Next Article in Journal
Elexacaftor/Tezacaftor/Ivacaftor Efficacy in a Cohort of Italian Patients with CFTR Rare Mutations
Previous Article in Journal
Role of NT-proBNP and Myeloperoxidase as Predictors of Abnormal Stress Test Results and Revascularization in Intermediate-Risk NSTE-ACS: A Prospective Study
 
 
Font Type:
Arial Georgia Verdana
Font Size:
Aa Aa Aa
Line Spacing:
Column Width:
Background:
Case Report

Spontaneous Rupture of the Internal Iliac Artery in an Elderly Patient: A Case Report Exploring the Possible Role of Klebsiella Pneumoniae Infection

by
David Pakeliani
*,
Giuseppe Indelicato
,
Liborio Ferrante
and
Maurizio Finocchiaro
Unit of Vascular Surgery, United Hospitals Villa Sofia-Cervello, Piazza Salerno 1, P.O. Box 90146 Palermo, Italy
*
Author to whom correspondence should be addressed.
Int. J. Transl. Med. 2025, 5(1), 10; https://doi.org/10.3390/ijtm5010010
Submission received: 18 December 2024 / Revised: 1 March 2025 / Accepted: 4 March 2025 / Published: 6 March 2025

Abstract

Background: The spontaneous rupture of the internal iliac artery (IIA) is an exceedingly rare vascular event, typically associated with congenital anomalies or degenerative conditions. This report details an unprecedented case of isolated IIA rupture in an elderly patient with evidence of plaque rupture but devoid of congenital vascular pathology. Case Presentation: An 81-year-old Caucasian male presented to the Emergency Department following a syncopal episode and acute right iliac fossa pain. His significant medical history was atrial fibrillation managed with anticoagulation (Apixaban), non-insulin-dependent diabetes mellitus, and recent hospitalization for multidrug-resistant Klebsiella pneumoniae pneumonia. Initial imaging with contrast-enhanced computed tomography revealed an aneurysmatic dilatation of the right IIA, indicative of rupture. An endovascular repair was performed, employing a combination of stent grafts to achieve proximal and distal sealing and to restore vascular continuity. Outcome: The patient exhibited hemodynamic stability throughout the perioperative period and was transferred to the general ward postoperatively. However, he suffered a recurrent rupture on the 30th postoperative day, prompting a second endovascular intervention to extend the graft landing zone into the common iliac artery. Intraoperative findings confirmed localized plaque rupture as the underlying trigger for the initial vessel rupture. He ultimately achieved clinical stability and was discharged on the 35th postoperative day. Discussion: This case illustrates the critical importance of recognizing spontaneous IIA rupture as a potential complication in elderly patients, particularly in the context of recent severe infections. While the relationship between the rupture and the Klebsiella pneumoniae infection remains speculative, this report underscores the necessity of further research into the role of infectious processes in vascular integrity and susceptibility to rupture. Conclusions: The successful management of this rare and complex vascular emergency using endovascular techniques underscores the evolving landscape of minimally invasive interventions. This case contributes to the limited existing literature on spontaneous IIA rupture and highlights the need for increased clinical vigilance regarding atypical presentations in similar patient populations.

1. Introduction

Internal iliac artery (IIA) rupture is a rare but potentially life-threatening condition. While it can arise from more common causes such as trauma or congenital connective tissue disorders—like vascular Ehlers–Danlos syndrome (VEDS) and fibromuscular dysplasia (FMD)—other factors may also contribute. These include cystic medial degeneration (CMD) and congenital vascular malformations, such as aneurysms, and particularly isolated internal iliac artery aneurysms (IIAAs) [1,2,3].
Iliac artery aneurysms typically occur alongside abdominal aortic aneurysms, with an incidence of approximately 10%. However, isolated iliac aneurysms are rare, occurring in only 2% of cases [2]. Even more infrequently, isolated IIAAs are reported at an incidence of 0.4% [4]. The occurrence of spontaneous iliac artery rupture without any congenital or degenerative comorbidities is exceedingly rare; to our knowledge, this is the first report of such a case. Our findings reveal that plaque rupture at the site of the rupture was likely the precipitating event.

