Meningococcal Disease Presenting with Acute Myopericarditis and Concurrent Acute Meningitis
Abstract
1. Introduction
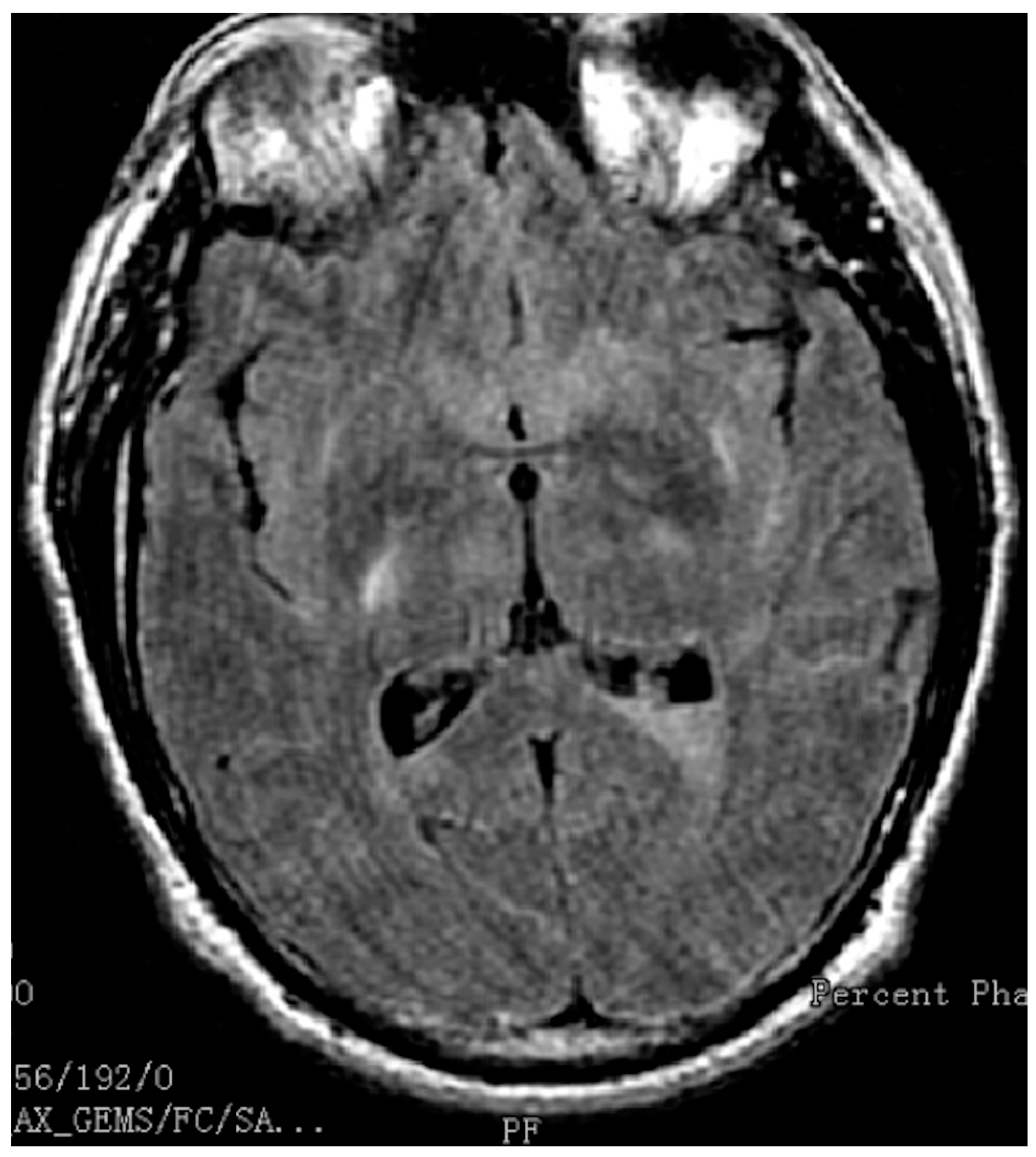
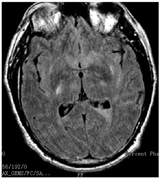
2. Case Report
3. Discussion
4. Conclusions
Funding
Informed Consent Statement
Data Availability Statement
Conflicts of Interest
References
- Available online: https://www.cdc.gov/meningococcal/index.html (accessed on 20 March 2024).
