Screening Differential Expression Profiles of Urinary microRNAs in a Gentamycin-Induced Acute Kidney Injury Canine Model
Abstract
1. Introduction
2. Materials and Methods
2.1. Animals and Ethics Statement
2.2. Study Design
2.3. RNA Isolation and Sequencing Library Generation
2.4. Functional Prediction of miRNA
2.5. Protein–Protein Interaction (PPI) and miRNA Regulatory Networks Analysis
2.6. Statistical Analysis
3. Results
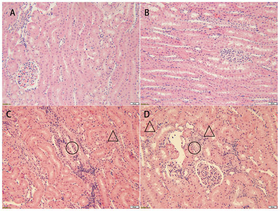
3.1. Pathological Feature
3.2. Biochemistry Profile
3.3. miRNA Expression Profile
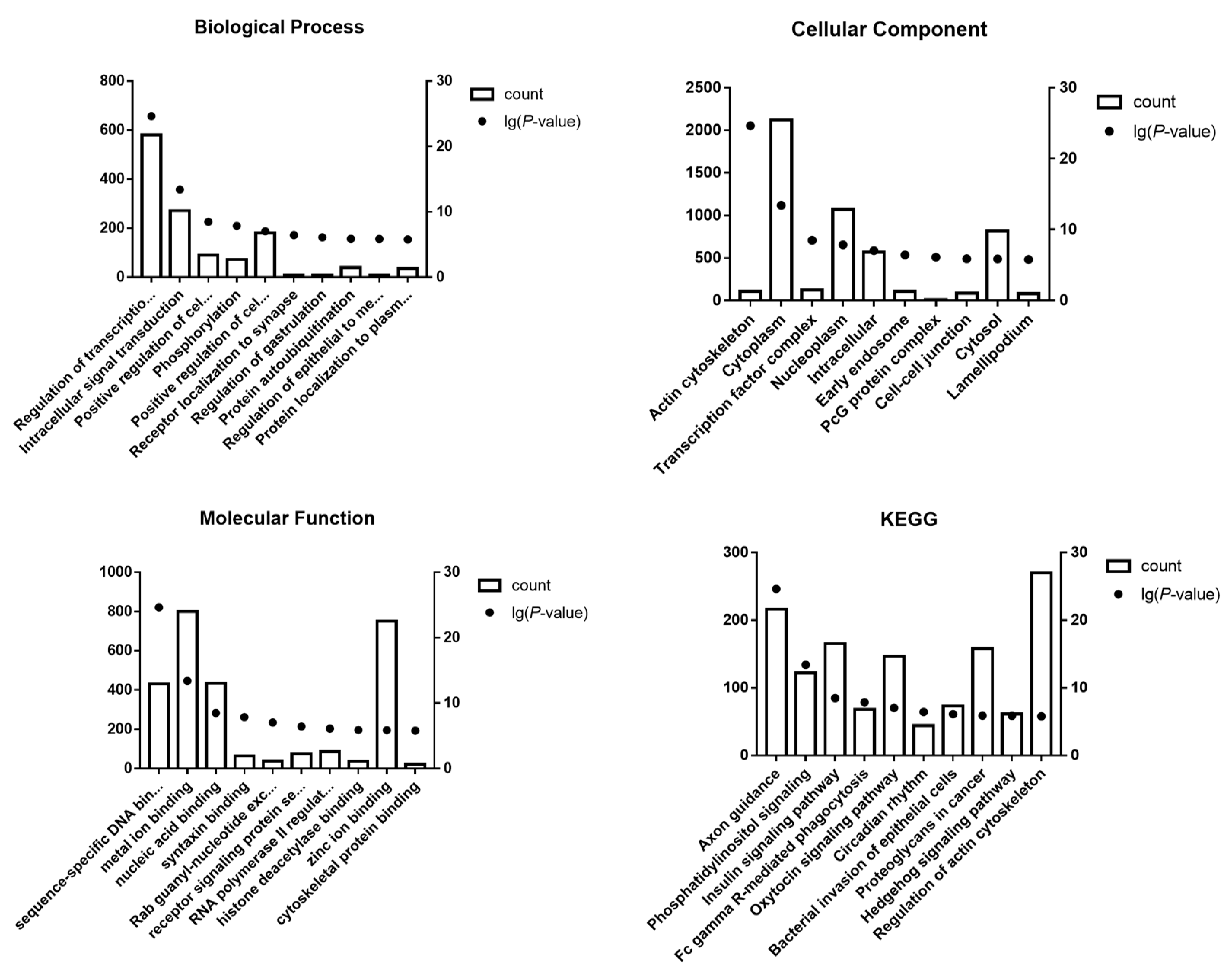
3.4. Functional Prediction of miRNAs in Gentamycin-Induced AKI
3.5. Regulatory Network of miRNAs in Gentamycin-Induced AKI
4. Discussion
Author Contributions
Funding
Institutional Review Board Statement
Informed Consent Statement
Data Availability Statement
Acknowledgments
Conflicts of Interest
Abbreviations
| Abbreviation | Latin |
| cfa | Canis familiaris |
| hsa | Homo sapiens |
| mmu | Mus musculus |
| rno | Rattus norvegicus |
References
- Zhao, Y.; Yang, L. Perspectives on acute kidney injury strategy in China. Nephrology 2018, 23 (Suppl. 4), 100–103. [Google Scholar] [CrossRef] [PubMed]
- Ertuglu, L.A.; Kanbay, A.; Afsar, B.; Elsurer Afsar, R.; Kanbay, M. COVID-19 and acute kidney injury. Tuberk. Toraks 2020, 68, 407–418. [Google Scholar] [CrossRef] [PubMed]
- Yu, Y.; Nie, X.; Zhao, Y.; Cao, W.; Xie, Y.; Peng, X.; Wang, X. Detection of pediatric drug-induced kidney injury signals using a hospital electronic medical record database. Front. Pharmacol. 2022, 13, 957980. [Google Scholar] [CrossRef]
- Perazella, M.A. Drug-induced acute kidney injury: Diverse mechanisms of tubular injury. Curr. Opin. Crit. Care 2019, 25, 550–557. [Google Scholar] [CrossRef] [PubMed]
- Redahan, L.; Murray, P.T. Biomarkers of drug-induced kidney injury. Curr. Opin. Crit. Care 2017, 23, 463–469. [Google Scholar] [CrossRef]
- Mohr, A.M.; Mott, J.L. Overview of microRNA biology. Semin. Liver Dis. 2015, 35, 3–11. [Google Scholar] [CrossRef]
- Baldassari, F.; Zerbinati, C.; Galasso, M.; Corra, F.; Minotti, L.; Agnoletto, C.; Previati, M.; Croce, C.M.; Volinia, S. Screen for MicroRNA and Drug Interactions in Breast Cancer Cell Lines Points to miR-126 as a Modulator of CDK4/6 and PIK3CA Inhibitors. Front. Genet. 2018, 9, 174. [Google Scholar] [CrossRef]
- Kabzinski, J.; Maczynska, M.; Majsterek, I. MicroRNA as a Novel Biomarker in the Diagnosis of Head and Neck Cancer. Biomolecules 2021, 11, 844. [Google Scholar] [CrossRef]
- Akram, F.; Atique, N.; Haq, I.U.; Ahmed, Z.; Jabbar, Z.; Nawaz, A.; Aqeel, A.; Akram, R. MicroRNA, a Promising Biomarker for Breast and Ovarian Cancer: A Review. Curr. Protein Pept. Sci. 2021, 22, 599–619. [Google Scholar] [CrossRef]
