Primary Cutaneous B-Cell Lymphoma: An Update on Pathologic and Molecular Features
Abstract
1. Introduction
2. Primary Cutaneous Marginal Zone B-Cell Lymphoma
2.1. Clinical Features
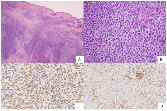
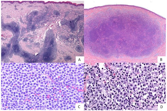
2.2. Pathology
2.3. Molecular and Cytogenetic Features
2.4. Differential Diagnosis
2.5. Prognosis and Treatment
2.6. Summing Up
3. Primary Cutaneous Follicle Centre Lymphoma
3.1. Clinical Features
3.2. Pathology
3.3. Molecular and Cytogenetic Features
3.4. Differential Diagnosis
3.5. Prognosis and Treatment
3.6. Summing Up
4. Primary Cutaneous Diffuse Large B Cell Lymphoma, Leg-Type
4.1. Clinical Features
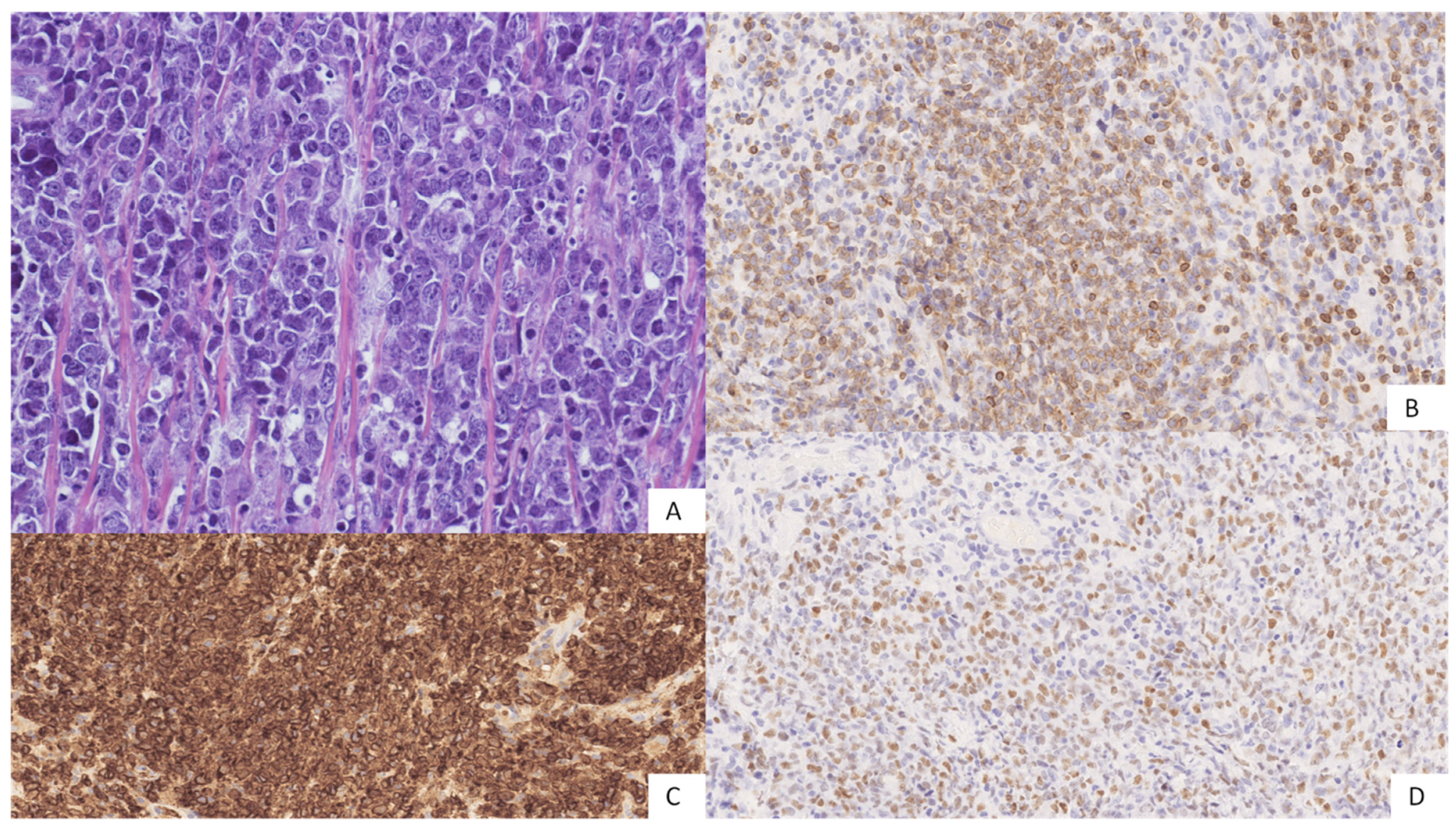
4.2. Pathology
4.3. Molecular and Cytogenetic Features
4.4. Differential Diagnosis
4.5. Prognosis and Treatment
4.6. Summing Up
5. Primary Cutaneous Diffuse Large B Cell Lymphoma, Not Otherwise Specified/Other
5.1. Diffuse Large B-Cell Lymphoma, Rare Subtypes
5.2. EBV-Positive Mucocutaneous Ulcer
6. Conclusions
Funding
Institutional Review Board Statement
Informed Consent Statement
Data Availability Statement
Conflicts of Interest
References
- Kempf, W.; Zimmermann, A.-K.; Mitteldorf, C. Cutaneous lymphomas—An update 2019. Hematol. Oncol. 2019, 37 (Suppl. S1), 43–47. [Google Scholar] [CrossRef] [PubMed]
- Chen, S.T.; Barnes, J.; Duncan, L. Primary cutaneous B-cell lymphomas—Clinical and histopathologic features, differential diagnosis, and treatment. Semin. Cutan. Med. Surg. 2018, 37, 49–55. [Google Scholar] [CrossRef] [PubMed]
- Vitiello, P.; Sica, A.; Ronchi, A.; Caccavale, S.; Franco, R.; Argenziano, G. Primary Cutaneous B-Cell Lymphomas: An Update. Front. Oncol. 2020, 10, 651. [Google Scholar] [CrossRef] [PubMed]
- Hope, C.B.; Pincus, L.B. Primary Cutaneous B-cell Lymphomas. Clin. Lab. Med. 2017, 37, 547–574. [Google Scholar] [CrossRef]
- Grandi, V.; Violetti, S.A.; La Selva, R.; Cicchelli, S.; Delfino, C.; Fava, P.; Fierro, M.T.; Pileri, A.; Pimpinelli, N.; Quaglino, P.; et al. Primary cutaneous B-cell lymphoma: Narrative review of the literature. G. Ital. Dermatol. Venereol. 2019, 154, 466–479. [Google Scholar] [CrossRef]
- Wilcox, R.A. Cutaneous B-cell lymphomas: 2019 update on diagnosis, risk stratification, and management. Am. J. Hematol. 2018, 93, 1427–1430. [Google Scholar] [CrossRef]
- Goyal, A.; LeBlanc, R.E.; Carter, J.B. Cutaneous B-Cell Lymphoma. Hematol. Clin. N. Am. 2019, 33, 149–161. [Google Scholar] [CrossRef]
- Swerdlow, S.H.; Campo, E.; Harris, N.L.; Jaffe, E.S.; Pileri, S.A.; Stein, H.; Thiele, J. (Eds.) WHO Classification of Tumours of Haematopoietic and Lymphoid Tissues, Revised, 4th ed.; IARC: Lyon, France, 2017. [Google Scholar]
- Malachowski, S.J.; Sun, J.; Chen, P.-L.; Seminario-Vidal, L. Diagnosis and Management of Cutaneous B-Cell Lymphomas. Dermatol. Clin. 2019, 37, 443–454. [Google Scholar] [CrossRef]
- Felcht, M.; Klemke, C.-D.; Nicolay, J.P.; Weiss, C.; Assaf, C.; Wobser, M.; Schlaak, M.; Hillen, U.; Moritz, R.; Tantcheva-Poor, I.; et al. Primary cutaneous diffuse large B-cell lymphoma, NOS and leg type: Clinical, morphologic and prognostic differences. JDDG J. Dtsch. Dermatol. Ges. 2019, 17, 275–285. [Google Scholar] [CrossRef]
- Lucioni, M.; Pescia, C.; Bonometti, A.; Fraticelli, S.; Moltrasio, C.; Ramponi, A.; Riboni, R.; Roccio, S.; Ferrario, G.; Arcaini, L.; et al. Double expressor and double/triple hit status among primary cutaneous diffuse large B-cell lymphoma: A comparison between leg type and not otherwise specified subtypes. Hum. Pathol. 2021, 111, 1–9. [Google Scholar] [CrossRef]
- Willemze, R.; Cerroni, L.; Kempf, W.; Berti, E.; Facchetti, F.; Swerdlow, S.H.; Jaffe, E.S. The 2018 update of the WHO-EORTC clas-sification for primary cutaneous lymphomas. Blood 2019, 134, 1112. [Google Scholar]
- Hoefnagel, P.; Vermeer, M.; Jansen, P.; Heule, F.; Vader, P.C.V.V.; Sanders, C.J.G.; Gerritsen, M.J.P.; Geerts, M.L.; Meijer, C.J.L.M.; Noordijk, E.M.; et al. Primary Cutaneous Marginal Zone B-Cell Lymphoma: Clinical and therapeutic features in 50 cases. Arch. Dermatol. 2005, 141, 1139–1145. [Google Scholar] [CrossRef] [PubMed]
- Fink-Puches, R.; Chott, A.; Ardigo, M.; Simonitsch, I.; Ferrara, G.; Kerl, H.; Cerroni, L. The Spectrum of Cutaneous Lymphomas in Patients Less than 20 Years of Age. Pediatr. Dermatol. 2004, 21, 525–533. [Google Scholar] [CrossRef] [PubMed]
- Kempf, W.; Kazakov, D.; Buechner, S.A.; Graf, M.; Zettl, A.; Zimmermann, D.R.; Tinguely, M. Primary Cutaneous Marginal Zone Lymphoma in Children: A report of 3 cases and review of the literature. Am. J. Dermatopathol. 2014, 36, 661–666. [Google Scholar] [CrossRef] [PubMed][Green Version]