2. Case Report

An 81-year-old Caucasian male was admitted to the Emergency Department following a syncopal episode at home, accompanied by acute pain in the right iliac fossa. Two weeks prior, he had been discharged after treatment for multifocal pneumonia caused by multidrug-resistant Klebsiella pneumoniae, along with severe thrombocytopenia. His antibiotic regimen included Ceftazidime/Avibactam for 10 days. Additionally, he had a history of hospitalization for COVID-19 eight months earlier, which was complicated by hydropneumothorax and pulmonary embolism.
The patient’s medical history included atrial fibrillation, managed with oral anticoagulation (Apixaban), hypertension, and non-insulin-dependent diabetes mellitus. Upon admission, the patient was conscious but pallid, with his vital signs indicating an arterial blood pressure of 110/70 mmHg, heart rate of 162 bpm, and oxygen saturation of 90%. Laboratory tests revealed neutrophilic leukocytosis (WBC 33.80/μL), elevated partial thromboplastin time (PTT 49 s), INR 1.8, and decreased hemoglobin (7.6 g/dL), with a normal platelet count (292,000 µL).
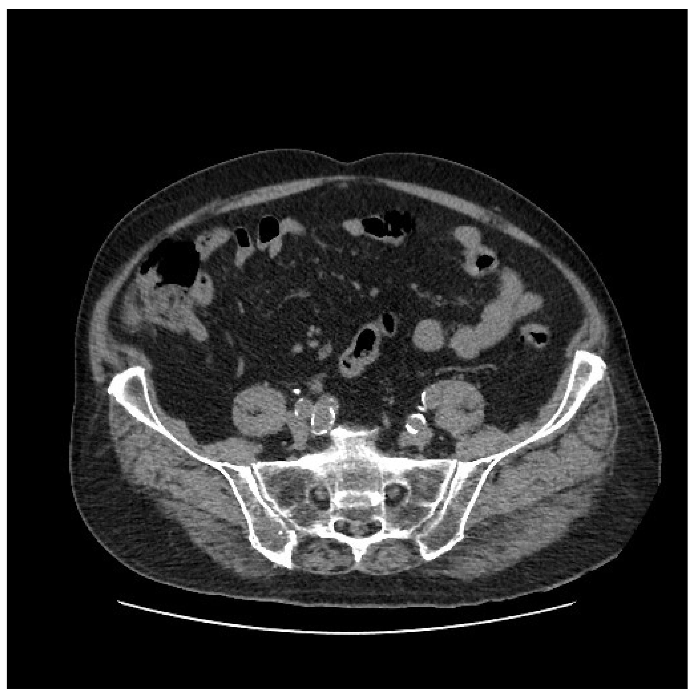
An intravenous contrast-enhanced abdominal CT scan demonstrated an “aneurysmatic dilatation of the right iliac bifurcation”, predominantly affecting the IIA, with a diameter of 4 cm and evidence of extraluminal extravasation of the contrast media, indicative of a rupture. Additionally, blood effusion was noted in the perianeurysmal space, perihepatic area, right paracolic gutter, and pelvic cavity. The patient was promptly taken to the operating theatre, where permissive hypotension and hypovolemia were employed. See Figure 1.
Under local anesthesia, percutaneous left femoral access was obtained using ultrasound guidance. Following aortic catheter crossing, an 8 Fr Flexor (Cook) sheath was inserted into the right IIA. Diagnostic angiography confirmed a free rupture of the middle portion of the artery. Intraoperative evaluation revealed a focal plaque rupture as the source of the hemorrhage.
A 7 mm × 10 cm Viabahn (Gore) stent graft was deployed distally, with proximal extension to the origin of the IIA using an additional 9 mm × 57 mm BeGraft (Bentley) stent. Control angiography confirmed technical success, with no leaks from the iliac branches. Femoral access was subsequently closed using a 6 Fr Perclose Proglide device.
The patient remained hemodynamically stable during the perioperative period and was transferred to a normal ward shortly after surgery. Blood cultures taken postoperatively identified carbapenem-resistant Klebsiella pneumoniae, leading to the initiation of immediate antibiotic therapy with Colistin for 20 days. Following two consecutive negative blood cultures, treatment was discontinued. However, urine cultures revealed Staphylococcus aureus and the persistence of Klebsiella pneumoniae, necessitating additional treatment with Ceftazidime/Avibactam and Vancomycin for 7 and 14 days, respectively.
Given the history of bacteremia, the possibility of a PET-CT scan was discussed within the multidisciplinary team. However, due to the patient’s clinical stability and normalization of inflammatory markers, PET-CT was deferred unless clinical or biochemical signs of infection emerged.
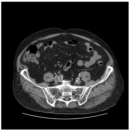
On the 30th postoperative day, the patient experienced a leakage from their rupture site that was a type Ia Endoleak (Figure 2), requiring an additional endovascular procedure to embolize the IIA and reline the common iliac and external iliac artery with an endograft.
This intervention successfully managed the recurrent rupture, and the patient achieved clinical stability, leading to their discharge on the 35th postoperative day. Se Figure 3.

