Abstract
Necrotizing fasciitis (NF) is a life-threatening soft-tissue infection affecting the deep fascia and subcutaneous tissue. It is characterized by a fulminant course and high mortality rates. NF of the head and neck is very rare, with most cases being odontogenic in origin. The purpose of this study is to comprehensively review the most important features of cervical necrotizing fasciitis (CNF) in adults and add our experience in the management of this entity. The most common isolated organisms are Streptococcus spp. and Staphylococcus spp. If the infection progresses to descending mediastinitis, the prognosis becomes very poor. Since the initial clinical features can be similar to those of a non-necrotizing deep cervical infection, a high degree of suspicion is critical for an early diagnosis. A computed tomography scan is essential for the diagnosis and to define the extent of the infection/rule out descending mediastinitis. Early and aggressive surgical debridement of all compromised tissue and antibiotic therapy and fluid resuscitation are essential and should not wait for bacterial culture results. Despite prompt and adequate treatment, the mortality of CNF can be as high as 35%.
1. Introduction
Necrotizing fasciitis (NF) is a potentially fatal infection characterized by the rapidly progressive necrosis of the superficial fascia and overlying subcutaneous tissue. It is often associated with sepsis and multisystem organ failure. The term “necrotizing fasciitis” was first used by Wilson in 1952 [1], but Hippocrates already described a condition resulting in a “great falling off of the flesh, tendons, and bones; and the defluxion which seated in the parts was not like pus, but a sort of putrefaction” in 500 BC [2,3]. The abdominal wall/perineum, thorax, or lower limbs are most commonly affected. The incidence varies between 1.8/100,000/year in New Zealand [4] and 19.7/100,000/year in Fiji [5]. According to the Center for Disease Control, since 2010, approximately 700 to 1150 cases of NF caused by group A Streptococcus alone occur each year in the United States [6], and the UK has a reported incidence of NF of 500 cases per year [7]. An association with socioeconomic inequalities has been postulated (i.e., household crowding and decreased access to health services) [4]. However, necrotizing fasciitis of the head and neck is reported to be rare (1–10%) [2]. This is probably due to the increased blood supply of the head and neck region. The purpose of this review is to provide a comprehensive description of the most important features of cervical necrotizing fasciitis (CNF) in adults, focusing on the relevance of an early diagnosis and management. Our aim is to help the inexperienced physician recognize or suspect this specific type of infection if encountered.
2. Pathogenesis and Clinical Features
2.1. Pathogenesis
NF is an invasive infection of the subcutaneous tissue, rapidly disseminated through the fascial planes due to its relatively poor blood supply, causing thrombosis of the affected blood vessels, skin devascularization, and fascial necrosis. The skin surface appears relatively normal at the onset while the fascial necrosis is more extensive [2,8]. After several days, it becomes warm, erythematous, and tender. The infection of subcutaneous tissue leads to subdermal venous thrombosis and inflammatory cell infiltration with abscess formation, followed by arterial compromise due to endarteritis obliterans. This causes critical skin ischemia, with blisters or bullae formation. Necrosis of the skin and coliquative gangrene follow. At this point, pain is reduced, secondary to the destruction of superficial cutaneous nerves [9,10,11].
Table 1.
Causes of CNF.
According to a systematic review conducted by Gunaratne et al. [14], the most common organisms found in CNF were Streptococcus spp. (61% of the patients) and Staphylococcus spp. (18%). Prevotella spp., Peptostreptococcus spp., Bacteroides spp., Fusobacterium spp., Enterobacter spp., Klebsiella spp., Escherichia coli, Pseudomonas spp., and Candida spp. were also reported. A mean of 2 ± 0.98 organisms were identified per patient in this study [14].
The relationship between nonsteroidal anti-inflammatory drugs (NSAID) and necrotizing soft-tissue infections, particularly those caused by group A streptococcus, is still controversial. NSAIDs were found to be an independent risk factor for NF of the limbs in a case-control study [15] and ketorolac and ibuprofen have been reported to accelerate the disease course and worsen outcomes in mice [16,17].
2.2. Classification
Table 2 summarizes the microbiologic classification of NF. The relative incidences of each category vary considerably depending on the studies [18]:
NF type I is characterized by a polymicrobial infection with aerobic and anaerobic bacteria. Typically, at least one anaerobic species (most commonly Bacteroides spp., Clostridium spp. or Peptostreptococcus spp.) is isolated in combination with Enterobacteriaceae (E. coli, Enterobacter spp., Klebsiella spp., and Proteus spp.) and one or more facultative anaerobic streptococci (other than group A Streptococcus) [19]. In the head and neck, usually mouth anaerobes (Fusobacterium spp., anaerobic Streptococci, Bacteroides spp., and Spirochetes spp.) are found. Pseudomonas aeruginosa and Candida spp. can be found rarely in these mixed infections. This is the most frequent type in immunodeficient patients or those with comorbidities such as diabetes mellitus. These polymicrobial infections tend to have longer incubation periods than monomicrobial (type II) infections [20].
NF type II is a monomicrobial infection, usually caused by group A Streptococcus, other beta-hemolytic Streptococci, or Staphylococcus aureus [21]. It may occur in any age group and in individuals with no underlying comorbidities; in half of the cases, a clear portal of entry is not found. It usually begins following the hematogenous translocation of group A Streptococcus from the throat (pharyngitis, either symptomatic or asymptomatic) to a site of blunt trauma or muscle strain [13,18]. Necrotizing infections caused by group A Streptococcus strains with M protein types 1 and 3 are associated with toxic shock syndrome in about 50% of cases [22,23]. Pyrogenic exotoxins produced by these strains induce cytokine release, contributing to shock, tissue destruction, and organ failure [24].
Table 2.
Microbiologic classification of necrotizing infections (modified from “Approach to microbiologic diagnosis of necrotizing infections”. Up to date 2024 [25]).
Table 2.
