Production of Multifunctional Hydrolysates from the Lupinus mutabilis Protein Using a Micrococcus sp. PC7 Protease
Abstract
1. Introduction
2. Materials and Methods
2.1. Materials and Reagents
2.2. Production of PC7 Protease
2.3. Obtention of Albumin Fraction from L. mutabilis Seeds
2.4. Characterization of the Albumin Fraction
2.4.1. Determination of Protein and Amino Acid Content
2.4.2. In-Gel Digestion (Stacking Gel)
2.4.3. Reverse-Phase Liquid Chromatography (RP-LC-MS/MS) Analysis (Dynamic Exclusion Mode)
2.4.4. Data Processing
2.4.5. Proteomic Functional Analysis
2.5. Hydrolysis of Albumin Fraction with PC7 Protease
2.6. Sequential Hydrolysis of Albumin Fraction with Protease PC7 and Alcalase (HAPA)
2.7. SDS-PAGE Electrophoretic Profile
2.8. Determination of Biological Activities
2.8.1. ABTS Assay
2.8.2. Oxygen Radical Absorbance Capacity (ORAC) Assay
2.8.3. Angiotensin-Converting Enzyme (ACE) Inhibitory Activity
2.8.4. Dipeptidyl Peptidase-IV (DPP-IV) Inhibitory Activity
2.9. Statistical Analysis
3. Results and Discussion
3.1. Obtention of Albumin Fraction (AF) from Lupinus mutabilis by Tangential Flow Ultrafiltration
3.2. Proteomic Characterization and Functional Analysis of L. mutabilis Albumin
3.3. Optimization of Albumin Hydrolysis with Protease PC7
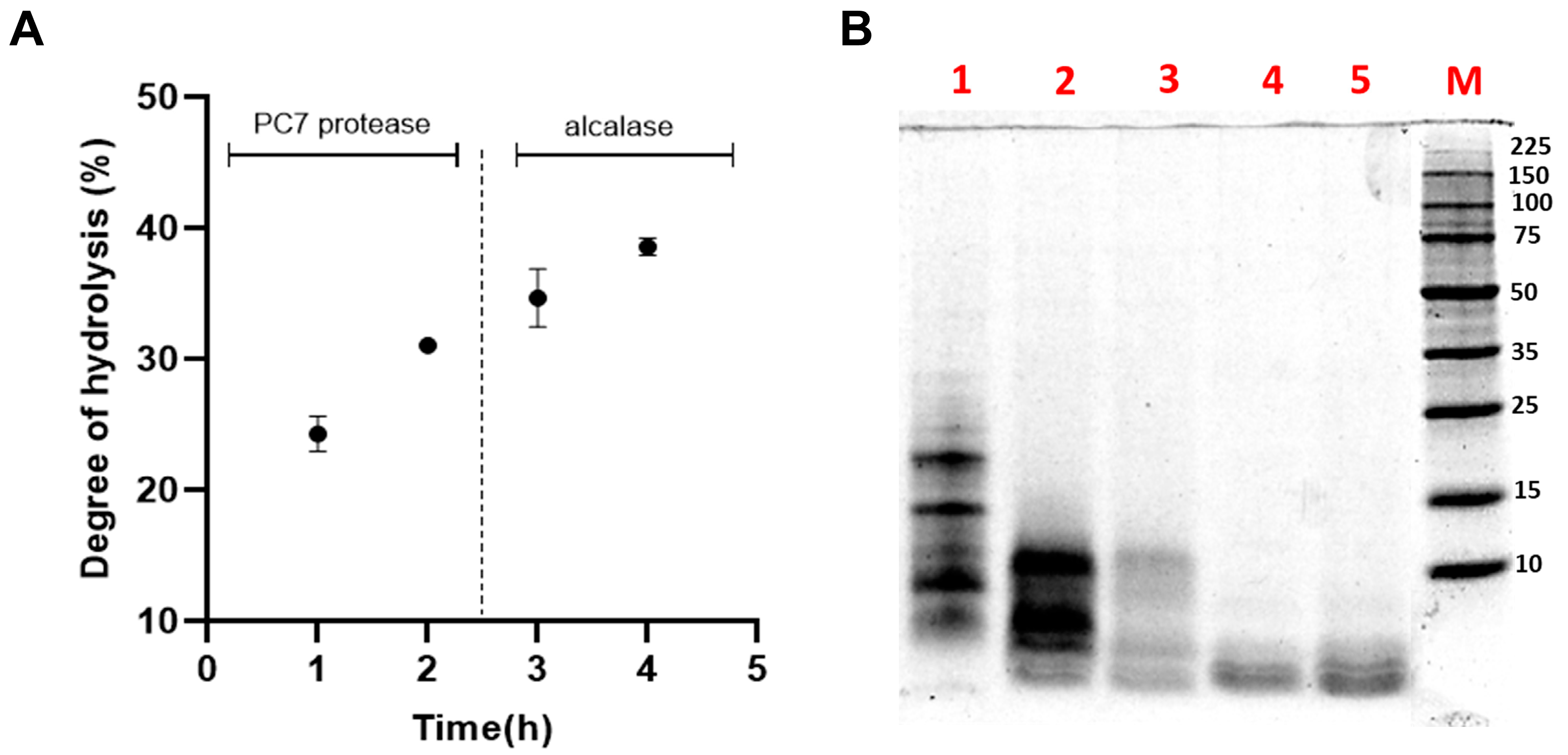
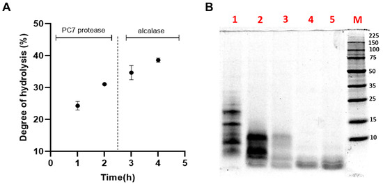
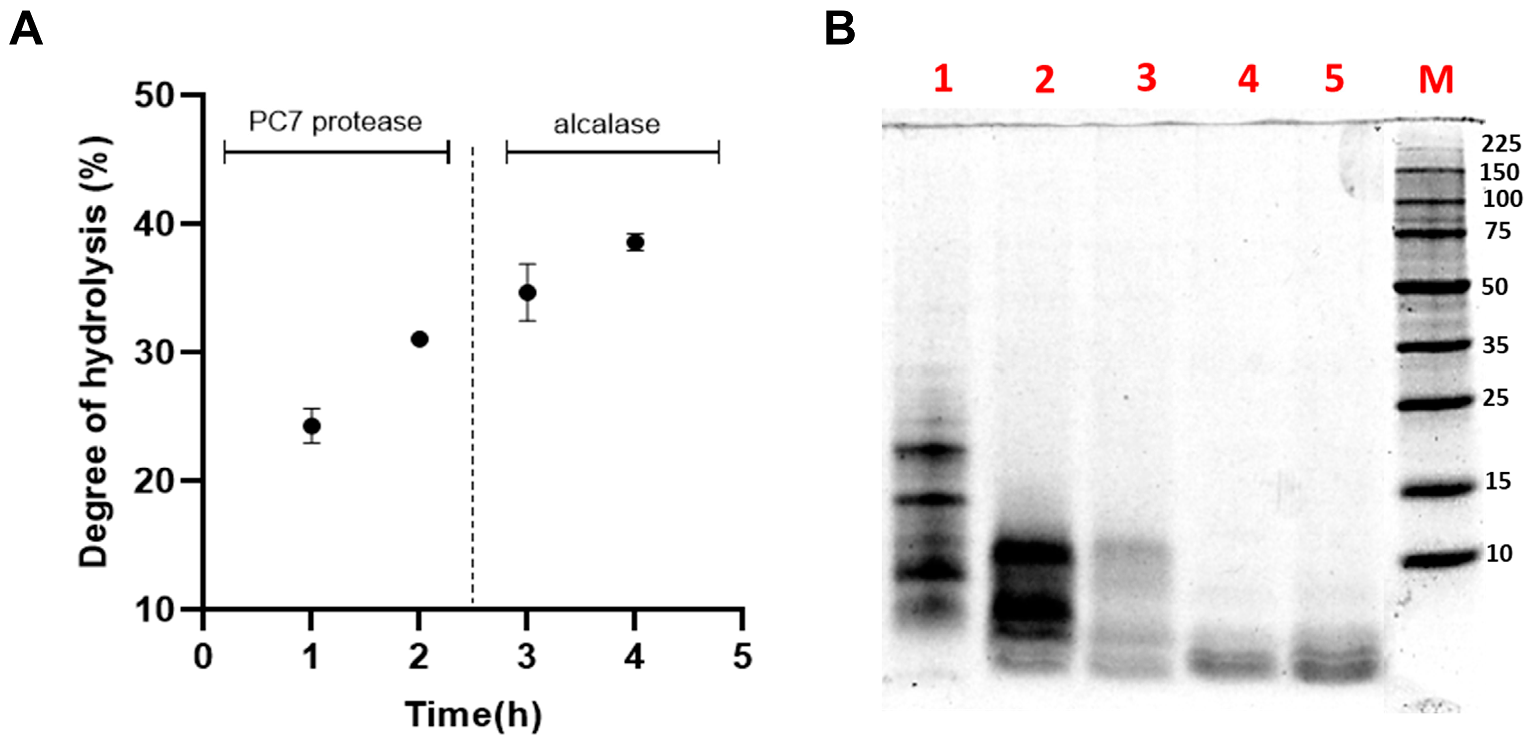
3.4. Hydrolysis of Albumin with Protease PC7 and Alcalase
3.5. Assessment of Biological Activities
4. Conclusions
Supplementary Materials
Author Contributions
Funding
Institutional Review Board Statement
Informed Consent Statement
Data Availability Statement
Conflicts of Interest
References
- Rashidinejad, A. The Road Ahead for Functional Foods: Promising Opportunities amidst Industry Challenges. Future Postharvest Food 2024, 1, 266–273. [Google Scholar] [CrossRef]
- Rizzello, C.G.; Tagliazucchi, D.; Babini, E.; Sefora Rutella, G.; Taneyo Saa, D.L.; Gianotti, A. Bioactive Peptides from Vegetable Food Matrices: Research Trends and Novel Biotechnologies for Synthesis and Recovery. J. Funct. Foods 2016, 27, 549–569. [Google Scholar] [CrossRef]
- Singh, N.; Jain, P.; Ujinwal, M.; Langyan, S. Escalate Protein Plates from Legumes for Sustainable Human Nutrition. Front. Nutr. 2022, 9, 977986. [Google Scholar] [CrossRef] [PubMed]
- Aderinola, T.A.; Duodu, K.G. Production, Health-promoting Properties and Characterization of Bioactive Peptides from Cereal and Legume Grains. BioFactors 2022, 48, 972–992. [Google Scholar] [CrossRef]
- Shea, Z.; Ogando Do Granja, M.; Fletcher, E.B.; Zheng, Y.; Bewick, P.; Wang, Z.; Singer, W.M.; Zhang, B. A Review of Bioactive Compound Effects from Primary Legume Protein Sources in Human and Animal Health. Curr. Issues Mol. Biol. 2024, 46, 4203–4233. [Google Scholar] [CrossRef]
- Chen, W.; Xu, D. Phytic Acid and Its Interactions in Food Components, Health Benefits, and Applications: A Comprehensive Review. Trends. Food. Sci. Technol. 2023, 141, 104201. [Google Scholar] [CrossRef]
- Guerra-Ávila, P.L.; Guzmán, T.J.; Domínguez-Rosales, J.A.; García-López, P.M.; Cervantes-Garduño, A.B.; Wink, M.; Gurrola-Díaz, C.M. Combined Gamma Conglutin and Lupanine Treatment Exhibits In Vivo an Enhanced Antidiabetic Effect by Modulating the Liver Gene Expression Profile. Pharmaceuticals 2023, 16, 117. [Google Scholar] [CrossRef]
