DICER1 Tumor Syndrome: A Retrospective Review and Future Perspectives
Abstract
1. Introduction
2. Materials and Methods
3. Results
3.1. Epidemiology
3.2. Etiology
3.3. Tumors DICER1-Associated
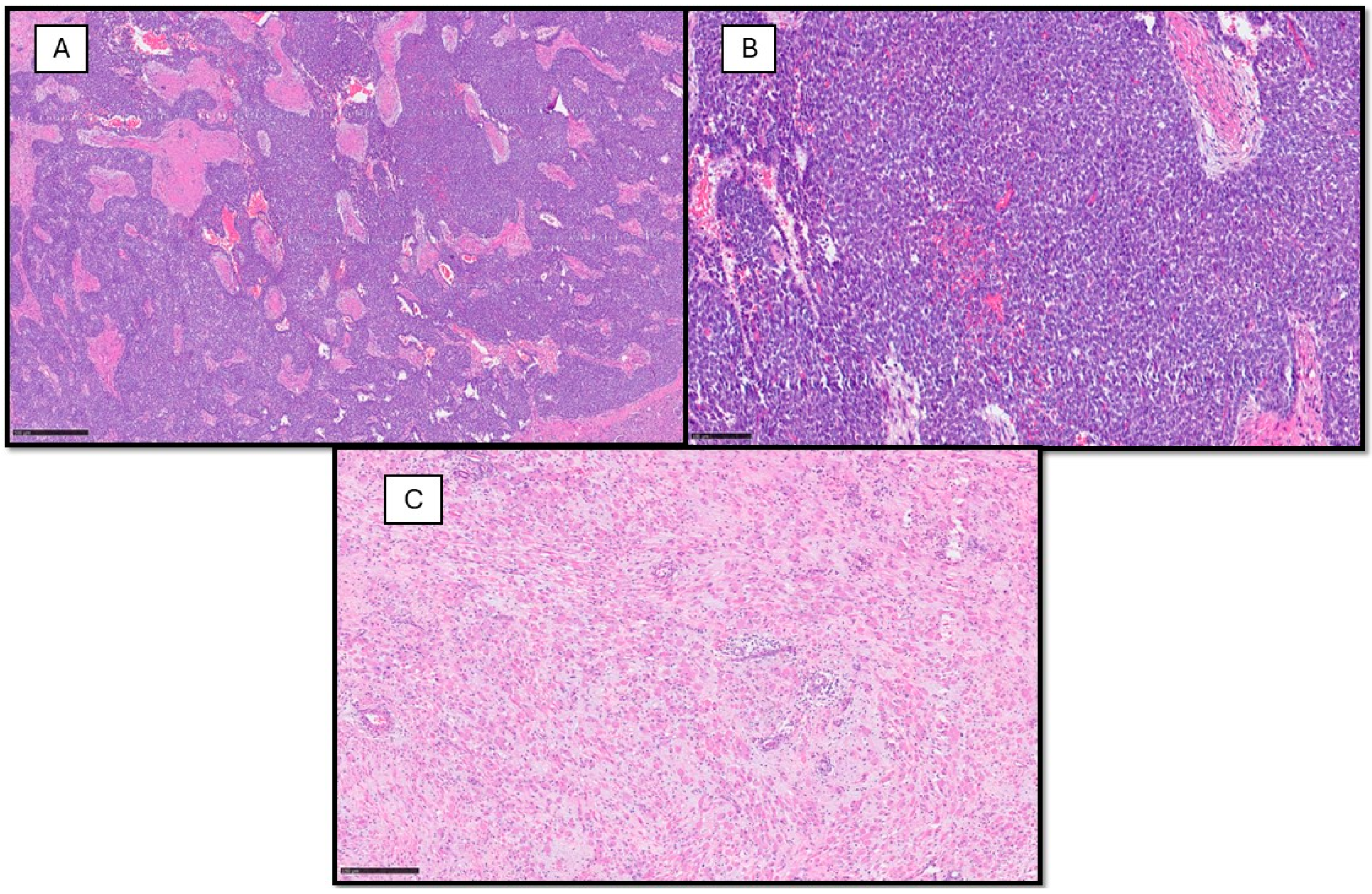
3.3.1. Pleuropulmonary Blastoma (PPB)
3.3.2. Cystic Nephroma (CN) and Anaplastic Kidney Sarcoma (AKS)
3.3.3. Wilms Tumor (WT)
3.3.4. Ovarian Sertoli–Leydig Cell Tumors (OSLCTs)
3.3.5. Embryonal Rhabdomyosarcoma of the Cervix (cERMS)
3.3.6. Gastrointestinal Tumors
3.3.7. Other Tumors
4. Genetic Counseling
5. Therapeutic Approaches
6. Concluding Remarks
Author Contributions
Funding
Data Availability Statement
Conflicts of Interest
References
- Available online: https://www.chop.edu/conditions-diseases/dicer1-syndrome (accessed on 15 April 2024).