- Goodlad, J.R.; Davidson, M.M.; Hollowood, K.; Ling, C.; MacKenzie, C.; Christie, I.; Batstone, P.J.; Ho-Yen, D.O. Primary Cutaneous B-Cell Lymphoma and Borrelia burgdorferi Infection in Patients from the Highlands of Scotland. Am. J. Surg. Pathol. 2000, 24, 1279–1285. [Google Scholar] [CrossRef]
- Takino, H.; Li, C.; Hu, S.; Kuo, T.-T.; Geissinger, E.; Muller-Hermelink, H.K.; Kim, B.; Swerdlow, S.H.; Inagaki, H. Primary cutaneous marginal zone B-cell lymphoma: A molecular and clinicopathological study of cases from Asia, Germany, and the United States. Mod. Pathol. 2008, 21, 1517–1526. [Google Scholar] [CrossRef]
- Suarez, F.; Lortholary, O.; Hermine, O.; Lecuit, M. Infection-associated lymphomas derived from marginal zone B cells: A model of antigen-driven lymphoproliferation. Blood 2006, 107, 3034–3044. [Google Scholar] [CrossRef]
- Arcaini, L.; Bruno, R. Hepatitis C Virus Infection and Antiviral Treatment in Marginal Zone Lymphomas. Curr. Clin. Pharmacol. 2010, 5, 74–81. [Google Scholar] [CrossRef]
- Arcaini, L.; Burcheri, S.; Rossi, A.; Paulli, M.; Bruno, R.; Passamonti, F.; Brusamolino, E.; Molteni, A.; Pulsoni, A.; Cox, M.; et al. Prevalence of HCV infection in nongastric marginal zone B-cell lymphoma of MALT. Ann. Oncol. 2007, 18, 346–350. [Google Scholar] [CrossRef]
- Arcaini, L.; Merli, M.; Volpetti, S.; Rattotti, S.; Gotti, M.; Zaja, F. Indolent B-Cell Lymphomas Associated with HCV Infection: Clinical and Virological Features and Role of Antiviral Therapy. Clin. Dev. Immunol. 2012, 2012, 638185. [Google Scholar] [CrossRef]
- Paulli, M.; Arcaini, L.; Lucioni, M.; Boveri, E.; Capello, D.; Passamonti, F.; Merli, M.; Rattotti, S.; Rossi, D.; Riboni, R.; et al. Subcutaneous ‘lipoma-like’ B-cell lymphoma associated with HCV infection: A new presentation of primary extranodal marginal zone B-cell lymphoma of MALT. Ann. Oncol. 2009, 21, 1189–1195. [Google Scholar] [CrossRef] [PubMed]
- Tsuji, K.; Suzuki, D.; Naito, Y.; Sato, Y.; Yoshino, T.; Iwatsuki, K. Primary cutaneous marginal zone B-cell lymphoma. Eur. J. Dermatol. 2005, 15, 480–483. [Google Scholar] [PubMed]
- Gibson, S.E.; Swerdlow, S.H. How I Diagnose Primary Cutaneous Marginal Zone Lymphoma. Am. J. Clin. Pathol. 2020, 154, 428–449. [Google Scholar] [CrossRef] [PubMed]
- Russo, I.; Fagotto, L.; Sernicola, A.; Alaibac, M. Primary Cutaneous B-Cell Lymphomas in Patients with Impaired Immunity. Front. Oncol. 2020, 10, 1296. [Google Scholar] [CrossRef] [PubMed]
- Cicogna, G.T.; Ferranti, M.; Alaibac, M. Diagnostic Workup of Primary Cutaneous B Cell Lymphomas: A Clinician’s Approach. Front. Oncol. 2020, 10, 988. [Google Scholar] [CrossRef]
- Ronchi, A.; Sica, A.; Vitiello, P.; Franco, R. Dermatological Considerations in the Diagnosis and Treatment of Marginal Zone Lymphomas. Clin. Cosmet. Investig. Dermatol. 2021, 14, 231–239. [Google Scholar] [CrossRef]
- Cook, J.C.; Puckett, Y. Anetoderma; StatPearls Publishing: Treasure Island, FL, USA, 2022. [Google Scholar]
- Hodak, E.; Feuerman, H.; Barzilai, A.; David, M.; Cerroni, L.; Feinmesser, M. Anetodermic Primary Cutaneous B-Cell Lymphoma: A unique clinicopathological presentation of lymphoma possibly associated with antiphospholipid antibodies. Arch. Dermatol. 2010, 146, 175–182. [Google Scholar] [CrossRef]
- Dalle, S.; Thomas, L.; Balme, B.; Dumontet, C.; Thieblemont, C. Primary cutaneous marginal zone lymphoma. Crit. Rev. Oncol. 2010, 74, 156–162. [Google Scholar] [CrossRef]
- Farhadian, J.; Terushkin, V.; Meehan, S.A.; Latkowski, J.A. Primary cutaneous marginal-zone lymphoma. Derm. Online J. 2016, 22, 13030. [Google Scholar] [CrossRef]
- Cho-Vega, J.H.; Vega, F.; Rassidakis, G.; Medeiros, L.J. Primary cutaneous marginal zone B-cell lymphoma. Am. J. Clin. Pathol. 2006, 125, S38–S49. [Google Scholar] [CrossRef]
- Kempf, W.; Kerl, H.; Kutzner, H. CD123-Positive Plasmacytoid Dendritic Cells in Primary Cutaneous Marginal Zone B-Cell Lymphoma: A Crucial Role and a New Lymphoma Paradigm. Am. J. Dermatopathol. 2010, 32, 194–196. [Google Scholar] [CrossRef]
- Edinger, J.T.; Kant, J.A.; Swerdlow, S.H. Cutaneous Marginal Zone Lymphomas Have Distinctive Features and Include 2 Subsets. Am. J. Surg. Pathol. 2010, 34, 1830–1841. [Google Scholar] [CrossRef]
- Kogame, T.; Takegami, T.; Sakai, T.; Kataoka, T.; Hirata, M.; Budair, F.M.; Ueshima, C.; Matsui, M.; Nomura, T.; Kabashima, K. Immunohistochemical analysis of class-switched subtype of primary cutaneous marginal zone lymphoma in terms of inducible skin-associated lymphoid tissue. J. Eur. Acad. Dermatol. Venereol. 2019, 33, e401–e403. [Google Scholar] [CrossRef]