- Hu, K.; Huang, H.; Li, H.; Wei, Y.; Yao, C. Legume-Derived Bioactive Peptides in Type 2 Diabetes: Opportunities and Challenges. Nutrients 2023, 15, 1096. [Google Scholar] [CrossRef]
- Matemu, A.; Nakamura, S.; Katayama, S. Health Benefits of Antioxidative Peptides Derived from Legume Proteins with a High Amino Acid Score. Antioxidants 2021, 10, 316. [Google Scholar] [CrossRef]
- Neji, C.; Semwal, J.; Kamani, M.H.; Máthé, E.; Sipos, P. Legume Protein Extracts: The Relevance of Physical Processing in the Context of Structural, Techno-Functional and Nutritional Aspects of Food Development. Processes 2022, 10, 2586. [Google Scholar] [CrossRef]
- Zaky, A.A.; Simal-Gandara, J.; Eun, J.-B.; Shim, J.-H.; Abd El-Aty, A.M. Bioactivities, Applications, Safety, and Health Benefits of Bioactive Peptides from Food and By-Products: A Review. Front. Nutr. 2022, 8, 815640. [Google Scholar] [CrossRef] [PubMed]
- López-García, G.; Dublan-García, O.; Arizmendi-Cotero, D.; Gómez Oliván, L.M. Antioxidant and Antimicrobial Peptides Derived from Food Proteins. Molecules 2022, 27, 1343. [Google Scholar] [CrossRef] [PubMed]
- Fuel, M.; Mesas, C.; Martínez, R.; Ortiz, R.; Quiñonero, F.; Bermúdez, F.; Gutiérrez, N.; Torres, A.M.; Kapravelou, G.; Lozano, A.; et al. Antioxidant and Chemopreventive Activity of Protein Hydrolysates from Raw and Germinated Flour of Legumes with Commercial Interest in Colorectal Cancer. Antioxidants 2022, 11, 2421. [Google Scholar] [CrossRef]
- Boschin, G.; Scigliuolo, G.M.; Resta, D.; Arnoldi, A. ACE-Inhibitory Activity of Enzymatic Protein Hydrolysates from Lupin and Other Legumes. Food Chem. 2014, 145, 34–40. [Google Scholar] [CrossRef]
- Intiquilla, A.; Jiménez-Aliaga, K.; Zavaleta, A.I.; Hernández-Ledesma, B. Production of Antioxidant Hydrolyzates from a Lupinus mutabilis (Tarwi) Protein Concentrate with Alcalase: Optimization by Response Surface Methodology. Nat. Prod. Commun. 2018, 13, 751–756. [Google Scholar] [CrossRef]
- Kamran, F.; Phillips, M.; Harman, D.G.; Reddy, N. Antioxidant Activities of Lupin (Lupinus angustifolius) Protein Hydrolysates and Their Potential for Nutraceutical and Functional Foods. Food Chem. Adv. 2023, 2, 100297. [Google Scholar] [CrossRef]
- Lemus-Conejo, A.; Grao-Cruces, E.; Toscano, R.; Varela, L.M.; Claro, C.; Pedroche, J.; Millan, F.; Millan-Linares, M.C.; Montserrat-de La Paz, S. A Lupine (Lupinus angustifolious L.) Peptide Prevents Non-Alcoholic Fatty Liver Disease in High-Fat-Diet-Induced Obese Mice. Food Funct. 2020, 11, 2943–2952. [Google Scholar] [CrossRef]
- Lermen, A.M.; Clerici, N.J.; Borchartt Maciel, D.; Daroit, D.J. Characterization and Application of a Crude Bacterial Protease to Produce Antioxidant Hydrolysates from Whey Protein. Prep. Biochem. Biotechnol. 2023, 53, 12–21. [Google Scholar] [CrossRef]
- Bautista, C.; Arredondo-Nuñez, A.; Intiquilla, A.; Flores-Fernández, C.N.; Brandelli, A.; Jiménez-Aliaga, K.; Zavaleta, A.I. One-Step Purification and Characterization of a Haloprotease from Micrococcus Sp. PC7 for the Production of Protein Hydrolysates from Andean Legumes. Arch. Microbiol. 2024, 206, 377. [Google Scholar] [CrossRef]
