The Elimination of Viroids through In Vitro Thermotherapy and a Meristem Tip Culture from a New Limonime Hybrid (Citrus x limon var. limon (L.) Burm. f. x Citrus latifolia var. latifolia)
Abstract
1. Introduction
2. Materials and Methods
2.1. Disinfection of Plant Material and In Vitro Culture Conditions
2.2. In Vitro Shoot Proliferation
2.3. In Vitro Rooting
2.4. Acclimatization and Production of Mother Plants
2.5. In Vitro Thermotherapy and Meristem Tip Culture for Viroid Elimination
2.5.1. In Vitro Thermotherapy
2.5.2. In Vitro Meristem Tip Culture
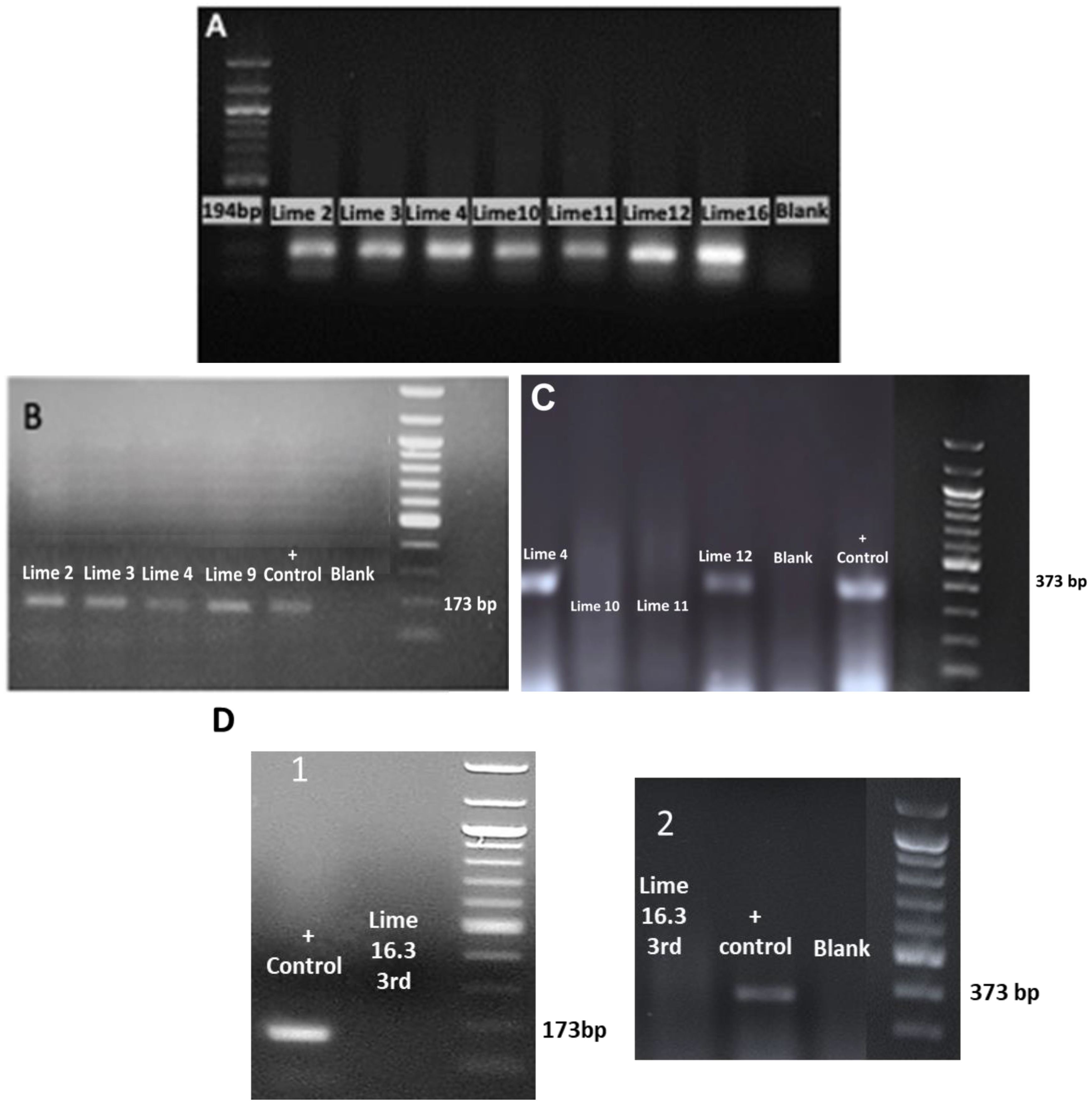
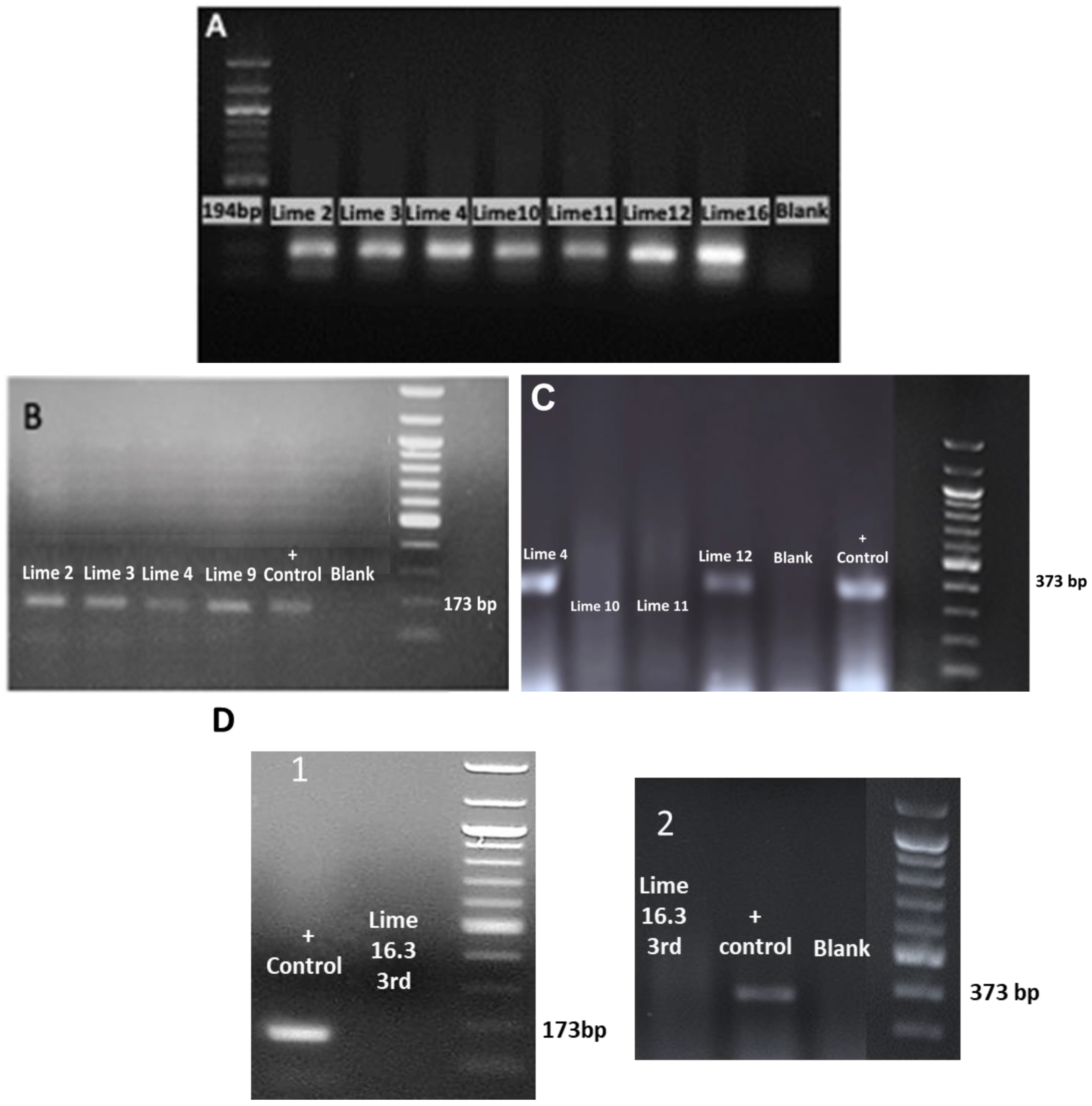
2.5.3. RT-PCR Detection of CEVd and HSVd
2.6. Statistical Analysis
3. Results
3.1. In Vitro Shoot Proliferation
3.2. In Vitro Rooting and Acclimatization
3.3. In Vitro Thermotherapy and Apical Meristem Culture
4. Discussion
5. Conclusions
Supplementary Materials
Author Contributions
Funding
Institutional Review Board Statement
Informed Consent Statement
Data Availability Statement
Acknowledgments
Conflicts of Interest
References
- Codoner-Franch, P.; Valls-Belles, V. Citrus as functional foods. Curr. Top. Nutraceutical Res. 2010, 8, 173–184. [Google Scholar]
- Volk, G.M.; Gmitter, F.G., Jr.; Krueger, R. A Global Strategy for the Conservation and Use of Citrus Genetic Resources; Global Crop Diversity Trust: Bonn, Germany, 2023; pp. 1–78. [Google Scholar] [CrossRef]
- Roose, M.L.; Gmitter, F.G.; Lee, R.F.; Hummer, K.E. Conservation of citrus germplasm: An international survey. Acta Hortic. 2015, 1101, 33–38. [Google Scholar] [CrossRef]
- Estrella-Maldonado, H.; Solís, J.R.M.; Rodríguez-Quibrera, C.G. Disinfection procedure for stem cuttings and in vitro production of axillary buds for the Persian lime sanitation. Int. J. Sci. Res. Arch. 2022, 7, 470–476. [Google Scholar] [CrossRef]
- Mathioudakis, M.M.; Tektonidis, N.; Karagianni, A.; Mikalef, L.; Gómez, P.; Hasiów-Jaroszewska, B. Incidence and epidemiology of citrus viroids in Greece: Role of host and cultivar in epidemiological characteristics. Viruses 2023, 15, 605. [Google Scholar] [CrossRef] [PubMed]
