Psoas Muscle Index Predicts Perioperative Mortality in Patients Undergoing LVAD Implantation
Abstract
1. Introduction
2. Methods
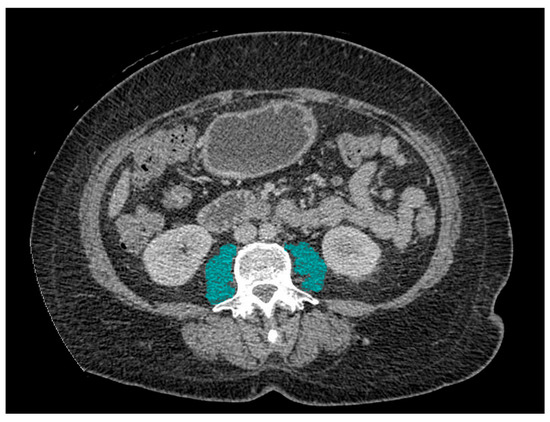
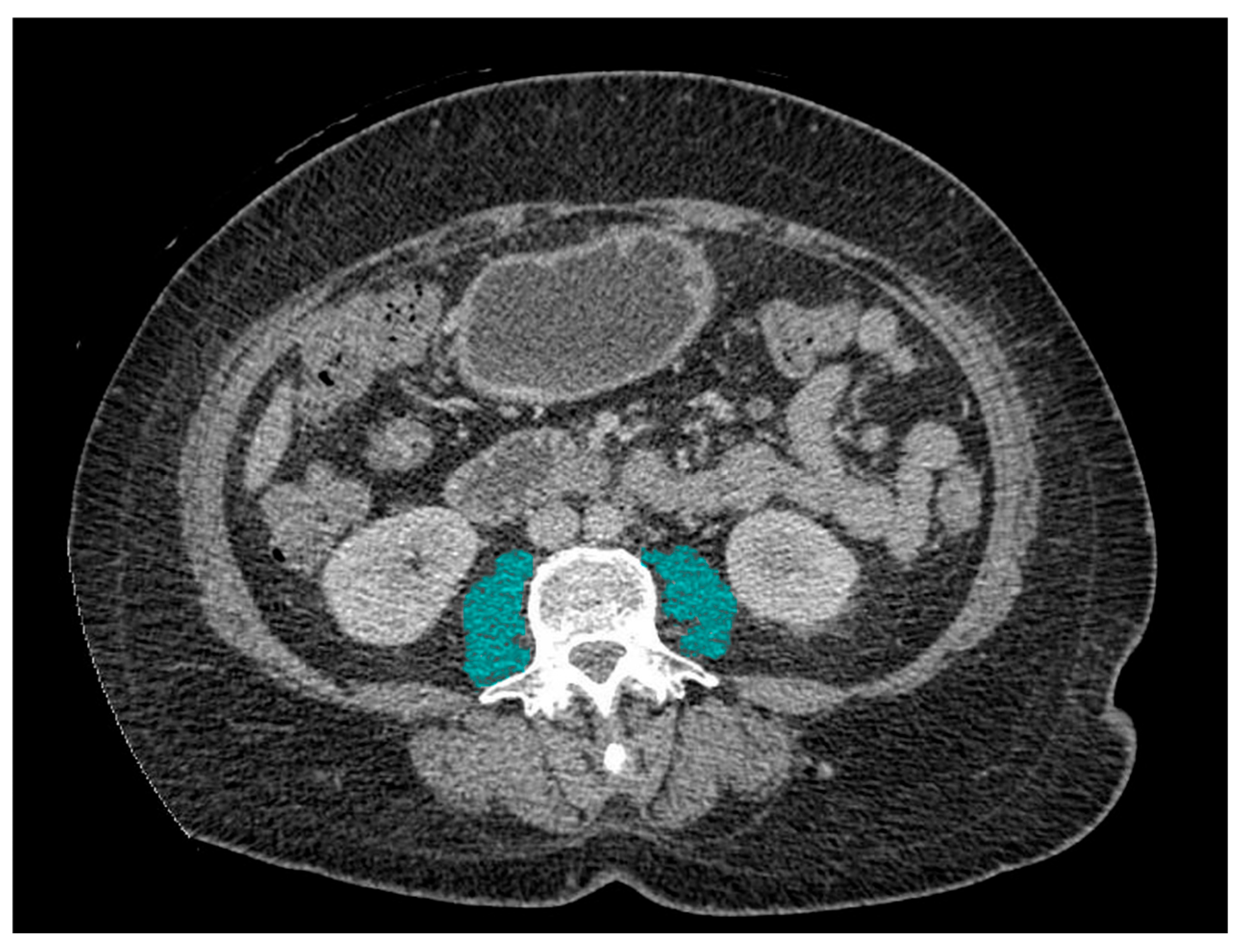
2.1. Definition of Sarcopenia
2.2. Statistical Analysis
3. Results
3.1. Cohort and Sarcopenia Distribution
3.2. Baseline Demographics and Comorbidities
3.3. Nutrition and Functional Assessments
3.4. Clinical Outcomes
4. Discussion
4.1. Key Findings
4.2. Comparison with Existing Literature
4.3. Potential Mechanisms
4.4. Impact on Rehabilitation and Recovery
4.5. Long-Term Implications
4.6. Limitations
4.7. Future Directions
5. Conclusions
Author Contributions
Funding
Institutional Review Board Statement
Informed Consent Statement
Data Availability Statement
Conflicts of Interest
References
- Roger, V.L. Epidemiology of Heart Failure. Circ. Res. 2021, 128, 1421–1434. [Google Scholar] [CrossRef]
- Soto, M.E.; Pérez-Torres, I.; Rubio-Ruiz, M.E.; Manzano-Pech, L.; Guarner-Lans, V. Interconnection between Cardiac Cachexia and Heart Failure-Protective Role of Cardiac Obesity. Cells 2022, 11, 1039. [Google Scholar] [CrossRef]
- Rich, M.W.; Chyun, D.A.; Skolnick, A.H.; Alexander, K.P.; Forman, D.E.; Kitzman, D.W.; Maurer, M.S.; McClurken, J.B.; Resnick, B.M.; Shen, W.K.; et al. Knowledge Gaps in Cardiovascular Care of the Older Adult Population: A Scientific Statement from the American Heart Association, American College of Cardiology, and American Geriatrics Society. J. Am. Coll. Cardiol. 2016, 67, 2419–2440. [Google Scholar] [CrossRef] [PubMed]
- Robinson, T.N.; Wu, D.S.; Pointer, L.; Dunn, C.L.; Cleveland, J.C.; Moss, M. Simple Frailty Score Predicts Post-Operative Complications Across Surgical Specialties. Am. J. Surg. 2013, 206, 544–550. [Google Scholar] [CrossRef]
- La Franca, E.; Iacona, R.; Ajello, L.; Sansone, A.; Caruso, M.; Assennato, P. Heart failure and mechanical circulatory assist devices. Glob. J. Health Sci. 2013, 5, 11–19. [Google Scholar] [CrossRef][Green Version]
- Teuteberg, J.J.; Cleveland, J.C.; Cowger, J., Jr.; Higgins, R.S.; Goldstein, D.J.; Keebler, M.; Kirklin, J.K.; Myers, S.L.; Salerno, C.T.; Stehlik, J.; et al. The Society of Thoracic Surgeons Intermacs 2019 Annual Report: The Changing Landscape of Devices and Indications. Ann. Thorac. Surg. 2020, 109, 649–660. [Google Scholar] [CrossRef]
- Kirklin, J.K.; Xie, R.; Cowger, J.; de By, T.M.; Nakatani, T.; Schueler, S.; Taylor, R.; Lannon, J.; Mohacsi, P.; Gummert, J.; et al. Second annual report from the ISHLT Mechanically Assisted Circulatory Support Registry. J. Heart Lung Transplant. 2018, 37, 685–691. [Google Scholar] [CrossRef]