- Van Maldegem, F.; van Dijk, R.; Wormhoudt, T.A.M.; Kluin, P.M.; Willemze, R.; Cerroni, L.; van Noesel, C.J.M.; Bende, R.J. The majority of cutaneous marginal zone B-cell lymphomas expresses class-switched immunoglobulins and develops in a T-helper type 2 inflammatory environment. Blood 2008, 112, 3355–3361. [Google Scholar] [CrossRef]
- Sun, J.R.; Nong, L.; Liu, X.Q.; Tu, P.; Wang, Y. Frequent immunoglobulin G4 expression in a common variant of primary cutaneous marginal zone B-cell lymphoma. Australas. J. Dermatol. 2017, 59, 141–145. [Google Scholar] [CrossRef]
- Hallermann, C.; Kaune, K.; Gesk, S.; Martin-Subero, J.; Gunawan, B.; Griesinger, F.; Vermeer, M.; Santucci, M.; Pimpinelli, N.; Willemze, R.; et al. Molecular Cytogenetic Analysis of Chromosomal Breakpoints in the IGH, MYC, BCL6, and MALT1 Gene Loci in Primary Cutaneous B-cell Lymphomas. J. Investig. Dermatol. 2004, 123, 213–219. [Google Scholar] [CrossRef]
- Li, C.; Inagaki, H.; Kuo, T.-T.; Hu, S.; Okabe, M.; Eimoto, T. Primary Cutaneous Marginal Zone B-Cell Lymphoma: A molecular and clinicopathologic study of 24 asian cases. Am. J. Surg. Pathol. 2003, 27, 1061–1069. [Google Scholar] [CrossRef]
- Swerdlow, S.H. Cutaneous marginal zone lymphomas. Semin. Diagn. Pathol. 2017, 34, 76–84. [Google Scholar] [CrossRef]
- Maurus, K.; Appenzeller, S.; Roth, S.; Kuper, J.; Rost, S.; Meierjohann, S.; Arampatzi, P.; Goebeler, M.; Rosenwald, A.; Geissinger, E.; et al. Panel Sequencing Shows Recurrent Genetic FAS Alterations in Primary Cutaneous Marginal Zone Lymphoma. J. Investig. Dermatol. 2018, 138, 1573–1581. [Google Scholar] [CrossRef]
- Baldassano, M.F.; Bailey, E.M.; Ferry, J.A.; Harris, N.L.; Duncan, L.M. Cutaneous Lymphoid Hyperplasia and Cutaneous Marginal Zone Lymphoma: Comparison of morphologic and immunophenotypic features. Am. J. Surg. Pathol. 1999, 23, 88–96. [Google Scholar] [CrossRef]
- Lin, P.; Molina, T.; Cook, J.R.; Swerdlow, S.H. Lymphoplasmacytic Lymphoma and Other Non–Marginal Zone Lymphomas with Plasmacytic Differentiation. Am. J. Clin. Pathol. 2011, 136, 195–210. [Google Scholar] [CrossRef]
- Molina, T.J.; Lin, P.; Swerdlow, S.H.; Cook, J.R. Marginal Zone Lymphomas with Plasmacytic Differentiation and Related Disorders. Am. J. Clin. Pathol. 2011, 136, 211–225. [Google Scholar] [CrossRef]
- Brenner, I.; Roth, S.; Puppe, B.; Wobser, M.; Rosenwald, A.; Geissinger, E. Primary cutaneous marginal zone lymphomas with plasmacytic differentiation show frequent IgG4 expression. Mod. Pathol. 2013, 26, 1568–1576. [Google Scholar] [CrossRef]
- Servitje, O.; Muniesa, C.; Benavente, Y.; Monsálvez, V.; Garcia-Muret, M.P.; Gallardo, F.; Domingo-Domenech, E.; Lucas, A.; Climent, F.; Rodriguez-Peralto, J.L.; et al. Primary cutaneous marginal zone B-cell lymphoma: Response to treatment and disease-free survival in a series of 137 patients. J. Am. Acad. Dermatol. 2013, 69, 357–365. [Google Scholar] [CrossRef]
- Prieto-Torres, L.; Manso, R.; Cieza-Díaz, D.E.; Jo, M.; Pérez, L.K.; Montenegro-Damaso, T.; Eraña, I.; Lorda, M.; Massa, D.S.; Machan, S.; et al. Large Cells with CD30 Expression and Hodgkin-like Features in Primary Cutaneous Marginal Zone B-Cell Lymphoma: A Study of 13 Cases. Am. J. Surg. Pathol. 2019, 43, 1191–1202. [Google Scholar] [CrossRef]
- Palmedo, G.; Hantschke, M.; Rütten, A.; Mentzel, T.; Kempf, W.; Tomasini, D.; Kutzner, H. Primary Cutaneous Marginal Zone B-cell Lymphoma May Exhibit Both the t(14;18)(q32;q21) IGH/BCL2 and the t(14;18)(q32;q21) IGH/MALT1 Translocation: An Indicator for Clonal Transformation Towards Higher-Grade B-cell Lymphoma? Am. J. Dermatopathol. 2007, 29, 231–236. [Google Scholar] [CrossRef]
- Boudreaux, B.W.; Patel, M.H.; Brumfiel, C.M.; Besch-Stokes, J.; DiCaudo, D.J.; Craig, F.; Rosenthal, A.C.; Rule, W.G.; Pittelkow, M.R.; Mangold, A.R. Primary cutaneous epidermotropic marginal zone B-cell lymphoma treated with total skin electron beam therapy. JAAD Case Rep. 2021, 15, 15–18. [Google Scholar] [CrossRef]
- Wobser, M. Therapie indolenter kutaner B-Zell-Lymphome [Treatment of indolent cutaneous B-cell lymphoma]. Hautarzt 2017, 68, 721–726. [Google Scholar] [CrossRef]
- Lang, C.C.V.; Ramelyte, E.; Dummer, R. Innovative Therapeutic Approaches in Primary Cutaneous B Cell Lymphoma. Front. Oncol. 2020, 10, 1163. [Google Scholar] [CrossRef]
- Skala, S.L.; Hristov, B.; Hristov, A.C. Primary Cutaneous Follicle Center Lymphoma. Arch. Pathol. Lab. Med. 2018, 142, 1313–1321. [Google Scholar] [CrossRef]
- Senff, N.J.; Hoefnagel, J.J.; Jansen, P.M.; Vermeer, M.; Van Baarlen, J.; Blokx, W.; Dijk, M.R.C.-V.; Geerts, M.-L.; Hebeda, K.M.; Kluin, P.M.; et al. Reclassification of 300 Primary Cutaneous B-Cell Lymphomas According to the New WHO–EORTC Classification for Cutaneous Lymphomas: Comparison with Previous Classifications and Identification of Prognostic Markers. J. Clin. Oncol. 2007, 25, 1581–1587. [Google Scholar] [CrossRef]