- Rosenstein, N.E.; Perkins, B.A.; Stephens, D.S.; Popovic, T.; Hughes, J.M. Meningococcal disease. N. Engl. J. Med. 2001, 344, 1378–1388. [Google Scholar] [CrossRef] [PubMed]
- Finkelstein, Y.; Adler, Y.; Nussinovitch, M.; Varsano, I.; Amir, J. A new classification for pericarditis associated with meningococcal infection. Eur. J. Pediatr. 1997, 156, 585–588. [Google Scholar] [CrossRef]
- Almeida-González, L.; Franco-Paredes, C.; Pérez, L.F.; Santos-Preciado, J.I. Enfermedad por meningococo, Neisseria meningitidis: Perspectiva epidemiológica, clínica y preventiva [Meningococcal disease caused by Neisseria meningitidis: Epidemiological, clinical, and preventive perspectives]. Salud Publica Mex. 2004, 46, 438–450. (In Spanish) [Google Scholar] [CrossRef]
- Available online: https://www.cdc.gov/meningococcal/clinical-info.html (accessed on 20 March 2024).
- Available online: https://www.cdc.gov/meningococcal/about/diagnosis-treatment.html (accessed on 20 March 2024).
- Edwards, M.S.; Baker, C.J. Complications and sequelae of meningococcal infections in children. J. Pediatr. 1981, 99, 540–545. [Google Scholar] [CrossRef] [PubMed]
- Available online: https://www.cdc.gov/meningococcal/about/risk-factors.html (accessed on 20 March 2024).
- Christensen, H.; May, M.; Bowen, L.; Hickman, M.; Trotter, C.L. Meningococcal carriage by age: A systematic review and meta-analysis. Lancet Infect. Dis. 2010, 10, 853–861, Erratum in Lancet Infect. Dis. 2011, 11, 584. [Google Scholar] [CrossRef] [PubMed]
- Andersen, J.; Berthelsen, L.; Bech Jensen, B.; Lind, I. Dynamics of the meningococcal carrier state and characteristics of the carrier strains: A longitudinal study within three cohorts of military recruits. Epidemiol. Infect. 1998, 121, 85–94. [Google Scholar] [CrossRef] [PubMed]
- Korzeniewski, K.; Skoczyńska, A.; Guzek, A.; Konior, M.; Chciałowski, A.; Waśko, I.; Markowska, M.; Zwolińska, E. Effectiveness of immunoprophylaxis in suppressing carriage of Neisseria meningitidis in the military environment. Adv. Exp. Med. Biol. 2015, 836, 19–28. [Google Scholar] [CrossRef] [PubMed]
- Available online: https://www.cdc.gov/vaccines/vpd/mening/hcp/about-vaccine.html (accessed on 20 March 2024).
- Saslaw, S.; Diserens, R.V. Purulent pericardial effusion complicating meningococcal meningitis. N. Engl. J. Med. 1960, 263, 1074–1075. [Google Scholar] [CrossRef] [PubMed]
- Penny, J.L.; Grace, W.J.; Kennedy, R.J. Meningococcic pericarditis. A case report and review of the literature. Am. J. Cardiol. 1966, 18, 281–285. [Google Scholar] [CrossRef]
- Morse, J.R.; Oretsky, M.I.; Hudson, J.A. Pericarditis as a complication of meningococcal meningitis. Ann. Intern. Med. 1971, 74, 212–217. [Google Scholar] [CrossRef]
- Novak, S.F.; Samuelson, C.W. An unusual case of meningococcal meningitis. J. Pediatr. 1971, 78, 310–312. [Google Scholar] [CrossRef] [PubMed]
- Herman, R.A.; Rubin, H.A. Meningococcal pericarditis without meningitis presenting as tamponade. N. Engl. J. Med. 1974, 290, 143–144. [Google Scholar] [CrossRef] [PubMed]
- Chow, A.W.; Culver, B.; Yoshikawa, T.T.; Guze, L.B. Primary meningococcal pericarditis presenting with tamponade. Chest 1975, 67, 611–612. [Google Scholar] [CrossRef] [PubMed]