Microbiologic classification of necrotizing infections (modified from “Approach to microbiologic diagnosis of necrotizing infections”. Up to date 2024 [25]).
| PRESENCE OF GAS IN SOFT TISSUE (ON RADIOGRAPHIC IMAGING) | ||||
|---|---|---|---|---|
| Polymicrobial 1 | Necrotizing fasciitis type I (polymicrobial). | |||
| Necrotizing cellulitis: Nonclostridial anaerobic (crepitant) cellulitis | ||||
| Gram-positive rods | Acute clinical presentation | Clostridial myonecrosis (gas gangrene) | C. perfringens—traumatic | |
| C. septicum—Spontaneous | ||||
| Indolent clinical presentation | Clostridial (anaerobic) cellulitis | C. perfringens—more common | ||
| C. septicum—less common | ||||
| ABSENCE OF GAS IN SOFT TISSUE (ON RADIOGRAPHIC IMAGING) | ||||
| Gram-positive cocci (increasing [26]) | Necrotizing fasciitis type II (monomicrobial) | Group A Streptococcus or other beta-hemolytic streptococci (Group C–G streptococci). Increasing. | ||
| Staphylococcus aureus (methicillin-sensitive (MSSA) or methicillin-resistant (MRSA) less common but increasing (up to 16%) 2 | ||||
| Necrotizing myositis due to group A Streptococcus or other beta-hemolytic streptococci | ||||
| Enterococcus species | ||||
| Gram-negative rods | Aeromonas species—freshwater exposure | |||
| Vibrio species—Saltwater exposure, chronic hepatopathy, diabetes mellitus | ||||
| Enterobacteriaceae and non-fermenters, immunodepressed patients [27,28,29] | ||||
| Rare etiologies | Mycobacterium tuberculosis [30] | |||
| Fungal infections | ||||
1 Gram-positive cocci, gram-positive rods, gram-negative cocci, and gram-negative rods. S. Pneumoniae exceptionally in patients with extreme age and comorbidities [31]; 2 Risk factors for MRSA: local endemicity, long-stay care facility, chronic dialysis, permanent transcutaneous medical device, previous MRSA infection or colonization, children under 2, athletes, parenteral drug users, military, veterinarians, and institutionalized patients [28,32].
2.3. Clinical Features
The main clinical feature is the rapidly progressive necrotizing infection. The patient usually has a history of dental infection left untreated or being unresponsive to antibiotics. In some of these cases, nonsteroidal anti-inflammatory drugs and oral antibiotic treatment may mask signs and symptoms, delaying diagnosis. Fever is not always present and, often, patients can appear systemically quite well in the initial phases, especially immunocompromised patients, such as diabetics. Swelling, erythema, and edema of the cervical/submandibular region usually follow, as the patient’s general condition worsens. The margins of tissue involvement are often poorly defined. Disproportionate pain and tenderness extending beyond the involved area are characteristic. Hypoesthesia or anesthesia have also been described in a later stage, secondary to dermal necrosis [28]. Crepitus on physical examination is also a typical local sign, revealing the presence of gas-forming organisms. Wang et al. [29] described the consecutive dermatological findings as the infection progresses: (1) tenderness, erythema, warmth, and swelling; (2) blistering and bullae; and (3) skin crepitus, necrosis, and anesthesia. Tachycardia or hypotension are typical as the disease progresses [2].
3. Diagnosis
The diagnosis of CNF is based on clinical examination, imaging, and laboratory tests. (Table 3). Surgical exploration is the most sensitive and specific option to confirm or exclude NF [20] and should be performed if suspected. Histopathological findings typically show necrosis of the fascia and muscle and a polymorphonuclear infiltration. A large number of gram-positive bacteria can be found adjacent to muscle cells in group A streptococcal infections, while a clostridial origin usually leads to more edema and gas formation. Angiothrombosis of the medium and small vessels is also characteristic [13]. The differential diagnosis of CNF is summarized in Table 4.
Table 3.
Diagnosis of CNF.
Table 4.
Differential Diagnosis of CNF.
3.1. Clinical Diagnosis
CNF should be suspected in patients with facial or cervical/submandibular swelling, edema, erythema (Figure 1), and systemic manifestations such as fever and hemodynamic instability. Association with crepitus, rapid progression of clinical manifestations, and severe, disproportionate pain should raise alarms. Since CNF is rare, many surgeons are not familiar with this condition. Therefore, making an early diagnosis is challenging. Moreover, differential diagnosis of CNF from non-necrotizing deep neck infections may be difficult at early stages, since these two entities are clinically similar initially [9,10]. An accurate diagnosis at the time of presentation is reached in less than 40% of the patients [11]. The presence of blistering and bullae has been signaled as an important distinguishing feature from other non-necrotizing infections, such as erysipelas or cellulitis. Crepitus with skin necrosis is pathognomonic but a late sign in the evolution of the disease [29].
Figure 1.
Patient A. (A) Necrotizing fasciitis of odontogenic origin in a 51-year-old male with undiagnosed diabetes mellitus and smoker of 30 cigarettes/day. He received treatment at home with amoxicillin/clavulanic acid and ibuprofen and only consulted once the disease had seriously progressed. He presented a poor general status with submandibular swelling and erythema extending to the clavicles and subcutaneous crepitus in the anterior aspect of the neck and supraclavicular region. He was febrile (37°), tachycardic, and hypotensive. The white blood cell count was 14.8 per mm3, creatinine 2.29 mg/dL, urea 170 mg/dL, sodium 121 mmol/L, and glucose > 800 mg/dL. Surgery was performed within 5 h from admission. No necrotic skin was present on admission nor after the first surgery. Therefore, a conservative approach was chosen initially, with drainage and irrigation of the tissues. He was transferred to the intensive care unit after surgery. His condition worsened to septic shock with acute renal failure and diabetic ketoacidosis. (B) Twelve hours after surgical exploration and drainage, skin necrosis appeared, and the patient was taken back to surgery. Three more surgeries with extensive debridement of all necrotic tissue were performed. Necrotizing fasciitis was histopathologically confirmed and Streptococcus sp. and Candida albicans were isolated. This clinical case was previously published in Int. J. Oral Maxillofac. Surg., 42, Leyva P., Herrero M., Eslava J.M., Acero J. [30].
If the clinical features are suggestive of necrotizing fasciitis but doubts remain, exploratory surgery should be considered without delay. Some authors advocate performing the finger test, which reveals the absence of bleeding and the presence of friable tissue and “dishwater” discharge [33,34]. Surgical inspection of the wound demonstrates dull grey necrotic tissue and fascia, lack of bleeding, loss of structural integrity of the subcutaneous fat, and little resistance of the tissues [2,35]. A foul, penetrating odor is also characteristic, usually revealing the presence of anaerobes. Biopsies should be taken from non-necrotic tissue; specimens should also be sent to microbiology for Gram’s stain, sensitivity, and culture.