- Bailey, K.M.; Jacobs, M.F.; Anderson, B.; Rabah, R.; Wu, Y.M.; Else, T.; Mody, R.J. DICER1 Mutations in the Era of Expanding Integrative Clinical Sequencing in Pediatric Oncology. JCO Precis. Oncol. 2019, 3, 1–8. [Google Scholar] [CrossRef] [PubMed] [PubMed Central]
- Available online: https://www.cancer.gov/publications/dictionaries/cancer-terms/def/dicer1-syndrome (accessed on 15 April 2024).
- Hořínová, V.; Drábová, K.; Nosková, H.; Bajčiová, V.; Šoukalová, J.; Černá, L.; Hůrková, V.; Slabý, O.; Štěrba, J. DICER1 Syndrome. Syndrom DICER1. Klin. Onkol. 2019, 32, 123–127. [Google Scholar] [CrossRef] [PubMed]
- González, I.A.; Stewart, D.R.; Schultz, K.A.P.; Field, A.P.; Hill, D.A.; Dehner, L.P. DICER1 tumor predisposition syndrome: An evolving story initiated with the pleuropulmonary blastoma. Mod. Pathol. 2022, 35, 4–22. [Google Scholar] [CrossRef]
- Zhang, J.; Zhang, X.H.; Wang, C.X.; Liu, B.; Fan, X.S.; Wen, J.J.; Shi, Q.L.; Zhou, X.J. Dysregulation of microRNA biosynthesis enzyme Dicer plays an important role in gastric cancer progression. Int. J. Clin. Exp. Pathol. 2014, 7, 1702–1707. [Google Scholar]
- Robertson, J.C.; Jorcyk, C.L.; Oxford, J.T. DICER1 Syndrome: DICER1 Mutations in Rare Cancers. Cancers 2018, 10, 143. [Google Scholar] [CrossRef]
- Slade, I.; Bacchelli, C.; Davies, H.; Murray, A.; Abbaszadeh, F.; Hanks, S.; Barfoot, R.; Burke, A.; Chisholm, J.; Hewitt, M.; et al. DICER1 syndrome: Clarifying the diagnosis, clinical features and management implications of a pleiotropic tumour predisposition syndrome. J. Med. Genet. 2011, 48, 273–278. [Google Scholar] [CrossRef]
- Kim, J.; Field, A.; Schultz, K.A.P.; Hill, D.A.; Stewart, D.R. The prevalence of DICER1 pathogenic variation in population databases. Int. J. Cancer 2017, 141, 2030–2036. [Google Scholar] [CrossRef]
- de Kock, L.; Wu, M.K.; Foulkes, W.D. Ten years of DICER1 mutations: Provenance, distribution, and associated phenotypes. Hum. Mutat. 2019, 40, 1939–1953. [Google Scholar] [CrossRef]
- Kim, J.; Schultz, K.A.P.; Hill, D.A.; Stewart, D.R. The prevalence of germline DICER1 pathogenic variation in cancer populations. Mol. Genet. Genom. Med. 2019, 7, e555. [Google Scholar] [CrossRef]
- Manivel, J.C.; Priest, J.R.; Watterson, J.; Steiner, M.; Woods, W.G.; Wick, M.R.; Dehner, L.P. Pleuropulmonary blastoma. The so-called pulmonary blastoma of childhood. Cancer 1988, 62, 1516–1526. [Google Scholar] [CrossRef] [PubMed]
- Dehner, L.P.; Schultz, K.A.; Hill, D.A. Pleuropulmonary Blastoma: More Than a Lung Neoplasm of Childhood. Mo. Med. 2019, 116, 206–210. [Google Scholar] [PubMed] [PubMed Central]
- Priest, J.R.; McDermott, M.B.; Bhatia, S.; Watterson, J.; Manivel, J.C.; Dehner, L.P. Pleuropulmonary blastoma: A clinicopathologic study of 50 cases. Cancer 1997, 80, 147–161. [Google Scholar] [CrossRef] [PubMed]
- Hill, D.A.; Jarzembowski, J.A.; Priest, J.R.; Williams, G.; Schoettler, P.; Dehner, L.P. Type I pleuropulmonary blastoma: Pathology and biology study of 51 cases from the international pleuropulmonary blastoma registry. Am. J. Surg. Pathol. 2008, 32, 282–295. [Google Scholar] [CrossRef] [PubMed]
