Fetal Gestational Age Prediction in Brain Magnetic Resonance Imaging Using Artificial Intelligence: A Comparative Study of Three Biometric Techniques
Abstract
1. Introduction
- Evaluation of fetal anomalies: MRI is particularly useful in assessing fetal anomalies and structural abnormalities that may impact GA determination. It can provide detailed images of the fetus and surrounding structures, allowing for a comprehensive evaluation of fetal development and identification of any abnormalities [11,12].
- Confirmation of ultrasound findings: In cases where ultrasound findings are inconclusive or unclear, MRI can serve as a complementary imaging modality to confirm or further evaluate the findings. It can provide additional anatomical information and help clarify any GA uncertainties [9].
- Assessment of fetal brain development: MRI offers excellent soft tissue contrast and detailed visualization of the fetal brain. It can be valuable in evaluating brain development and detecting abnormalities impacting GA determination.
- Evaluation of placental function: MRI can provide information about the placental function and blood flow, which can be important in assessing gestational age and overall fetal well-being.
- Assessment of fetal growth: While ultrasound is the primary method for assessing fetal growth, MRI can be used in cases where ultrasound measurements are limited or difficult to obtain accurately. MRI can provide volumetric measurements and estimations of fetal weight, which can contribute to assessing gestational age and fetal growth.
2. Method
2.1. Dataset and Measurement
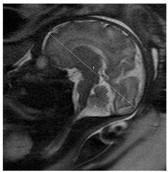
- The pictures below are samples of our manual measurement.


- Fetal brain extraction: To initiate the measurement process, we employ the Dynamic U-Net tool, which is a deep learning pipeline based on the nnU-Net adaptive framework for U-Net-based medical image segmentation. Specifically, we utilize the PyTorch-based MONAIfbs (MONAI fetal brain segmentation) toolkit to perform automatic fetal brain segmentation on HASTE-like MR images.
- Defining the length and width of the brain: After successfully obtaining the brain mask, we utilize OpenCV for further analysis. We first apply the “findContours” function to extract the edges of the fetal head mask from the MRI images. Subsequently, we employ the “convex hull” function to determine the envelope, essentially creating a simplified outline of the fetal head. Then, the “minAreaRect” function identifies the minimum enclosing rectangle around this envelope. This rectangle is essential in measuring the brain dimensions.
- Measuring perimeter, length (FOD), and width (BPD): To calculate the perimeter of the fetal head (HC), we use the “arcLength” function, which provides the path length of the contours. Simultaneously, the “minAreaRect” function not only identifies the rectangle but also gives us the width and height of the fetal head. These dimensions are used to measure the width (BPD) and length (FOD) of the brain.
- Choosing the median of axial series: Typically, patients have multiple sequences, such as axial, sagittal, and coronal. We address this by choosing the median of all axial series as the final automatic measurement result, ensuring a consistent and reliable outcome.
2.2. Prediction of Fetal Age
- MRI of the Fetal Brain Normal Development and Cerebral Pathologies, 1st ed. 2004 Edition, by C. Garel [22] (we refer to this reference as Garel in the paper). Supplement Tables S1 and S2.
- Also, we used another trusted reference, mainly for ultrasound (Hadlock FP, Deter RL, Harrist RB, et al.: Fetal biparietal diameter: A critical reevaluation of the relation to menstrual age using real-time ultrasound. J Ultrasound Med 1982 [23]. We refer to this as Freq in our paper (Supplement Tables S3 and S4 are derived from the reference table in the Hadlock et al. paper).
- We also used another reference for ultrasound measurement: Snijders RJ, Nicolaides KH. Fetal biometry at 14–40 weeks’ gestation. Ultrasound Obstet Gynecol. 1994 [24] (we refer to this as Bio in our paper; Supplement Tables S5 and S6).
2.3. Statistical Analysis
2.4. Ethical Considerations
3. Results
- Part 1: Results of biometric measurements (BPD, FOD, HC);
- Part 2: Comparison between references;
- Part 3: Comparison of manual measurements versus AI.
