Intra-Abdominal Hemorrhage Due to Spontaneous Urinary Bladder Diverticulum Rupture in a Female: An Autopsy Case Report and Brief Review of the Literature
Abstract
1. Introduction
2. Materials and Methods
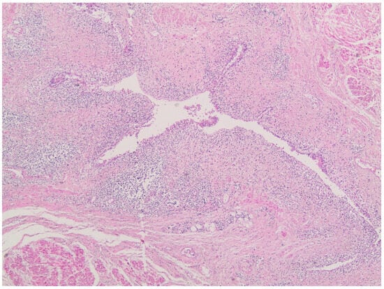
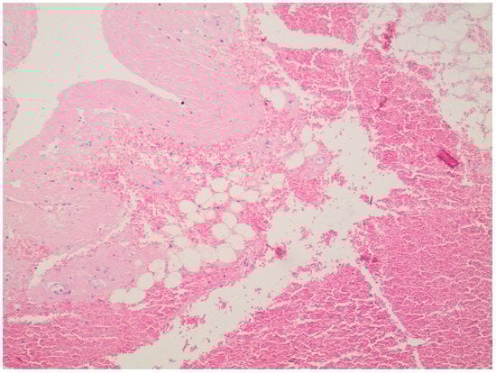
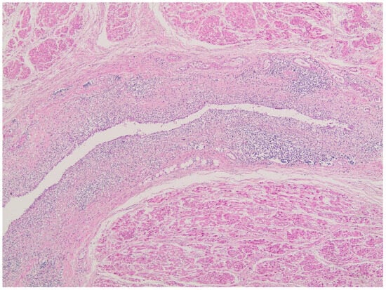
3. Case Presentation
4. Discussion
5. Conclusions
6. Limitations
Author Contributions
Funding
Institutional Review Board Statement
Informed Consent Statement
Data Availability Statement
Conflicts of Interest
References
- Cardoso, V.S.; Sousa, M.; Campos Costa, F.; Pinto Goncalves, P.; Guerreiro, J.M. Spontaneous Rupture of a Urinary Bladder Diverticulum in Women: A Rare Cause of an Acute Abdomen. Cureus 2023, 15, e42622. [Google Scholar] [CrossRef] [PubMed]
- Barber, K.E.; Kerr, J.E., Jr. A urinary bladder diverticulum; case report. Q. Bull. Northwest Univ. Med. Sch. 1957, 31, 195–197. [Google Scholar] [PubMed]
- Kwan, D.J.; Lowe, F.C. Congenital bladder diverticulum: An unusual presentation with abdominal mass, urinary retention, and renal failure in a young adult. Urol. Radiol. 1992, 14, 194–196. [Google Scholar] [CrossRef] [PubMed]
- Matkovic, A.; Ferenc, T.; Jurjevic, N.; Brkic, F.; Kavur, L.; Jurenec, F.; Muzinic, D.; Vidjak, V. Urothelial carcinoma in a urinary bladder diverticulum: A case report and review of the literature. Radiol. Case Rep. 2023, 18, 1169–1174. [Google Scholar] [CrossRef]
- Nabavizadeh, R.; Nabavizadeh, B.; Hampton, L.J.; Nabavizadeh, A. Herniation of a urinary bladder diverticulum: Diagnosis and management of a fluctuating inguinal mass. BMJ Case Rep. 2017, 2017, bcr2016217947. [Google Scholar] [CrossRef]
- Anderson, K.M.; Herring, J.C. A Jackstone Calculus Residing in a Urinary Bladder Diverticulum. Cureus 2022, 14, e30140. [Google Scholar] [CrossRef]
- Janardanan, S.; Nigam, A.; Moschonas, D.; Perry, M.; Patil, K. Urinary Bladder Diverticulum: A Single-Center Experience in the Management of Refractory Lower Urinary Symptoms Using a Robotic Platform. Cureus 2023, 15, e42354. [Google Scholar] [CrossRef]
- Jo, W.J.; Yoon, Y.S.; Kim, E.S.; Choi, J.H.; Lee, K.J. Asymptomatic Bladder Diverticulum Can Develop New Urinary Symptoms after a New Onset of Stroke: A Case Report. Brain Neurorehabil. 2020, 13, e5. [Google Scholar] [CrossRef]
- Aslam, F.; Syed, J.A.; Nadeem, N.; Hussain, S. Acute urinary retention as a result of a bladder diverticulum. Int. J. Urol. 2006, 13, 628–630. [Google Scholar] [CrossRef]
- Omari, A.H.; Alghazo, M.A. Urinary bladder diverticulum as a content of femoral hernia: A case report and review of literature. World J. Emerg. Surg. WJES 2013, 8, 20. [Google Scholar] [CrossRef]
- Zhang, Y.; Yuan, S.; Alshayyah, R.W.A.; Liu, W.; Yu, Y.; Shen, C.; Lv, H.; Wen, L.; He, Y.; Yang, B. Spontaneous Rupture of Urinary Bladder: Two Case Reports and Review of Literature. Front. Surg. 2021, 8, 721705. [Google Scholar] [CrossRef] [PubMed]