- Masarweh, K.; Mordechai, O.; Gur, M.; Bar-Yoseph, R.; Bentur, L.; Ilivitzki, A. Challenges in DICER1-Associated Lung Disease. J. Clin. Med. 2023, 12, 1918. [Google Scholar] [CrossRef] [PubMed] [PubMed Central]
- Fosdal, M.B. Pleuropulmonary blastoma. J. Pediatr. Oncol. Nurs. 2008, 25, 295–302. [Google Scholar] [CrossRef] [PubMed]
- Messinger, Y.H.; Stewart, D.R.; Priest, J.R.; Williams, G.M.; Harris, A.K.; Schultz, K.A.P.; Yang, J.; Doros, L.; Rosenberg, P.S.; Hill, D.A.; et al. Pleuropulmonary blastoma: A report on 350 central pathology-confirmed pleuropulmonary blastoma cases by the international pleuropulmonary blastoma registry. Cancer 2015, 121, 276–285. [Google Scholar] [CrossRef]
- Granja, M.F.; O’Brien, A.T.; Trujillo, S.; Mancera, J.; Aguirre, D.A. Multilocular Cystic Nephroma: A Systematic Literature Review of the Radiologic and Clinical Findings. AJR Am. J. Roentgenol. 2015, 205, 1188–1193. [Google Scholar] [CrossRef] [PubMed]
- Jain, P.; Prasad, A.; Jain, S.; Rahul, K.M. Cystic Nephroma and its Varied Management Scenarios: A Report of two Cases. J. Indian Assoc. Pediatr. Surg. 2021, 26, 268–270. [Google Scholar] [CrossRef] [PubMed] [PubMed Central]
- Schultz, K.A.P.; Williams, G.M.; Kamihara, J.; Stewart, D.R.; Harris, A.K.; Bauer, A.J.; Turner, J.; Shah, R.; Schneider, K.; Schneider, K.W.; et al. DICER1 and Associated Conditions: Identification of At-risk Individuals and Recommended Surveillance Strategies. Clin. Cancer Res. 2018, 24, 2251–2261. [Google Scholar] [CrossRef] [PubMed] [PubMed Central]
- Faria, P.A.; Zerbini, M.C. Dedifferentiated cystic nephroma with malignant mesenchymoma as the dedifferentiated component. Pediatr. Pathol. Lab. Med. 1996, 16, 1003–1011. [Google Scholar] [CrossRef] [PubMed]
- Delahunt, B.; Beckwith, J.B.; Eble, J.N.; Fraundorfer, M.R.; Sutton, T.D.; Trotter, G.E. Cystic embryonal sarcoma of kidney: A case report. Cancer 1998, 82, 2427–2433. [Google Scholar] [CrossRef] [PubMed]
- Maciaszek, J.L.; Oak, N.; Nichols, K.E. Recent advances in Wilms’ tumor predisposition. Hum. Mol. Genet. 2020, 29, R138–R149. [Google Scholar] [CrossRef] [PubMed]
- Rakheja, D.; Chen, K.S.; Liu, Y.; Shukla, A.A.; Schmid, V.; Chang, T.C.; Khokhar, S.; Wickiser, J.E.; Karandikar, N.J.; Malter, J.S.; et al. Somatic mutations in DROSHA and DICER1 impair microRNA biogenesis through distinct mechanisms in Wilms tumours. Nat. Commun. 2014, 2, 4802, Erratum in Nat. Commun. 2017, 8, 16177. [Google Scholar] [CrossRef] [PubMed] [PubMed Central]
- Abbo, O.; Pinnagoda, K.; Brouchet, L.; Leobon, B.; Savagner, F.; Oliver, I.; Galinier, P.; Castex, M.P.; Pasquet, M. Wilms tumor, pleuropulmonary blastoma, and DICER1: Case report and literature review. World J. Surg. Oncol. 2018, 16, 164. [Google Scholar] [CrossRef] [PubMed] [PubMed Central]
- Young, R.H.; Scully, R.E. Ovarian Sertoli-Leydig cell tumors. A clinicopathological analysis of 207 cases. Am. J. Surg. Pathol. 1985, 9, 543–569. [Google Scholar] [CrossRef] [PubMed]
- Karnezis, A.N.; Wang, Y.; Keul, J.; Tessier-Cloutier, B.; Magrill, J.; Kommoss, S.; Senz, J.; Yang, W.; Proctor, L.; Schmidt, D.; et al. DICER1 and FOXL2 Mutation Status Correlates with Clinicopathologic Features in Ovarian Sertoli-Leydig Cell Tumors. Am. J. Surg. Pathol. 2019, 43, 628–638. [Google Scholar] [CrossRef] [PubMed]