3.2. Laboratory Tests
Laboratory findings are generally nonspecific. A marked leukocytosis with left shift is common, but 20% of patients have a normal white cell count. Acidosis, coagulopathy, hyponatremia, elevated inflammatory markers as C-reactive protein, and elevation in serum creatinine and lactate can be present. Elevations in serum creatin kinase or aspartate aminotransferase suggest a deep infection involving muscle or fascia (as opposed to cellulitis) [18]. Some studies have also investigated the role of serum procalcitonin as a diagnostic tool [36,37], suggesting that a low level may rule out NF in the early stages when the clinical status and physical examination are also in agreement.
The Laboratory Risk Indicator for Necrotizing Fasciitis (LRINEC) is a scoring system developed by Wong et al. [38] to help distinguish NF from other soft-tissue infections based on laboratory parameters (white cell count, hemoglobin, sodium, glucose, creatinine, and C-reactive protein). The scoring varies from 0 to 13, where 6–7 indicates a risk of NF of 50–75% and 8–13 is a risk > 75%. A modified LRINEC has also been developed [39], adding coexisting diabetes and renal disease and high-sensitivity C-reactive protein instead of C-reactive protein. Of the LRINEC parameters, glucose and C-reactive protein are considered predictors of mortality in critically ill patients, in relation to sepsis, hyperglycemia, and end-stage acute renal failure [20]. Moreover, Kim et al. [9] found in their systematic review and meta-analysis of NF in the head and neck a sensitivity and specificity of 75% and 85%, respectively, using an LRINEC score cutoff value of six and 17% and 96%, respectively, with a cutoff value of eight. Therefore, they recommend using this score as an adjunctive prediction tool instead of a standalone tool and suggest that CT plus LRINEC with a cutoff value of six could help to identify CNF in the early stages. Some authors state that the LRINEC should not be used to rule out NF due to the variable sensitivity of this tool [40,41], and Fernando et al. [41] found in their systematic review and meta-analysis that a LRINEC score of six (“moderate” risk) was poorly sensitive for the diagnosis of NF, and only moderately specific, which is worse than reported in the validation study. They also found that a LRINEC score of eight (“high” risk of NSTI) increased the specificity but at the cost of substantially decreased sensitivity. The authors advise on the importance of recognizing the limitations in sensitivity of the LRINEC score, as computation of the score requires laboratory values, and, therefore, can delay definitive surgical management and result in worse outcomes.
3.3. Imaging Studies
Computed tomography (CT) scan findings include diffuse thickening of the subcutaneous tissue and the cervical fascia, fluid collections in neck compartments, and gas collections. The presence of gas is not a specific sign of necrotizing fasciitis, being present in other musculoskeletal infections [42], and its absence should not exclude the diagnosis if clinically suspected. Gas within fluid collections along subfascial planes is the hallmark of NF [43]. Becker et al. [44] defined the constant diagnostic features found on the CT scans of patients with histologically confirmed NF: (1) cellulitis (diffuse thickening of cutaneous and subcutaneous tissue and reticular enhancement of the subcutaneous fat); (2) fasciitis (thickening and/or enhancement of cervical fascia); (3) myositis (asymmetric thickening or enhancement of cervical muscles); and (4) fluid collections in multiple neck spaces. Gas collections and involvement of the mediastinum were inconstant findings. Involvement of the superficial cervical fascia and thickening and/or enhancement of sternocleidomastoid muscle were present in all patients. A CT scan of our first patient showed abundant and continuous gas collections, descending from the mandibular region to the upper portion of the anterior thoracic wall (Figure 2). This is in contrast with the Becker et al. [44] findings, where all gas collections were located within fluid collections.
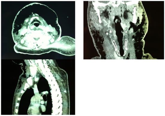
Figure 2.
Patient A. Preoperative CT scan showing abundant gas extending subcutaneously from the upper anterior chest wall and the anterolateral neck bilaterally up to the paramandibular region.
Since the infection can descend to the mediastinum, this region must be routinely explored with a thoracic CT scan. CT scan is also useful for the re-evaluation of new/remaining collections or areas of progression when recovery is not as expected after surgical debridement.
The sensitivity of CT has been reported to be 80%, with low specificity [9,10], although a systematic review from 2019 [41] found a sensitivity of 94.3% for the composite findings of fascial enhancement, fascial edema, or fascial gas and a specificity of 93.3% for fascial gas. In case of doubt, clinical suspicion should prevail. Martinez et al. [45] described a sensitivity of 100%, with a 98% specificity, a positive predictive value of 76%, and a negative predictive value of 100%, after retrospectively assessing the CT scans and medical records of 184 patients with suspicion of necrotizing soft-tissue infection. According to their findings, they stated that a negative IV contrast-enhanced CT scan can reliably rule out the need for surgical intervention in patients with clinical suspicion of necrotizing soft-tissue infection.
Magnetic resonance imaging (MRI) is superior to CT scan [42] when assessing soft tissue and can differentiate from a non-necrotizing cellulitis [46] (that can be treated medically) but it is usually not available in an emergency setting. MRI signs that support a diagnosis of necrotizing fasciitis include extensive involvement of the deep intermuscular fascia (high sensitivity but low specificity), thickening to more than 3 mm, and a partial or complete absence of signal enhancement of the thickened fasciae on post-gadolinium images (fairly high sensitivity and specificity) [47]. However, due to the excessive sensitivity of MRI for detecting abnormalities of the deep fascia, the results should be interpreted carefully [47].
Kwee and Kwee [48] conducted a systematic review comparing the diagnostic performance of MRI and CT for NF. They conclude that the advantage of MRI is the superior soft-tissue contrast, whereas CT is faster and more sensitive for detecting gas in the soft tissues. However, they could not verify which imaging modality has the highest diagnostic performance.
In our experience, the availability and speed of CT scans make this modality more useful than MRIs in making management decisions for CNF.
4. Management
Early and aggressive surgical debridement of all necrotic tissues is the cornerstone of management. Re-interventions are usually necessary as the infection progresses. Some authors even recommend routine second-look surgery [49]. When deciding the extension of the area to resect, the surgeon should bear in mind that adjacent, normal-appearing tissues probably have extensive early vascular thrombosis and vasculitis [50]. Specimens must be sent to both pathology and microbiology for histological confirmation and Gram’s stain, culture, and antibiotic sensitivity.