- Mehra, M.R.; Uriel, N.; Naka, Y.; Cleveland, J.C.; Yuzefpolskaya, M.; Salerno, C.T.; Walsh, M.N.; Milano, C.A.; Patel, C.B.; Hutchins, S.W.; et al. A Fully Magnetically Levitated Left Ventricular Assist Device—Final Report. N. Engl. J. Med. 2019, 380, 1618–1627. [Google Scholar] [CrossRef] [PubMed]
- Wittmann, F.; Schlöglhofer, T.; Riebandt, J.; Schaefer, A.K.; Wiedemann, D.; Tschernko, E.; Beitzke, D.; Loewe, C.; Laufer, G.; Zimpfer, D. Psoas Muscle Area Predicts Mortality after Left Ventricular Assist Device Implantation. Life 2021, 11, 922. [Google Scholar] [CrossRef]
- Knoedler, S.; Schliermann, R.; Knoedler, L.; Wu, M.; Hansen, F.J.; Matar, D.Y.; Obed, D.; Vervoort, D.M.; Haug, V.; Hundeshagen, G.; et al. Impact of sarcopenia on outcomes in surgical patients: A systematic review and meta-analysis. Int. J. Surg. 2023, 109, 4238–4262. [Google Scholar] [CrossRef]
- Cruz-Jentoft, A.J.; Baeyens, J.P.; Bauer, J.M.; Boirie, Y.; Cederholm, T.; Landi, F.; Martin, F.C.; Michel, J.-P.; Rolland, Y.; Schneider, S.M.; et al. Sarcopenia: European consensus on definition and diagnosis. Age Ageing 2010, 39, 412–423. [Google Scholar] [CrossRef] [PubMed]
- Beypınar, İ.; Kılar Sözel, Y.; Sindel, T.; Sezgin Göksu, S.; Sözel, H. The Effect of Skeletal Muscle Radiodensity and Psoas Muscle Index on Prognosis of Small-Cell Lung Cancer. Eskiseh. Med. J. 2021, 2, 60–67. [Google Scholar] [CrossRef]
- Nakayama, T.; Furuya, S.; Kawaguchi, Y.; Shoda, K.; Akaike, H.; Hosomura, N.; Amemiya, H.; Kawaida, H.; Sudoh, M.; Kono, H.; et al. Prognostic value of preoperative psoas muscle index as a measure of nutritional status in patients with esophageal cancer receiving neoadjuvant therapy. Nutrition 2021, 90, 111232. [Google Scholar] [CrossRef]
- Balsam, L.B. Psoas muscle area: A new standard for frailty assessment in cardiac surgery? J. Thorac. Dis. 2018, 10 (Suppl. S33), S3846–S3849. [Google Scholar] [CrossRef]
- Kajiki, Y.; Tsuji, H.; Misawa, H.; Nakahara, R.; Tetsunaga, T.; Yamane, K.; Oda, Y.; Takao, S.; Ozaki, T. Psoas muscle index predicts osteoporosis and fracture risk in individuals with degenerative spinal disease. Nutrition 2022, 93, 111428. [Google Scholar] [CrossRef]
- Bahat, G.; Turkmen, B.O.; Aliyev, S.; Catikkas, N.M.; Bakir, B.; Karan, M.A. Cut-off values of skeletal muscle index and psoas muscle index at L3 vertebra level by computerized tomography to assess low muscle mass. Clin. Nutr. 2021, 40, 4360–4365. [Google Scholar] [CrossRef] [PubMed]