- Carvajal-Larenas, F.E.; Linnemann, A.R.; Nout, M.J.R.; Koziol, M.; van Boekel, M.A.J.S. Lupinus mutabilis: Composition, Uses, Toxicology, and Debittering. Crit. Rev. Food Sci. Nutr. 2016, 56, 1454–1487. [Google Scholar] [CrossRef]
- Chirinos, R.; Cerna, E.; Pedreschi, R.; Calsin, M.; Aguilar-Galvez, A.; Campos, D. Multifunctional in Vitro Bioactive Properties: Antioxidant, Antidiabetic, and Antihypertensive of Protein Hydrolyzates from Tarwi (Lupinus mutabilis Sweet) Obtained by Enzymatic Biotransformation. Cereal Chem. 2021, 98, 423–433. [Google Scholar] [CrossRef]
- Ruiz-López, M.A.; Barrientos-Ramírez, L.; García-López, P.M.; Valdés-Miramontes, E.H.; Zamora-Natera, J.F.; Rodríguez-Macias, R.; Salcedo-Pérez, E.; Bañuelos-Pineda, J.; Vargas-Radillo, J.J. Nutritional and Bioactive Compounds in Mexican Lupin Beans Species: A Mini-Review. Nutrients 2019, 11, 1785. [Google Scholar] [CrossRef] [PubMed]
- John, H.; Giri, S.K.; Subeesh, A.; Chandra, P.; Pandiselvam, R. Optimization of Process Parameters for the Production of Soy Protein by Ultrafiltration Using ANN. J. Food Process. Preserv. 2024, 2024, 5535413. [Google Scholar] [CrossRef]
- Abril, A.G.; Pazos, M.; Villa, T.G.; Calo-Mata, P.; Barros-Velázquez, J.; Carrera, M. Proteomics Characterization of Food-Derived Bioactive Peptides with Anti-Allergic and Anti-Inflammatory Properties. Nutrients 2022, 14, 4400. [Google Scholar] [CrossRef]
- Corrochano, A.R.; Cal, R.; Kennedy, K.; Wall, A.; Murphy, N.; Trajkovic, S.; O’Callaghan, S.; Adelfio, A.; Khaldi, N. Characterising the Efficacy and Bioavailability of Bioactive Peptides Identified for Attenuating Muscle Atrophy within a Vicia Faba-Derived Functional Ingredient. Curr. Res. Food Sci. 2021, 4, 224–232. [Google Scholar] [CrossRef]
- Xu, R.; Sirtori, E.; Boschin, G.; Torres, K.B.; Arnoldi, A.; Aiello, G. Proteomic Analysis of the Seeds of Four Wild Mexican Lupinus Species: Focus on Storage Proteins. Diversity 2022, 14, 814. [Google Scholar] [CrossRef]
- Dyall-Smith, M. The Halohandbook; University of Melbourne: Melbourne, Australia, 2009. [Google Scholar]
- Sironi, E.; Sessa, F.; Duranti, M. A Simple Procedure of Lupin Seed Protein Fractionation for Selective Food Applications. Eur. Food Res. Technol. 2005, 221, 145–150. [Google Scholar] [CrossRef]
- Bradstreet, R.B. Kjeldahl Method for Organic Nitrogen. Anal. Chem. 1954, 26, 185–187. [Google Scholar] [CrossRef]
- AOAC International. Official Methods of Analysis, 22nd ed.; AOAC International: Rockville, MD, USA, 2023. [Google Scholar]
- Torres-Sánchez, E.; Morato, E.; Hernández-Ledesma, B.; Gutiérrez, L.-F. Proteomic Analysis of the Major Alkali-Soluble Inca Peanut (Plukenetia volubilis) Proteins. Foods 2024, 13, 3275. [Google Scholar] [CrossRef]
- Sanchiz, Á.; Morato, E.; Rastrojo, A.; Camacho, E.; González-de La Fuente, S.; Marina, A.; Aguado, B.; Requena, J.M. The Experimental Proteome of Leishmania Infantum Promastigote and Its Usefulness for Improving Gene Annotations. Genes 2020, 11, 1036. [Google Scholar] [CrossRef]
- Shevchenko, A.; Wilm, M.; Vorm, O.; Mann, M. Mass Spectrometric Sequencing of Proteins from Silver-Stained Polyacrylamide Gels. Anal. Chem. 1996, 68, 850–858. [Google Scholar] [CrossRef]
- Tran, N.H.; Qiao, R.; Xin, L.; Chen, X.; Liu, C.; Zhang, X.; Shan, B.; Ghodsi, A.; Li, M. Deep Learning Enables de Novo Peptide Sequencing from Data-Independent-Acquisition Mass Spectrometry. Nat. Methods 2019, 16, 63–66. [Google Scholar] [CrossRef]
