The Successful Use of Extracorporeal Membrane Oxygenation in a Newly Diagnosed HIV Patient with Acute Respiratory Distress Syndrome (ARDS) Complicated by Pneumocystis and Cytomegalovirus Pneumonia: A Case Report
Abstract
1. Introduction
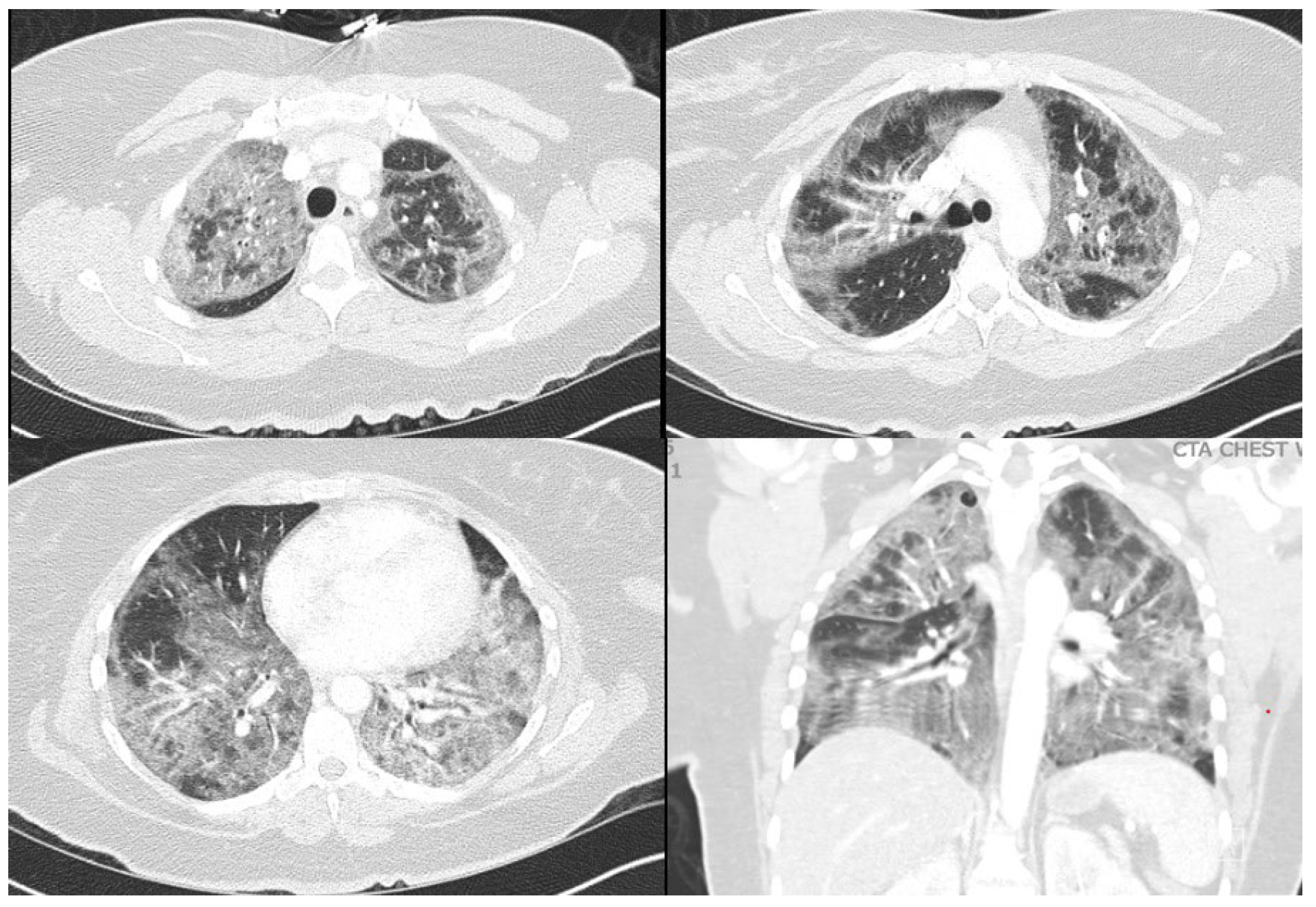
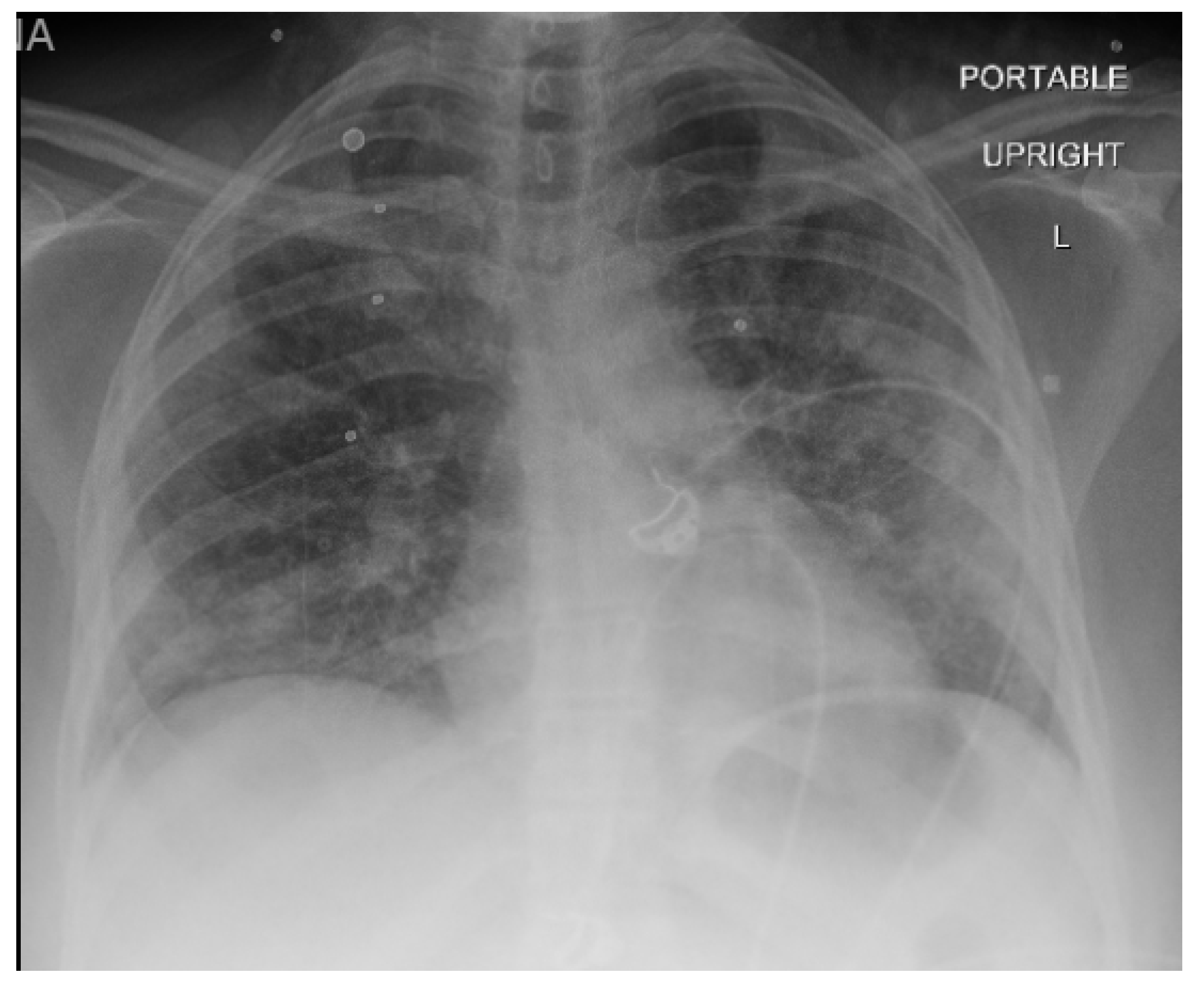
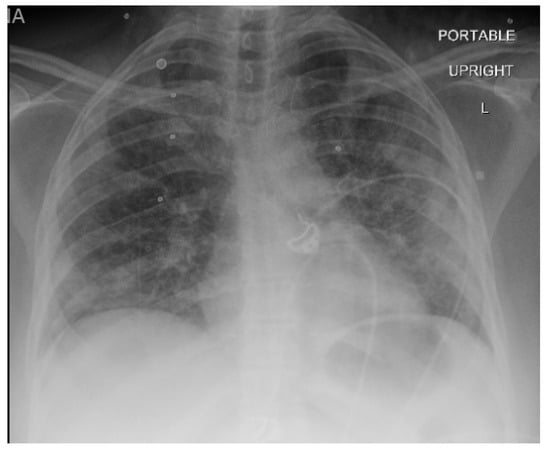
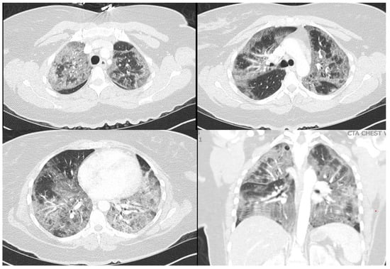
2. Case Report
3. Discussion
4. Conclusions
Author Contributions
Funding
Institutional Review Board Statement
Informed Consent Statement
Data Availability Statement
Conflicts of Interest
References
- Noah, M.A.; Peek, G.J.; Finney, S.J.; Griffiths, M.J.; Harrison, D.A.; Grieve, R.; Sadique, M.Z.; Sekhon, J.S.; McAuley, D.F.; Firmin, R.K.; et al. Referral to an Extracorporeal Membrane Oxygenation Center and Mortality among Patients with Severe 2009 Influenza A(H1N1). JAMA 2011, 306, 1659–1668. [Google Scholar] [CrossRef] [PubMed]
- Collett, L.W.; Simpson, T.; Camporota, L.; Meadows, C.I.; Ioannou, N.; Glover, G.; Kulasegaram, R.; Barrett, N.A. The Use of Extracorporeal Membrane Oxygenation in HIV-Positive Patients with Severe Respiratory Failure: A Retrospective Observational Case Series. Int. J. STD AIDS 2019, 30, 316–322. [Google Scholar] [CrossRef] [PubMed]
- Barbas, C.S.V.; de Mato, G.F.J. Is It Worth to Apply Extra-Corporeal Membrane Oxygenation in the Immunocompromised Patients with Severe Acute Respiratory Distress Syndrome? J. Thorac. Dis. 2019, 11, S425–S427. [Google Scholar] [CrossRef] [PubMed]
- Barbier, F.; Coquet, I.; Legriel, S.; Pavie, J.; Darmon, M.; Mayaux, J.; Molina, J.-M.; Schlemmer, B.; Azoulay, E. Etiologies and Outcome of Acute Respiratory Failure in HIV-Infected Patients. Intensiv. Care Med. 2009, 35, 1678–1686. [Google Scholar] [CrossRef] [PubMed]