- Fan, P.C.; Chen, C.C.; Chen, Y.C.; Chang, Y.S.; Chu, P.H. MicroRNAs in acute kidney injury. Hum. Genom. 2016, 10, 29. [Google Scholar] [CrossRef]
- Wang, J.; Li, H.; Qiu, S.; Dong, Z.; Xiang, X.; Zhang, D. MBD2 upregulates miR-301a-5p to induce kidney cell apoptosis during vancomycin-induced AKI. Cell Death Dis. 2017, 8, e3120. [Google Scholar] [CrossRef] [PubMed]
- Kagawa, T.; Zárybnický, T.; Omi, T.; Shirai, Y.; Toyokuni, S.; Oda, S.; Yokoi, T. A scrutiny of circulating microRNA biomarkers for drug-induced tubular and glomerular injury in rats. Toxicology 2019, 415, 26–36. [Google Scholar] [CrossRef] [PubMed]
- Zhou, X.; Qu, Z.; Zhu, C.; Lin, Z.; Huo, Y.; Wang, X.; Wang, J.; Li, B. Identification of urinary microRNA biomarkers for detection of gentamicin-induced acute kidney injury in rats. Regul. Toxicol. Pharmacol. 2016, 78, 78–84. [Google Scholar] [CrossRef] [PubMed]
- Sun, B.; Zhou, X.; Qu, Z.; Sun, L.; Cheng, G.; Yang, Y.; Miao, Y.; Chen, X.; Li, B. Urinary biomarker evaluation for early detection of gentamycin-induced acute kidney injury. Toxicol. Lett. 2019, 300, 73–80. [Google Scholar] [CrossRef]
- Szklarczyk, D.; Gable, A.L.; Nastou, K.C.; Lyon, D.; Kirsch, R.; Pyysalo, S.; Doncheva, N.T.; Legeay, M.; Fang, T.; Bork, P.; et al. The STRING database in 2021: Customizable protein-protein networks, and functional characterization of user-uploaded gene/measurement sets. Nucleic Acids Res. 2021, 49, D605–D612. [Google Scholar] [CrossRef]
- Hu, B.; Ye, L.; Li, T.; Feng, Z.; Huang, L.; Guo, C.; He, L.; Tan, W.; Yang, G.; Li, Z.; et al. Drug-induced kidney injury in Chinese critically ill pediatric patients. Front. Pharmacol. 2022, 13, 993923. [Google Scholar] [CrossRef]
- Perazella, M.A.; Rosner, M.H. Drug-Induced Acute Kidney Injury. Clin. J. Am. Soc. Nephrol. 2022, 17, 1220–1233. [Google Scholar] [CrossRef]
- Yoon, S.Y.; Kim, J.S.; Jeong, K.H.; Kim, S.K. Acute Kidney Injury: Biomarker-Guided Diagnosis and Management. Medicina 2022, 58, 340. [Google Scholar] [CrossRef]
- Mori, M.A.; Ludwig, R.G.; Garcia-Martin, R.; Brandao, B.B.; Kahn, C.R. Extracellular miRNAs: From Biomarkers to Mediators of Physiology and Disease. Cell Metab. 2019, 30, 656–673. [Google Scholar] [CrossRef]
- Makarova, J.; Turchinovich, A.; Shkurnikov, M.; Tonevitsky, A. Extracellular miRNAs and Cell-Cell Communication: Problems and Prospects. Trends Biochem. Sci. 2021, 46, 640–651. [Google Scholar] [CrossRef]
- Martellucci, S.; Orefice, N.S.; Angelucci, A.; Luce, A.; Caraglia, M.; Zappavigna, S. Extracellular Vesicles: New Endogenous Shuttles for miRNAs in Cancer Diagnosis and Therapy? Int. J. Mol. Sci. 2020, 21, 6486. [Google Scholar] [CrossRef] [PubMed]
- Hill, A.F. Extracellular Vesicles and Neurodegenerative Diseases. J. Neurosci. 2019, 39, 9269–9273. [Google Scholar] [CrossRef] [PubMed]