- Conlon, N.; Schultheis, A.M.; Piscuoglio, S.; Silva, A.; Guerra, E.; Tornos, C.; Reuter, V.E.; Soslow, R.A.; Young, R.H.; Oliva, E.; et al. A survey of DICER1 hotspot mutations in ovarian and testicular sex cord-stromal tumors. Mod. Pathol. 2015, 28, 1603–1612. [Google Scholar] [CrossRef] [PubMed] [PubMed Central]
- Heravi-Moussavi, A.; Anglesio, M.S.; Cheng, S.W.; Senz, J.; Yang, W.; Prentice, L.; Fejes, A.P.; Chow, C.; Tone, A.; Kalloger, S.E.; et al. Recurrent somatic DICER1 mutations in nonepithelial ovarian cancers. N. Engl. J. Med. 2012, 366, 234–242. [Google Scholar] [CrossRef] [PubMed]
- Kato, N.; Kusumi, T.; Kamataki, A.; Tsunoda, R.; Fukase, M.; Kurose, A. DICER1 hotspot mutations in ovarian Sertoli-Leydig cell tumors: A potential association with androgenic effects. Hum. Pathol. 2017, 59, 41–47. [Google Scholar] [CrossRef] [PubMed]
- Goulvent, T.; Ray-Coquard, I.; Borel, S.; Haddad, V.; Devouassoux-Shisheboran, M.; Vacher-Lavenu, M.C.; Pujade-Laurraine, E.; Savina, A.; Maillet, D.; Gillet, G.; et al. DICER1 and FOXL2 mutations in ovarian sex cord-stromal tumours: A GINECO Group study. Histopathology 2016, 68, 279–285. [Google Scholar] [CrossRef] [PubMed]
- Minard-Colin, V.; Walterhouse, D.; Bisogno, G.; Martelli, H.; Anderson, J.; Rodeberg, D.A.; Ferrari, A.; Jenney, M.; Wolden, S.; De Salvo, G.; et al. Localized vaginal/uterine rhabdomyosarcoma-results of a pooled analysis from four international cooperative groups. Pediatr. Blood Cancer 2018, 65, e27096. [Google Scholar] [CrossRef] [PubMed] [PubMed Central]
- Apellaniz-Ruiz, M.; McCluggage, W.G.; Foulkes, W.D. DICER1-associated embryonal rhabdomyosarcoma and adenosarcoma of the gynecologic tract: Pathology, molecular genetics, and indications for molecular testing. Genes Chromosomes Cancer 2021, 60, 217–233. [Google Scholar] [CrossRef] [PubMed]
- Dural, O.; Kebudi, R.; Yavuz, E.; Yilmaz, I.; Buyukkapu Bay, S.; Schultz, K.A.P.; Hill, D.A. DICER1-Related Embryonal Rhabdomyosarcoma of the Uterine Corpus in a Prepubertal Girl. J. Pediatr. Adolesc. Gynecol. 2020, 33, 173–176. [Google Scholar] [CrossRef] [PubMed] [PubMed Central]
- Dehner, L.P.; Jarzembowski, J.A.; Hill, D.A. Embryonal rhabdomyosarcoma of the uterine cervix: A report of 14 cases and a discussion of its unusual clinicopathological associations. Mod. Pathol. 2012, 25, 602–614. [Google Scholar] [CrossRef] [PubMed] [PubMed Central]
- Apellaniz-Ruiz, M.; Segni, M.; Kettwig, M.; Glüer, S.; Pelletier, D.; Nguyen, V.H.; Wagener, R.; López, C.; Muchantef, K.; Bouron-Dal Soglio, D.; et al. Mesenchymal Hamartoma of the Liver and DICER1 Syndrome. N. Engl. J. Med. 2019, 380, 1834–1842. [Google Scholar] [CrossRef] [PubMed]
- Vargas, S.O.; Perez-Atayde, A.R. Mesenchymal Hamartoma of the Liver and DICER1 Syndrome. N. Engl. J. Med. 2019, 381, 586–587. [Google Scholar] [CrossRef] [PubMed]
- Boman, F.; Hill, D.A.; Williams, G.M.; Chauvenet, A.; Fournet, J.C.; Soglio, D.B.; Messinger, Y.; Priest, J.R. Familial association of pleuropulmonary blastoma with cystic nephroma and other renal tumors: A report from the International Pleuropulmonary Blastoma Registry. J. Pediatr. 2006, 149, 850–854. [Google Scholar] [CrossRef] [PubMed]
