu, C. Primary Purulent Bacterial Pericarditis Due to Streptococcus intermedius in an Immunocompetent Adult: A Case Report. J. Med. Case Rep. 2018, 12, 27. [Google Scholar] [CrossRef]
- Hiura, A.; Kim, E.-C.; Ikehara, T.; Matsumura, Y.; Mishima, K.; Ishida, I. Hepatic Abscess as a Complication of the Sump Syndrome. J. Hepato Biliary Pancreat. Surg. 2000, 7, 231–235. [Google Scholar] [CrossRef]
- Ismail, K.; Hughes, I.; Moloney, S.; Grimwood, K. Streptococcus anginosus Group Infections in Hospitalised Children and Young People. J. Paediatr. Child Health 2022, 58, 809–814. [Google Scholar] [CrossRef]
- Furuichi, M.; Horikoshi, Y. Sites of Infection Associated with Streptococcus anginosus Group among Children. J. Infect. Chemother. 2018, 24, 99–102. [Google Scholar] [CrossRef]
- Meddings, L.; Myers, R.P.; Hubbard, J.; Shaheen, A.A.; Laupland, K.B.; Dixon, E.; Coffin, C.; Kaplan, G.G. A Population-Based Study of Pyogenic Liver Abscesses in the United States: Incidence, Mortality, and Temporal Trends. Off. J. Am. Coll. Gastroenterol.|ACG 2010, 105, 117–124. [Google Scholar] [CrossRef]
- Pang, T.C.; Fung, T.; Samra, J.; Hugh, T.J.; Smith, R.C. Pyogenic Liver Abscess: An Audit of 10 Years’ Experience. World J. Gastroenterol. 2011, 17, 1622–1630. [Google Scholar] [CrossRef] [PubMed]
- McNeil, J.C.; Dunn, J.J.; Kaplan, S.L.; Vallejo, J.G. Complications of Otitis Media and Sinusitis Caused by Streptococcus anginosus Group Organisms in Children. Pediatr. Infect. Dis. J. 2020, 39, 108–113. [Google Scholar] [CrossRef] [PubMed]
- Kameda-Smith, M.M.; Mendoza, M.; Brown, L.-A.; Hartley, J.; Aquilina, K.; James, G.; Jeelani, N.O.; Silva, A.H.D.; Thompson, D.; Tisdall, M.; et al. Comparison of Endoscopic Sinus Sampling versus Intracranial Sampling for Microbiological Diagnosis of Intracranial Infection in Children: A Case Series and Literature Review. Child’s Nerv. Syst. 2023, 39, 3561–3570. [Google Scholar] [CrossRef]
- Sexton, G.P.; Nae, A.; Cleere, E.F.; O’Riordan, I.; O’Neill, J.P.; Lacy, P.D.; Amin, M.; Colreavy, M.; Caird, J.; Crimmins, D. Concurrent Management of Suppurative Intracranial Complications of Sinusitis and Acute Otitis Media in Children. Int. J. Pediatr. Otorhinolaryngol. 2022, 156, 111093. [Google Scholar] [CrossRef]
- Amar, Y.G.; Manoukian, J.J. Intraoral Drainage: Recommended as the Initial Approach for the Treatment of ParapHaryngeal Abscesses. Otolaryngol. Neck Surg. 2004, 130, 676–680. [Google Scholar] [CrossRef]
- Sethi, D.S.; Stanley, R.E. Parapharyngeal Abscesses. J. Laryngol. Otol. 1991, 105, 1025–1030. [Google Scholar] [CrossRef]
- Singer, R.; Abu Sin, M.; Tenenbaum, T.; Toepfner, N.; Berner, R.; Buda, S.; Schlaberg, J.; Schönfeld, V.; Reinacher, U.; van der Linden, M.; et al. The Increase in Invasive Bacterial Infections With Respiratory Transmission in Germany, 2022/2023. Dtsch Arztebl Int. 2024, 121, 114–120. [Google Scholar] [CrossRef]
- European Centre for Disease Prevention and Control Increase in Invasive Group A Streptococcal Infections among Children in Europe, Including Fatalities. Available online: https://www.ecdc.europa.eu/en/news-events/increase-invasive-group-streptococcal-infections-among-children-europe-including (accessed on 11 October 2024).