- Aguilar-Hernandez, M.M.; Rincon Camacho, J.C.; Galicia Garcia, G. Extracellular vesicles and their associated miRNAs as potential prognostic biomarkers in chronic lymphocytic leukemia. Curr. Oncol. Rep. 2021, 23, 66. [Google Scholar] [CrossRef] [PubMed]
- Zhang, L.; Xu, Y.; Xue, S.; Wang, X.; Dai, H.; Qian, J.; Ni, Z.; Yan, Y. Implications of dynamic changes in miR-192 expression in ischemic acute kidney injury. Int. Urol. Nephrol. 2017, 49, 541–550. [Google Scholar] [CrossRef]
- Sun, S.Q.; Zhang, T.; Ding, D.; Zhang, W.F.; Wang, X.L.; Sun, Z.; Hu, L.H.; Qin, S.Y.; Shen, L.H.; He, B. Circulating MicroRNA-188, -30a, and -30e as Early Biomarkers for Contrast-Induced Acute Kidney Injury. J. Am. Heart Assoc. 2016, 5, e004138. [Google Scholar] [CrossRef] [PubMed]
- Chen, H.H.; Lan, Y.F.; Li, H.F.; Cheng, C.F.; Lai, P.F.; Li, W.H.; Lin, H. Urinary miR-16 transactivated by C/EBPβ reduces kidney function after ischemia/reperfusion-induced injury. Sci. Rep. 2016, 6, 27945. [Google Scholar] [CrossRef]
- Wang, Y.; Wang, L.; Yu, X.; Gong, W. MiR-30a-3p Targeting FLT1 Modulates Trophoblast Cell Proliferation in the Pathogenesis of Preeclampsia. Horm. Metab. Res. 2022, 54, 633–640. [Google Scholar] [CrossRef]
- Phulkerd, T.; Lertussavavivat, T.; Limothai, U.; Peerapornratana, S.; Kulvichit, W.; Lumlertgul, N.; Tungsanga, K.; Eiam-Ong, S.; Avihingsanon, Y.; Srisawat, N. Circulating and urinary microRNAs profile for predicting renal recovery from severe acute kidney injury. J. Intensive Care 2022, 10, 45. [Google Scholar] [CrossRef]
- Song, Y.; Kelava, L.; Zhang, L.; Kiss, I. Microarray data analysis to identify miRNA biomarkers and construct the lncRNA-miRNA-mRNA network in lung adenocarcinoma. Medicine 2022, 101, e30393. [Google Scholar] [CrossRef]
- Zhang, Y.; Sui, J.; Shen, X.; Li, C.; Yao, W.; Hong, W.; Peng, H.; Pu, Y.; Yin, L.; Liang, G. Differential expression profiles of microRNAs as potential biomarkers for the early diagnosis of lung cancer. Oncol. Rep. 2017, 37, 3543–3553. [Google Scholar] [CrossRef]
- Marie, Y.; Fabrega, S.; Blanchard, A.; Bouligand, J.; Kamenickỷ, P.; Crambert, G.; Martinerie, L.; Lombès, M.; Viengchareun, S. miR-324-5p and miR-30c-2-3p Alter Renal Mineralocorticoid Receptor Signaling under Hypertonicity. Cells 2022, 11, 1377. [Google Scholar] [CrossRef]
- Cavallari, I.; Ciccarese, F.; Sharova, E.; Urso, L.; Raimondi, V.; Silic-Benussi, M.; D’Agostino, D.M.; Ciminale, V. The miR-200 Family of microRNAs: Fine Tuners of Epithelial-Mesenchymal Transition and Circulating Cancer Biomarkers. Cancers 2021, 13, 5874. [Google Scholar] [CrossRef] [PubMed]
