Unusual Presentation of Acrodermatitis Chronica Atrophicans Resulting in Delay of Diagnosis and Inappropriate Treatment in Three Cases
Abstract
1. Introduction
2. Case Presentations
2.1. Case 1
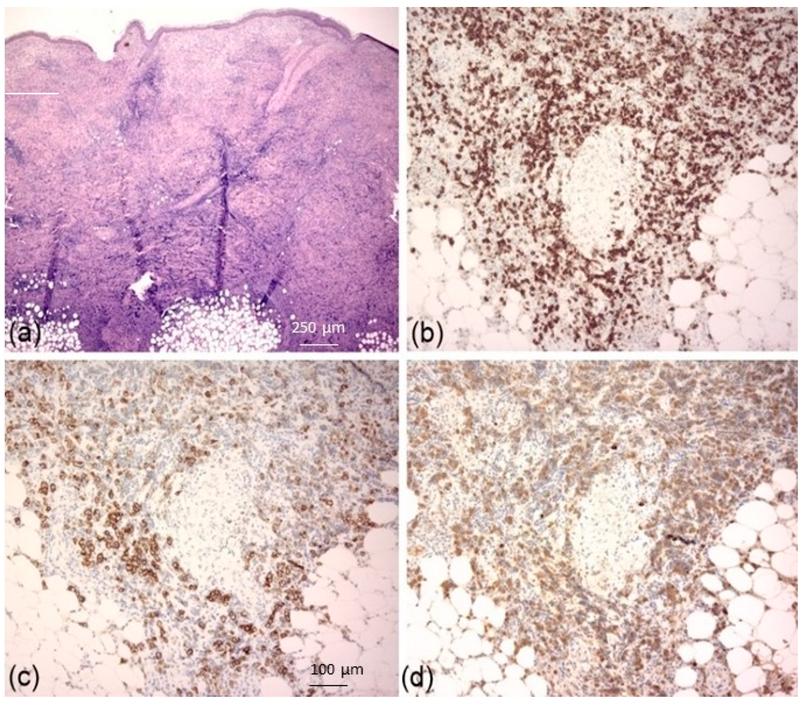
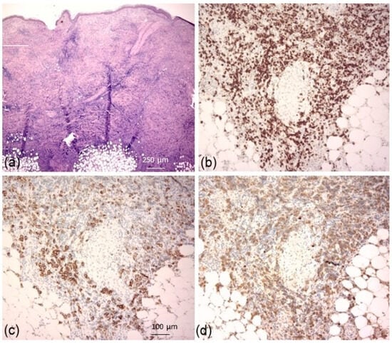
2.2. Case 2
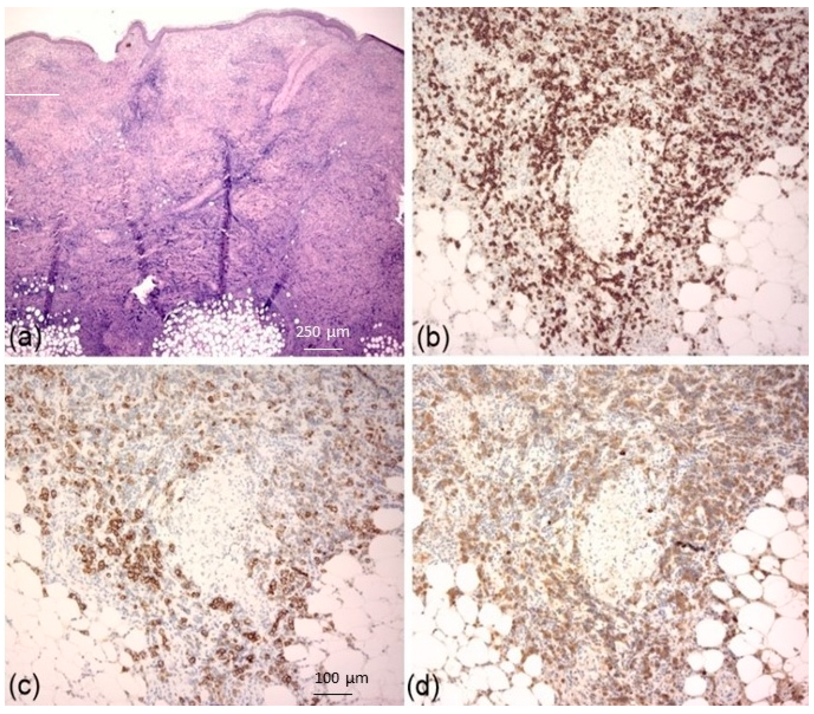
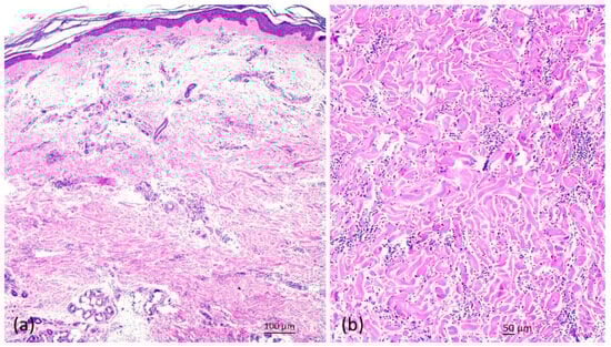
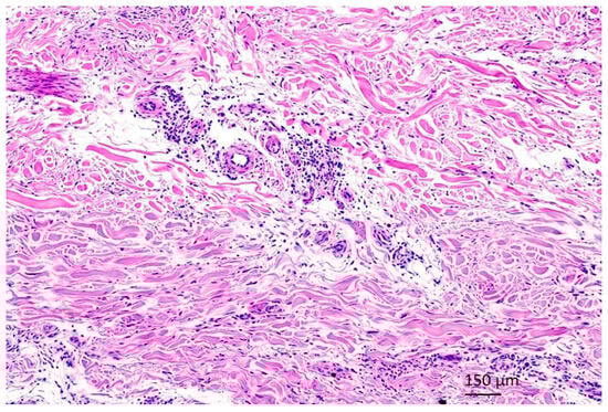
2.3. Case 3
3. Discussion
4. Conclusions
Author Contributions
Funding
Institutional Review Board Statement
Informed Consent Statement
Data Availability Statement
Conflicts of Interest
References
- Gade, A.; Matin, T.; Rubenstein, R.; Robinson, C.A. Acrodermatitis Chronica Atrophicans. In StatPearls [Internet]; StatPearls Publishing: Treasure Island, FL, USA, 2024. [Google Scholar] [PubMed]
- Ogrinc, K.; Maraspin, V.; Lusa, L.; Cerar Kišek, T.; Ružić-Sabljić, E.; Strle, F. Acrodermatitis chronica atrophicans: Clinical and microbiological characteristics of a cohort of 693 Slovenian patients. J. Intern. Med. 2021, 290, 335–348. [Google Scholar] [CrossRef] [PubMed]
- Glatz, M.; Müllegger, R.R. Cutaneous manifestations of Lyme disease: Pitfalls in the serological diagnostic workup. Hautarzt 2017, 68, 329–339. [Google Scholar] [CrossRef] [PubMed]
- Müllegger, R.R.; Glatz, M. Is serological follow-up useful for patients with cutaneous Lyme borreliosis? Curr. Probl. Dermatol. 2009, 37, 178–182. [Google Scholar] [PubMed]
- National Guideline Centre (UK). Evidence Review for Management of Acrodermatitis Chronica Atrophicans: Lyme Disease: Diagnosis and Management: Evidence Review H; National Institute for Health and Care Excellence (NICE): London, UK, 2018. [Google Scholar] [PubMed]
- Bertolotti, A.; Pham-Ledard, A.; Petrot, D.; Coindre, M.C.; Brecheteau, P.; Mendes, I.; Vergier, B.; Beylot-Barry, M. Two cases of proliferation of monoclonal and monotypic lymphocytes and plasma cells corresponding to acrodermatitis chronica atrophicans. Ann. Dermatol. Venereol. 2014, 141, 452–457. [Google Scholar] [CrossRef] [PubMed]