3. Discussion

The intraoperative discovery of plaque rupture as the source of the hemorrhage suggests a mechanical cause of the spontaneous rupture. However, given the patient’s recent severe infection with Klebsiella pneumoniae and its known association with vascular complications, an infectious etiology is the more probable contributor to vascular instability. While the patient had underlying atherosclerotic vascular disease, the abrupt nature of the rupture, in the absence of a significant pre-existing aneurysm, strongly suggests that infection-induced arterial wall weakening played a primary role.
Open surgical repair, including arterial ligation or bypass reconstruction, remains the definitive option for managing ruptured iliac aneurysms, especially in the presence of infection. However, in this case, the infectious etiology was not initially confirmed, as the diagnosis of bacteremia was only established after the results of the hemoculture samples. Given this uncertainty, along with the patient’s significant frailty and multiple comorbidities, an extensive open procedure was considered too high-risk. Less invasive strategies were evaluated, including coiling, but the anatomical configuration and the presence of an active rupture site made achieving complete exclusion challenging with coiling alone. Ultimately, an endovascular approach with stent grafting was chosen, ensuring rapid hemorrhage control while preserving vessel patency. This strategy balanced the need for urgent intervention with the patient’s overall clinical condition, minimizing surgical trauma while effectively managing the rupture.
The cause of the endoleak or secondary rupture may be attributed to incomplete apposition of the stent graft to the vessel wall, likely due to the undersizing of the initial graft in relation to the dynamically changing vessel diameter post-rupture or arterial wall degeneration due to the infection. The sizing during the emergency procedure was based on available preoperative imaging, which may not have accurately reflected the post-rupture anatomy. The subsequent intervention aimed to address this by extending the landing zone and utilizing additional graft material for better sealing.
The presence of carbapenem-resistant Klebsiella pneumoniae bacteremia posed an additional challenge in the management of this patient. Research indicates that Klebsiella infections, while rare in vascular graft infections, have been reported [5,6]. Although the initial endovascular procedure was justified by the patient’s hemodynamic instability and comorbidities, an open surgical approach with proximal ligation was considered after the endoleak. However, given the patient’s frailty, the risk of extensive open surgery was deemed higher than that of a secondary endovascular repair, despite the addition of more synthetic material.
Endovascular aneurysm repair for aortoiliac aneurysms is a well-established and standardized technique for both elective and emergency abdominal aortic aneurysm repairs, with continual advancements being made in its techniques and innovative approaches [7]. However, there is no consensus on treatment strategies for isolated IIAA or IIA ruptures, as anatomical challenges and lesion topography significantly influence the choice between open (ligation, interposition, bypass) and endovascular approaches (endografting, coil embolization, plug, glue) [8].
Two decades ago, graft placement directly into the IIA was considered impractical, with internal iliac aneurysms typically excluded through stenting of the external and common iliac arteries. Stenting was seen as analogous to proximal ligation, while coiling was viewed as equivalent to distal ligation [4]. In the modern era, endovascular approaches provide minimally invasive techniques, reducing the impact of life-threatening hemorrhages and their associated complications.
In our case, the presence of IIAA rupture, as indicated by preoperative CT angiography, led to the decision to proceed with an endovascular approach, considering the patient’s fragility. This strategy aimed to fully cover the IIA with an endograft. A review of previous CT scans from one month prior to the rupture event revealed no evidence of aneurysms; instead, only atherosclerosis of both iliac arteries and some ectasia of the right common iliac artery (with a maximum diameter of 18 × 20 mm) were noted, with the IIA measuring 13–15 mm in the portion that was most ectatic. See Figure 4.
The history of pneumonia with multidrug-resistant Klebsiella pneumoniae prompted blood culture testing, which returned positive for carbapenem-resistant Klebsiella pneumoniae, in accordance with the MAGIC criteria. The patient exhibited a gradual decrease in inflammatory markers, with two subsequent blood cultures returning negative after 10 and 20 days of antibiotic therapy.
Following the second intervention, the patient initially showed clinical stability, and he was discharged to a rehabilitation clinic. However, during an attempt to obtain long-term follow-up data, we were informed by the family that the patient had passed away due to causes unrelated to the vascular intervention. While further clinical details are unavailable, this underscores the frailty of such patients and the importance of individualized treatment strategies.
While we cannot definitively rule out the influence of Klebsiella pneumoniae infection as a cause of the spontaneous IIA rupture, no cases have been documented in the literature linking this pathogen to such events or to spontaneous ruptures occurring without congenital or degenerative pathology. However, infectious pseudoaneurysms due to Klebsiella pneumoniae have been reported in the literature, predominantly affecting the femoral and tibioperoneal arteries. Wang et al. described a case of a pseudoaneurysm of the right common femoral artery associated with a K. pneumoniae infection, which was successfully treated with a stent graft and long-term antibiotic therapy [6]. Similarly, Ninomiya et al. reported a case of a tibioperoneal trunk pseudoaneurysm caused by hypermucoviscous K. pneumoniae, which ruptured into an abscess cavity and was effectively treated with endovascular coil embolization [9]. Khairunnisa et al. described a rapidly progressing pseudoaneurysm of the right common femoral artery in the context of K. pneumoniae infection, resulting in fatal rupture before definitive surgical intervention [10]. These cases illustrate the potential for Klebsiella pneumoniae to cause vascular compromise, particularly in the presence of systemic infection and bacteremia.
Cai et al. described a case of donor-derived CRKP infection in one patient following liver transplantation and two patients following renal transplantation (involving one liver and two kidneys from the same donor). All three patients presented with sudden abdominal pain and hemorrhage shortly after transplantation. Graft artery rupture, attributed to corrosion caused by the CRKP infection, was confirmed through computed tomography, blood culture, laparotomy, and pulsed-field gel electrophoresis [11].
One report described a case of spontaneous internal iliac artery rupture in a pregnant patient, though the exact cause remained undetermined. The mortality rate associated with internal iliac rupture in non-pregnant women ranges from 50% to 100%, often due to delayed diagnosis and subsequent hemodynamic complications [3].
Therefore, acute abdominal pain, especially with a sudden drop in hemoglobin, should prompt immediate investigation. Recent infections affecting the pulmonary, gastrointestinal, or urinary tracts may be considered potential risk factors for vascular compromise. Additionally, prior vascular surgeries, particularly aortoiliac bypasses, could elevate the risk of complications, including aortoenteric fistula formation. Timely CT imaging is crucial for accurate diagnosis and successful intervention in such cases.
Importantly, individual anatomical variations may not always be conducive to the implantation of intravascular devices such as iliac branch devices, given the limitations specified in their instructions for use (IFU). Our findings suggest that a more extensive landing zone in the initial repair may have prevented recurrence.