- Hadidi, A.; Sun, L.; Randles, J.W. Modes of viroid transmission. Cells 2022, 11, 719. [Google Scholar] [CrossRef] [PubMed]
- Vishwanath, W.; Narayan, P. In vitro multiplication of important horticultural plant Citrus reticulata Blanco. Int. J. Pharma Bio Sci. 2015, 6, B1275–B1280. [Google Scholar]
- Pethybridge, S.J.; Hay, F.S.; Barbara, D.J.; Eastwell, K.C.; Willson, C.R. Viruses and viroids infecting hop: Significance, epidemiology and management. Plant Dis. 2008, 92, 3. [Google Scholar] [CrossRef]
- Roistacher, C.N. Diagnosis and management of virus and virus like diseases of Citrus. In Diseases of Fruits and Vegetables; Naqvi, S.A.M.H., Ed.; Springer: Dordrecht, The Netherlands, 2004; Volume I, pp. 109–189. [Google Scholar] [CrossRef]
- Najar, A.; Hamdi, I.; Varsani, A.; Duran-Vila, N. Citrus viroids in Tunisia: Prevalence and molecular characterization. J. Plant Pathol. 2017, 99, 787–792. [Google Scholar] [CrossRef]
- Zhou, C.; da Graça, J.V.; Freitas-Astúa, J.; Vidalakis, G.; DuranVila, N.; Lavagi, I. Chapter 19-Citrus viruses and viroids. In The Genus Citrus; Talon, M., Caruso, M., Gmitter, F.G., Eds.; Elsevier: Amsterdam, The Netherlands, 2020; pp. 391–410. [Google Scholar] [CrossRef]
- Lin, C.Y.; Wu, M.L.; Shen, T.L.; Yen, H.H.; Hung, T.H. Multiplex detection, distribution, and genetic diversity of Hop stunt viroid and Citrus exocortis viroid infecting citrus in Taiwan. Virol. J. 2015, 12, 11. [Google Scholar] [CrossRef]
- Bernard, L.; Duran, V.N.; Elena, S.F. Effect of citrus hosts on the generation, maintenance and evolutionary fate of genetic variability of citrus exocortis viroid. J. Gen. Virol. 2009, 90, 2040–2049. [Google Scholar] [CrossRef]
- Duran-Vila, N. Chapter 16-Citrus exocortis viroid. In Viroids and Satellites; Hadidi, A., Flores, R., Randles, J.W., Palukaitis, P., Eds.; Academic Press Elsevier Inc.: Cambridge, MA, USA, 2017; pp. 169–179. [Google Scholar] [CrossRef]
- Hataya, T.; Tsushima, T.; Sano, T. Chapter 19-Hop stunt viroid. In Viroids and Satellites; Hadidi, A., Flores, R., Randles, J.W., Palukaitis, P., Eds.; Academic Press Elsevier Inc.: Cambridge, MA, USA, 2017; pp. 199–210. [Google Scholar] [CrossRef]
