Abstract
Advances in pediatric cancer therapies have dramatically improved the likelihood of survival. As survivors are aging, however, we are now understanding that treatment carries a significant risk of cardiovascular toxicity, which can develop immediately, or even many years after completing therapy. Anthracycline derivates are some of the most commonly used agents in pediatric oncology treatment protocols, which have a dose-dependent correlation with the development of cardiac toxicity. As we learn more about the mechanisms of toxicity, we are developing prevention strategies, including improvements in surveillance, to improve early diagnosis of heart disease. Current survivorship surveillance protocols often include screening echocardiograms to evaluate systolic function by measuring the ejection fraction or fractional shortening. However, these measurements alone are not enough to capture early myocardial changes. The use of additional imaging biomarkers, serum biomarkers, electrocardiograms, as well as cholesterol and blood pressure screening, are key to the early detection of cardiomyopathy and cardiovascular disease. Medical treatment strategies are the same as those used for heart failure from other causes, but earlier recognition and implementation can lead to improved long term outcomes.
1. Introduction
With improvements in childhood cancer treatment strategies, over 80% of children and adolescents treated for cancer are now surviving beyond 5 years [1]. Unfortunately, many survivors of pediatric cancer are living with at least one serious, disabling, or life-threatening health condition by age 45 [2]. While mortality rates in pediatric cancer survivors, due to the original malignancy, plateau beyond 20 years, the rate of death from all non-recurrence, non-external causes increases [3]. Cardiovascular disease is one of the most significant contributors to morbidity and mortality in pediatric cancer survivors [4,5] and is the third leading cause of death behind relapse and secondary malignancy. Pediatric cancer survivors have significantly higher rates of congestive heart failure, pericardial disease, valvular abnormalities, and myocardial infarction compared to the general population [2,6], age and gender matched controls [3], and their siblings [7,8]. The timing for developing cardiac disease occurs both early, within 5 years of treatment [9,10], and late [3,11], with the cumulative incidence of adverse cardiac outcomes in cancer survivors continuing to increase up to 30 years after diagnosis [7].
As our goals for successful treatment shift from simply survival to event-free survival, cardiotoxicity is a major limiting factor. While improvements have been made in understanding the pathophysiology of cardiac toxicity and monitoring for the development of risk factors, there is still some practice variations in surveillance and treatment strategies [12] and limitations to current screening recommendations. Cardiologists have become an important part of the multidisciplinary care team for children undergoing chemotherapy, and there is an emerging field of pediatric cardio-oncologists to help care for these survivors over their lifetime. Implementing more detailed screening guidelines with a cardiologist’s lens will be critical to improving cardiac outcomes for this patient population.
2. Mechanisms and Risk Factors for Anthracycline Cardiotoxicity
Anthracyclines, such as doxorubicin, daunorubicin, and idarubicin, are highly effective antineoplastic agents widely used in treatment protocols for many subtypes of pediatric cancer. However, they are also now well known for causing cardio-toxic side effects in a cumulative and dose-dependent fashion [13,14,15]. They were initially described in the 1970s, shortly after their first clinical usage, and 10 out of 110 children receiving a cumulative anthracycline dose >500 mg/m2 developed severe cardiomyopathy with congestive heart failure (CHF) while undergoing therapy or soon thereafter [16]. With the subsequent knowledge regarding dose related cardiotoxicity, current protocols have targeted maintaining total cumulative doses to <250 mg/m2. Thus, maintaining records of a patient’s cumulative lifetime dosage is important for risk stratification.
The antineoplastic effects of anthracyclines include DNA intercalation with the disruption of synthesis and active DNA strand breaking via topoisomerase IIβ, leading to the upregulation of inflammatory cytokines and the generation of reactive oxygen species (ROS) [17]. The exact mechanisms of anthracycline-induced cardio toxicity are not known, but given the clinical manifestations of both acute and chronic myocyte injury, there are likely several distinct processes. One hypothesis is related to the limited ability of cardiac myocytes to scavenge free radicals, leaving them particularly susceptible to injury from ROS [18], with elevation of ROS lasting up to five weeks after anthracycline exposure in animal models [19] Importantly, anthracyclines can cause damage to the mitochondrial genome and to the membrane structure [20], which can lead to apoptosis of cardiomyocytes [21]. Other mechanisms include direct damage to nuclear DNA mediated by topoisomerase IIβ [22,23] and a reduction in endogenous myocardial progenitor cells [24,25,26]. The end result is that anthracycline exposure causes changes in the structure of the ventricular myocardium [18,27] and can lead to ventricular dysfunction and heart failure [17,20].
The cardiotoxic side effects of anthracyclines can lead to clinical symptoms of rhythm disturbances or heart failure, which can present acutely during active treatment; chronic early-onset up to a year after treatment; or chronic late-onset, which can occur even decades after exposure. Early studies suggested these are three distinctive pathologic categories [14,28]; however, several recent longitudinal studies suggest the timing of onset may reflect a spectrum of the same cellular insult [15,29,30]. With more restrictive dosage guidelines, the acute cardiac toxicity initially described in the 1970s [16] is much less common than late onset symptoms of heart failure [3,11,14]. However, monitoring survivors by more advanced imaging modalities suggests that there are changes to the myocardium that occur before the clinical symptoms of heart failure [29]. Other longitudinal studies suggest that anthracycline cardiotoxicity follows a pattern of an early subclinical dilated cardiomyopathy with subsequent normalization, followed by a restrictive cardiomyopathy detectable years after initial exposure [30].
More specific risk factors for developing anthracycline cardiotoxicity in pediatric patients include concomitant use of radiation [10,16] in higher doses (more than 250–300 mg/m2 of doxorubicin) during initial treatment [10,16,24]. Other risk factors have been cited, including black race, associated blood stream infection [9] and female gender [31], although, notably, the gender data remain inconclusive [32]. While many studies have noted a younger age at time of diagnosis as a risk factor for late onset cardiotoxicity [31], one group found that older patients had a higher risk for early toxicity [9]. Additionally, patients who developed some degree of early cardiac dysfunction during their chemotherapy course have an increased risk of developing significant cardiac toxicity years into remission [9].
Given the variability in the development of anthracycline toxicity, pharmacogenetics has emerged as a promising tool for risk stratification. Several genetic variants have shown strong associations with anthracycline-induced cardiac toxicity, including: RARG (rs2229774 variant), which leads to a reduced repression of the key anthracycline-induced cardiotoxicity genetic determinant topoisomerase IIβ [33]; variants in solute carrier (SLC) transporters SLC28A3, SLC22A17 and SLC22A7, which are believed to carry anthracyclines and have shown associations with doxorubicin and daunorubicin-induced cardiotoxicity in pediatric cohorts [34,35,36]; and UGT1A6 rs17863783, which reduces glucuronidation of anthracycline metabolites and may lead to increased anthracycline tissue accumulation [35].
In addition to direct myocyte toxicity, survivors of childhood cancer are at increased risk of metabolic syndrome and cardiovascular disease compared to their age-matched peers. Survivors have been shown to have higher fat mass, lower lean body mass, greater insulin resistance, lower carotid distensibility and compliance, and increased arterial stiffness than controls, with changes beginning in childhood [37,38].
3. Diagnosis
In childhood cancer survivors, there is often a long latency between cardiotoxic treatments and development of clinically evident symptoms of heart failure. Therefore, screening protocols are necessary, particularly in patients with risk factors, including higher anthracycline dose and concurrent radiation, to monitor for evidence of cardiac toxicity. While many oncology practices around the United States follow screening protocols, there remains practice variability regarding specific screening tools for cardiac toxicity in survivors, as well as treatment strategies [12]. Several key international pediatric oncology groups have defined screening guidelines for pediatric cancer survivors, which are summarized in Table 1. A recent US study identified that screening could reduce the risk of heart failure by 18% at 30 years and is cost-effective based on quality-adjusted life years (QALY) gained [39]. Furthermore, over 20% of patients with asymptomatic left ventricular dysfunction improve with treatment, supporting the role of early detection [39].
Table 1.
Cardiotoxicity surveillance guidelines for survivors of pediatric cancer.
3.1. ECG
Pediatric cancer survivors have an increased risk of arrhythmias and conduction disorders [2], including prolonged corrected QT (QTc) intervals [40], which can be screened for with electrocardiograms (ECG). As many medications used in this patient population are also known to have QT-prolonging effects, including anti-emetics like ondansetron, analgesia such as methadone, and tricyclic antidepressants, serial QTc monitoring during chemotherapy is important to reduce the ventricular tachycardia risk. Anthracyclines are also directly associated with premature ventricular contractions, sinus node dysfunction, and decreased QRS voltage, with incidences ranging from 10% to 30% [5]. Electrocardiograms are limited in that they only offer a snapshot in time; thus, a 24-h Holter monitor may better capture changes to the cardiac conduction system and serve as another marker of myocardial health. Rhythm monitoring by ECG and considering serial Holter monitors is diagnostically helpful, especially in patients with symptoms including palpitations, pre-syncope, and syncope.