4. Conclusions

This case report highlights the spontaneous rupture of the internal iliac artery in an elderly patient without congenital or degenerative vascular conditions, initially attributed to plaque rupture. However, their concurrent severe infection with carbapenem-resistant Klebsiella pneumoniae suggests a possible infectious etiology, as vascular infections have been reported to induce arterial wall weakening and rupture. While atherosclerosis may have contributed to the rupture, the presence of systemic inflammation, bacteremia, and a known history of Klebsiella pneumoniae infection raises concerns about its role in vascular destabilization. The successful management of this rare condition using an endovascular approach underscores the importance of prompt diagnosis and tailored intervention strategies, particularly in cases where infection may play a contributing role. This case adds to the limited literature on IIA ruptures and highlights the need for heightened clinical suspicion in atypical presentations, especially in patients with recent severe infections.

Author Contributions

Conceptualization, D.P. and L.F.; methodology, D.P.; software, G.I.; validation, M.F.; writing—original draft preparation, D.P.; writing—review and editing, L.F.; visualization, G.I.; supervision, M.F. All authors have read and agreed to the published version of the manuscript.

Funding

This research received no external funding.

Institutional Review Board Statement

The study was conducted in accordance with the Declaration of Helsinki and approved by the Local Ethics Committee Palermo 2 (Registry Number: 69 AOR 2025, Protocol code: HCL-EV; approved on: 16 January 2025.

Informed Consent Statement

Written informed consent for the treatment itself and the collection and analysis of anonymous data was obtained from the patient.

Data Availability Statement

The original contributions presented in this study are included in the article. Further inquiries can be directed to the corresponding author(s).

Conflicts of Interest

The authors declare no conflicts of interest.

References

  1. Dueppers, P.; Jankowiak, S.; Schelzig, H.; Wagenhäuser, M.U.; Oberhuber, A. Spontaneous rupture of an isolated iliac artery dissection in a young man because of cystic medial degeneration Erdheim-Gsell. Ann. Vasc. Surg. 2015, 29, 596.e11–596.e13. [Google Scholar] [CrossRef] [PubMed]
  2. Kim, Y.H.; Kim, C.K.; Park, C.B.; Jeon, H.W.; Moon, M.H.; Choi, S.Y. Spontaneous rupture of internal iliac artery secondary to anticoagulant therapy. Ann. Thorac. Cardiovasc. Surg. 2013, 19, 228–230. [Google Scholar] [CrossRef] [PubMed][Green Version]
  3. Butorac, D.; Djaković, I.; Košec, V.; Kopjar, M.; Kuna, K. Spontaneous Rupture of Internal Iliac Artery in Pregnancy: Case Report. Acta Clin. Croat. 2018, 57, 157–160. [Google Scholar] [CrossRef] [PubMed] [PubMed Central]
  4. Dix, F.P.; Titi, M.; Al-Khaffaf, H. The isolated internal iliac artery aneurysm—A review. Eur. J. Vasc. Endovasc. Surg. 2005, 30, 119–129. [Google Scholar] [CrossRef] [PubMed]
  5. Chen, C.L.; Kuo, T.T.; Chen, I.M.; Chen, T.W.; Chen, P.L.; Huang, C.Y.; Shih, C.C. Mid-Term Outcome of Infected Abdominal Aortic Stent Graft Dismantlement with Reconstruction of Bilateral Axillofemoral Bypass. Surg. Infect. (Larchmt.) 2021, 22, 680–683. [Google Scholar] [CrossRef] [PubMed]
  6. Wang, T.H.; Zhao, J.C.; Huang, B.; Wang, J.R.; Yuan, D. Successful endovascular treatment with long-term antibiotic therapy for infectious pseudoaneurysm due to Klebsiella pneumoniae: A case report. World J. Clin. Cases 2020, 8, 6529–6536. [Google Scholar] [CrossRef] [PubMed] [PubMed Central]
