Antioxidant and Metal-Chelating Activities of Bioactive Peptides from Ovotransferrin Produced by Enzyme Combinations
Abstract
:1. Introduction
2. Materials and Methods
2.1. Materials
2.2. Enzymatic Hydrolysis of Ovotransferrin
2.3. Antioxidant Activity Assessment Using the 2-Thiobarbituric Acid-Reactive Substance Assay
2.4. Fe2+-Chelating Activity
2.5. Cu2+-Chelating Activity
2.6. Statistical Analysis
3. Results and Discussion
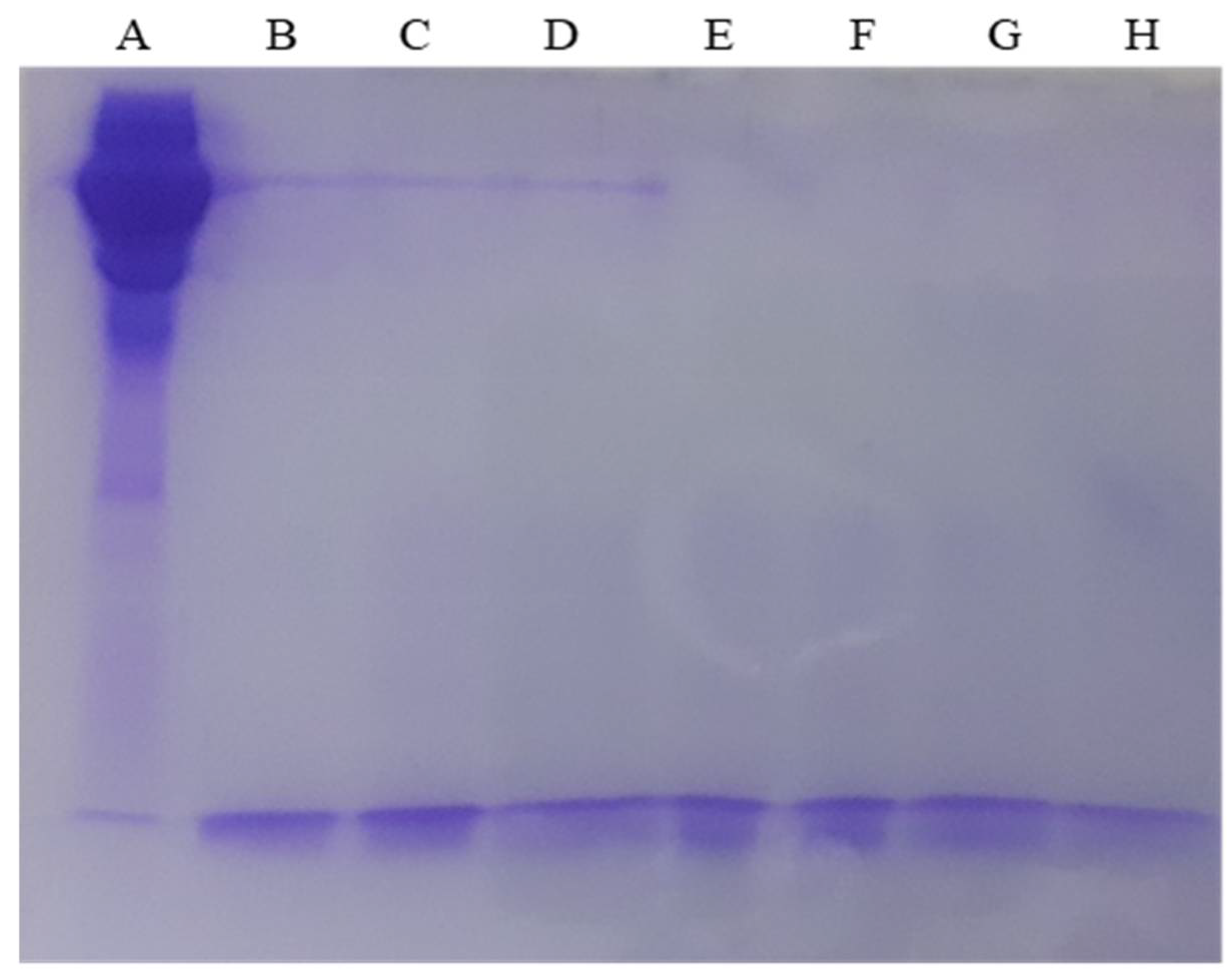
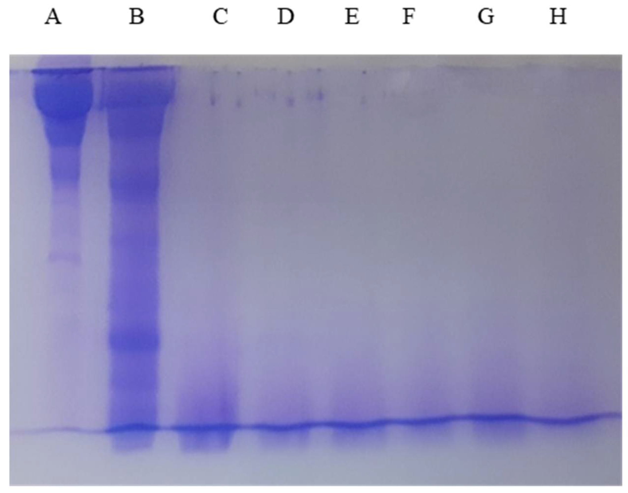
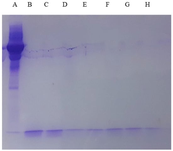
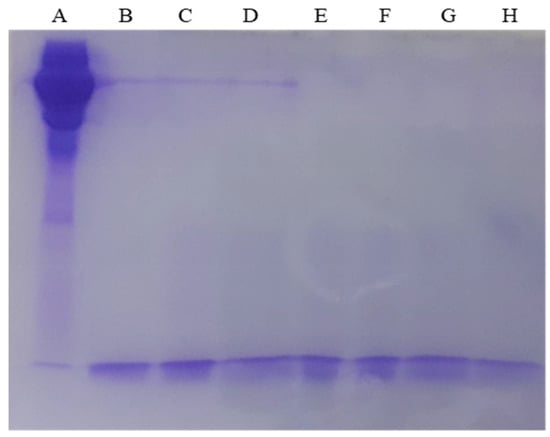
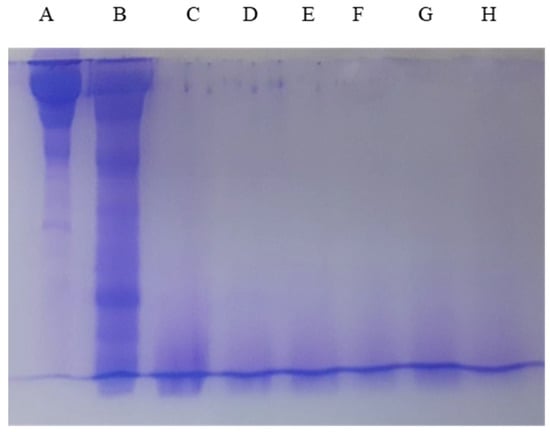
3.1. Hydrolysis of Ovotransferrin
3.2. Antioxidant Activity of the Hydrolysates
3.3. Metal-Chelating Activity of the Hydrolysates
4. Conclusions
Author Contributions
Funding
Institutional Review Board Statement
Informed Consent Statement
Data Availability Statement
Conflicts of Interest
References
- Sánchez, A.; Vázquez, A. Bioactive peptides: A review. Food Qual. Saf. 2017, 1, 29–46. [Google Scholar] [CrossRef]
- Liu, J.; Jin, Y.; Lin, S.; Jones, G.S.; Chen, F. Purification and identification of novel antioxidant peptides from egg white protein and their antioxidant activities. Food Chem. 2015, 175, 258–266. [Google Scholar] [CrossRef] [PubMed]
- Möller, N.P.; Scholz-Ahrens, K.E.; Roos, N.; Schrezenmeir, J. Bioactive peptides and proteins from foods: Indication for health effects. Eur. J. Nutr. 2008, 47, 171–182. [Google Scholar] [CrossRef] [PubMed]
- Ulug, S.K.; Jahandideh, F.; Wu, J. Novel technologies for the production of bioactive peptides. Trends Food Sci. Technol. 2021, 108, 27–39. [Google Scholar] [CrossRef]
- Miranda, J.M.; Anton, X.; Redondo-Valbuena, C.; Roca-Saavedra, P.; Rodriguez, J.A.; Lamas, A.; Franco, C.M.; Cepeda, A. Egg and egg-derived foods: Effects on human health and use as functional foods. Nutrients 2015, 7, 706–729. [Google Scholar] [CrossRef]
- Korhonen, H.; Pihlanto, A. Food-derived bioactive peptides-opportunities for designing future foods. Curr. Pharm. Des. 2003, 9, 1297–1308. [Google Scholar] [CrossRef]