- Li, Z.; Wang, Y.; Liu, S.; Li, W.; Wang, Z.; Jia, Z.; Zhu, Z.; Bao, Y. MiR-200a-3p promotes gastric cancer progression by targeting DLC-1. J. Mol. Histol. 2022, 53, 39–49. [Google Scholar] [CrossRef] [PubMed]
- Zhou, Z.; Ma, J. miR-378 serves as a prognostic biomarker in cholangiocarcinoma and promotes tumor proliferation, migration, and invasion. Cancer Biomark. Sect. A Dis. Markers 2019, 24, 173–181. [Google Scholar] [CrossRef]
- Ye, Y.; Zhang, F.; Chen, Q.; Huang, Z.; Li, M. LncRNA MALAT1 modified progression of clear cell kidney carcinoma (KIRC) by regulation of miR-194-5p/ACVR2B signaling. Mol. Carcinog. 2019, 58, 279–292. [Google Scholar] [CrossRef]
- Wang, T.; Li, W.; Li, H.; Li, W. Dysregulation of exosomal miR-192 and miR-194 expression in lung adenocarcinoma patients. Saudi J. Biol. Sci. 2021, 28, 1561–1568. [Google Scholar] [CrossRef]
- Lorenzen, J.M.; Kielstein, J.T.; Hafer, C.; Gupta, S.K.; Kumpers, P.; Faulhaber-Walter, R.; Haller, H.; Fliser, D.; Thum, T. Circulating miR-210 predicts survival in critically ill patients with acute kidney injury. Clin. J. Am. Soc. Nephrol. 2011, 6, 1540–1546. [Google Scholar] [CrossRef]
- Wang, H.; Peng, W.; Ouyang, X.; Dai, Y. Reduced circulating miR-15b is correlated with phosphate metabolism in patients with end-stage renal disease on maintenance hemodialysis. Ren. Fail. 2012, 34, 685–690. [Google Scholar] [CrossRef]
- Russell, S.A.; Bashaw, G.J. Axon guidance pathways and the control of gene expression. Dev. Dyn. Off. Publ. Am. Assoc. Anat. 2018, 247, 571–580. [Google Scholar] [CrossRef]
- Dominguez-Romero, M.E.; Slater, P.G. Unraveling Axon Guidance during Axotomy and Regeneration. Int. J. Mol. Sci. 2021, 22, 8344. [Google Scholar] [CrossRef]
- Waters, B.J.; Blum, B. Axon Guidance Molecules in the Islets of Langerhans. Front. Endocrinol. 2022, 13, 869780. [Google Scholar] [CrossRef] [PubMed]
- Damo, E.; Simonetti, M. Axon Guidance Molecules and Pain. Cells 2022, 11, 3143. [Google Scholar] [CrossRef] [PubMed]
- Jurcak, N.R.; Rucki, A.A.; Muth, S.; Thompson, E.; Sharma, R.; Ding, D.; Zhu, Q.; Eshleman, J.R.; Anders, R.A.; Jaffee, E.M.; et al. Axon Guidance Molecules Promote Perineural Invasion and Metastasis of Orthotopic Pancreatic Tumors in Mice. Gastroenterology 2019, 157, 838–850. [Google Scholar] [CrossRef] [PubMed]
- Suleiman, H.Y.; Roth, R.; Jain, S.; Heuser, J.E.; Shaw, A.S.; Miner, J.H. Injury-induced actin cytoskeleton reorganization in podocytes revealed by super-resolution microscopy. JCI Insight 2017, 2, e94137. [Google Scholar] [CrossRef]
- Owusu Obeng, E.; Rusciano, I.; Marvi, M.V.; Fazio, A.; Ratti, S.; Follo, M.Y.; Xian, J.; Manzoli, L.; Billi, A.M.; Mongiorgi, S.; et al. Phosphoinositide-Dependent Signaling in Cancer: A Focus on Phospholipase C Isozymes. Int. J. Mol. Sci. 2020, 21, 2581. [Google Scholar] [CrossRef] [PubMed]