- Perez-Riverol, Y.; Bandla, C.; Kundu, D.J.; Kamatchinathan, S.; Bai, J.; Hewapathirana, S.; John, N.S.; Prakash, A.; Walzer, M.; Wang, S.; et al. The PRIDE Database at 20 Years: 2025 Update. Nucleic Acids Res. 2025, 53, D543–D553. [Google Scholar] [CrossRef] [PubMed]
- Tran, N.H.; Zhang, X.; Xin, L.; Shan, B.; Li, M. De Novo Peptide Sequencing by Deep Learning. Proc. Natl. Acad. Sci. USA 2017, 114, 8247–8252. [Google Scholar] [CrossRef]
- AltschuP, S.F.; Gish, W.; Miller, W.; Myers, E.W.; Lipman, D.J. Basic Local Alignment Search Tool. J. Mol. Biol. 1990, 215, 403–410. [Google Scholar] [CrossRef]
- Nielsen, P.M.; Petersen, D.; Dambmann, C. Improved Method for Determining Food Protein Degree of Hydrolysis. J. Food Sci. 2001, 66, 642–646. [Google Scholar] [CrossRef]
- Intiquilla, A.; Jiménez-Aliaga, K.; Iris Zavaleta, A.; Gamboa, A.; Caro, N.; Diaz, M.; Gotteland, M.; Abugoch, L.; Tapia, C. Nanoencapsulation of Antioxidant Peptides from Lupinus mutabilis in Chitosan Nanoparticles Obtained by Ionic Gelling and Spray Freeze Drying Intended for Colonic Delivery. Food Biosci. 2022, 50, 102055. [Google Scholar] [CrossRef]
- Haider, S.R.; Reid, H.J.; Sharp, B.L. Tricine-SDS-PAGE. In Electrophoretic Separation of Proteins; Kurien, B.T., Scofield, R.H., Eds.; Methods in Molecular Biology; Springer: New York, NY, USA, 2019; Volume 1855, pp. 151–160. ISBN 978-1-4939-8792-4. [Google Scholar]
- Re, R.; Pellegrini, N.; Proteggente, A.; Pannala, A.; Yang, M.; Rice-Evans, C. Antioxidant Activity Applying an Improved ABTS Radical Cation Decolorization Assay. Free Radic. Biol. Med. 1999, 26, 1231–1237. [Google Scholar] [CrossRef]
- Hernández-Ledesma, B.; Dávalos, A.; Bartolomé, B.; Amigo, L. Preparation of Antioxidant Enzymatic Hydrolysates from α-Lactalbumin and β-Lactoglobulin. Identification of Active Peptides by HPLC-MS/MS. J. Agric. Food Chem. 2005, 53, 588–593. [Google Scholar] [CrossRef]
- Hayakari, M.; Kondo, Y.; Izumi, H. A Rapid and Simple Spectrophotometric Assay of Angiotensin-Converting Enzyme. Anal. Biochem. 1978, 84, 361–369. [Google Scholar] [CrossRef]
- Palma-Albino, C.; Intiquilla, A.; Jiménez-Aliaga, K.; Rodríguez-Arana, N.; Solano, E.; Flores, E.; Zavaleta, A.I.; Izaguirre, V.; Hernández-Ledesma, B. Albumin from Erythrina Edulis (Pajuro) as a Promising Source of Multifunctional Peptides. Antioxidants 2021, 10, 1722. [Google Scholar] [CrossRef]
- Czubinski, J.; Feder, S. Lupin Seeds Storage Protein Composition and Their Interactions with Native Flavonoids. J. Sci. Food Agric. 2019, 99, 4011–4018. [Google Scholar] [CrossRef] [PubMed]
- Asen, N.D.; Aluko, R.E.; Martynenko, A.; Utioh, A.; Bhowmik, P. Yellow Field Pea Protein (Pisum sativum L.): Extraction Technologies, Functionalities, and Applications. Foods 2023, 12, 3978. [Google Scholar] [CrossRef] [PubMed]
- Loewe, D.; Grein, T.A.; Dieken, H.; Weidner, T.; Salzig, D.; Czermak, P. Tangential Flow Filtration for the Concentration of Oncolytic Measles Virus: The Influence of Filter Properties and the Cell Culture Medium. Membranes 2019, 9, 160. [Google Scholar] [CrossRef]