- Abeyrathne, E.D.N.S.; Lee, H.Y.; Ahn, D.U. Egg white proteins and their potential use in food processing or as nutraceutical and pharmaceutical agents—A review. Poult. Sci. 2013, 92, 3292–3299. [Google Scholar] [CrossRef]
- Wu, J.; Acero-Lopez, A. Ovotransferrin: Structure, bioactivities, and preparation. Food Res. Int. 2012, 46, 480–487. [Google Scholar]
- Abeyrathne, E.D.N.S.; Lee, H.Y.; Ham, J.S.; Ahn, D.U. Separation of ovotransferrin from chicken egg white without using organic solvents. Poult. Sci. 2013, 92, 1091–1097. [Google Scholar] [CrossRef]
- Abeyrathne, E.D.N.S.; Lee, H.Y.; Jo, C.; Nam, K.C.; Ahn, D.U. Enzymatic hydrolysis of ovalbumin and the functional properties of the hydrolysates. Poult. Sci. 2014, 93, 2678–2686. [Google Scholar] [CrossRef]
- Abeyrathne, E.D.N.S.; Lee, H.Y.; Jo, C.; Suh, J.W.; Ahn, D.U. Enzymatic hydrolysis of ovomucoid and the functional properties of its hydrolysates. Poult. Sci. 2015, 94, 2280–2287. [Google Scholar] [CrossRef] [PubMed]
- Abeyrathne, E.D.N.S.; Lee, H.Y.; Jo, C.; Suh, J.W.; Ahn, D.U. Enzymatic hydrolysis of ovomucin and the functional and structural characteristics of peptides in the hydrolysates. Food Chem. 2016, 192, 107–113. [Google Scholar] [CrossRef] [PubMed]
- Abeyrathne, E.D.N.S.; Huang, X.; Ahn, D.U. Antioxidant, angiotensin-converting enzyme inhibitory activity and other functional properties of egg white proteins and their derived peptides—A review. Poult. Sci. 2018, 97, 1462–1468. [Google Scholar] [CrossRef] [PubMed]
- Lee, J.H.; Moon, S.H.; Kim, H.S.; Park, E.; Ahn, D.U.; Paik, H.D. Antioxidant and anticancer effects of functional peptides from ovotransferrin hydrolysates. J. Sci. Food Agric. 2017, 97, 4857–4864. [Google Scholar] [CrossRef] [PubMed]
- Wang, X.; Wei, Z.; Xue, C. The past and future of ovotransferrin: Physicochemical properties, assembly and applications. Trends Food Sci. Technol. 2021, 116, 47–62. [Google Scholar] [CrossRef]