3.1. Part 3.1: Results of Biometric Measurements (BPD, FOD, HC)
3.1.1. Biparietal Diameter (BPD)
- Garel reference: 0.66;
- Freq reference: 0.67;
- Bio reference: 0.58.
- Garel reference:
- ○
- GA in PACS vs. manual BPD measurements: 1.92;
- ○
- GA in PACS vs. AI BPD measurements: 2.17.
- Freq reference:
- ○
- GA in PACS vs. manual BPD measurements: 1.90;
- ○
- GA in PACS vs. AI BPD measurements: 2.17.
- Bio reference:
- ○
- GA in PACS vs. manual BPD measurements: 1.41;
- ○
- GA in PACS vs. AI BPD measurements: 1.24.
3.1.2. Corrected BPD
- When comparing the corrected BPD measurements with GA in the PACS, the differences were as follows (in weeks):
- ○
- GA in PACS vs. manual corrected BPD measurements: 1.30;
- ○
- GA in PACS vs. AI corrected BPD measurements: 1.24.
3.1.3. Fronto-Occipital Diameter (FOD)
- Garel reference: 0.59 weeks;
- Bio Reference: 0.46 weeks.
- Garel reference:
- ○
- GA in PACS vs. manual FOD measurements: 1.89 weeks;
- ○
- GA in PACS vs. AI FOD measurements: 1.77 weeks.
- Bio reference:
- ○
- GA in PACS vs. manual FOD measurements: 2.26 weeks;
- ○
- GA in PACS vs. AI FOD measurements: 2.26 weeks.
3.1.4. Head Circumference (HC)
- Freq reference: 0.75 weeks;
- Bio Reference: 0.77 weeks.
- Freq reference:
- ○
- GA in PACS vs. manual HC measurements: 1.40 weeks;
- ○
- GA in PACS vs. AI HC measurements: 1.05 weeks.
- Bio reference:
- ○
- GA in PACS vs. manual HC measurements: 1.74 weeks;
- ○
- GA in PACS vs. AI HC measurements: 1.26 weeks.
3.2. Comparison of FOD Using References
3.3. Comparison of HC and BPDC Using References
4. Discussion
Discussion
- Discussion for Part 3.1 of Results with Biometric Measurements (BPD, FOD, HC)
- -
- BPD results in our study: the differences between the manual and AI measurements of BPD were relatively small across the different references, indicating good agreement. According to the Garel reference, the difference in GA predictions was 0.66 weeks, demonstrating a close alignment between the two methods. Similar differences were observed when considering the Freq and Bio references. However, larger differences were observed when comparing BPD measurements with GA in the PACS, ranging from 1.24 to 2.17 weeks. These differences varied depending on the specific reference used, emphasizing the influence of reference selection on the accuracy of GA predictions.
- -
- HC in our study: The differences between manual and AI measurements of HC were comparable to those observed for BPD and FOD. According to the Freq reference, the difference in GA predictions was 0.75 weeks, indicating a reasonably close alignment between the two measurement methods. The difference was slightly larger when considering the Bio reference. When comparing HC measurements with GA in the PACS, differences ranging from 1.05 to 1.74 weeks were observed. As with BPD and FOD, these differences varied based on the specific reference used.
- Discussion for Part 3.2 of Results: Comparison of Predictions between References
- Discussion for Part 3.3 of Results: Comparison of Manual Measurements versus AI
- BPD:
- -
- The MAE is 1.6442, indicating the average absolute difference between the actual BPD values and the predicted values obtained from either manual or AI measurements.
- -
- The RMSE is 1.9790, representing the square root of the average squared difference between the actual and predicted BPD values. It gives an idea of the typical difference between the actual and predicted values.
- -
- The Pearson correlation coefficient (r) is 0.9963, indicating a strong positive linear relationship between the manually measured BPD and the AI-predicted BPD. A value close to 1 indicates a strong correlation.
- FOD:
- -
- The MAE is 1.5481, which is the average absolute difference between the actual FOD values and the predicted values obtained from either manual or AI measurements.
- -
- The RMSE is 2.2378, representing the square root of the average squared difference between the actual and predicted FOD values.
