Introgression of Bacterial Blight Resistance Genes (Xa21, xa13 and xa5) into CB 174 R, an Elite Restorer Line in Rice †
Abstract
1. Introduction
2. Experiments
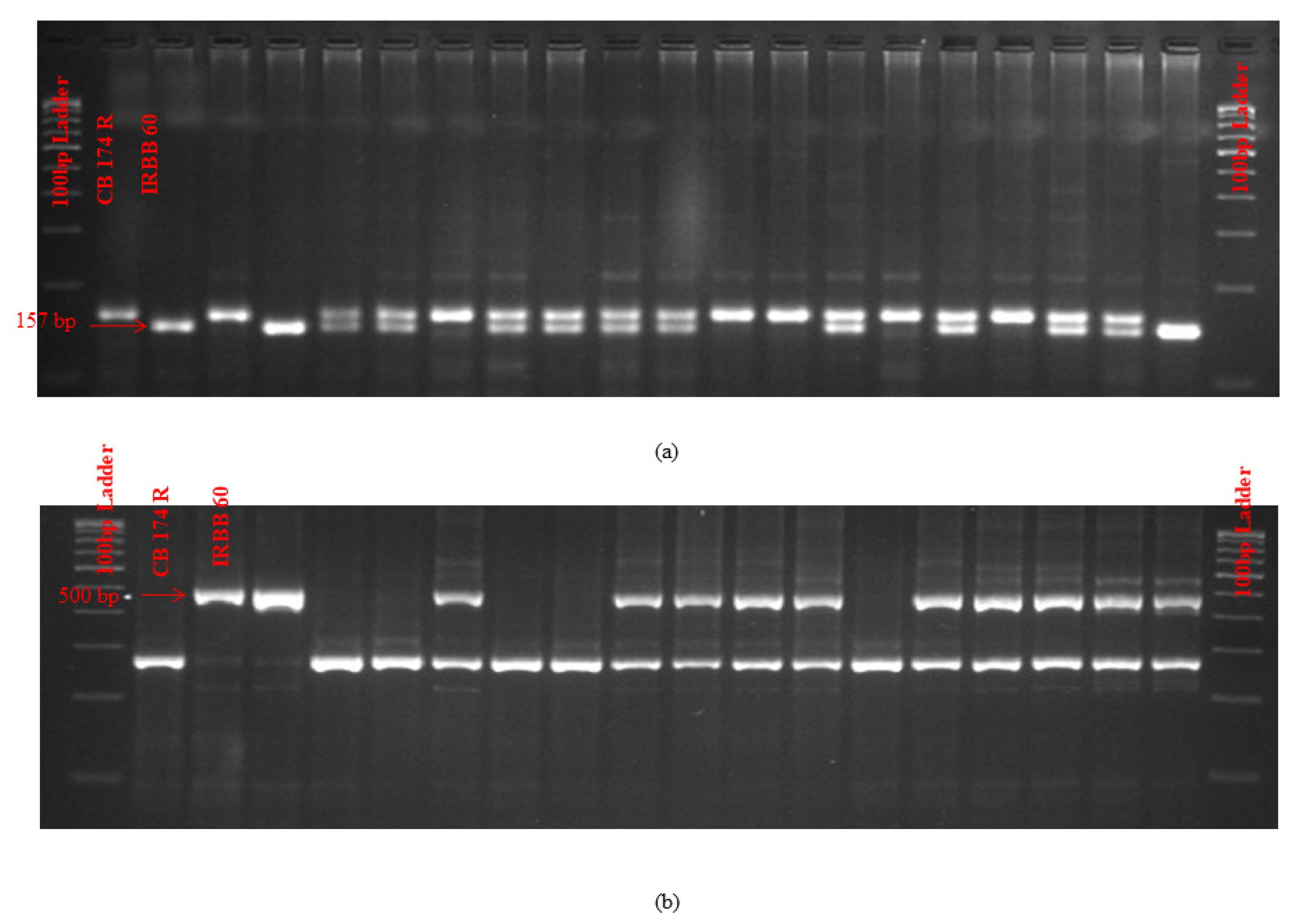
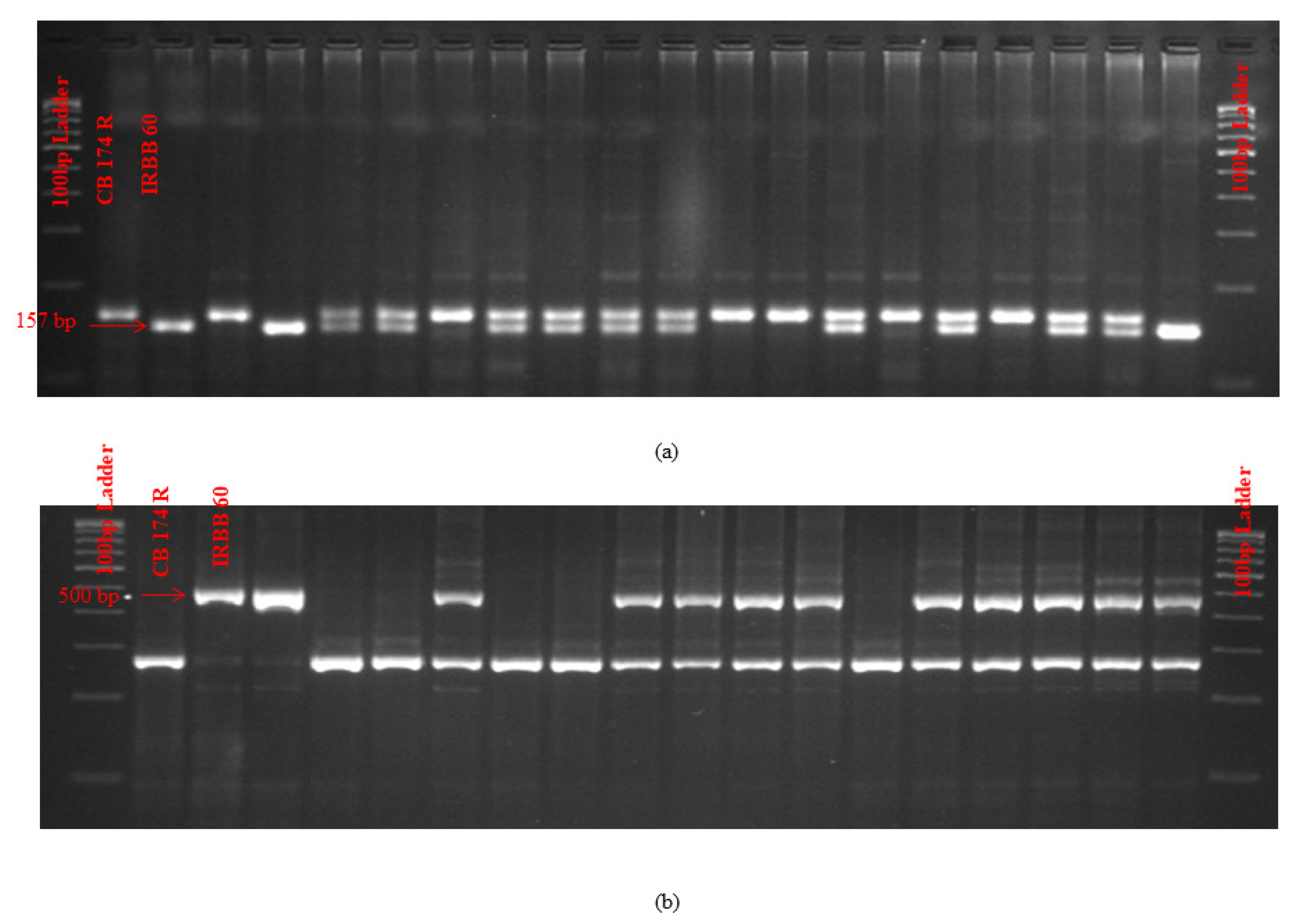
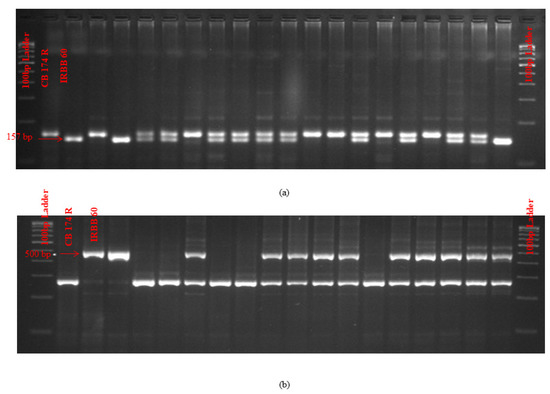
3. Results
4. Discussion
5. Conclusions
Supplementary Materials
Author Contributions
Institutional Review Board Statement
Informed Consent Statement
Acknowledgments
Conflicts of Interest
Abbreviations
| BB | Bacterial blight |
| MAS | Marker-assisted selection |
| SSR | Simple sequence repeats |
| DNA | Deoxyribonucleic Acid |
| CTAB | Cetyltrimethylammonium bromide |
| PCR | Polymerase chain reaction |
| CFU | Colony-forming unit |
| SES | Standard evaluation system |
References
- Srinivasan, B.; Gnanamanickam, S.S. Identification of a new source of resistance in wild rice Oryza rufipogon to bacterial blight of rice caused by Indian strains of Xanthomonas oryzae pv. oryzae. Curr. Sci. 2005, 88, 1229–1231. [Google Scholar]
- Neelam, K.; Mahajan, R.; Gupta, V.; Bhatia, D.; Gill, B.K.; Komal, R.; Lore, J.S.; Mangat, G.S.; Singh, K. High-resolution genetic mapping of a novel bacterial blight resistance gene xa-45(t) identified from Oryza glaberrima and transferred to Oryza sativa. Theor. Appl. Genet. 2020, 133, 689–705. [Google Scholar] [CrossRef]
- Chen, S.; Liu, X.; Zeng, L.; Ouyang, D.; Yang, J.; Zhu, X. Genetic analysis and molecular mapping of a novel recessive gene xa34 (t) for resistance against Xanthomonas oryzae pv. oryzae. Theor. Appl. Genet. 2011, 122, 1331–1338. [Google Scholar] [CrossRef] [PubMed]
