A New HRCT Score for Diagnosing SARS-CoV-2 Pneumonia: A Single-Center Study with 1153 Suspected COVID-19 Patients in the Emergency Department
Abstract
:1. Introduction
2. Materials and Methods
2.1. HRCT
- -
- -
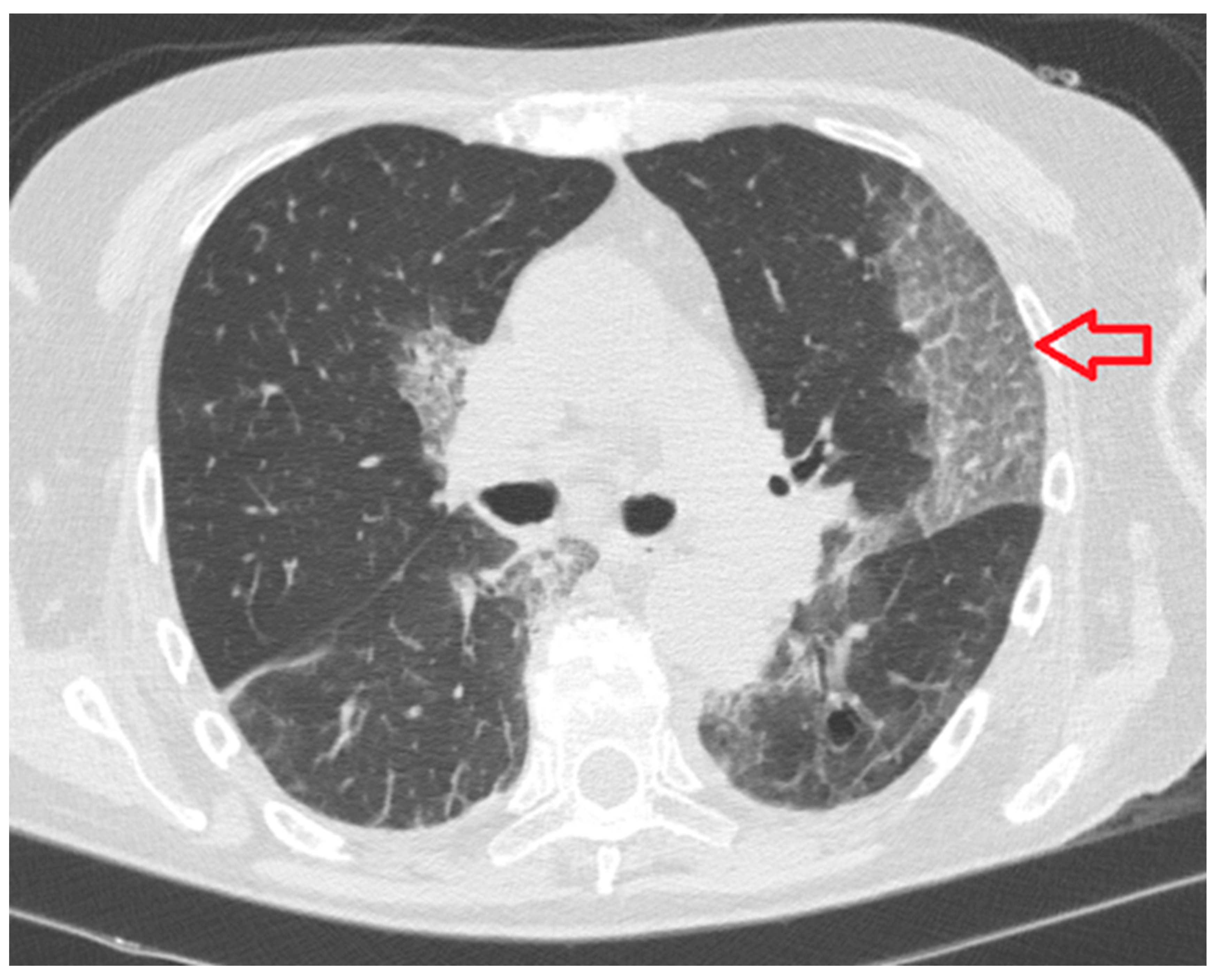
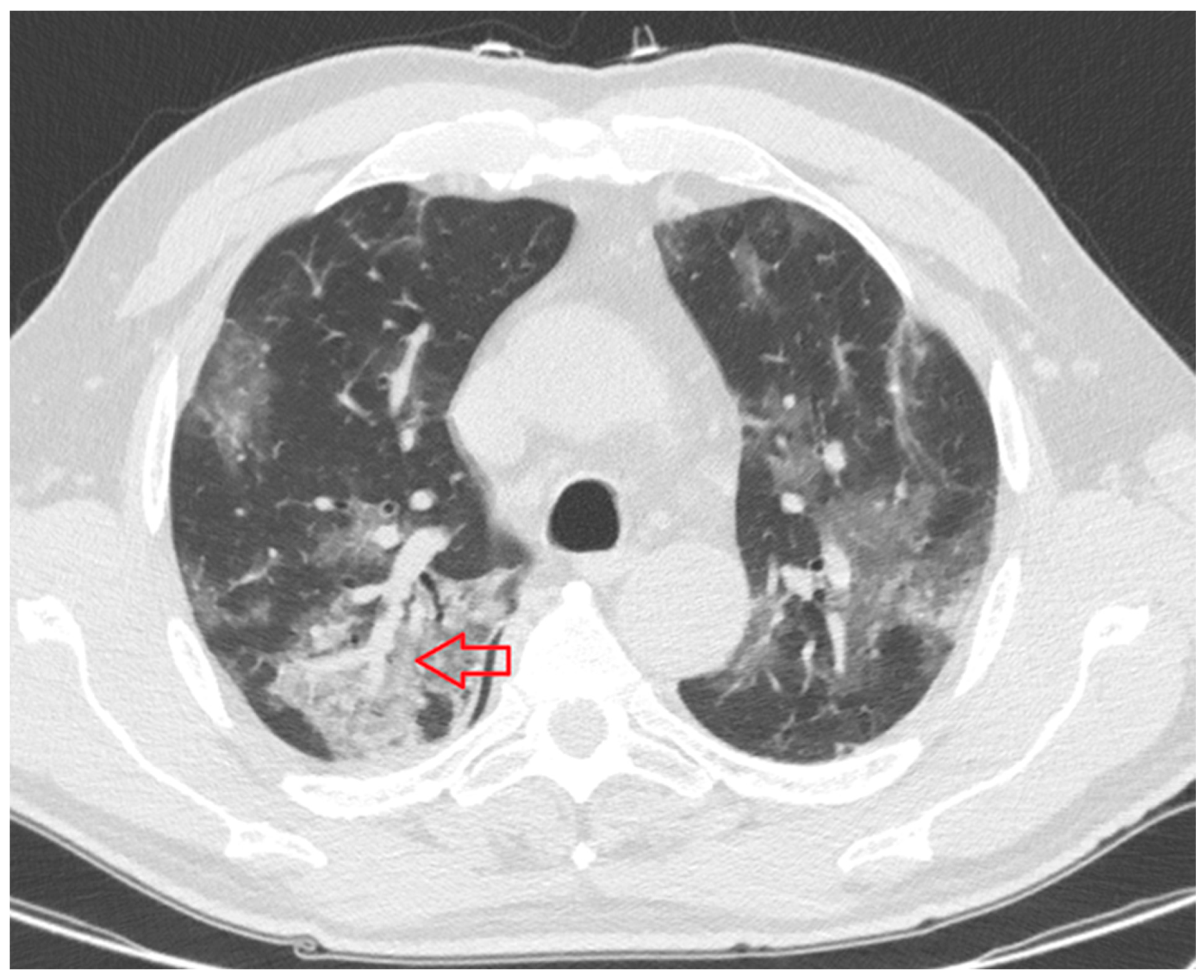
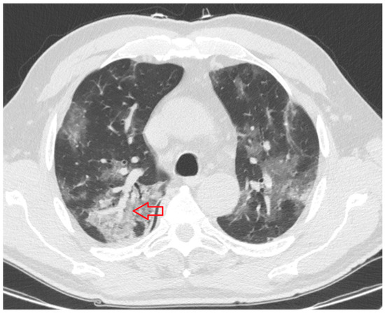
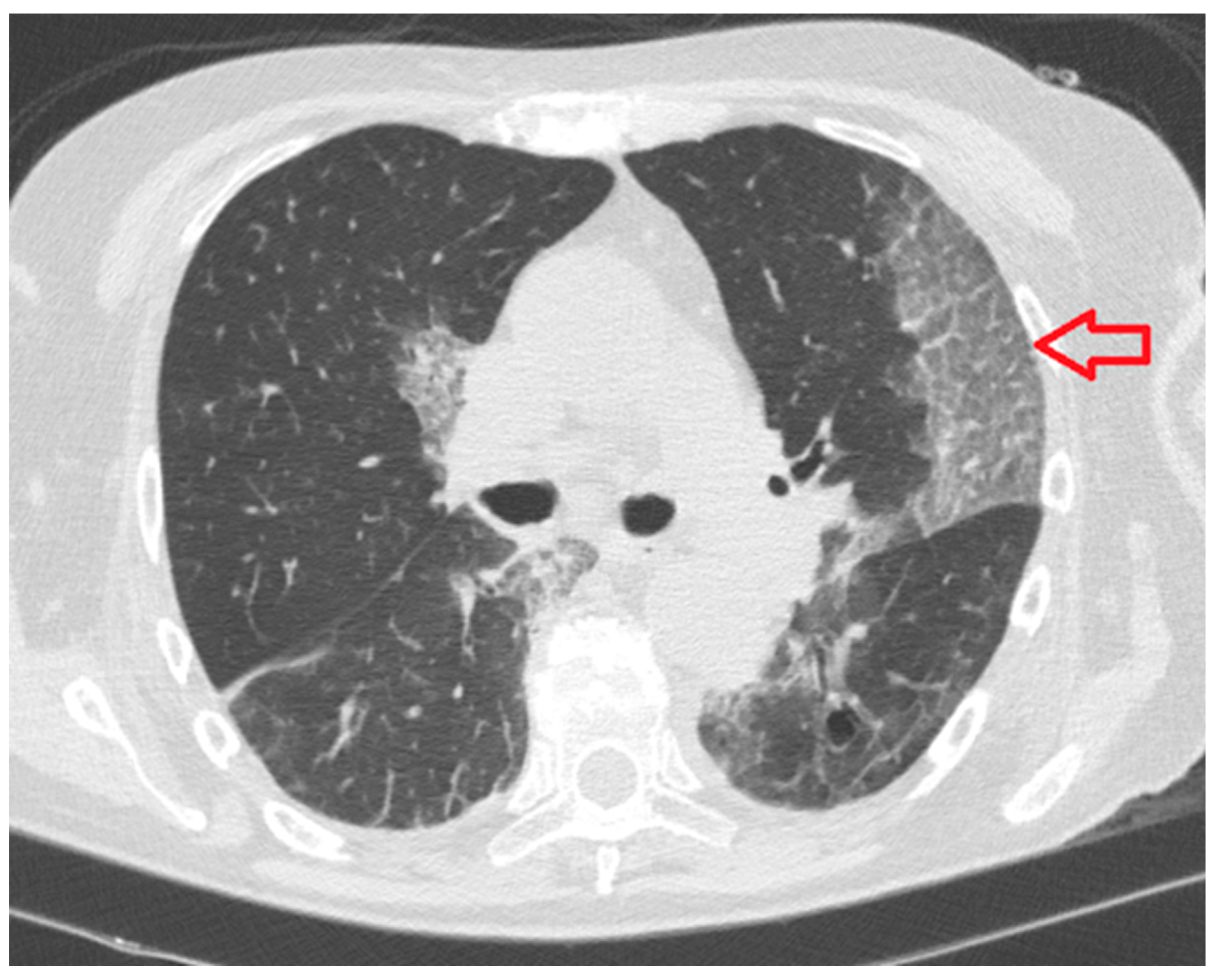
- Consolidation: homogeneous increase in lung parenchymal opacity obscuring the vascular margins and airway walls with an air bronchogram (pattern of air-filled bronchi on a background of opaque airless lung) (Figure 3);
- -
- Consolidation without air bronchogram;
- -
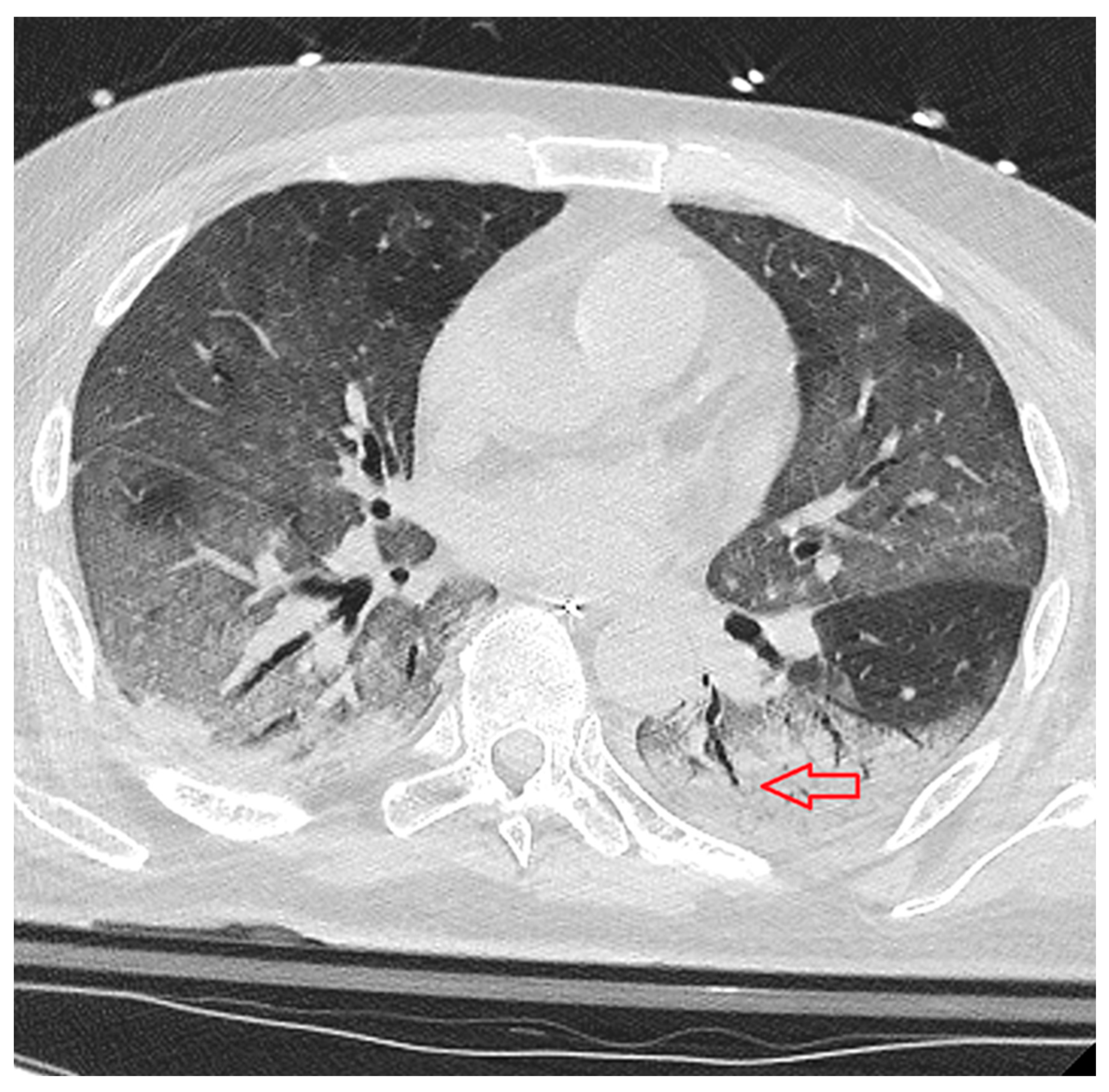
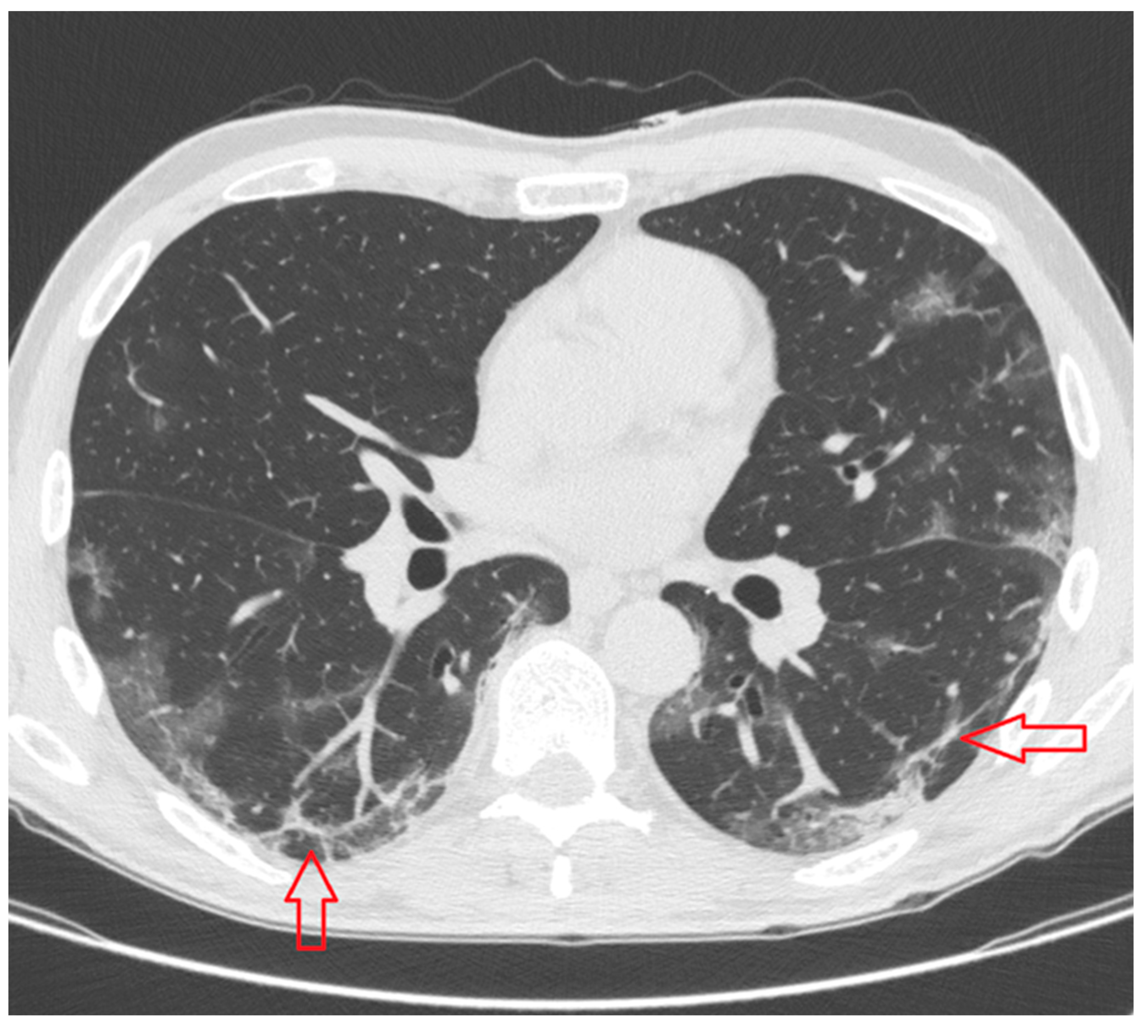
- Subpleural curvilinear line: thin, curved opacity 1–3 mm thick, less than 1 cm from and parallel to the pleural surface (Figure 4);
- -
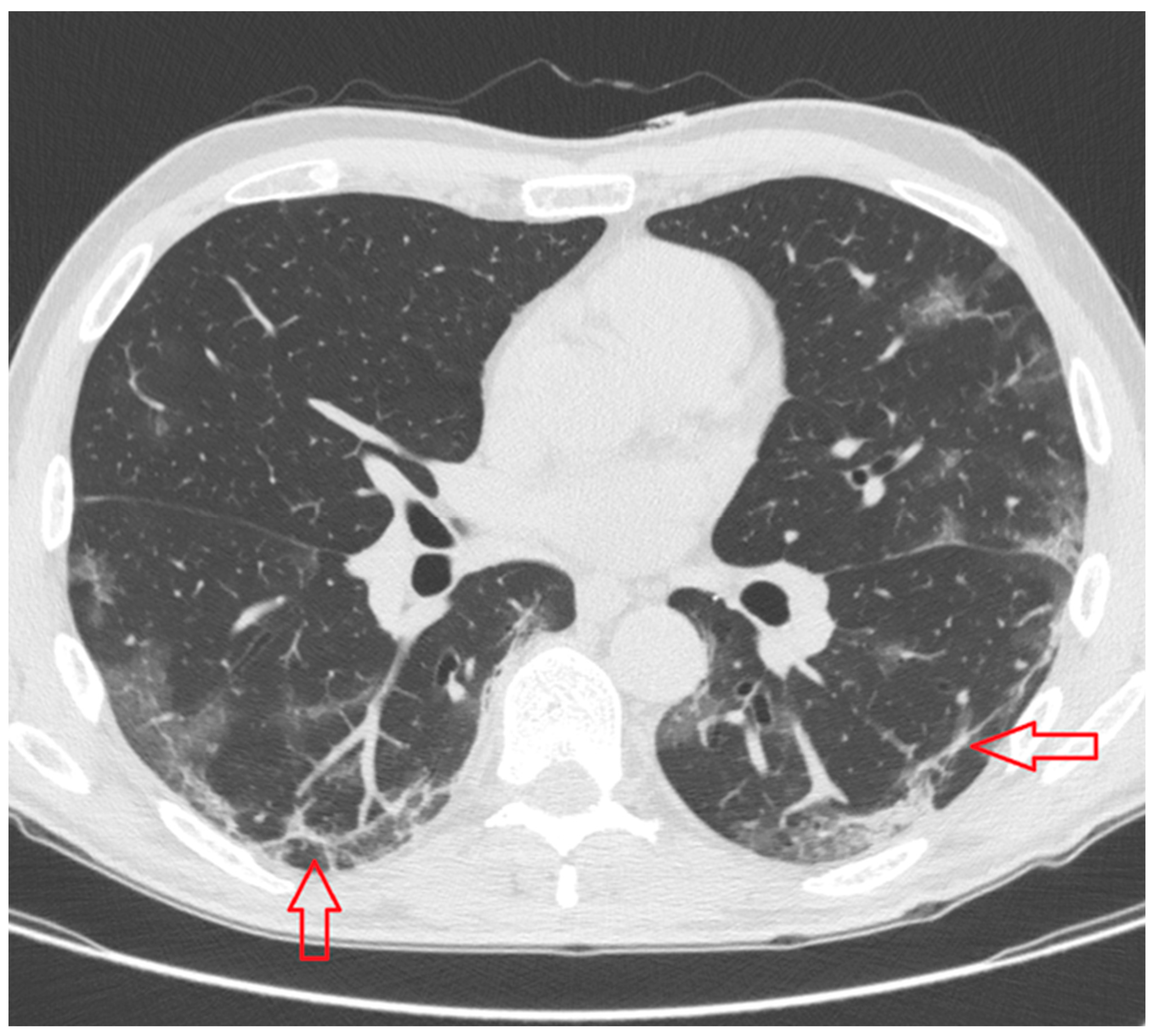
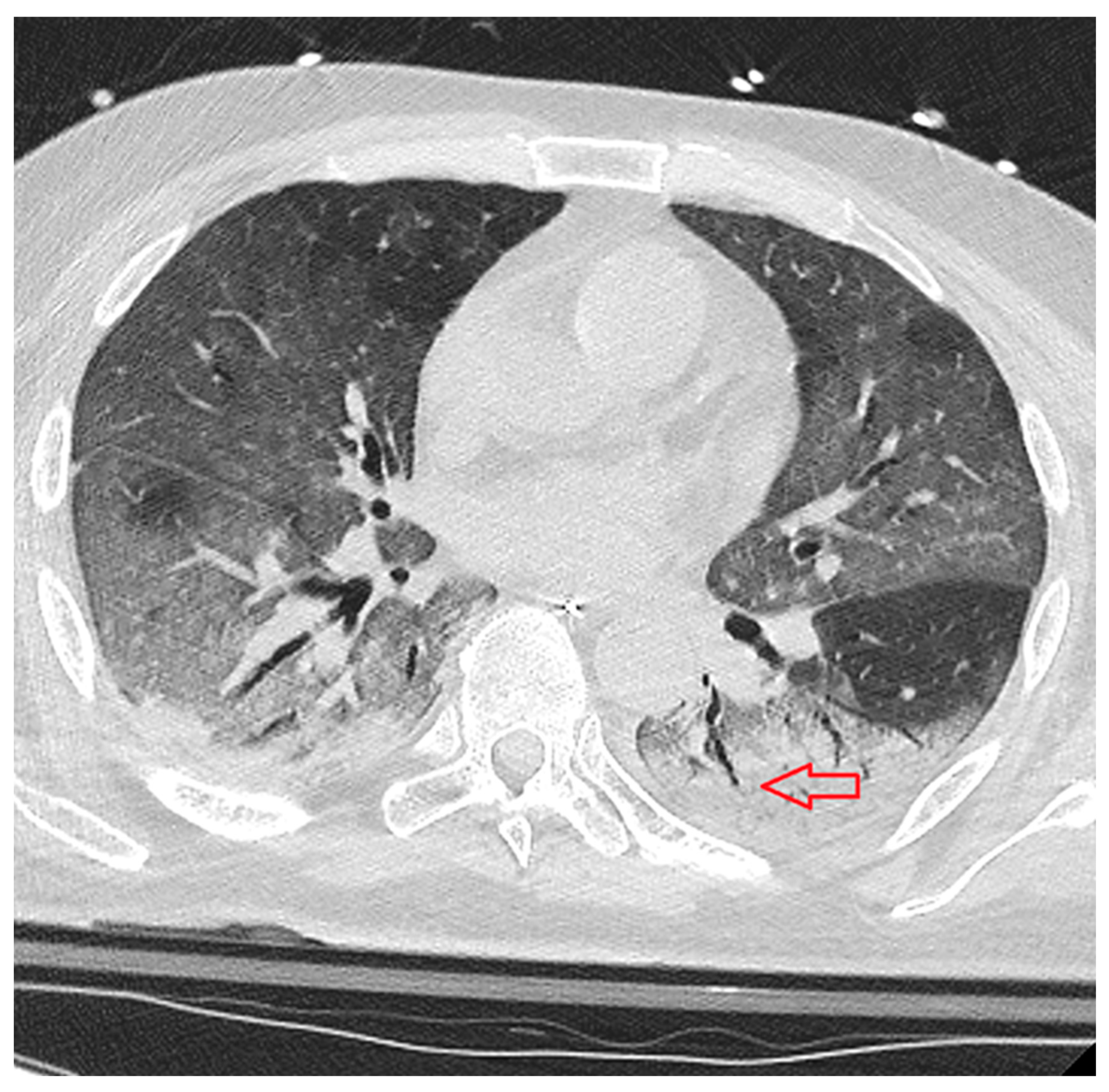
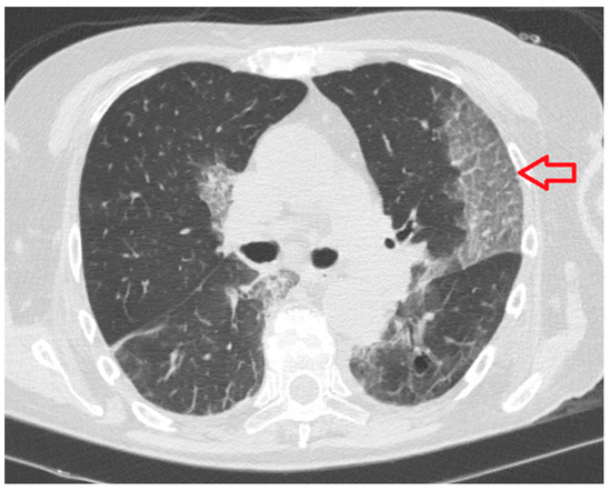
- Crazy paving pattern: thickened interlobular septa and intralobular lines superimposed on a background of ground glass opacity (Figure 5);
- -
- Tree in bud: centrilobular branching structures reflecting a spectrum of endo- and peribronchiolar changes;
- -