3.2. Non-Invasive Cardiac Imaging
3.2.1. Echocardiography
Echocardiography is the primary imaging modality for the surveillance of cardiac toxicity in pediatric cancer survivors, and is recommended to begin, at most, 2 years after completion of chemotherapy and to continue thereafter at a minimum of 5-year intervals based on risk factors [41] (Table 1). Two-dimensional (2D) echocardiography is most commonly used for surveillance of changes in cardiac function, as measured by the ejection fraction or fractional shortening; however, this is often not sufficient to capture early evidence of cardiotoxicity [42]. Left ventricular (LV) systolic function by 2D echocardiography is the primary information requested by oncologists from screening echocardiogram studies in patients before, during, and after chemotherapy. The ejection fraction (EF) measures the percentage difference of the endocardial border in systole and diastole in an apical four-chamber view. This value is the most commonly used value to assess systolic function. However, EF has a number of limitations, including geometric assumptions of ventricular shape, load dependency, and inter-observer variability [43]. Additionally, a change in EF is generally a late manifestation of cardiac toxicity and is not a sensitive screening tool for the early detection of cardiac impairment [44]. To improve the sensitivity of EF, some groups have suggested increasing the normative EF value of echocardiograms from ≥50 percent to ≥60 percent, which better correlates with the decline in function captured by cardiac magnetic resonance imaging (CMR) [45].
Fractional shortening (FS) is also commonly used to assess LV function. FS is derived from M-mode imaging using the measurements of internal diameters of the LV at the end of the diastole and the end of the systole in order to calculate the percentage change. FS has been shown to have an inverse correlation with cumulative doxorubicin dose, supportive of dose-dependent cardiac toxicity [24,42]. Similar to EF, FS is also limited by loading conditions on the heart and is based on geometric assumptions. Three-dimensional echocardiography, which is based on volumetric assessment, may better approximate LV function with less intra-observer and serial variability [45].
These assessments only provide a snapshot in time when assessed by a cross-sectional analysis; however, longitudinal studies provide greater insight into echocardiographic changes over time and highlight the value of function measurements as potential imaging biomarkers [24,46]. One longitudinal study found a significant decline in cardiac function during anthracycline treatment, which improved over the subsequent months–years of monitoring [24]. However, the mean LV FS z-scores at the completion of doxorubicin therapy predicted late follow-up measures of function in pediatric cancer survivors, i.e., an FS mean z-score below two at the end of therapy was associated with a mean z-score below two an average of 11 years later [24]. Reduced FS and a progressive reduction in ventricular mass and wall thickness relative to body surface area was related to impaired contractility and increasing afterload [24]. There is a growing body of evidence that systolic function alone is not sufficiently sensitive to detect early and more subtle cardiac dysfunction. Even at low doses between 90 and 270 mg/m2, 23% of pediatric survivors had subclinical cardiac dysfunction [42]. The utility of echocardiography extends beyond traditional measures of LV FS and EF in this patient population, where LV function assessments are often normal. In almost one third of survivors who have a normal EF, there is evidence of systolic and/or diastolic dysfunction by measuring myocardial strain and diastolic function [44].
Diastolic function is most commonly measured by pulsed-wave Doppler of the mitral inflow velocity in early diastole (E) and in late diastole (A), left ventricle isovolumic relaxation time (IVRT), and E wave deceleration time. Abnormalities in diastolic dysfunction can be detected early after completion of chemotherapy [47]. One recent longitudinal study comparing echocardiographic parameters in pediatric cancer survivors who developed cardiomyopathy with survivors who did not develop cardiomyopathy found significant subclinical differences in FS, EF, LV end diastolic dimension and mitral E/A ratio between the two groups as far back as 2 years prior to the recognition of cardiomyopathy [46]. This highlights the importance of trending diastolic function in addition to systolic function over time.
In addition to measuring systolic and diastolic function, screening for cardiomyopathy must also include an assessment of cardiac muscle architecture and deformation [48]. This can be measured as myocardial strain (MS) by 2D echocardiography via Tissue Doppler Imaging (TDI), which measures tissue velocity to quantify myocardial motion [47,49], or by speckle tracking software, which reflects a spatial gradient of local velocities, measuring local compression and expansion rates not affected by overall heart motion. MS is less dependent on loading conditions than EF or FS [43,44,49] and thus may better detect early cardiac toxicity. Deformation is measured in three dimensions, including: global longitudinal strain (GLS), which measures myocardial shortening from base to apex (Figure 1); global circumferential strain (GCS), which measures the systolic shortening of the short axis of the ventricle; and radial strain, which measures myocardial thickening from the endocardium to the epicardium [50]. Strain analysis in adult survivors of pediatric cancer demonstrated that only 5.8% of subjects in the cohort had reduced EF, but 32% had reduced GLS [44]. In addition to improved sensitivity, strain has shown evidence of its possible use as a predictive tool. Early reductions in GLS [51] and GCS [52], as measured from baseline to completion of treatment, may identify childhood cancer survivors at risk of the subsequent late development of cardiomyopathy.
Figure 1.
Apical four-chamber speckle-tracking images measuring left ventricular strain in asymptomatic pediatric patients who underwent chemotherapy with normal strain (a) and abnormal strain (b). In the middle panels, the colored lines correlate with 2D segments of the LV and the dotted line represents the average strain. The lower panel summarizes the global longitudinal strain in a bullseye plot, with blue representing dyskinetic segments in patient (b) with abnormal strain.
3.2.2. Cardiac Magnetic Resonance Imaging
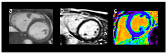
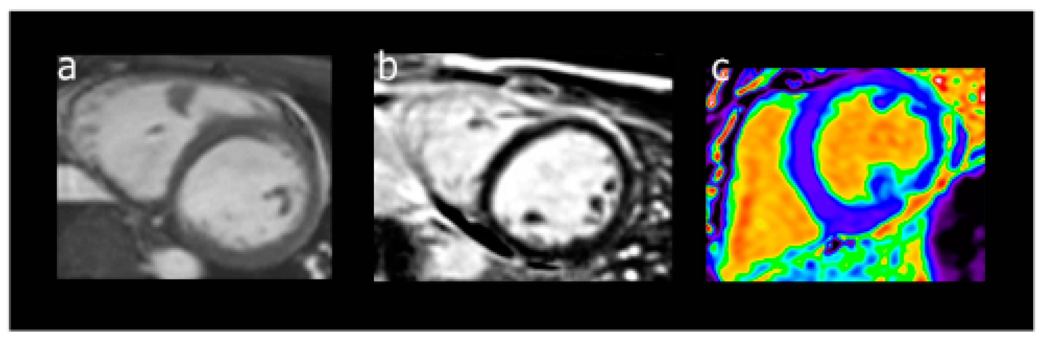
Cardiac magnetic resonance (CMR) imaging is not yet common in clinical practice but is emerging as an important monitoring tool for cardiomyopathy. CMR provides better structural imaging and more accurate measurements of systolic function and myocardial tissue characterization. Unlike echocardiography, CMR does not rely on geometric assumptions and is not limited by potential poor image quality, yet retains the benefits of being non-invasive and without ionizing radiation exposure. In addition to the assessment of function and myocardial strain [53], CMR is also able to quantify chamber volume, detect acute myocardial inflammation and edema with T2 weighted imaging [54], and detect myocardial fibrosis via T1 derived extracellular volume (ECV) [55] and late gadolinium enhancement (LGE) [56] (Figure 2).
Figure 2.
Pediatric cardiac MRI images, including panel a demonstrating a two-chamber short-axis cine image to evaluate cardiac size and function. Panel b shows a T2-weighted short-axis post-contract image used for the evaluation of late gadolinium enhancement and shows normal myocardium without any contrast present. Panel c shows a post-processing T1-weighted MOLLI sequence used to quantify myocardial extracellular volume (ECV).
CMR-derived function and strain assessments have been shown to be more sensitive than echocardiography due to their earlier detection of abnormal values [57,58]. In pediatric cancer survivors treated with anthracyclines with normal EF by 2D echocardiograms, CMR detected a significant decrease in LVEF and indexed end-systolic LV volume, highlighting the increased sensitivity of MRI for the early detection of disease [59]. T1 mapping techniques are used to measure fibrosis, including relaxation time, ECV, and LV myocardial peak circumferential and longitudinal strain [58]. An increased ECV fraction is reflective of increased collagen volume fraction in the myocardium and thus a higher burden of fibrosis. In pediatric cancer survivors, increased ECV is associated with a cumulative anthracycline dose [57,58,60]. Additionally, delayed relaxation time and decreased LV myocardial peak circumferential and longitudinal strain magnitude are present in asymptomatic pediatric cancer survivors with normal standard CMR parameters [58], emphasizing the role of T1 surveillance sequences. Lastly, one of the proposed mechanisms of late cardiac dysfunction is abnormal myocardial remodeling and fibrosis, which can also be measured by CMR LGE [56]. Interestingly, pediatric cancer survivors with abnormal function, as measured by CMR, do not have LGE [58,59], suggesting that fibrotic remodeling could either be a later phenomenon or perhaps not the mechanism of chemotherapy-induced cardiomyopathy. While there are clear advantages of CMR monitoring for the early detection of myocardial damage in survivors of pediatric cancer, this modality is limited by the widespread availability and cost of CMR when compared to echocardiograms.
