Abstract
Parathyroid carcinoma (PC) associated with primary hyperparathyroidism (PHPT) has been well investigated in recent years. Data regarding PC evolution in secondary hyperparathyroidism (SHPT) due to chronic kidney disease (CKD) are, however, scarce. Most features that raise the suspicion of PC in PHPT are part of the usual SHPT evolution in CKD, mirroring the natural changes undergone by the parathyroid glands. Therefore, pre-surgically establishing the malignant or benign character of the lesions is cumbersome. We present two cases of PC in end-stage renal disease, one of which was bilateral, diagnosed after total parathyroidectomy in a high-volume parathyroid surgery center. A literature review of the data was also performed. A systematic search of the PubMed/MEDLINE database until January 2024 identified 42 cases of PC associated with SHPT. Understanding the PC features in CKD might improve associated bone and mineral disease management, and reduce the risk of metastasis, parathyromatosis, or recurrence. Irradiation, prolonged immunosuppression, long dialysis vintage, and genotype may predispose to the malignant transformation of chronically stimulated parathyroids. Despite postsurgical diagnosis, favorable outcomes occurred when distant metastases were absent, even without “en bloc” resection. Further research is warranted to delineate specific diagnostic and therapeutic approaches tailored to this particular patient subpopulation.
1. Background
Although considered the least common endocrine malignancy (1% of all cases of primary hyperparathyroidism), parathyroid carcinoma (PC) has registered a rise in its incidence in the last 5 decades, partially explained also by the more frequent serum calcium screening or the greater life expectancy [1,2,3]. The cure of PC is largely dependent on surgery, with “en bloc” resection being the gold-standard procedure [1,4]; therefore, preoperative diagnosis is desirable, especially as the decision to perform radical neck surgery is not easy [1,5]. Establishing the diagnosis is challenging, as the clinical spectrum is similar to a benign lesion [2]. The criteria that may differentiate PC from a parathyroid adenoma (PA) or from an atypical parathyroid tumor are the aggressive behavior, severe hypercalcemia and its related complications, and the metastatic potential [2]. These criteria are, however, not always present in PC, and certain PAs (especially those of higher dimensions) can also be accompanied by severe hypercalcemia and/or complications [1,6]. Only histopathology is able to confirm the malignancy, vascular, lymphatic, or perineural invasion being a mandatory feature [2,7].
While the understanding of PC occurrence in primary hyperparathyroidism (PHPT) has evolved in recent years [1,2,3], much less is known about its evolution in secondary hyperparathyroidism (SHPT) due to chronic kidney disease (CKD), hereafter referred to as SHPT.
CKD mineral and bone disorders (CKD-MBD) is an inevitable complication occurring along the natural course of kidney disease, with a significant contribution to the cardiovascular mortality of these patients. Low calcitriol, high fibroblast growth factor 23 (FGF23), chronic hypocalcemia, and hyperphosphatemia lead to SHPT with hyperplastic transformation of the parathyroids, renal osteodystrophy, and vascular calcifications [3,8,9,10]. SHPT is constantly present in end-stage renal disease (ESRD) [10,11]. It often becomes resistant to available medical treatments, raising the need for parathyroidectomy (PTx) [10,11,12]. PC is seldom diagnosed after PTx in SHPT, with only 42 cases reported up to the writing of this manuscript [13,14,15], while the mechanism of parathyroid tumorigenesis is not fully understood [8,9,10,16,17]. Moreover, features that help identify PC in PHPT mimic the natural changes undergone by the parathyroid glands in SHPT (large dimensions, very high parathormone (PTH), high 99mTc-methoxyisobuthylisonitrile (99mTc-MIBI) scintigraphy uptake on scintigraphy, and low expression of vitamin D or calcium-sensing receptor) [11,12,16,18,19]. The management of these patients after diagnosis remains a dilemma, as reintervention poses the risk of parathyromatosis [20]. Nevertheless, reported outcomes differ significantly, even in the absence of “gold standard” surgery [14,15].
We report two cases of PC in ESRD diagnosed postoperatively after total PTx in a high-volume PTx surgery department, among which is a rare finding of bilateral functional PC. Literature data were also reviewed, and key aspects related to the pathogenesis, clinical features, diagnosis, treatment, and outcome of PC in CKD are discussed.
2. Case Presentation
2.1. Case 1
We herein present the case of a 61-year-old woman diagnosed with ESRD at the age of 44 and undergoing dialysis ever since. Six months prior to her presentation, she was diagnosed with SHPT (PTH = 1048 pg/mL, Table 1) and managed conservatively using calcitriol and paricalcitol without success (Table 1). She complained of severe osteo-articular pain and muscle weakness, while physical examination revealed a cervical anterior painless mass, without any palpable lymph nodes.
Table 1.
Biochemical data at diagnosis and after the surgery intervention for case 1.
Thyroid ultrasound described a 2.06/1.23 cm hypoechoic mass, located inferior to the right thyroid lobe and also a left 1.04/0.78/1.54 cm posterior subcapsular hypoechoic nodule. These lesions were later confirmed to be PAs on 99mTc-MIBI scintigraphy-single-photon emission computed tomography (99mTc-MIBI-SPECT), which showed increased uptake in the lower third of the right thyroid lobe and posterior to the left thyroid lobe, interpreted as right inferior and left inferior PAs, respectively (Figure 1). Dual-energy X-ray absorptiometry showed a T-score of −2.8 SD for the lumbar spine, −2.6 SD for the femoral neck, and −3.3 SD for the 1/3 radius. Additionally, calcifications were identified in the aortic and mitral valves.
Figure 1.
(a) 99Tc; (b) early 99mTc-methoxyisobuthylisonitrile (99mTc-MIBI); (c) delayed 99mTc-MIBI scintigraphy images of the neck: increased radiotracer uptake in the lower third of the right thyroid lobe and posterior to the left thyroid lobe, interpreted as a right inferior and a left inferior parathyroid adenoma, respectively (arrows).
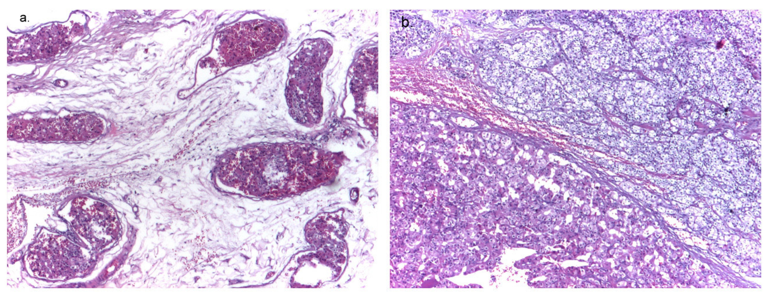
Due to severe persistent SHPT non-responsive to medical treatment, the patient underwent neck exploration, which revealed enlarged right (largest diameter 3.5 cm) and left inferior (largest diameter 2 cm) parathyroid glands, respectively. Subtotal PTx was performed. The pathology report showed frequent vascular tumor emboli in the surrounding adipose tissue of the left superior and right inferior parathyroid glands. The morphological aspects were consistent with a bilateral parathyroid carcinoma with angioinvasion, stage pT1NxL0V1Pn0 with safety margin excision (Figure 2).
Figure 2.
Case 1: left inferior parathyroid gland, hematoxylin–eosin, ×4. (a) Vascular tumor embolism in the capsular vessels: deposits of fibrin and parathyroid cells. (b) Solid and trabecular architecture with parathyroid main and oxyphil cells.