- Zeitooni, H.; Hashemian, S.M.B.; Shams-Bakhsh, M. Detection of hop stunt viroid variants from naturally infected kumquat and limequat trees in Mazandaran Province, Iran. J. Plant Pathol. 2023, 105, 545–556. [Google Scholar] [CrossRef]
- Vernière, C.; Perrier, X.; Dubois, C.; Dubois, A.; Botella, L.; Chabrier, C.; Bové, J.M.; Duran Vila, N. Interactions between citrus viroids affect symptom expression and field performance of clementine trees grafted on trifoliate orange. Virology 2006, 96, 356–368. [Google Scholar] [CrossRef] [PubMed]
- Vidalakis, G.; Pagliaccia, D.; Bash, J.A.; Semancik, J.S. Effects of mixtures of citrus viroids as transmissible small nuclear RNA on tree dwarfing and commercial scion performance on Carrizo citrange rootstock. Ann. Appl. Biol. 2010, 157, 415–423. [Google Scholar] [CrossRef]
- Gergerich, R.C.; Welliver, R.A.; Gettys, S.; Osterbauer, N.K.; Kamenidou, S.; Martin, R.R.; Golino, D.A.; Eastwell, K.; Fuchs, M.; Vidalakis, G.; et al. Safeguarding fruit crops in the age of agricultural globalization. Plant Dis. 2015, 99, 176–187. [Google Scholar] [CrossRef]
- Kapari-Isaia, T.; Kyriakou, A.; Papayiannis, L.; Tsaltas, D.; Gregoriou, S.; Psaltis, I. Rapid in vitro microindexing of viroids in citrus. Plant Pathol. 2008, 57, 348–353. [Google Scholar] [CrossRef]
- Maliogka, V.; Skiada, F.G.; Eleftheriou, E.; Katis, N. Elimination of a new ampelovirus (GLRaV-Pr) and Grapevine rupestris stem pitting associated virus (GRSPaV) from two Vitis vinifera cultivars combining in vitro thermotherapy with shoot tip culture. Sci. Hortic. 2009, 123, 280–282. [Google Scholar] [CrossRef]
- Skiada, F.G.; Grigoriadou, K.; Maliogka, V.I.; Katis, N.I.; Eleftheriou, E.P. Elimination of Grapevine leafroll-associated virus 1 and Grapevine rupestris stem pitting-associated virus from grapevine cv. Agiorgitiko, and a micropropagation protocol for mass production of virus-free plantlets. J. Plant Pathol. 2009, 91, 177–184. Available online: http://www.jstor.org/stable/41998589 (accessed on 20 January 2024).
