Detection of Celiac Active Polypeptides in Wheat, Oat and Buckwheat Using Immunochemical Methods †
Abstract
:1. Introduction
2. Materials and Methods
2.1. Biological Material
2.2. ELISA Method
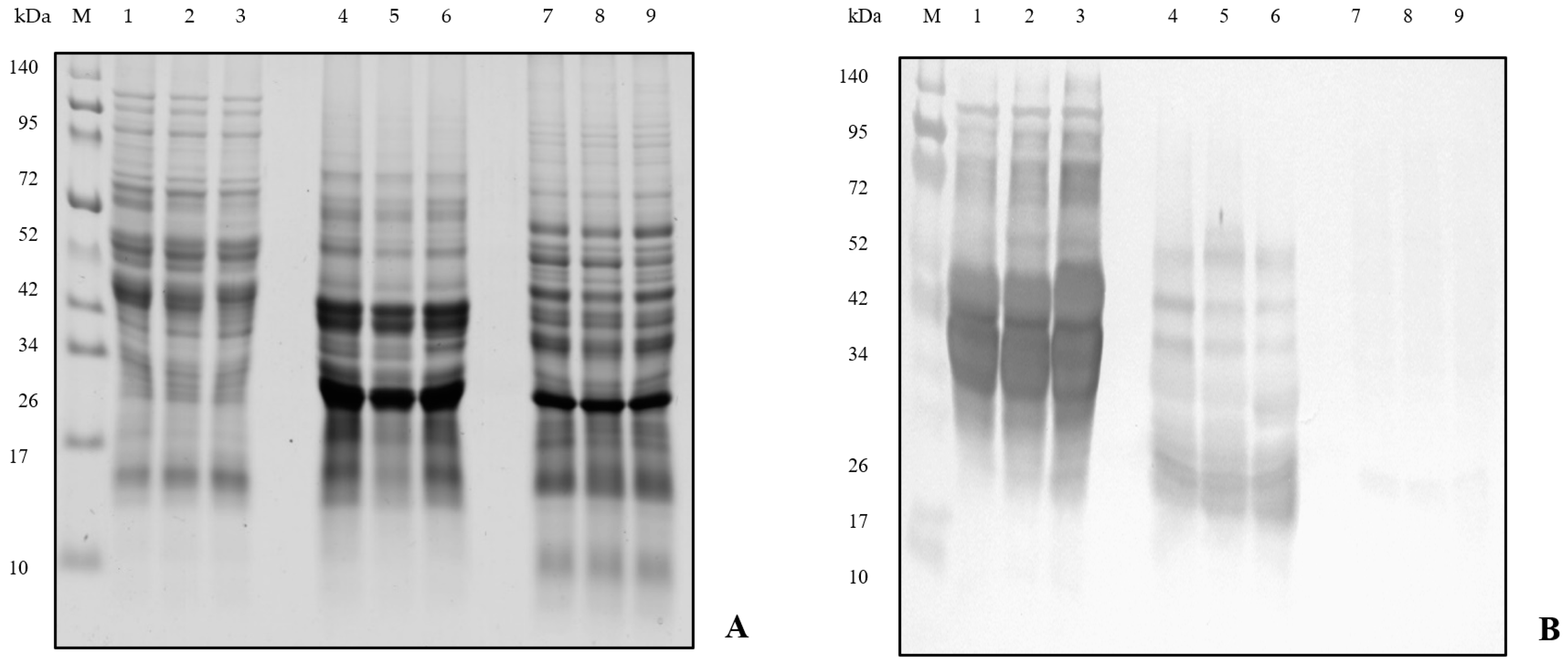
2.3. Western Blot Analysis
3. Results and Discussion
4. Conclusions
Author Contributions
Funding
Institutional Review Board Statement
Informed Consent Statement
Data Availability Statement
Acknowledgments
Conflicts of Interest
References
- Mills, E.N.C.; Shewry, P.R. Plant Food Allergens, 1st ed.; Blackwell Science: Oxford, UK, 2004; 248p, ISBN 0-632-05982-6. [Google Scholar]
- Breiteneder, H.; Radauer, C. A classification of plant food allergens. J. Allergy Clin. Immunol. 2004, 113, 821–830. [Google Scholar] [CrossRef] [PubMed]
- Duta, D.; Culetu, A. Evaluation of rheological, physicochemical, thermal, mechanical and sensory properties of oat-based gluten free cookies. J. Food Eng. 2015, 162, 1–8. [Google Scholar] [CrossRef]
- Comino, I.; Bernardo, D.; Bancel, E.; Moreno, M.D.L.; Sánchez, B.; Barro, F.; Šuligoj, T.; Ciclitira, P.J.; Cebolla, Á.; Knight, S.C.; et al. Identification and molecular characterization of oat peptides implicated on coeliac immune response. Food Nutr. Res. 2016, 60, 30324. [Google Scholar] [CrossRef] [PubMed] [Green Version]
- Roby, K.F. 17 Beta Estradiol. In Reference Module in Biomedical Sciences; Elsevier: Amsterdam, The Netherlands, 2019; ISBN 978-0-12-801238-3. [Google Scholar]
- Matsuo, H.; Yokooji, T.; Taogoshi, T. Common food allergens and their IgE-binding epitopes. Allergol. Int. 2015, 64, 332–343. [Google Scholar] [CrossRef] [PubMed] [Green Version]
- Baumert, J.L. Chapter thirteen–Detecting and Measuring Allergens in Food. In Risk Management for Food Allergy; Academic Press: Oxford, UK, 2014; pp. 215–226. ISBN 978-0-12-381988-8. [Google Scholar]
- Sancho, A.; Mills, E. Proteomic approaches for qualitative and quantitative characterisation of food allergens. Regul. Toxicol. Pharmacol. 2010, 58, S42–S46. [Google Scholar] [CrossRef] [PubMed]
- Schägger, H. Tricine-SDS-PAGE. Nat. Protoc. 2006, 1, 16–22. [Google Scholar] [CrossRef] [PubMed]
- Aydin, S. A short history, principles, and types of ELISA, and our laboratory experience with peptide/protein analyses using ELISA. Peptides 2015, 72, 4–15. [Google Scholar] [CrossRef] [PubMed]