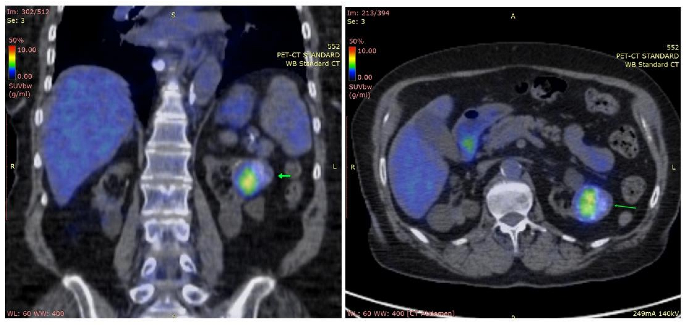
PTH levels showed an important early postsurgical drop but tended to increase at 6 and 9 months, despite normal levels of calcium (Table 1). Consequently, a positron emission tomography-computed tomography scan (PET-CT) was performed, showing a metabolically active, heterogeneous, renal mass with calcifications of 37/39/36 mm (Figure 3). Further investigations are needed to distinguish between primary renal lesion and PC metastasis.
Figure 3.
Positron emission tomography: abdominal coronal and axial sections; heterogeneous left renal mass with calcifications, metabolically active (maximum standardized uptake value = 6.3 g/mL; arrows).
2.2. Case 2
Our second case is a 50-year-old male patient with CKD due to polycystic kidney disease who had been undergoing dialysis for 20 years. He associated CKD-MBD with severe persistent SHPT refractory to conservatory treatment. The patient complained of severe generalized bone pain and muscle fatigue.
No palpable mass or lymph nodes were found in the cervical area. The patient had very high PTH levels (1911 pg/mL), elevated alkaline phosphatase (ALP = 161 U/L), and mild hypercalcemia (10.4 mg/dL) (Table 2).
Table 2.
Biochemical data at diagnosis and after surgical intervention for case 2.
He also had secondary osteoporosis with a lumbar T-score of −4 SD, a neck T-score of −3.6 SD, and a 1/3 radius T-score of −3.6 SD for which Denosumab was prescribed.
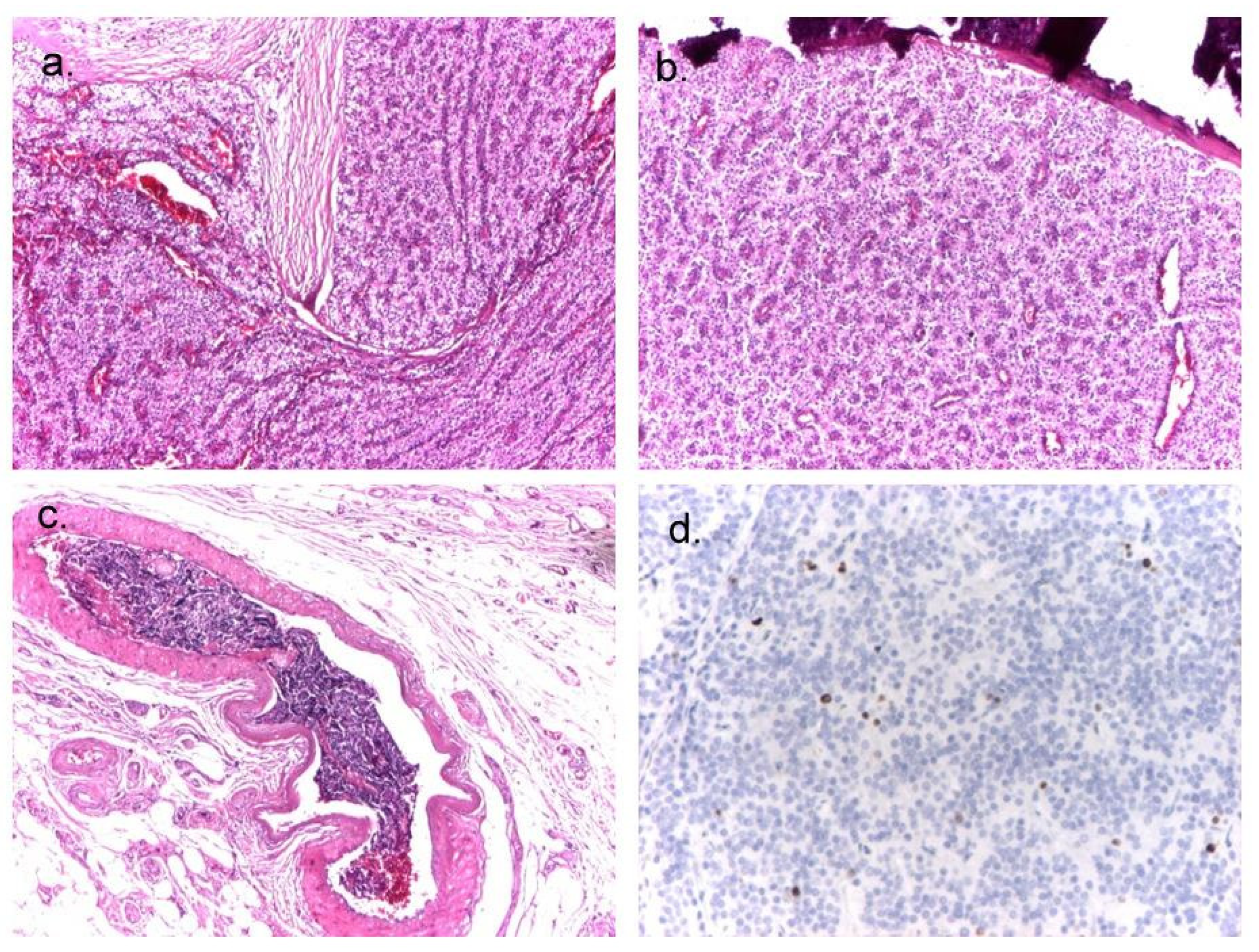
The patient underwent total PTx. The pathology report was consistent with a low-grade right inferior PC measuring 1.1/0.8/1.5 cm, with a Ki-67 index of 5%, and stage pT1NxL0V1Pn0. Local vascular tumoral emboli were identified, but there was no evidence of nerve or adipose tissue invasion (Figure 4). The safety margin resection was within the surrounding adipose tissue. The other three parathyroid glands showed nodular hyperplasia.
Figure 4.
Case 2: right inferior parathyroid gland. (a) Capsular infiltration; hematoxylin–eosin, ×4 (on the left of the image); (b) acinar architecture with interstitial calcifications; hematoxylin–eosin ×4; (c) detail of vascular embolism with deposits of fibrin and parathyroid cells, hematoxylin–eosin, ×10; (d) proliferation rate Ki-67 = 5%, ×10.
Three months after surgery, the whole-body 99mTc-MIBI scintigraphy and computed tomography (CT) scan were negative for any signs of recurrence, ectopic parathyroid lesions, or metastasis (Figure 5). During the 16-month follow-up, the patient’s PTH level decreased to 554 pg/mL, with slight fluctuations due to hypocalcemia (as shown in Table 2). He developed “hungry bones syndrome”, adequately managed with substitutive treatment.
Figure 5.
(a) 99mTcMIBI whole-body scintigraphy. (b) Cervical computed tomography: absence of any signs of recurrence 3 months after surgery (arrows).
3. Literature Review Results
We performed a literature review of published case reports of PC in SHPT to identify similarities regarding the moment of occurrence, diagnosis, type of surgery that was performed, associated risk factors, evolution, and outcomes.
We searched the PubMed/MEDLINE electronic database for articles published from inception to January 2024 using the following keywords: “secondary hyperparathyroidism” AND “chronic kidney disease”/“end-stage renal disease”/“dialysis” AND “parathyroid carcinoma”. Original articles reporting PC associated with SHPT in CKD patients were retained. Relevant references from the selected articles were also searched manually. Systematic reviews reporting PC cases in SHPT were also compared to check for any missed cases.