- Center for Disease Control and Prevention Increase in Invasive Group A Strep Infections, 2022–2023. Available online: https://archive.cdc.gov/#/details?url=https://www.cdc.gov/groupastrep/igas-infections-investigation.html (accessed on 11 October 2024).
- World Health Organization. Increased Incidence of Scarlet Fever and Invasive Group a Streptococcus Infection—Multi-Country; World Health Organization: Geneva, Switzerland, 2022. [Google Scholar]
- Whiley, R.A.; Beighton, D.; Winstanley, T.G.; Fraser, H.Y.; Hardie, J.M. Streptococcus intermedius, Streptococcus Constellatus, and Streptococcus anginosus (the Streptococcus milleri Group): Association with Different Body Sites and Clinical Infections. J. Clin. Microbiol. 1992, 30, 243–244. [Google Scholar] [CrossRef]
- Livingston, L.V.; Perez-Colon, E. Streptococcus intermedius Bacteremia and Liver Abscess Following a Routine Dental Cleaning. Case Rep. Infect. Dis. 2014, 2014, 954046. [Google Scholar] [CrossRef]
- Ferreira, L.; Vega, S.; Sánchez-Juanes, F.; González, M.; Herrero, A.; Muñiz, M.C.; González-Buitrago, J.M.; Muñoz, J.L. Identificación Bacteriana Mediante Espectrometría de Masas Matrix-Assisted Laser Desorption Ionization Time-of-Flight. Comparación Con La Metodología Habitual En Los Laboratorios de Microbiología Clínica. Enferm. Infecc. Microbiol. Clin. 2010, 28, 492–497. [Google Scholar] [CrossRef]
- Raquel, A.-G.; Daniel, P.M.; André, C.J.; José, M.-C.; Mário, R. Comparing Matrix-Assisted Laser Desorption Ionization–Time of Flight Mass Spectrometry and Phenotypic and Molecular Methods for Identification of Species within the Streptococcus anginosus Group. J. Clin. Microbiol. 2015, 53, 3580–3588. [Google Scholar] [CrossRef]
- Zárate, M.S.; Romano, V.; Nievas, J.; Smayevsky, J. Utilidad de La Espectrometría de Masas MALDI-TOF En La Identificación de Bacterias Anaerobias. Rev. Argent. Microbiol. 2014, 46, 98–102. [Google Scholar] [CrossRef] [PubMed]
- Boyanova, L. Cutibacterium Acnes (Formerly Propionibacterium Acnes): Friend or Foe? Future Microbiol. 2023, 18, 235–244. [Google Scholar] [CrossRef] [PubMed]
- Alcaide, F.; Liñares, J.; Pallares, R.; Carratala, J.; Benitez, M.A.; Gudiol, F.; Martin, R. In Vitro Activities of 22 Beta-Lactam Antibiotics against Penicillin-Resistant and Penicillin-Susceptible Viridans Group Streptococci Isolated from Blood. Antimicrob. Agents Chemother. 1995, 39, 2243–2247. [Google Scholar] [CrossRef]
- Köhler, W. The Present State of Species within the Genera Streptococcus and Enterococcus. Int. J. Med. Microbiol. 2007, 297, 133–150. [Google Scholar] [CrossRef]
- Siegman-Igra, Y.; Azmon, Y.; Schwartz, D. Milleri Group Streptococcus—A Stepchild in the Viridans Family. Eur. J. Clin. Microbiol. Infect. Dis. 2012, 31, 2453–2459. [Google Scholar] [CrossRef]
- Pastene, B.; Cassir, N.; Tankel, J.; Einav, S.; Fournier, P.-E.; Thomas, P.; Leone, M. Mediastinitis in the Intensive Care Unit Patient: A Narrative Review. Clin. Microbiol. Infect. 2020, 26, 26–34. [Google Scholar] [CrossRef]