- Panagiotou, M.; Peacock, A.J.; Johnson, M.K. Respiratory and Limb Muscle Dysfunction in Pulmonary Arterial Hypertension: A Role for Exercise Training? Pulm. Circ. 2015, 5, 424–434. [Google Scholar] [CrossRef]
- Daigo, K.; Katsumata, Y.; Esaki, K.; Iwasawa, Y.; Ichihara, G.; Miura, K.; Shirakawa, K.; Sato, Y.; Sato, K.; Fukuda, K. Predictors of Improvement in Exercise Tolerance After Balloon Pulmonary Angioplasty for Chronic Thromboembolic Pulmonary Hypertension. J. Am. Heart Assoc. 2023, 12, e8137. [Google Scholar] [CrossRef]
- Bauer, R.; Dehnert, C.; Schoene, P.; Filusch, A.; Bärtsch, P.; Borst, M.M.; Katus, H.A.; Meyer, F.J. Skeletal muscle dysfunction in patients with idiopathic pulmonary arterial hypertension. Respir. Med. 2007, 101, 2366–2369. [Google Scholar] [CrossRef]
- Yang, Y.; Sun, M.; Chen, W.M.; Wu, S.Y.; Zhang, J. Adverse postoperative outcomes in elderly patients with sarcopenia. BMC Geriatr. 2024, 24, 561. [Google Scholar] [CrossRef]
- Kumar, A.A.; Wong, W.S.; Zheng, Y.; Leow, B.H.; Low, Y.L.; Tan, L.F.; Teo, K.; Nga, V.D.; Yeo, T.T.; Lim, M.J. Effect of psoas muscle index on early postoperative outcomes in surgically treated spinal tumours in an Asian population. J. Clin. Neurosci. 2024, 126, 214–220. [Google Scholar] [CrossRef]
- Pernik, M.N.; Hicks, W.H.; Akbik, O.S.; Nguyen, M.L.; Luu, I.; Traylor, J.I.; Deme, P.R.; Dosselman, L.J.; Hall, K.; Wingfield, S.A.; et al. Psoas Muscle Index as a Predictor of Perioperative Outcomes in Geriatric Patients Undergoing Spine Surgery. Glob. Spine J. 2023, 13, 2016–2024. [Google Scholar] [CrossRef]
- Batista, A.F.R.; Petty, D.; Fairhurst, C.; Davies, S. Psoas muscle mass index as a predictor of long-term mortality and severity of complications after major intra-abdominal colorectal surgery—A retrospective analysis. J. Clin. Anesth. 2023, 84, 110995. [Google Scholar] [CrossRef]
- Cruz-Jentoft, A.J.; Bahat, G.; Bauer, J.; Boirie, Y.; Bruyère, O.; Cederholm, T.; Cooper, C.; Landi, F.; Rolland, Y.; Sayer, A.A.; et al. Sarcopenia: Revised European consensus on definition and diagnosis. Age Ageing 2019, 48, 16–31. [Google Scholar] [CrossRef]
- Narumi, T.; Watanabe, T.; Kadowaki, S.; Takahashi, T.; Yokoyama, M.; Kinoshita, D.; Honda, Y.; Funayama, A.; Nishiyama, S.; Takahashi, H.; et al. Sarcopenia evaluated by fat-free mass index is an important prognostic factor in patients with chronic heart failure. Eur. J. Intern. Med. 2015, 26, 118–122. [Google Scholar] [CrossRef]