We identified 42 cases of PC in CKD-MBD patients reported up to the writing of this manuscript, besides the ones presented herein (Table 3). The female-to-male ratio was 1:1, with a mean age of 50.5 years and most of the patients being diagnosed in their fourth and fifth decade of life. Worth mentioning is the presence of risk factors for neoplasia in some of the reports, such as history of neck radiotherapy, immunosuppression, or family history of cancer. Thirty-five out of forty-two patients had hypercalcemia (defined as calcium > 10.5 mg/dL), while mean PTH values were 1379 pg/mL (only clear values reported in pg/mL were used). The mean dialysis vintage was 7.2 years; however, five cases were either kidney transplant recipients (KTR) or had never been on dialysis before being diagnosed with PC. Three patients had multiple synchronous PC as follows: one with four malignant lesions (KTR for 18 years); the other two ESRD patients had two (18 years spent on dialysis) and three (13 years spent on dialysis) malignant parathyroids, respectively. Six PCs were ectopic (two on auto-transplanted parathyroid tissue; four either in the mediastinum or intrathyroidal). A subcategory of patients had mildly elevated PTH values but were resistant to medical treatment and accompanied by hypercalcemia.
Table 3.
Characteristics of parathyroid carcinoma cases associated with SHPT identified in the literature.
Among all PC cases reported up to the writing of this manuscript (Table 3), nine patients underwent neck surgical reintervention and four had parathyromatosis found on this second intervention. Tumor dimension was reported to be between 1 and 5.9 cm, with most being over 2 cm (where available) and seven lesions being over 3 cm. Most patients had local and regional invasion in the thyroid, local vessels, lymph nodes, laryngeal nerve, muscle, and soft tissue, while six patients had distant metastases in the lungs and mediastinum. Finally, out of the 42 patients, 31 had a favorable outcome with a good prognostic at follow-up. Four out of the six patients with distant metastases had a poor prognosis (Table 3).
4. Discussion
PC is a rare neoplasm, accounting for less than 0.005% of all malignancies and less than 1% of PHPT [2,3]. PC incidence increased in the last 50 years, from 2 to 10–13 cases per 10 million, likewise because of the increased accessibility to serum calcium measurement [3]. However, improved screening and diagnostic methods may also explain the rather limited dimensions of PC (under 3 cm) and a lack of distant metastases at diagnosis [2]. A recent systematic review performed by McInerney et al. [2] found approximately 2300 PHPT patients reported to have PC.
SHPT is highly prevalent in advanced CKD, with more than 80% of stage 4 and 5 patients suffering from this condition [8]. SHPT starts developing in CKD stage 3, where the risk of having PTH twice above the upper reference limit significantly increases when the eGFR drops below 45 mL/min/1.73 m [9,11]. In a recent study published by Xu et al. [9], the most significant risk factor for developing SHPT was the low eGFR, followed by the presence of diabetes and increased albuminuria. Nonetheless, SHPT is a definitive feature of ESRD, with an incidence of 230 cases/1000 person-years and a more than 90% prevalence [8,9]. Moreover, SHPT prevalence reaches 61% even after kidney transplantation, and hypercalcemia is present in 21.5% of kidney transplant recipients [10]. SHPT is a major comorbidity with adverse health consequences on CKD progression when present in the earlier stages, as well as on the risk of vascular calcifications, major adverse cardiovascular events (MACE), erythropoietin-resistant anemia, fractures, and death [4,9]. In ESRD, the calcium paradox becomes evident: due to increased bone resorption in response to rising PTH levels, calcium shifts from bone to vascular smooth muscle cells, leading to arterial stiffness. Up to 70% of dialysis patients associating with severe SHPT also have moderate to severe coronary artery calcifications [18]. The KDIGO guideline on CKD-MBD in 2017 emphasizes the importance of early recognition and treatment of SHPT due to the associated increased morbidity and mortality [11]. Counteracting the stimuli for PTH increase—such as hypocalcemia, hyperphosphatemia, high phosphate intake, and vitamin D deficiency—are desirable as early as possible. Calcitriol and vitamin D analogues are reserved for stages 4 and 5 with severe and progressive SHPT, while calcimimetics are to be added in CKD 5D, where PTH should optimally be kept between two and nine times the upper normal limit according to KDIGO [11]. Failure of response to medical and pharmacological treatment in CKD G3a-G5D with severe SHPT is an indication for PTX according to the abovementioned guideline [11]. In the early course of SHPT development, the diffuse hyperplasia of parathyroid glands usually responds to a pharmacological approach. If left unrecognized or inappropriately managed, adenomatous-like nodular hyperplasia develops, which is associated with reduced expression of vitamin D and calcium-sensing receptors, and thus being less responsive to vitamin D analogues or calcimimetics [16].
Although (1) KDIGO 2017 [11] established guidelines for regular PTH and calcium screening according to CKD stage, with 1–3 months and 3–6 months intervals, respectively, in G5D, and (2) almost all patients undergoing dialysis develop SHPT, the overall reported testing rate is suboptimal worldwide [8,50,51]. The percentage of testing for PTH values in CKD G5 varies between 36% and 48% [50,51].
Thus, up to 15% of CKD 5D patients become resistant to medical therapy after 10 years of dialysis and need PTx. The need for PTx increases with the duration of dialysis, reaching almost 40% after 20 years of ongoing renal replacement therapy [4].
Although the rate of PTx in dialysis patients has decreased in recent years due to the wider use of calcimimetics, PTx has numerous advantages as it prevents tissue calcifications and bone loss, thereby improving survival and quality of life [4]. Persistently elevated levels of PTH (>800–1000 pg/mL in the absence of hypocalcemia) that fail to respond to a combination of calcimimetics and vitamin D analogues for more than 6–12 months are generally accepted as an indication for PTx [4,52].
In ESRD, PTx decreases all-cause mortality by approximately 30% and cardiovascular mortality by approximately 40%, according to the meta-analysis performed by Apetrii et al. [12,53]. When compared to cinacalcet treatment, PTx is associated with better survival, especially in patients with basal PTH levels ≥ 500 pg/mL or calcium ≥ 10 mg/dL in dialysis patients [54,55]. PTx also increases bone mineral density (BMD) more than cinacalcet does in peritoneal dialysis patients with advanced SHPT [55].
PTx, thus, remains one of the most frequently performed surgeries in ESRD, with an incidence that reaches 30 cases/1000 patients-years in CKD 5D patients having been on RRT for more than 10 years [56].
Of all ESRD patients undergoing PTx, nodular hyperplasia is the most common histopathological result reported in the literature, followed by diffuse hyperplasia, while malignancy is found only in an anecdotic number of cases [14,57]. Preoperative higher MIBI uptake is, generally, associated with a considerably higher prevalence of nodular hyperplasia, higher gland weight, and greater cell proliferation [57,58]. Yokoyama et al. [14] identified 37 PC cases in SHPT reported until 2022. Up to the writing of this manuscript, five more cases have been published (Table 3). Around 3% of all PC cases were identified in dialysis patients, despite the significantly higher PTH concentrations in ESRD-related SHPT [15,43]. Nevertheless, there may be some degree of superposition between SHPT and PHPT with renal involvement, as renal involvement was reported in 32% to 84% of malignant parathyroid tumors [3,59].
Early reports raised the concern of SHPT being a predisposing factor for malignant parathyroid tumor development after PC was diagnosed at necropsy in a patient undergoing dialysis who had received radiotherapy for laryngeal carcinoma [21,59]. Other cases also had risk factors for malignancy, such as the long duration of immunosuppression in KTR.
The female patient in our manuscript also had bilateral PC and had been on dialysis for 17 years before being diagnosed. Taking into account the natural evolution of parathyroid disease in SHPT, from polyclonal expansion manifested as diffuse hyperplasia to monoclonal expansion translated into nodular adenoma, early reports proposed malignant transformation to be the end-phase of this natural evolution after many years of living with ESRD (“multi-step hypothesis” of carcinoma development) [28], contrary to PC-PHPT, where malignant lesions are spontaneous and not evolving from a PA [60].
