Abdominal Lymphadenopathy: Hypothesize Cat-Scratch Disease and Avoid Abdominal Excisional Biopsy
Abstract
1. Introduction
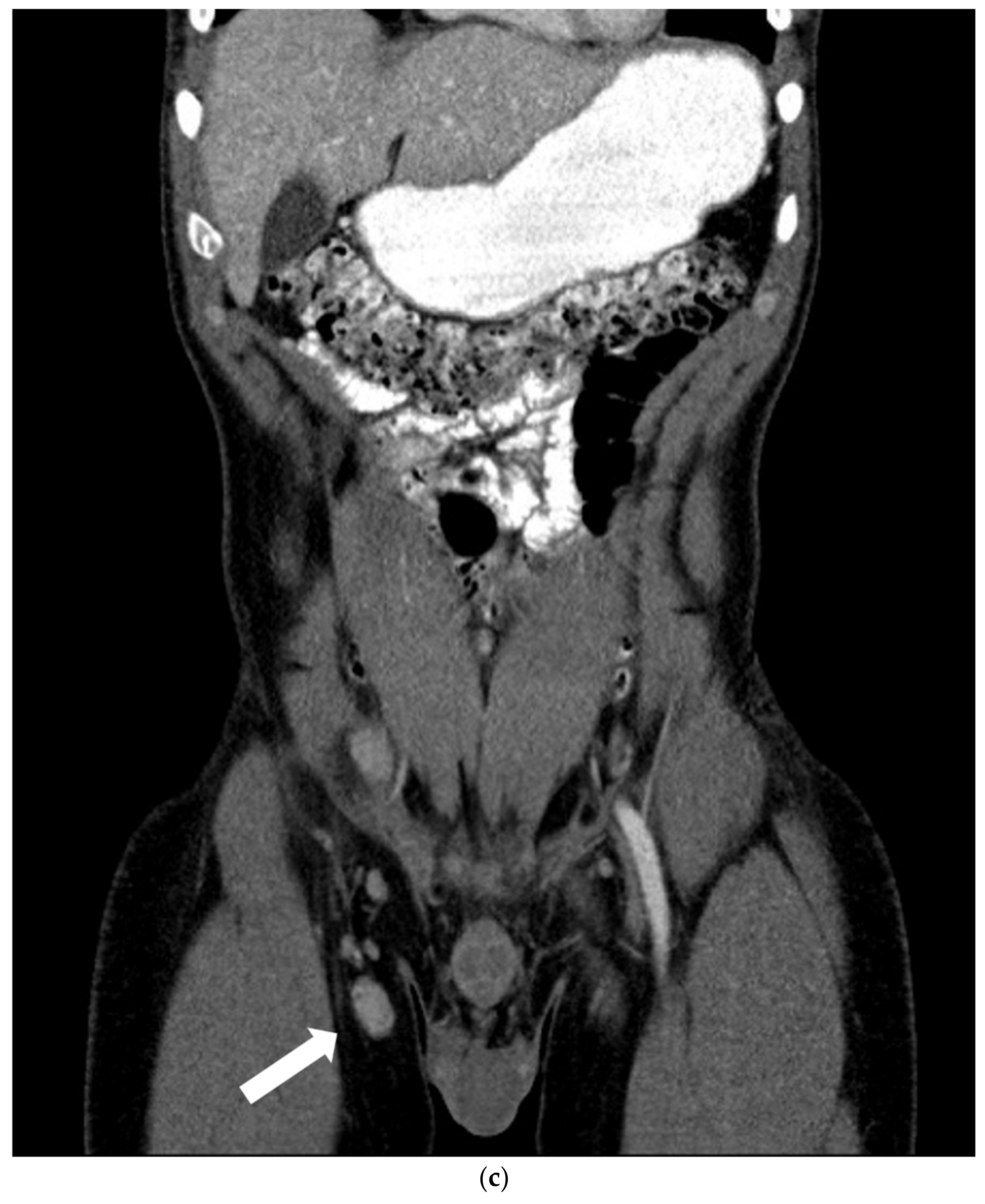
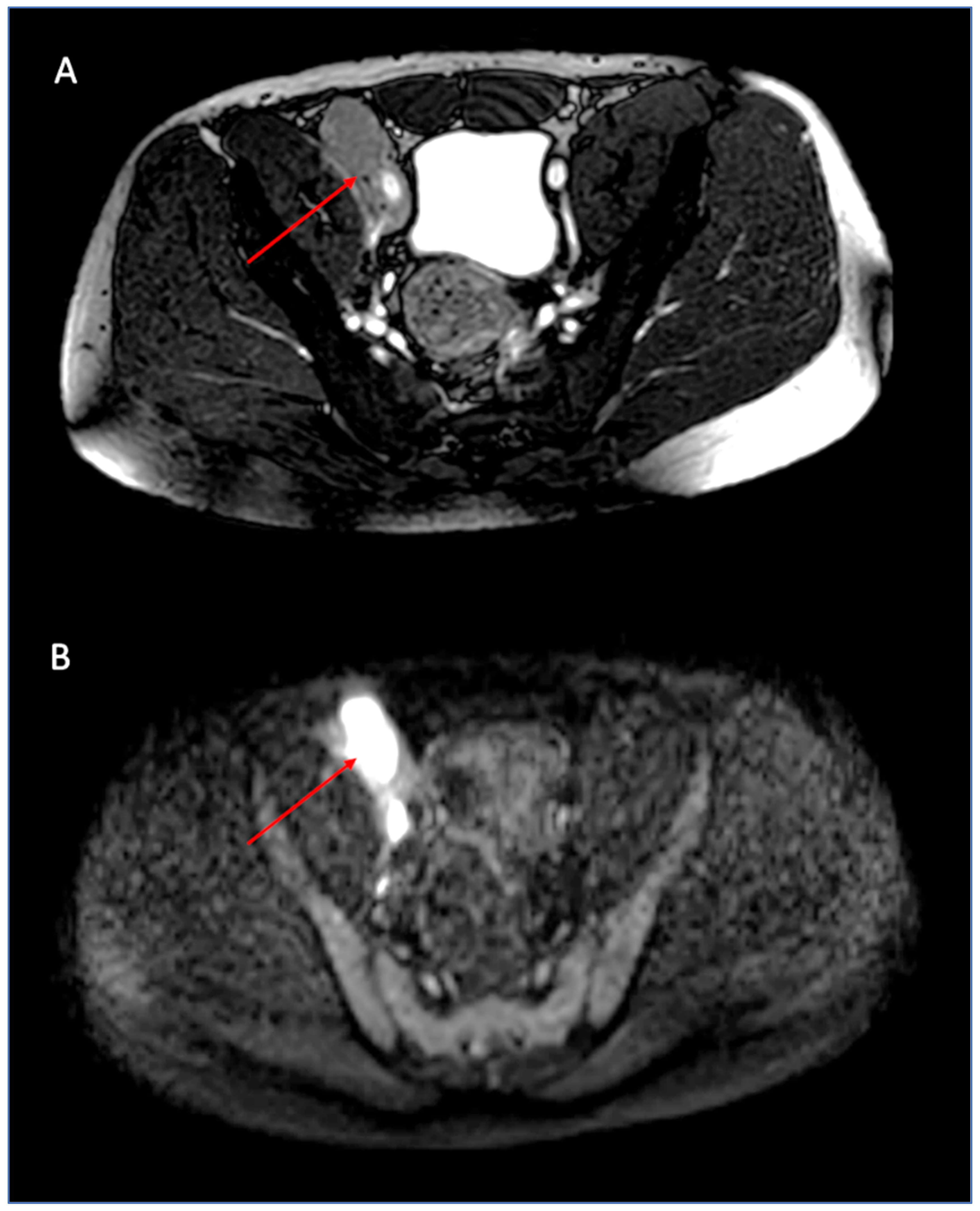
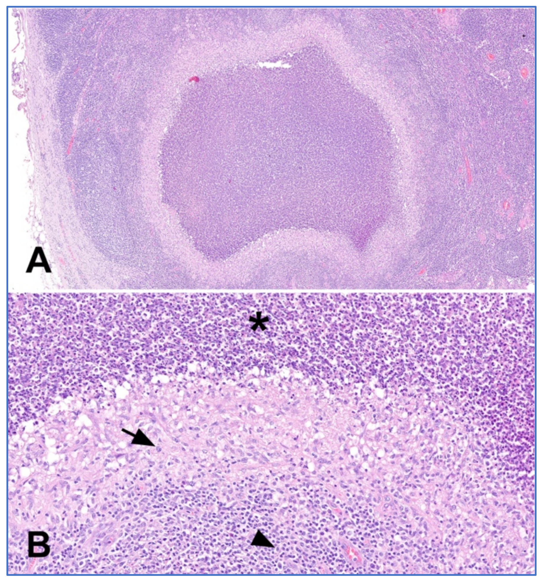
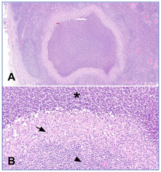
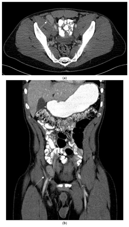
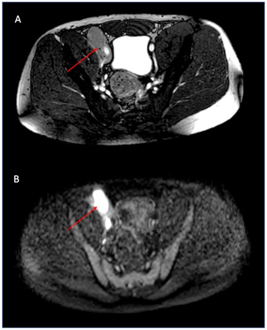
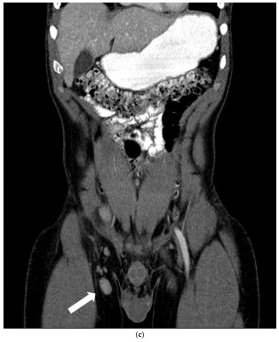
2. Case Report
3. Discussion and Conclusions
Author Contributions
Funding
Institutional Review Board Statement
Informed Consent Statement
Data Availability Statement
Conflicts of Interest
Correction Statement
References
- Klotz, S.A.; Ianas, V.; Elliott, S.P. Cat-scratch Disease. Am. Fam. Physician 2011, 83, 152–155. [Google Scholar] [PubMed]
- Avvisati, G. Ematologia di Mandelli; Piccin: Padova, Italy, 2019. [Google Scholar]
- Ferrer, R. Lymphadenopathy: Differential diagnosis and evaluation. Am. Fam. Physician 1998, 58, 1313–1320. [Google Scholar] [PubMed]
- Margileth, A.M. Recent Advances in Diagnosis and Treatment of Cat Scratch Disease. Curr. Infect. Dis. Rep. 2000, 2, 141–146. [Google Scholar] [CrossRef] [PubMed]
- Barr, Y.R.; Qiu, S. A 16-Year-Old Adolescent Boy with Unilateral Cervical Lymphadenopathy Suspicious for Malignancy. Arch. Pathol. Lab. Med. 2005, 129, 1065–1066. [Google Scholar] [CrossRef] [PubMed]
- Landes, M.; Maor, Y.; Mercer, D.; Habot-Wilner, Z.; Bilavsky, E.; Chazan, B.; Cohen, R.; Glikman, D.; Strahilevitz, J.; Katzir, M.; et al. Cat Scratch Disease Presenting as Fever of Unknown Origin Is a Unique Clinical Syndrome. Clin. Infect. Dis. 2020, 11, 2818–2824. [Google Scholar] [CrossRef] [PubMed]