- Schultz, K.A.P.; Nelson, A.; Harris, A.K.; Finch, M.; Field, A.; Jarzembowski, J.A.; Wilhelm, M.; Mize, W.; Kreiger, P.; Conard, K.; et al. Pleuropulmonary blastoma-like peritoneal sarcoma: A newly described malignancy associated with biallelic DICER1 pathogenic variation. Mod. Pathol. 2020, 33, 1922–1929. [Google Scholar] [CrossRef] [PubMed] [PubMed Central]
- Pancaldi, A.; Peng, L.; Rhee, D.S.; Dunn, E.; Forcucci, J.A.; Belchis, D.; Pratilas, C.A. DICER1-associated metastatic abdominopelvic primitive neuroectodermal tumor with an EWSR1 rearrangement in a 16-yr-old female. Cold Spring Harb. Mol. Case Stud. 2020, 6, a005603. [Google Scholar] [CrossRef] [PubMed] [PubMed Central]
- WHO Classification Pediatric Tumours, 5th ed.; IARC: Lyon, France, 2020.
- Khan, N.E.; Bauer, A.J.; Schultz, K.A.P.; Doros, L.; Decastro, R.M.; Ling, A.; Lodish, M.B.; Harney, L.A.; Kase, R.G.; Carr, A.G.; et al. Quantification of Thyroid Cancer and Multinodular Goiter Risk in the DICER1 Syndrome: A Family-Based Cohort Study. J. Clin. Endocrinol. Metab. 2017, 102, 1614–1622. [Google Scholar] [CrossRef] [PubMed] [PubMed Central]
- Knobel, M. Etiopathology, clinical features, and treatment of diffuse and multinodular nontoxic goiters. J. Endocrinol. Investig. 2016, 39, 357–373. [Google Scholar] [CrossRef]
- van der Tuin, K.; de Kock, L.; Kamping, E.J.; Hannema, S.E.; Pouwels, M.M.; Niedziela, M.; van Wezel, T.; Hes, F.J.; Jongmans, M.C.; Foulkes, W.D.; et al. Clinical and Molecular Characteristics May Alter Treatment Strategies of Thyroid Malignancies in DICER1 Syndrome. J. Clin. Endocrinol. Metab. 2019, 104, 277–284. [Google Scholar] [CrossRef] [PubMed]
- Oliver-Petit, I.; Bertozzi, A.I.; Grunenwald, S.; Gambart, M.; Pigeon-Kerchiche, P.; Sadoul, J.L.; Caron, P.J.; Savagner, F. Multinodular goitre is a gateway for molecular testing of DICER1 syndrome. Clin. Endocrinol. 2019, 91, 669–675. [Google Scholar] [CrossRef] [PubMed]
- Chernock, R.D.; Rivera, B.; Borrelli, N.; Hill, D.A.; Fahiminiya, S.; Shah, T.; Chong, A.S.; Aqil, B.; Mehrad, M.; Giordano, T.J.; et al. Poorly differentiated thyroid carcinoma of childhood and adolescence: A distinct entity characterized by DICER1 mutations. Mod. Pathol. 2020, 33, 1264–1274. [Google Scholar] [CrossRef] [PubMed] [PubMed Central]
- Lee, Y.A.; Im, S.W.; Jung, K.C.; Chung, E.J.; Shin, C.H.; Kim, J.I.; Park, Y.J. Predominant DICER1 Pathogenic Variants in Pediatric Follicular Thyroid Carcinomas. Thyroid 2020, 30, 1120–1131. [Google Scholar] [CrossRef] [PubMed]
- Gullo, I.; Batista, R.; Rodrigues-Pereira, P.; Soares, P.; Barroca, H.; do Bom-Sucesso, M.; Sobrinho-Simões, M. Multinodular Goiter Progression Toward Malignancy in a Case of DICER1 Syndrome: Histologic and Molecular Alterations. Am. J. Clin. Pathol. 2018, 149, 379–386. [Google Scholar] [CrossRef] [PubMed]
- Agaimy, A.; Witkowski, L.; Stoehr, R.; Cuenca, J.C.C.; González-Muller, C.A.; Brütting, A.; Bährle, M.; Mantsopoulos, K.; Amin, R.M.; Hartmann, A.; et al. Malignant teratoid tumor of the thyroid gland: An aggressive primitive multiphenotypic malignancy showing organotypical elements and frequent DICER1 alterations-is the term “thyroblastoma” more appropriate? Virchows Arch. 2020, 477, 787–798. [Google Scholar] [CrossRef]
