A Comprehensive Microscopy Analysis of the Retina of Larus audouinii (Payraudeau, 1826): Environmental and Ecological Insights
Simple Summary
Abstract
1. Introduction
2. Materials and Methods
3. Results
3.1. Retinal Pigment Epithelium
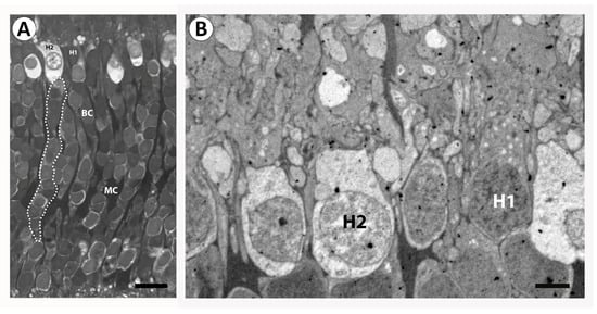
3.2. Photoreceptors
3.3. Outer Nuclear Layer
3.4. Outer Plexiform Layer
3.5. Inner Nuclear Layer
3.6. Inner Plexiform Layer
3.7. Ganglion Cell Layer
3.8. Optic Nerve Fibre Layer
4. Discussion
4.1. Epithelium Pigment
4.2. Photoreceptor Layer
4.3. Inner Nuclear Layer and Inner Plexiform Layer
4.4. Ganglion Cell Layer and Optic Nerve Fibre Layer
5. Conclusions
Author Contributions
Funding
Institutional Review Board Statement
Data Availability Statement
Acknowledgments
Conflicts of Interest
References
- Moore, B.A.; Tyrrell, L.P.; Pita, D.; Bininda-Emonds, O.R.P.; Fernández-Juricic, E. Does Retinal Configuration Make the Head and Eyes of Foveate Birds Move? Sci. Rep. 2017, 7, 1–7. [Google Scholar] [CrossRef]
- Jones, M.P.; Pierce, K.E.; Ward, D. Avian Vision: A Review of Form and Function with Special Consideration to Birds of Prey. J. Exot. Pet Med. 2007, 16, 69–87. [Google Scholar] [CrossRef]
- Schwab, I.R.; Dubielzig, R.R.; Schobert, C. Evolution’s Witness: How Eyes Evolved; Oxford University Press: Oxford, UK, 2012. [Google Scholar]
- Walls, G. The Vertebrate Eye and Its Adaptive Radiation; Cranbrook Institute of Science: Bloomfield Hills, MI, USA, 1942. [Google Scholar]
- Fischer, A. Laboruntersuchungen und Freilandbeobachtungen zum Sehvermögen und Verhalten von Altweltgeiern. Zool. Jb. Syst. 1968, 96, 81–132. [Google Scholar]
- Reymond, L. Spatial Visual Acuity of the Eagle Aquila Audax: A Behavioural, Optical and Anatomical Investigation. Vision Res. 1985, 25, 1477–1491. [Google Scholar] [CrossRef]
- Reymond, L. Spatial Visual Acuity of the Falcon, Falco Berigora: A Behavioural, Optical and Anatomical Investigation. Vision Res. 1987, 27, 1859–1874. [Google Scholar] [CrossRef]
- Kiltie, R.A. Scaling of Visual Acuity with Body Size in Mammals and Birds. Funct. Ecol. 2000, 14, 226–234. [Google Scholar] [CrossRef]
- Hart, N.S. The Visual Ecology of Avian Photoreceptors. Prog. Retin. Eye Res. 2001, 20, 675–703. [Google Scholar] [CrossRef]
- Harmening, W.M.; Nikolay, P.; Orlowski, J.; Wagner, H. Spatial Contrast Sensitivity and Grating Acuity of Barn Owls. J. Vis. 2009, 9, 13. [Google Scholar] [CrossRef][Green Version]
- Martin, G.R. Visual Fields and Their Functions in Birds. J. Ornithol. 2007, 148, 547–562. [Google Scholar] [CrossRef]
- Martin, G.R. The Sensory Ecology of Birds; Oxford University Press: Oxford, UK, 2017. [Google Scholar]
- Martin, G.R. What is Binocular Vision for? A Birds’ Eye View. J. Vis. 2009, 9, 14. [Google Scholar] [CrossRef] [PubMed]
- Fernández-Juricic, E. Sensory Basis of Vigilance Behavior in Birds: Synthesis and Future Prospects. Behav. Processes 2012, 89, 143–152. [Google Scholar] [CrossRef]
- Hart, N.S. Variations in Cone Photoreceptor Abundance and the Visual Ecology of Birds. J. Comp. Physiol.—Sens. Neural Behav. Physiol. 2001, 187, 685–697. [Google Scholar] [CrossRef]