- Fan, G.; Xia, Y.; Lin, X.; Cai, Z.; Hu, H.; Wang, X.; Ruan, C.; Lu, L.; Sequeira, R.; Liu, B. Evaluation of thermotherapy against huanglongbing (citrus greening) under laboratory conditions. J. Citrus Pathol. 2014, 1, 214. [Google Scholar] [CrossRef]
- Gong, H.; Igiraneza, C.; Dusengemungu, L. Major in vitro techniques for potato virus elimination and post eradication methods. A review. Am. J. Pot Res. 2019, 96, 379–389. [Google Scholar] [CrossRef]
- Miljaníc, V.; Rusjan, D.; Škvarč, A.; Chatelet, P.; Štajner, N. Elimination of eight viruses and two viroids from preclonal candidates of six grapevine varieties (Vitis vinifera L.) through in vivo thermotherapy and in vitro meristem tip micrografting. Plants 2022, 11, 1064. [Google Scholar] [CrossRef]
- Pérez-Tornero, O.; Tallón, C.; Porras, I. Citrus limon micropropagation: Effect of different phytohormones on multiplication and rooting. Acta Hortic. 2009, 839, 57–62. [Google Scholar] [CrossRef]
- Hadidi, A.; Barba, M. CHAPTER 1: Economic impact of pome and stone fruit viruses and viroids. In Virus and Virus-Like Diseases of Pome and Stone Fruits; Hadidi, A., Barba, M., Candresse, T., Jelkman, W., Eds.; American Phytopathological Society: St. Paul, MN, USA, 2011; pp. 1–7. [Google Scholar] [CrossRef]
- Wang, M.R.; Cui, Z.H.; Li, J.W.; Hao, X.Y.; Zhao, L.; Wang, Q.C. In vitro thermotherapy-based methods for plant virus eradication. Plant Methods 2018, 14, 87. [Google Scholar] [CrossRef]
- Murashige, T.; Skoog, F. A revised medium for rapid growth and bioassays with tobacco tissue cultures. Physiol. Plant 1962, 15, 473–497. [Google Scholar] [CrossRef]
- Wang, X.; Zhou, C.; Tang, K.; Zhou, Y.; Li, Z. A rapid one-step multiplex RT-PCR assay for the simultaneous detection of five citrus viroids in China. Eur. J. Plant Pathol. 2009, 124, 175–180. [Google Scholar] [CrossRef]
- Chatzinasiou, E.; Dovas, C.I.; Papanastassopoulou, M.; Georgiadis, M.; Psychas, V.; Bouzalas, I.; Koumbati, M.; Koptopoulos, G.; Papadopoulos, O. Assessment of bluetongue viraemia in sheep by real-time PCR and correlation with viral infectivity. J. Virol. Methods 2010, 169, 305–315. [Google Scholar] [CrossRef]
- Maliogka, V.I.; Olmos, A.; Pappi, P.G.; Lotos, L.; Efthimiou, K.; Grammatikaki, G.; Candresse, T.; Nikolaos, I.K.; Avgelis, A.D. A novel grapevine badnavirus is associated with the Roditis leaf discoloration disease. Virus Res. 2015, 203, 47–55. [Google Scholar] [CrossRef]
- Wang, Q.C.; Cuellar, W.J.; Rajamäki, M.L.; Hirata, Y.; Valkonen, J.P.T. Combined thermotherapy and cryotherapy for efficient virus eradication: Relation of virus distribution, subcellular changes, cell survival and viral RNA degradation in shoot tips. Mol. Plant Pathol. 2008, 9, 237–250. [Google Scholar] [CrossRef]
- Wang, Y.; Wu, J.; Qiu, Y.; Atta, S.; Zhou, C.; Cao, M. Global transcriptomic analysis reveals insights into the response of ‘etrog’citron (Citrus medica L.) to Citrus exocortis viroid infection. Viruses 2019, 11, 453. [Google Scholar] [CrossRef]
- Alcántara-Mendoza, S.; Vergara-Pineda, S.; García-Rubio, O.; Cambrón-Sandoval, V.H.; Colmenares-Aragón, D.; Nava-Díaz, C. Characterization of Citrus exocortis viroid in different conditions of indexing. Rev. Mex. Fitopatol. 2017, 35, 284–303. [Google Scholar] [CrossRef]
- Sharma, P.; Roy, B.; Roy, M.; Sundarrao, G.S. Citrus: A need for its conservation in utilising its medicinal values through biotechnological tools. Int. J. Curr. Microbiol. App Sci. 2020, 9, 3825–3834. [Google Scholar] [CrossRef]