- -
- The Pearson correlation coefficient (r) is 0.9932, indicating a strong positive linear relationship between the manually measured FOD and the AI-predicted FOD.
- BPDC:
- -
- The MAE is 1.1759, representing the average absolute difference between the actual BPDC values and the predicted values obtained from either manual or AI measurements.
- -
- The RMSE is 1.4460, indicating the square root of the average squared difference between the actual and predicted BPDC values.
- -
- The Pearson correlation coefficient (r) is 0.9970, indicating a strong positive linear relationship between the manually measured BPDC and the AI-predicted BPDC.
- HC:
- -
- The MAE is 7.2755, representing the average absolute difference between the actual HC values and the predicted values obtained from either manual or AI measurements.
- -
- The RMSE is 8.1365, indicating the square root of the average squared difference between the actual and predicted HC values.
- -
- The Pearson correlation coefficient (r) is 0.9973, indicating a strong positive linear relationship between the manually measured HC and the AI-predicted HC.
- Comprehensive evaluation: The study assesses the AI model’s performance in predicting gestational age using multiple biometric measurements, providing a comprehensive analysis.
- Comparison with different references: The study compares AI predictions with multiple references and assesses their correlation with the picture archiving and communication system (PACS).
- Statistical evaluation: The study uses statistical measures like MAE, RMSE, and Pearson correlation coefficients to evaluate the accuracy and correlation of the AI model’s predictions.
- Inclusion of manual measurements: Manual measurements are included as a reference for comparison, allowing assessment of the agreement between AI and human experts.
- Focus on AI versus manual measurements: The study compares AI and manual measurements, evaluating their accuracy and correlation for each biometric parameter.
- Discussion of clinical implications: The study discusses the clinical significance of the findings, highlighting the importance of reference selection and the potential benefits of integrating AI models in prenatal care.
- Limitations of fetal brain MRI:
- Fetal movement issues: Fetal motion during MRI scans can lead to blurred images and impact measurement accuracy [40]. Techniques to minimize motion effects are still evolving.
- Limited spatial resolution: Fetal MRI, while having better spatial resolution than ultrasound, can still face limitations in visualizing tiny fetal structures [40]. This can affect the precision of gestational age measurements.
- Signal-to-noise ratio: Fetal movement can introduce challenges in acquiring clear images, even with fast single-shot sequences. Additionally, maintaining an adequate signal-to-noise ratio can be demanding.
- Rapid changes and geometric distortions: The fetal brain undergoes rapid developmental changes in utero, and small fetal structures can be distorted within the maternal anatomical context.
- Expertise and interinstitutional variability: Fetal MRI requires specialized expertise for image acquisition and interpretation, which may not be widely available. Protocols, imaging platforms, and operator practices for fetal brain MRI can significantly differ across institutions, leading to inconsistencies in image quality and interpretation [40].
- Cost and accessibility: MRI is costlier and less accessible than ultrasound. This can create disparities in access to advanced prenatal imaging.
- Limitations of database size: We acknowledge the limitation of a relatively small database. This is a common challenge in medical AI research, and expanding the dataset is an avenue for future work. Our study leverages AI’s ability to mitigate some of these limitations by optimizing measurement processes and reducing bias. The robustness of our statistical approach, such as the use of median combining, ensures that measurements are less affected by random errors or outliers.
- While the number of patients may not have been statistically justified in a prospective study, this retrospective analysis provides an initial insight into the potential utility of AI in gestational age prediction using MRI measurements. We recognize that larger, prospective studies are warranted to further validate and refine these findings.