- Kram, Y.A.; Mantey, S.; Corbo, J.C. Avian Cone Photoreceptors Tile the Retina as Five Independent, Self-Organizing Mosaics. PLoS ONE 2010, 5, e8992. [Google Scholar] [CrossRef] [PubMed]
- Montoyo, Y.G.; García, M.; Segovia, Y. Light and Electron Microscopic Studies on the Retina of the Booted Eagle (Aquila pennata). Zoomorphology 2018, 137, 177–190. [Google Scholar] [CrossRef]
- Osorio, D.; Vorobyev, M. Photoreceptor Spectral Sensitivities in Terrestrial Animals: Adaptations for Luminance and Colour Vision. Proc. R. Soc. B Biol. Sci. 2005, 272, 1745–1752. [Google Scholar] [CrossRef]
- Lind, O.; Kelber, A. The Spatial Tuning of Achromatic and Chromatic Vision in Budgerigars. J. Vis. 2011, 11, 2. [Google Scholar] [CrossRef]
- Günther, A.; Einwich, A.; Sjulstok, E.; Feederle, R.; Bolte, P.; Koch, K.W.; Solov’yov, I.A.; Mouritsen, H. Double-Cone Localization and Seasonal Expression Pattern Suggest a Role in Magnetoreception for European Robin Cryptochrome 4. Curr. Biol. 2018, 28, 211–223.e4. [Google Scholar] [CrossRef]
- Seifert, M.; Roberts, P.A.; Kafetzis, G.; Osorio, D.; Baden, T. Birds Multiplex Spectral and Temporal Visual Information via Retinal On- and Off-Channels. Nat. Commun. 2023, 14, 5308. [Google Scholar] [CrossRef]
- Meyer, D.B. The Avian Eye and Its Adaptations. Vis. Syst. Vertebr. 1977, 7, 549–611. [Google Scholar] [CrossRef]
- Lind, O.; Chavez, J.; Kelber, A. The Contribution of Single and Double Cones to Spectral Sensitivity in Budgerigars during Changing Light Conditions. J. Comp. Physiol. A Neuroethol. Sens. Neural Behav. Physiol. 2014, 200, 197–207. [Google Scholar] [CrossRef] [PubMed]
- Vorobyev, M. Coloured Oil Droplets Enhance Colour Discrimination. Proc. R. Soc. B Biol. Sci. 2003, 270, 1255–1261. [Google Scholar] [CrossRef] [PubMed]
- Wilby, D.; Toomey, M.B.; Olsson, P.; Frederiksen, R.; Cornwall, M.C.; Oulton, R.; Kelber, A.; Corbo, J.C.; Roberts, N.W. Optics of Cone Photoreceptors in the Chicken (Gallus gallus domesticus). J. R. Soc. Interface 2015, 12, 20150591. [Google Scholar] [CrossRef]
- Wilby, D.; Roberts, N.W. Optical Influence of Oil Droplets on Cone Photoreceptor Sensitivity. J. Exp. Biol. 2017, 220, 1997–2004. [Google Scholar] [CrossRef]
- Hart, N.; Partridge, J.; Cuthill, I.; Bennet, A.T. Visual Pigments, Oil Droplets, Ocular Media and Cone Photoreceptor Distribution in Two Species of Passerine Bird: The Blue Tit (Parus caeruleus L.) and the Blackbird (Turdus merula L.). J. Comp. Physiol. A 2000, 186, 375–387. [Google Scholar] [CrossRef] [PubMed]
- Hart, N.S. Microspectrophotometry of Visual Pigments and Oil Droplets in a Marine Bird, the Wedge-Tailed Shearwater Puffinus pacificus: Topographic Variations in Photoreceptor Spectral Characteristics. J. Exp. Biol. 2004, 207, 1229–1240. [Google Scholar] [CrossRef]
- Moore, B.A.; Baumhardt, P.; Doppler, M.; Randolet, J.; Blackwell, B.F.; DeVault, T.L.; Loew, E.R.; Fernández-Juricic, E. Oblique Color Vision in an Open-Habitat Bird: Spectral Sensitivity, Photoreceptor Distribution and Behavioral Implications. J. Exp. Biol. 2012, 215, 3442–3452. [Google Scholar] [CrossRef] [PubMed]