- Kwa, R.; Kumar, R.; Varriale, P. Primary meningococcal pericarditis with tamponade. N. Y. State J. Med. 1981, 81, 79–81. [Google Scholar]
- Blaser, M.J.; Reingold, A.L.; Alsever, R.N.; Hightower, A. Primary meningococcal pericarditis: A disease of adults associated with serogroup C Neisseria meningitidis. Rev. Infect. Dis. 1984, 6, 625–632. [Google Scholar] [CrossRef] [PubMed]
- Ramsdale, D.R.; Kaul, T.K.; Coulshed, N. Primary meningococcal pericarditis with tamponade. Postgrad. Med. J. 1985, 61, 1067–1068. [Google Scholar] [CrossRef]
- Hardy, D.J.; Bartholomew, W.R.; Amsterdam, D. Pathophysiology of primary meningococcal pericarditis associated with Neisseria meningitidis group C. A case report and review of the literature. Diagn. Microbiol. Infect. Dis. 1986, 4, 259–265. [Google Scholar] [CrossRef] [PubMed]
- Brasier, A.R.; Macklis, J.D.; Vaughan, D.; Warner, L.; Kirshenbaum, J.M. Myopericarditis as an initial presentation of meningococcemia. Unusual manifestation of infection with serotype W135. Am. J. Med. 1987, 82, 641–644. [Google Scholar] [CrossRef]
- Ejlertsen, T.; Vesterlund, T.; Schmidt, E.B. Myopericarditis with cardiac tamponade caused by Neisseria meningitidis serogroup W135. Eur. J. Clin. Microbiol. Infect. Dis. 1988, 7, 403–404. [Google Scholar] [CrossRef]
- Wilks, D.; Sutters, M.; Sissons, J.G.; Rubenstein, D. Group C meningococcal meningitis presenting as acute pericarditis. Eur. J. Clin. Microbiol. Infect. Dis. 1993, 12, 478–479. [Google Scholar] [CrossRef]
- Moss, W.; Prince, A. Pericarditis complicating meningococcal meningitis in a 7-month-old boy. Clin. Pediatr. 1994, 33, 169–171. [Google Scholar] [CrossRef] [PubMed]
- Baevsky, R.H. Primary meningococcal pericarditis. Clin. Infect. Dis. 1999, 29, 213–215. [Google Scholar] [CrossRef] [PubMed]
- Blom, J.R.; Andriesse, G.I.; Hoorntje, J.C. Passager hartfalen als gevolg van een infectieuze myocarditis [Transient cardiac failure due to infectious myocarditis]. Ned. Tijdschr. Geneeskd. 2003, 147, 1621–1624. [Google Scholar] [PubMed]
- Zeidan, A.; Tariq, S.; Faltas, B.; Urban, M.; McGrody, K. A case of primary meningococcal pericarditis caused by Neisseria meningitidis serotype Y with rapid evolution into cardiac tamponade. J. Gen. Intern. Med. 2008, 23, 1532–1535. [Google Scholar] [CrossRef] [PubMed]
- Nkosi, J.; Thakrar, A.; Kumar, K.; Ahmadie, R.; Fang, T.; Lytwyn, M.; Francis, A.; Kasper, K.; Kirkpatrick, I.; Jassal, D.S. Meningococcal serotype Y myopericarditis. Diagn. Microbiol. Infect. Dis. 2009, 63, 223–227. [Google Scholar] [CrossRef] [PubMed]
- Taldir, G.; Parize, P.; Arvis, P.; Faisy, C. Acute right-sided heart failure caused by Neisseria meningitidis. J. Clin. Microbiol. 2013, 51, 363–365. [Google Scholar] [CrossRef]
- Hoppe, B.P.; Wattel-Louis, G.H.; IJzerman, E.P.; Voogel, A.J. Een 24-jarige man met pijn op de borst [A 24-year-old man with chest pain]. Ned. Tijdschr. Geneeskd. 2015, 159, A9077. [Google Scholar] [PubMed]
- Woudstra, O.I.; Boink, G.J.; Winkelman, J.A.; van Stralen, R. A Rare Case of Primary Meningococcal Myopericarditis in a 71-Year-Old Male. Case Rep. Cardiol. 2016, 2016, 1297869. [Google Scholar] [CrossRef] [PubMed]
- Dawson, L.P.; Hare, J.; Duffy, S.J. Myopericarditis with preserved left ventricular function secondary to Neisseria meningitidis. Diagn. Microbiol. Infect. Dis. 2018, 92, 241–244. [Google Scholar] [CrossRef]