- Honeycombing: clustered cystic air spaces, typically with comparable diameters in the order of 3–10 mm, subpleural and with well-defined walls, for example, in fibrotic lung;
- -
- -
- Pulmonary nodule: roundish opacity up to 3 cm in diameter;
- -
- Cavitation: gas-filled space within the pulmonary consolidation or nodule;
- -
- Smooth interlobular septal thickening: a disease affecting one of the components of the septa that may be responsible for the thickening, making the septa visible, e.g., pulmonary oedema;
- -
- Pleural effusion;
- -
- Mediastinal lymphadenopathy: presence of several lymph nodes with a diameter of at least 10 mm [10].
2.2. Clinical and Laboratory Data
2.3. Statistical Evaluation
3. Results
4. Discussion
Limitation
5. Conclusions
Author Contributions
Funding
Institutional Review Board Statement
Informed Consent Statement
Data Availability Statement
Acknowledgments
Conflicts of Interest
References
- Available online: https://news.un.org/en/story/2023/05/1136367 (accessed on 11 September 2023).
- Arevalo-Rodriguez, I.; Buitrago-Garcia, D.; Simancas-Racines, D.; Zambrano-Achig, P.; Del Campo, R.; Ciapponi, A.; Sued, O.; Martinez-García, L.; Rutjes, A.W.; Low, N.; et al. False-negative results of initial RT-PCR assays for COVID-19: A systematic review. PLoS ONE 2020, 15, e0242958. [Google Scholar] [CrossRef]
