Allergic Rhinosinusitis and Airway Diseases
Funding
Conflicts of Interest
References
- Available online: https://www.who.int/data/health-equity (accessed on 2 May 2022).
- Weaver, A.; Wood, A. Promoting Equity When Using the SNOT-22 Score: A Scoping Review and Literature Review. Sinusitis 2022, 6, 15–20. [Google Scholar] [CrossRef]
- Algahtani, S.N.; Alzarroug, A.F.; Alghamdi, H.K.; Algahtani, H.K.; Alsywina, N.B.; Bin Abdulrahman, K.A. Investigation on the Factors Associated with the Persistence of Anosmia and Ageusia in Saudi COVID-19 Patients. Int. J. Environ. Res. Public Health 2022, 19, 1047. [Google Scholar] [CrossRef] [PubMed]
- Araújo, L.; Arata, V.; Figueiredo, R.G. Olfactory Disorders in Post-Acute COVID-19 Syndrome. Sinusitis 2021, 5, 116–122. [Google Scholar] [CrossRef]
- Duong-Quy, S.; Ngo-Minh, X.; Tang-Le-Quynh, T.; Tang-Thi-Thao, T.; Nguyen-Quoc, B.; Le-Quang, K.; Tran-Thanh, D.; Doan-Thi-Quynh, N.; Canty, E.; Do, T.; et al. The use of exhaled nitric oxide and peak expiratory flow to demonstrate improved breathability and antimicrobial properties of novel face mask made with sustainable filter paper and Folium Plectranthii amboinicii oil: Additional option for mask shortage during COVID-19 pandemic. Multidiscip. Respir. Med. 2020, 15, 664. [Google Scholar] [PubMed]
- Hua-Huy, T.; Lorut, C.; Aubourg, F.; Morbieu, C.; Marey, J.; Texereau, J.; Fajac, I.; Mouthon, L.; Roche, N.; Dinh-Xuan, A.T. Persistent nasal inflammation 5 months after acute anosmia in patients with COVID-19. Am. J. Respir. Crit. Care Med. 2021, 203, 1319–1322. [Google Scholar] [CrossRef] [PubMed]
- Duong-Quy, S. Clinical utility of the exhaled nitric oxide (NO) measurement with portable devices in the management of allergic airway inflammation and asthma. J. Asthma Allergy 2019, 12, 331–341. [Google Scholar] [CrossRef] [PubMed] [Green Version]
- Duong-Quy, S.; Nguyen-Thi-Dieu, T.; Tran-Quang, K.; Tang-Thi-Thao, T.; Nguyen-Van, T.; Vo-Pham-Minh, T.; Vu-Tran-Thien, Q.; Bui-Diem, K.; Nguyen-Nhu, V.; Hoang-Thi, L.; et al. Study of nasal fractional exhaled nitric oxide (FENO) in children with allergic rhinitis. Sinusitis 2021, 5, 123–131. [Google Scholar] [CrossRef]
- Global Initiative for Asthma. Archived Reports. Available online: http://ginasthma.org/archived-reports/ (accessed on 26 April 2022).