  7. Pakeliani, D.; Bleuler, A.; Chaykovska, L.; Veith, F.J.; Criado, F.J.; Lachat, M.; Pfammatter, T.; Pecoraro, F. Patient-Specific Rehearsal Feasibility Before Endovascular Repair of Ruptured Abdominal Aortic Aneurysm. J. Endovasc. Ther. 2019, 26, 871–878. [Google Scholar] [CrossRef] [PubMed]
  8. Bracale, U.M.; Petrone, A.; Provenzano, M.; Ielapi, N.; Ferrante, L.; Turchino, D.; Del Guercio, L.; Pakeliani, D.; Andreucci, M.; Serra, R. The use of the Amplatzer Vascular Plug in the prevention of endoleaks during abdominal endovascular aneurysm repair: A systematic literature review on current applications. Vascular 2022, 30, 681–689. [Google Scholar] [CrossRef] [PubMed]
  9. Ninomiya, S.; Akai, T.; Nishimura, T.; Furuya, T.; Nagai, M. Ruptured tibioperoneal trunk aneurysm caused by hypermucoviscous invasive Klebsiella pneumoniae infection: A case report. Ann. Vasc. Surg. Brief. Rep. Innov. 2024, 4, 100287. [Google Scholar] [CrossRef]
  10. Khairunnisa, H.; Mardhiyah, I.; Mahavira, A.; Pasaribu, F.Z. C52. Infected Femoral Artery Pseudoaneurysm with Klebsiella pneumoniae Bacteremia in Injected Drug Abuser: A Case Report. Eur. Heart J. Suppl. 2021, 23 (Suppl. F), suab124.051. [Google Scholar] [CrossRef]
  11. Cai, Y.S.; Xiao, H.; Zhang, S.; Li, M.; Liang, S.M.; Shi, Z.R.; Du, C.Y. Carbapenem-resistant Klebsiella pneumoniae infection causing rupture of graft artery in solid organ recipients: Case report and review of literature. Medicine 2019, 98, e17878. [Google Scholar] [CrossRef] [PubMed] [PubMed Central]
Figure 1. Multiplanar reformation (MPR view in axial (A), coronal (B), sagittal (C)) and 3D reconstruction (D) of preoperative CT angiography, showing right internal iliac artery rupture (highlighted with arrows).
Figure 1. Multiplanar reformation (MPR view in axial (A), coronal (B), sagittal (C)) and 3D reconstruction (D) of preoperative CT angiography, showing right internal iliac artery rupture (highlighted with arrows).
Ijtm 05 00010 g001
Figure 2. Multiplanar reformation (MPR view in axial (A), coronal (B), sagittal (C)) and 3D reconstruction (D) of CT angiography demonstrating leakage from the right internal iliac artery rupture site due to a type Ia endoleak (highlighted with arrows).
Figure 2. Multiplanar reformation (MPR view in axial (A), coronal (B), sagittal (C)) and 3D reconstruction (D) of CT angiography demonstrating leakage from the right internal iliac artery rupture site due to a type Ia endoleak (highlighted with arrows).
Ijtm 05 00010 g002
Figure 3. Multiplanar reformation (MPR view in axial (A), coronal (B), sagittal (C)) and 3D reconstruction (D) of postoperative CT angiography demonstrating that the endograft (Endurant II limb) extends to cover the common and external iliac arteries, along with embolization of the right internal iliac artery.
Figure 3. Multiplanar reformation (MPR view in axial (A), coronal (B), sagittal (C)) and 3D reconstruction (D) of postoperative CT angiography demonstrating that the endograft (Endurant II limb) extends to cover the common and external iliac arteries, along with embolization of the right internal iliac artery.
Ijtm 05 00010 g003
Figure 4. Abdominal CT scan performed one month prior to the rupture event showed no evidence of aneurysms.
Figure 4. Abdominal CT scan performed one month prior to the rupture event showed no evidence of aneurysms.
Ijtm 05 00010 g004
Disclaimer/Publisher’s Note: The statements, opinions and data contained in all publications are solely those of the individual author(s) and contributor(s) and not of MDPI and/or the editor(s). MDPI and/or the editor(s) disclaim responsibility for any injury to people or property resulting from any ideas, methods, instructions or products referred to in the content.