- Luo, Y.; Ma, T.; Zhang, A.; Ong, K.H.; Li, Z.; Yang, J.; Yin, Z. Marker-assisted breeding of the rice restorer line Wanhui 6725 for disease resistance, submergence tolerance and aromatic fragrance. Rice 2016, 9, 66. [Google Scholar] [CrossRef] [PubMed]
- Shalini, T.; Govintharaj, P.; Ameenal, M.; Manonmani, S.; Robin, S. Development of bacterial blight resistant genetic stocks by stacking three genes (Xa21, xa13 & xa5) through marker assisted recombination breeding. Bioscan 2016, 11, 2331–2334. [Google Scholar]
- Govintharaj, P.; Tannidi, S.; Swaminathan, M.; Robin, S. Effectiveness of selection, parent-offspring correlation and regression in bacterial blight resistance genes introgressed rice segregating population. Cienc. Rural 2017, 47, 1–6. [Google Scholar] [CrossRef][Green Version]
- Govintharaj, P.; Manonmani, S.; Robin, S. Variability and genetic diversity study in an advanced segregating population of rice with bacterial blight resistance genes introgressed. Cienc. Agrotec. 2018, 42, 291–296. [Google Scholar] [CrossRef]
- Rajpurohit, D.; Kumar, R.; Kumar, M.; Paul, P.; Awasthi, A.; Basha, P.O.; Puri, A.; Jhang, T.; Singh, K.; Dhaliwal, H.S. Pyramiding of two bacterial blight resistance and a semi-dwarfing gene in Type 3 Basmati using marker-assisted selection. Euphytica 2011, 178, 111–126. [Google Scholar] [CrossRef]
- Ni, D.; Song, F.; Ni, J.; Zhang, A.; Wang, C.; Zhao, K.; Yang, Y.; Wei, P.; Yang, J.; Li, L. Marker-assisted selection of two-line hybrid rice for disease resistance to rice blast and bacterial blight. Field Crops Res. 2015, 184, 1–8. [Google Scholar] [CrossRef]
- Pradhan, S.K.; Nayak, D.K.; Pandit, E.; Barik, S.R.; Mohanty, S.P.; Anandan, A.; Reddy, J.N. Characterization of morpho-quality traits and validation of bacterial blight resistance in pyramided rice genotypes under various hotspots of India. Aust. J. Crop Sci. 2015, 9, 127–134. [Google Scholar]