- Elmokadem, A.H.; Mounir, A.M.; Ramadan, Z.A.; Elsedeiq, M.; Saleh, G.A. Comparison of chest CT severity scoring systems for COVID-19. Eur. Radiol. 2022, 32, 3501–3512. [Google Scholar] [CrossRef]
- Pan, F.; Ye, T.; Sun, P.; Gui, S.; Liang, B.; Li, L.; Zheng, D.; Wang, J.; Hesketh, R.L.; Yang, L.; et al. Time Course of Lung Changes at Chest CT during Recovery from Coronavirus Disease 2019 (COVID-19). Radiology 2020, 295, 715–721. [Google Scholar] [CrossRef]
- Islam, N.; Ebrahimzadeh, S.; Salameh, J.-P.; Kazi, S.; Fabiano, N.; Treanor, L.; Absi, M.; Hallgrimson, Z.; Leeflang, M.M.G.; Hooft, L.; et al. Thoracic imaging tests for the diagnosis of COVID-19. Cochrane Database Syst. Rev. 2021, 3, CD013639. [Google Scholar] [CrossRef]
- Bossuyt, P.M.; Reitsma, J.B.; Bruns, D.E.; Gatsonis, C.A.; Glasziou, P.P.; Irwig, L.; Lijmer, J.G.; Moher, D.; Rennie, D.; de Vet, H.C.W.; et al. STARD 2015: An updated list of essential items for reporting diagnostic accuracy studies. BMJ 2015, 351, h5527. [Google Scholar] [CrossRef]
- Collins, G.S.; Reitsma, J.B.; Altman, D.G.; Moons, K.G. Transparent reporting of a multivariable prediction model for individual prognosis or diagnosis (TRIPOD): The TRIPOD statement. BMJ 2015, 350, g7594. [Google Scholar] [CrossRef] [PubMed]