- Hojilla-Evangelista, M.P.; Sessa, D.J.; Mohamed, A. Functional Properties of Soybean and Lupin Protein Concentrates Produced by Ultrafiltration-diafiltration. J. Am. Oil Chem. Soc. 2004, 81, 1153–1157. [Google Scholar] [CrossRef]
- Nadal, P.; Canela, N.; Katakis, I.; O’Sullivan, C.K. Extraction, Isolation, and Characterization of Globulin Proteins from Lupinus albus. J. Agric. Food Chem. 2011, 59, 2752–2758. [Google Scholar] [CrossRef]
- Muranyi, I.S.; Volke, D.; Hoffmann, R.; Eisner, P.; Herfellner, T.; Brunnbauer, M.; Koehler, P.; Schweiggert-Weisz, U. Protein Distribution in Lupin Protein Isolates from Lupinus Angustifolius L. Prepared by Various Isolation Techniques. Food Chem. 2016, 207, 6–15. [Google Scholar] [CrossRef]
- Salmanowicz, B.P. Capillary Electrophoresis of Seed 2S Albumins from Lupinus Species. J. Chromatogr. A 2000, 894, 297–310. [Google Scholar] [CrossRef]
- Salmanowicz, B.P.; Weder, J.K.P. Primary Structure of 2S Albumin from Seeds of Lupinus albus. Eur. Food Res. Technol. 1997, 204, 129–135. [Google Scholar] [CrossRef]
- Foley, R.C.; Gao, L.-L.; Spriggs, A.; Soo, L.Y.; Goggin, D.E.; Smith, P.M.; Atkins, C.A.; Singh, K.B. Identification and Characterisation of Seed Storage Protein Transcripts from Lupinus angustifolius. BMC Plant Biol. 2011, 11, 59. [Google Scholar] [CrossRef]
- Han, Y.; Ma, B.; Zhang, K. Spider: Software for Protein Identification from Sequence Tags with de Novo Sequencing Error. J. Bioinform. Comput. Biol. 2005, 3, 697–716. [Google Scholar] [CrossRef]
- Rashid, M.H.U.; Yi, E.K.J.; Amin, N.D.M.; Ismail, M.N. An Empirical Analysis of Sacha Inchi (Plantae: Plukenetia volubilis L.) Seed Proteins and Their Applications in the Food and Biopharmaceutical Industries. Appl. Biochem. Biotechnol. 2024, 196, 4823–4836. [Google Scholar] [CrossRef]
- Devkota, L.; Kyriakopoulou, K.; Bergia, R.; Dhital, S. Structural and Thermal Characterization of Protein Isolates from Australian Lupin Varieties as Affected by Processing Conditions. Foods 2023, 12, 908. [Google Scholar] [CrossRef]
- Meyer, J.G. In silico Proteome Cleavage Reveals Iterative Digestion Strategy for High Sequence Coverage. ISRN Comput. Biol. 2014, 2014, 960902. [Google Scholar] [CrossRef] [PubMed]
- Kruchinin, A.G.; Bolshakova, E.I.; Barkovskaya, I.A. Bioinformatic Modeling (In Silico) of Obtaining Bioactive Peptides from the Protein Matrix of Various Types of Milk Whey. Fermentation 2023, 9, 380. [Google Scholar] [CrossRef]
- Salmanowicz, B.P. Primary Structure and Polymorphism of 2S Albumins from Seeds of Andean Lupin (Lupinus mutabilis Sweet). Eur. Food Res. Technol. 1999, 209, 416–422. [Google Scholar] [CrossRef]
- Borek, S.; Pukacka, S.; Michalski, K. Regulation by Sucrose of Storage Compounds Breakdown in Germinating Seeds of Yellow Lupine (Lupinus luteus L.), White Lupine (Lupinus albus L.) and Andean Lupine (Lupinus mutabilis Sweet). II. Mobilization of Storage Lipid. Acta Physiol. Plant. 2012, 34, 1199–1206. [Google Scholar] [CrossRef]
- Borek, S.; Pukacka, S.; Michalski, K.; Ratajczak, L. Lipid and Protein Accumulation in Developing Seeds of Three Lupine Species: Lupinus luteus L., Lupinus albus L., and Lupinus mutabilis Sweet. J. Exp. Bot. 2009, 60, 3453–3466. [Google Scholar] [CrossRef] [PubMed]
- Islam, S.; Ma, W.; Appels, R.; Yan, G. Mass Spectrometric Fingerprints of Seed Protein for Defining Lupinus spp. Relationships. Genet. Resour. Crop Evol. 2013, 60, 939–952. [Google Scholar] [CrossRef]