For our first patient, a more conservative approach was chosen. Since neither the skin nor the fascia showed signs of necrosis at the moment of first surgical exploration, only cutaneous incisions and fasciotomies were performed initially to drain the purulent exudate and profusely irrigate the tissues. The wounds and skin were closely monitored, and the patient was taken back to the theater as soon as the first signs of necrosis were noticed (Figure 1B). Figure 3 shows progression of necrosis after second surgery. For our second patient, who presented at the emergency department with a necrotic patch of skin and bullae, an aggressive surgical debridement of all skin, fascia, and cervical fat was performed straight away (Figure 4).
Figure 3.
Patient A. (A) Progression of skin and muscle necrosis after second surgery. (B) Final extension of debridement before skin grafting.
Figure 4.
Patient B. (A) Sixty-two-year-old man with chronic ischemic cardiopathy and poorly controlled diabetes mellitus despite treatment with 4 drugs. Smoker. Odontogenic infection of a left upper tooth treated with amoxicillin/clavulanic acid for the previous 14 days. Presented to the emergency department with crepitus, swelling, and erythema on the anterolateral neck and upper thorax, a necrotic patch of skin and bullae with purulent exudate. Laboratory results were as follows: glucose 125 mg/dL, WBC 27 per mm3, hemoglobin was normal, creatinine 1.81 mg/dL, C-Reactive protein 385 mg/L, sodium 126 mmol/L; urea was 3 times higher than normal, and liver function parameters were also high. Intravenous broad-spectrum antibiotics were started and patient was taken to surgery within 3 h of admittance. (B) Extensive debridement was performed as shown in picture. Tracheotomy was performed to secure the airway. Patient was acidotic and septic in intensive care unit and required increasing doses of vasoactive drugs. Intravenous immunoglobulin was administered. Patient died 16 h after admittance. Histopathology confirmed the diagnosis of NF. Microbiology report showed Stenotrophomonas maltophilia and Enterobacter cloacae; Staphylococcus epidermidis and Streptococcus constellatus grew in the aerobic culture and Eggerthia catenaformis and Prevotella nigrescens in the anaerobic culture.
A temporary tracheotomy is routinely performed to secure the airway in patients who need ventilatory support or in which several interventions under general anesthesia are anticipated. In our experience, a tracheotomy can be delayed when intense swelling or purulent collections are present in the anterior aspect of the neck, and be performed, if still needed, during a second surgery, after those collections are already drained and the anterior cervical area is debrided. This way, contamination /migration of the purulent fluids into the trachea can be avoided.
Broad-spectrum empiric antibiotic therapy should cover the gram-positive, gram-negative, and anaerobic organisms [28,49,51]. It is important to notice that the correct approach to antimicrobial therapy depends on local resistance rates and local recommendations, which should be checked before starting an empirical treatment. The following could be used as a general guide:
- -
- A carbapenem: Imipenem 1 gr every 6 to 8 h or Meropenem 2 g IV every 8 h (extended infusion) or Piperacillin-tazobactam 4.5 g every 6 h PLUS an agent with activity against methicillin-resistant Staphylococcus aureus: Vancomycin (20 mg/kg initially and monitor levels) or Daptomycin (10 mg/kg every 24 h) PLUS Clindamycin 600 to 900 mg IV every 8 h or Linezolid 600 mg IV every 8 h initially—and monitor levels—if there is resistance to clindamycin (for its antitoxin effects against toxin-producing strains of beta-hemolytic streptococci and S. aureus).
Once Gram’s stain, culture, and sensitivity results are available, antibiotic treatment should be updated.
Hemodynamic support in the intensive care unit should treat hemodynamic instability with fluids and vasopressors. These patients may have increased fluid requirements and profound hypoalbuminemia, so albumin replacement (colloid) may be necessary. Hematocrit should be checked to assess the need for transfusion (better indicator than hemoglobin level [18]). Acidosis and hyperglycemia, if present, must be addressed as well.
The role of hyperbaric oxygen remains controversial [18,52]. Also, its availability may be limited in many centers, and transferring a systemically unstable patient to pursue hyperbaric oxygen treatment seems logistically complicated and should not delay surgical treatment under any circumstances. Adjuvant treatment with intravenous immune globulin is also a complex and highly debated issue [53,54].
Finally, due to the rarity of these severe infections, the treatment of NF in centers with a high annual caseload of these entities enhances the chances of a favorable outcome [52].
Wound dressings should be changed every 8 h in order to monitor the appearance of new necrotic tissue and to keep the wound bed clean and moist. Saline irrigation and gauze with topical antibiotics are applied. Once the infection is controlled and the patient is stable, and the wound bed is clean with granulation, reconstructive surgery can be scheduled. Depending on the extension of the previous debridement and exposure of important structures, such as the trachea or great vessels, skin grafting or compound flaps can be chosen to reconstruct the defect. Split-thickness or full-thickness skin grafts are the preferred reconstructive option when only the skin and fascia have been excised during the surgical debridement. The skin from the thighs is usually preferred. This surgery is minimally invasive, well tolerated, and has minimal complications. In cases of larger defects, a pedicled or free flap may be needed to provide enough amount of tissue. A latissimus dorsi pedicled flap or an anterolateral thigh free flap can be the best options in these cases. For our first patient, split-thickness skin grafts harvested from the thigh were used, since the debridement had caused minimal muscle loss, and the defect was superficial and uniform in depth (Figure 5). In our third patient, a resection of the sternoclavicular joint and part of the pectoralis major muscle was performed together with the compromised skin and fascia, and a latissimus dorsi pedicled flap was used to cover the defect (Figure 6). In order to allow for primary closure of the donor site, a small skin paddle was harvested and the remaining latissimus dorsi muscle was skin grafted in the same procedure.
Figure 5.
Patient A. (A) Split-thickness skin grafts were harvested to reconstruct the defect 39 days after first surgery. (B) Outcome 6 months after reconstruction. This clinical case was published in Int. J. Oral Maxillofac. Surg., 42, Leyva P., Herrero M., Eslava J.M., Acero J. [32].
Figure 6.
Patient C. (A) was a 54-year-old male transferred from another hospital with cellulitis and abscessification of the thoracic wall and mediastinitis needing thoracic surgery. Patient already had a tracheotomy due to a supraglottic cancer, treated with chemo-radiotherapy. S. maltophilia, C. albicans, P. aeruginosa, S. constellatus, Serratia liquefaciens, Prevotella spp., and Chryseobacterium indologenes were isolated. Necrotizing fasciitis and mediastinitis were confirmed by histopathology report. (B) The pectoralis major muscle was partially resected together with the medial portion of the right clavicle (white arrow), the superolateral portion of the sternum, and the sternocostal joints of the first and second right ribs, in 3 different surgeries. (C) Appearance before reconstruction. (D) Final outcome: a latissimus dorsi pedicled flap + skin graft were harvested for reconstruction 2 weeks after admission.
