Abstract
An important issue with digital impression techniques is the difficulty in replicating the subgingival zone, particularly when abutments are prepared with a vertical finish line. We propose a novel procedure, the reverse subgingival scan (RSS), to depict the subgingival area via digital impression without a retraction cord or the distortion of the sulcus. The software workflow, beginning with a digital dental impression, was performed using Exocad® (Align Technology) and Meshmixer® (Autodesk). The approach is based on the direct alignment of the surface of abutments, which is used as a reference point. The efficacy of the RSS approach was confirmed via fit tests, radiographic control assessments, and evaluations of the rate of tissue compression of the final prosthetic restoration, so long as the provisional had a perfect fit. RSS yields information on the transversal dimension and depth of the gingival sulcus. The procedure depends on the quality and characteristics of the provisional restoration, and is suitable only for cases in which the finish line of the final crown is at the same level or more coronal than that of the provisional.
1. Introduction
Among the limits of intraoral scanning techniques, refs [1,2] poor and/or time consuming sulcular anatomy and subgingival finish lines reading are particularly important [3]. This is because intraoral scanners (IOSs) cannot overcome the tendency of the gum to collapse [4,5]. Clinicians prefer to use a retraction cord to assess the sulcular anatomy, often switching to conventional impression materials. Conventional techniques can alter the sulcus anatomy and do not provide precise information on the transverse dimension of the sulcus, as conditioned by the provisional restoration. Accurate imaging of the prepared tooth’s subgingival area and its sulcular anatomy is crucial, particularly in aesthetic areas. However, it is difficult to capture the emergence profile and the soft tissue around the abutments particularly when a vertical preparation is employed [6].
Mandelli et al. suggested a hybrid digital and analog technique to obtain a deeper reading of the sulcus in challenging clinical situations [7] at the cost of increased procedural complexity, with the use of a double retraction cord. Agustín-Panadero et al. proposed a protocol for taking digital impressions of subgingival finish lines without using double-cord retraction (Figure 1). However, their alignment method, based on external landmarks, is liable to error [8].
Figure 1.
Schematic of the protocol of Agustín-Panadero et al.
We propose a digital technique, the RSS, to overcome the limits of existing techniques for performing an accurate assessment of the abutments, of their subgingival finish lines, and of the transmucosal zone, as conditioned by the provisional restoration.
2. Technique
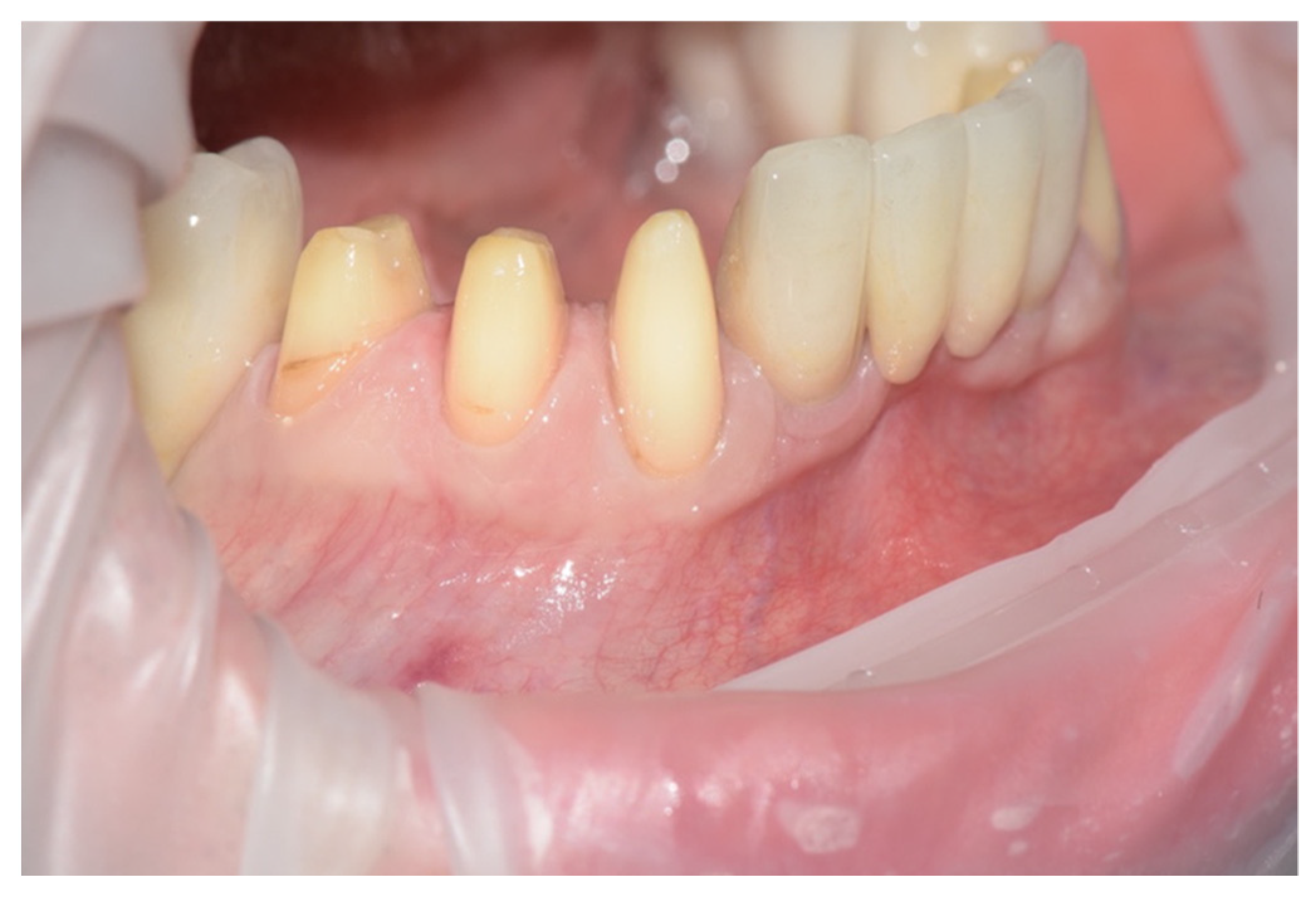
Teeth (#43, #44, and #45) were prepared with a vertical finish line at the bottom of the gingival sulcus (Figure 2) A provisional restoration made of composite material (Structur CAD, VOCO, Cuxhaven, Germany) was directly relined (Structur 3, VOCO) to achieve the optimal result in terms of function and aesthetics (Figure 3). Great care should be employed in this step, because the provisional is the source of the image of the abutments and of the sulcular morphology.
Figure 2.
Preparation of the abutments (teeth #43, #44, #45).
Figure 3.
Provisional restorations made in composite.