- Billingsley, H.E.; Hummel, S.L.; Carbone, S. The role of diet and nutrition in heart failure: A state-of-the-art narrative review. Prog Cardiovasc. Dis. 2020, 63, 538–551. [Google Scholar] [CrossRef]
- Argilés, J.M.; Busquets, S.; Stemmler, B.; López-Soriano, F.J. Cachexia and sarcopenia: Mechanisms and potential targets for intervention. Nat. Rev. Rheumatol. 2019, 15, 151–164. [Google Scholar] [CrossRef] [PubMed]
- Toth, M.J.; Ades, P.A.; Tischler, M.D.; Tracy, R.P.; LeWinter, M.M. Immobility, sarcopenia, and loss of muscle mass in chronic heart failure. J. Card. Fail. 2006, 12, 628–634. [Google Scholar] [CrossRef][Green Version]
- Fülster, S.; Tacke, M.; Sandek, A.; Ebner, N.; Tschöpe, C.; Doehner, W.; Anker, S.D.; von Haehling, S. Muscle wasting in patients with chronic heart failure: Results from the studies investigating co-morbidities aggravating heart failure (SICA-HF). Eur. Heart J. 2013, 34, 512–519. [Google Scholar] [CrossRef] [PubMed]
- Di Nora, C.; Guidetti, F.; Livi, U.; Antonini-Canterin, F. Role of Cardiac Rehabilitation After Ventricular Assist Device Implantation. Heart Fail. Clin. 2021, 17, 273–278. [Google Scholar] [CrossRef]
- Sasaki, K.I.; Fukumoto, Y. Sarcopenia as a comorbidity of cardiovascular disease. J. Cardiol. 2022, 79, 596–604. [Google Scholar] [CrossRef] [PubMed]
- Shakuta, S.; Noda, T.; Kamiya, K.; Hamazaki, N.; Nozaki, K.; Yamashita, M.; Uchida, S.; Ueno, K.; Maekawa, E.; Yamaoka-Tojo, M.; et al. Clinical Impact of Improvement in Sarcopenia through Cardiac Rehabilitation in Patients with Heart Failure. J. Am. Med. Dir. Assoc. 2024, 25, 514–520.e2. [Google Scholar] [CrossRef] [PubMed]



| Non-Sarcopenic (24) | Sarcopenic (8) | p Value | |
|---|---|---|---|
| Gender (Male) | 17 (70.8%) | 7 (87.5%) | 0.346 |
| Ethnicity | 0.396 | ||
| Caucasian | 7 (29.2%) | 5 (62.5) | |
| African American | 11 (45.8%) | 2 (25%) | |
| Hispanic | 5 (20.8%) | 1 (12.5) | |
| Asian | 0 | 0 | |
| Other | 1 (4.2%) | 0 | |
| Age at Transplant—Average | 55.8 | 60 | 0.271 |
| Chronic Kidney Disease | 18 (75%) | 6 (75%) | 1 |
| Atrial Fibrillation | 5 (20.8%) | 2 (25%) | 0.805 |
| Myocardial Infarction | 5 (20.8%) | 3 (37.5%) | 0.660 |
| Liver Disease | 5 (20.8%) | 3 (37.5%) | 0.660 |
| Cerebral Vascular Accident | 9 (37.5%) | 4 (50%) | 0.533 |
| Outpatient Milrinone Use | 11 (45.8%) | 3 (37.5%) | 0.681 |
| LVAD as BTT | 3 (12.5%) | 1 (12.5%) | 1.0 |
| Non-Sarcopenic (24) | Sarcopenic (8) | ||
|---|---|---|---|
| BMI average | 29.6 | 30.6 | 0.353 |