- Jelić, S.; Filipović-Ljesković, I. Positive serology for Lyme disease borrelias in primary cutaneous B-cell lymphoma: A study in 22 patients; is it a fortuitous finding? Hematol. Oncol. 1999, 17, 107–116. [Google Scholar] [CrossRef]
- Garbe, C.; Stein, H.; Gollnick, H.; Taud, W.; Orfanos, C.E. Cutaneous B cell lymphoma in chronic Borrelia burgdorferi infection. Report of 2 cases and a review of the literature. Hautarzt 1988, 39, 717–726. [Google Scholar]
- Tee, S.I.; Martínez-Escanamé, M.; Zuriel, D.; Fried, I.; Wolf, I.; Massone, C.; Cerroni, L. Acrodermatitis chronica atrophicans with pseudolymphomatous infiltrates. Am. J. Dermatopathol. 2013, 35, 338–342. [Google Scholar] [CrossRef]
- Gambichler, T.; Kreuter, J.A.; Stücker, M.; Kobyletzki, G.V.; Altmeyer, P.; Hoffmann, K. Guess what! Cutaneous lymphoid hyperplasia. Eur. J. Dermatol. 2000, 10, 635–636. [Google Scholar]
- Mitteldorf, C.; Neesse, A.K.; Hoffmann, J.C.; Schön, M.P.; Kempf, W. Acrodermatitis chronica atrophicans with clonal light chains and heavy chain rearrangement. J. Eur. Acad. Dermatol. Venereol. 2023, 37, e415–e417. [Google Scholar] [CrossRef]
- Kempf, W.; Kazakov, D.V.; Hübscher, E.; Gugerli, O.; Gerbig, A.W.; Schmid, R.; Palmedo, G.; Kutzner, H. Cutaneous borreliosis associated with T cell-predominant infiltrates: A diagnostic challenge. J. Am. Acad. Dermatol. 2015, 72, 683–689. [Google Scholar] [CrossRef]
- Kluge, K.; Krahl, D.; Kramer, K.; Yaguboglu, R. Juxta-articular fibroid nodules and acrodermatitis chronica atrophicans in late stage Lyme borreliosis. Hautarzt 2000, 51, 345–348. [Google Scholar] [CrossRef] [PubMed]
- Lübbe, J.; Schlüpen, E.M.; Fierz, W.; Panizzon, R.G.; Burg, G. Identification of Borrelia afzelii in a juxta-articular fibroid nodule from a human immunodeficiency virus-positive patient with acrodermatitis chronica atrophicans. Arch. Dermatol. 1995, 131, 1341–1342. [Google Scholar] [CrossRef]
- Marsch, W.C.; Wolter, M.; Mayet, A. Juxta-articular fibrotic nodules in Borrelia infection--ultrastructural details of therapy-induced regression. Clin. Exp. Dermatol. 1994, 19, 394–398. [Google Scholar] [CrossRef] [PubMed]