- Niedziela, M.; Sabbaghian, N.; de Kock, L.; Foulkes, W.D. Intrathyroidal Thymus (Incidentaloma) Mimicking Thyroid Neoplasia in DICER1 Syndrome. Eur. Thyroid J. 2021, 10, 257–261. [Google Scholar] [CrossRef] [PubMed] [PubMed Central]
- Thirunavukkarasu, B.; Chatterjee, D.; Mohindra, S.; Dass Radotra, B.; Prashant, S.J. Nasal Chondromesenchymal Hamartoma. Head Neck Pathol. 2020, 14, 1041–1045. [Google Scholar] [CrossRef] [PubMed] [PubMed Central]
- Priest, J.R.; Williams, G.M.; Mize, W.A.; Dehner, L.P.; McDermott, M.B. Nasal chondromesenchymal hamartoma in children with pleuropulmonary blastoma—A report from the International Pleuropulmonary Blastoma Registry. Int. J. Pediatr. Otorhinolaryngol. 2010, 74, 1240–1244. [Google Scholar] [CrossRef]
- Chong, A.S.; Han, H.; Albrecht, S.; Weon, Y.C.; Park, S.K.; Foulkes, W.D. DICER1 syndrome in a young adult with pituitary blastoma. Acta Neuropathol. 2021, 142, 1071–1076. [Google Scholar] [CrossRef] [PubMed]
- Nadaf, J.; de Kock, L.; Chong, A.S.; Korbonits, M.; Thorner, P.; Benlimame, N.; Fu, L.; Peet, A.; Warner, J.; Ploner, O.; et al. Molecular characterization of DICER1-mutated pituitary blastoma. Acta Neuropathol. 2021, 141, 929–944. [Google Scholar] [CrossRef] [PubMed]
- de Kock, L.; Sabbaghian, N.; Druker, H.; Weber, E.; Hamel, N.; Miller, S.; Choong, C.S.; Gottardo, N.G.; Kees, U.R.; Rednam, S.P.; et al. Germ-line and somatic DICER1 mutations in pineoblastoma. Acta Neuropathol. 2014, 128, 583–595. [Google Scholar] [CrossRef] [PubMed] [PubMed Central]
- Alexandrescu, S.; Meredith, D.M.; Lidov, H.G.; Alaggio, R.; Novello, M.; Ligon, K.L.; Vargas, S.O. Loss of histone H3 trimethylation on lysine 27 and nuclear expression of transducin-like enhancer 1 in primary intracranial sarcoma, DICER1-mutant. Histopathology 2021, 78, 265–275. [Google Scholar] [CrossRef] [PubMed]
- Cardona, A.F.; Chamorro Ortiz, D.F.; Ruíz-Patiño, A.; Gomez, D.; Muñoz, Á.; Ardila, D.V.; Garcia-Robledo, J.E.; Ordóñez-Reyes, C.; Sussmann, L.; Mosquera, A.; et al. DICER1-associated central nervous system sarcoma: A comprehensive clinical and genomic characterization of case series of young adult patients. Neurooncol. Pract. 2023, 10, 381–390. [Google Scholar] [CrossRef] [PubMed] [PubMed Central]
- Uro-Coste, E.; Masliah-Planchon, J.; Siegfried, A.; Blanluet, M.; Lambo, S.; Kool, M.; Roujeau, T.; Boetto, S.; Palenzuela, G.; Bertozzi, A.I.; et al. ETMR-like infantile cerebellar embryonal tumors in the extended morphologic spectrum of DICER1-related tumors. Acta Neuropathol. 2019, 137, 175–177. [Google Scholar] [CrossRef] [PubMed]
- de Kock, L.; Priest, J.R.; Foulkes, W.D.; Alexandrescu, S. An update on the central nervous system manifestations of DICER1 syndrome. Acta Neuropathol. 2020, 139, 689–701. [Google Scholar] [CrossRef] [PubMed]
- Erber, R.; Preidl, R.; Stoehr, R.; Haller, F.; Hartmann, A.; Kesting, M.; Agaimy, A. DICER1-Mutated Botryoid Fibroepithelial Polyp of the Parotid Duct: Report of the First Case. Head Neck Pathol. 2022, 16, 573–580. [Google Scholar] [CrossRef] [PubMed] [PubMed Central]