- Zinzani, P.L.; Quaglino, P.; Pimpinelli, N.; Berti, E.; Baliva, G.; Rupoli, S.; Martelli, M.; Alaibac, M.; Borroni, G.; Chimenti, S.; et al. Prognostic Factors in Primary Cutaneous B-Cell Lymphoma: The Italian Study Group for Cutaneous Lymphomas. J. Clin. Oncol. 2006, 24, 1376–1382. [Google Scholar] [CrossRef]
- Travaglino, A.; Varricchio, S.; Pace, M.; Russo, D.; Picardi, M.; Baldo, A.; Staibano, S.; Mascolo, M. Borrelia burgdorferi in primary cutaneous lymphomas: A systematic review and meta-analysis. JDDG: J. Dtsch. Dermatol. Ges. 2020, 18, 1379–1384. [Google Scholar] [CrossRef]
- Slater, D.N. Borrelia burgdorferi-associated primary cutaneous B-cell lymphoma. Histopathology 2001, 38, 73–77. [Google Scholar] [CrossRef]
- Petković, I.Z.; Pejcic, I.; Tiodorović, D.; Krstić, M.; Stojnev, S.; Vrbic, S. Transformation of primary cutaneous follicle centre lymphoma into primary cutaneous diffuse large B-cell lymphoma of other type. Adv. Dermatol. Allergol. 2017, 34, 625–628. [Google Scholar] [CrossRef]
- Uy, M.; Sprowl, G.; Lynch, D.T. Primary Cutaneous Follicle Center Lymphoma; StatPearls Publishing: Treasure Island, FL, USA, 2022. [Google Scholar]
- Berti, E.; Alessi, E.; Caputo, R.; Gianotti, R.; Delia, D.; Vezzoni, P. Reticulohistiocytoma of the dorsum. J. Am. Acad. Dermatol. 1988, 19, 259–272. [Google Scholar] [CrossRef]
- Fierro, M.T.; Marenco, F.; Novelli, M.; Fava, P.; Quaglino, P.; Bernengo, M.G. Long-Term Evolution of an Untreated Primary Cutaneous Follicle Center Lymphoma of the Scalp. Am. J. Dermatopathol. 2010, 32, 91–94. [Google Scholar] [CrossRef]
- Cerroni, L.; Arzberger, E.; Pütz, B.; Höfler, G.; Metze, D.; Sander, C.A.; Rose, C.; Wolf, P.; Rütten, A.; McNiff, J.M.; et al. Primary cutaneous follicle center cell lymphoma with follicular growth pattern. Blood 2000, 95, 3922–3928. [Google Scholar] [CrossRef]
- Cerroni, L.; El-Shabrawi-Caelen, L.; Fink-Puches, R.; LeBoit, P.E.; Kerl, H. Cutaneous Spindle-Cell B-Cell Lymphoma. Am. J. Dermatopathol. 2000, 22, 299–304. [Google Scholar] [CrossRef]
- Child, F.; Russell-Jones, R.; Woolford, A.; Calonje, E.; Photiou, A.; Orchard, G.; Whittaker, S. Absence of the t(14;18) chromosomal translocation in primary cutaneous B-cell lymphoma. Br. J. Dermatol. 2001, 144, 735–744. [Google Scholar] [CrossRef]
- Abdul-Wahab, A.; Tang, S.-Y.; Robson, A.; Morris, S.; Agar, N.; Wain, E.M.; Child, F.; Scarisbrick, J.; Neat, M.; Whittaker, S. Chromosomal anomalies in primary cutaneous follicle center cell lymphoma do not portend a poor prognosis. J. Am. Acad. Dermatol. 2014, 70, 1010–1020. [Google Scholar] [CrossRef]
- Cerroni, L.; Volkenandt, M.; Rieger, E.; Soyer, H.P.; Kerl, H. bcl-2 Protein Expression and Correlation with the Interchromoso-mal 14;18 Translocation in Cutaneous Lymphomas and Pseudolymphomas. J. Invest Dermatol. 1994, 102, 231–235. [Google Scholar] [CrossRef]
- Geelen, F.A.; Vermeer, M.; Meijer, C.J.; Van Der Putte, S.C.; Kerkhof, E.; Kluin, P.M.; Willemze, R. bcl-2 protein expression in primary cutaneous large B-cell lymphoma is site-related. J. Clin. Oncol. 1998, 16, 2080–2085. [Google Scholar] [CrossRef]
- Goodlad, J.R.; Krajewski, A.S.; Batstone, P.J.; McKay, P.; White, J.M.; Benton, E.C.; Kavanagh, G.M.; Lucraft, H.H. Primary Cutaneous Follicular Lymphoma. Am. J. Surg. Pathol. 2002, 26, 733–741. [Google Scholar] [CrossRef]
- Hallermann, C.; Kaune, K.M.; Siebert, R.; Vermeer, M.H.; Tensen, C.P.; Willemze, R.; Gunawan, B.; Bertsch, H.P.; Neumann, C. Chromosomal Aberration Patterns Differ in Subtypes of Primary Cutaneous B Cell Lymphomas. J. Investig. Dermatol. 2004, 122, 1495–1502. [Google Scholar] [CrossRef]
- Vergier, B.; Belaud-Rotureau, M.-A.; Benassy, M.-N.; Beylot-Barry, M.; Dubus, P.; Delaunay, M.; Garroste, J.-C.; Taine, L.; Merlio, J.-P. Neoplastic Cells Do Not Carry bcl2-JH Rearrangements Detected in a Subset of Primary Cutaneous Follicle Center B-cell Lymphomas. Am. J. Surg. Pathol. 2004, 28, 748–755. [Google Scholar] [CrossRef]
- Aguilera, N.S.I.; Tomaszewski, M.-M.; Moad, J.C.; Bauer, F.A.; Taubenberger, J.K.; Abbondanzo, S.L. Cutaneous Follicle Center Lymphoma: A Clinicopathologic Study of 19 Cases. Mod. Pathol. 2001, 14, 828–835. [Google Scholar] [CrossRef]
- Mirza, I.; Macpherson, N.; Paproski, S.; Gascoyne, R.D.; Yang, B.; Finn, W.G.; Hsi, E.D. Primary Cutaneous Follicular Lymphoma: An Assessment of Clinical, Histopathologic, Immunophenotypic, and Molecular Features. J. Clin. Oncol. 2002, 20, 647–655. [Google Scholar] [CrossRef]