- Akgün, K.; Miller, R. Critical Care in Human Immunodeficiency Virus–Infected Patients. In Seminars in Respiratory and Critical Care Medicine; Thieme Medical Publishers: Leipzig, Germany, 2016; Volume 37, pp. 303–317. [Google Scholar] [CrossRef]
- Obata, R.; Azuma, K.; Nakamura, I.; Oda, J. Severe Acute Respiratory Distress Syndrome in a Patient with AIDS Successfully Treated with Veno-Venous Extracorporeal Membrane Oxygenation: A Case Report and Literature Review. Acute Med. Surg. 2018, 5, 384–389. [Google Scholar] [CrossRef] [PubMed]
- Schmidt, M.; Bailey, M.; Sheldrake, J.; Hodgson, C.; Aubron, C.; Rycus, P.T.; Scheinkestel, C.; Cooper, D.J.; Brodie, D.; Pellegrino, V.; et al. Predicting Survival after Extracorporeal Membrane Oxygenation for Severe Acute Respiratory Failure. The Respiratory Extracorporeal Membrane Oxygenation Survival Prediction (RESP) Score. Am. J. Respir. Crit. Care Med. 2014, 189, 1374–1382. [Google Scholar] [CrossRef] [PubMed]
- Schmidt, M.; Schellongowski, P.; Patroniti, N.; Taccone, F.S.; Reis Miranda, D.; Reuter, J.; Prodanovic, H.; Pierrot, M.; Dorget, A.; Park, S.; et al. Six-Month Outcome of Immunocompromised Patients with Severe Acute Respiratory Distress Syndrome Rescued by Extracorporeal Membrane Oxygenation. An International Multicenter Retrospective Study. Am. J. Respir. Crit. Care Med. 2018, 197, 1297–1307. [Google Scholar] [CrossRef] [PubMed]
- Poh, K.C.; Zheng, S. A Rare Case of CMV Pneumonia in HIV-Infection. Respir. Med. Case Rep. 2019, 28, 100945. [Google Scholar] [CrossRef] [PubMed]