- Hansell, D.M.; Bankier, A.A.; MacMahon, H.; McLoud, T.C.; Müller, N.L.; Remy, J. Fleischner Society: Glossary of terms for thoracic imaging. Radiology 2008, 246, 697–722. [Google Scholar] [CrossRef]
- Ye, Z.; Zhang, Y.; Wang, Y.; Huang, Z.; Song, B. Chest CT manifestations of new coronavirus disease 2019 (COVID-19): A pictorial review. Eur. Radiol. 2020, 30, 4381–4389. [Google Scholar] [CrossRef] [PubMed]
- Iyer, H.; Anand, A.; Icon, P.B.S.; Gupta, K.; Naranje, P.; Damle, N.; Icon, S.M.; Madan, N.K.; Icon, A.M.; Hadda, V.; et al. Mediastinal lymphadenopathy: A practical approach. Expert Rev. Respir. Med. 2021, 15, 1317–1334. [Google Scholar] [CrossRef]
- Yu, L.; Liu, L.; Peace, K.E. Regression multiple imputation for missing data analysis. Stat. Methods Med. Res. 2020, 29, 2647–2664. [Google Scholar] [CrossRef] [PubMed]
- Hosmer, D.W.; Hosmer, T.; Le Cessie, S.; Lemeshow, S. A comparison of goodness-of-fit tests for the logistic regression model. Stat. Med. 1997, 16, 965–980. [Google Scholar] [CrossRef]
- Ai, T.; Yang, Z.; Hou, H.; Zhan, C.; Chen, C.; Lv, W.; Tao, Q.; Sun, Z.; Xia, L. Correlation of Chest CT and RT-PCR Testing for Coronavirus Disease 2019 (COVID-19) in China: A Report of 1014 Cases. Radiology 2020, 296, E32–E40. [Google Scholar] [CrossRef] [PubMed]
- Fang, Y.; Zhang, H.; Xie, J.; Lin, M.; Ying, L.; Pang, P.; Ji, W. Sensitivity of Chest CT for COVID-19: Comparison to RT-PCR. Radiology 2020, 296, E115–E117. [Google Scholar] [CrossRef] [PubMed]
