A Rare Case of a Large Composite Endometrioma–Mature Cystic Teratoma: The Importance of Surgical Treatment and Pathologic Diagnosis
Abstract
1. Introduction
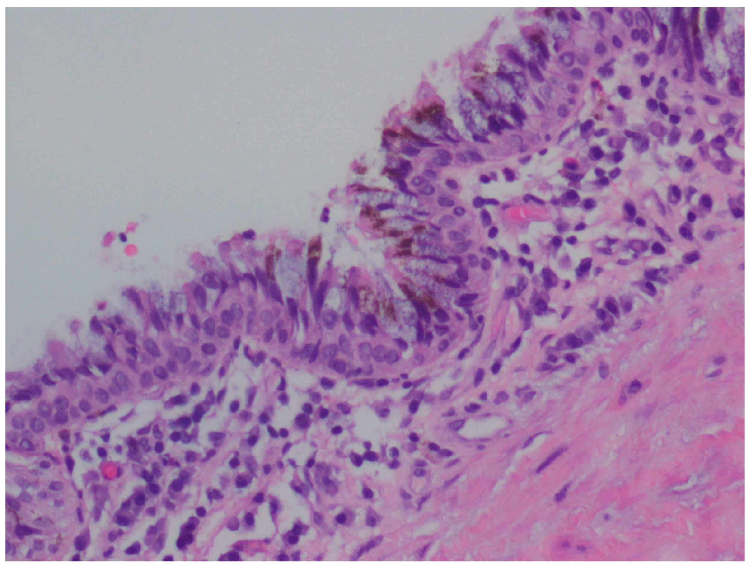
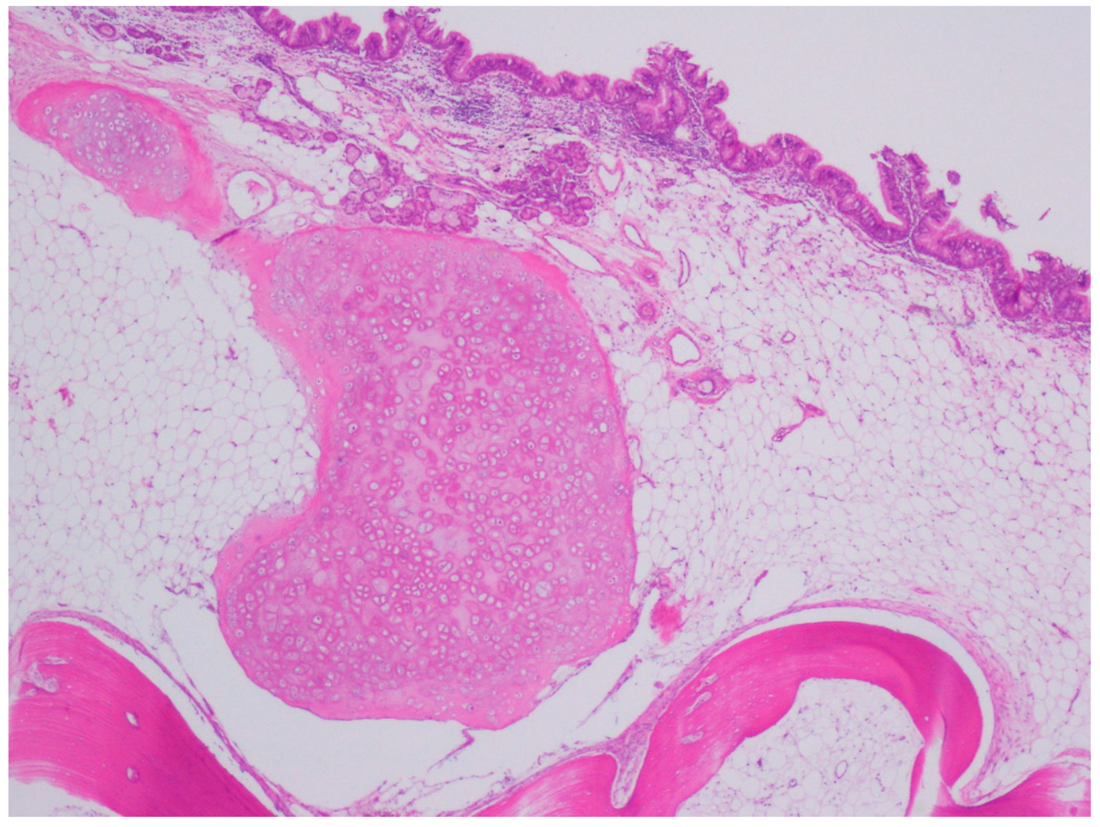
2. Case Presentation
3. Discussion
4. Conclusions
Author Contributions
Funding
Institutional Review Board Statement
Informed Consent Statement
Data Availability Statement
Conflicts of Interest
References
- Buck Louis, G.M.; Hediger, M.L.; Peterson, C.M.; Croughan, M.; Sundaram, R.; Stanford, J.; Chen, Z.; Fujimoto, V.Y.; Varner, M.W.; Trumble, A.; et al. Incidence of endometriosis by study population and diagnostic method: The ENDO study. Fertil. Steril. 2011, 96, 360–365. [Google Scholar] [CrossRef] [PubMed]
- Mahmood, T.A.; Templeton, A. Prevalence and genesis of endometriosis. Hum. Reprod. 1991, 6, 544–549. [Google Scholar] [CrossRef] [PubMed]
- Koonings, P.P.; Campbell, K.; Mishell, D.R.J.; Grimes, D.A. Relative frequency of primary ovarian neoplasms: A 10-year review. Obstet. Gynecol. 1989, 74, 921–926. [Google Scholar] [CrossRef] [PubMed]
- Peterson, W.F.; Prevost, E.C.; Edmunds, F.T.; Hundley, J.M.J.; Morris, F.K. Benign cystic teratomas of the ovary; a clinico-statistical study of 1,007 cases with a review of the literature. Am. J. Obstet. Gynecol. 1955, 70, 368–382. [Google Scholar] [CrossRef] [PubMed]
- Matalliotakis, M.; Matalliotaki, C.; Zervou, M.I.; Krithinakis, K.; Goulielmos, G.N.; Kalogiannidis, I.; Arici, A.; Spandidos, D.A.; Matalliotakis, I. Retrospective evaluation of pathological results among women with ovarian endometriomas versus teratomas. Mol. Clin. Oncol. 2019, 10, 592–596. [Google Scholar] [CrossRef] [PubMed]
- van der Merwe, J.L.; Siebert, I.; van Wyk, A.C. Rare case of perplexing ovarian endometriosis. Fertil. Steril. 2010, 94, 1910.e17–1910.e19. [Google Scholar] [CrossRef] [PubMed]
- Chen, T.; Kuo, H.; Shyu, S.; Chu, C.; Chang, T. Endometriosis coexisting with dermoid cyst in a single ovary: A case report. Chin. Med. J. 2011, 124, 627–630. [Google Scholar] [PubMed]
- Prorocic, M.; Tasic, L.; Vasiljevic, M.; Jurisic, A.; Smiljkovic, O.D.; Raznatovic, S.; Saranovic, M. Simultaneous dermoid cyst and endometriosis in the same ovary: A case report. Clin. Exp. Obstet. Gynecol. 2013, 40, 457–459. [Google Scholar]