- Bhojwani, S.S.; Dantu, P.K. Production of virus-free plants. In Plant Tissue Culture: An Introductory Text; Bhojwani, S.S., Dantu, P.K., Eds.; Springer: New Delhi, India, 2013; pp. 227–243. [Google Scholar] [CrossRef]
- Wang, M.B.; Masuta, C.; Smith, N.A.; Shimura, H. RNA silencing and plant viral diseases. Mol. Plant-Microbe Interact. 2012, 25, 1275–1285. [Google Scholar] [CrossRef]
- Hull, R. Matthew’s Plant Virology, 4th ed.; Academic Press: London, UK, 2002; pp. 1–1029. [Google Scholar] [CrossRef]
- Bi, W.L.; Hao, X.Y.; Ciu, Z.H.; Pathirana, R.; Volk, G.M. Shoot tip cryotherapy for eradication of grapevine leafroll-associated virus-3 from diseased grapevine in vitro plants. Ann. Bot. 2018, 173, 261–270. [Google Scholar] [CrossRef]
- Magyar-Tábori, K.; Mendler-Drienyovszki, N.; Hanász, A.; Zsombik, L.; Dobránszki, J. Phytotoxicity and other adverse effects on the in vitro shoot cultures caused by virus elimination treatments: Reasons and solutions. Plants 2021, 10, 670. [Google Scholar] [CrossRef]
- Barba, M.; Ilardi, V.; Pasquini, G. Control of pome and stone fruit virus diseases. In Advances in Virus Research; Loebenstein, G., Katis, N.I., Eds.; Academic Press: Burlington, NJ, USA, 2015; Volume 91, pp. 47–83. [Google Scholar] [CrossRef]
- Roostika, I.; Hartono, S.; Efendi, D. The combined treatment of thermotherapy and chemotherapy with apex and meristem culture for mosaic virus elimination in sugarcane. Ind. Crops Res. J. 2016, 22, 19–28. [Google Scholar] [CrossRef]
- Wang, M.R.; Hamborg, Z.; Blystad, D.R.; Wang, Q.C. Combining thermotherapy with meristem culture for improved eradication of onion yellow dwarf virus and shallot latent virus from infected in vitro-cultured shallot shoots. Ann. Appl. Biol. 2020, 178, 442–449. [Google Scholar] [CrossRef]
- Gambino, G.; Navarro, B.; Vallania, R.; Gribaudo, I.; Di Serio, F. Somatic embryogenesis efficiently eliminates viroid infections from grapevines. Eur. J. Plant Pathol. 2011, 130, 511–519. [Google Scholar] [CrossRef]
- Lin, C.Y.; Wu, M.L.; Shen, T.L.; Hung, T.H. A mutual titer-enhancing relationship and similar localization patterns between Citrus exocortis viroid and Hop stunt viroid co-infecting two citrus cultivars. Virol. J. 2015, 12, 142. [Google Scholar] [CrossRef]
- Meziane, M.; Frasheri, D.; Carra, A.; Boudjeniba, M.; D’Onghia, A.M.; Mercati, F.; Djelouah, K.; Carimi, F. Attempts to eradicate graft-transmissible infections through somatic embryogenesis in Citrus ssp. and analysis of genetic stability of regenerated plants. Eur. J. Plant Pathol. 2017, 148, 85–95. [Google Scholar] [CrossRef]
- Afloukou, F.; Dossou, L.; Zinsou, V. Virus and virus-like diseases of citrus in West-Africa: An overview. J. Hortic. Postharvest Res. 2020, 3, 129–138. [Google Scholar] [CrossRef]
- Bita, C.E.; Gerats, T. Plant tolerance to high temperature in a changing environment: Scientific fundamentals and production of heat stress-tolerant crops. Front. Plant Sci. 2013, 4, 273. [Google Scholar] [CrossRef]
- Zhao, L.; Wang, M.R.; Cui, Z.H.; Chen, L.; Volk, G.M.; Wang, Q.C. Combining thermotherapy with cryotherapy for efficient eradication of Apple stem grooving virus from infected in-vitro-cultured apple shoots. Plant Dis. 2018, 102, 1574–1580. [Google Scholar] [CrossRef] [PubMed]
- Duran-Vila, N.; Juarez, J.; Arregui, J.M. Production of viroid-free grapevines by shoot tip culture. Am. J. Enol. Vitic. 1988, 39, 217–220. [Google Scholar] [CrossRef]