- Morley, D.; Lynam, A.; Carton, E.; Martin-Loeches, I.; Sheehan, G.; Lynn, N.; O’Brien, S.; Mulcahy, F. Extracorporeal Membrane Oxygenation in an HIV-Positive Man with Severe Acute Respiratory Distress Syndrome Secondary to Pneumocystis and Cytomegalovirus Pneumonia. Int. J. STD AIDS 2018, 29, 198–202. [Google Scholar] [CrossRef] [PubMed]
- Millar, A.B.; Patou, G.; Miller, R.F.; Grundy, J.E.; Katz, D.R.; Weller, I.V.; Semple, S.J. Cytomegalovirus in the Lungs of Patients with AIDS. Respiratory Pathogen or Passenger? Am. Rev. Respir. Dis. 1990, 141, 1474–1477. [Google Scholar] [CrossRef] [PubMed]
- O’Sullivan, C.E.; Drew, W.L.; McMullen, D.J.; Miner, R.; Lee, J.Y.; Kaslow, R.A.; Lazar, J.G.; Saag, M.S. Decrease of Cytomegalovirus Replication in Human Immunodeficiency Virus Infected-Patients after Treatment with Highly Active Antiretroviral Therapy. J. Infect. Dis. 1999, 180, 847–849. [Google Scholar] [CrossRef] [PubMed]
- Wislez, M.; Bergot, E.; Antoine, M.; Parrot, A.; Carette, M.F.; Mayaud, C.; Cadranel, J. Acute Respiratory Failure Following HAART Introduction in Patients Treated for Pneumocystis Carinii Pneumonia. Am. J. Respir. Crit. Care Med. 2001, 164, 847–851. [Google Scholar] [CrossRef] [PubMed]
- Rajsic, S.; Breitkopf, R.; Kojic, D.; Bukumiric, Z.; Treml, B. Extracorporeal Life Support for Patients With Newly Diagnosed HIV and Acute Respiratory Distress Syndrome: A Systematic Review and Analysis of Individual Patient Data. ASAIO J. 2023, 69, e513–e519. [Google Scholar] [CrossRef] [PubMed]




| Disclaimer/Publisher’s Note: The statements, opinions and data contained in all publications are solely those of the individual author(s) and contributor(s) and not of MDPI and/or the editor(s). MDPI and/or the editor(s) disclaim responsibility for any injury to people or property resulting from any ideas, methods, instructions or products referred to in the content. | 