3.2.3. Serum Biomarkers
There has been robust interest in the use of serum biomarkers to evaluate cardiotoxicity before, during and after chemotherapy. Cardiac troponin, N-terminal pro-brain natriuretic peptide (NT-proBNP), and C-reactive protein (CRP) levels have been most promising and, interestingly, elevated in children, even at the time of cancer diagnosis [61,62,63]. Trending them over time may provide clues about the development of cardiac toxicity.
Cardiac troponins (cTnI and cTnT) are proteins found exclusively in myocardial cells. Detection of these proteins in serum analysis is a sensitive and specific biomarker of myocardial damage in pediatric patients [64]. Cardiac troponins reflect the extent of irreversible myocardial cell injury caused by both natural and drug-induced diseases in humans and common laboratory species [65]. As anthracyclines can mediate cardiac damage even with the first dose, troponin is a helpful tool to screen for myocardial damage. Cardiac troponin levels are increased in children with acute lymphoblastic leukemia (ALL) during the first 90 days of treatment with anthracyclines [61] and, in adult studies, they become elevated from the pre-treatment baseline within 24 h of the first anthracycline administration [66]. Interestingly, in these patients, early treatment-induced troponin elevation correlated with an increased risk of impaired cardiac function studies. Specifically, in adult patients treated with anthracycline, elevated cTnI >5 nL/mL at the time of drug administration led to an increased risk of impaired cardiac function, as measured by a 2D echocardiogram [66]. In the pediatric population, patients with cardiac troponin increases within the first 90 days of treatment have a significantly reduced LV mass and LV end diastolic posterior wall thickness 4 years later [61]. Low-level cTnT elevations were noted in children after their first dose of cardiotoxic doxorubicin chemotherapy and at any point during treatment with doxorubicin, but not after non-cardiotoxic chemotherapy [64], correlating with a decrease in LVEF and E/A ratios [67]. In a separate disease model, elevated cTnI levels in patients with Duchenne muscular dystrophy correlated with early fibrotic changes in cardiac MRI [68]; therefore, it may be interesting to compare serum biomarkers with CMR in pediatric cardio-oncology patients in a future study.
Other serum biomarkers for myocardial tissue are natriuretic peptides, which are released by the myocardium in response to volume and pressure overload. Abnormal NT-proBNP levels were associated with the known risk factors of cardiotoxicity, including the younger age of patients, longer duration of follow-up, and higher cumulative anthracycline doses [69]. Before, during, and after treatment, children with ALL had increased levels of NT-proBNP, suggesting its role as a biomarker to detect cardiac stress [61]. Similar to its early elevation in cardiac troponin levels, elevated NT-proBNP levels during the first 90 days of anthracycline chemotherapy in pediatric patients with ALL was predictive of an abnormal LV thickness to dimension ratio by echocardiography 4 years later [61], with a sensitivity of ~33% or 92% predicting subsequent acute or subacute cardiac dysfunction, respectively [70]. Abnormal NT-proBNP levels have been detected in 20–30% of asymptomatic survivors [69,71]. While other studies have not found significantly abnormal levels of NT-proBNP in isolation [60,72], there is a significant correlation of cumulative anthracycline dose with increased BNP levels and CMR ECV [60] and of NT-proBNP with GLS alone [44], as well as CMR ECV and GLS [60]. This suggests that, while serum biomarkers may not serve as an independent predictor of cardiac toxicity, they can be helpful when assessed in correlation with imaging markers.
Non-specific markers of inflammation, including CRP, have been assessed in several studies of childhood cancer survivors. Although not necessarily predictive of cardiotoxic side effects, elevated baseline CRP in pediatric patients with Hodgkin’s lymphoma leads to a higher risk of relapse [62]. Another study demonstrated the elevation of CRP in survivors when compared to healthy, age matched controls, with the degree of elevation correlating with increased odds of having a metabolic syndrome [63].
Possibly specific to anthracycline-mediated cardiotoxicity, topoisomerase IIB has also been proposed as a biomarker, but has not been widely developed clinically [22]. Other myocardial biomarkers, including ST2, have not been shown to have a significant correlation with myocardial dysfunction in this population [60] and are not as widely available for routine clinical testing.
4. Prevention
With our evolving knowledge of the pathogenesis of cardiotoxicity, several promising preventative strategies have emerged. The first is the monitoring of the cumulative anthracycline dose. The hazard ratio of adverse cardiac outcomes in survivors who received ≥250 mg/m2 of an anthracycline are fivefold higher than in those receiving less anthracycline [3,7]. Accordingly, most pediatric protocols now target cumulative doses less than 250 mg/m2, although there are concerns about the oncologic efficacy of lower dose treatment, particularly in patients with osteosarcoma [73]. Despite these dose reductions, even small doses of anthracyclines have associations with the development of subclinical cardiac abnormalities in pediatric patients. Given the hypotheses of excess reactive oxygen species, co-administration with antioxidants such as vitamins E and C has been researched, without significant reductions in cardiotoxicity [17].
A more promising prevention strategy has been the co-administration of dexrazoxane, approved by the United States Food and Drug Administration (US FDA) in 2014. This drug is a chelating agent that interferes with iron-mediated free radical generation. In pediatric patients treated with doxorubicin, co-administration of dexrazoxane demonstrated reduced cTnT levels, NT-proBNP, and CRP levels during treatment, suggesting a reduction in cardiomyocyte death, ventricular stress and inflammation [61,74]. At the 5-year follow-up, pediatric patients treated with dexrazoxane, relative to doxorubicin alone, had improved left ventricular wall thickness, thickness-to-dimension ratio [74,75] and improved systolic function [76,77], with some studies identifying greater protection in girls [75]. While this imaging evidence is important, the evidence for late cardioprotective effects beyond 5 years of follow-up is limited at this point [78]. Importantly, studies have not shown significant differences in relapse rates, supporting the cardioprotective efficacy of this chelator, without compromising the intended anti-neoplastic effects of doxorubicin [78]. Although promising, some studies have still demonstrated left ventricular structural changes in patients receiving dexrazoxane, highlighting the need to maintain vigilance in surveillance, even in this reduced-risk population [73].
Given the increased and accelerated risk of developing metabolic syndrome and cardiovascular disease after chemotherapy, the other pillar of prevention is the early emphasis on preventative lifestyle habits. The American Heart Association recommends screening pediatric cancer survivors with a fasting lipid profile and glucose or hemoglobin A1c every 2 years and lifestyle counseling to maintain an appropriate weight, consume a healthy diet, avoid smoke exposure and participate in physical activity [4]. As further evidence for the importance of physical activity, studies in mouse models treated with doxorubicin identified low-intensity exercise training as cardiac protective [79], possibly due to a reduction in mitochondrial oxidative stress and damage [80]. Although no specific studies have evaluated this in pediatric patients, a meta-analysis of childhood cancer survivors supports a statistically and clinically significant cardioprotective effect of aerobic exercise against treatment-induced toxicity [81]
5. Pediatric Heart Failure and Treatment Strategies
While prevention and early detection are critical, the 30-year cause-specific cumulative incidence of congestive heart failure remains as high as 7.5% among pediatric cancer survivors treated with anthracyclines [82]. Even prior to developing clinical symptoms, imaging and serum biomarkers suggest that the pathophysiology of heart failure is ongoing. Primarily driven by activation of the adrenergic and renin–angiotensin–aldosterone systems, initial upregulation leads to the intended effect of increasing cardiac output; however, chronic activation becomes maladaptive, with adverse effects on myocardial and endovascular tissue. The myocardium contains β1 and β2 adrenergic receptors, which, via signaling pathways, can modulate the heart rate, myocardial contractility, and relaxation. In patients with chronic heart failure, there is a downregulation of cardiac β1 receptors and an increase in cardiac β2 receptors, leading to alterations in receptor and transporter homeostasis [83] and ultimately resulting in an increase in cytosolic calcium [84]. This increase in calcium leads to adverse cardiac remodeling, including fibrosis and increases in the extracellular matrix. Therefore, early use of heart failure medications prior to the development of decreased cardiac function may prove beneficial.
Recent studies have demonstrated the benefits of adjunct medical therapies in patients receiving anthracyclines. In an adult study of hematologic malignancies, the OVERCOME trial demonstrated that pre-treating patients on high-dose chemotherapy with enalapril and carvedilol prevented deterioration in LVEF and led to statistically fewer deaths and heart failure events [74]. Carvedilol is a nonselective adrenergic blocker acting on β1, β2, and α1 receptors with potent antioxidant and antiapoptotic properties. In a meta-analysis of breast cancer survivors, carvedilol-treated patients exhibited lower rates of LV systolic dysfunction and less EF deterioration [85]. Similarly, in a study of pediatric patients treated with adriamycin for ALL, pretreatment with carvedilol resulted in a significant improvement in function, as measured by echocardiography (FS and global peak systolic strain), and the inhibition of increases in plasma cTnI. This study provides promising evidence for the role of carvedilol pre-treatment in patients receiving anthracycline chemotherapy to preserve cardiac function [86].