Share and Cite

MDPI and ACS Style

Pakeliani, D.; Indelicato, G.; Ferrante, L.; Finocchiaro, M. Spontaneous Rupture of the Internal Iliac Artery in an Elderly Patient: A Case Report Exploring the Possible Role of Klebsiella Pneumoniae Infection. Int. J. Transl. Med. 2025, 5, 10. https://doi.org/10.3390/ijtm5010010

AMA Style

Pakeliani D, Indelicato G, Ferrante L, Finocchiaro M. Spontaneous Rupture of the Internal Iliac Artery in an Elderly Patient: A Case Report Exploring the Possible Role of Klebsiella Pneumoniae Infection. International Journal of Translational Medicine. 2025; 5(1):10. https://doi.org/10.3390/ijtm5010010

Chicago/Turabian Style

Pakeliani, David, Giuseppe Indelicato, Liborio Ferrante, and Maurizio Finocchiaro. 2025. "Spontaneous Rupture of the Internal Iliac Artery in an Elderly Patient: A Case Report Exploring the Possible Role of Klebsiella Pneumoniae Infection" International Journal of Translational Medicine 5, no. 1: 10. https://doi.org/10.3390/ijtm5010010

APA Style

Pakeliani, D., Indelicato, G., Ferrante, L., & Finocchiaro, M. (2025). Spontaneous Rupture of the Internal Iliac Artery in an Elderly Patient: A Case Report Exploring the Possible Role of Klebsiella Pneumoniae Infection. International Journal of Translational Medicine, 5(1), 10. https://doi.org/10.3390/ijtm5010010

Article Metrics

Back to TopTop