Based on the available literature and our clinical experience, we propose the following algorithm for the management of CNF:
Management summary (Figure 7):
Figure 7.
Management of CNF.
- -
- Diagnosis should be made promptly. If sufficient data supports the diagnosis of NF, surgical exploration is preferred to other laboratory or imaging tests that may delay surgery;
- -
- Surgical debridement without delay (not waiting for microbiological results), removing all necrotic tissues (skin, fascia, muscle, and fat);
- -
- Tracheotomy is routinely performed to secure the airway and when a prolonged stay is anticipated;
- -
- Aggressive resuscitation measures by intensive care physicians are also key in the management of NF, together with broad-spectrum antibiotics covering the most frequent pathogens until culture results and Gram’s stain are available;
- -
- Re-interventions are usually necessary. Wounds should be closely monitored looking for signs of progression, and laboratory results and vital signs continuously assessed. When in doubt, repeat the CT scan and look for new collections/progression to descending mediastinitis.
5. Prognosis
Despite adequate and early management, the mortality rate of CNF is high. Mortality is higher among patients who develop streptococcal toxic shock syndrome or septic shock (38 and 45%, respectively) [18]. As the infection progresses, necrosis can easily propagate to the mediastinum through the fascial planes. Descending necrotizing mediastinitis increases the rate of sepsis from 7 to 22% and the mortality rate from 31% to 41%. When descending necrotizing mediastinitis and sepsis occur, the mortality rate of CNF can reach 64% [55].
Immunocompromised patients and those with chronic illness are at higher risk of developing CNF. Diabetes mellitus is the most common comorbidity [14,56,57,58]. Also, these patients develop complications more frequently and have lengthier hospitalizations [51], as in our first patient’s case. Alcoholism or drug abuse, presence of malignancies, corticosteroid treatment or HIV infection [14], renal failure, hepatic disease, and obesity [32] are also associated.
Other factors have been associated with increased mortality, including a white blood cell count > 30,000/microL, serum creatinine > 2 mg/dL, age > 60 years, streptococcal toxic shock syndrome, clostridial infection, delay in surgery for more than 24 h, and infection involving the head, neck, thorax, or abdomen [56,59]. A study of 89 patients found that a delay of surgery of more than 24 h from admission was the only independent predictor of mortality in the multivariate logistic regression analysis [56]. Advanced age and the presence of two or more associated comorbidities were also found to affect survival in the univariate analysis.
Complications
Descending necrotizing mediastinitis (DNM) was reported in 255 cases out of 808 (31.56%) in the systematic review by Gunaratne et al. [14] and had an odontogenic origin in 50% of the cases. This is opposed to the results of the systematic review published by Prado-Calleros et al. [60], where the most common origin was pharyngeal (45%), followed by odontogenic (36%). Established DNM can further give rise to septic shock and organ failure (if not present already), pneumonia, obstruction of the airway, severe bleeding, cranial nerve paralysis, empyema, or bronchocavitary fistula [60,61].
Major vascular complications include internal jugular vein thrombosis, suppurative jugular vein thrombophlebitis (Lemierre’s syndrome), carotid sheath necrosis and rupture, and carotid artery aneurysm [51].
6. Conclusions
Cervical necrotizing fasciitis is a rare but severe surgical emergency. Although clinical diagnosis is straightforward at an advanced stage, differential diagnosis with other, more benign, deep neck infections can be challenging at initial presentation. Skin manifestations are late signs and do not accurately reflect the severity of the infection. Therefore, even though crepitus and skin necrosis are pathognomonic, these and other systemic signs can be absent. A CT scan can help to establish an early diagnosis, and it is also essential to reassess the progression of the infection. Mediastinum should be explored routinely. Early and aggressive surgical debridement, broad-spectrum antibiotics, and life-support measures are the cornerstones of the treatment of CNF. Despite appropriate management, mortality remains high.
Author Contributions
Conceptualization, P.d.L. and C.C.-S.; methodology, P.d.L. and Á.B.-d.V.; investigation, P.d.L., C.C.-S. and P.D.-D.; writing—original draft preparation, P.d.L., C.C.-S. and P.D.-D.; writing—review and editing, Á.R.-C., F.A.-P. and E.S.-J.; supervision, J.A.-S.; funding acquisition, J.A.-S. All authors have read and agreed to the published version of the manuscript.
Funding
This research received no external funding. The APC was funded by the Ramón y Cajal Research Foundation (FIBioHRC).
Institutional Review Board Statement
The study was conducted in accordance with the Declaration of Helsinki, the study did not require ethical approval.
Informed Consent Statement
Written informed consent has been obtained from the patients to publish this paper.
Data Availability Statement
Data is contained within the article.
Conflicts of Interest
The authors declare no conflicts of interest.
References
- Wilson, B. Necrotizing fasciitis. Am. Surg. 1952, 18, 416–431. [Google Scholar] [PubMed]
- McGurk, M. Diagnosis and treatment of necrotizing fasciitis in the head and neck region. Oral Maxillofac. Surg. Clin. N. Am. 2003, 15, 59–67. [Google Scholar] [CrossRef] [PubMed]
- Adams, F. The Genuine Works of Hippocrates, 1771st ed.; Sydenham Society: London, UK, 1849. [Google Scholar]
- Das, D.K.; Baker, M.G.; Venugopal, K. Increasing incidence of necrotizing fasciitis in New Zealand: A nationwide study over the period 1990 to 2006. J. Infect. 2011, 63, 429–433. Available online: https://pubmed.ncbi.nlm.nih.gov/21864570/ (accessed on 23 July 2023). [CrossRef] [PubMed]
- Thean, L.J.; Jenney, A.; Engelman, D.; Romani, L.; Wand, H.; Mudaliar, J.; Paka, J.; Cua, T.; Taole, S.; Sahukhan, A.; et al. Hospital admissions for skin and soft tissue infections in a population with endemic scabies: A prospective study in Fiji, 2018–2019. PLoS Neglected Trop. Dis. 2020, 14, e0008887. [Google Scholar] [CrossRef] [PubMed]
- Type, I.I. Necrotizing Fasciitis: Information for Clinicians|CDC. Available online: https://www.cdc.gov/groupastrep/diseases-hcp/necrotizing-fasciitis.html (accessed on 15 May 2023).