However, some of the PC-SHPT patients reported in the literature had a shorter history of dialysis; therefore, other risk factors for malignancy should be considered, such as neck irradiation, KTR immunosuppression, or genetic variants.
A recent study outlined the genetic and molecular pathways of parathyroid carcinogenesis [17]. Loss of parafibromin due to mutations in the cell division cycle-73 gene-CDC73 was identified in up to 75% of familial and sporadic PC cases in PHPT. PC also displays alterations of the phosphatidylinositol-3-kinase (PI3K)/Akt and the mammalian target of rapamycin (mTOR) signaling pathway, changes in microRNA expression profiles, and gene promoter methylation patterns [17]. However, genetic evaluation was not performed in any of the reported cases of PC-SHPT.
Benign SHPT involves: (1) reduced expression of parathyroid regulating receptors like calcium sensing receptors (CaSRe); (2) activation of epidermal growth factor (EGF)/transforming growth factor alpha (TGF-α) pathways; Cyclooxygenase-2-Prostaglandin E2 pathway (COX-2/PGE2); and mTOR signaling, which promotes parathyroid cell proliferation [16]. Whether these factors might also explain the malignant transformation in SHPT after a long dialysis vintage remains to be explored. Multiple PC in PHPT is extremely rare, even in the presence of the abovementioned genetic alterations, with only a few cases reported [61] compared with SHPT, where five of forty-three cases were synchronous [32,40,55], thus supporting the “multi-step hypothesis”. However, other factors like neck irradiation, or long immunosuppression in KTR, were involved in these cases. Consequently, most probably, carcinogenesis in SHPT has superposable mechanisms.
The diagnosis of PC is usually made after surgery on histopathological analysis. This is not ideal, as inappropriate resection and manipulation of the tumor may lead to parathyromatosis (loco-regional spillage and seeding of malignant parathyroid tissue) and recurrence, as reported in some cases [20]. Thus, precise pre-operation diagnosis and localization are desired, especially as complementary treatment options are limited; further, the prognosis in PC is poor if positive surgical margins or distant metastases are present [1]. In practice, all reported cases of PC on SHPT were diagnosed after surgery (Table 3).
Although the occurrence of PC in PHPT has been extensively discussed, with Karakas et al. [62] proposing a logarithmic equation in order to calculate the preoperative risk of PC in primary disease and a recent review in 2023 [1] proposing a diagnostic algorithm of PC in patients presenting with PHPT, much less is known about in SHPT.
Clinical manifestations of PHPT-related PC include severe bone pain, kidney disease, fatigue, a cervical mass, and neuropsychiatric symptoms [1], all of which may be encountered in benign SHPT in ESRD.
Classically, very high calcium levels above 14–15 mg/dL accompanied by PTH levels more than five times above the upper normal limit, high ALP > 285 IU/L, significantly decreased 1/3 radius BMD or gland diameter > 3 cm should raise the suspicion of PC in PHPT patients [1,15,46,63]. However, these features do not apply to SHPT, where nodular hyperplasia can reach significant enlargement, the serum levels of ALP and PTH are highly elevated, and 1/3 radius BMD is compromised. Only two cases of PC on SHPT reported in the literature had serum calcium > 14 mg/dL (Table 2). However, hypercalcemia was almost unanimously present (Table 3), and our second patient also exhibited mild hypercalcemia.
The use of calcitriol, vitamin D analogues, or calcimimetics in ESRD may limit the rise of PTH values in SHPT, thus explaining the rather lower PTH concentrations in PC, thereby making its preoperatory diagnosis difficult. The diagnosis may further be hindered by the down-regulation of calcium-sensing receptors found in both resistant SHPT and PC, irrespective of etiology [64]. Thus, moderately elevated PTH values but resistant to calcimimetics should raise concern.
Cavalier et al. [65] identified an overproduction of the amino-terminal form of PTH (N-PTH) in PC, measured only by the third-generation PTH assay. Thus, a third/second-generation PTH ratio > 1 may act as a marker for PC in PHPT [65]. However, N-PTH overexpression also occurs in ESRD, where a third/second-generation PTH ratio > 1 may reflect severe, albeit benign parathyroid hyperplasia rather than PC [66] and is, therefore, not useful.
Dual-phase Tc99-MIBI scintigraphy is usually performed in SHPT when surgery is envisaged, to map hyperplastic parathyroid glands [67]. Although Tc99-MIBI uptake on early versus delayed acquisitions does not seem to discriminate between the benign and malignant parathyroid lesions, Zhang et al. [68] showed that PC has a higher retention index (RI) of Tc99-MIBI than benign tumors: when the RI peak of the lesion is >−19%, there is a strong suspicion of PC in patients with PHPT. Adding the size of the parathyroid and the PTH level to form a joint index further improves the diagnostic sensitivity (95% in PC on PHPT) [68]. The higher RI may be explained by the lower expression of the P-glycoprotein and multidrug resistance-associated protein 1 (MRP1), which transport drugs and their metabolites across the cell membrane [19,68]. Whether this may apply to PC in SHPT remains unclear, especially as parathyroid MIBI uptake in SHPT is reduced by the administration of calcitriol and calcium, and MIBI uptake and washout correlate with parameters related to CKD (higher uptake and lower washout with longer dialysis vintage and higher PTH and Ca x P product) [69].
CT provides information on the tumor’s size, local invasion, or metastases (bone, hepatic, mediastinal, or pulmonary) [1], but is not routinely performed before surgery unless there is uncertainty regarding ectopic parathyroid tissue, concurrent thyroid pathology that needs further cervical imaging, or suspicion of malignancy. Magnetic resonance imaging has low sensitivity and specificity in the detection of parathyroid hyperplasia but may be useful in detecting recurrence and metastasis [70]. Combining ultrasound (hypoechoic, heterogeneous, lobulated, ill-defined mass with a thick capsule and a depth/width ratio > 1), CT (infiltration of surrounding tissue, calcifications, malignant lymph nodes, high short-to-long axis ratio), and MIBI imaging (increased uptake, peak RI > −19%) increase sensitivity to 100% for PC localization [1,15,71]. However, this is rarely performed in practice.
In case of suspicion or uncertainty of PC, fine-needle aspiration cytology is to be avoided as it increases the risk for parathyromatosis and has a high rate of false-negative results [15].
PET-CT is usually employed 3 to 6 months after surgery for remnant tissue or secondary lesions assessment. False-positive results may occur with postoperative inflammation or inflammatory lymph nodes [15,72]. A cost-efficient alternative is represented by a whole-body scan with Tc99-MIBI, which was performed on our second patient after surgery.
Thus, PC is generally incidentally discovered after surgery for SHPT. Intraoperative clues that should draw attention according to Radu et al. [15] are increased dimensions over 3 cm (of limited value in SHPT, where all parathyroids tend to be larger, but at the same time, the largest parathyroids of all four were malignant in our both cases), irregular margins, high consistency and dense capsule, adhesion to local structures, and enlarged local lymph nodes. The gold-standard for PC remains the “en bloc” resection, consisting of removal of the parathyroid lesion; surrounding fat; ipsilateral thyroid lobe; and, depending on invasion, the recurrent laryngeal nerve and ipsilateral central neck lymph nodes (prophylactic dissection is not yet endorsed), with safety margins. Capsule rupture should be avoided due to the risk of parathyromatosis [1,73]. However, “en bloc” resection should be performed by an experienced high-volume surgeon and is difficult to perform without a preoperative diagnosis (it is difficult to expand the incision, lack of consent of the patient to remove other important structures such as ipsilateral thyroid lobe or recurrent laryngeal nerve if necessary, and assuming responsibility to perform radical surgery without a definite diagnosis) [5]. This explains why most cases are re-operated using a more radical approach after the initial surgery. Furthermore, a few cases were missed at initial histopathological analysis, with secondary lesions or parathyromatosis becoming evident months to years after initial surgery [9,28,32,36].