- Spach, D.H.; Kaplan, S.L. Microbiology, Epidemiology, Clinical Manifestations, and Diagnosis of Cat Scratch Disease. Available online: http://www.uptodate.com (accessed on 20 September 2010).
- Imperiale, A.; Blondet, C.; Ben-Sellem, D.; Forestier, E.; Mohseni, M.; Piemont, Y.; Ojeda, M.; Christmann, D.; Constantinesco, A.; Hansmann, Y. Unusual Abdominal Localization of Cat Scratch Disease Mimicking Malignancy on F-18 FDG PET/CT Examination. Clin. Nucl. Med. 2008, 33, 621–623. [Google Scholar] [CrossRef] [PubMed]
- Bergmans, A.M.; Peeters, M.F.; Schellekens, J.F.; Vos, M.C.; Sabbe, L.J.; Ossewaarde, J.M.; Verbakel, H.; Hooft, H.J.; Schouls, L.M. Pitfalls and fallacies of cat scratch disease serology: Evaluation of Bartonella henselae-based indirect fluorescence assay and enzyme-linked immunoassay. J. Clin. Microbiol. 1997, 35, 1931–1937. [Google Scholar] [CrossRef] [PubMed]
- Sander, A.; Posselt, M.; Oberle, K.; Bredt, W. Seroprevalence of antibodies to Bartonella henselae in patients with cat scratch disease and in healthy controls: Evaluation and comparison of two commercial serological tests. Clin. Diagn. Lab. Immunol. 1998, 5, 486–490. [Google Scholar] [CrossRef] [PubMed]






Publisher’s Note: MDPI stays neutral with regard to jurisdictional claims in published maps and institutional affiliations. |