Angiotensin-converting enzyme (ACE) inhibitors are another class of agents with potential benefits against cardiotoxicity. Angiotensin II is a potent vasoconstrictor that, overtime, can lead to endothelial dysfunction. Inhibitors of Angiotensin II, such as ACE inhibitors, are cornerstones in the treatment of pediatric patients with chronic heart failure [87]. As anthracycline toxicity also drives the generation of reactive oxygen species, ACE inhibitors may be a helpful preventative drug if used prior to detection of cardiac dysfunction. In rat models of doxorubicin cardiotoxicity, serum cTnT levels demonstrated the protective effects on cardiac myocytes when ACE inhibitors were given in conjunction with doxorubicin, as compared to elevated cTnT levels with anthracyclines alone [88]. Early use of ACE inhibitors has been well studied in the Duchenne muscular dystrophy population, with evidence of cardio-protective effects [89]. A recent randomized control trial in long-term survivors of pediatric cancer showed an improvement in left ventricular end-systolic wall stress in subjects treated with enalapril as compared to a placebo [90]. As other work has demonstrated limitations in using 2D echocardiograms, it is possible that a more significant effect of ACE inhibitor therapy would be detected if subjects were assessed by 3D echocardiograms or CMR. Additionally, early use of enalapril, rather than late use, may help mediate early cardiovascular remodeling and be a more effective preventative strategy.
Once patients have a confirmed diagnosis of heart failure from cardiomyopathy, the general principles of management are similar to other pediatric patients with impaired cardiac function. The mainstay of treatment involves afterload reduction, the promotion of myocardial remodeling, and diuresis to manage the symptoms of fluid overload. As described above, ACE inhibitors or angiotensin receptor blockers (ARBs) are used for afterload reduction. Additionally, aldosterone receptor antagonists, such as spironolactone and eplerenone, have been shown to improve myocardial remodeling. Beta blockers, such as carvedilol, improve contractility when there is evidence of LV dysfunction. More recently, combination drugs such as sacubitril and valsartan (Entresto) have been used for refractory heart failure, with United States Food and Drug Administration (US FDA) approval in 2019 for use in pediatric patients. Currently, there is a global multi-center study comparing the efficacy of sacubitril/valsartan to enalapril for the treatment of pediatric heart failure patients with reduced LV function [91].
When heart failure is refractory to medical therapy, patients may be considered for mechanical ventricular-assisted device support or cardiac transplantation [4,92]. History of malignancy is not an absolute contraindication for heart transplant [92,93], and pediatric patients receiving a transplant for anthracycline-induced cardiomyopathy have been shown to have the same survival outcomes as those with dilated cardiomyopathy [94]. Importantly, a recent Pediatric Heart Transplant Society retrospective review found no recurrence of primary malignancy in the anthracycline-induced cardiomyopathy group [94]. Additionally, there was no difference in the incidence of post-transplant lymphoproliferative disorder, a rare malignancy related to immunosuppression, in the cancer-survivor versus dilated cardiomyopathy groups [94]. This important work emphasizes the safety and efficacy of pediatric heart transplantation in this patient population if they have exceeded the limits of medical therapy.
6. Screening Guidelines
Currently, there are no evidenced-based guidelines for monitoring cardiovascular toxicity in patients actively receiving chemotherapy. There are several recommended guidelines for cardiac surveillance in survivors of pediatric cancer, which are summarized in Table 1. A recent abstract found that 69.1% of survivors were adherent to the echocardiogram screening guidelines and 18% of patients in that cohort developed cardiomyopathy. The authors identified insurance lapses and longer follow-up durations as barriers to receiving the recommended screenings [95]. Pediatric patients with chronic or lifelong conditions are particularly vulnerable to lapses in follow-up as they transition from pediatric to adult care [96] and it is important to emphasize the importance of lifelong cardiovascular screening in this population. Moreover, the guidelines and their limitations impact the efficacy of screening tools. There are limited recommendations for obtaining ECGs, and the only specific echocardiogram measurements requested are EF or FS, which are rarely sensitive enough to detect early cardiac dysfunction. Thus, defining more specific imaging guidelines would improve the yield of the screening test. Specifically, adding measurements of diastolic dysfunction and myocardial strain to the currently recommended EF and FS, as well as including interval CMR as part of the long-term follow-up, would provide a more compressive screening assessment and improve the detection of early cardiac dysfunction. Scientific statements from the American Heart Association [4] have provided a thorough overview of the available cardiac screening tools, but these recommendations must be incorporated into more comprehensive evidence-based guidelines to be as effective as possible.
7. Conclusions
Advancements in pediatric cancer treatments have markedly improved the number of survivors. Large survivor cohort studies have helped identify the significant risk of cardiotoxicity faced by this patient population. There is a critical role for the field of cardio-oncology in helping to improve the adverse cardiac effects of lifesaving cancer treatments. Longitudinal studies provide key insights into patterns of cardiac toxicity and can help refine surveillance protocols. There have been some improvements in prevention strategies, such as reduced anthracycline and radiation dosages, co-administration of dexrazoxane or carvedilol, and heightened awareness of risk factors. In addition to prevention strategies, earlier recognition of evolving cardiac dysfunction and treatment will help prevent progression to more severe heart failure and early cardiac death in pediatric cancer survivors. With a growing body of evidence surrounding the complexities of imaging and serum biomarkers to detect cardiotoxicity, current survivor protocols should be expanded to include more detailed echocardiographic screening parameters (including diastolic measures and strain), advanced imaging including CMR, and serum biomarker analyses. By capturing these more comprehensive, evidence-based data, it will be possible to better risk stratify patients at the start of treatment, ensure optimal surveillance protocols and to initiate treatment before overt cardiac dysfunction occurs.
Author Contributions
Conceptualization, C.S. and V.C.; writing—original draft preparation, V.C.; writing—review and editing, C.S. and N.D.; visualization, C.S., N.D., V.C.; supervision, C.S. and N.D. All authors have read and agreed to the published version of the manuscript.
Funding
This research received no external funding.
Institutional Review Board Statement
Not applicable.
Informed Consent Statement
Not applicable.
Data Availability Statement
No new data were created or analyzed in this study. Data sharing is not applicable to this article.