- Salaritabar, A.; Berindan-Neagoe, I.; Darvish, B.; Hadjiakhoondi, F.; Manayi, A.; Devi, K.P.; Barreca, D.; Orhan, I.E.; Suntar, I.; Farooqi, A.A.; et al. Targeting Hedgehog signaling pathway: Paving the road for cancer therapy. Pharmacol. Res. 2019, 141, 466–480. [Google Scholar] [CrossRef] [PubMed]
- Rains, J.L.; Jain, S.K. Oxidative stress, insulin signaling, and diabetes. Free. Radic. Biol. Med. 2011, 50, 567–575. [Google Scholar] [CrossRef]
- Jin, X.; Chu, Q.; Sun, L.; Tran, M.; Wang, Y. Phosphoinositide 3 Kinase γ Plays a Critical Role in Acute Kidney Injury. Cells 2022, 11, 772. [Google Scholar] [CrossRef]
- An, C.; Wen, J.; Hu, Z.; Mitch, W.E.; Wang, Y. Phosphoinositide 3-kinase γ deficiency attenuates kidney injury and fibrosis in angiotensin II-induced hypertension. Nephrol. Dial. Transpl. 2020, 35, 1491–1500. [Google Scholar] [CrossRef]
- Edeling, M.; Ragi, G.; Huang, S.; Pavenstädt, H.; Susztak, K. Developmental signalling pathways in renal fibrosis: The roles of Notch, Wnt and Hedgehog. Nat. Rev. Nephrol. 2016, 12, 426–439. [Google Scholar] [CrossRef]
- Fang, Q.; Zhang, Y.; Jiang, D.S.; Chen, Y. Hydroxytyrosol inhibits apoptosis in ischemia/reperfusion-induced acute kidney injury via activating Sonic Hedgehog signaling pathway. Eur. Rev. Med. Pharmacol. Sci. 2020, 24, 12380–12388. [Google Scholar] [CrossRef] [PubMed]
- Zhuo, H.; Zhou, D.; Wang, Y.; Mo, H.; Yu, Y.; Liu, Y. Sonic hedgehog selectively promotes lymphangiogenesis after kidney injury through noncanonical pathway. Am. J. Physiol. Ren. Physiol. 2019, 317, F1022–F1033. [Google Scholar] [CrossRef] [PubMed]
- Jurek, B.; Neumann, I.D. The Oxytocin Receptor: From Intracellular Signaling to Behavior. Physiol. Rev. 2018, 98, 1805–1908. [Google Scholar] [CrossRef] [PubMed]
- Zhou, Y.; Chang, H.; Yang, B. GATA4 is upregulated in nasopharyngeal cancer and facilitates epithelial-mesenchymal transition and metastasis through regulation of SLUG. Exp. Ther. Med. 2018, 16, 5318–5326. [Google Scholar] [CrossRef]
- Arroyo, N.; Villamayor, L.; Díaz, I.; Carmona, R.; Ramos-Rodríguez, M.; Muñoz-Chápuli, R.; Pasquali, L.; Toscano, M.G.; Martín, F.; Cano, D.A.; et al. GATA4 induces liver fibrosis regression by deactivating hepatic stellate cells. JCI Insight 2021, 6, e150059. [Google Scholar] [CrossRef] [PubMed]
- Scheurlen, K.M.; Chariker, J.H.; Kanaan, Z.; Littlefield, A.B.; George, J.B.; Seraphine, C.; Rochet, A.; Rouchka, E.C.; Galandiuk, S. The NOTCH4-GATA4-IRG1 axis as a novel target in early-onset colorectal cancer. Cytokine Growth Factor Rev. 2022, 67, 25–34. [Google Scholar] [CrossRef] [PubMed]
- Khazaeli Najafabadi, M.; Mirzaeian, E.; Memar Montazerin, S.; Tavangar, A.R.; Tabary, M.; Tavangar, S.M. Role of GATA3 in tumor diagnosis: A review. Pathol. Res. Pract. 2021, 226, 153611. [Google Scholar] [CrossRef]