- Prabhu, A.S.; Guimarães, E.P.; Filippi, M.C.; Araujo, L.G.; Cutrim, V.A. Expression of resistance in rice hybrids to Pyricularia grisea. Fitopatol. Bras. 2002, 27, 454–460. [Google Scholar] [CrossRef][Green Version]
- Iyer-Pascuzzi, A.; McCouch, S. Recessive resistance genes and the Oryza sativa-Xanthomonas oryzae pv. oryzae pathosystem. Mol. Plant Microbe Interact. 2007, 20, 731–739. [Google Scholar] [CrossRef]
- Han, K.D.; Kong, L.-G.; Ju, Y.-H.; Chen, M.; Cao, Z.-G.; Ding, X.-H.; Chu, Z.-H. Screening and Identification of Susceptibility and Fertility Related Mutants from Transgenic Rice IRBB13 (PXa13:GFP). Sci. Agric. Sin. 2012, 45, 3899–3908. [Google Scholar] [CrossRef]
- Cao, J.; Bao-Rong, L.U.; Hui, X.; Jun, R.; Francesco, S.; Alberto, S.; Fabrizio, G. Genetic Diversity and Origin of Weedy Rice (Oryza sativa f. spontanea) Populations Found in North-eastern China Revealed by Sequence Repeat (SSR) Markers. Ann. Bot. 2006, 98, 1241–1252. [Google Scholar] [CrossRef] [PubMed]
- Doyle, J.J.; Doyle, J.L. Isolation of plant DNA from fresh tissue. Focus 1990, 12, 13–15. [Google Scholar]
- Kauffman, H.E.; Reddy, A.; Hsieh, S.P.Y.; Merca, S.D. An improved technique for evaluating of varieties to Xanthomonos oryzae pv.oryzae. Plant Dis. Rep. 1973, 57, 537–541. [Google Scholar]
- Govintharaj, P.; Manonmani, M.; Robin, S. Screening for fertility restoration genes linked marker in bacterial blight resistance genes introgressed segregating population in rice. Vegetos 2018, 31, 158–161. [Google Scholar] [CrossRef]