- Leonard, M.M.; Sapone, A.; Catassi, C.; Fasano, A. Celiac disease and nonceliac gluten sensitivity: A review. J. Am. Med. Assoc. 2017, 318, 647–656. [Google Scholar] [CrossRef] [PubMed]
- Schopf, M.; Scherf, K.A. Wheat cultivar and species influence variability of gluten ELISA analyses based on polyclonal and monoclonal antibodies R5 and G12. J. Cereal Sci. 2018, 83, 32–41. [Google Scholar] [CrossRef]
- Lexhaller, B.; Tompos, C.; Scherf, K.A. Fundamental study on reactivities of gluten protein types from wheat, rye and barley with five sandwich ELISA test kits. Food Chem. 2017, 237, 320–330. [Google Scholar] [CrossRef] [PubMed]
- Hajas, L.; Scherf, K.; Török, K.; Bugyi, Z.; Schall, E.; Poms, R.E.; Koehler, P.; Tömösközi, S. Variation in protein composition among wheat (Triticum aestivum L.) cultivars to identify cultivars suitable as reference material for wheat gluten analysis. Food Chem. 2018, 267, 387–394. [Google Scholar] [CrossRef] [PubMed]
- Gálová, Z.; Palenčárová, E.; Chňapek, M.; Balážová, Ž. Využitie Obilnín, Pseudoobilnín a Strukovín v Bezlepkovej Diéte, 1st ed.; Slovenská Poľnohospodárska Univerzita: Nitra, Slovakia, 2012; ISBN 978-80-552-0826-8. [Google Scholar]
- Mickowska, B.; Litwinek, D.; Gambuś, H. Oat raw materials and bakery products—Amino acid composition and celiac immunoreactivity. Acta Sci. Pol. Technol. Aliment. 2015, 15, 89–97. [Google Scholar] [CrossRef] [PubMed] [Green Version]
- Socha, P.; Mickowska, B.; Mazur, E.; Urminská, D.; Cieślik, E. Application of Western Blot Analysis for Detection of Prolamin Proteins in Cereal Grains and Bread. Potravinárstvo 2011, 1, 51–55. [Google Scholar] [CrossRef]
- Su, W.H.; Arvanitoyannis, I.S.; Sun, D.W. Chapetr 18-Trends in Food Authentication. In Modern Techniques for Food Authentication, 2nd ed.; Academic Press: London, UK, 2018; pp. 731–757. ISBN 978-0-12-814264-6. [Google Scholar]
- Mickowska, B.; Socha, P.; Urminská, D.; Cieślik, E. The comparison of prolamins extracted from different varieties of wheat, barley, rye and triticale species: Amino acid composition, electrophoresis and immunodetection. J. Microbiol. Biotechnol. Food Sci. 2012, 1, 742–752. [Google Scholar]
- Sung, D.-E.; Lee, J.; Han, Y.; Shon, D.-H.; Ahn, K.; Oh, S.; Do, J.-R. Effects of enzymatic hydrolysis of buckwheat protein on antigenicity and allergenicity. Nutr. Res. Pract. 2014, 8, 278–283. [Google Scholar] [CrossRef] [PubMed] [Green Version]