- Victory, N.; Segovia, Y.; García, M. Cone Distribution and Visual Resolution of the Yellow-Legged Gull, Larus michahellis (Naumann, 1840). J. Vet. Med. Ser. C Anat. Histol. Embryol. 2022, 51, 197–214. [Google Scholar] [CrossRef] [PubMed]
- Černý, D.; Natale, R. Comprehensive Taxon Sampling and Vetted Fossils Help Clarify the Time Tree of Shorebirds (Aves, Charadriiformes). Mol. Phylogenet. Evol. 2022, 177, 107620. [Google Scholar] [CrossRef]
- Burger, J.; Gochfeld, M. Laridae, Sternidae, and Rynchopidae, 3rd ed.; Elsevier Inc.: Amsterdam, The Netherlands, 2019; Volume 1–5, ISBN 9780128130827. [Google Scholar]
- Oro, D.; Pradel, R.; Lebreton, J.D. Food Availability and Nest Predation Influence Life History Traits in Audouin’s Gull, Larus audouinii. Oecologia 1999, 118, 438–445. [Google Scholar] [CrossRef]
- Pedrocchi, V.; Oro, D.; González-Solís, J.; Ruiz, X.; Jover, L. Differences in Diet between the Two Largest Breeding Colonies of Audouin’s Gulls: The Effects of Fishery Activities. Sci. Mar. 2002, 66, 313–320. [Google Scholar] [CrossRef]
- Manosa, S.; Oro, D.; Ruiz, X. Activity Patterns and Foraging Behaviour of Audouin’s Gulls in the Ebro Delta, NW Mediterranean. Sci. Mar. 2004, 68, 605–614. [Google Scholar] [CrossRef]
- De Juana, E.; Varela, J. La Población Mundial Reproductora de La Gaviota de Audouin (Larus audouinii). In Estatus Y Conservación de Aves Marinas; Aguilar, J.S., Monbailliu, X., Paterson, A.M., Eds.; SEO: Madrid, Spain, 1993; pp. 71–85. [Google Scholar]
- Bécares, J.; García-Tarrasón, M.; Villero, D.; Bateman, S.; Jover, L.; García-Matarranz, V.; Sanpera, C.; Arcos, J.M. Modelling Terrestrial and Marine Foraging Habitats in Breeding Audouin’s Gulls Larus audouinii: Timing Matters. PLoS ONE 2015, 10, e0120799. [Google Scholar] [CrossRef]
- Hughes, A. The Topography of Vision in Mammals of Contrasting Life Style: Comparative Optics and Retinal Organization. In Handbook of Sensory Physiology; Crescitelli, F., Ed.; Springer: Berlin/Heidelberg, Germany, 1977; pp. 613–756. [Google Scholar]
- Lythgoe, J. The Ecology of Vision; Clarendon Press: Oxford, UK, 1979. [Google Scholar]
- Rodieck, R. The Vertebrate Retina: Principles of Structure and Function; Freeman, W., Ed.; American Psychological Association: Washington, DC, USA, 1973. [Google Scholar]
- Emond, M.P.; McNeil, R.; Cabana, T.; Guerra, C.G.; Lachapelle, P. Comparing the Retinal Structures and Functions in Two Species of Gulls (Larus Delawarensis and Larus Modestus) with Significant Nocturnal Behaviours. Vision Res. 2006, 46, 2914–2925. [Google Scholar] [CrossRef]
- Martin, G.R. The Visual Fields of the Tawny Owl, Strix aluco L. Vision Res. 1984, 24, 1739–1741. [Google Scholar] [CrossRef]
- Alix, B.; Segovia, Y.; García, M. The Structure of the Retina of the Eurasian Eagle-Owl and Its Relation to Lifestyle. Avian Biol. Res. 2017, 10, 36–44. [Google Scholar] [CrossRef]