- Caruso, D.; Zerunian, M.; Polici, M.; Pucciarelli, F.; Polidori, T.; Rucci, C.; Guido, G.; Bracci, B.; De Dominicis, C.; Laghi, A. Chest CT Features of COVID-19 in Rome, Italy. Radiology 2020, 296, E79–E85. [Google Scholar] [CrossRef] [PubMed]
- Simpson, S.; Kay, F.U.; Abbara, S.; Bhalla, S.; Chung, J.H.; Chung, M.; Henry, T.S.; Kanne, J.P.; Kligerman, S.; Ko, J.P.; et al. Radiological Society of North America Expert Consensus Document on Reporting Chest CT Findings Related to COVID-19: Endorsed by the Society of Thoracic Radiology, the American College of Radiology, and RSNA. Radiol. Cardiothorac. Imaging 2020, 2, e200152. [Google Scholar] [CrossRef] [PubMed]
- Rubin, G.D.; Ryerson, C.J.; Haramati, L.B.; Sverzellati, N.; Kanne, J.P.; Raoof, S.; Schluger, N.W.; Volpi, A.; Yim, J.-J.; Martin, I.B.K.; et al. The Role of Chest Imaging in Patient Management during the COVID-19 Pandemic: A Multinational Consensus Statement from the Fleischner Society. Radiology 2020, 296, 172–180. [Google Scholar] [CrossRef]
- Available online: https://www.acr.org/Advocacy-and-Economics/ACR-Position-Statements/Recommendations-for-Chest-Radiography-and-CT-for-Suspected-COVID19-Infection (accessed on 11 September 2023).