- Di Serio, F.; Martinez de Alba, A.E.; Navarro, B.; Gisel, A.; Flores, R. RNA-dependent RNA polymerase 6 delays accumulation and precludes meristem invasion of a nuclear-replicating viroid. J. Virol. 2010, 84, 2477–2489. [Google Scholar] [CrossRef] [PubMed]
- Szittya, G.; Silhavy, D.; Molnar, A.; Havelda, Z.; Lovas, A.; Lakatos, L.; Banfalvi, Z.; Burgyan, J. Low temperature inhibits RNA silencing-mediated defence by the control of siRNA generation. EMBO J. 2003, 22, 633–640. [Google Scholar] [CrossRef] [PubMed]
- Goswami, K.; Sharma, R.; Singh, P.K.; Singh, G. Micropropagation of seedless lemon (Citrus limon L. cv. Kaghzi Kalan) and assessment of genetic fidelity of micropropagated plants using RAPD markers. Physiol. Mol. Biol. Plants 2013, 19, 137–145. [Google Scholar] [CrossRef] [PubMed]
- Das, J.; Bora, S. A rapid plant production technique of Aloe vera L. for commercialization. SSRG Int. J. Agric. Env. Sci. 2018, 5, 30–37. [Google Scholar] [CrossRef]
- Tallón, C.I.; Porras, I.; Pérez-Tornero, O. High efficiency in vitro organogenesis from mature tissue explants of Citrus macrophylla and C. aurantium. In Vitro Cell. Dev. Biol. Plant 2013, 49, 145–155. [Google Scholar] [CrossRef]
- Moshkov, I.E.; Novikova, G.V.; Hall, M.A.; George, E.F. Plant growth regulators III: Gibberellins, ethylene, abscisic acid, their analogues and inhibitors; miscellaneous compounds. In Plant Propagation by Tissue Culture; George, E.F., Hall, M.A., De Klerk, G.J., Eds.; Springer: Dordrecht, The Netherlands, 2008; pp. 227–282. [Google Scholar] [CrossRef]
- Kurepa, J.; Shull, T.E.; Smalle, J.A. Antagonistic activity of auxin and cytokinin in shoot and root organs. Plant Direct 2019, 3, e00121. [Google Scholar] [CrossRef]
- Saleem, Y.; Emad, M.Z.; Ali, A.; Naz, S. Synergetic effect of different plant growth regulators on micropropagation of sugarcane (Saccharum officinarum L.) by callogenesis. Agriculture 2022, 12, 1812. [Google Scholar] [CrossRef]
- Chamandoosti, F. Citrus tissue culture with two different approaches. Int. J. Biosci. Biotechnol. 2020, 8, 19–30. [Google Scholar] [CrossRef]
- Garg, P.; Sharma, A.; Singh, S.; Rathi, A.; Sharma, S.; Amir, A. Effect of explant type and phytohormone concentration on micropropagation of Citrus. Int. J. Multidiscip. Res. 2023, 5, 1–8. [Google Scholar] [CrossRef]
- Salis, C.; Papadakis, I.E.; Kintzios, S.; Hagidimitriou, M. In vitro propagation and assessment of genetic relationships of citrus rootstocks using ISSR molecular markers. Not. Bot. Horti Agrobot. Cluj-Napoca 2017, 45, 383–391. [Google Scholar] [CrossRef]
- Rathore, J.S.; Rathore, M.S.; Singh, M.; Singh, R.P.; Shekhawat, N.S. Micropropagation of mature tree of Citrus limon. Indian J. Biotechnol. 2007, 6, 239–244. [Google Scholar]
- Erst, A.A.; Gorbunov, A.B.; Erst, A.S. Effect of concentration, method of auxin application and cultivation conditions on in vitro rooting of bog blueberry (Vaccinium uliginosum L.). J. Berry Res. 2018, 8, 41–53. [Google Scholar] [CrossRef]
- Singh, S.; Ray, B.K.; Bhattacharyya, S.; Deka, P.C. In vitro propagation of Citrus reticulata Blanco and Citrus limon Burm. f. Hortscience 1994, 29, 214–216. [Google Scholar] [CrossRef]
- Normah, M.N.; Hamidah, S.; Ghani, F.D. Micropropagation of Citrus halimii stone. Plant Cell Tissue Organ. Cult. 1997, 50, 225–227. [Google Scholar] [CrossRef]
- Perez-Tornero, O.; Tallon, C.I.; Porras, I. An efficient protocol for micropropagation of lemon (Citrus limon) from mature nodal segments. Plant Cell Tissue Organ. Cult. 2010, 100, 263–271. [Google Scholar] [CrossRef]