Histopathological confirmation of PC needs the presence of unequivocal perineural, lymphatic, or vascular invasion as minimal criteria and can be assisted by biomarkers such as galectin-3 increased expression or loss of nuclear parafibromin immunoreactivity [17,74]. Fibrosis, necrosis, and increased mitotic activity are troublesome but are not necessarily diagnostic of malignancy, as they can be displayed by hyperplastic parathyroids or by atypical PA as well [1,74]. Atypical PA shares characteristics with PC, like increased capsular thickness, nuclear pleomorphism, higher than 1/10 HPFs mitotic activity, or over 4% Ki67 index. The main difference is the neoplastic infiltration of the adjacent tissue (that requires specific immunohistochemical staining underlining the vascular plot to improve the diagnosis) [74]. Although presenting some of these shared features, both of our patients had vascular invasion within the capsule or the surrounding tissue, confirming the malignancy.
The American Joint Committee on Cancer (AJCC) eighth edition recently proposed a new staging classification for these tumors [7]. The atypical PA has been labeled as an “atypical parathyroid tumor” to reflect the uncertain malignant potential and emphasize the need for careful follow-up. However, we did not find any literature reports of atypical PA associated with SHPT.
Of PC patients, 10 to 30% have distant metastases and 6 to 30% have lymph node metastasis at diagnosis. Imaging (PET or whole-body MIBI scintigraphy) and biochemical surveillance (PTH and serum calcium) are needed [1,75].
The prognosis of these patients roughly depends on the success of surgery, as PTx is considered the only curative treatment [73]. PC are generally considered to be radioresistant; however, external beam radiotherapy (EBRT) is reserved for relapses as a palliative option. Chemotherapy and immunotherapy have now shown efficacy in treating local or distant metastases [1,72,73].
The mean disease-free interval between initial surgery and recurrence (approximately 50% of cases) is around 3 years, with much longer intervals also reported. Therefore, lifelong surveillance appears valid. The 5-year survival rates reach 93%, with a 10-year survival rate of approximately 67%, depending on initial surgery, age, initial biochemical remission, and the presence of metastasis [1,72]. Most of the SHPT patients with PC reported in the literature had a rather good evolution, despite the postoperative discovery and the absence of initial “en bloc” resection; some patients had favorable outcomes despite the evolution not being completed by radical re-intervention. Poor prognosis was conditioned by the presence of lung metastasis. One of our patients showed biochemical remission and absence of local or distant metastasis, despite the absence of “en bloc” resection, and the other one with bilateral PC had a suspicious renal mass that is yet to be investigated. It is possible that PC in SHPT has a more benign course and better outcomes compared to PC in PHPT: despite the malignant transformation that appears at the endpoint of the natural course of chronic PTH stimulation, various mechanisms, and interventions that interfere with the pathophysiology of the parathyroid gland (calcimimetics, vitamin D analogues, and increased FGF23) may contribute to a more indolent evolution. Moreover, parathyroids in SHPT mimic the changes undergone by PC in PHPT, making the presurgical diagnosis very difficult to achieve. The much lower prevalence of PC in SHPT compared to PHPT and its more indolent evolution with better prognosis strongly suggests that the genetic background for PHPT comes with an increased risk of parathyroid malignancy, not necessarily present in the patients with ESRD-related SHPT.
In conclusion, most features that raise the suspicion of PC in PHPT are part of the usual SHPT evolution in CKD and, thus, are not valid in SHPT. Still, most SHPT patients were refractory to medical therapy and had hypercalcemia accompanied by PTH values > 1000 pg/mL (including our second case), while those with multiple synchronous malignant lesions had a longer dialysis vintage (our first case here included) or very long-term immunosuppression (>10 years). The finding of a palpable neck mass accompanied by hypercalcemia, moderately elevated PTH values but resistant to calcimimetics or very high serum calcium (>13–14 mg/dL), and very high MIBI uptake or ultrasonographic features suggestive of malignancy (irregular margins, calcifications, thick capsule, and depth/width ratio > 1) in an ESRD patient in his 40s or 50s should raise concern and ideally be followed by alternative imaging techniques such as a CT scan.
PC in ESRD may be an incidental finding, or the end-step of the natural transformation of chronically stimulated parathyroids upon which other predisposing factors add (e.g., irradiation, immunosuppression, and genetic predisposition). Despite its incidental finding, most patients have favorable outcomes if distant metastases are absent, even in the absence of “en bloc” resection.
Author Contributions
Conceptualization, S.C.B., A.M. and C.V.; methodology, S.C.B., A.M. and C.V.; data collection, interpretation, and analysis, L.C.T., I.H., S.B., D.G.A.C. and C.P.; original draft preparation, S.C.B., A.M., L.L. and M.-C.U.; writing—review and editing, D.D.B., C.P., D.G.A.C. and C.V.; visualization—S.C.B., A.M., L.L. and M.-C.U.; supervision, D.D.B., C.P. and C.V. All authors have read and agreed to the published version of the manuscript.
Funding
This research received no external funding.
Institutional Review Board Statement
Not applicable.
Informed Consent Statement
Informed consent was obtained from all subjects involved in the study. Written informed consent was obtained from the patients to publish this paper.
Data Availability Statement
The original contributions presented in the study are included in the article. Further inquiries can be directed to the corresponding author.
Conflicts of Interest
The authors declare no conflicts of interest.
References