Conflicts of Interest
The authors declare no conflict of interest.
Abbreviations
CHF: congestive heart failure; ROS: reactive oxygen species; SLC: solute carrier transporters; LV: left ventricle; EF: ejection fraction; CMR: cardiac magnetic resonance imaging; FS: Fractional shortening; E: early diastole; A: late diastole; IVRT: isovolumic relaxation time; MS: myocardial strain; TDI: Tissue Doppler Imaging; GLS: global longitudinal strain; GCS: global circumferential strain; ECV: extracellular volume; LGE: late gadolinium enhancement; cTnI and cTnT: cardiac troponins; NT-proBNP: N-terminal pro-brain natriuretic peptide; CRP: C-reactive protein; ALL: acute lymphoblastic leukemia; US FDA: United States Food and Drug Administration
References
- Miller, K.D.; Siegel, R.L.; Lin, C.C.; Mariotto, A.B.; Kramer, J.L.; Rowland, J.H.; Stein, K.D.; Alteri, R.; Jemal, A. Cancer Treatment and Survivorship Statistics, 2016. CA Cancer J. Clin. 2016, 66, 271–289. [Google Scholar] [CrossRef] [PubMed]
- Hudson, M.M.; Ness, K.K.; Gurney, J.G.; Mulrooney, D.A.; Chemaitilly, W.; Krull, K.R.; Green, D.M.; Armstrong, G.T.; Nottage, K.A.; Jones, K.E.; et al. Clinical Ascertainment of Health Outcomes among Adults Treated for Childhood Cancer: A Report from the St. Jude Lifetime Cohort Study. JAMA J. Am. Med. Assoc. 2013, 309, 2371–2381. [Google Scholar] [CrossRef] [PubMed]
- Armstrong, G.T.; Liu, Q.; Yasui, Y.; Neglia, J.P.; Leisenring, W.; Robison, L.L.; Mertens, A.C. Late Mortality Among 5-Year Survivors of Childhood Cancer: A Summary From the Childhood Cancer Survivor Study. J. Clin. Oncol. 2009, 27, 2328–2338. [Google Scholar] [CrossRef] [PubMed]
- De Ferranti, S.D.; Steinberger, J.; Ameduri, R.; Baker, A.; Gooding, H.; Kelly, A.S.; Mietus-Snyder, M.; Mitsnefes, M.M.; Peterson, A.L.; St-Pierre, J.; et al. Cardiovascular Risk Reduction in High-Risk Pediatric Patients: A Scientific Statement From the American Heart Association. Circulation 2019, 139, e603–e634. [Google Scholar] [CrossRef]
- Lipshultz, S.E.; Adams, M.J.; Colan, S.D.; Constine, L.S.; Herman, E.H.; Hsu, D.T.; Hudson, M.M.; Kremer, L.C.; Landy, D.C.; Miller, T.L.; et al. Long-Term Cardiovascular Toxicity in Children, Adolescents, and Young Adults Who Receive Cancer Therapy: Pathophysiology, Course, Monitoring, Management, Prevention, and Research Directions. Circulation 2013, 128, 1927–1995. [Google Scholar] [CrossRef]
- Bhakta, N.; Liu, Q.; Yeo, F.; Baassiri, M.; Ehrhardt, M.J.; Srivastava, D.K.; Metzger, M.L.; Krasin, M.J.; Ness, K.K.; Hudson, M.M.; et al. Cumulative Burden of Cardiovascular Morbidity in Paediatric, Adolescent, and Young Adult Survivors of Hodgkin’s Lymphoma: An Analysis from the St Jude Lifetime Cohort Study. Lancet Oncol. 2016, 17, 1325–1334. [Google Scholar] [CrossRef]
- Mulrooney, D.A.; Yeazel, M.W.; Kawashima, T.; Mertens, A.C.; Mitby, P.; Stovall, M.; Donaldson, S.S.; Green, D.M.; Sklar, C.A.; Robison, L.L.; et al. Cardiac Outcomes in a Cohort of Adult Survivors of Childhood and Adolescent Cancer: Retrospective Analysis of the Childhood Cancer Survivor Study Cohort. BMJ 2009, 339, b4606. [Google Scholar] [CrossRef]
- Oeffinger, K.C.; Mertens, A.C.; Sklar, C.A.; Kawashima, T.; Hudson, M.M.; Meadows, A.T.; Friedman, D.L.; Marina, N.; Hobbie, W.; Kadan-Lottick, N.S.; et al. Chronic Health Conditions in Adult Survivors of Childhood Cancer. N. Engl. J. Med. 2006, 355, 1572–1582. [Google Scholar] [CrossRef]
- Getz, K.D.; Sung, L.; Ky, B.; Gerbing, R.B.; Leger, K.J.; Leahy, A.B.; Sack, L.; Woods, W.G.; Alonzo, T.; Gamis, A.; et al. Occurrence of Treatment-Related Cardiotoxicity and Its Impact on Outcomes Among Children Treated in the AAML0531 Clinical Trial: A Report From the Children’s Oncology Group. J. Clin. Oncol. 2019, 37, 12–21. [Google Scholar] [CrossRef]
- Prout, M.N.; Richards, M.J.S.; Chung, K.J.; Joo, P.; Davis, H.L. Adriamycin Cardiotoxicity in Children. Case Reports, Literature Review, and Risk Factors. Cancer 1977, 39, 62–65. [Google Scholar] [CrossRef]
- Mertens, A.; Liu, Q.; Neglia, J.; Wasilewski, K.; Leisenring, W.; Armstrong, G.; Robison, L.; Yasui, Y. Cause-Specific Late Mortality Among 5-Year Survivors of Childhood Cancer: The Childhood Cancer Survivor Study. J. Natl. Cancer Inst. 2008, 100, 1368–1379. [Google Scholar] [CrossRef] [PubMed]
- Bottinor, W.J.; Friedman, D.L.; Ryan, T.D.; Wang, L.; Yu, C.; Borinstein, S.C.; Godown, J. Cardiovascular Disease and Asymptomatic Childhood Cancer Survivors: Current Clinical Practice. Cancer Med. 2020, 9, 5500–5508. [Google Scholar] [CrossRef] [PubMed]
- Kalam, K.; Marwick, T.H. Role of Cardioprotective Therapy for Prevention of Cardiotoxicity with Chemotherapy: A Systematic Review and Meta-Analysis. Eur. J. Cancer 2013, 49, 2900–2909. [Google Scholar] [CrossRef] [PubMed]
- Lipshultz, S.E.; Alvarez, J.A.; Scully, R.E. Anthracycline Associated Cardiotoxicity in Survivors of Childhood Cancer. Heart 2008, 94, 525–533. [Google Scholar] [CrossRef] [PubMed]
- Creutzig, U.; Diekamp, S.; Zimmermann, M.; Reinhardt, D. Longitudinal Evaluation of Early and Late Anthracycline Cardiotoxicity in Children with AML. Pediatr. Blood Cancer 2007, 48, 651–662. [Google Scholar] [CrossRef]
- Gilladoga, A.C.; Manuel, C.; Tan, C.T.C.; Wollner, N.; Sternberg, S.S.; Murphy, M.L. The Cardiotoxicity of Adriamycin and Daunomycin in Children. Cancer 1976, 37 (Suppl. S2), 1070–1078. [Google Scholar] [CrossRef]
- Mancilla, T.R.; Iskra, B.; Aune, G.J. Doxorubicin-Induced Cardiomyopathy in Children. Compr. Physiol. 2019, 9, 905–931. [Google Scholar] [CrossRef]
- Adams, M.J.; Lipshultz, S.E. Pathophysiology of Anthracycline- and Radiation-Associated Cardiomyopathies: Implications for Screening and Prevention. Pediatr. Blood Cancer 2005, 44, 600–606. [Google Scholar] [CrossRef]
- Zhou, S.; Palmeira, C.M.; Wallace, K.B. Doxorubicin-Induced Persistent Oxidative Stress to Cardiac Myocytes. Toxicol. Lett. 2001, 121, 151–157. [Google Scholar] [CrossRef]
- Lauritzen, K.H.; Kleppa, L.; Aronsen, J.M.; Eide, L.; Carlsen, H.; Haugen, Ø.P.; Sjaastad, I.; Klungland, A.; Rasmussen, L.J.; Attramadal, H.; et al. Impaired Dynamics and Function of Mitochondria Caused by MtDNA Toxicity Leads to Heart Failure. Am. J. Physiol. Heart Circ. Physiol. 2015, 309, H434–H449. [Google Scholar] [CrossRef]
- Zhao, L.; Zhang, B. Doxorubicin Induces Cardiotoxicity through Upregulation of Death Receptors Mediated Apoptosis in Cardiomyocytes. Sci. Rep. 2017, 7, 44735. [Google Scholar] [CrossRef]
- Vejpongsa, P.; Yeh, E.T.H. Topoisomerase 2β: A Promising Molecular Target for Primary Prevention of Anthracycline-Induced Cardiotoxicity. Clin. Pharmacol. Ther. 2014, 95, 45–52. [Google Scholar] [CrossRef] [PubMed]
- Lyu, Y.L.; Kerrigan, J.E.; Lin, C.-P.; Azarova, A.M.; Tsai, Y.-C.; Ban, Y.; Liu, L.F. Topoisomerase IIβ–Mediated DNA Double-Strand Breaks: Implications in Doxorubicin Cardiotoxicity and Prevention by Dexrazoxane. Cancer Res. 2007, 67, 8839–8846. [Google Scholar] [CrossRef]
- Lipshultz, S.E.; Lipsitz, S.R.; Sallan, S.E.; Dalton, V.M.; Mone, S.M.; Gelber, R.D.; Colan, S.D. Chronic Progressive Cardiac Dysfunction Years After Doxorubicin Therapy for Childhood Acute Lymphoblastic Leukemia. J. Clin. Oncol. 2016. [Google Scholar] [CrossRef] [PubMed]