- Hasham, S.; Matteucci, P.; Stanley, P.R.W.; Hart, N.B. Necrotising fasciitis. BMJ 2005, 330, 830–833. [Google Scholar] [CrossRef] [PubMed]
- Sepúlveda, A.; Sastre, N. Necrotizing fasciitis of the face and neck. Plast. Reconstr. Surg. 1998, 102, 814–817. [Google Scholar] [CrossRef] [PubMed]
- Kim, D.H.; Kim, S.W.; Hwang, S.H. Application of the laboratory risk indicator for necrotizing fasciitis score to the head and neck: A systematic review and meta-analysis. ANZ J. Surg. 2022, 92, 1631–1637. [Google Scholar] [CrossRef] [PubMed]
- Sideris, G.; Sapountzi, M.; Malamas, V.; Papadimitriou, N.; Maragkoudakis, P.; Delides, A. Early detecting cervical necrotizing fasciitis from deep neck infections: A study of 550 patients. Eur. Arch. Otorhinolaryngol. 2021, 278, 4587–4592. [Google Scholar] [CrossRef] [PubMed]
- Salati, S.A. Necrotizing fasciitis a review. Pol. Przegl Chir. 2022, 95, 1–8. [Google Scholar] [CrossRef] [PubMed]
- Nuwayhid, Z.B.; Aronoff, D.M.; Mulla, Z.D. Blunt trauma as a risk factor for group A streptococcal necrotizing fasciitis. Ann. Epidemiol. 2007, 17, 878–881. [Google Scholar] [CrossRef] [PubMed]
- Stevens, D.L.; Bryant, A.E.; Goldstein, E.J. Necrotizing Soft Tissue Infections. Infect. Dis. Clin. N. Am. 2021, 35, 135–155. [Google Scholar] [CrossRef] [PubMed]
- Gunaratne, D.A.; Tseros, E.A.; Hasan, Z.; Kudpaje, A.S.; Suruliraj, A.; Smith, M.C.; Riffat, F.; Palme, C.E. Cervical necrotizing fasciitis: Systematic review and analysis of 1235 reported cases from the literature. Head Neck 2018, 40, 2094–2102. [Google Scholar] [CrossRef] [PubMed]
- Pitché, P.; Diata, A.-B.; Faye, O.; Tounkara, T.-M.; Niamba, P.; Mouhari-Toure, A.; Ly, F.; Soumah, M.-M.; Some-Korsaga, N.; Akakpo, A.-S.; et al. Risk factors associated with necrotizing fasciitis of the lower limbs: A multicenter case-control study. Ann. Dermatol. Venereol. 2021, 148, 161–164. [Google Scholar] [CrossRef] [PubMed]
- Hamilton, S.M.; Bayer, C.R.; Stevens, D.L.; Bryant, A.E. Effects of selective and nonselective nonsteroidal anti-inflammatory drugs on antibiotic efficacy of experimental group A streptococcal myonecrosis. J. Infect. Dis. 2014, 209, 1429–1435. [Google Scholar] [CrossRef]
- Weng, T.-C.; Chen, C.-C.; Toh, H.-S.; Tang, H.-J. Ibuprofen worsens Streptococcus pyogenes soft tissue infections in mice. J. Microbiol. Immunol. Infect. Wei Mian Yu Gan Ran Za Zhi 2011, 44, 418–423. [Google Scholar] [CrossRef] [PubMed]
- Stevens, D.L.; Bryant, A.E. Necrotizing Soft-Tissue Infections. N. Engl. J. Med. 2017, 377, 2253–2265. [Google Scholar] [CrossRef] [PubMed]
- Anaya, D.A.; Dellinger, E.P. Necrotizing soft-tissue infection: Diagnosis and management. Clin. Infect. Dis. 2007, 44, 705–710. [Google Scholar] [PubMed]
- Lancerotto, L.; Tocco, I.; Salmaso, R.; Vindigni, V.; Bassetto, F. Necrotizing fasciitis: Classification, diagnosis, and management. J. Trauma Acute Care Surg. 2012, 72, 560–566. [Google Scholar] [CrossRef] [PubMed]
- Miller, L.G.; Perdreau-Remington, F.; Rieg, G.; Mehdi, S.; Perlroth, J.; Bayer, A.S.; Tang, A.W.; Phung, T.O.; Spellberg, B. Necrotizing fasciitis caused by community-associated methicillin-resistant Staphylococcus aureus in Los Angeles. N. Engl. J. Med. 2005, 352, 1445–1453. [Google Scholar] [CrossRef] [PubMed]
- Kaul, R.; McGeer, A.; Low, D.E.; Green, K.; Schwartz, B.; Simor, A.E. Population-based surveillance for group A streptococcal necrotizing fasciitis: Clinical features, prognostic indicators, and microbiologic analysis of seventy-seven cases. Ontario Group A Streptococcal Study. Am. J. Med. 1997, 103, 18–24. [Google Scholar] [CrossRef] [PubMed]
- Darenberg, J.; Luca-Harari, B.; Jasir, A.; Sandgren, A.; Pettersson, H.; Schalén, C.; Norgren, M.; Romanus, V.; Norrby-Teglund, A.; Normark, B.H. Molecular and clinical characteristics of invasive group A streptococcal infection in Sweden. Clin. Infect. Dis. 2007, 45, 450–458. [Google Scholar] [CrossRef] [PubMed]
- Stevens, D.L.; Bryant, A.E.; Hackett, S.P.; Chang, A.; Peer, G.; Kosanke, S.; Emerson, T.; Hinshaw, L. Group A streptococcal bacteremia: The role of tumor necrosis factor in shock and organ failure. J. Infect. Dis. 1996, 173, 619–626. [Google Scholar] [CrossRef] [PubMed]
- Stevens, D.L.; Baddour, L. Necrotizing soft tissue infections. UptoDate2024. Available online: https://www.uptodate.com/contents/image?csi=3a7bd772-c906-476d-bf1c-80c663b6ddab&source=contentShare&imageKey=ID%2F116305 (accessed on 4 April 2024).