- Durkin, S.M.; Britton, C.; Cooke, G.S.; Mehta, R. A case of invasive meningococcal disease presenting as myopericarditis. Clin. Infect. Pract. 2021, 12, 100082. [Google Scholar] [CrossRef]
- Herrick, W.W. Meningococcic pericarditis, with report of 12 cases. Med. Clin. N. Am. 1918, 2, 411–426. [Google Scholar]
- Dixon, L.M.; Sanford, H.S. Meningococcal pericarditis in the antibiotic era. Mil. Med. 1971, 136, 433–438. [Google Scholar] [CrossRef] [PubMed]
- Vienne, P.; Ducos-Galand, M.; Guiyoule, A.; Pires, R.; Giorgini, D.; Taha, M.K.; Alonso, J.M. The role of particular strains of Neisseria meningitidis in meningococcal arthritis, pericarditis, and pneumonia. Clin. Infect. Dis. 2003, 37, 1639–1642. [Google Scholar] [CrossRef] [PubMed]
- Chiabrando, J.G.; Bonaventura, A.; Vecchié, A.; Wohlford, G.F.; Mauro, A.G.; Jordan, J.H.; Grizzard, J.D.; Montecucco, F.; Berrocal, D.H.; Brucato, A.; et al. Management of Acute and Recurrent Pericarditis: JACC State-of-the-Art Review. J. Am. Coll. Cardiol. 2020, 75, 76–92. [Google Scholar] [CrossRef]
- Lange, R.A.; Hillis, L.D. Clinical practice. Acute pericarditis. N. Engl. J. Med. 2004, 351, 2195–2202, Erratum in N. Engl. J. Med. 2005, 352, 1163. [Google Scholar] [CrossRef]
- Chaubey, V.K.; Chhabra, L. Spodick’s sign: A helpful electrocardiographic clue to the diagnosis of acute pericarditis. Perm. J. 2014, 18, e122. [Google Scholar] [CrossRef]
- Witting, M.D.; Hu, K.M.; Westreich, A.A.; Tewelde, S.; Farzad, A.; Mattu, A. Evaluation of Spodick’s Sign and Other Electrocardiographic Findings as Indicators of STEMI and Pericarditis. J. Emerg. Med. 2020, 58, 562–569. [Google Scholar] [CrossRef]
- George, A.; Arumugham, P.S.; Figueredo, V.M. aVR-the forgotten lead. Exp. Clin. Cardiol. 2010, 15, e36–e44, Erratum in Exp. Clin. Cardiol. 2010, 15, 32. [Google Scholar]


Disclaimer/Publisher’s Note: The statements, opinions and data contained in all publications are solely those of the individual author(s) and contributor(s) and not of MDPI and/or the editor(s). MDPI and/or the editor(s) disclaim responsibility for any injury to people or property resulting from any ideas, methods, instructions or products referred to in the content. |
© 2024 by the author. Licensee MDPI, Basel, Switzerland. This article is an open access article distributed under the terms and conditions of the Creative Commons Attribution (CC BY) license (https://creativecommons.org/licenses/by/4.0/).
Share and Cite
Singh, A. Meningococcal Disease Presenting with Acute Myopericarditis and Concurrent Acute Meningitis. Emerg. Care Med. 2024, 1, 95-102. https://doi.org/10.3390/ecm1020013
Singh A. Meningococcal Disease Presenting with Acute Myopericarditis and Concurrent Acute Meningitis. Emergency Care and Medicine. 2024; 1(2):95-102. https://doi.org/10.3390/ecm1020013
Chicago/Turabian StyleSingh, Amandeep. 2024. "Meningococcal Disease Presenting with Acute Myopericarditis and Concurrent Acute Meningitis" Emergency Care and Medicine 1, no. 2: 95-102. https://doi.org/10.3390/ecm1020013
APA StyleSingh, A. (2024). Meningococcal Disease Presenting with Acute Myopericarditis and Concurrent Acute Meningitis. Emergency Care and Medicine, 1(2), 95-102. https://doi.org/10.3390/ecm1020013