- Roser, P.; Leca, B.M.; Coelho, C.; Schulte, K.M.; Gilbert, J.; Drakou, E.E.; Kosmas, C.; Chuah, L.L.; Wassati, H.; Miras, A.D.; et al. Diagnosis and Management of Parathyroid Carcinoma: A State-of-the-Art Review. Endocr. Relat. Cancer 2023, 30, e220287. [Google Scholar] [CrossRef]
- McInerney, N.J.; Moran, T.; O’Duffy, F. Parathyroid Carcinoma: Current Management and Outcomes—A Systematic Review. Am. J. Otolaryngol. 2023, 44, 103843. [Google Scholar] [CrossRef]
- Dudney, W.C.; Bodenner, D.; Stack, B.C. Parathyroid Carcinoma. Otolaryngol. Clin. N. Am. 2010, 43, 441–453. [Google Scholar] [CrossRef]
- Ling, W.; Lau, W.L.; Obi, Y. Parathyroidectomy in the Management of Secondary Hyperparathyroidism. Clin. J. Am. Soc. Nephrol. 2018, 13, 952–961. [Google Scholar] [CrossRef] [PubMed]
- Kawai, Y.; Kishimoto, Y.; Tamaki, H.; Fujiwara, T.; Asato, R.; Ushiro, K.; Shinohara, S.; Kada, S.; Takebayashi, S.; Kojima, T.; et al. Parathyroid Carcinoma: Impact of Preoperative Diagnosis on the Choice of Surgical Procedure. Endocr. J. 2023, 70, 969–976. [Google Scholar] [CrossRef] [PubMed]
- Walker, M.D.; Shane, E. Hypercalcemia: A Review. JAMA 2022, 328, 1624–1636. [Google Scholar] [CrossRef]
- Amin, M.B.; Greene, F.L.; Edge, S.B.; Compton, C.C.; Gershenwald, J.E.; Brookland, R.K.; Meyer, L.; Gress, D.M.; Byrd, D.R.; Winchester, D.P. The Eighth Edition AJCC Cancer Staging Manual: Continuing to Build a Bridge from a Population-Based to a More “Personalized” Approach to Cancer Staging. CA Cancer Clin. 2017, 67, 93–99. [Google Scholar] [CrossRef] [PubMed]
- Das, S.; Majumder, M.; Das, D.; Chowdhury, N.; Das, A.; Das, K.; Fardous, J.; Hasan, M.J. Prevalence and Risk Factors of Secondary Hyperparathyroidism among CKD Patients and Correlation with Different Laboratory Parameters. MMJ 2022, 31, 1084–1092. [Google Scholar]
- Xu, Y.; Evans, M.; Carrero, J.J.; Soro, M.; Barany, P. Secondary Hyperparathyroidism and Adverse Health Outcomes in Adults with Chronic Kidney Disease. Clin. Kidney J. 2021, 14, 2213–2220. [Google Scholar] [CrossRef]
- Sutton, W.; Chen, X.; Patel, P.; Karzai, S.; Prescott, J.D.; Segev, D.L.; McAdams-DeMarco, M.; Mathur, A. Prevalence and Risk Factors for Tertiary Hyperparathyroidism in Kidney Transplant Recipients. Surgery 2022, 171, 69–76. [Google Scholar] [CrossRef]
- Ketteler, M.; Block, G.A.; Evenepoel, P.; Fukagawa, M.; Herzog, C.A.; Mccann, L.; Moe, S.M.; Shroff, R.; Tonelli, M.A.; Toussaint, N.D.; et al. Executive Summary of the 2017 KDIGO Chronic Kidney Disease-Mineral and Bone Disorder (CKD-MBD) Guideline Update: What’s Changed and Why It Matters. Kidney Int. 2017, 92, 26–36. [Google Scholar] [CrossRef] [PubMed]
- Van Der Plas, W.Y.; Dulfer, R.R.; Engelsman, A.F.; Vogt, L.; De Borst, M.H.; Van Ginhoven, T.M.; Kruijff, S. Effect of Parathyroidectomy and Cinacalcet on Quality of Life in Patients with End-Stage Renal Disease-Related Hyperparathyroidism: A Systematic Review. Nephrol. Dial. Transplant. 2017, 32, 1902–1908. [Google Scholar] [CrossRef] [PubMed]
- Berland, Y.; Olmer, M.; Lebreuil, G.; Grisoli, J. Parathyroid Carcinoma, Adenoma and Hyperplasia in a Case of Chronic Renal Insufficiency on Dialysis. Clin. Nephrol. 1982, 18, 154–158. [Google Scholar] [PubMed]
- Yokoyama, K.; Suganuma, N.; Rino, Y. Left Parathyroid Carcinoma with Secondary Hyperparathyroidism: A Case Report. BMC Endocr. Disord. 2023, 23, 108. [Google Scholar] [CrossRef]
- Radu, P.; Garofil, D.; Tigora, A.; Zurzu, M.; Paic, V.; Bratucu, M.; Litescu, M.; Prunoiu, V.; Georgescu, V.; Popa, F.; et al. Parathyroid Cancer-A Rare Finding during Parathyroidectomy in High Volume Surgery Centre. Medicina 2023, 59, 448. [Google Scholar] [CrossRef] [PubMed]
- Hassan, A.; Khalaily, N.; Kilav-Levin, R.; Nechama, M.; Volovelsky, O.; Silver, J.; Naveh-Many, T. Molecular Mechanisms of Parathyroid Disorders in Chronic Kidney Disease. Metabolites 2022, 12, 111. [Google Scholar] [CrossRef] [PubMed]
- Marini, F.; Giusti, F.; Palmini, G.; Aurilia, C.; Donati, S.; Brandi, M.L. Parathyroid Carcinoma: Update on Pathogenesis and Therapy. Endocrines 2023, 4, 205–235. [Google Scholar] [CrossRef]
- Ho, T.Y.; Chen, N.C.; Hsu, C.Y.; Huang, C.W.; Lee, P.T.; Chou, K.J.; Fang, H.C.; Chen, C.L. Evaluation of the Association of Wnt Signaling with Coronary Artery Calcification in Patients on Dialysis with Severe Secondary Hyperparathyroidism. BMC Nephrol. 2019, 20, 345. [Google Scholar] [CrossRef] [PubMed]
- Xue, J.; Liu, Y.; Yang, D.; Yu, Y.; Geng, Q.; Ji, T.; Yang, L.; Wang, Q.; Wang, Y.; Lu, X.; et al. Dual-Phase 99mTc-MIBI Imaging and the Expressions of P-Gp, GST-π, and MRP1 in Hyperparathyroidism. Nucl. Med. Commun. 2017, 38, 868. [Google Scholar] [CrossRef]
- Yang, J.; Lu, X.; Zhou, P.; Liu, H.; Wang, J.; Su, X. Recurrence Hyperparathyroidism Caused by Synchronous Parathyroid Carcinoma and Parathyromatosis in a Patient with Long-Term Hemodialysis. BMC Nephrol. 2023, 24, 293. [Google Scholar] [CrossRef]
- Ireland, J.P.; Fleming, S.J.; Levison, D.A.; Cattell, W.R.; Baker, L. Parathyroid Carcinoma Associated with Chronic Renal Failure and Previous Radiotherapy to the Neck. J. Clin. Pathol. 1985, 38, 1114–1118. [Google Scholar] [CrossRef] [PubMed]
- Krishna, G.G.; Mendez, M.; Levy, B.; Ritchie, W.; Marks, A.; Narins, R.G. Parathyroid Carcinoma in a Chronic Hemodialysis Patient. Nephron 1989, 52, 194–195. [Google Scholar] [CrossRef] [PubMed]
- Kodama, M.; Ikegami, M.; Imanishi, M.; Uemura, T.; Takada, M.; Kohri, K.; Kurita, T. Parathyroid Carcinoma in a Case of Chronic Renal Failure on Dialysis. Urol. Int. 1989, 44, 110–112. [Google Scholar] [CrossRef]
- Iwamoto, N.; Yamazaki, S.; Fukuda, T.; Kondo, M.; Yamamoto, N.; Ono, T.; Hiratake, Y.; Yasui, A. Two Cases of Parathyroid Carcinoma in Patients on Long-Term Hemodialysis. Nephron 1990, 55, 429–431. [Google Scholar] [CrossRef] [PubMed]
- Rademaker, P.; Meijer, S.; Oosterhuis, J.W.; Vermey, A.; Zwierstra, R.; Hem, G.V.D.; Geerlings, W. Successful Surgical Treatment of Parathyroid Carcinoma in Two Haemodialysis Patients. Nephrol. Dial. Transplant. 1990, 5, 545–548. [Google Scholar] [CrossRef] [PubMed]
- Tominaga, Y.; Numano, M.; Uchida, K.; Sato, K.; Asano, H.; Haba, T.; Katayama, A.; Mukoyama, A.; Suzuki, K.; Tanaka, Y.; et al. Lung Metastasis from Parathyroid Carcinoma Causing Recurrent Renal Hyperparathyroidism in a Hemodialysis Patient: Report of a Case. Surg. Today 1995, 25, 984–986. [Google Scholar] [CrossRef] [PubMed]