- Hunsakul, K.; Laokuldilok, T.; Sakdatorn, V.; Klangpetch, W.; Brennan, C.S.; Utama-ang, N. Optimization of Enzymatic Hydrolysis by Alcalase and Flavourzyme to Enhance the Antioxidant Properties of Jasmine Rice Bran Protein Hydrolysate. Sci. Rep. 2022, 12, 12582. [Google Scholar] [CrossRef]
- Zheng, Y.; Wang, X.; Zhuang, Y.; Li, Y.; Tian, H.; Shi, P.; Li, G. Isolation of Novel ACE-Inhibitory and Antioxidant Peptides from Quinoa Bran Albumin Assisted with an In Silico Approach: Characterization, In Vivo Antihypertension, and Molecular Docking. Molecules 2019, 24, 4562. [Google Scholar] [CrossRef] [PubMed]
- Krunic, T.; Rakin, M. Combination of Controlled Enzymatic Hydrolysis and Ultrafiltration as the Technique for Bioactive Peptide Production Intended for the Food Industry. Innov. Food Sci. Emerg. Technol. 2025, 102, 103979. [Google Scholar] [CrossRef]
- Rostammiry, L.; Reza Saeidiasl, M.; Safar, R.; Javadian, R. Optimization of the Enzymatic Hydrolysis of Soy Protein Isolate by Alcalase and Trypsin. Biosci. Biotechnol. Res. Asia 2017, 14, 193–200. [Google Scholar] [CrossRef]
- Sun, C.; Shan, Y.; Tang, X.; Han, D.; Wu, X.; Wu, H.; Hosseininezhad, M. Effects of Enzymatic Hydrolysis on Physicochemical Property and Antioxidant Activity of Mulberry (Morus atropurpurea Roxb.) Leaf Protein. Food Sci. Nutr. 2021, 9, 5379–5390. [Google Scholar] [CrossRef]
- Tacias-Pascacio, V.G.; Morellon-Sterling, R.; Siar, E.-H.; Tavano, O.; Berenguer-Murcia, Á.; Fernandez-Lafuente, R. Use of Alcalase in the Production of Bioactive Peptides: A Review. Int. J. Biol. Macromol. 2020, 165, 2143–2196. [Google Scholar] [CrossRef]
- Sbroggio, M.F.; Montilha, M.S.; Figueiredo, V.R.G.D.; Georgetti, S.R.; Kurozawa, L.E. Influence of the Degree of Hydrolysis and Type of Enzyme on Antioxidant Activity of Okara Protein Hydrolysates. Food Sci. Technol. 2016, 36, 375–381. [Google Scholar] [CrossRef]
- Chen, C.; Sun-Waterhouse, D.; Zhang, Y.; Zhao, M.; Sun, W. The Chemistry behind the Antioxidant Actions of Soy Protein Isolate Hydrolysates in a Liposomal System: Their Performance in Aqueous Solutions and Liposomes. Food Chem. 2020, 323, 126789. [Google Scholar] [CrossRef]
- Xiang, Z.; Xue, Q.; Gao, P.; Yu, H.; Wu, M.; Zhao, Z.; Li, Y.; Wang, S.; Zhang, J.; Dai, L. Antioxidant Peptides from Edible Aquatic Animals: Preparation Method, Mechanism of Action, and Structure-Activity Relationships. Food Chem. 2023, 404, 134701. [Google Scholar] [CrossRef]
- Chen, T.; Chen, Z.; Wang, H.; Chen, X.; Yang, J.; Han, A.; Lin, D.-H.; Hong, J. Underlying Action Mechanism of a Novel Antioxidant Peptide Derived from Allium Tuberosum Rottler Protein Hydrolysates and Its Protective Effects on Hydrogen Peroxide Induced Cell Injury. J. Funct. Foods 2018, 40, 606–613. [Google Scholar] [CrossRef]
- Wen, C.; Zhang, J.; Zhang, H.; Duan, Y.; Ma, H. Plant Protein-Derived Antioxidant Peptides: Isolation, Identification, Mechanism of Action and Application in Food Systems: A Review. Trends Food Sci. Technol. 2020, 105, 308–322. [Google Scholar] [CrossRef]
- Betancur-Ancona, D.; Sosa-Espinoza, T.; Ruiz-Ruiz, J.; Segura-Campos, M.; Chel-Guerrero, L. Enzymatic Hydrolysis of Hard-to-Cook Bean (Phaseolus vulgaris L.) Protein Concentrates and Its Effects on Biological and Functional Properties. Int. J. Food Sci. Technol. 2014, 49, 2–8. [Google Scholar] [CrossRef]