- Al-Jaber, H.; Mohamed, N.A.; Govindharajan, V.K.; Taha, S.; John, J.; Halim, S.; Alser, M.; Al-Muraikhy, S.; Anwardeen, N.R.; Agouni, A.; et al. In Vitro and In Vivo Validation of GATA-3 Suppression for Induction of Adipogenesis and Improving Insulin Sensitivity. Int. J. Mol. Sci. 2022, 23, 11142. [Google Scholar] [CrossRef]
- Sun, Y.; Liu, W.Z.; Liu, T.; Feng, X.; Yang, N.; Zhou, H.F. Signaling pathway of MAPK/ERK in cell proliferation, differentiation, migration, senescence and apoptosis. J. Recept. Signal Transduct. Res. 2015, 35, 600–604. [Google Scholar] [CrossRef]
- Liu, D.; Liu, F.; Li, Z.; Pan, S.; Xie, J.; Zhao, Z.; Liu, Z.; Zhang, J.; Liu, Z. HNRNPA1-mediated exosomal sorting of miR-483-5p out of renal tubular epithelial cells promotes the progression of diabetic nephropathy-induced renal interstitial fibrosis. Cell Death Dis. 2021, 12, 255. [Google Scholar] [CrossRef]
- Li, T.; Jian, X.; He, H.; Lai, Q.; Li, X.; Deng, D.; Liu, T.; Zhu, J.; Jiao, H.; Ye, Y.; et al. MiR-452 promotes an aggressive colorectal cancer phenotype by regulating a Wnt/beta-catenin positive feedback loop. J. Exp. Clin. Cancer Res. 2018, 37, 238. [Google Scholar] [CrossRef] [PubMed]
- Liu, Z.; Yang, D.; Gao, J.; Xiang, X.; Hu, X.; Li, S.; Wu, W.; Cai, J.; Tang, C.; Zhang, D.; et al. Discovery and validation of miR-452 as an effective biomarker for acute kidney injury in sepsis. Theranostics 2020, 10, 11963–11975. [Google Scholar] [CrossRef] [PubMed]
- Gutierrez-Escolano, A.; Santacruz-Vazquez, E.; Gomez-Perez, F. Dysregulated microRNAs involved in contrast-induced acute kidney injury in rat and human. Ren. Fail. 2015, 37, 1498–1506. [Google Scholar] [CrossRef]
- Pan, Y.J.; Zhuang, Y.; Zheng, J.N.; Pei, D.S. MiR-106a: Promising biomarker for cancer. Bioorg. Med. Chem. Lett. 2016, 26, 5373–5377. [Google Scholar] [CrossRef] [PubMed]
- Xiao, B.; Wang, L.N.; Li, W.; Gong, L.; Yu, T.; Zuo, Q.F.; Zhao, H.W.; Zou, Q.M. Plasma microRNA panel is a novel biomarker for focal segmental glomerulosclerosis and associated with podocyte apoptosis. Cell Death Dis. 2018, 9, 533. [Google Scholar] [CrossRef] [PubMed]
- Ali, H.E.A.; Emam, A.A.; Zeeneldin, A.A.; Srour, R.; Tabashy, R.; El-Desouky, E.D.; Abd Elmageed, Z.Y.; Abdel-Wahab, A.A. Circulating miR-26a, miR-106b, miR-107 and miR-133b stratify hepatocellular carcinoma patients according to their response to transarterial chemoembolization. Clin. Biochem. 2019, 65, 45–52. [Google Scholar] [CrossRef]





| Histopathological Change | Control | Experimental | ||
|---|---|---|---|---|
| Day 3 | Day 6 | Day 12 | ||
| Tubular cell degeneration/necrosis | no lesion (5/5) | no lesion (5/5) | no lesion (1/5) | minimal (1/5) |
| minimal (4/5) | mild (4/5) | |||