- Naydenova, K.; Dimitrov, V.; Velikova, T. Immunological and microRNA Features of Allergic Rhinitis in the Context of United Airway Disease. Sinusitis 2021, 5, 45–52. [Google Scholar] [CrossRef]
- Nair, P.; Prabhavalkar, K. Anti-Asthmatic Effects of Saffron Extract and Salbutamol in an Ovalbumin-Induced Airway Model of Allergic Asthma. Sinusitis 2021, 5, 17–31. [Google Scholar] [CrossRef]
- Duong-Quy, S.; Vu-Minh, T.; Hua-Huy, T.; Tang-Thi-Thao, T.; Le-Quang, K.; Tran-Thanh, D.; Doan-Thi-Quynh, N.; Le-Dong, N.N.; Craig, T.J.; Dinh-Xuan, A.T. Study of nasal exhaled nitric oxide levels in diagnosis of allergic rhinitis in subjects with and without asthma. J. Asthma Allergy 2017, 10, 75–82. [Google Scholar] [CrossRef] [PubMed] [Green Version]
- Calatayud-Sáez, F.M.; Calatayud, B.; Luque, M.; Calatayud, A.; Gallego, J.G.; Rivas-Ruiz, F. Effects of the affinity to the Mediterranean diet pattern together with breastfeeding on the incidence of childhood asthma and other inflammatory and recurrent diseases. Allergol. Et Immunopathol. 2021, 49, 48–55. [Google Scholar] [CrossRef] [PubMed]
- Calatayud-Sáez, F.M.; Calatayud, B.; Calatayud, A. Effects of the Traditional Mediterranean Diet in Childhood Recurrent Acute Rhinosinusitis. Sinusitis 2021, 5, 101–115. [Google Scholar] [CrossRef]
- Nevis, I.F.; Binkley, K.; Kabali, C. Diagnostic accuracy of skin-prick testing for allergic rhinitis: A systematic review and meta-analysis. Allergy Asthma Clin. Immunol. 2016, 12, 20. [Google Scholar] [CrossRef] [PubMed] [Green Version]
- Lazova, S.; Baleva, M.; Priftis, S.; Naseva, E.; Velikova, T. Atopic Status in Children with Asthma and Respiratory Allergies-Comparative Analysis of Total IgE, ImmunoCAP Phadiatop/fx5 and Euroimmun Pediatric Immunoblot. Sinusitis 2022, 6, 1–14. [Google Scholar] [CrossRef]