- Miki, H.; Sumitomo, M.; Inoue, H.; Kita, S.; Monden, Y. Parathyroid Carcinoma in Patients with Chronic Renal Failure on Maintenance Hemodialysis. Surgery 1966, 120, 897–901. [Google Scholar] [CrossRef] [PubMed]
- Tseng, C.C.; Huang, J.J.; Wang, M.C.; Lan, R.R.; Sung, J.M.; Chen, F.F. Parathyroid Carcinoma with Multiple Lung Metastases. Nephrol. Dial. Transplant. 1999, 14, 449–451. [Google Scholar] [CrossRef] [PubMed]
- Takami, H. Parathyroid Carcinoma in a Patient Receiving Long-Term Hemodialysis. Surgery 1999, 125, 239–240. [Google Scholar] [CrossRef] [PubMed]
- Jayawardene, S.; Owen, W.J.; Goldsmith, D.J. Parathyroid Carcinoma in a Dialysis Patient. Am. J. Kidney Dis. 2000, 36, E26. [Google Scholar] [CrossRef]
- Zivaljevic, V.; Krgovic, K.; Tatic, S.; Havelka, M.; Dimitrijevic, Z.; Diklic, A.; Paunovic, I.; Jankovic, R. Parathyroid Cancer in a Hemodialysis Patient: A Case Report. Tumori 2002, 88, 430–432. [Google Scholar] [CrossRef] [PubMed]
- Srouji, I.A.; Resouly, A.; Cree, I.A. Case of Thymic Parathyroid Carcinoma in a Hemodialysis Patient: Application of Tumor Chemosensitivity Testing. J. Laryngol. Otol. 2004, 118, 162–164. [Google Scholar] [CrossRef] [PubMed]
- Khan, M.W.; Worcester, E.M.; Straus, F.H.; Khan, S.; Staszak, V.; Kaplan, E.L. Parathyroid Carcinoma in Secondary and Tertiary Hyperparathyroidism1. J. Am. Coll. Surg. 2004, 199, 312–319. [Google Scholar] [CrossRef] [PubMed]
- Bossola, M.; Tazza, L.; Ferrante, A.; Giungi, S.; Carbone, A.; Gui, D.; Luciani, G. Parathyroid Carcinoma in a Chronic Hemodialysis Patient: Case Report and Review of the Literature. Tumori 2005, 91, 558–562. [Google Scholar] [CrossRef] [PubMed]
- Babar-Craig, H.; Quaglia, A.; Stearns, M. Parathyroid Carcinoma: A Report of Two Cases and a Concise Review and Update of the Literature. J. Laryngol. Otol. 2005, 119, 577–580. [Google Scholar] [CrossRef] [PubMed]
- Tkaczyk, M.; Czupryniak, A.; Nowicki, M. Ectopic Mediastinal Parathyroid Carcinoma as a Cause of Dialysis-Dependent Renal Failure. Hemodial. Int. 2007, 11, 398–402. [Google Scholar] [CrossRef] [PubMed]
- Diaconescu, M.R.; Glod, M.; Costea, I.; Grigorovici, M.; Covic, A.; Diaconescu, S. Surgical Management of Renal Hyperparathyroidism: A Preliminary Series Report. Chirurgia 2011, 108, 51–57. [Google Scholar]
- Kim, B.S.; Ryu, H.S.; Kang, K.H.; Park, S.J. Parathyroid Carcinoma in Tertiary Hyperparathyroidism. Asian J. Surg. 2016, 39, 255–259. [Google Scholar] [CrossRef] [PubMed]
- Pappa, A.; Hackman, T. Simultaneous Incidental Parathyroid Carcinoma and Intrathyroid Parathyroid Gland in Suspected Renal Failure Induced Hyperparathyroidism. Surg. J. 2017, 3, e23–e24. [Google Scholar] [CrossRef]
- Curto, L.S.; Gervasi, R.; Caracciolo, F.; Innaro, N. Parathyroid Carcinoma Presenting with Chronic Renal Failure and Single Pulmonary Metastasis: A Case Report. Int. J. Surg. Case Rep. 2019, 65, 322–324. [Google Scholar] [CrossRef]
- Shen, Y.; Fei, P. Refractory Hypercalcemia Due to an Ectopic Mediastinal Parathyroid Gland in a Hemodialysis Patient: A Case Report. BMC Nephrol. 2019, 20, 165. [Google Scholar] [CrossRef] [PubMed]
- Won, H.R.; Kang, J.Y.; Lee, I.H.; Kim, J.M.; Chang, J.W.; Koo, B.S. Parathyroid Carcinoma Arising from Auto-Transplanted Parathyroid Tissue after Total Parathyroidectomy in Chronic Kidney Disease Patient: A Case Report. BMC Nephrol. 2019, 20, 414. [Google Scholar] [CrossRef]
- Cappellacci, F.; Medas, F.; Canu, G.L.; Lai, M.L.; Conzo, G.; Erdas, E.; Calò, P.G. Parathyroid Carcinoma in the Setting of Tertiary Hyperparathyroidism: Case Report and Review of the Literature. Case Rep. Endocrinol. 2020, 2020, 5710468. [Google Scholar] [CrossRef] [PubMed]
- Malipedda, S.; Kamaleshwaran, K.K.; Muthusamy, D.; Veerasamy, M.; Soundararajan, A.P.; Jayaraj, A.V. Rare Imaging Findings of Concomitant Presence of Multiple Parathyroid Adenomas and Carcinoma in a Chronic Kidney Disease Patient with Tertiary Hyperparathyroidism Detected on 99 m Tc-Sestamibi Single-Photon-Emission Computed Tomography/Computed Tomography. Indian J. Nucl. Med. 2020, 35, 333–335. [Google Scholar] [CrossRef] [PubMed]
- Kada, S.; Tanaka, M.; Yasoda, A. Parathyroid Carcinoma in a Patient With Secondary Hyperparathyroidism and Thyroid Hemiagenesis: A Case Report and Review of the Literature. Ear Nose Throat J. 2024, 103, NP25–NP30. [Google Scholar] [CrossRef]
- Chen, S.; Sui, X.; Zhao, B.; Liu, Z.; Dai, X.; Ding, Y. A Case Report of Secondary Parathyroid Adenomatous Hyperplasia with Carcinoma. Medicine 2022, 101, E31362. [Google Scholar] [CrossRef]
- Ryang, S.; Yi, W.; Kim, M.; Song, S.H.; Lee, B.J.; Kim, B.H. Secondary Hyperparathyroidism Due to Multiple Parathyroid Carcinomas in a Patient with Chronic Hemodialysis: A Case Report. Kosin Med. J. 2022, 37, 255–259. [Google Scholar] [CrossRef]
- Salimkhanov, R.; Bondarenko, E.; Eremkina, A.; Bibik, E.; Kim, E.; Begova, K.; Kim, I.; Kuznetsov, S.; Mokrysheva, N. Case Report: Sagliker Syndrome in the Patient with Recurrent Tertiary Hyperparathyroidism Due to Intrathyroidal Parathyroid Carcinoma. Front. Endocrinol. 2023, 14, 1292993. [Google Scholar] [CrossRef]
- Mahmood, S.B.Z.; Jamal, A.; Mushtaq, Z.; Masood, M.Q. A Rare Occurrence of Ectopic Parathyroid Carcinoma Presenting as a Case of Recurrent Fractures. Cureus 2023, 15, e51404. [Google Scholar] [CrossRef]
- Liu, H.; Zhao, H.; Zheng, D.; He, W.; Liu, Y.; Jin, J.; He, Q.; Lin, B. Misdiagnosis of Chronic Kidney Disease and Parathyroid Hormone Testing during the Past 16 Years. Sci. Rep. 2023, 13, 15838. [Google Scholar] [CrossRef]
- Wetmore, J.B.; Ji, Y.; Ashfaq, A.; Gilbertson, D.T.; Roetker, N.S. Testing Patterns for CKD-MBD Abnormalities in a Sample US Population. Kidney Int. Rep. 2019, 6, 1141–1150. [Google Scholar] [CrossRef] [PubMed]
- Rodríguez-Ortiz, M.E.; Pendón-Ruiz de Mier, M.V.; Rodríguez, M. Parathyroidectomy in Dialysis Patients: Indications, Methods, and Consequences. Semin. Dial. 2019, 32, 444–451. [Google Scholar] [CrossRef]