5. Conclusions
Supplementary Materials
Author Contributions
Funding
Institutional Review Board Statement
Informed Consent Statement
Data Availability Statement
Conflicts of Interest
References
- Lahti, M.; Eriksson, J.G.; Heinonen, K.; Kajantie, E.; Lahti, J.; Wahlbeck, K.; Tuovinen, S.; Pesonen, A.-K.; Mikkonen, M.; Osmond, C.; et al. Late preterm birth, post-term birth, and abnormal fetal growth as risk factors for severe mental disorders from early to late adulthood. Psychol. Med. 2015, 45, 985–999. [Google Scholar] [CrossRef] [PubMed]
- Reddy, U.M.; Abuhamad, A.Z.; Levine, D.; Saade, G.R. Fetal imaging: Executive summary of a joint Eunice Kennedy Shriver National Institute of Child Health and Human Development, Society for Maternal-Fetal Medicine, American Institute of Ultrasound in Medicine, American College of Obstetricians and Gynecologists, American College of Radiology, Society for Pediatric Radiology, and Society of Radiologists in Ultrasound Fetal Imaging Workshop. J. Ultrasound Med. Off. J. Am. Inst. Ultrasound Med. 2014, 33, 745–757. [Google Scholar]
- Palka, C.; Guanciali-Franchi, P.; Morizio, E.; Alfonsi, M.; Papponetti, M.; Sabbatinelli, G.; Palka, G.; Calabrese, G.; Benn, P. Non-invasive prenatal screening: A 20-year experience in Italy. Eur. J. Obstet. Gynecol. Reprod. Biol. X 2019, 3, 100050. [Google Scholar] [CrossRef] [PubMed]
- Whitworth, M.; Bricker, L.; Mullan, C. Ultrasound for fetal assessment in early pregnancy. Cochrane Database Syst. Rev. 2015. [Google Scholar] [CrossRef] [PubMed]
- Lynch, C.D.; Zhang, J. The research implications of the selection of a gestational age estimation method. Paediatr. Perinat. Epidemiol. 2007, 21, 86–96. [Google Scholar] [CrossRef]
- Whitworth, M.; Bricker, L.; Neilson, J.P.; Dowswell, T. Ultrasound for fetal assessment in early pregnancy. Cochrane Database Syst. Rev. 2010, Cd007058. [Google Scholar] [CrossRef]
- Committee on Obstetric Practice American Institute of Ultrasound in Medicine Society for Maternal–Fetal Medicine. Committee Opinion No. 700 Summary: Methods for Estimating the Due Date. Obstet. Gynecol. 2017, 129, 967–968. [Google Scholar] [CrossRef] [PubMed]
- Levine, D. Ultrasound versus Magnetic Resonance Imaging in Fetal Evaluation. Top. Magn. Reson. Imaging 2001, 12, 25–38. [Google Scholar] [CrossRef] [PubMed]
- Resta, M.; Greco, P.; D’Addario, V.; Florio, C.; Dardes, N.; Caruso, G.; Spagnolo, P.; Clemente, R.; Vimercati, A.; Selvaggi, L. Magnetic resonance imaging in pregnancy: Study of fetal cerebral malformations. Ultrasound Obstet. Gynecol. 1994, 4, 7–20. [Google Scholar] [CrossRef]
- Hong, J.; Yun, H.J.; Park, G.; Kim, S.; Ou, Y.; Vasung, L.; Rollins, C.K.; Ortinau, C.M.; Takeoka, E.; Akiyama, S.; et al. Optimal Method for Fetal Brain Age Prediction Using Multiplanar Slices from Structural Magnetic Resonance Imaging. Front. Neurosci. 2021, 15, 714252. [Google Scholar] [CrossRef]
- Vimercati, A.; Greco, P.; Vera, L.; Resta, M.; Selvaggi, L. The diagnostic role of “in utero” magnetic resonance imaging. J. Perinat. Med. 1999, 27, 303–308. [Google Scholar] [CrossRef] [PubMed]