- da Paz, E.R.; de Lima, C.M.F.; Felix, S.N.; Schaeffer, B.; Galvão, C.E.S.; Correia, A.T.; Righetti, R.F.; de Arruda Martins, M.; de Fátima Lopes Calvo Tibério, I.; Saraiva-Romanholo, B.M. Airway inflammatory profile among cleaning workers from different workplaces. BMC Pulm Med. 2020, 22, 170. [Google Scholar] [CrossRef] [PubMed]
- Kashyap, G.C.; Vishwakarma, D.; Singh, S.K. Prevalence and Risk Factors of Sinus and Nasal Allergies among Tannery Workers of Kanpur City. Sinusitis 2021, 5, 5–16. [Google Scholar] [CrossRef]
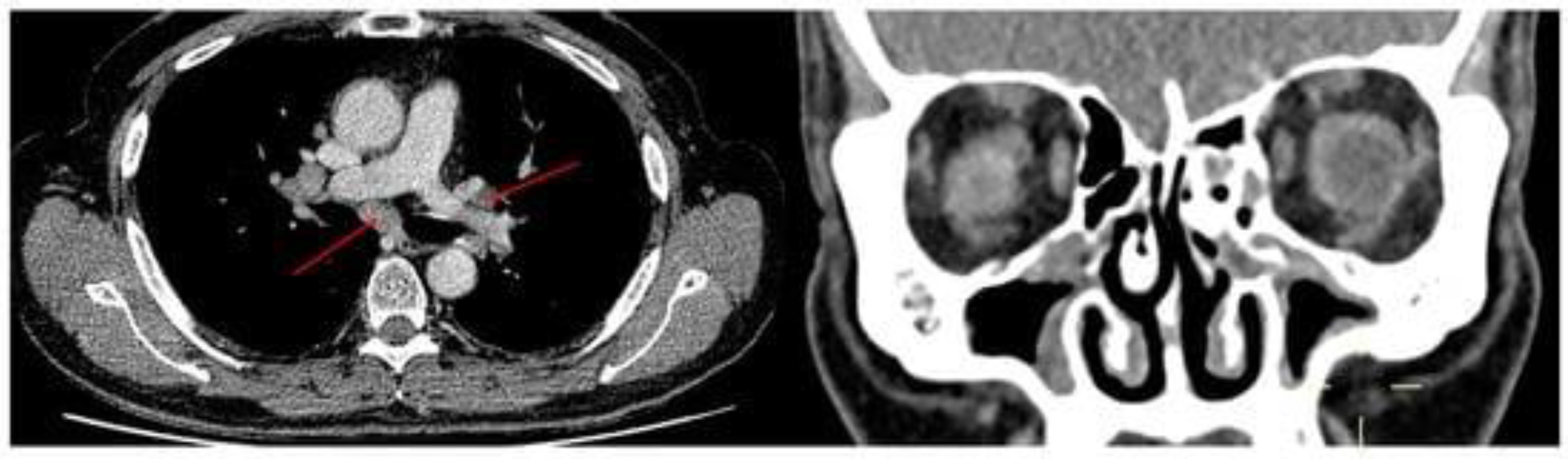
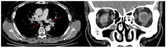
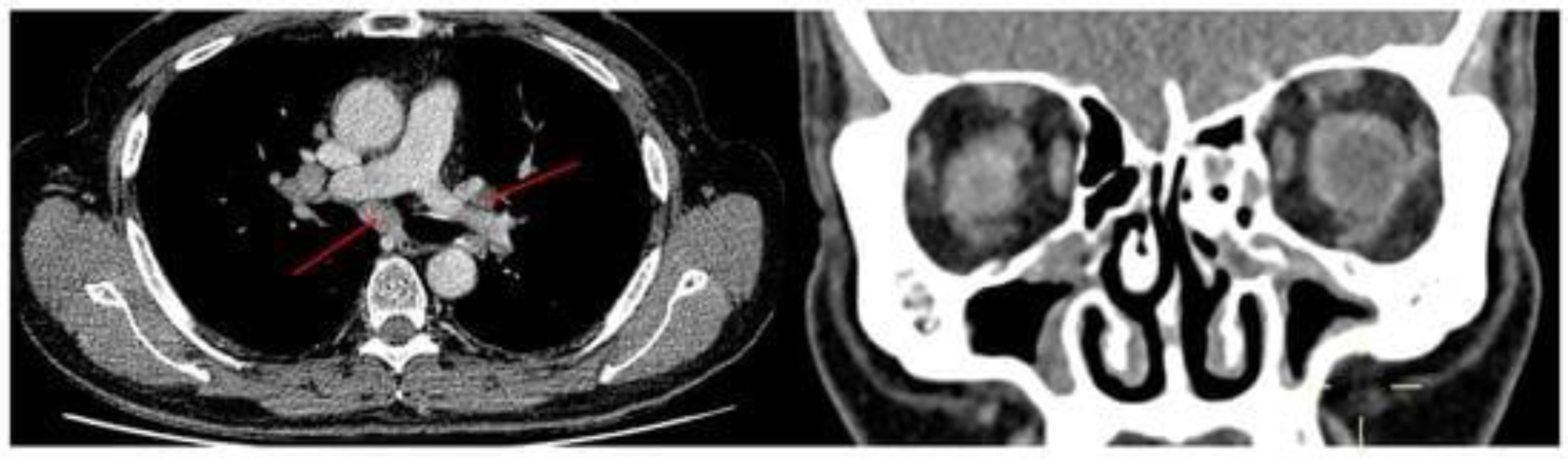
- Chan, R.; Kuo, C.R.; Lipworth, B. Low-Grade B Cell Lymphoproliferative Disorder Masquerading as Chronic Rhinosinusitis. Sinusitis 2021, 5, 1–4. [Google Scholar] [CrossRef]
- Debord, C.; Wuillème, S.; Eveillard, M.; Theisen, O.; Godon, C.; Le Bris, Y.; Béné, M.C. Flow cytometry in the diagnosis of mature B-cell lymphoproliferative disorders. Int. J. Lab. Hematol. 2020, 42, 113–120. [Google Scholar] [CrossRef] [PubMed]


Publisher’s Note: MDPI stays neutral with regard to jurisdictional claims in published maps and institutional affiliations. |
© 2022 by the author. Licensee MDPI, Basel, Switzerland. This article is an open access article distributed under the terms and conditions of the Creative Commons Attribution (CC BY) license (https://creativecommons.org/licenses/by/4.0/).
Share and Cite
Duong-Quy, S. Allergic Rhinosinusitis and Airway Diseases. Sinusitis 2022, 6, 21-25. https://doi.org/10.3390/sinusitis6010003
Duong-Quy S. Allergic Rhinosinusitis and Airway Diseases. Sinusitis. 2022; 6(1):21-25. https://doi.org/10.3390/sinusitis6010003
Chicago/Turabian StyleDuong-Quy, Sy. 2022. "Allergic Rhinosinusitis and Airway Diseases" Sinusitis 6, no. 1: 21-25. https://doi.org/10.3390/sinusitis6010003
APA StyleDuong-Quy, S. (2022). Allergic Rhinosinusitis and Airway Diseases. Sinusitis, 6(1), 21-25. https://doi.org/10.3390/sinusitis6010003