- Perumalsamy, S.; Bharani, M.; Sudha, M.; Nagarajan, P.; Arul, L.; Saraswathi, R.; Balasubramanian, P.; Ramalingam, J. Functional marker-assisted selection for bacterial leaf blight resistance genes in rice (Oryza sativa L.). Plant Breed. 2010, 129, 400–406. [Google Scholar] [CrossRef]
- Singh, S.; Sidhu, J.S.; Huang, N.; Vikal, Y.; Li, Z.; Brar, D.S.; Dhaliwal, H.S.; Khush, G.S. Pyramiding three bacterial blight resistance genes (xa5, xa13 and Xa21) using marker-assisted selection into indica rice cultivar PR106. Theor. Appl. Genet. 2001, 102, 1011–1013. [Google Scholar] [CrossRef]
- Zhang, J.; Li, X.; Jiang, G.; Xu, Y.; He, Y. Pyramiding of Xa7 and Xa21 for the improvement of disease resistance to bacterial blight in hybrid rice. Plant Breed. 2006, 125, 600–605. [Google Scholar] [CrossRef]
- Chen, J.M.; Fu, Z.Y.; Quan, B.Q.; Tian, D.G.; Li, G.; Wang, F. Breeding hybrid rice restoring line with double resistance to rice blast and bacterial blight by marker-assisted selection. Mol. Plant Breed. 2009, 7, 465–470. [Google Scholar]

| S.No. | Score | Description (Affected Lesion Area) |
|---|---|---|
| 1 | 0–1 (Resistant) | 1–5% of leaf area affected |
| 2 | 1–3 (Moderately Resistant) | 6–12% of leaf area affected |
| 3 | 3–5 (Moderately Susceptible) | 13–25% of leaf area affected |
| 4 | 5–7 (Susceptible) | 26–50% of leaf area affected |
| 5 | 7–9 (Highly Susceptible) | 51–100% of leaf area affected |
| Plant. No | PH (cm) | NPT | PL (cm) | NG | TGW (g) | SPY (g) |
|---|---|---|---|---|---|---|
| 1 | 115 | 16 | 25 | 102 | 21.90 | 35.5 |
| 2 | 105 | 14 | 23 | 192 | 24.05 | 34.5 |
| 3 | 116 | 15 | 27 | 198 | 18.52 | 41.0 |
| 4 | 119 | 12 | 26 | 141 | 23.62 | 33.0 |
| 5 | 115 | 17 | 20 | 137 | 21.07 | 37.0 |
| 6 | 105 | 19 | 21 | 129 | 23.4 | 32.5 |