- Hawkes, M.; Barton, M.; Conly, J.; Nicolle, L.; Barry, C.; Ford-Jones, E.L. Community-associated MRSA: Superbug at our doorstep. CMAJ Can. Med. Assoc. J. J. Assoc. Med. Can. 2007, 176, 54–56. [Google Scholar] [CrossRef] [PubMed]
- Borschitz, T.; Schlicht, S.; Siegel, E.; Hanke, E.; von Stebut, E. Improvement of a Clinical Score for Necrotizing Fasciitis: ‘Pain Out of Proportion’ and High CRP Levels Aid the Diagnosis. PLoS ONE 2015, 10, e0132775. [Google Scholar] [CrossRef] [PubMed]
- Leiblein, M.; Marzi, I.; Sander, A.L.; Barker, J.H.; Ebert, F.; Frank, J. Necrotizing fasciitis: Treatment concepts and clinical results. Eur. J. Trauma Emerg. Surg. 2018, 44, 279–290. [Google Scholar] [CrossRef] [PubMed]
- Wang, Y.-S.; Wong, C.-H.; Tay, Y.-K. Staging of necrotizing fasciitis based on the evolving cutaneous features. Int. J. Dermatol. 2007, 46, 1036–1041. [Google Scholar] [CrossRef]
- Leyva, P.; Herrero, M.; Eslava, J.M.; Acero, J. Cervical necrotizing fasciitis and diabetic ketoacidosis: Literature review and case report. Int. J. Oral Maxillofac. Surg. 2013, 42, 1592–1595. [Google Scholar] [CrossRef] [PubMed]
- Parra Caballero, P.; Pérez Esteban, S.; Patiño Ruiz, M.E.; Sanz, S.C.; Vadillo, J.A.G. Actualización en fascitis necrotizante. Semin. Fund. Esp. Reumatol. 2012, 13, 41–48. [Google Scholar] [CrossRef]
- Hua, C.; Urbina, T.; Bosc, R.; Parks, T.; Sriskandan, S.; de Prost, N.; Chosidow, O. Necrotising soft-tissue infections. Lancet Infect. Dis. 2023, 23, e81–e94. [Google Scholar] [CrossRef] [PubMed]
- Livshits, D.; Sokup, B.; Farrell, R.; Jeong, J. Finger Test for the Diagnosis of a Critically Ill Patient with Necrotizing Fasciitis. J. Emerg. Med. 2022, 63, 102–105. [Google Scholar] [CrossRef] [PubMed]
- Lau, J.K.; Kwok, K.; Hung, Y.; Fan, C. Validation of finger test for necrotising soft tissue infection. J. Orthop. Trauma Rehabil. 2020. [Google Scholar] [CrossRef]
- Hua, J.; Friedlander, P. Cervical Necrotizing Fasciitis, Diagnosis and Treatment of a Rare Life-Threatening Infection. Ear Nose Throat J. 2023, 102, NP109–NP113. [Google Scholar] [CrossRef] [PubMed]
- Kishino, T.; Asai, N.; Ohashi, W.; Sakanashi, D.; Kato, H.; Shiota, A.; Hagihara, M.; Koizumi, Y.; Yamagishi, Y.; Suematsu, H.; et al. Usefulness of serum procalcitonin for necrotizing fasciitis as an early diagnostic tool. J. Infect. Chemother. 2021, 27, 787–793. [Google Scholar] [CrossRef] [PubMed]
- Novoa-Parra, C.D.; Wadhwani, J.; Puig-Conca, M.A.; Lizaur-Utrilla, A.; Montaner-Alonso, D.; Rodrigo-Pérez, J.L.; Morales-Suárez-Varela, M. Usefulness of a risk scale based on procalcitonin for early discrimination between necrotising fasciitis and cellulitis of the extremities. Med. Clin. 2019, 153, 347–350. [Google Scholar] [CrossRef] [PubMed]
- Wong, C.-H.; Khin, L.-W.; Heng, K.-S.; Tan, K.-C.; Low, C.-O. The LRINEC (Laboratory Risk Indicator for Necrotizing Fasciitis) score: A tool for distinguishing necrotizing fasciitis from other soft tissue infections. Crit. Care Med. 2004, 32, 1535–1541. [Google Scholar] [CrossRef] [PubMed]
- Wu, H.; Liu, S.; Li, C.; Song, Z. Modified Laboratory Risk Indicator for Necrotizing Fasciitis (m-LRINEC) Score System in Diagnosing Necrotizing Fasciitis: A Nested Case-Control Study. Infect. Drug Resist. 2021, 14, 2105–2112. [Google Scholar] [CrossRef]
- Wilson, M.P.; Schneir, A.B. A case of necrotizing fasciitis with a LRINEC score of zero: Clinical suspicion should trump scoring systems. J. Emerg. Med. 2013, 44, 928–931. [Google Scholar] [CrossRef] [PubMed]
- Fernando, S.M.; Tran, A.; Cheng, W.; Rochwerg, B.; Kyeremanteng, K.; Seely, A.J.E.; Inaba, K.; Perry, J.J. Necrotizing Soft Tissue Infection: Diagnostic Accuracy of Physical Examination, Imaging, and LRINEC Score: A Systematic Review and Meta-Analysis. Ann. Surg. 2019, 269, 58–65. [Google Scholar] [CrossRef] [PubMed]
- Carbonetti, F.; Cremona, A.; Carusi, V.; Guidi, M.; Iannicelli, E.; Di Girolamo, M.; Sergi, D.; Clarioni, A.; Baio, G.; Antonelli, G.; et al. The role of contrast enhanced computed tomography in the diagnosis of necrotizing fasciitis and comparison with the laboratory risk indicator for necrotizing fasciitis (LRINEC). Radiol. Med. 2016, 121, 106–121. [Google Scholar] [CrossRef] [PubMed]
- Tso, D.K.; Singh, A.K. Necrotizing fasciitis of the lower extremity: Imaging pearls and pitfalls. Br. J. Radiol. 2018, 91, 20180093. [Google Scholar] [CrossRef] [PubMed]
- Becker, M.; Zbären, P.; Hermans, R.; Becker, C.D.; Marchal, F.; Kurt, A.M.; Marré, S.; A Rüfenacht, D.; Terrier, F. Necrotizing fasciitis of the head and neck: Role of CT in diagnosis and management. Radiology 1997, 202, 471–476. [Google Scholar] [CrossRef] [PubMed]
- Martinez, M.; Peponis, T.; Hage, A.; Yeh, D.D.; Kaafarani, H.M.A.; Fagenholz, P.J.; King, D.R.; de Moya, M.A.; Velmahos, G.C. The Role of Computed Tomography in the Diagnosis of Necrotizing Soft Tissue Infections. World J. Surg. 2018, 42, 82–87. [Google Scholar] [CrossRef] [PubMed]