- Huang, C.; Zhang, X.; Ramil, J.M.; Rikka, S.; Kim, L.; Lee, Y.; Gude, N.A.; Thistlethwaite, P.A.; Sussman, M.A.; Gottlieb, R.A.; et al. Juvenile Exposure to Anthracyclines Impairs Cardiac Progenitor Cell Function and Vascularization Resulting in Greater Susceptibility to Stress-Induced Myocardial Injury in Adult Mice. Circulation 2010, 121, 675–683. [Google Scholar] [CrossRef] [PubMed]
- Ryan, T.D.; Nagarajan, R.; Godown, J. Cardiovascular Toxicities in Pediatric Cancer Survivors. Cardiol. Clin. 2019, 37, 533–544. [Google Scholar] [CrossRef] [PubMed]
- Billingham, M.E.; Mason, J.W.; Bristow, M.R.; Daniels, J.R. Anthracycline Cardiomyopathy Monitored by Morphologic Changes. Cancer Treat. Rep. 1978, 62, 865–872. [Google Scholar]
- Yeh, E.T.H.; Bickford, C.L. Cardiovascular Complications of Cancer Therapy. J. Am. Coll. Cardiol. 2009, 53, 2231–2247. [Google Scholar] [CrossRef]
- Cardinale, D.; Colombo, A.; Bacchiani, G.; Tedeschi, I.; Meroni, C.A.; Veglia, F.; Civelli, M.; Lamantia, G.; Colombo, N.; Curigliano, G.; et al. Early Detection of Anthracycline Cardiotoxicity and Improvement With Heart Failure Therapy. Circulation 2015, 131, 1981–1988. [Google Scholar] [CrossRef]
- Lipshultz, S.E.; Scully, R.E.; Stevenson, K.E.; Franco, V.I.; Neuberg, D.S.; Colan, S.D.; Silverman, L.B.; Moslehi, J.J.; Cheng, S.; Sallan, S.E. Hearts Too Small for Body Size after Doxorubicin for Childhood ALL: Grinch Syndrome. J. Clin. Oncol. 2014, 32, 10021. [Google Scholar] [CrossRef]
- Lipshultz, S.E.; Lipsitz, S.R.; Mone, S.M.; Goorin, A.M.; Sallan, S.E.; Sanders, S.P.; Orav, E.J.; Gelber, R.D.; Colan, S.D. Female Sex and Higher Drug Dose as Risk Factors for Late Cardiotoxic Effects of Doxorubicin Therapy for Childhood Cancer. N. Engl. J. Med. 1995, 332, 1738–1744. [Google Scholar] [CrossRef] [PubMed]
- Meiners, B.; Shenoy, C.; Zordoky, B.N. Clinical and Preclinical Evidence of Sex-Related Differences in Anthracycline-Induced Cardiotoxicity. Biol. Sex Differ. 2018, 9. [Google Scholar] [CrossRef] [PubMed]
- Aminkeng, F.; Bhavsar, A.P.; Visscher, H.; Rassekh, S.R.; Li, Y.; Lee, J.W.; Brunham, L.R.; Caron, H.N.; van Dalen, E.C.; Kremer, L.C.; et al. A Coding Variant in RARG Confers Susceptibility to Anthracycline-Induced Cardiotoxicity in Childhood Cancer. Nat. Genet. 2015, 47, 1079–1084. [Google Scholar] [CrossRef] [PubMed]
- Visscher, H.; Ross, C.J.D.; Rassekh, S.R.; Barhdadi, A.; Dubé, M.-P.; Al-Saloos, H.; Sandor, G.S.; Caron, H.N.; van Dalen, E.C.; Kremer, L.C.; et al. Pharmacogenomic Prediction of Anthracycline-Induced Cardiotoxicity in Children. J. Clin. Oncol. 2011, 30, 1422–1428. [Google Scholar] [CrossRef] [PubMed]
- Visscher, H.; Ross, C.J.; Rassekh, S.R.; Sandor, G.S.; Caron, H.N.; Van Dalen, E.C.; Kremer, L.C.; Van der Pal, H.J.; Rogers, P.C.; Rieder, M.J.; et al. Validation of Variants in SLC28A3 and UGT1A6 as Genetic Markers Predictive of Anthracycline-Induced Cardiotoxicity in Children. Pediatr. Blood Cancer 2013, 60, 1375–1381. [Google Scholar] [CrossRef] [PubMed]
- Visscher, H.; Rassekh, S.R.; Sandor, G.S.; Caron, H.N.; van Dalen, E.C.; Kremer, L.C.; van der Pal, H.J.; Rogers, P.C.; Rieder, M.J.; Carleton, B.C.; et al. Genetic Variants in SLC22A17 and SLC22A7 Are Associated with Anthracycline-Induced Cardiotoxicity in Children. Pharmacogenomics 2015, 16, 1065–1076. [Google Scholar] [CrossRef] [PubMed]
- Dengel, D.R.; Kelly, A.S.; Zhang, L.; Hodges, J.S.; Baker, K.S.; Steinberger, J. Signs of Early Sub-Clinical Atherosclerosis in Childhood Cancer Survivors. Pediatr. Blood Cancer 2014, 61, 532–537. [Google Scholar] [CrossRef]
- Dengel, D.; Ness, K.; Glasser, S.; Williamson, E.; Baker, K.; Gurney, J. Endothelial Function in Young Adult Survivors of Childhood Acute Lymphoblastic Leukemia. J. Pediatr. Hematol. Oncol. 2008, 30, 20–25. [Google Scholar] [CrossRef]
- Wong, F.L.; Bhatia, S.; Landier, W.; Francisco, L.; Leisenring, W.; Hudson, M.M.; Armstrong, G.T.; Mertens, A.; Stovall, M.; Robison, L.L.; et al. Efficacy and Cost-Effectiveness of the Children’s Oncology Group Long-Term Follow-Up Screening Guidelines for Childhood Cancer Survivors at Risk of Treatment-Related Heart Failure. Ann. Intern. Med. 2014, 160, 672–683. [Google Scholar] [CrossRef]
- Duan, J.; Tao, J.; Zhai, M.; Li, C.; Zhou, N.; Lv, J.; Wang, L.; Lin, L.; Bai, R. Anticancer Drugs-Related QTc Prolongation, Torsade de Pointes and Sudden Death: Current Evidence and Future Research Perspectives. Oncotarget 2018, 9, 25738–25749. [Google Scholar] [CrossRef]
- Armenian, S.H.; Hudson, M.M.; Mulder, R.L.; Chen, M.H.; Constine, L.S.; Dwyer, M.; Nathan, P.C.; Tissing, W.J.E.; Shankar, S.; Sieswerda, E.; et al. Recommendations for Cardiomyopathy Surveillance for Survivors of Childhood Cancer: A Report from the International Late Effects of Childhood Cancer Guideline Harmonization Group. Lancet Oncol. 2015, 16, e123–e136. [Google Scholar] [CrossRef]
- Sorensen, K.; Levitt, G.; Bull, C.; Chessells, J.; Sullivan, I. Anthracycline Dose in Childhood Acute Lymphoblastic Leukemia: Issues of Early Survival versus Late Cardiotoxicity. J. Clin. Oncol. 1997, 15, 61–68. [Google Scholar] [CrossRef] [PubMed]
- Kalam, K.; Otahal, P.; Marwick, T.H. Prognostic Implications of Global LV Dysfunction: A Systematic Review and Meta-Analysis of Global Longitudinal Strain and Ejection Fraction. Heart 2014, 100, 1673–1680. [Google Scholar] [CrossRef] [PubMed]
- Armstrong, G.T.; Joshi, V.M.; Ness, K.K.; Marwick, T.H.; Zhang, N.; Srivastava, D.; Griffin, B.P.; Grimm, R.A.; Thomas, J.; Phelan, D.; et al. Comprehensive Echocardiographic Detection of Treatment-Related Cardiac Dysfunction in Adult Survivors of Childhood Cancer: Results From the St. Jude Lifetime Cohort Study. J. Am. Coll. Cardiol. 2015, 65, 2511–2522. [Google Scholar] [CrossRef] [PubMed]
- Armstrong, G.T.; Plana, J.C.; Zhang, N.; Srivastava, D.; Green, D.M.; Ness, K.K.; Donovan, F.D.; Metzger, M.L.; Arevalo, A.; Durand, J.-B.; et al. Screening Adult Survivors of Childhood Cancer for Cardiomyopathy: Comparison of Echocardiography and Cardiac Magnetic Resonance Imaging. J. Clin. Oncol. 2012, 30, 2876–2884. [Google Scholar] [CrossRef]
- Border, W.L.; Sachdeva, R.; Stratton, K.L.; Armenian, S.H.; Bhat, A.; Cox, D.E.; Leger, K.J.; Leisenring, W.M.; Meacham, L.R.; Sadak, K.T.; et al. Longitudinal Changes in Echocardiographic Parameters of Cardiac Function in Pediatric Cancer Survivors. JACC CardioOncology 2020, 2, 26–37. [Google Scholar] [CrossRef]
- Venturelli, F.; Masetti, R.; Fabi, M.; Rondelli, R.; Martoni, A.; Prete, A.; Bonvicini, M.; Pession, A. Tissue Doppler Imaging for Anthracycline Cardiotoxicity Monitoring in Pediatric Patients with Cancer. Cardio-Oncology 2018, 4. [Google Scholar] [CrossRef]
- Bijnens, B.; Cikes, M.; Butakoff, C.; Sitges, M.; Crispi, F. Myocardial Motion and Deformation: What Does It Tell Us and How Does It Relate to Function? Fetal Diagn. Ther. 2012, 32, 5–16. [Google Scholar] [CrossRef]
- Abraham Theodore, P.; Dimaano Veronica, L.; Hsin-Yueh, L. Role of Tissue Doppler and Strain Echocardiography in Current Clinical Practice. Circulation 2007, 116, 2597–2609. [Google Scholar] [CrossRef]
- Zhang, K.; Sheu, R.; Zimmerman, N.M.; Alfirevic, A.; Sale, S.; Gillinov, A.M.; Duncan, A.E. A Comparison of Global Longitudinal, Circumferential, and Radial Strain to Predict Outcomes after Cardiac Surgery. J. Cardiothorac. Vasc. Anesth. 2019, 33, 1315–1322. [Google Scholar] [CrossRef]
- Use of Myocardial Strain Imaging by Echocardiography for the Early Detection of Cardiotoxicity in Patients during and after Cancer Chemotherapy: A Systematic Review; Centre for Reviews and Dissemination: York, UK, 2014.