- Chae, H.; Rheu, C. Endometriosis coexisting with mature cystic teratoma in the same ovary and ectopic pregnancy of left fallopian tube: A rare coexistence. Clin. Case Rep. 2015, 3, 315–318. [Google Scholar] [CrossRef] [PubMed]
- Hwang, J.Y.; Lee, M.H.; Lee, J.H.; Kim, D.H.; Song, S.H. A Case of Unilateral Endometriosis Coexisting with Struma Ovarii in Bilateral Ovarian Teratoma. J. Minim. Invasive Gynecol. 2018, 25, 941–943. [Google Scholar] [CrossRef]
- Bulletti, C.; Coccia, M.E.; Battistoni, S.; Borini, A. Endometriosis and infertility. J. Assist. Reprod. Genet. 2010, 27, 441–447. [Google Scholar] [CrossRef]
- Balasch, J.; Creus, M.; Fabregues, F.; Carmona, F.; Ordi, J.; Martinez-Roman, S.; Vanrell, J.A. Visible and non-visible endometriosis at laparoscopy in fertile and infertile women and in patients with chronic pelvic pain: A prospective study. Hum. Reprod. 1996, 11, 387–391. [Google Scholar] [CrossRef] [PubMed]
- Eskenazi, B.; Warner, M.; Bonsignore, L.; Olive, D.; Samuels, S.; Vercellini, P. Validation study of nonsurgical diagnosis of endometriosis. Fertil. Steril. 2001, 76, 929–935. [Google Scholar] [CrossRef]
- Meuleman, C.; Vandenabeele, B.; Fieuws, S.; Spiessens, C.; Timmerman, D.; D’Hooghe, T. High prevalence of endometriosis in infertile women with normal ovulation and normospermic partners. Fertil. Steril. 2009, 92, 68–74. [Google Scholar] [CrossRef] [PubMed]
- Liu, X.; Yuan, L.; Shen, F.; Zhu, Z.; Jiang, H.; Guo, S.-W. Patterns of and risk factors for recurrence in women with ovarian endometriomas. Obstet. Gynecol. 2007, 109, 1411–1420. [Google Scholar] [CrossRef] [PubMed]
- Choi, E.-J.; Koo, Y.-J.; Jeon, J.-H.; Kim, T.-J.; Lee, K.-H.; Lim, K.-T. Clinical experience in ovarian squamous cell carcinoma arising from mature cystic teratoma: A rare entity. Obstet. Gynecol. Sci. 2014, 57, 274–280. [Google Scholar] [CrossRef] [PubMed]
- Rim, S.-Y.; Kim, S.-M.; Choi, H.-S. Malignant transformation of ovarian mature cystic teratoma. Int. J. Gynecol. Cancer 2006, 16, 140–144. [Google Scholar] [CrossRef] [PubMed]





| Author | Country | Age | Gravidity | Parity | Teratoma Size | Teratoma Location | Endometriosis Diagnosis | Treatment |
|---|---|---|---|---|---|---|---|---|