- Scardapane, A.; Lorusso, F.; Bettocchi, S.; Moschetta, M.; Fiume, M.; Vimercati, A.; Pepe, M.L.; Angelelli, G.; Stabile Ianora, A.A. Deep pelvic endometriosis: Accuracy of pelvic MRI completed by MR colonography. Radiol Med. 2013, 118, 323–338. [Google Scholar] [CrossRef] [PubMed]
- Gagoski, B.; Xu, J.; Wighton, P.; Tisdall, M.D.; Frost, R.; Lo, W.C.; Golland, P.; van der Kouwe, A.; Adalsteinsson, E.; Ellen Grant, P. Automated detection and reacquisition of motion-degraded images in fetal HASTE imaging at 3 T. Magn. Reson. Med. 2022, 87, 1914–1922. [Google Scholar] [CrossRef] [PubMed]
- Li, H.; Yan, G.; Luo, W.; Liu, T.; Wang, Y.; Liu, R.; Zheng, W.; Zhang, Y.; Li, K.; Zhao, L.; et al. Mapping fetal brain development based on automated segmentation and 4D brain atlasing. Brain Struct. Funct. 2021, 226, 1961–1972. [Google Scholar] [CrossRef] [PubMed]
- Kojita, Y.; Matsuo, H.; Kanda, T.; Nishio, M.; Sofue, K.; Nogami, M.; Kono, A.K.; Hori, M.; Murakami, T. Deep learning model for predicting gestational age after the first trimester using fetal MRI. Eur. Radiol. 2021, 31, 3775–3782. [Google Scholar] [CrossRef] [PubMed]
- Ison, M.; Weigl, E.; Donner, R.; Kasprian, G.; Prayer, D.; Langs, G. Fully Automated Brain Extraction and Orientation in Raw Fetal MRI2012. In Workshop on Paediatric and Perinatal Imaging; MICCAI: Marrakesh, Morocco, 2012. [Google Scholar]
- Shen, L.; Zheng, J.; Lee, E.H.; Shpanskaya, K.; McKenna, E.S.; Atluri, M.G.; Plasto, D.; Mitchell, C.; Lai, L.M.; Guimaraes, C.V.; et al. Attention-guided deep learning for gestational age prediction using fetal brain MRI. Sci. Rep. 2022, 12, 1408. [Google Scholar] [CrossRef] [PubMed]
- Makropoulos, A.; Counsell, S.J.; Rueckert, D. A review on automatic fetal and neonatal brain MRI segmentation. NeuroImage 2018, 170, 231–248. [Google Scholar] [CrossRef] [PubMed]
- Vahedifard, F.; Ai, H.A.; Supanich, M.P.; Marathu, K.K.; Liu, X.; Kocak, M.; Ansari, S.M.; Akyuz, M.; Adepoju, J.O.; Adler, S.; et al. Automatic Ventriculomegaly Detection in Fetal Brain MRI: A Step-by-Step Deep Learning Model for Novel 2D-3D Linear Measurements. Diagnostics 2023, 13, 2355. [Google Scholar] [CrossRef] [PubMed]
- Vahedifard, F.; Adepoju, J.O.; Supanich, M.; Ai, H.A.; Liu, X.; Kocak, M.; Marathu, K.K.; Byrd, S.E. Review of deep learning and artificial intelligence models in fetal brain magnetic resonance imaging. World J. Clin. Cases 2023, 11, 3725–3735. [Google Scholar] [CrossRef]
- Beijst, C.; Dudink, J.; Wientjes, R.; Benavente-Fernandez, I.; Groenendaal, F.; Brouwer, M.J.; Išgum, I.; de Jong, H.W.; de Vries, L.S. Two-dimensional ultrasound measurements vs. magnetic resonance imaging-derived ventricular volume of preterm infants with germinal matrix intraventricular haemorrhage. Pediatr. Radiol. 2020, 50, 234–241. [Google Scholar] [CrossRef]
- Garel, C. MRI of the Fetal Brain: Normal Development and Cerebral Pathologies; Springer: Berlin, Germany, 2004; pp. 1–267. [Google Scholar]