- Haripyaree, A.; Guneshwor, K.; Sunitibala, H.; Damayanti, H. In vitro propagation of Citrus megaloxycarpa. Environ. Exp. Biol. 2011, 9, 129–132. [Google Scholar]
- Meziane, M.; Boudjeniba, M.; Frasheri, D.; D’Onghia, A.M.; Carra, A.; Carimi, F.; Haddad, N.; Haddad, S.; Braneci, S. Regeneration of Algerian Citrus germplasm by stigma/style somatic embryogenesis. Afr. J. Biotechnol. 2012, 11, 6666–6672. [Google Scholar] [CrossRef]
- Ben Mahmoud, K.; Najar, A.; Jedidi, E.; Hamdi, I.; Jemmali, A. Detection of two viroids in the Tunisian sweet orange (Citrus sinensis L.) cv. Maltese and sanitation via somatic embryogenesis. J. Chem. Pharm. Res. 2017, 9, 154–159. [Google Scholar]
- Carimi, F.; De Pasquale, F.; Fiore, S.; D’Onghia, A.M. Sanitation of citrus germplasm by somatic embryogenesis and shoot-tip grafting. In Improvement of the Citrus Sector by the Setting Up of the Common Conservation Strategies for the Free Exchange of Healthy Citrus Genetic Resources; Options Méditerranéennes: Série, B. Etudes et Recherches; n., 33; D’Onghia, A.M., Menini, U., Martelli, G.P., Eds.; CIHEAM: Bari, Italy, 2001; pp. 61–65. [Google Scholar]
- Kapari-Isaia, T.; Minas, G.J.; Polykarpou, D.; Iosephidou, E.; Arseni, S.; Kyriakou, A. Shoot-tip grafting in vitro for elimination of viroids and Citrus psorosis virus in the local Arakapas mandarin in Cyprus. In Proceedings of the Fifteenth International Organization of Citrus Virologists, Paphos, Cyprus, 11–16 November 2001; Duran-Vila, N., Milne, R.G., da Graça, J.V., Eds.; International Organization of Citrus Virologists: Riverside, CA, USA, 2002; pp. 417–419. [Google Scholar] [CrossRef]
- Li, J.W.; Hosokawa, M.; Nabeshima, T.; Motoki, K.; Yamada, H.; Wang, Q.C. Cryopreservation of viroid-infected chrysanthemum shoot tips. Sci. Hortic. 2019, 244, 1–9. [Google Scholar] [CrossRef]
- Jeon, S.M.; Naing, A.H.; Kim, H.H.; Chung, M.Y.; Lim, K.B.; Kim, C.K. Elimination of chrysanthemum stunt viroid and chrysanthemum chlorotic mottle viroid from infected chrysanthemum by cryopreservation. Protoplasma 2016, 253, 1135–1144. [Google Scholar] [CrossRef] [PubMed]
- Zhang, Z.B.; Lee, Y.K.; Sivertsen, A.; Skjeseth, G.; Haugslien, S.; Clarke, J.L.; Wang, Q.C. Low temperature treatment affects concentration and distribution of chrysanthemum stunt viroid in argyranthemum. Front. Microbiol. 2016, 7, 224. [Google Scholar] [CrossRef]
- Hosokawa, M.; Otake, A.; Ohishi, K.; Ueda, E.; Hayashi, T.; Yazawa, S. Elimination of chrysanthemum stunt viroid from an infected chrysanthemum cultivar by shoot regeneration from a leaf primordium-free shoot apical meristem dome attached to a root tip. Plant Cell Rep. 2004, 22, 859–863. [Google Scholar] [CrossRef]
- Hosokawa, M. Leaf primordia-free shoot apical meristem culture: A new method for production of viroid-free plants. J. Jpn. Soc. Hortic. Sci. 2008, 77, 341–349. [Google Scholar] [CrossRef]
- Wang, Q.C.; Panis, B.; Engelmann, F.; Lambardi, M.; Valkonen, J.P.T. Cryotherapy of shoot tips: A technique for pathogen eradication to produce healthy planting materials and prepare healthy plant genetic resources for cryopreservation. Ann. Appl. Biol. 2010, 154, 351–363. [Google Scholar] [CrossRef]
- Wang, M.R.; Bi, W.L.; Bettoni, J.C.; Zhang, D.; Volk, G.M.; Wang, Q.C. Shoot tip cryotherapy for plant pathogen eradication. Plant Pathol. 2022, 71, 1241–1254. [Google Scholar] [CrossRef]







| Explant Type | T (°C) | Nutrient Culture Medium | Survival of Explants (%) | Stressed Explants (%) | Stress Symptoms in Explants during In Vitro Thermotherapy |