| Tubular cell hyaline droplet | no lesion (5/5) | no lesion (5/5) | no lesion (3/5) | |
| minimal (2/5) | mild (5/5) | |||
| No. | miR-ID | Expression | Log2 Fold Change | p-Value | |
|---|---|---|---|---|---|
| Day 6 vs. Day 3 | Day 12 vs. Day 6 | ||||
| 1 | cfa-miR-30a-3p | UP | 2.06 | 0.39 | 3.06 × 10−4 |
| 2 | cfa-miR-200a-3p | UP | 1.51 | 0.50 | 3.82 × 10−4 |
| 3 | cfa-miR-192 | Up | 1.26 | 0.43 | 3.50 × 10−3 |
| 4 | cfa-miR-10b | Up | 3.37 | 0.10 | 6.72 × 10−3 |
| 5 | cfa-miR-378 | Up | 2.00 | 1.48 | 7.55 × 10−3 |
| 6 | cfa-miR-194 | Up | 2.18 | 0.08 | 8.76 × 10−3 |
| 7 | cfa-miR-30a | UP | 0.75 | 0.46 | 9.85 × 10−3 |
| 8 | cfa-miR-200c | UP | 1.12 | 1.20 | 1.36 × 10−2 |
| 9 | cfa-miR-30c-2-3p | Up | 2.08 | 0.08 | 2.10 × 10−2 |
| 10 | cfa-miR-452 | UP | 2.02 | 0.29 | 2.63 × 10−2 |
| 11 | cfa-miR-106b | Down | −2.08 | −0.02 | 1.53 × 10−6 |
| 12 | cfa-miR-16 | Down | −1.52 | −0.03 | 7.49 × 10−6 |
| 13 | cfa-miR-15b-3p | Down | −1.63 | −0.45 | 5.69 × 10−5 |
| 14 | cfa-miR-15b | Down | −1.38 | −0.05 | 1.68 × 10−4 |
| 15 | cfa-miR-18a | Down | −1.54 | −0.76 | 1.77 × 10−4 |
| 16 | cfa-miR-106a | Down | −1.39 | −0.44 | 1.28 × 10−3 |
| 17 | cfa-miR-142 | Down | −1.18 | −0.06 | 1.38 × 10−3 |
| 18 | cfa-miR-26a | Down | −1.04 | −0.99 | 1.22 × 10−2 |
| 19 | cfa-miR-424-5p | Down | −1.46 | −0.24 | 3.81 × 10−2 |
| 20 | cfa-miR-101 | Down | −0.57 | −0.40 | 3.06 × 10−4 |
| GO Categories | GO Term | GO ID |
|---|---|---|
| Biological Process | Regulation of transcription | 0006355 |
| Intracellular signal transduction | 0035556 | |
| Positive regulation of cell proliferation | 0008284 | |
| Phosphorylation | 0016310 | |
| Positive regulation of cell migration | 0030335 | |
| Receptor localization to synapse | 0097120 | |
| Regulation of gastrulation | 0010470 | |
| Protein autoubiquitination | 0051865 | |
| Regulation of epithelial to mesenchymal transition | 0010717 | |
| Protein localization to plasma membrane | 0072659 | |
| Cellular Components | Actin cytoskeleton | 0015629 |
| Cytoplasm | 0005737 | |
| Transcription factor binding | 0008134 | |
| Nucleoplasm | 0005654 | |
| Intracellular | 0005622 | |
| Early endosome | 0005769 | |
| PcG protein complex | 0031519 | |
| Cell–cell junction | 0005911 | |
| Cytosol | 0005829 | |
| Lamellipodium | 0030027 | |
| Molecular Functions | Sequence-specific DNA binding transcription factor activity | 0003700 |
| Metal ion binding | 0046872 | |
| Nucleic acid binding | 0003676 | |
| Syntaxin binding | 0019905 | |
| Rab guanyl-nucleotide exchange factor activity | 0017112 | |
| Receptor signaling protein serine/threonine kinase activity | 0004702 | |
| RNA polymerase II regulatory region sequence-specific DNA binding | 0000977 | |
| Histone deacetylase binding | 0042826 | |