- Klein, S.D.; Martinez-Agosto, J.A. Hotspot Mutations in DICER1 Causing GLOW Syndrome-Associated Macrocephaly via Modulation of Specific microRNA Populations Result in the Activation of PI3K/ATK/mTOR Signaling. Microrna 2020, 9, 70–80. [Google Scholar] [CrossRef] [PubMed] [PubMed Central]
- Apellaniz-Ruiz, M.; Cullinan, N.; Grant, R.; Marrano, P.; Priest, J.R.; Thorner, P.S.; Goudie, C.; Foulkes, W.D. DICER1 screening in 15 paediatric paratesticular sarcomas unveils an unusual DICER1-associated sarcoma. J. Pathol. Clin. Res. 2020, 6, 185–194. [Google Scholar] [CrossRef] [PubMed] [PubMed Central]
- Bouron-Dal Soglio, D.; de Kock, L.; Gauci, R.; Sabbaghian, N.; Thomas, E.; Atkinson, H.C.; Pachter, N.; Ryan, S.; Walsh, J.P.; Kumarasinghe, M.P.; et al. A Case Report of Syndromic Multinodular Goitre in Adolescence: Exploring the Phenotype Overlap between Cowden and DICER1 Syndromes. Eur. Thyroid J. 2018, 7, 44–50. [Google Scholar] [CrossRef] [PubMed] [PubMed Central]
- Bakhuizen, J.J.; Hanson, H.; van der Tuin, K.; Lalloo, F.; Tischkowitz, M.; Wadt, K.; Jongmans, M.C.J.; SIOPE Host Genome Working Group; CanGene-CanVar Clinical Guideline Working Group; Expert Network Members. Surveillance recommendations for DICER1 pathogenic variant carriers: A report from the SIOPE Host Genome Working Group and CanGene-CanVar Clinical Guideline Working Group. Fam. Cancer 2021, 20, 337–348. [Google Scholar] [CrossRef] [PubMed] [PubMed Central]
- Altaraihi, M.; Hansen, T.V.O.; Santoni-Rugiu, E.; Rossing, M.; Rasmussen, Å.K.; Gerdes, A.M.; Wadt, K. Prevalence of Pathogenic Germline DICER1 Variants in Young Individuals Thyroidectomised Due to Goitre—A National Danish Cohort. Front. Endocrinol. 2021, 12, 727970. [Google Scholar] [CrossRef] [PubMed] [PubMed Central]
- Stewart, D.R.; Best, A.F.; Williams, G.M.; Harney, L.A.; Carr, A.G.; Harris, A.K.; Kratz, C.P.; Dehner, L.P.; Messinger, Y.H.; Rosenberg, P.S.; et al. Neoplasm Risk among Individuals with a Pathogenic Germline Variant in DICER1. J. Clin. Oncol. 2019, 37, 668–676. [Google Scholar] [CrossRef] [PubMed] [PubMed Central]
- Caroleo, A.M.; De Ioris, M.A.; Boccuto, L.; Alessi, I.; Del Baldo, G.; Cacchione, A.; Agolini, E.; Rinelli, M.; Serra, A.; Carai, A.; et al. DICER1 Syndrome and Cancer Predisposition: From a Rare Pediatric Tumor to Lifetime Risk. Front. Oncol. 2021, 10, 614541. [Google Scholar] [CrossRef] [PubMed] [PubMed Central]
- Thunders, M.; Delahunt, B. Gene of the month: DICER1: Ruler and controller. J. Clin. Pathol. 2021, 74, 69–72. [Google Scholar] [CrossRef] [PubMed]
- Shero, N.; Dhir, A.; Bejarano, P.; Rhode, S.; Goicocechea, J.C. DICER1-related Sertoli-Leydig cell tumor and rhabdomyosarcoma: An evolving disease with a challenging clinical course and treatment: A case report. Case Rep. Womens Health 2024, 41, e00580. [Google Scholar] [CrossRef] [PubMed] [PubMed Central]
- Vuong, H.G.; Le, M.K.; Dunn, I.F. A systematic review of the clinicopathological features and prognostic outcomes of DICER1-mutant malignant brain neoplasms. J. Neurosurg. Pediatr. 2022, 30, 308–315. [Google Scholar] [CrossRef] [PubMed] [PubMed Central]