- Apetrii, M.; Goldsmith, D.; Nistor, I.; Siriopol, D.; Voroneanu, L.; Scripcariu, D.; Vervloet, M.; Covic, A. Impact of Surgical Parathyroidectomy on Chronic Kidney Disease-Mineral and Bone Disorder (CKD-MBD)—A Systematic Review and Meta-Analysis. PLoS ONE 2017, 12, e0187025. [Google Scholar] [CrossRef]
- Alvarado, L.; Sharma, N.; Lerma, R.; Dwivedi, A.; Ahmad, A.; Hechanova, A.; Payan-Schober, F.; Nwosu, A.; Alkhalili, E. Parathyroidectomy Versus Cinacalcet for the Treatment of Secondary Hyperparathyroidism in Hemodialysis Patients. World J. Surg. 2022, 46, 813–819. [Google Scholar] [CrossRef] [PubMed]
- Komaba, H.; Hamano, T.; Fujii, N.; Moriwaki, K.; Wada, A.; Masakane, I.; Nitta, K.; Fukagawa, M. Parathyroidectomy vs Cinacalcet Among Patients Undergoing Hemodialysis. J. Clin. Endocrinol. Metab. 2022, 107, 2016–2025. [Google Scholar] [CrossRef] [PubMed]
- Contreras, K.; Baquero, R.; Buitrago, G. Clinical and Economical Outcomes Associated with Parathyroidectomy: A 5-Year Population-Based Study in a Middle-Income Country with Universal Health Coverage. Int. J. Nephrol. 2020, 2020, 7250250. [Google Scholar] [CrossRef] [PubMed]
- Lomonte, C.; Buonvino, N.; Selvaggiolo, M.; Dassira, M.; Grasso, G.; Vernaglione, L.; Basile, C. Sestamibi Scintigraphy, Topography, and Histopathology of Parathyroid Glands in Secondary Hyperparathyroidism. Am. J. Kidney Dis. 2006, 48, 638–644. [Google Scholar] [CrossRef] [PubMed]
- Custódio, M.R.; Montenegro, F.; Costa, A.F.P.; dos Reis, L.M.; Buchpiguel, C.A.; Oliveira, S.G.; Noronha, I.L.; Moysés, R.M.A.; Jorgetti, V. MIBI Scintigraphy, Indicators of Cell Proliferation and Histology of Parathyroid Glands in Uraemic Patients. Nephrol. Dial. Transplant. 2005, 20, 1898–1903. [Google Scholar] [CrossRef]
- Givi, B.; Shah, J.P. Parathyroid Carcinoma. Clin. Oncol. 2010, 22, 498–507. [Google Scholar] [CrossRef]
- Guda, C. Genetic and Epigenetic Changes in Sporadic Endocrine Tumors: Parathyroid Tumors. Mol. Cell Endocrinol. 2014, 386, 46–54. [Google Scholar] [CrossRef]
- Haciyanli, M.; Oruk, G.; Ucarsoy, A.A.; Gur, O.; Genc, H. Multiglandular Parathyroid Carcinoma: Case Report and Review of the Literature. Endocr. Pract. 2011, 17, 79–83. [Google Scholar] [CrossRef] [PubMed]
- Karakas, E.; Müller, H.H.; Lyadov, V.K.; Luz, S.; Schneider, R.; Rothmund, M.; Bartsch, D.K.; Schlosser, K. Development of a Formula to Predict Parathyroid Carcinoma in Patients with Primary Hyperparathyroidism. World J. Surg. 2012, 36, 2605–2611. [Google Scholar] [CrossRef]
- Wang, C.; Wen, K.; Dai, L.; Wen, S.; Zhang, Y. The Clinical Features and Treatment Strategy of Parathyroid Cancer: A Retrospective Analysis. BioMed Res. Int. 2022, 2022, 1913900. [Google Scholar] [CrossRef]
- Witteveen, J.E.; Hamdy, N.A.T.; Dekkers, O.M.; Kievit, J.; Van Wezel, T.; Teh, B.T.; Romijn, J.A.; Morreau, H. Downregulation of CASR Expression and Global Loss of Parafibromin Staining Are Strong Negative Determinants of Prognosis in Parathyroid Carcinoma. Mod. Pathol. 2011, 24, 688–697. [Google Scholar] [CrossRef] [PubMed]
- Cavalier, E. Determination of Parathyroid Hormone: From Radioimmunoassay to LCMS/MS. Clin. Chem. Lab. Med. 2023, 61, 946–953. [Google Scholar] [CrossRef]
- Gonzalez-Casaus, M.L.; Fernandez-Calle, P.; Buño Soto, A. Should Clinical Laboratories Adapt to the Reality of Chronic Kidney Disease in the Determination of Parathyroid Hormone? Adv. Lab. Med. 2021, 2, 342–351. [Google Scholar] [CrossRef]
- Zhang, R.; Zhang, Z.; Huang, P.; Li, Z.; Hu, R.; Zhang, J.; Qiu, W.; Hu, P. Diagnostic Performance of Ultrasonography, Dual-Phase 99mTc-MIBI Scintigraphy, Early and Delayed 99mTc-MIBI SPECT/CT in Preoperative Parathyroid Gland Localization in Secondary Hyperparathyroidism. BMC Med. Imaging 2020, 20, 91. [Google Scholar] [CrossRef] [PubMed]
- Zhang, M.; Sun, L.; Rui, W.; Guo, R.; He, H.; Miao, Y.; Meng, H.; Liu, J.; Li, B. Semi-Quantitative Analysis of 99mTc-Sestamibi Retention Level for Preoperative Differential Diagnosis of Parathyroid Carcinoma. Quant. Imaging Med. Surg. 2019, 9, 1394. [Google Scholar] [CrossRef] [PubMed]
- Yu, D.; Zou, L.; Jin, Y.; Wei, M.; Wu, X.; Zuo, L.; Wu, M.; Jiang, Y. Semiquantitative Assessment of 99mTc-MIBI Uptake in Parathyroids of Secondary Hyperparathyroidism Patients with Chronic Renal Failure. Front. Endocrinol. 2022, 13, 915279. [Google Scholar] [CrossRef]
- Chen, Z.; Fu, J.; Shao, Q.; Zhou, B.; Wang, F. 99mTc-MIBI Single Photon Emission Computed Tomography/Computed Tomography for the Incidental Detection of Rare Parathyroid Carcinoma. Medicine 2018, 97, e12578. [Google Scholar] [CrossRef]
- Hara, H.; Igarashi, A.; Yang, Y.; Ito, K.; Obara, T.; Yashiro, T.; Ueno, E.; Aiyoshi, Y. Ultrasonographic Features of Parathyroid Carcinoma. Endocr. J. 2001, 48, 213–217. [Google Scholar] [CrossRef] [PubMed]
- Fingeret, A.L. Contemporary Evaluation and Management of Parathyroid Carcinoma. JCO Oncol. Pract. 2021, 17, 17–21. [Google Scholar] [CrossRef] [PubMed]
- Wilhelm, S.M.; Wang, T.S.; Ruan, D.T.; Lee, J.A.; Asa, S.L.; Duh, Q.Y.; Doherty, G.M.; Herrera, M.F.; Pasieka, J.L.; Perrier, N.D.; et al. The American Association of Endocrine Surgeons Guidelines for Definitive Management of Primary Hyperparathyroidism. JAMA Surg. 2016, 151, 959–968. [Google Scholar] [CrossRef] [PubMed]
- Galani, A.; Morandi, R.; Dimko, M.; Molfino, S.; Baronchelli, C.; Lai, S.; Gheza, F.; Cappelli, C.; Casella, C. Atypical Parathyroid Adenoma: Clinical and Anatomical Pathologic Features. World J. Surg. Oncol. 2021, 19, 19. [Google Scholar] [CrossRef]
- Goldner, E.; Fingeret, A. Parathyroid Carcinoma: A National Cancer Database Analysis. J. Surg. Res. 2023, 281, 57–62. [Google Scholar] [CrossRef]
Disclaimer/Publisher’s Note: The statements, opinions and data contained in all publications are solely those of the individual author(s) and contributor(s) and not of MDPI and/or the editor(s). MDPI and/or the editor(s) disclaim responsibility for any injury to people or property resulting from any ideas, methods, instructions or products referred to in the content. |
© 2024 by the authors. Licensee MDPI, Basel, Switzerland. This article is an open access article distributed under the terms and conditions of the Creative Commons Attribution (CC BY) license (https://creativecommons.org/licenses/by/4.0/).