| Van der Merwe (2010) | South Africa | 30 | NR | NR | 40 × 23 × 20 cm | Right ovary | Peritoneal deposits | Open right oophorectomy |
| Chen (2011) | China | 35 | 0 | 0 | 7 × 6 × 6 cm | Right adnexa | Endometrial cells on histology | Laparoscopic ovarian cystectomy |
| Prorocic (2013) | NR | 33 | 0 | 0 | NR | Left adnexa | Endometrial cells on histology | Laparoscopic ovarian cystectomy |
| Chae (2015) | NR | 28 | 1 | 0 | 6 cm | Bilateral | Endometrial tissue in left ovary on histology | Laparoscopic ovarian cystectomy |
| Hwang (2018) | South Korea | 22 | 0 | 0 | 3 cm | Bilateral | Endometrioma in left ovary | Laparoscopic ovarian cystectomy |
Disclaimer/Publisher’s Note: The statements, opinions and data contained in all publications are solely those of the individual author(s) and contributor(s) and not of MDPI and/or the editor(s). MDPI and/or the editor(s) disclaim responsibility for any injury to people or property resulting from any ideas, methods, instructions or products referred to in the content. |
© 2024 by the authors. Licensee MDPI, Basel, Switzerland. This article is an open access article distributed under the terms and conditions of the Creative Commons Attribution (CC BY) license (https://creativecommons.org/licenses/by/4.0/).
Share and Cite
Song, J.; Martin, C. A Rare Case of a Large Composite Endometrioma–Mature Cystic Teratoma: The Importance of Surgical Treatment and Pathologic Diagnosis. Reprod. Med. 2024, 5, 280-287. https://doi.org/10.3390/reprodmed5040024
Song J, Martin C. A Rare Case of a Large Composite Endometrioma–Mature Cystic Teratoma: The Importance of Surgical Treatment and Pathologic Diagnosis. Reproductive Medicine. 2024; 5(4):280-287. https://doi.org/10.3390/reprodmed5040024
Chicago/Turabian StyleSong, Jun, and Caitlin Martin. 2024. "A Rare Case of a Large Composite Endometrioma–Mature Cystic Teratoma: The Importance of Surgical Treatment and Pathologic Diagnosis" Reproductive Medicine 5, no. 4: 280-287. https://doi.org/10.3390/reprodmed5040024
APA StyleSong, J., & Martin, C. (2024). A Rare Case of a Large Composite Endometrioma–Mature Cystic Teratoma: The Importance of Surgical Treatment and Pathologic Diagnosis. Reproductive Medicine, 5(4), 280-287. https://doi.org/10.3390/reprodmed5040024