- Kommoss, F.K.F.; Chong, A.S.; Chong, A.L.; Pfaff, E.; Jones, D.T.W.; Hiemcke-Jiwa, L.S.; Kester, L.A.; Flucke, U.; Gessler, M.; Schrimpf, D.; et al. Genomic characterization of DICER1-associated neoplasms uncovers molecular classes. Nat. Commun. 2023, 14, 1677. [Google Scholar] [CrossRef] [PubMed] [PubMed Central]
- van Engelen, K.; Villani, A.; Wasserman, J.D.; Aronoff, L.; Greer, M.C.; Tijerin Bueno, M.; Gallinger, B.; Kim, R.H.; Grant, R.; Meyn, M.S.; et al. DICER1 syndrome: Approach to testing and management at a large pediatric tertiary care center. Pediatr. Blood Cancer 2018, 65, e26720. [Google Scholar] [CrossRef] [PubMed]

| Lung | Kidney | SNC Head and Neck | Gastrointestinal Endocrine | Gynecological Soft Tissue |
|---|---|---|---|---|
| Pleuropulmonary blastoma (PPB) I, IR, II, III | Cystic nephroma | SNC sarcoma with PPB III-like features | Cystic hepatic neoplasm with type I PPB-like features | Sertoli–Leydig cell tumor with/without heterologous differentiation and type I PPB-like features |
| PPB-like neoplasms | Anaplastic sarcoma of the kidney | Ciliary body medulloepithelioma | Hamartomatous polyp with juvenile polyp-like features | Peritoneal, ovarian, and fallopian tube sarcoma with PPB-like features |
| PPB-like Sertoli–Leydig cell tumor of lung | Pituitary blastoma | Cervical–thyroid teratoma | Cervical embryonal rhabdomyosarcoma | |
| Pineoblastoma | Malignant teratoid neoplasm of sacrococcygeal region | |||
| Embryonal tumor with multilayered rosettes | Multinodular goiter | |||
| Nasal chondromesenchymal hamartoma | Papillary thyroid carcinoma | |||
| Botryoid fibroepithelial polyps of parotid duct | Follicular carcinoma | |||
| Poorly differentiated thyroid carcinoma |
Disclaimer/Publisher’s Note: The statements, opinions and data contained in all publications are solely those of the individual author(s) and contributor(s) and not of MDPI and/or the editor(s). MDPI and/or the editor(s) disclaim responsibility for any injury to people or property resulting from any ideas, methods, instructions or products referred to in the content. |
© 2024 by the authors. Licensee MDPI, Basel, Switzerland. This article is an open access article distributed under the terms and conditions of the Creative Commons Attribution (CC BY) license (https://creativecommons.org/licenses/by/4.0/).
Share and Cite
Cazzato, G.; Casatta, N.; Lupo, C.; Ingravallo, G.; Ribatti, D. DICER1 Tumor Syndrome: A Retrospective Review and Future Perspectives. J. Mol. Pathol. 2024, 5, 264-275. https://doi.org/10.3390/jmp5030019
Cazzato G, Casatta N, Lupo C, Ingravallo G, Ribatti D. DICER1 Tumor Syndrome: A Retrospective Review and Future Perspectives. Journal of Molecular Pathology. 2024; 5(3):264-275. https://doi.org/10.3390/jmp5030019
Chicago/Turabian StyleCazzato, Gerardo, Nadia Casatta, Carmelo Lupo, Giuseppe Ingravallo, and Domenico Ribatti. 2024. "DICER1 Tumor Syndrome: A Retrospective Review and Future Perspectives" Journal of Molecular Pathology 5, no. 3: 264-275. https://doi.org/10.3390/jmp5030019
APA StyleCazzato, G., Casatta, N., Lupo, C., Ingravallo, G., & Ribatti, D. (2024). DICER1 Tumor Syndrome: A Retrospective Review and Future Perspectives. Journal of Molecular Pathology, 5(3), 264-275. https://doi.org/10.3390/jmp5030019