- Vidal, M.N.; Segovia, Y.; Victory, N.; Navarro-Sempere, A.; García, M. Light Microscopy Study of the Retina of the Yellow-Legged Gull, Larus Michahellis, and the Relationship between Environment and Behaviour. Avian Biol. Res. 2018, 11, 231–237. [Google Scholar] [CrossRef]
- Braekevelt, C.R. Fine Structure of the Retinal Pigment Epithelium of the Mallard Duck (Anas platyrhynchos). Histol. Histopathol. 1990, 5, 133–138. [Google Scholar] [PubMed]
- El-Beltagy, A.E.F.B.M. Light and Electron Microscopic Studies on the Pigmented Epithelium and Photoreceptors of the Retina of Common Buzzard (Buteo buteo). Tissue Cell 2015, 47, 78–85. [Google Scholar] [CrossRef]
- Braekevelt, C.R. Fine Structure of the Retinal Epithelium (RPE) of the Emu (Dromaius novaehollandiae). Tissue Cell 1998, 30, 149–156. [Google Scholar] [CrossRef]
- Thebaul, S. El Epitelio Pigmentario Retiniano Como Componente de La Barrera Hemato-Retiniana: Implicación en La Retinopatía Diabética. Rev. Digit. Univ. 2011, 12, 1–13. [Google Scholar]
- Arcos, J.M.; Oro, D. Significance of Nocturnal Purse Seine Fisheries for Seabirds: A Case Study off the Ebro Delta (NW Mediterranean). Mar. Biol. 2002, 141, 277–286. [Google Scholar] [CrossRef]
- Braekevelt, C.R.; Thorlakson, I.J. Fine Structure of the Retinal Pigment Epithelium of the Great Horned Owl (Bubo virginianus). Histol. Histopathol. 1993, 8, 17–23. [Google Scholar]
- Rahman, M.L.; Aoyama, M.; Sugita, S. Topography of Retinal Photoreceptor Cells in the Jungle Crow (Corvus macrorhynchos) with Emphasis on the Distribution of Oil Droplets. Ornithol. Sci. 2007, 6, 29–38. [Google Scholar] [CrossRef]
- Rahman, M.L.; Aoyama, M.; Sugita, S. Topography of Ganglion Cells in the Retina of the Duck (Anas platyrhynchos Var. domesticus). Anim. Sci. J. 2007, 78, 286–292. [Google Scholar] [CrossRef]
- Lamb, T.D. Evolution of Vertebrate Retinal Photoreception. Philos. Trans. R. Soc. B Biol. Sci. 2009, 364, 2911–2924. [Google Scholar] [CrossRef] [PubMed]
- Meyer, D.B.; May, H.C. The Topographical Distribution of Rods and Cones in the Adult Chicken Retina. Exp. Eye Res. 1973, 17, 347–355. [Google Scholar] [CrossRef]
- Collin, S.P. Behavioural Ecology and Retinal Cell Topography. Adapt. Mech. Ecol. Vis. 1999, 1, 509–535. [Google Scholar] [CrossRef]
- Coimbra, J.P.; Videira Marceliano, M.L.; Da Silveira Andrade-Da-Costa, B.L.; Yamada, E.S. The Retina of Tyrant Flycatchers: Topographic Organization of Neuronal Density and Size in the Ganglion Cell Layer of the Great Kiskadee Pitangus sulphuratus and the Rusty Margined Flycatcher Myiozetetes cayanensis (Aves: Tyrannidae). Brain. Behav. Evol. 2006, 68, 15–25. [Google Scholar] [CrossRef]
- Rahman, M.L.; Sugita, S.; Aoyama, M.; Sugita, S. Number, Distribution and Size of Retinal Ganglion Cells in the Jungle Crow (Corvus macrorhynchos). Anat. Sci. Int. 2006, 81, 253–259. [Google Scholar] [CrossRef]
- Moore, B.A.; Pita, D.; Tyrrell, L.P.; Fernández-Juricic, E. Vision in Avian Emberizid Foragers: Maximizing Both Binocular Vision and Fronto-Lateral Visual Acuity. J. Exp. Biol. 2015, 218, 1347–1358. [Google Scholar] [CrossRef] [PubMed]