| Albumin average | 3.17 | 3.23 | 0.403 |
| Prealbumin average | 19.26 | 18.36 | 0.389 |
| Grip strength average | 29.59 | 28.23 | 0.796 |
| At-risk/malnourished MNA | 16 (66.7%) | 5 (62.5%) | 0.830 |
| Non-Sarcopenic (24) | Sarcopenic (8) | p-Value | |
|---|---|---|---|
| Overall Mortality | 9 (37.5%) | 3 (37.5%) | 1 |
| 90-day Mortality | 2 (8.3%) | 3 (37.5%) | 0.16 |
| 1-year Mortality | 4 (16.6%) | 3 (37.5%) | 0.459 |
| Post-op LOS average | 23.33 | 26.43 | 0.623 |
| OS among Deceased (days) | 597 | 38 | 0.006 |
| Sarcopenic Status | Mean Estimate (days) | Std. Error | 95% CI Lower Bound (Mean) | 95% CI Upper Bound (Mean) | Median Estimate | Std. Error (Median) | 95% CI Lower Bound (Median) |
|---|---|---|---|---|---|---|---|
| no | 597 | 171.648 | 260.57 | 933.43 | 415 | 38.759 | 339.033 |
| yes | 38 | 14.012 | 10.537 | 65.463 | 25 | 1.633 | 21.799 |
| Overall | 457.25 | 146.308 | 170.486 | 744.014 | 374 | 62.354 | 251.786 |
Disclaimer/Publisher’s Note: The statements, opinions and data contained in all publications are solely those of the individual author(s) and contributor(s) and not of MDPI and/or the editor(s). MDPI and/or the editor(s) disclaim responsibility for any injury to people or property resulting from any ideas, methods, instructions or products referred to in the content. |
© 2025 by the authors. Licensee MDPI, Basel, Switzerland. This article is an open access article distributed under the terms and conditions of the Creative Commons Attribution (CC BY) license (https://creativecommons.org/licenses/by/4.0/).
Share and Cite
Hopkins, S.; Gohel, P.; Gandhi, S.; Nasir, M.; Stallings, W.; Hamad, E. Psoas Muscle Index Predicts Perioperative Mortality in Patients Undergoing LVAD Implantation. Muscles 2025, 4, 41. https://doi.org/10.3390/muscles4030041
Hopkins S, Gohel P, Gandhi S, Nasir M, Stallings W, Hamad E. Psoas Muscle Index Predicts Perioperative Mortality in Patients Undergoing LVAD Implantation. Muscles. 2025; 4(3):41. https://doi.org/10.3390/muscles4030041
Chicago/Turabian StyleHopkins, Steven, Paulomi Gohel, Sakshi Gandhi, Moiz Nasir, William Stallings, and Eman Hamad. 2025. "Psoas Muscle Index Predicts Perioperative Mortality in Patients Undergoing LVAD Implantation" Muscles 4, no. 3: 41. https://doi.org/10.3390/muscles4030041
APA StyleHopkins, S., Gohel, P., Gandhi, S., Nasir, M., Stallings, W., & Hamad, E. (2025). Psoas Muscle Index Predicts Perioperative Mortality in Patients Undergoing LVAD Implantation. Muscles, 4(3), 41. https://doi.org/10.3390/muscles4030041