- Messer, L.; Felten, R.; Moreau, P.; Freisz, M.C.; Mahé, A. Fibrous nodules over the patella revealing acrodermatitis chronica atrophicans. Jt. Bone Spine 2015, 82, 208. [Google Scholar] [CrossRef] [PubMed]
- Marsch, W.C.; Mayet, A.; Wolter, M. Cutaneous fibroses induced by Borrelia burgdorferi. Br. J. Dermatol. 1993, 128, 674–678. [Google Scholar] [CrossRef]
- Hopf, H.C. Peripheral neuropathy in acrodermatitis chronica atrophicans (Herxheimer). J. Neurol. Neurosurg. Psychiatry 1975, 38, 452–458. [Google Scholar] [CrossRef] [PubMed]
- Kindstrand, E.; Nilsson, B.Y.; Hovmark, A.; Nennesmo, I.; Pirskanen, R.; Solders, G.; Asbrink, E. Polyneuropathy in late Lyme borreliosis—A clinical, neurophysiological and morphological description. Acta Neurol. Scand. 2000, 101, 47–52. [Google Scholar] [CrossRef]
- Kindstrand, E.; Nilsson, B.Y.; Hovmark, A.; Pirskanen, R.; Asbrink, E. Peripheral neuropathy in acrodermatitis chronica atrophicans—A late Borrelia manifestation. Acta Neurol. Scand. 1997, 95, 338–345. [Google Scholar] [CrossRef]
- Hatzl, S.; Posch, F.; Rezai, A.; Gornicec, M.; Beham-Schmid, C.; Magnes, T.; Wangner, S.; Deutsch, A.; Greinix, H.; Uhl, B.; et al. Vinorelbine as substitute for vincristine in patients with diffuse large B cell lymphoma and vincristine-induced neuropathy. Support Care Cancer 2021, 29, 5197–5207. [Google Scholar] [CrossRef]
- Brzonova, I.; Wollenberg, A.; Prinz, J.C. Acrodermatitis chronica atrophicans affecting all four limbs in an 11-year-old girl. Br. J. Dermatol. 2002, 147, 375–378. [Google Scholar] [CrossRef]
- Brem, C.E.; Goldberg, L.J. Early Erythema Migrans: Do Not Count on Plasma Cells. Am. J. Dermatopathol. 2022, 44, e23–e25. [Google Scholar] [CrossRef] [PubMed]
- Kjær, M.; Jensen, B.; Clemmensen, A. Acrodermatitis chronica atrophicans-probably an overlooked differential diagnosis for arthritis. Rheumatology 2017, 56, 398. [Google Scholar] [CrossRef] [PubMed][Green Version]