- Pham-Ledard, A.; Cowppli-Bony, A.; Doussau, A.; Prochazkova-Carlotti, M.; Laharanne, E.; Jouary, T.; Belaud-Rotureau, M.-A.; Vergier, B.; Merlio, J.-P.; Beylot-Barry, M. Diagnostic and Prognostic Value of BCL2 Rearrangement in 53 Patients with Follicular Lymphoma Presenting as Primary Skin Lesions. Am. J. Clin. Pathol. 2015, 143, 362–373. [Google Scholar] [CrossRef]
- Lucioni, M.; Berti, E.; Arcaini, L.; Croci, G.A.; Maffi, A.; Klersy, C.; Goteri, G.; Tomasini, C.; Quaglino, P.; Riboni, R.; et al. Primary cutaneous B-cell lymphoma other than marginal zone: Clinicopathologic analysis of 161 cases: Comparison with current classification and definition of prognostic markers. Cancer Med. 2016, 5, 2740–2755. [Google Scholar] [CrossRef]
- Brash, D.E. UV Signature Mutations. Photochem. Photobiol. 2015, 91, 15–26. [Google Scholar] [CrossRef]
- Szablewski, V.; Ingen-Housz-Oro, S.; Baia, M.; Delfau-Larue, M.-H.; Copie-Bergman, C.; Ortonne, N. Primary Cutaneous Follicle Center Lymphomas Expressing BCL2 Protein Frequently Harbor BCL2 Gene Break and May Present 1p36 Deletion. Am. J. Surg. Pathol. 2016, 40, 127–136. [Google Scholar] [CrossRef]
- Gángó, A.; Bátai, B.; Varga, M.; Kapczár, D.; Papp, G.; Marschalkó, M.; Kuroli, E.; Schneider, T.; Csomor, J.; Matolcsy, A.; et al. Concomitant 1p36 deletion and TNFRSF14 mutations in primary cutaneous follicle center lymphoma frequently expressing high levels of EZH2 protein. Virchows Arch. 2018, 473, 453–462. [Google Scholar] [CrossRef]
- Schafernak, K.T.; Variakojis, D.; Goolsby, C.L.; Tucker, R.M.; Martínez-Escala, M.E.; Smith, F.A.; Dittman, D.; Chenn, A.; Guitart, J. Clonality Assessment of Cutaneous B-Cell Lymphoid Proliferations. Am. J. Dermatopathol. 2014, 36, 781–795. [Google Scholar] [CrossRef]
- Zhou, X.A.; Yang, J.; Ringbloom, K.G.; Martinez-Escala, M.E.; Stevenson, K.E.; Wenzel, A.T.; Fantini, D.; Martin, H.K.; Moy, A.P.; Morgan, E.A.; et al. Genomic landscape of cutaneous follicular lymphomas reveals 2 subgroups with clinically predictive molecular features. Blood Adv. 2021, 5, 649–661. [Google Scholar] [CrossRef]
- Menguy, S.; Gros, A.; Pham-Ledard, A.; Battistella, M.; Ortonne, N.; Comoz, F.; Balme, B.; Szablewski, V.; Lamant, L.; Carlotti, A.; et al. MYD88 Somatic Mutation Is a Diagnostic Criterion in Primary Cutaneous Large B-Cell Lymphoma. J. Investig. Dermatol. 2016, 136, 1741–1744. [Google Scholar] [CrossRef]
- Verdanet, E.; Dereure, O.; René, C.; Tempier, A.; Benammar-Hafidi, A.; Gallo, M.; Frouin, E.; Durand, L.; Gazagne, I.; Costes-Martineau, V.; et al. Diagnostic value of STMN1, LMO2, HGAL, AID expression and 1p36 chromosomal abnormalities in primary cutaneous B cell lymphomas. Histopathology 2017, 71, 648–660. [Google Scholar] [CrossRef]
- Metcalf, R.A.; Monabati, A.; Vyas, M.; Roncador, G.; Gualco, G.; Bacchi, C.E.; Younes, S.F.; Natkunam, Y.; Freud, A.G. Myeloid cell nuclear differentiation antigen is expressed in a subset of marginal zone lymphomas and is useful in the differential diagnosis with follicular lymphoma. Hum. Pathol. 2014, 45, 1730–1736. [Google Scholar] [CrossRef]
- Kanellis, G.; Roncador, G.; Arribas, A.; Mollejo, M.; Montes-Moreno, S.; Maestre, L.; Campos-Martin, Y.; Gonzalez, J.L.R.; Martinez-Torrecuadrada, J.L.; Sanchez-Verde, L.; et al. Identification of MNDA as a new marker for nodal marginal zone lymphoma. Leukemia 2009, 23, 1847–1857. [Google Scholar] [CrossRef]
- Battistella, M.; Beylot-Barry, M.; Bachelez, H.; Rivet, J.; Vergier, B.; Bagot, M. Primary Cutaneous Follicular Helper T-cell Lymphoma. Arch. Dermatol. 2012, 148, 832–839. [Google Scholar] [CrossRef]
- Ferrara, G.; Bevilacqua, M.; Argenziano, G. Cutaneous Spindle B-Cell Lymphoma: A Reappraisal. Am. J. Dermatopathol. 2002, 24, 526–527. [Google Scholar] [CrossRef]
- Hoefnagel, J.J.; Dijkman, R.; Basso, K.; Jansen, P.M.; Hallermann, C.; Willemze, R.; Tensen, C.P.; Vermeer, M. Distinct types of primary cutaneous large B-cell lymphoma identified by gene expression profiling. Blood 2005, 105, 3671–3678. [Google Scholar] [CrossRef]
- Sukswai, N.; Lyapichev, K.; Khoury, J.D.; Medeiros, L.J. Diffuse large B-cell lymphoma variants: An update. Pathology 2020, 52, 53–67. [Google Scholar] [CrossRef]
- Nicolay, J.P.; Wobser, M. Cutaneous B-cell lymphomas—pathogenesis, diagnostic workup, and therapy. JDDG J. Dtsch. Dermatol. Ges. 2016, 14, 1207–1224. [Google Scholar] [CrossRef]
- Vermeer, M.; Willemze, R. Recent advances in primary cutaneous B-cell lymphomas. Curr. Opin. Oncol. 2014, 26, 230–236. [Google Scholar] [CrossRef]
- Hristov, A.C.; Tejasvi, T.; Wilcox, R.A. Cutaneous B-cell lymphomas: 2021 update on diagnosis, risk-stratification, and management. Am. J. Hematol. 2020, 95, 1209–1213. [Google Scholar] [CrossRef]
- Kempf, W.; Denisjuk, N.; Kerl, K.; Cozzio, A.; Sander, C. Primary cutaneous B-cell lymphomas. J. Dtsch Dermatol Ges. 2012, 10, 12–23. [Google Scholar] [CrossRef]