© 2024 by the authors. Licensee MDPI, Basel, Switzerland. This article is an open access article distributed under the terms and conditions of the Creative Commons Attribution (CC BY) license (https://creativecommons.org/licenses/by/4.0/).
Share and Cite
Kang, J.K.; Acton, M.; Kim, B.S. The Successful Use of Extracorporeal Membrane Oxygenation in a Newly Diagnosed HIV Patient with Acute Respiratory Distress Syndrome (ARDS) Complicated by Pneumocystis and Cytomegalovirus Pneumonia: A Case Report. Emerg. Care Med. 2024, 1, 428-434. https://doi.org/10.3390/ecm1040042
Kang JK, Acton M, Kim BS. The Successful Use of Extracorporeal Membrane Oxygenation in a Newly Diagnosed HIV Patient with Acute Respiratory Distress Syndrome (ARDS) Complicated by Pneumocystis and Cytomegalovirus Pneumonia: A Case Report. Emergency Care and Medicine. 2024; 1(4):428-434. https://doi.org/10.3390/ecm1040042
Chicago/Turabian StyleKang, Jin Kook, Matthew Acton, and Bo Soo Kim. 2024. "The Successful Use of Extracorporeal Membrane Oxygenation in a Newly Diagnosed HIV Patient with Acute Respiratory Distress Syndrome (ARDS) Complicated by Pneumocystis and Cytomegalovirus Pneumonia: A Case Report" Emergency Care and Medicine 1, no. 4: 428-434. https://doi.org/10.3390/ecm1040042
APA StyleKang, J. K., Acton, M., & Kim, B. S. (2024). The Successful Use of Extracorporeal Membrane Oxygenation in a Newly Diagnosed HIV Patient with Acute Respiratory Distress Syndrome (ARDS) Complicated by Pneumocystis and Cytomegalovirus Pneumonia: A Case Report. Emergency Care and Medicine, 1(4), 428-434. https://doi.org/10.3390/ecm1040042
 
        