- Hadlock, F.P.; Deter, R.L.; Harrist, R.B.; Park, S.K. Fetal biparietal diameter: A critical re-evaluation of the relation to menstrual age by means of real-time ultrasound. J. Ultrasound Med. Off. J. Am. Inst. Ultrasound Med. 1982, 1, 97–104. [Google Scholar] [CrossRef] [PubMed][Green Version]
- Snijders, R.J.; Nicolaides, K.H. Fetal biometry at 14-40 weeks’ gestation. Ultrasound Obstet. Gynecol. Off. J. Int. Soc. Ultrasound Obstet. Gynecol. 1994, 4, 34–48. [Google Scholar] [CrossRef] [PubMed]
- Campbell, S. The prediction of fetal maturity by ultrasonic measurement of the biparietal diameter. J. Obstet. Gynaecol. Br. Commonw. 1969, 76, 603–609. [Google Scholar] [CrossRef]
- Sabbagha, R.E.; Hughey, M. Standardization of sonar cephalometry and gestational age. Obstet. Gynecol. 1978, 52, 402–406. [Google Scholar]
- Davison, J.M.; Lind, T.; Farr, V.; Whittingham, T.A. The limitations of ultrasonic fetal cephalometry. J. Obstet. Gynaecol. Br. Commonw. 1973, 80, 769–775. [Google Scholar] [CrossRef]
- Kurtz, A.B.; Wapner, R.J.; Kurtz, R.J.; Dershaw, D.D.; Rubin, C.S.; Cole-Beuglet, C.; Goldberg, B.B. Analysis of biparietal diameter as an accurate indicator of gestational age. J. Clin. Ultrasound 1980, 8, 319–326. [Google Scholar] [CrossRef] [PubMed]
- Shepard, M.; Filly, R.A. A standardized plane for biparietal diameter measurement. J. Ultrasound Med. Off. J. Am. Inst. Ultrasound Med. 1982, 1, 145–150. [Google Scholar] [CrossRef] [PubMed]
- Smazal, S.F., Jr.; Weisman, L.E.; Hopper, K.D.; Ghaedm, N.; Shirts, S. Comparative analysis of ultrasonographic methods of gestational age assessment. J. Ultrasound Med. Off. J. Am. Inst. Ultrasound Med. 1983, 2, 147–150. [Google Scholar] [CrossRef]
- MacGregor, S.N.; Sabbagha, R.E. Assessment of Gestational Age by Ultrasound. Glob. Libr. Women’s Med. 2009. [Google Scholar] [CrossRef]
- Lunt, R.M.; Chard, T. Reproducibility of measurement of fetal biparietal diameter by ultrasonic cephalometry. J. Obstet. Gynaecol. Br. Commonw. 1974, 81, 682–685. [Google Scholar] [CrossRef]
- Hadlock, F.P.; Deter, R.L.; Carpenter, R.J.; Park, S.K. Estimating fetal age: Effect of head shape on BPD. AJR Am. J. Roentgenol. 1981, 137, 83–85. [Google Scholar] [CrossRef]
- Shields, J.R.; Medearis, A.L.; Bear, M.B. Fetal head and abdominal circumferences: Ellipse calculations versus planimetry. J. Clin. Ultrasound 1987, 15, 237–239. [Google Scholar] [CrossRef] [PubMed]
- Hadlock, F.P.; Deter, R.L.; Harrist, R.B.; Park, S.K. Fetal head circumference: Relation to menstrual age. AJR Am. J. Roentgenol. 1982, 138, 649–653. [Google Scholar] [CrossRef] [PubMed]
- Hadlock, F.P.; Deter, R.L.; Harrist, R.B.; Park, S.K. Estimating fetal age: Computer-assisted analysis of multiple fetal growth parameters. Radiology 1984, 152, 497–501. [Google Scholar] [CrossRef] [PubMed]
- Hadlock, F.P.; Harrist, R.B.; Shah, Y.P.; King, D.E.; Park, S.K.; Sharman, R.S. Estimating fetal age using multiple parameters: A prospective evaluation in a racially mixed population. Am. J. Obstet. Gynecol. 1987, 156, 955–957. [Google Scholar] [CrossRef] [PubMed]