The master model was obtained by integrating two intraoral digital impressions (Figure 4), plus a scan of the temporary crowns using a Carestream CS3600 (Carestream Dental, Atlanta, GA, USA). The first impression scans the abutments, without retractor cords, following the recommended scanning protocol (both arches plus intercuspidal position). Next, an impression with the provisional restoration in place was taken. Subsequently, temporary crowns were scanned extraorally, acquiring their inner and outer margins (Figure 5). The resulting STL files were processed to produce a digital master model in which the data of the finish line of the abutments and of the surrounding tissues were derived from the temporary crowns. The workflow was performed using MeshMixer (Autodesk, Mill Valley, CA, USA) and Exocad (Align Technology, San Jose, CA, USA) (Figure 6).
Figure 4.
Digital impression of the abutments.
Figure 5.
Scan of the provisional restoration.
Figure 6.
Schematic of the method.
Software Workflow
- Step A: Cleaning STL Files
The first step is to prepare impression files suitable for subsequent steps. After importing the scan of the abutments and the provisional restoration into MeshMixer, we select and delete all of the unnecessary triangles of the mesh using the tool “Delete”. In the abutments scan, it is mandatory to maintain information related to tooth preparation. The buccal and lingual sides are minimised and the teeth adjacent to the preparations are removed (Figure 7). The provisional restoration scan provides information on the emergency profile and finish line of the crown, and therefore the cervical part and the inner side of the crown are carefully maintained (Figure 8). Because the scan represents the negative of the abutment, the next step is re-orienting the triangles of the STL file. This manipulation is performed via the command “Flip Normal”, after selecting the entire mesh surface (Figure 9).
Figure 7.
Digital impression of the abutments.
Figure 8.
Selection of unnecessary areas.
Figure 9.
Manipulation of the inside area of the provisional restoration after deleting all unnecessary areas.
- Step B: Registration of the Scans
Using Exocad, we align and match the two STL files. Then, we manually select the reference points and perform an automatic alignment using the “Best-fit” algorithm (Figure 10). To maintain the reciprocal position of the files, the tool “Mesh Register” is used. At this stage, the STL meshes show superimposed areas that do not match. Thus, we save the registered files separately and export them to MeshMixer.
Figure 10.
Alignment of the two STL files.
- Step C: Creation of the Master Model
Using MeshMixer, it is possible to detect and delete superimposed areas not intended to be part of the master model (Figure 11). From the abutment scan, we retain the coronal and medial third of the prepared teeth, whereas from the scan of the provisional restoration, we use the sulcus and finish line data (Figure 12 and Figure 13). Using the MeshMixer “Join” tool, we fuse the data in the two original STL files into a single, merged file (Figure 14), representing the subgingival zone. The final step is to match this file to the direct scan of the abutment. Then we import the file into Exocad and substitute the abutments of the original scan with the new ones that include more precise information on the subgingival zone. This last step is performed using the “Multi-die” tool (Figure 15). This method generates a master model in Exocad (Figure 16). When modelling the definitive restoration, the dental technician should consider that the master scan of the abutments, derived from the provisional restoration, does not provide information on the luting agent’s thickness. The operator should add this space using CAD software.