- Kim, M.-C.; Kim, S.; Cho, E.B.; Lee, G.Y.; Choi, S.-H.; Kim, S.O.; Chung, J.-W. Utility of Magnetic Resonance Imaging for Differentiating Necrotizing Fasciitis from Severe Cellulitis: A Magnetic Resonance Indicator for Necrotizing Fasciitis (MRINEC) Algorithm. J. Clin. Med. 2020, 9, 3040. [Google Scholar] [CrossRef] [PubMed]
- Malghem, J.; Lecouvet, F.E.; Omoumi, P.; Maldague, B.E.; Berg, B.C.V. Necrotizing fasciitis: Contribution and limitations of diagnostic imaging. Jt. Bone Spine 2013, 80, 146–154. [Google Scholar] [CrossRef] [PubMed]
- Kwee, R.M.; Kwee, T.C. Diagnostic performance of MRI and CT in diagnosing necrotizing soft tissue infection: A systematic review. Skelet. Radiol. 2022, 51, 727–736. [Google Scholar] [CrossRef] [PubMed]
- Stevens, D.L.; Bisno, A.L.; Chambers, H.F.; Dellinger, E.P.; Goldstein, E.J.C.; Gorbach, S.L.; Hirschmann, J.; Kaplan, S.L.; Montoya, J.G.; Wade, J.C.; et al. Practice guidelines for the diagnosis and management of skin and soft tissue infections: 2014 update by the infectious diseases society of America. Clin. Infect. Dis. 2014, 59, 147–159. [Google Scholar] [CrossRef] [PubMed]
- Andreasen, T.J.; Green, S.D.; Childers, B.J. Massive infectious soft-tissue injury: Diagnosis and management of necrotizing fasciitis and purpura fulminans. Plast. Reconstr. Surg. 2001, 107, 1025–1035. [Google Scholar] [CrossRef] [PubMed]
- Vieira, F.; Allen, S.M.; Stocks, R.M.S.; Thompson, J.W. Deep neck infection. Otolaryngol. Clin. N. Am. 2008, 41, 459–483. [Google Scholar] [CrossRef] [PubMed]
- Mladenov, A.; Diehl, K.; Müller, O.; von Heymann, C.; Kopp, S.; Peitsch, W.K. Outcome of necrotizing fasciitis and Fournier’s gangrene with and without hyperbaric oxygen therapy: A retrospective analysis over 10 years. World J. Emerg. Surg. WJES 2022, 17, 43. [Google Scholar] [CrossRef] [PubMed]
- Parks, T.; Wilson, C.; Curtis, N.; Norrby-Teglund, A.; Sriskandan, S. Polyspecific Intravenous Immunoglobulin in Clindamycin-treated Patients With Streptococcal Toxic Shock Syndrome: A Systematic Review and Meta-analysis. Clin. Infect. Dis. 2018, 67, 1434–1436. [Google Scholar] [CrossRef]
- Kadri, S.S.; Swihart, B.J.; Bonne, S.L.; Hohmann, S.F.; Hennessy, L.V.; Louras, P.; Evans, H.L.; Rhee, C.; Suffredini, A.F.; Hooper, D.C.; et al. Impact of Intravenous Immunoglobulin on Survival in Necrotizing Fasciitis With Vasopressor-Dependent Shock: A Propensity Score-Matched Analysis From 130 US Hospitals. Clin. Infect. Dis. 2017, 64, 877–885. [Google Scholar] [CrossRef] [PubMed]
- Sarna, T.; Sengupta, T.; Miloro, M.; Kolokythas, A. Cervical Necrotizing Fasciitis With Descending Mediastinitis: Literature Review and Case Report. J. Oral Maxillofac. Surg. 2012, 70, 1342–1350. [Google Scholar] [CrossRef] [PubMed]
- Wong, C.-H.; Chang, H.-C.; Pasupathy, S.; Khin, L.-W.; Tan, J.-L.; Low, C.-O. Necrotizing fasciitis: Clinical presentation, microbiology, and determinants of mortality. J. Bone Jt. Surg. Am. 2003, 85, 1454–1460. [Google Scholar] [CrossRef]
- Arif, N.; Yousfi, S.; Vinnard, C. Deaths from necrotizing fasciitis in the United States, 2003–2013. Epidemiol. Infect. 2016, 144, 1338–1344. [Google Scholar] [CrossRef] [PubMed]
- Pelletier, J.; Gottlieb, M.; Long, B.; Perkins, J.C. Necrotizing Soft Tissue Infections (NSTI): Pearls and Pitfalls for the Emergency Clinician. J. Emerg. Med. 2022, 62, 480–491. [Google Scholar] [CrossRef] [PubMed]
- Huang, K.-F.; Hung, M.-H.; Lin, Y.-S.; Lu, C.-L.; Liu, C.; Chen, C.-C.; Lee, Y.-H. Independent predictors of mortality for necrotizing fasciitis: A retrospective analysis in a single institution. J. Trauma 2011, 71, 467–473, discussion 473. [Google Scholar] [CrossRef] [PubMed]
- Prado-Calleros, H.M.; Jiménez-Fuentes, E.; Jiménez-Escobar, I. Descending necrotizing mediastinitis: Systematic review on its treatment in the last 6 years, 75 years after its description. Head. Neck 2016, 38 (Suppl. 1), E2275–E2283. [Google Scholar] [CrossRef] [PubMed]
- Sumi, Y. Descending necrotizing mediastinitis: 5 years of published data in Japan. Acute Med. Surg. 2015, 2, 1–12. [Google Scholar] [CrossRef] [PubMed]
Disclaimer/Publisher’s Note: The statements, opinions and data contained in all publications are solely those of the individual author(s) and contributor(s) and not of MDPI and/or the editor(s). MDPI and/or the editor(s) disclaim responsibility for any injury to people or property resulting from any ideas, methods, instructions or products referred to in the content. |
© 2024 by the authors. Licensee MDPI, Basel, Switzerland. This article is an open access article distributed under the terms and conditions of the Creative Commons Attribution (CC BY) license (https://creativecommons.org/licenses/by/4.0/).