- Rathnapala, E.C.N.; Ahn, D.U.; Abeyrathne, S. Functional properties of ovotransferrin from chicken egg white and its derived peptides: A review. Food Sci. Biotechnol. 2021, 30, 619–630. [Google Scholar] [CrossRef]
- Rathnapala, E.C.N.; Ahn, D.U.; Abeyrathne, E.D.N.S. Enzymatic Hydrolysis of Ovotransferrin and the Functional Properties of Its Hydrolysates. Food Sci. Anim. Resour. 2021, 41, 608. [Google Scholar] [CrossRef]
- Carter, P. Spectrophotometric determination of serum iron at the submicrogram level with a new reagent (ferrozine). Anal. Biochem. 1971, 40, 450–458. [Google Scholar] [CrossRef]
- Kong, B.; Xiong, Y.L. Antioxidant activity of zein hydrolysates in liposomes. Am. Chem. Soc. 2006, 92, 37–63. [Google Scholar]
- Bhat, Z.F.; Kumar, S.; Bhat, H.F. Bioactive peptides from egg: A review. Nutr. Food Sci. 2015, 45, 190–212. [Google Scholar] [CrossRef]
- Da Silva, R.R. Enzymatic synthesis of protein hydrolysates from animal proteins: Exploring microbial peptidases. Front. Microbiol. 2018, 9, 735. [Google Scholar] [CrossRef] [PubMed]
- Kim, J.; Moon, S.H.; Ahn, D.U.; Paik, H.D.; Park, E. Antioxidant effects of ovotransferrin and its hydrolysates. Poult. Sci. 2012, 91, 2747–2754. [Google Scholar] [CrossRef] [PubMed]
- Huang, W.Y.; Majumder, K.; Wu, J. Oxygen radical absorbance capacity of peptides from egg white protein ovotransferrin and their interaction with phytochemicals. Food Chem. 2010, 123, 635–641. [Google Scholar] [CrossRef]
- Songyi, L.; Yang, G.; Jingbo, L.; Qi, Y.; YongGuang, Y.; Sheng, C. Optimized enzymatic hydrolysis and pulsed electric field treatment for production of antioxidant peptides from egg white protein. Afr. J. Biotechnol. 2011, 10, 11648–11657. [Google Scholar]
- Sun, Q.; Faustman, C.; Senecal, A.; Wilkinson, A.L.; Furr, H. Aldehyde reactivity with 2-thiobarbituric acid and TBARS in freeze-dried beef during accelerated storage. Meat Sci. 2001, 57, 55–60. [Google Scholar] [CrossRef]