© 2022 by the authors. Licensee MDPI, Basel, Switzerland. This article is an open access article distributed under the terms and conditions of the Creative Commons Attribution (CC BY) license (https://creativecommons.org/licenses/by/4.0/).
Share and Cite
Filipponi, V.; Trasarti, S.; Maccioni, F.; Zippi, M.; Busato, L.; Arienzo, F.; Biglietto, M.; Saullo, P.; Giordano, C.; Caronna, R. Abdominal Lymphadenopathy: Hypothesize Cat-Scratch Disease and Avoid Abdominal Excisional Biopsy. Hemato 2022, 3, 771-778. https://doi.org/10.3390/hemato3040052
Filipponi V, Trasarti S, Maccioni F, Zippi M, Busato L, Arienzo F, Biglietto M, Saullo P, Giordano C, Caronna R. Abdominal Lymphadenopathy: Hypothesize Cat-Scratch Disease and Avoid Abdominal Excisional Biopsy. Hemato. 2022; 3(4):771-778. https://doi.org/10.3390/hemato3040052
Chicago/Turabian StyleFilipponi, Valeria, Stefania Trasarti, Francesca Maccioni, Maddalena Zippi, Ludovica Busato, Francesca Arienzo, Mario Biglietto, Paolina Saullo, Carla Giordano, and Roberto Caronna. 2022. "Abdominal Lymphadenopathy: Hypothesize Cat-Scratch Disease and Avoid Abdominal Excisional Biopsy" Hemato 3, no. 4: 771-778. https://doi.org/10.3390/hemato3040052
APA StyleFilipponi, V., Trasarti, S., Maccioni, F., Zippi, M., Busato, L., Arienzo, F., Biglietto, M., Saullo, P., Giordano, C., & Caronna, R. (2022). Abdominal Lymphadenopathy: Hypothesize Cat-Scratch Disease and Avoid Abdominal Excisional Biopsy. Hemato, 3(4), 771-778. https://doi.org/10.3390/hemato3040052