- Yovchevski, P.; Kostov, K. Acquired nonobstructive urinary bladder diverticulum: A case report. Cases J. 2009, 2, 36. [Google Scholar] [CrossRef] [PubMed]
- Zimmermann, O.; Torzewski, J.; Reichenbach-Klinke, E.; Zenk, C. Large diverticulum of the urinary bladder: A rare cause of deep vein thrombosis with consecutive pulmonary embolism. Can. Urol. Assoc. J. = J. De L’association Des Urol. Du Can. 2015, 9, E321–E323. [Google Scholar] [CrossRef][Green Version]
- Howarth, V.S. Carcinoma arising in a diverticulum of the urinary bladder. Aust. N. Z. J. Surg. 1949, 19, 169–171, illust. [Google Scholar] [CrossRef] [PubMed]
- Shukla, A.R.; Bellah, R.A.; Canning, D.A.; Carr, M.C.; Snyder, H.M.; Zderic, S.A. Giant bladder diverticula causing bladder outlet obstruction in children. J. Urol. 2004, 172, 1977–1979. [Google Scholar] [CrossRef] [PubMed]
- Ibrahimi, A.; Kallat, A.; Ziani, I.; El Sayegh, H.; Benslimane, L.; Nouini, Y. Spontaneous Intraperitoneal Rupture of Bladder Diverticulum: A Rare Cause of Peritonitis. Case Rep. Urol. 2020, 2020, 8880748. [Google Scholar] [CrossRef]
- Hindricks, G.; Potpara, T.; Dagres, N.; Arbelo, E.; Bax, J.J.; Blomstrom-Lundqvist, C.; Boriani, G.; Castella, M.; Dan, G.A.; Dilaveris, P.E.; et al. 2020 ESC Guidelines for the diagnosis and management of atrial fibrillation developed in collaboration with the European Association for Cardio-Thoracic Surgery (EACTS): The Task Force for the diagnosis and management of atrial fibrillation of the European Society of Cardiology (ESC) Developed with the special contribution of the European Heart Rhythm Association (EHRA) of the ESC. Eur. Heart J. 2021, 42, 373–498. [Google Scholar] [CrossRef]
- Boriani, G.; Bonini, N.; Imberti, J.F.; Vitolo, M.; Gerra, L.; Mantovani, M.; Serafini, K.; Birtolo, C.; Tartaglia, E.; Mei, D.A. Clinical decisions for appropriate management of patients with atrial fibrillation. Panminerva Med. 2024. [Google Scholar] [CrossRef]
- Rus, M.; Ardelean, A.I.; Crisan, S.; Marian, P.; Pobirci, O.L.; Huplea, V.; Judea Pusta, C.; Osiceanu, G.A.; Stanis, C.E.; Andronie-Cioara, F.L. Optimizing Atrial Fibrillation Care: Comparative Assessment of Anticoagulant Therapies and Risk Factors. Clin. Pract. 2024, 14, 344–360. [Google Scholar] [CrossRef]
- Olie, R.H.; Winckers, K.; Rocca, B.; Ten Cate, H. Oral Anticoagulants Beyond Warfarin. Annu. Rev. Pharmacol. Toxicol. 2024, 64, 551–575. [Google Scholar] [CrossRef]
- Aoki, Y.; Nata, M.; Hashiyada, M.; Sagisaka, K. Laceration of the liver with delayed massive intra-abdominal hemorrhage: A case report of child abuse. Nihon Hoigaku Zasshi = Jpn. J. Leg. Med. 1997, 51, 44–47. [Google Scholar]
- Watanabe, T.; Tajima, K.; Shimomura, T.; Suenaga, Y.; Murase, M. Intra-abdominal bleeding after repair of total anomalous pulmonary venous connection. Thorac. Cardiovasc. Surg. 1997, 45, 207–209. [Google Scholar] [CrossRef] [PubMed]
- Pignotti, M.S.; Fiorini, P.; Donzelli, G.; Messineo, A. Neonatal hemoperitoneum: Unexpected birth trauma with fatal consequences. J. Clin. Neonatol. 2013, 2, 143–145. [Google Scholar] [CrossRef] [PubMed]