- Guarnera, A.; Santini, E.; Podda, P. Idiopathic Interstitial Pneumonias and COVID-19 Pneumonia: Review of the Main Radiological Features and Differential Diagnosis. Tomography 2021, 7, 397–411. [Google Scholar] [CrossRef]
- Koo, H.J.; Lim, S.; Choe, J.; Choi, S.H.; Sung, H.; Do, K.H. Radiographic and CT Features of Viral Pneumonia. Radiographics 2018, 38, 719–739. [Google Scholar] [CrossRef]
- Li, Y.; Xia, L. Coronavirus Disease 2019 (COVID-19): Role of Chest CT in Diagnosis and Management. AJR Am. J. Roentgenol. 2020, 214, 1280–1286. [Google Scholar] [CrossRef]
- Bai, H.X.; Hsieh, B.; Xiong, Z.; Halsey, K.; Choi, J.W.; Tran, T.M.L.; Pan, I.; Shi, L.-B.; Wang, D.-C.; Mei, J.; et al. Performance of Radiologists in Differentiating COVID-19 from Non-COVID-19 Viral Pneumonia at Chest CT. Radiology 2020, 296, E46–E54. [Google Scholar] [CrossRef]
- Khatami, F.; Saatchi, M.; Zadeh, S.S.T.; Aghamir, Z.S.; Shabestari, A.N.; Reis, L.O.; Aghamir, S.M.K. A meta-analysis of accuracy and sensitivity of chest CT and RT-PCR in COVID-19 diagnosis. Sci. Rep. 2020, 10, 22402. [Google Scholar] [CrossRef] [PubMed]
- Miao, C.; Jin, M.; Miao, L.; Yang, X.; Huang, P.; Xiong, H.; Huang, P.; Zhao, Q.; Du, J.; Hong, J. Early chest computed tomography to diagnose COVID-19 from suspected patients: A multicenter retrospective study. Am. J. Emerg. Med. 2021, 44, 346–351. [Google Scholar] [CrossRef]
- Prokop, M.; van Everdingen, W.; van Rees Vellinga, T.; van Ufford, H.Q.; Stöger, L.; Beenen, L.; Geurts, B.; Gietema, H.; Krdzalic, J.; Schaefer-Prokop, C.; et al. CO-RADS: A Categorical CT Assessment Scheme for Patients Suspected of Having COVID-19-Definition and Evaluation. Radiology 2020, 296, E97–E104. [Google Scholar] [CrossRef] [PubMed]
- Available online: https://www.bsti.org.uk/covid-19-resources/covid-19-bsti-reporting-templates/ (accessed on 11 September 2023).
- Calvi, C.; Ferreira, F.F.; Lyrio, L.; de Melo Baptista, R.; Zanoni, B.B.; Junger, Y.O.; Barros, W.H.; Volpato, R.; Júnior, L.M.; Júnior, M.R. COVID-19 findings in chest computed tomography. Rev. Assoc. Med. Bras. 2021, 67, 1409–1414. [Google Scholar] [CrossRef] [PubMed]
- Zheng, Y.; Wang, L.; Ben, S. Meta-analysis of chest CT features of patients with COVID-19 pneumonia. J. Med. Virol. 2021, 93, 241–249. [Google Scholar] [CrossRef]
- Chung, M.; Bernheim, A.; Mei, X.; Zhang, N.; Huang, M.; Zeng, X.; Cui, J.; Xu, W.; Yang, Y.; Fayad, Z.A.; et al. CT Imaging Features of 2019 Novel Coronavirus (2019-nCoV). Radiology 2020, 295, 202–207. [Google Scholar] [CrossRef]
- Ding, X.; Xu, J.; Zhou, J.; Long, Q. Chest CT findings of COVID-19 pneumonia by duration of symptoms. Eur. J. Radiol. 2020, 127, 109009. [Google Scholar] [CrossRef]
- Cao, Y.; Han, X.; Gu, J.; Li, Y.; Liu, J.; Alwalid, O.; Cui, Y.; Zhang, X.; Zheng, C.; Fan, Y.; et al. Prognostic value of baseline clinical and HRCT findings in 101 patients with severe COVID-19 in Wuhan, China. Sci. Rep. 2020, 10, 17543. [Google Scholar] [CrossRef]
- Available online: https://www.bsti.org.uk/media/resources/files/BSTI_COVID-19_Radiology_Guidance_version_2_16.03.20.pdf (accessed on 11 September 2023).
- Amini, B.; Vadera, S. Ground-Glass Opacification. Reference Article. 2023. Available online: https://radiopaedia.org/articles/ground-glass-opacification-3?lang=us (accessed on 4 September 2022).