- Boschin, G.; Scigliuolo, G.M.; Resta, D.; Arnoldi, A. Optimization of the Enzymatic Hydrolysis of Lupin (Lupinus) Proteins for Producing ACE-Inhibitory Peptides. J. Agric. Food Chem. 2014, 62, 1846–1851. [Google Scholar] [CrossRef]
- Yoshie-Stark, Y.; Bez, J.; Wada, Y.; Wäsche, A. Functional Properties, Lipoxygenase Activity, and Health Aspects of Lupinus Albus Protein Isolates. J. Agric. Food Chem. 2004, 52, 7681–7689. [Google Scholar] [CrossRef]
- Rivero-Pino, F.; Leon, M.J.; Millan-Linares, M.C.; Montserrat-de La Paz, S. Antimicrobial Plant-Derived Peptides Obtained by Enzymatic Hydrolysis and Fermentation as Components to Improve Current Food Systems. Trends Food Sci. Technol. 2023, 135, 32–42. [Google Scholar] [CrossRef]
- Muñoz, E.B.; Luna-Vital, D.A.; Fornasini, M.; Baldeón, M.E.; Gonzalez De Mejia, E. Gamma-Conglutin Peptides from Andean Lupin Legume (Lupinus mutabilis Sweet) Enhanced Glucose Uptake and Reduced Gluconeogenesis In Vitro. J. Funct. Foods 2018, 45, 339–347. [Google Scholar] [CrossRef]





| Amino Acid | AF from L. mutabilis | |
|---|---|---|
| g/100 g Protein | g/100 g Biomass | |
| Essential (EAA) | ||
| Lysine (Lys) | 3.52 ± 0.05 | 2.92 ± 0.04 |
| Phenylalanine (Phe) | 2.38 ± 0.03 | 1.97 ± 0.03 |
| Tyrosine (Tyr) | 2.06 ± 0.11 | 1.71 ± 0.09 |
| Methionine (Met) | 0.34 ± 0.03 | 0.28 ± 0.03 |
| Cysteine (Cys) | 1.42 ± 0.12 | 1.17 ± 0.10 |
| Threonine (Thr) | 2.38 ± 0.04 | 1.97 ± 0.03 |
| Leucine (Leu) | 3.73 ± 0.02 | 3.09 ± 0.02 |
| Isoleucine (Ile) | 1.91 ± 0.07 | 1.58 ± 0.06 |
| Valine (Val) | 1.70 ± 0.04 | 1.41 ± 0.03 |
| Non-essential (NEAA) | ||
| Aspartic acid + Asparagine (Asx) | 6.41 ± 0.03 | 5.31 ± 0.03 |
| Glutamic acid + Glutamine (Glx) | 20.01 ± 0.26 | 16.58 ± 0.21 |
| Serine (Ser) | 3.63 ± 0.06 | 3.01 ± 0.05 |
| Histidine (Hys) | 2.07 ± 0.05 | 1.72 ± 0.04 |
| Arginine (Arg) | 8.54 ± 0.29 | 7.08 ± 0.24 |
| Alanine (Ala) | 2.31 ± 0.02 | 1.91 ± 0.01 |
| Proline (Pro) | 2.91 ± 0.00 | 2.41 ± 0.00 |
| Glycine (Gly) | 2.55 ± 0.02 | 2.11 ± 0.02 |
| EAA | 19.44 | 16.10 |
| NEAA | 48.43 | 40.13 |
| TAA | 67.87 | 56.23 |
| EAA × 100/TAA (%) | 28.64 | |
| EAA × 100/NEAA (%) | 40.14 | |
| HAA × 100/TAA (%) | 27.64 | |
| AAA × 100/TAA (%) | 6.54 | |
| Run | X1 | X2 | Y1 | Y2 | ||
|---|---|---|---|---|---|---|
| E/S | Time | DH (%) | TEAC (µmol TE/g Protein) | |||
| (U/mg) | (min) | Observed | Predicted | Observed | Predicted | |
| 1 | 75 | 45 | 22.57 ± 0.35 | 18.94 | 142.3 ± 7.26 | 136.9 |
| 2 | 225 | 45 | 32.91 ± 0.74 | 23.55 | 193.3 ± 0.19 | 185.4 |
| 3 | 75 | 135 | 25.14 ± 0.93 | 29.40 | 195.0 ± 9.74 | 199.1 |
| 4 | 225 | 135 | 39.49 ± 0.88 | 34.01 | 201.2 ± 9.52 | 202.8 |
| 5 | 150 | 26.4 | 26.39 ± 0.69 | 20.03 | 139.6 ± 2.86 | 143.7 |
| 6 | 150 | 153.6 | 35.24 ± 1.26 | 34.82 | 208.7 ± 10.00 | 203.8 |
| 7 | 44 | 90 | 18.93 ± 0.45 | 22.28 | 168.0 ± 8.44 | 168.1 |
| 8 | 256 | 90 | 39.86 ± 1.02 | 28.79 | 201.3 ± 14.54 | 205.0 |
| 9 | 150 | 90 | 33.38 ± 2.35 | 28.29 | 224.6 ± 12.50 | 224.3 |
| 10 | 150 | 90 | 32.54 ± 1.85 | 28.29 | 222.8 ± 11.08 | 224.3 |
| 11 | 150 | 90 | 29.40 ± 2.15 | 28.29 | 235.7 ± 7.06 | 224.3 |
| Cause | Sum of Squares | Df | Middle Square | Value f | p |