- Nguala, S.; Baux, E.; Patrat-Delon, S.; Saunier, F.; Schemoul, J.; Tattevin, P.; Cazorla, C.; Eldin, C.; Bouiller, K.; Raffetin, A. Methodological Quality Assessment with the AGREE II Scale and a Comparison of European and American Guidelines for the Treatment of Lyme Borreliosis: A Systematic Review. Pathogens 2021, 10, 972. [Google Scholar] [CrossRef] [PubMed]






Disclaimer/Publisher’s Note: The statements, opinions and data contained in all publications are solely those of the individual author(s) and contributor(s) and not of MDPI and/or the editor(s). MDPI and/or the editor(s) disclaim responsibility for any injury to people or property resulting from any ideas, methods, instructions or products referred to in the content. |
© 2024 by the authors. Licensee MDPI, Basel, Switzerland. This article is an open access article distributed under the terms and conditions of the Creative Commons Attribution (CC BY) license (https://creativecommons.org/licenses/by/4.0/).
Share and Cite
Gambichler, T.; Jridi, R.; Bernd, H.-W.; von Stemm, A.; Boms, S. Unusual Presentation of Acrodermatitis Chronica Atrophicans Resulting in Delay of Diagnosis and Inappropriate Treatment in Three Cases. Dermato 2024, 4, 37-45. https://doi.org/10.3390/dermato4020005
Gambichler T, Jridi R, Bernd H-W, von Stemm A, Boms S. Unusual Presentation of Acrodermatitis Chronica Atrophicans Resulting in Delay of Diagnosis and Inappropriate Treatment in Three Cases. Dermato. 2024; 4(2):37-45. https://doi.org/10.3390/dermato4020005
Chicago/Turabian StyleGambichler, Thilo, Rim Jridi, Heinz-Wolfram Bernd, Andrea von Stemm, and Stefanie Boms. 2024. "Unusual Presentation of Acrodermatitis Chronica Atrophicans Resulting in Delay of Diagnosis and Inappropriate Treatment in Three Cases" Dermato 4, no. 2: 37-45. https://doi.org/10.3390/dermato4020005
APA StyleGambichler, T., Jridi, R., Bernd, H.-W., von Stemm, A., & Boms, S. (2024). Unusual Presentation of Acrodermatitis Chronica Atrophicans Resulting in Delay of Diagnosis and Inappropriate Treatment in Three Cases. Dermato, 4(2), 37-45. https://doi.org/10.3390/dermato4020005