- De Wever, W.; Meersschaert, J.; Coolen, J.; Verbeken, E.; Verschakelen, J.A. The crazy-paving pattern: A radiological-pathological correlation. Insights Imaging 2011, 2, 117–132. [Google Scholar] [CrossRef]
- Hashemi-Madani, N.; Emami, Z.; Janani, L.; Khamseh, M.E. Typical chest CT features can determine the severity of COVID-19: A systematic review and meta-analysis of the observational studies. Clin. Imaging 2021, 74, 67–75. [Google Scholar] [CrossRef]
- Zakariaee, S.S.; Salmanipour, H.; Naderi, N.; Kazemi-Arpanahi, H.; Shanbehzadeh, M. Association of chest CT severity score with mortality of COVID-19 patients: A systematic review and meta-analysis. Clin. Transl. Imaging 2022, 10, 663–676. [Google Scholar] [CrossRef] [PubMed]
- Wang, R.; Jiao, Z.; Yang, L.; Choi, J.W.; Xiong, Z.; Halsey, K.; Tran, T.M.L.; Pan, I.; Collins, S.A.; Feng, X.; et al. Artificial intelligence for prediction of COVID-19 progression using CT imaging and clinical data. Eur. Radiol. 2022, 32, 205–212. [Google Scholar] [CrossRef]
- Lessmann, N.; Sánchez, C.I.; Beenen, L.; Boulogne, L.H.; Brink, M.; Calli, E.; Charbonnier, J.-P.; Dofferhoff, T.; van Everdingen, W.M.; Gerke, P.K.; et al. Automated Assessment of COVID-19 Reporting and Data System and Chest CT Severity Scores in Patients Suspected of Having COVID-19 Using Artificial Intelligence. Radiology 2021, 298, E18–E28. [Google Scholar] [CrossRef]
- Tsakok, M.T.; Watson, R.A.; Saujani, S.J.; Kong, M.; Xie, C.; Peschl, H.; Wing, L.; MacLeod, F.K.; Shine, B.; Talbot, N.P.; et al. Chest CT and Hospital Outcomes in Patients with Omicron Compared with Delta Variant SARS-CoV-2 Infection. Radiology 2022, 306, 220533. [Google Scholar] [CrossRef]
- Verma, A.; Kumar, I.; Singh, P.K.; Ansari, M.S.; Singh, H.A.; Sonkar, S.; Prakash, A.; Ojha, R. Initial comparative analysis of pulmonary involvement on HRCT between vaccinated and non-vaccinated subjects of COVID-19. Eur. Radiol. 2022, 32, 4275–4283. [Google Scholar] [CrossRef]
- Peduzzi, P.; Concato, J.; Kemper, E.; Holford, T.R.; Feinstein, A.R. A simulation study of the number of events per variable in logistic regression analysis. J. Clin. Epidemiol. 1996, 49, 1373–1379. [Google Scholar] [CrossRef] [PubMed]







| Patients Included, 1153 | SARS-CoV-2-Negative, 696 (60.4%) | SARS-CoV-2-Positive, 457 (39.6%) | p-Value | |
|---|---|---|---|---|
| Age, years, media (SD) | 67.06 (18.35) | 71.8 (17.4) | 64.83 (11) | <0.001 |
| Male, N (%) | 649 (56.3) | 379 (54.5) | 270 (59.2) | 0.11 |
| Fever, N (%) | 764 (66.9) | 389 (56.6) | 375 (82.8) | <0.001 |
| Cough, N (%) | 429 (37.6) | 211 (30.7) | 218 (48.1) | <0.001 |
| Dyspnea, N (%) | 423 (37.2) | 252 (36.6) | 173 (38.1) | 0.8 |
| Diarrhea, N (%) | 143 (12.5) | 88 (12.8) | 55 (12.1) | 0.53 |
| HR, ppm, media (SD) | 93.38 (18.8) | 91 (20) | 95 (16) | 0.35 |
| RR, app, media (SD) | 19.55 (7.2) | 18.44 (7) | 20.44 (4.5) | 0.26 |
| SBP, mmHg, media (SD) | 128.1 (24) | 131 (27) | 124 (18) | <0.001 |
| DBP, mmHg, media (SD) | 74.71 (13.9) | 75 (14) | 74.4 (10) | 0.12 |
| Body temperature in C, median (IQR) | 36.87 (1) | 36.47 (1) | 37.23 (2) | <0.001 |
| pH, median (IQR) | 7.47 (0.07) | 7.44 (0) | 7.49 (0) | <0.001 |
| pCO2, mmHg, median (IQR) | 35.5 (8) | 36.5 (9) | 33 (6) | <0.001 |
| pO2, mmHg, median (IQR) | 65 (21) | 72 (22) | 63 (19) | <0.001 |
| sO2, %,median (IQR) | 96 (3) | 97 (3) | 94.8 (3) | <0.001 |
| P/F ratio, media (SD) | 302.5 (89) | 307 (108) | 295 (66) | <0.001 |
| Leukocytes, N/mL, median (IQR) | 8.34 (6) | 9.56 (9.6) | 6.59 (4) | <0.001 |
| Neutrophils, N/mL, median (IQR) | 6.21 (5) | 8.89 (10) | 5.36 (4) | <0.001 |
| Lymphocytes, N/mL, median (IQR) | 1.23 (1) | 1.64 (1.48) | 0.87 (0.51) | <0.001 |
| Eosinophils, N/mL, median (IQR) | 0.02 (0) | 0.025 (0.14) | 0.0 (0.1) | <0.001 |
| Platelets, * 1000/mL, median (IQR) | 223 (106) | 221 (139) | 236 (59) | <0.001 |
| IL-6, ng/dL, median (IQR) | 36 (57) | 28 (92) | 40 (51) | 0.04 |
| Fibrinogen, mg/dL, median (SD) | 497 (148) | 440 (165) | 486 (129) | 0.005 |
| LDH, mg/dL, median (IQR) | 263 (208) | 206 (102) | 262 (141) | <0.001 |
| C-reactive protein, mg/mL, median (SD) | 11 (14) | 10.5 (8.23) | 12.25 (7.31) | 0.22 |
| Ferritins, mg/mL median (IQR) | 252 (338) | 129 (224) | 334 (534) | <0.001 |
| Procalcitonin, ng/mL, median (IQR) | 0,1 (0) | 0.1 (0) | 0.1 (0) | 0.08 |
| d-Dimer, FEU/mL median (IQR) | 0.87 (1) | 0.99 (3) | 0.81 (1) | 0.35 |
| No in-hospital therapy amongst selected, N (%) | 138 (12.8) | 129 (20.2) | 9 (2.1) | <0.001 |
| Hydroxychloroquine, N (%) | 540 (50.7) | 161 (25.6) | 379 (86.9) | <0.001 |
| Antibiotic, N (%) | 786 (73.8) | 396 (63) | 390 (89.4) | <0.001 |
| Tocilizumab, N (%) | 96 (9.1) | 8 (1.3) | 88 (20.5) | <0.001 |
| Antivirals, N (%) | 61 (5.8) | 15 (2.4) | 46 (10.8) | <0.001 |
| Cortisone, N (%) | 272 (26.1) | 102 (16.5) | 170 (40.3) | <0.001 |
| LMWH, N (%) | 602 (58.4) | 274 (45.1) | 328 (77.9) | <0.001 |