- Shi, Y.; Xue, Y.; Chen, C.; Lin, K.; Zhou, Z. Association of gestational age with MRI-based biometrics of brain development in fetuses. BMC Med. Imaging 2020, 20, 125. [Google Scholar] [CrossRef] [PubMed]
- Burgos-Artizzu, X.P.; Coronado-Gutiérrez, D.; Valenzuela-Alcaraz, B.; Vellvé, K.; Eixarch, E.; Crispi, F.; Bonet-Carne, E.; Bonet-Carne, M.; Gratacos, E. Analysis of maturation features in fetal brain ultrasound via artificial intelligence for the estimation of gestational age. Am. J. Obstet. Gynecol. MFM 2021, 3, 100462. [Google Scholar] [CrossRef]
- Rajagopalan, V.; Deoni, S.; Panigrahy, A.; Thomason, M.E. Is fetal MRI ready for neuroimaging prime time? An examination of progress and remaining areas for development. Dev. Cogn. Neurosci. 2021, 51, 100999. [Google Scholar] [CrossRef]









| Variable Name | Description |
|---|---|
| FOD_manual | Manual measurement of FOD by the radiologist |
| FOD_GA_manual | GA predicted according to FOD by the radiologist |
| BPD_manual | Manual measurement of BPD by the radiologist |
| BPD_GA_manual | GA predicted according to BPD by the radiologist |
| FOD_AI | Automatic measurement of FOD by AI |
| FOD_err | Difference between FOD measurement (AI versus manual) |
| FOD_GA_AI | Automatic GA predicted according to FOD by AI |
| FOD_GA_err | Difference between GA predicted according to FOD (AI versus manual) |
| BPD_AI | Automatic measurement of BPD by AI |
| BPD_err | Difference between BPD measurement (AI versus manual) |
| BPD_GA_AI | Automatic GA predicted according to BPD by AI |
| BPD_GA_err | Difference between GA predicted according to BPD (AI versus manual) |
| Reference | GA_PACS vs. GA_BPD_manual (Weeks) | GA_PACS vs. GA_BPD_AI (Weeks) |
|---|---|---|
| Garel | 1.92 | 2.17 |
| Freq | 1.90 | 2.17 |
| Bio | 1.41 | 1.24 |
| GA_PACS | GA_BPD _garel_ Manually | GA_BPD _garel_ AI | GA_BPD _freq_ Manually | GA_BPD _freq_ AI | GA_BPD _bio_ Manually | GA_BPD _bio_ AI | |
|---|---|---|---|---|---|---|---|
| GA_PACS | 1.000000 | 0.972165 | 0.970168 | 0.972574 | 0.970744 | 0.976040 | 0.973907 |
| GA_BPD _garel_ manually | 1.000000 | 0.997013 | 0.999944 | 0.997077 | 0.999306 | 0.996566 | |
| GA_BPD _garel_ AI | 1.000000 | 0.996924 | 0.999954 | 0.996011 | 0.999359 | ||
| GA_BPD _freq_ manually | 1.000000 | 0.997013 | 0.999382 | 0.996568 | |||
| GA_BPD _freq_ AI | 1.000000 | 0.996212 | 0.999481 | ||||
| GA_BPD _bio_ AI | 1.000000 | 0.996819 | |||||
| GA_BPD _bio_ AI | 1.000000 |
| Reference | GA_PACS vs. GA_FOD_manual (Weeks) | GA_PACS vs. GA_FOD_AI (Weeks) |
|---|---|---|
| Garel | 1.89 | 1.77 |
| Bio | 2.26 | 2.26 |
| GA_PACS | GA_FOD _garel_ Manually | GA_FOD _garel_ AI | GA_FOD _bio_ Manually | GA_FOD _bio_ AI | |
|---|---|---|---|---|---|
| GA_PACS | 1.000000 | 0.973610 | 0.970596 | 0.977314 | 0.975004 |
| GA_FOD _garel_ manually | 1.000000 | 0.989438 | 0.998531 | 0.989284 | |
| GA_FOD _garel_ AI | 1.000000 | 0.988759 | 0.998707 | ||
| GA_FOD _bio_ manually | 1.000000 | 0.991186 | |||
| GA_FOD _bio_ AI | 1.000000 |
| Reference | GA_PACS vs. GA_BPDC_manual (Weeks) | GA_PACS vs. GA_BPDC_AI (Weeks) | GA_PACS vs. GA_HC_manual (Weeks) | GA_PACS vs. GA_HC_AI (Weeks) |
|---|---|---|---|---|