| Zinc ion binding | 0008270 | |
| Cytoskeletal protein binding | 0008092 |
| KEGG Pathway | KEGG ID |
|---|---|
| Axon guidance | ko04360 |
| Phosphatidylinositol signaling pathway | ko04360 |
| Insulin signaling pathway | ko04910 |
| Fc gamma R-mediated phagocytosis | ko04666 |
| Oxytocin signaling pathway | ko04921 |
| Circadian rhythm | ko04710 |
| Bacterial invasion of epithelial cells | ko05100 |
| Proteoglycans in cancer | ko05205 |
| Hedgehog signaling pathway | ko04340 |
| Regulation of actin cytoskeleton | ko04810 |
| Up-Regulated miRNAs | Down-Regulated miRNAs | ||
|---|---|---|---|
| Gene Symbol | Degree | Gene Symbol | Degree |
| GATA4 | 58 | MAPK1 | 336 |
| GATA3 | 53 | PHLPP2 | 277 |
| TRPS1 | 51 | EHMT2 | 239 |
| CAPN7 | 48 | RAC1 | 229 |
| IGF1R | 44 | RHOC | 201 |
| LYN | 37 | ACTL7B | 197 |
| RPS6KA2 | 35 | GSK3B | 192 |
| ERBB4 | 34 | PIKFYVE | 186 |
| RPS6KA3 | 33 | KRAS | 185 |
| RAP2C | 32 | FYN | 179 |
Disclaimer/Publisher’s Note: The statements, opinions and data contained in all publications are solely those of the individual author(s) and contributor(s) and not of MDPI and/or the editor(s). MDPI and/or the editor(s) disclaim responsibility for any injury to people or property resulting from any ideas, methods, instructions or products referred to in the content. |
© 2023 by the authors. Licensee MDPI, Basel, Switzerland. This article is an open access article distributed under the terms and conditions of the Creative Commons Attribution (CC BY) license (https://creativecommons.org/licenses/by/4.0/).
Share and Cite
Sun, B.; Chen, L.; Qu, Z.; Yang, Y.-W.; Miao, Y.-F.; Wang, R.-L.; Zhou, X.-B.; Li, B. Screening Differential Expression Profiles of Urinary microRNAs in a Gentamycin-Induced Acute Kidney Injury Canine Model. Kidney Dial. 2023, 3, 204-218. https://doi.org/10.3390/kidneydial3020019
Sun B, Chen L, Qu Z, Yang Y-W, Miao Y-F, Wang R-L, Zhou X-B, Li B. Screening Differential Expression Profiles of Urinary microRNAs in a Gentamycin-Induced Acute Kidney Injury Canine Model. Kidney and Dialysis. 2023; 3(2):204-218. https://doi.org/10.3390/kidneydial3020019
Chicago/Turabian StyleSun, Bo, Liang Chen, Zhe Qu, Yan-Wei Yang, Yu-Fa Miao, Rui-Li Wang, Xiao-Bing Zhou, and Bo Li. 2023. "Screening Differential Expression Profiles of Urinary microRNAs in a Gentamycin-Induced Acute Kidney Injury Canine Model" Kidney and Dialysis 3, no. 2: 204-218. https://doi.org/10.3390/kidneydial3020019
APA StyleSun, B., Chen, L., Qu, Z., Yang, Y.-W., Miao, Y.-F., Wang, R.-L., Zhou, X.-B., & Li, B. (2023). Screening Differential Expression Profiles of Urinary microRNAs in a Gentamycin-Induced Acute Kidney Injury Canine Model. Kidney and Dialysis, 3(2), 204-218. https://doi.org/10.3390/kidneydial3020019