- Skala, M.; Sebek, J.; Vodicka, J.; Safránek, J.; Geiger, J.; Zidkova, A. The Diagnostics and Treatment of Acute Mediastinitis—Single Institute Experiences. Clin. Surg. 2021, 6, 30–42. [Google Scholar] [CrossRef]
- Lübbert, C.; Wiegand, J.; Karlas, T. Therapy of Liver Abscesses. Viszeralmedizin 2014, 30, 334–341. [Google Scholar] [CrossRef]
- Lardière-Deguelte, S.; Ragot, E.; Amroun, K.; Piardi, T.; Dokmak, S.; Bruno, O.; Appere, F.; Sibert, A.; Hoeffel, C.; Sommacale, D.; et al. Hepatic Abscess: Diagnosis and Management. J. Visc. Surg. 2015, 152, 231–243. [Google Scholar] [CrossRef]




| Day 0 | Day 3 | Day 8 | Day 14 | Day 17 | |
|---|---|---|---|---|---|
| Leukocyte count (×109/L) | 15.280 | 11.480 | 12.410 | 7.27 | 4.57 |
| Platelets count (×109/L) | 134 | 188 | 654 | 757 | 319 |
| C-reactive protein (mg/L) | 236.9 | 218.4 | 81.9 | 10.5 | 5 |
| Procalcitonin (ng/mL) | 10.9 | 8.3 | 0.79 | - | - |
| SGPT (IU/L) | 120 | 49 | 39 | 29 | - |
| SGOT (IU/L) | 81 | 33 | 42 | 33 | - |
| gamma-GT (IU/L) | 18 | 45 | 70 | 96 | - |
Disclaimer/Publisher’s Note: The statements, opinions and data contained in all publications are solely those of the individual author(s) and contributor(s) and not of MDPI and/or the editor(s). MDPI and/or the editor(s) disclaim responsibility for any injury to people or property resulting from any ideas, methods, instructions or products referred to in the content. |
© 2024 by the authors. Licensee MDPI, Basel, Switzerland. This article is an open access article distributed under the terms and conditions of the Creative Commons Attribution (CC BY) license (https://creativecommons.org/licenses/by/4.0/).
Share and Cite
Veronese, P.; Cella, S.; Giacometti, A.; Lapetina, I.; Maffini, V.; Pappalardo, M.; Rubini, M.; Ruozi, M.B.; Dodi, I. Invasive Streptococcus intermedius Infections in Children: Two Cases from a Pediatric Infectious Diseases Unit in Italy. Pathogens 2024, 13, 1099. https://doi.org/10.3390/pathogens13121099
Veronese P, Cella S, Giacometti A, Lapetina I, Maffini V, Pappalardo M, Rubini M, Ruozi MB, Dodi I. Invasive Streptococcus intermedius Infections in Children: Two Cases from a Pediatric Infectious Diseases Unit in Italy. Pathogens. 2024; 13(12):1099. https://doi.org/10.3390/pathogens13121099
Chicago/Turabian StyleVeronese, Piero, Simone Cella, Alessandra Giacometti, Irene Lapetina, Valentina Maffini, Marco Pappalardo, Monica Rubini, Maria Beatrice Ruozi, and Icilio Dodi. 2024. "Invasive Streptococcus intermedius Infections in Children: Two Cases from a Pediatric Infectious Diseases Unit in Italy" Pathogens 13, no. 12: 1099. https://doi.org/10.3390/pathogens13121099
APA StyleVeronese, P., Cella, S., Giacometti, A., Lapetina, I., Maffini, V., Pappalardo, M., Rubini, M., Ruozi, M. B., & Dodi, I. (2024). Invasive Streptococcus intermedius Infections in Children: Two Cases from a Pediatric Infectious Diseases Unit in Italy. Pathogens, 13(12), 1099. https://doi.org/10.3390/pathogens13121099