| Freq | 1.30 | 1.24 | 1.40 | 1.05 |
| Bio | 1.74 | 1.26 |
| GA_PACS | GA_BPDC _freq_ manually | GA_BPDC _freq_ AI | GA_HC _freq_ manually | GA_HC _freq_ AI | GA_HC _bio_ manually | GA_HC _bio_ AI | |
|---|---|---|---|---|---|---|---|
| GA_PACS | 1.000000 | 0.980418 | 0.978139 | 0.981462 | 0.979677 | 0.981587 | 0.980043 |
| GA_BPDC _freq_ manually | 1.000000 | 0.996551 | 0.999851 | 0.996652 | 0.999732 | 0.996508 | |
| GA_BPDC _freq_ AI | 1.000000 | 0.996446 | 0.999011 | 0.996315 | 0.998772 | ||
| GA_HC _freq_ manually | 1.000000 | 0.997054 | 0.999946 | 0.996994 | |||
| GA_HC _freq_ AI | 1.000000 | 0.997040 | 0.999942 | ||||
| GA_HC _bio_ AI | 1.000000 | 0.997043 | |||||
| GA_HC _bio_ AI | 1.000000 |
| Measurement | MAE | RMSE | Pearson Correlation Coefficient (r) |
|---|---|---|---|
| BPD | 1.64 | 1.98 | 0.9963 |
| FOD | 1.55 | 2.24 | 0.9932 |
| BPDC | 1.18 | 1.45 | 0.9970 |
| HC | 7.28 | 8.14 | 0.9973 |
Disclaimer/Publisher’s Note: The statements, opinions and data contained in all publications are solely those of the individual author(s) and contributor(s) and not of MDPI and/or the editor(s). MDPI and/or the editor(s) disclaim responsibility for any injury to people or property resulting from any ideas, methods, instructions or products referred to in the content. |
© 2024 by the authors. Licensee MDPI, Basel, Switzerland. This article is an open access article distributed under the terms and conditions of the Creative Commons Attribution (CC BY) license (https://creativecommons.org/licenses/by/4.0/).
Share and Cite
Vahedifard, F.; Liu, X.; Marathu, K.K.; Ai, H.A.; Supanich, M.P.; Kocak, M.; Adler, S.; Ansari, S.M.; Akyuz, M.; Adepoju, J.O.; et al. Fetal Gestational Age Prediction in Brain Magnetic Resonance Imaging Using Artificial Intelligence: A Comparative Study of Three Biometric Techniques. Reprod. Med. 2024, 5, 113-135. https://doi.org/10.3390/reprodmed5030012
Vahedifard F, Liu X, Marathu KK, Ai HA, Supanich MP, Kocak M, Adler S, Ansari SM, Akyuz M, Adepoju JO, et al. Fetal Gestational Age Prediction in Brain Magnetic Resonance Imaging Using Artificial Intelligence: A Comparative Study of Three Biometric Techniques. Reproductive Medicine. 2024; 5(3):113-135. https://doi.org/10.3390/reprodmed5030012
Chicago/Turabian StyleVahedifard, Farzan, Xuchu Liu, Kranthi K. Marathu, H. Asher Ai, Mark P. Supanich, Mehmet Kocak, Seth Adler, Shehbaz M. Ansari, Melih Akyuz, Jubril O. Adepoju, and et al. 2024. "Fetal Gestational Age Prediction in Brain Magnetic Resonance Imaging Using Artificial Intelligence: A Comparative Study of Three Biometric Techniques" Reproductive Medicine 5, no. 3: 113-135. https://doi.org/10.3390/reprodmed5030012
APA StyleVahedifard, F., Liu, X., Marathu, K. K., Ai, H. A., Supanich, M. P., Kocak, M., Adler, S., Ansari, S. M., Akyuz, M., Adepoju, J. O., & Byrd, S. (2024). Fetal Gestational Age Prediction in Brain Magnetic Resonance Imaging Using Artificial Intelligence: A Comparative Study of Three Biometric Techniques. Reproductive Medicine, 5(3), 113-135. https://doi.org/10.3390/reprodmed5030012