- Bottinor, W.; Godown, J.; Coburn, G.; Soslow, J.; Borinstein, S.C. Implementing Strain Imaging to Identify Early Childhood Cancer Survivors at Risk for Cardiovascular Disease. J. Clin. Oncol. 2019, 37 (Suppl. S15), e23070. [Google Scholar] [CrossRef]
- Schuster, A.; Hor, K.N.; Kowallick, J.T.; Beerbaum, P.; Kutty, S. Cardiovascular Magnetic Resonance Myocardial Feature Tracking. Circ. Cardiovasc. Imaging 2016, 9, e004077. [Google Scholar] [CrossRef] [PubMed]
- Thavendiranathan, P.; Walls, M.; Giri, S.; Verhaert, D.; Rajagopalan, S.; Moore, S.; Simonetti, O.P.; Raman, S.V. Improved Detection of Myocardial Involvement in Acute Inflammatory Cardiomyopathies Using T2 Mapping. Circ. Cardiovasc. Imaging 2012, 5, 102–110. [Google Scholar] [CrossRef] [PubMed]
- Riesenkampff, E.; Messroghli, D.R.; Redington, A.N.; Grosse-Wortmann, L. Myocardial T1 Mapping in Pediatric and Congenital Heart Disease. Circ. Cardiovasc. Imaging 2015, 8, e002504. [Google Scholar] [CrossRef] [PubMed]
- Etesami, M.; Gilkeson, R.C.; Rajiah, P. Utility of Late Gadolinium Enhancement in Pediatric Cardiac MRI. Pediatr. Radiol. 2016, 46, 1096–1113. [Google Scholar] [CrossRef]
- Tham, E.B.; Haykowsky, M.J.; Chow, K.; Spavor, M.; Kaneko, S.; Khoo, N.S.; Pagano, J.J.; Mackie, A.S.; Thompson, R.B. Diffuse Myocardial Fibrosis by T1-Mapping in Children with Subclinical Anthracycline Cardiotoxicity: Relationship to Exercise Capacity, Cumulative Dose and Remodeling. J. Cardiovasc. Magn. Reson. 2013, 15, 48. [Google Scholar] [CrossRef]
- Toro-Salazar, O.H.; Gillan, E.; O’Loughlin, M.T.; Burke, G.S.; Ferranti, J.; Stainsby, J.; Liang, B.; Mazur, W.; Raman, S.V.; Hor, K.N. Occult Cardiotoxicity in Childhood Cancer Survivors Exposed to Anthracycline Therapy. Circ. Cardiovasc. Imaging 2013, 6, 873–880. [Google Scholar] [CrossRef]
- Long, T.M.; Marsh, C.E.; Dembo, L.G.; Watson, P.; Wallman, K.E.; Walwyn, T.S.; Choong, C.S.; Naylor, L.H. Early Markers of Cardiovascular Injury in Childhood Leukaemia Survivors Treated with Anthracycline Chemotherapy. Cardio-Oncology 2019, 5, 11. [Google Scholar] [CrossRef]
- Mokshagundam, D.; Olivieri, L.J.; McCarter, R.; Kim, A.; Sable, C.A.; Spurney, C.F.; Dham, N. Cardiac Changes in Pediatric Cancer Survivors. J. Investig. Med. 2020, 68, 1364–1369. [Google Scholar] [CrossRef]
- Lipshultz, S.E.; Miller, T.L.; Scully, R.E.; Lipsitz, S.R.; Rifai, N.; Silverman, L.B.; Colan, S.D.; Neuberg, D.S.; Dahlberg, S.E.; Henkel, J.M.; et al. Changes in Cardiac Biomarkers during Doxorubicin Treatment of Pediatric Patients with High-Risk Acute Lymphoblastic Leukemia: Associations with Long-Term Echocardiographic Outcomes. J. Clin. Oncol. 2012, 30, 1042–1049. [Google Scholar] [CrossRef]
- Wieland, A.; Kerbl, R.; Berghold, A.; Schwinger, W.; Mann, G.; Urban, C. C-Reactive Protein (CRP) as Tumor Marker in Pediatric and Adolescent Patients with Hodgkin Disease. Med. Pediatr. Oncol. 2003, 41, 21–25. [Google Scholar] [CrossRef] [PubMed]
- Ariffin, H.; Azanan, M.S.; Ghafar, S.S.A.; Oh, L.; Lau, K.H.; Thirunavakarasu, T.; Sedan, A.; Ibrahim, K.; Chan, A.; Chin, T.F.; et al. Young Adult Survivors of Childhood Acute Lymphoblastic Leukemia Show Evidence of Chronic Inflammation and Cellular Aging. Cancer 2017, 123, 4207–4214. [Google Scholar] [CrossRef] [PubMed]
- Lipshultz, S.E.; Nader, R.; Sallan, S.E.; Lipsitz, S.R.; Dalton, V.; Sacks, D.B.; Ottlinger, M.E. Predictive Value of Cardiac Troponin T in Pediatric Patients at Risk for Myocardial Injury. Circulation 1997, 96, 2641–2648. [Google Scholar] [CrossRef] [PubMed]
- Wallace, K.B.; Hausner, E.; Herman, E.; Holt, G.D.; MacGregor, J.T.; Metz, A.L.; Murphy, E.; Rosenblum, I.Y.; Sistare, F.D.; York, M.J. Serum Troponins as Biomarkers of Drug-Induced Cardiac Toxicity. Toxicol. Pathol. 2004, 32, 106–121. [Google Scholar] [CrossRef] [PubMed]
- Cardinale, D.; Sandri, M.T.; Martinoni, A.; Tricca, A.; Civelli, M.; Lamantia, G.; Cinieri, S.; Martinelli, G.; Cipolla, C.M.; Fiorentini, C. Left Ventricular Dysfunction Predicted by Early Troponin I Release after High-Dose Chemotherapy. J. Am. Coll. Cardiol. 2000, 36, 517–522. [Google Scholar] [CrossRef]
- Raluca Maniu, D.; Blag, C.; Popa, G.; Bota, M.; Vlad, C.; Cainap, C.; Balacescu, O.; Pop, L.; Cainap, S.S. The Role of Biomarkers and Echocardiography in the Evaluation of Cardiotoxicity Risk in Children Treated for Leukemia. J. BUON 2018, 23, 122–131. [Google Scholar]
- Voleti, S.; Olivieri, L.; Hamann, K.; Gordish-Dressman, H.; Spurney, C. Troponin I Levels Correlate with Cardiac MR LGE and Native T1 Values in Duchenne Muscular Dystrophy Cardiomyopathy and Identify Early Disease Progression. Pediatr. Cardiol. 2020, 41, 1173–1179. [Google Scholar] [CrossRef]
- Zidan, A.; Sherief, L.M.; El-sheikh, A.; Saleh, S.H.; Shahbah, D.A.; Kamal, N.M.; Sherbiny, H.S.; Ahmad, H. NT-ProBNP as Early Marker of Subclinical Late Cardiotoxicity after Doxorubicin Therapy and Mediastinal Irradiation in Childhood Cancer Survivors. Dis. Mark. 2015, 2015. [Google Scholar] [CrossRef]
- Michel, L.; Mincu, R.I.; Mrotzek, S.M.; Korste, S.; Neudorf, U.; Rassaf, T.; Totzeck, M. Cardiac Biomarkers for the Detection of Cardiotoxicity in Childhood Cancer—A Meta-analysis. ESC Heart Fail. 2020, 7, 423–433. [Google Scholar] [CrossRef]
- Sherief, L.; Kamal, A.; Khalek, E.; Kamal, N.; Soliman, A.; Esh, A. Biomarkers and Early Detection of Late Onset Anthracycline-Induced Cardiotoxicity in Children. Hematol. Amst. Neth. 2012, 17, 151–156. [Google Scholar] [CrossRef]
- Slieker, M.G.; Fackoury, C.; Slorach, C.; Hui, W.; Friedberg, M.K.; Fan, C.-P.S.; Manlhiot, C.; Dillenburg, R.; Kantor, P.; Mital, S.; et al. Echocardiographic Assessment of Cardiac Function in Pediatric Survivors of Anthracycline-Treated Childhood Cancer. Circ. Cardiovasc. Imaging 2019, 12, e008869. [Google Scholar] [CrossRef] [PubMed]
- Kopp, L.M.; Womer, R.B.; Schwartz, C.L.; Ebb, D.H.; Franco, V.I.; Hall, D.; Barkauskas, D.A.; Krailo, M.D.; Grier, H.E.; Meyers, P.A.; et al. Effects of Dexrazoxane on Doxorubicin-Related Cardiotoxicity and Second Malignant Neoplasms in Children with Osteosarcoma: A Report from the Children’s Oncology Group. Cardio-Oncology 2019, 5. [Google Scholar] [CrossRef] [PubMed]
- Asselin, B.L.; Devidas, M.; Chen, L.; Franco, V.I.; Pullen, J.; Borowitz, M.J.; Hutchison, R.E.; Ravindranath, Y.; Armenian, S.H.; Camitta, B.M.; et al. Cardioprotection and Safety of Dexrazoxane in Patients Treated for Newly Diagnosed T-Cell Acute Lymphoblastic Leukemia or Advanced-Stage Lymphoblastic Non-Hodgkin Lymphoma: A Report of the Children’s Oncology Group Randomized Trial Pediatric Oncology Group 9404. J. Clin. Oncol. 2016, 34, 854–862. [Google Scholar] [CrossRef] [PubMed]