- Ibrahim, H.R.; Hoq, M.I.; Aoki, T. Ovotransferrin possesses SOD-like superoxide anion scavenging activity that is promoted by copper and manganese binding. Int. J. Biol. Macromol. 2007, 41, 631–640. [Google Scholar] [CrossRef]
- Ibrahim, H.R.; Sugimoto, Y.; Aoki, T. Ovotransferrin antimicrobial peptide (OTAP-92) kills bacteria through a membrane damage mechanism. Biochim. Biophys. Acta BBA Gen. Subj. 2000, 1523, 196–205. [Google Scholar] [CrossRef]
- Huopalahti, R.; Fandino, R.L.; Anton, M.; Schade, R. Bioactive Egg Compounds, 1st ed.; Springer: New York, NY, USA, 2007. [Google Scholar]






Publisher’s Note: MDPI stays neutral with regard to jurisdictional claims in published maps and institutional affiliations. |
© 2022 by the authors. Licensee MDPI, Basel, Switzerland. This article is an open access article distributed under the terms and conditions of the Creative Commons Attribution (CC BY) license (https://creativecommons.org/licenses/by/4.0/).
Share and Cite
Wickramasinghe, H.S.; Abeyrathne, E.D.N.S.; Nam, K.-C.; Ahn, D.U. Antioxidant and Metal-Chelating Activities of Bioactive Peptides from Ovotransferrin Produced by Enzyme Combinations. Poultry 2022, 1, 220-228. https://doi.org/10.3390/poultry1040019
Wickramasinghe HS, Abeyrathne EDNS, Nam K-C, Ahn DU. Antioxidant and Metal-Chelating Activities of Bioactive Peptides from Ovotransferrin Produced by Enzyme Combinations. Poultry. 2022; 1(4):220-228. https://doi.org/10.3390/poultry1040019
Chicago/Turabian StyleWickramasinghe, Hiruni Sashikala, Edirisinghe Dewage Nalaka Sandun Abeyrathne, Ki-Chang Nam, and Dong Uk Ahn. 2022. "Antioxidant and Metal-Chelating Activities of Bioactive Peptides from Ovotransferrin Produced by Enzyme Combinations" Poultry 1, no. 4: 220-228. https://doi.org/10.3390/poultry1040019
APA StyleWickramasinghe, H. S., Abeyrathne, E. D. N. S., Nam, K.-C., & Ahn, D. U. (2022). Antioxidant and Metal-Chelating Activities of Bioactive Peptides from Ovotransferrin Produced by Enzyme Combinations. Poultry, 1(4), 220-228. https://doi.org/10.3390/poultry1040019