- Menguy, S.; Beylot-Barry, M.; Parrens, M.; Ledard, A.; Frison, E.; Comoz, F.; Battistella, M.; Szablewski, V.; Balme, B.; Croue, A.; et al. Primary cutaneous large B-cell lymphomas: Relevance of the 2017 World Health Organization classification: Clinicopathological and molecular analyses of 64 cases. Histopathology 2019, 74, 1067–1080. [Google Scholar] [CrossRef]
- Schrader, A.M.R.; Jansen, P.M.; Vermeer, M.H.; Kleiverda, J.K.; Vermaat, J.S.P.; Willemze, R. High Incidence and Clinical Signifi-cance of MYC Rearrangements in Primary Cutaneous Diffuse Large B-Cell Lymphoma, Leg Type. Am. J. Surg. Pathol. 2018, 42, 1488–1494. [Google Scholar] [CrossRef]
- Mitteldorf, C.; Berisha, A.; Pfaltz, M.C.; Broekaert, S.M.C.; Schön, M.P.; Kerl, K.; Kempf, W. Tumor Microenvironment and Check-point Molecules in Primary Cutaneous Diffuse Large B-Cell Lymphoma-New Therapeutic Targets. Am. J. Surg. Pathol. 2017, 41, 998–1004. [Google Scholar] [CrossRef]
- Schrader, A.M.R.; de Groen, R.A.L.; Willemze, R.; Jansen, P.M.; Quint, K.D.; van Wezel, T.; van Eijk, R.; Ruano, D.; Tensen, C.P.; Hauben, E.; et al. Cell-of-origin classification using the Hans and Lymph2Cx algorithms in primary cutaneous large B-cell lymphomas. Virchows Arch. 2022, 480, 667–675. [Google Scholar] [CrossRef] [PubMed]
- Senff, N.J.; Zoutman, W.H.; Vermeer, M.H.; Assaf, C.; Berti, E.; Cerroni, L.; Espinet, B.; Cabrera, R.F.D.M.; Geerts, M.-L.; Kempf, W.; et al. Fine-Mapping Chromosomal Loss at 9p21: Correlation with Prognosis in Primary Cutaneous Diffuse Large B-Cell Lymphoma, Leg Type. J. Investig. Dermatol. 2009, 129, 1149–1155. [Google Scholar] [CrossRef] [PubMed]
- Pham-Ledard, A.; Beylot-Barry, M.; Barbe, C.; LeDuc, M.; Petrella, T.; Vergier, B.; Martinez, F.; Cappellen, D.; Merlio, J.-P.; Grange, F. High Frequency and Clinical Prognostic Value of MYD88 L265P Mutation in Primary Cutaneous Diffuse Large B-Cell Lymphoma, Leg-Type. JAMA Dermatol. 2014, 150, 1173–1179. [Google Scholar] [CrossRef] [PubMed]
- Pham-Ledard, A.; Prochazkova-Carlotti, M.; Andrique, L.; Cappellen, D.; Vergier, B.; Martinez, F.; Grange, F.; Petrella, T.; Beylot-Barry, M.; Merlio, J.-P. Multiple genetic alterations in primary cutaneous large B-cell lymphoma, leg type support a common lymphomagenesis with activated B-cell-like diffuse large B-cell lymphoma. Mod. Pathol. 2014, 27, 402–411. [Google Scholar] [CrossRef]
- Koens, L.; Zoutman, W.H.; Ngarmlertsirichai, P.; Przybylski, G.K.; Grabarczyk, P.; Vermeer, M.H.; Willemze, R.; Jansen, P.M.; Schmidt, C.A.; Tensen, C.P. Nuclear factor-κB pathway-activating gene aberrancies in primary cutaneous large B-cell lympho-ma, leg type. J. Invest. Dermatol. 2014, 134, 290–292. [Google Scholar] [CrossRef]
- Zhou, X.A.; Louissaint, A., Jr.; Wenzel, A.; Yang, J.; Martinez-Escala, M.E.; Moy, A.P.; Morgan, E.A.; Paxton, C.N.; Hong, B.; Andersen, E.F.; et al. Genomic Analyses Identify Recurrent Alterations in Immune Evasion Genes in Diffuse Large B-Cell Lymphoma, Leg Type. J. Invest. Dermatol. 2018, 138, 2365–2376. [Google Scholar] [CrossRef]
- Nayyar, N.; White, M.D.; Gill, C.M.; Lastrapes, M.; Bertalan, M.; Kaplan, A.; D’Andrea, M.R.; Bihun, I.; Kaneb, A.; Dietrich, J.; et al. MYD88 L265P mutation and CDKN2A loss are early mutational events in primary central nervous system diffuse large B-cell lymphomas. Blood Adv. 2019, 3, 375–383. [Google Scholar] [CrossRef]
- Zhou, Y.; Liu, W.; Xu, Z.; Zhu, H.; Xiao, D.; Su, W.; Zeng, R.; Feng, Y.; Duan, Y.; Zhou, J.; et al. Analysis of Genomic Alteration in Primary Central Nervous System Lymphoma and the Expression of Some Related Genes. Neoplasia 2018, 20, 1059–1069. [Google Scholar] [CrossRef]
- Chapuy, B.; Roemer, M.G.M.; Stewart, C.; Tan, Y.; Abo, R.P.; Zhang, L.; Dunford, A.J.; Meredith, D.M.; Thorner, A.R.; Jordanova, E.S.; et al. Targetable genetic features of primary testicular and primary central nervous system lymphomas. Blood 2016, 127, 869–881. [Google Scholar] [CrossRef]
- Koens, L.; Qin, Y.; Leung, W.Y.; Corver, W.; Jansen, P.M.; Willemze, R.; Vermeer, M.; Tensen, C. MicroRNA Profiling of Primary Cutaneous Large B-Cell Lymphomas. PLoS ONE 2013, 8, e82471. [Google Scholar] [CrossRef]
- Oschlies, I.; Wehkamp, U. Cutaneous B cell lymphomas: Standards in diagnostic and clinical work-up. Hints, pitfalls and recent advances. Histopathology 2022, 80, 184–195. [Google Scholar] [CrossRef] [PubMed]
- Wehkamp, U.; Pott, C.; Unterhalt, M.; Koch, K.; Weichenthal, M.; Klapper, W.; Oschlies, I. Skin Involvement of Mantle Cell Lymphoma May Mimic Primary Cutaneous Diffuse Large B-cell Lymphoma, Leg Type. Am. J. Surg. Pathol. 2015, 39, 1093–1101. [Google Scholar] [CrossRef] [PubMed][Green Version]