- Alves, T.D.O.; D’Almeida, C.T.D.S.; Ferreira, M.S.L. Determination of Gluten Peptides Associated with Celiac Disease by Mass Spectrometry; IntechOpen: London, UK, 2017; pp. 43–58. [Google Scholar]

| Wheat | Gluten mg·kg−1 | Oats | Gluten mg·kg−1 | Buckwheat | Gluten mg·kg−1 |
|---|---|---|---|---|---|
| PS Puqa | 67,385.83 | Vendelin | 44.71 | Špačinská 1 | <LOD |
| Viglanka | 38,550.06 | Zvolen | 10.57 | Jana C1 | 3.97 |
| Elinor | 23,899.63 | Valentin | 57.37 | Pyra | 2.13 |
| X | 43,278.51 | X | 37.55 | X | 2.03 |
| σ | 18,065.27 | σ | 19.77 | σ | 1.62 |
| VK | 41.74 | VK | 52.64 | VK | 79.78 |
Publisher’s Note: MDPI stays neutral with regard to jurisdictional claims in published maps and institutional affiliations. |
© 2021 by the authors. Licensee MDPI, Basel, Switzerland. This article is an open access article distributed under the terms and conditions of the Creative Commons Attribution (CC BY) license (https://creativecommons.org/licenses/by/4.0/).
Share and Cite
Chňapek, M.; Rajnincová, D.; Balážová, Ž.; Ražná, K.; Vivodík, M.; Drábeková, J.; Hromadová, Z.; Mikolášová, L.; Gálová, Z. Detection of Celiac Active Polypeptides in Wheat, Oat and Buckwheat Using Immunochemical Methods. Biol. Life Sci. Forum 2022, 11, 27. https://doi.org/10.3390/IECPS2021-11976
Chňapek M, Rajnincová D, Balážová Ž, Ražná K, Vivodík M, Drábeková J, Hromadová Z, Mikolášová L, Gálová Z. Detection of Celiac Active Polypeptides in Wheat, Oat and Buckwheat Using Immunochemical Methods. Biology and Life Sciences Forum. 2022; 11(1):27. https://doi.org/10.3390/IECPS2021-11976
Chicago/Turabian StyleChňapek, Milan, Dana Rajnincová, Želmíra Balážová, Katarína Ražná, Martin Vivodík, Janka Drábeková, Zuzana Hromadová, Lucia Mikolášová, and Zdenka Gálová. 2022. "Detection of Celiac Active Polypeptides in Wheat, Oat and Buckwheat Using Immunochemical Methods" Biology and Life Sciences Forum 11, no. 1: 27. https://doi.org/10.3390/IECPS2021-11976
APA StyleChňapek, M., Rajnincová, D., Balážová, Ž., Ražná, K., Vivodík, M., Drábeková, J., Hromadová, Z., Mikolášová, L., & Gálová, Z. (2022). Detection of Celiac Active Polypeptides in Wheat, Oat and Buckwheat Using Immunochemical Methods. Biology and Life Sciences Forum, 11(1), 27. https://doi.org/10.3390/IECPS2021-11976