|---|---|---|---|---|---|
| Shoot tips | 28 | Citrus P1 (subculture) | 100% (40/40) | 0% (0/40) | 38 °C:
|
| 30 | Citrus P1 | 100% (40/40) | 0% (0/40) | ||
| 32 | Citrus P1 | 100% (40/40) | 0% (0/40) | ||
| 34 | Citrus P1 | 100% (40/40) | 0% (0/40) | ||
| 36 | Citrus P2 (subculture) | 100% (40/40) | 0% (0/40) | ||
| 38 | Citrus P2 | 90% (36/40) | 68% (27/40) | ||
| Shoot nodal segments | 28 | Citrus P1 | 100% (25/25) | 0% (0/25) | 32 °C: Mild hyperhydricity 34 °C: Severe hyperhydricity, necrosis 38 °C:
|
| 30 | Citrus P1 | 100% (25/25) | 0% (0/25) | ||
| 32 | Citrus P1 | 100% (25/25) | 32% (8/25) | ||
| 34 | Citrus P1 | 84% (21/25) | 32% (8/25) | ||
| 36 | Citrus P1 | 84% (21/25) | 32% (8/25) | ||
| 38 | Citrus P1 | 76% (19/25) | 40% (10/25) |
| 1st RT-PCR (In Vitro) | 2nd RT-PCR (In Vitro) | 3rd RT-PCR (Greenhouse) | ||||||
|---|---|---|---|---|---|---|---|---|
| Sample Code | HSVd | CEVd | Sample Code | HSVd | CEVd | Sample Code | HSVd | CEVd |
| Lime 2 | + | + | ||||||
| Lime 3 | + | − | ||||||
| Lime 4 | + | + | ||||||
| Lime 9 | + | + | ||||||
| Lime 10 | + | − | Lime 10 | + | − | |||
| Lime 11 | − | − | ||||||
| Lime 12 | + | + | Lime 12 | + | + | |||
| Lime 16.3 | − | − | Lime 16.3 | − | − | Lime 16.3 | − | − |
| Lime 21 | + | + | ||||||
| Lime 27 | + | + | Lime 27 | + | + | |||
| Lime 30 | − | − | Lime 30 | − | − | |||
| Lime 35 | + | + | ||||||
| Lime 38 | + | − | Lime 38 | + | + | |||
| Lime 39 | + | + | ||||||
Disclaimer/Publisher’s Note: The statements, opinions and data contained in all publications are solely those of the individual author(s) and contributor(s) and not of MDPI and/or the editor(s). MDPI and/or the editor(s) disclaim responsibility for any injury to people or property resulting from any ideas, methods, instructions or products referred to in the content. |
© 2024 by the authors. Licensee MDPI, Basel, Switzerland. This article is an open access article distributed under the terms and conditions of the Creative Commons Attribution (CC BY) license (https://creativecommons.org/licenses/by/4.0/).
Share and Cite
Sarropoulou, V.; Grigoriadou, K.; Maliogka, V.I.; Sassalou, C.-L.; Ziogas, V. The Elimination of Viroids through In Vitro Thermotherapy and a Meristem Tip Culture from a New Limonime Hybrid (Citrus x limon var. limon (L.) Burm. f. x Citrus latifolia var. latifolia). BioTech 2024, 13, 37. https://doi.org/10.3390/biotech13030037
Sarropoulou V, Grigoriadou K, Maliogka VI, Sassalou C-L, Ziogas V. The Elimination of Viroids through In Vitro Thermotherapy and a Meristem Tip Culture from a New Limonime Hybrid (Citrus x limon var. limon (L.) Burm. f. x Citrus latifolia var. latifolia). BioTech. 2024; 13(3):37. https://doi.org/10.3390/biotech13030037
Chicago/Turabian StyleSarropoulou, Virginia, Katerina Grigoriadou, Varvara I. Maliogka, Chrysoula-Lito Sassalou, and Vasileios Ziogas. 2024. "The Elimination of Viroids through In Vitro Thermotherapy and a Meristem Tip Culture from a New Limonime Hybrid (Citrus x limon var. limon (L.) Burm. f. x Citrus latifolia var. latifolia)" BioTech 13, no. 3: 37. https://doi.org/10.3390/biotech13030037
APA StyleSarropoulou, V., Grigoriadou, K., Maliogka, V. I., Sassalou, C.-L., & Ziogas, V. (2024). The Elimination of Viroids through In Vitro Thermotherapy and a Meristem Tip Culture from a New Limonime Hybrid (Citrus x limon var. limon (L.) Burm. f. x Citrus latifolia var. latifolia). BioTech, 13(3), 37. https://doi.org/10.3390/biotech13030037