- Nosaka, T.; Hiramatsu, K.; Nemoto, T.; Saito, Y.; Ozaki, Y.; Takahashi, K.; Naito, T.; Ofuji, K.; Matsuda, H.; Ohtani, M.; et al. Ruptured hepatic metastases of cutaneous melanoma during treatment with vemurafenib: An autopsy case report. BMC Clin. Pathol. 2015, 15, 15. [Google Scholar] [CrossRef] [PubMed]
- Martínez-Acitores, D.; Hernández Ainsa, M.; Cortés García, L.; Bengochea Martínez, M.L.; Palacios Fanlo, M.J. Ectopic hepatocellular carcinoma arising from the peritoneum. Rev. Esp. Enferm Dig. 2019, 111, 809–811. [Google Scholar] [CrossRef]
- Moreira, P.C.; Santos, A. Sudden death secondary to acute aortic syndromes in the North of Portugal: Medico-legal study. Rev. Port. Cir. Cardiotorac. Vasc. 2013, 20, 191–198. [Google Scholar]





| Disclaimer/Publisher’s Note: The statements, opinions and data contained in all publications are solely those of the individual author(s) and contributor(s) and not of MDPI and/or the editor(s). MDPI and/or the editor(s) disclaim responsibility for any injury to people or property resulting from any ideas, methods, instructions or products referred to in the content. | 
© 2024 by the authors. Licensee MDPI, Basel, Switzerland. This article is an open access article distributed under the terms and conditions of the Creative Commons Attribution (CC BY) license (https://creativecommons.org/licenses/by/4.0/).
Share and Cite
Ketsekioulafis, I.; Katsos, K.; Kouzos, D.; Vlachodimitropoulos, D.; Goutas, N.; Spiliopoulou, C.; Sakelliadis, E.I. Intra-Abdominal Hemorrhage Due to Spontaneous Urinary Bladder Diverticulum Rupture in a Female: An Autopsy Case Report and Brief Review of the Literature. Forensic Sci. 2024, 4, 432-440. https://doi.org/10.3390/forensicsci4030027
Ketsekioulafis I, Katsos K, Kouzos D, Vlachodimitropoulos D, Goutas N, Spiliopoulou C, Sakelliadis EI. Intra-Abdominal Hemorrhage Due to Spontaneous Urinary Bladder Diverticulum Rupture in a Female: An Autopsy Case Report and Brief Review of the Literature. Forensic Sciences. 2024; 4(3):432-440. https://doi.org/10.3390/forensicsci4030027
Chicago/Turabian StyleKetsekioulafis, Ioannis, Konstantinos Katsos, Dimitrios Kouzos, Dimitrios Vlachodimitropoulos, Nikolaos Goutas, Chara Spiliopoulou, and Emmanouil I. Sakelliadis. 2024. "Intra-Abdominal Hemorrhage Due to Spontaneous Urinary Bladder Diverticulum Rupture in a Female: An Autopsy Case Report and Brief Review of the Literature" Forensic Sciences 4, no. 3: 432-440. https://doi.org/10.3390/forensicsci4030027
APA StyleKetsekioulafis, I., Katsos, K., Kouzos, D., Vlachodimitropoulos, D., Goutas, N., Spiliopoulou, C., & Sakelliadis, E. I. (2024). Intra-Abdominal Hemorrhage Due to Spontaneous Urinary Bladder Diverticulum Rupture in a Female: An Autopsy Case Report and Brief Review of the Literature. Forensic Sciences, 4(3), 432-440. https://doi.org/10.3390/forensicsci4030027
 
        