| In-hospital dead patients, N (%) | 130 (12.1) | 60 (9.1) | 70 (16.7) | <0.001 |
| Patients Included, 1153 | SARS-CoV-2-Negative, 696 (60.4%) | SARS-CoV-2-Positive, 457 (39.6%) | p-Value | |
|---|---|---|---|---|
| Negative HRCT, N (%) | 357 (30.9) | 306 (44.2) | 46 (10.1) | <0.001 |
| Positive for any sign HRCT, N (%) | 796 (69.1) | 387 (55.8) | 409 (89.9) | < 0.001 |
| HRCT score, median (SD) | 14.41 (5.34) | 8.82 (4.68) | 15.67 (4.66) | <0.001 |
| GGO, N (%) | 446 (56) | 140 (36.1) | 306 (74.8) | <0.001 |
| Number of segments with GGO, median (SD) | 7.04 (3.7) | 3.69 (2.1) | 7.79 (3.57) | <0.001 |
| Consolidations with air bronchogram, N (%) | 261 (32.8) | 154 (39.8) | 107 (26.2) | <0.001 |
| Consolidations without air bronchogram, N (%) | 219 (27.5) | 121 (31.3) | 98 (24) | 0.031 |
| Linear consolidations, N (%) | 106 (13.4) | 33 (8.5) | 73 (17.9) | <0.001 |
| Number of segment with linear consolidations, median (SD) | 3.28 (1.93) | 2 (1.9) | 3.46 (1.85) | 0.032 |
| Solitary nodules, N (%) | 106 (13.4) | 27 (3.6) | 20 (4.4) | 0.277 |
| Crazy paving, N (%) | 196 (24.7) | 35 (9.1) | 161 (39.4) | <0.001 |
| Tree in bud, N (%) | 69 (8.7) | 59 (15.3) | 10 (2.5) | <0.001 |
| Honeycombing, N (%) | 20 (2.5) | 16 (4.2) | 4 (1) | 0.004 |
| Vascular ectasia, N (%) | 70 (11.3) | 9 (2.9) | 61 (19.4) | <0.001 |
| Cavitation, N (%) | 2 (0.3) | 2 (0.6) | 0 (0) | 0.164 |
| Edematous thickening of the interlobular septa, right lung, N (%) | 52 (8.3) | 45 (14.5) | 7 (2.2) | <0.001 |
| Edematous thickening of the interlobular septa, left lung, N (%) | 54 (8.7) | 47 (15.2) | 7 (2.2) | <0.001 |
| Focal heteroplastic lesions, N (%) | 16 (2.6) | 14 (4.5) | 2 (0.6) | 0.003 |
| Lymphadenopathy, N (%) | 75 (12) | 44 (14.2) | 31(9.9) | 0.19 |
| Pleural effusion, right lung, N (%) | 138 (22.2) | 110 (35.5) | 28 (8.9) | <0.001 |
| Pleural effusion, left lung, N (%) | 135 (21.7) | 104 (33.7) | 31 (9.9) | <0.001 |
| Point | Total | |
|---|---|---|
| Number of segments with GGO | 1 point per segment | |
| Number of segments with linear consolidations | 1 point per segment | |
| Presence of crazy paving in any segment | 6 points | |
| Presence of vascular ectasia in any segment | 2.5 points | |
| HRCT score, total: | --------------- |
| HRCT Score | Sensitivity | 95% CI | Specificity | 95% CI | +LR | 95% CI | –LR | 95% CI |
|---|---|---|---|---|---|---|---|---|
| >0 | 80.09 | 76.1–83.7 | 74.71 | 71.3–77.9 | 3.17 | 3–3.4 | 0.27 | 0.2–0.3 |
| ≥4 * | 72.2 | 67.9–76.3 | 86.6 | 83.9–89.1 | 5.74 | 5.4–6.1 | 0.36 | 0.3–0.5 |
| >10 | 38.95 | 34.5–43.6 | 95.4 | 93.6–96.8 | 8.47 | 7.5–9.5 | 0.64 | 0.5–0.9 |
| >15 | 20.35 | 16.8–24.3 | 98.13 | 96.8–99 | 10.9 | 9.1–13.1 | 0.81 | 0.5–1.4 |
Disclaimer/Publisher’s Note: The statements, opinions and data contained in all publications are solely those of the individual author(s) and contributor(s) and not of MDPI and/or the editor(s). MDPI and/or the editor(s) disclaim responsibility for any injury to people or property resulting from any ideas, methods, instructions or products referred to in the content. |
© 2023 by the authors. Licensee MDPI, Basel, Switzerland. This article is an open access article distributed under the terms and conditions of the Creative Commons Attribution (CC BY) license (https://creativecommons.org/licenses/by/4.0/).
Share and Cite
Sofia, S.; Filonzi, G.; Catalano, L.; Mattioli, R.; Marinelli, L.; Siopis, E.; Colì, L.; Mulas, V.; Allegri, D.; Rotini, C.; et al. A New HRCT Score for Diagnosing SARS-CoV-2 Pneumonia: A Single-Center Study with 1153 Suspected COVID-19 Patients in the Emergency Department. Int. J. Transl. Med. 2023, 3, 399-415. https://doi.org/10.3390/ijtm3040028
Sofia S, Filonzi G, Catalano L, Mattioli R, Marinelli L, Siopis E, Colì L, Mulas V, Allegri D, Rotini C, et al. A New HRCT Score for Diagnosing SARS-CoV-2 Pneumonia: A Single-Center Study with 1153 Suspected COVID-19 Patients in the Emergency Department. International Journal of Translational Medicine. 2023; 3(4):399-415. https://doi.org/10.3390/ijtm3040028
Chicago/Turabian StyleSofia, Soccorsa, Giacomo Filonzi, Leonardo Catalano, Roberta Mattioli, Laura Marinelli, Elena Siopis, Laura Colì, Violante Mulas, Davide Allegri, Carlotta Rotini, and et al. 2023. "A New HRCT Score for Diagnosing SARS-CoV-2 Pneumonia: A Single-Center Study with 1153 Suspected COVID-19 Patients in the Emergency Department" International Journal of Translational Medicine 3, no. 4: 399-415. https://doi.org/10.3390/ijtm3040028
APA StyleSofia, S., Filonzi, G., Catalano, L., Mattioli, R., Marinelli, L., Siopis, E., Colì, L., Mulas, V., Allegri, D., Rotini, C., Scala, B., Bertini, A., Imbriani, M., Spampinato, M. D., & Orlandi, P. (2023). A New HRCT Score for Diagnosing SARS-CoV-2 Pneumonia: A Single-Center Study with 1153 Suspected COVID-19 Patients in the Emergency Department. International Journal of Translational Medicine, 3(4), 399-415. https://doi.org/10.3390/ijtm3040028