| 7 | 94 | 22 | 20 | 167 | 22.18 | 32.0 |
| 8 | 115 | 17 | 14 | 95 | 22.09 | 31.5 |
| 9 | 100 | 17 | 21 | 253 | 24.70 | 48.5 |
| CB 174 R | 146.67 | 13 | 31.67 | 270.67 | 16.35 | 28.14 |
| IRBB 60 | 88 | 11 | 27 | 124 | 13.60 | 22.90 |
Publisher’s Note: MDPI stays neutral with regard to jurisdictional claims in published maps and institutional affiliations. |
© 2020 by the authors. Licensee MDPI, Basel, Switzerland. This article is an open access article distributed under the terms and conditions of the Creative Commons Attribution (CC BY) license (https://creativecommons.org/licenses/by/4.0/).
Share and Cite
Govintharaj, P.; Manonmani, S.; Karthika, G.; Robin, S. Introgression of Bacterial Blight Resistance Genes (Xa21, xa13 and xa5) into CB 174 R, an Elite Restorer Line in Rice. Biol. Life Sci. Forum 2021, 4, 72. https://doi.org/10.3390/IECPS2020-08759
Govintharaj P, Manonmani S, Karthika G, Robin S. Introgression of Bacterial Blight Resistance Genes (Xa21, xa13 and xa5) into CB 174 R, an Elite Restorer Line in Rice. Biology and Life Sciences Forum. 2021; 4(1):72. https://doi.org/10.3390/IECPS2020-08759
Chicago/Turabian StyleGovintharaj, Ponnaiah, Swaminathan Manonmani, Gunasekaran Karthika, and Sabariappan Robin. 2021. "Introgression of Bacterial Blight Resistance Genes (Xa21, xa13 and xa5) into CB 174 R, an Elite Restorer Line in Rice" Biology and Life Sciences Forum 4, no. 1: 72. https://doi.org/10.3390/IECPS2020-08759
APA StyleGovintharaj, P., Manonmani, S., Karthika, G., & Robin, S. (2021). Introgression of Bacterial Blight Resistance Genes (Xa21, xa13 and xa5) into CB 174 R, an Elite Restorer Line in Rice. Biology and Life Sciences Forum, 4(1), 72. https://doi.org/10.3390/IECPS2020-08759