- Harms, K.L.; Harms, P.; Anderson, T.; Betz, B.L.; Ross, C.W.; Fullen, D.R.; Hristov, A.C. Mycosis fungoides with CD20 expression: Report of two cases and review of the literature. J. Cutan. Pathol. 2014, 41, 494–503. [Google Scholar] [CrossRef]
- Cm, B.J.; Sahi, H.; Koljonen, V.; Böhling, T. The expression of terminal deoxynucleotidyl transferase and paired box gene 5 in Merkel cell carcinomas and its relation to the presence of Merkel cell polyomavirus DNA. J. Cutan. Pathol. 2019, 46, 26–32. [Google Scholar] [CrossRef]
- Kempf, W.; Kazakov, D.; Mitteldorf, C. Cutaneous Lymphomas. Am. J. Dermatopathol. 2014, 36, 197–210. [Google Scholar] [CrossRef] [PubMed]
- Forcucci, J.; Ralston, J.; Lazarchick, J. Diagnosing Spindle Cell Variant of Primary Cutaneous B-Cell Lymphoma: Potential Pitfalls and Solutions. Ann. Clin. Lab. Sci. 2016, 46, 209–212. [Google Scholar]
- Menguy, S.; Frison, E.; Prochazkova-Carlotti, M.; Dalle, S.; Dereure, O.; Boulinguez, S.; Dalac, S.; Machet, L.; Ram-Wolff, C.; Verneuil, L.; et al. Double-hit or dual expression of MYC and BCL2 in primary cutaneous large B-cell lymphomas. Mod. Pathol. 2018, 31, 1332–1342. [Google Scholar] [CrossRef]
- Hamilton, S.N.; Wai, E.S.; Tan, K.; Alexander, C.; Gascoyne, R.D.; Connors, J.M. Treatment and outcomes in patients with pri-mary cutaneous B-cell lymphoma: The BC Cancer Agency experience. Int. J. Radiat. Oncol. Biol Phys. 2013, 87, 719–725. [Google Scholar] [CrossRef]
- Beylot-Barry, M.; Mermin, D.; Maillard, A.; Bouabdallah, R.; Bonnet, N.; Duval-Modeste, A.-B.; Mortier, L.; Ingen-Housz-Oro, S.; Ram-Wolff, C.; Barete, S.; et al. A Single-Arm Phase II Trial of Lenalidomide in Relapsing or Refractory Primary Cutaneous Large B-Cell Lymphoma, Leg Type. J. Investig. Dermatol. 2018, 138, 1982–1989. [Google Scholar] [CrossRef]
- Willemze, R.; Jaffe, E.S.; Burg, G.; Cerroni, L.; Berti, E.; Swerdlow, S.H.; Ralfkiaer, E.; Chimenti, S.; Diaz-Perez, J.L.; Duncan, L.M.; et al. WHO-EORTC Classification for Cutaneous Lymphomas. Blood 2005, 105, 3768–3785. [Google Scholar] [CrossRef]
- Sica, A.; Vitiello, P.; Caccavale, S.; Sagnelli, C.; Calogero, A.; Dodaro, C.A.; Pastore, F.; Ciardiello, F.; Argenziano, G.; Reginelli, A.; et al. Primary cutaneous DLBCL non-GCB type: Challenges of a rare case. Open Med. 2020, 15, 119–125. [Google Scholar] [CrossRef] [PubMed]
- Kodama, K.; Massone, C.; Chott, A.; Metze, D.; Kerl, H.; Cerroni, L. Primary cutaneous large B-cell lymphomas: Clinicopathologic features, classification, and prognostic factors in a large series of patients. Blood 2005, 106, 2491–2497. [Google Scholar] [CrossRef] [PubMed]
- Jaffe, E.S. Navigating the cutaneous B-cell lymphomas: Avoiding the rocky shoals. Mod. Pathol. 2019, 33, 96–106. [Google Scholar] [CrossRef] [PubMed]
- Ponzoni, M.; Arrigoni, G.; Gould, V.E.; Del Curto, B.; Maggioni, M.; Scapinello, A.; Paolino, S.; Cassisa, A.; Patriarca, C. Lack of CD 29 (β1 integrin) and CD 54 (ICAM-1) adhesion molecules in intravascular lymphomatosis. Hum. Pathol. 2000, 31, 220–226. [Google Scholar] [CrossRef]
- Khalidi, H.S.; Brynes, R.K.; Browne, P.; Koo, C.H.; Battifora, H.; Medeiros, L.J. Intravascular large B-cell lymphoma: The CD5 antigen is expressed by a subset of cases. Mod. Pathol. 1998, 11, 983–988. [Google Scholar]
- Ferreri, A.J.M.; Campo, E.; Seymour, J.F.; Willemze, R.; Ilariucci, F.; Ambrosetti, A.; Zucca, E.; Rossi, G.; López-Guillermo, A.; Pavlovsky, M.A.; et al. Intravascular lymphoma: Clinical presentation, natural history, management and prognostic factors in a series of 38 cases, with special emphasis on the ‘cutaneous variant’. Br. J. Haematol. 2004, 127, 173–183. [Google Scholar] [CrossRef]
- Dojcinov, S.D.; Venkataraman, G.; Raffeld, M.; Pittaluga, S.; Jaffe, E. EBV Positive Mucocutaneous Ulcer—A Study of 26 Cases Associated with Various Sources of Immunosuppression. Am. J. Surg. Pathol. 2010, 34, 405–417. [Google Scholar] [CrossRef]
- Ikeda, T.; Gion, Y.; Yoshino, T.; Sato, Y. A review of EBV-positive mucocutaneous ulcers focusing on clinical and pathological aspects. J. Clin. Exp. Hematop. 2019, 59, 64–71. [Google Scholar] [CrossRef]
- Sundram, U. Cutaneous Lymphoproliferative Disorders: What’s New in the Revised 4th Edition of the World Health Organization (WHO) Classification of Lymphoid Neoplasms. Adv. Anat. Pathol. 2019, 26, 93–113. [Google Scholar] [CrossRef]
- Zanelli, M.; Sanguedolce, F.; Palicelli, A.; Zizzo, M.; Martino, G.; Caprera, C.; Fragliasso, V.; Soriano, A.; Valle, L.; Ricci, S.; et al. EBV-Driven Lymphoproliferative Disorders and Lymphomas of the Gastrointestinal Tract: A Spectrum of Entities with a Common Denominator (Part 1). Cancers 2021, 13, 4578. [Google Scholar] [CrossRef]