- Victory, N.; Segovia, Y.; García, M. Foveal Shape, Ultrastructure and Photoreceptor Composition in Yellow-Legged Gull, Larus Michahellis (Naumann, 1840). Zoomorphology 2021, 140, 151–167. [Google Scholar] [CrossRef]
- Inzunza, O.; Bravo, H.; Smith, R.L.; Angel, M. Topography and Morphology of Retinal Ganglion Cells in Falconiforms: A Study on Predatory and Carrion-eating Birds. Anat. Rec. 1991, 229, 271–277. [Google Scholar] [CrossRef]
- Gallego, A. Chapter 7 Comparative Studies on Horizontal Cells and a Note on Microglial Cells. Prog. Retin. Res. 1986, 5, 165–206. [Google Scholar] [CrossRef]
- Tarrés, M.A.G.; Baron, M.; Gallego, A. The Horizontal Cells in the Retina of the Owl, Tyto alba, and Owlet, Carinae noctua. Exp. Eye Res. 1986, 42, 315–321. [Google Scholar] [CrossRef]
- Urtubia, C. Visión En Color En Los Reptiles. Ver y Oir 2006, 23, 148–156. [Google Scholar]
- Kuffler, S.W. Neurons in the Retina: Organization, Inhibition and Excitation Problems. In Symposia on Quantitative Biology; Cold Spring Harbor Laboratory Press: New York, NY, USA, 1952; pp. 281–292. [Google Scholar]
- Michaelson, I. Retinal Circulation in Man and Animals. AMA Arch. Ophthalmol. 1954, 52, 495. [Google Scholar]
- Prince, J. Comparative Anatomy of the Eye. AMA Arch. Ophthalmol. 1957, 57, 638. [Google Scholar]







Disclaimer/Publisher’s Note: The statements, opinions and data contained in all publications are solely those of the individual author(s) and contributor(s) and not of MDPI and/or the editor(s). MDPI and/or the editor(s) disclaim responsibility for any injury to people or property resulting from any ideas, methods, instructions or products referred to in the content. |
© 2025 by the authors. Licensee MDPI, Basel, Switzerland. This article is an open access article distributed under the terms and conditions of the Creative Commons Attribution (CC BY) license (https://creativecommons.org/licenses/by/4.0/).
Share and Cite
Navarro-Sempere, A.; García, M.; Cobo, R.; Pascual-García, S.; Segovia, Y. A Comprehensive Microscopy Analysis of the Retina of Larus audouinii (Payraudeau, 1826): Environmental and Ecological Insights. Birds 2025, 6, 7. https://doi.org/10.3390/birds6010007
Navarro-Sempere A, García M, Cobo R, Pascual-García S, Segovia Y. A Comprehensive Microscopy Analysis of the Retina of Larus audouinii (Payraudeau, 1826): Environmental and Ecological Insights. Birds. 2025; 6(1):7. https://doi.org/10.3390/birds6010007
Chicago/Turabian StyleNavarro-Sempere, Alicia, Magdalena García, Raúl Cobo, Sandra Pascual-García, and Yolanda Segovia. 2025. "A Comprehensive Microscopy Analysis of the Retina of Larus audouinii (Payraudeau, 1826): Environmental and Ecological Insights" Birds 6, no. 1: 7. https://doi.org/10.3390/birds6010007
APA StyleNavarro-Sempere, A., García, M., Cobo, R., Pascual-García, S., & Segovia, Y. (2025). A Comprehensive Microscopy Analysis of the Retina of Larus audouinii (Payraudeau, 1826): Environmental and Ecological Insights. Birds, 6(1), 7. https://doi.org/10.3390/birds6010007