|---|---|---|---|---|---|
| DH (%) | |||||
| (1) Time (L) | 58.6758 | 1 | 58.6758 | 13.30566 | 0.067622 |
| Time (Q) | 1.3973 | 1 | 1.3973 | 0.31687 | 0.630181 |
| (2) E/S (L) | 368.5564 | 1 | 368.5564 | 83.57598 | 0.011755 |
| E/S (Q) | 8.2223 | 1 | 8.2223 | 1.86453 | 0.305398 |
| Lack of Fit | 8.4929 | 4 | 2.1232 | 0.48147 | 0.759349 |
| Pure error | 8.8197 | 2 | 4.4098 | ||
| R2 | 0.9618 | ||||
| R2 adjusted | 0.9363 | ||||
| TEAC (μmol TE/g protein) | |||||
| (1) E/S (L) | 1360.623 | 1 | 1360.623 | 11.97859 | 0.074298 |
| E/S (Q) | 2017.619 | 1 | 2017.619 | 17.76261 | 0.050195 |
| (2) Time (L) | 3187.316 | 1 | 3187.316 | 28.06033 | 0.033839 |
| Time (Q) | 3364.309 | 1 | 3364.309 | 29.61854 | 0.032144 |
| 1L by 2L | 501.975 | 1 | 501.975 | 4.41927 | 0.170278 |
| Lack of Fit | 225.913 | 3 | 75.304 | 0.66296 | 0.647924 |
| Pure error | 227.176 | 2 | 113.588 | ||
| R2 | 0.9534 | ||||
| R2 adjusted | 0.9067 | ||||
| Sample | ABTS | ORAC | ACE | DPP-IV |
|---|---|---|---|---|
| µmol TE/g Protein | µmol TE/g Protein | IC50 (µg/mL) | IC50 (µg/mL) | |
| Albumin fraction (AF) | 92.0 ± 2.9 a | 646.7 ± 55.3 a | 179.6 ± 5.5 a | 1207.9 ± 56.7 a |
| HAP | 251.1 ± 11.0 b | 1649.0 ± 75.7 b | 24.9 ± 0.9 b | 171.3 ± 10.3 b |
| HAPA | 536.7 ± 6.8 c | 3193.3 ± 230.3 c | 13.5 ± 1.1 c | 145.1 ± 6.8 c |
Disclaimer/Publisher’s Note: The statements, opinions and data contained in all publications are solely those of the individual author(s) and contributor(s) and not of MDPI and/or the editor(s). MDPI and/or the editor(s) disclaim responsibility for any injury to people or property resulting from any ideas, methods, instructions or products referred to in the content. |
© 2025 by the authors. Licensee MDPI, Basel, Switzerland. This article is an open access article distributed under the terms and conditions of the Creative Commons Attribution (CC BY) license (https://creativecommons.org/licenses/by/4.0/).
Share and Cite
Llontop-Bernabé, K.S.; Intiquilla, A.; Ramirez-Veliz, C.; Santos, M.; Jiménez-Aliaga, K.; Zavaleta, A.I.; Paterson, S.; Hernández-Ledesma, B. Production of Multifunctional Hydrolysates from the Lupinus mutabilis Protein Using a Micrococcus sp. PC7 Protease. BioTech 2025, 14, 32. https://doi.org/10.3390/biotech14020032
Llontop-Bernabé KS, Intiquilla A, Ramirez-Veliz C, Santos M, Jiménez-Aliaga K, Zavaleta AI, Paterson S, Hernández-Ledesma B. Production of Multifunctional Hydrolysates from the Lupinus mutabilis Protein Using a Micrococcus sp. PC7 Protease. BioTech. 2025; 14(2):32. https://doi.org/10.3390/biotech14020032
Chicago/Turabian StyleLlontop-Bernabé, Keyla Sofía, Arturo Intiquilla, Carlos Ramirez-Veliz, Marco Santos, Karim Jiménez-Aliaga, Amparo Iris Zavaleta, Samuel Paterson, and Blanca Hernández-Ledesma. 2025. "Production of Multifunctional Hydrolysates from the Lupinus mutabilis Protein Using a Micrococcus sp. PC7 Protease" BioTech 14, no. 2: 32. https://doi.org/10.3390/biotech14020032
APA StyleLlontop-Bernabé, K. S., Intiquilla, A., Ramirez-Veliz, C., Santos, M., Jiménez-Aliaga, K., Zavaleta, A. I., Paterson, S., & Hernández-Ledesma, B. (2025). Production of Multifunctional Hydrolysates from the Lupinus mutabilis Protein Using a Micrococcus sp. PC7 Protease. BioTech, 14(2), 32. https://doi.org/10.3390/biotech14020032