| Characteristics | PCFCL | PCMZL | CLH |
|---|---|---|---|
| Age | 50–60 | >50 | 50 |
| Sex | M > F | M > F | F > M |
| Site | head, trunk, leg | arms, trunk, head, neck | face (nose and cheeks), trunk, extremities |
| Clinical features | plaque, nodule, tumour | papules, nodules, plaques | nodule, papules |
| Single/multiple lesions | usually single | often multifocal | usually single |
| Histology | |||
| Cells morphology | centrocytes (prevalent) and centroblasts | centrocyte-like, monocytoid, lymphoplasmacytic. Plasma cells often present in superficial dermis and at the lymphoma’s periphery | small lymphocytes |
| Pattern | nodular, nodular and diffuse, diffuse | nodular (more often), diffuse | nodular/diffuse |
| Skin ulceration | absent | absent | absent |
| Necrosis | no | No | no |
| Adnexal effacement | usually absent | usually absent | usually absent |
| Reactive T-cell CD3+ infiltrate | present, abundant | present, abundant | present |
| Dendritic meshwork | present/absent | present/absent | present |
| Immunophenotype | CD20+, CD79a+ bcl6+, CD10+, bcl2- (73%) | CD20+, CD79a+, bcl2+, CD10-, bcl6-, CD5-Cyclin-D1-, CD23- (most cases) | mixed infiltrates of B and T cells with reactive germinal centres |
| Ki67 | usually low (up to 30%) | usually low | high in reactive germinal centres |
| Molecular features | rarely translocation IGH-BCL2 up to 40% BCL2 aberrations | 80–92% clonal IGH/IGK gene rearrangements, 25% translocation IGH-MALT1 | 80–90% polyclonal |
| Prognosis | indolent | indolent | usually good |
| Characteristics | PCFCL | PCDLBL NOS | PCDLBCL-LT |
|---|---|---|---|
| Age | 50–60 | 60 | 70–80 |
| Sex | M>F | M>F | F>M |
| Site | head, trunk, leg | trunk, head-neck, lower limbs, upper limbs | leg, trunk, head-neck, upper extremities |
| Clinical features | plaque, nodule, tumour | nodule, plaque | tumour, nodule |
| Single/multiple lesions | usually single | single | single or multiple |
| Histology | |||
| Cells morphology | centrocytes (prevalent) and centroblasts | centroblasts with <10% of medium sized cells | centroblast and/or immunoblast |
| Pattern | nodular, nodular and diffuse, diffuse | diffuse, vaguely nodular | diffuse |
| Skin ulceration | Absent | present or absent | mostly present |
| Necrosis | no | rare | yes |
| Adnexal effacement | usually absent | May be present | mostly present |
| Reactive T-cell CD3+ infiltrate | present, abundant | present, mild to moderate | few or absent |
| Dendritic meshwork | present/absent | absent | absent |
| Immunophenotype | CD20+, CD79a+, Bcl6+, CD10+, Bcl2-(73%) | CD20+, CD79a+, Bcl6+, CD10+/−, MUM1+/−, IgM+/−, c-Myc+/−, bcl2-/+ | CD20+, CD79a+, Bcl2+, MUM1+, Bcl6+, c-myc+, IgM+, CD10- |
| Ki67 | usually low (up to 30%) | moderate (40%) | high (>70%) |
| DE phenotype | no | infrequent | >60% of cases |
| Molecular features | rarely translocation IGH-BCL2, up to 40% BCL2 aberrations | rearrangements of BCL6 or MYC, rarely BCL2 alterations | IGH clonal rearrangements, translocations involving BCL6, MYC and IGH, MYD88L265P mutations |
| DH/TH status | no | DH status reported in literature (one case) | yes |
| Prognosis | indolent | less aggressive than PCDLBCL-LT, GC cases more similar to PCFCL, Non-GC cases in between PCFCL and PCDLBCL-LT | aggressive |
Publisher’s Note: MDPI stays neutral with regard to jurisdictional claims in published maps and institutional affiliations. |
© 2022 by the authors. Licensee MDPI, Basel, Switzerland. This article is an open access article distributed under the terms and conditions of the Creative Commons Attribution (CC BY) license (https://creativecommons.org/licenses/by/4.0/).
Share and Cite
Lucioni, M.; Fraticelli, S.; Neri, G.; Feltri, M.; Ferrario, G.; Riboni, R.; Paulli, M. Primary Cutaneous B-Cell Lymphoma: An Update on Pathologic and Molecular Features. Hemato 2022, 3, 318-340. https://doi.org/10.3390/hemato3020023
Lucioni M, Fraticelli S, Neri G, Feltri M, Ferrario G, Riboni R, Paulli M. Primary Cutaneous B-Cell Lymphoma: An Update on Pathologic and Molecular Features. Hemato. 2022; 3(2):318-340. https://doi.org/10.3390/hemato3020023
Chicago/Turabian StyleLucioni, Marco, Sara Fraticelli, Giuseppe Neri, Monica Feltri, Giuseppina Ferrario, Roberta Riboni, and Marco Paulli. 2022. "Primary Cutaneous B-Cell Lymphoma: An Update on Pathologic and Molecular Features" Hemato 3, no. 2: 318-340. https://doi.org/10.3390/hemato3020023
APA StyleLucioni, M., Fraticelli, S., Neri, G., Feltri, M., Ferrario, G., Riboni, R., & Paulli, M. (2022). Primary Cutaneous B-Cell Lymphoma: An Update on Pathologic and Molecular Features. Hemato, 3(2), 318-340. https://doi.org/10.3390/hemato3020023