- Lipshultz, S.E.; Scully, R.E.; Lipsitz, S.R.; Sallan, S.E.; Silverman, L.B.; Miller, T.L.; Barry, E.V.; Asselin, B.L.; Athale, U.; Clavell, L.A.; et al. Assessment of Dexrazoxane as a Cardioprotectant in Doxorubicin-Treated Children with High-Risk Acute Lymphoblastic Leukaemia: Long-Term Follow-up of a Prospective, Randomised, Multicentre Trial. Lancet Oncol. 2010, 11, 950–961. [Google Scholar] [CrossRef]
- Schloemer, N.J.; Brickler, M.; Hoffmann, R.; Pan, A.; Simpson, P.; McFadden, V.; Block, J.; Tower, R.L.; Burke, M.J. Administration of Dexrazoxane Improves Cardiac Indices in Children and Young Adults with Acute Myeloid Leukemia (AML) While Maintaining Survival Outcomes. J. Pediatr. Hematol. Oncol. 2017, 39, e254–e258. [Google Scholar] [CrossRef]
- Getz, K.D.; Sung, L.; Alonzo, T.A.; Leger, K.J.; Gerbing, R.B.; Pollard, J.A.; Cooper, T.; Kolb, E.A.; Gamis, A.S.; Ky, B.; et al. Effect of Dexrazoxane on Left Ventricular Systolic Function and Treatment Outcomes in Patients With Acute Myeloid Leukemia: A Report From the Children’s Oncology Group. J. Clin. Oncol. 2020, 38, 2398–2406. [Google Scholar] [CrossRef]
- Reichardt, P.; Tabone, M.-D.; Mora, J.; Morland, B.; Jones, R.L. Risk–Benefit of Dexrazoxane for Preventing Anthracycline-Related Cardiotoxicity: Re-Evaluating the European Labeling. Future Oncol. 2018, 14, 2663–2676. [Google Scholar] [CrossRef]
- Chicco, A.J.; Hydock, D.S.; Schneider, C.M.; Hayward, R. Low-Intensity Exercise Training during Doxorubicin Treatment Protects against Cardiotoxicity. J. Appl. Physiol. 2006, 100, 519–527. [Google Scholar] [CrossRef]
- Marques-Aleixo, I.; Santos-Alves, E.; Mariani, D.; Rizo-Roca, D.; Padrão, A.I.; Rocha-Rodrigues, S.; Viscor, G.; Torrella, J.R.; Ferreira, R.; Oliveira, P.J.; et al. Physical Exercise Prior and during Treatment Reduces Sub-Chronic Doxorubicin-Induced Mitochondrial Toxicity and Oxidative Stress. Mitochondrion 2015, 20, 22–33. [Google Scholar] [CrossRef]
- Bourdon, A.; Grandy, S.A.; Keats, M.R. Aerobic Exercise and Cardiopulmonary Fitness in Childhood Cancer Survivors Treated with a Cardiotoxic Agent: A Meta-Analysis. Support. Care Cancer Off. J. Multinatl. Assoc. Support. Care Cancer 2018, 26, 2113–2123. [Google Scholar] [CrossRef]
- van der Pal, H.J.; van Dalen, E.C.; van Delden, E.; van Dijk, I.W.; Kok, W.E.; Geskus, R.B.; Sieswerda, E.; Oldenburger, F.; Koning, C.C.; van Leeuwen, F.E.; et al. High Risk of Symptomatic Cardiac Events in Childhood Cancer Survivors. J. Clin. Oncol. 2012, 30, 1429–1437. [Google Scholar] [CrossRef] [PubMed]
- Bristow, M.R.; Ginsburg, R.; Umans, V.; Fowler, M.; Minobe, W.; Rasmussen, R.; Zera, P.; Menlove, R.; Shah, P.; Jamieson, S. Beta 1- and Beta 2-Adrenergic-Receptor Subpopulations in Nonfailing and Failing Human Ventricular Myocardium: Coupling of Both Receptor Subtypes to Muscle Contraction and Selective Beta 1-Receptor down-Regulation in Heart Failure. Circ. Res. 1986, 59, 297–309. [Google Scholar] [CrossRef] [PubMed]
- Port, J.D.; Bristow, M.R. Altered Beta-Adrenergic Receptor Gene Regulation and Signaling in Chronic Heart Failure. J. Mol. Cell. Cardiol. 2001, 33, 887–905. [Google Scholar] [CrossRef] [PubMed]
- Kheiri, B.; Abdalla, A.; Osman, M.; Haykal, T.; Chahine, A.; Ahmed, S.; Osman, K.; Hassan, M.; Bachuwa, G.; Bhatt, D.L. Meta-Analysis of Carvedilol for the Prevention of Anthracycline-Induced Cardiotoxicity. Am. J. Cardiol. 2018, 122, 1959–1964. [Google Scholar] [CrossRef]
- El-Shitany, N.A.; Tolba, O.A.; El-Shanshory, M.R.; El-Hawary, E.E. Protective Effect of Carvedilol on Adriamycin-Induced Left Ventricular Dysfunction in Children with Acute Lymphoblastic Leukemia. J. Card. Fail. 2012, 18, 607–613. [Google Scholar] [CrossRef]
- Momma, K. ACE Inhibitors in Pediatric Patients with Heart Failure. Paediatr. Drugs 2006, 8, 55–69. [Google Scholar] [CrossRef]
- Hiona, A.; Lee, A.S.; Nagendran, J.; Xie, X.; Connolly, A.J.; Robbins, R.C.; Wu, J.C. Pretreatment with Angiotensin-Converting Enzyme Inhibitor Improves Doxorubicin-Induced Cardiomyopathy via Preservation of Mitochondrial Function. J. Thorac. Cardiovasc. Surg. 2011, 142, 396–403.e3. [Google Scholar] [CrossRef]
- Duboc, D.; Meune, C.; Pierre, B.; Wahbi, K.; Eymard, B.; Toutain, A.; Berard, C.; Vaksmann, G.; Weber, S.; Bécane, H.-M. Perindopril Preventive Treatment on Mortality in Duchenne Muscular Dystrophy: 10 Years’ Follow-Up. Am. Heart J. 2007, 154, 596–602. [Google Scholar] [CrossRef]
- Silber, J.H.; Cnaan, A.; Clark, B.J.; Paridon, S.M.; Chin, A.J.; Rychik, J.; Hogarty, A.N.; Cohen, M.I.; Barber, G.; Rutkowski, M.; et al. Enalapril to Prevent Cardiac Function Decline in Long-Term Survivors of Pediatric Cancer Exposed to Anthracyclines. J. Clin. Oncol. 2004, 22, 820–828. [Google Scholar] [CrossRef]
- Shaddy, R.; Canter, C.; Halnon, N.; Kochilas, L.; Rossano, J.; Bonnet, D.; Bush, C.; Zhao, Z.; Kantor, P.; Burch, M.; et al. Design for the Sacubitril/Valsartan (LCZ696) Compared with Enalapril Study of Pediatric Patients with Heart Failure Due to Systemic Left Ventricle Systolic Dysfunction (PANORAMA-HF Study). Am. Heart J. 2017, 193, 23–34. [Google Scholar] [CrossRef]
- Shugh, S.B.; Ryan, T.D. Heart Transplantation in Survivors of Childhood Cancer. Transl. Pediatr. 2019, 8, 314–321. [Google Scholar] [CrossRef] [PubMed]
- Meister, R.; Katzenstein, H.M. Heart Transplantation for Anthracycline Cardiomyopathy: Pump up the Volume. Pediatr. Transplant. 2017, 21. [Google Scholar] [CrossRef] [PubMed]
- Bock, M.J.; Pahl, E.; Rusconi, P.G.; Boyle, G.J.; Parent, J.J.; Twist, C.J.; Kirklin, J.K.; Pruitt, E.; Bernstein, D. Cancer Recurrence and Mortality after Pediatric Heart Transplantation for Anthracycline Cardiomyopathy: A Report from the Pediatric Heart Transplant Study (PHTS) Group. Pediatr. Transplant. 2017, 21. [Google Scholar] [CrossRef] [PubMed]
- Madden, N.A.; Deng, C.; Fitch, T.; Effinger, K.E.; Zhang, C.; Goyal, S.; Tian, S.; Batcha, M.M.; Parashar, S.; Eaton, B.R.; et al. Adherence to Children’s Oncology Group (COG) long-term follow-up guidelines for echocardiogram screening in young adult survivors of childhood cancer. J. Clin. Oncol. 2020. [Google Scholar] [CrossRef]
- Camilli, M.; Del Buono, M.G.; Crea, F.; Minotti, G. Acute Heart Failure 29 Years after Treatment for Childhood Cancer. JACC CardioOncol. 2020. [Google Scholar] [CrossRef]
Publisher’s Note: MDPI stays neutral with regard to jurisdictional claims in published maps and institutional affiliations. |
© 2021 by the authors. Licensee MDPI, Basel, Switzerland. This article is an open access article distributed under the terms and conditions of the Creative Commons Attribution (CC BY) license (http://creativecommons.org/licenses/by/4.0/).