Figure 11.
Selection of the zones in the intraoral digital impression that are important to maintain.
Figure 12.
Coronal and median thirds derived from the intraoral digital impression.
Figure 13.
Subgingival zone derived from the scan of the provisional restoration.
Figure 14.
Deriving a unified file from two separate parts.
Figure 15.
Substitution of the digital abutments on the master model.
Figure 16.
Modelling the zirconia crowns.
To further detail the workflow and to serve as a proof-of-concept clinical case, crowns were designed and milled from 1200 MPa zirconia blocks (Dental Direkt, Spenge, Germany). To test ex vivo the fitting of the zirconia crowns, a master model was printed using a Form 2 printer (Formlabs, Somerville, MA, USA), and the resin “Model” with accuracy on the z-axis set to 25 µm.
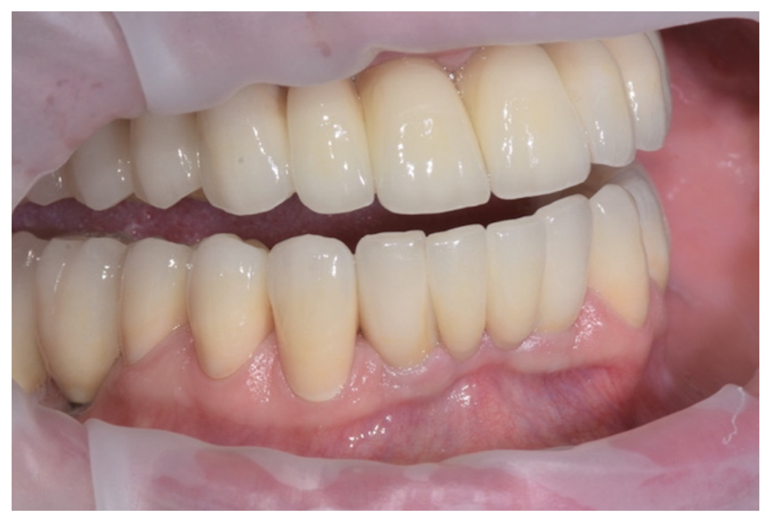
The crowns obtained were judged for clinical fit by a clinician (Figure 17). The rate of compression of sulcular tissues was good. A radiographic control taken after luting showed a proper fit (Figure 18).
Figure 17.
Crowns cemented.
Figure 18.
Radiographic control at the time of luting.
3. Discussion
Direct scanning of the provisional restoration, introduced by Agustín-Panadero et al., is limited to situations in which the clinician chooses to fabricate a crown with the exact finish line of the provisional prosthesis or more coronal. The method is limited by the need for the alignment of the STL files based on external landmarks, i.e., using the adjacent teeth as reference points to integrate the full arch, abutment, and provisional scan, so that the abutment is aligned using the outer surface of the provisional [8]. Conversely, the RSS method uses the abutment and the inverted scan of the provisional as matching surfaces.
The main limit of the RSS technique is its dependence on the quality of the provisional restoration, which must be very precise to obtain an adequate master model and a sulcular anatomy without distortion. In addition, this method is limited to cases in which the finish line of the final crown is at the same level or more coronal than that of the provisional. Further studies are needed to confirm the viability of the procedure in everyday clinical practice.
4. Conclusions
The RSS technique enables the accurate imaging of the gingival sulcus anatomy and the prepared tooth finish line without using retraction cords and/or conventional impression materials.
Author Contributions
Conceptualization, F.G. and F.Z.; methodology, F.Z. and M.M.; software, M.M; validation, G.M.M.; formal analysis, A.T.; resources, F.Z. and F.G.; writing—original draft preparation, M.M.; writing—review and editing, A.T.; visualization, supervision, G.M.M. All authors have read and agreed to the published version of the manuscript.
Funding
This research received no external funding.
Institutional Review Board Statement
Not applicable.
Informed Consent Statement
Written informed consent has been obtained from the patient to publish this paper.
Data Availability Statement
Not applicable.
Acknowledgments
The authors acknowledge the help of the following dental technicians and labs: Marco Genovese (Milano, Italy), Laboratorio Negri (Lecco, Italy), Salvatore Francesco Belvedere (Milano, Italy), Laboratorio Artitec (Osnago, Italy).
Conflicts of Interest
The authors have no conflict of interest to declare. They do not have any financial and personal relationships with other people or organizations that could inappropriately influence (bias) their work.
References
- Braian, M.; Wennerberg, A. Trueness and precision of 5 intraoral scanners for scanning edentulous and dentate complete-arch mandibular casts: A comparative in vitro study. J. Prosthet. Dent. 2019, 122, 129–136. [Google Scholar] [CrossRef] [PubMed] [Green Version]
- Winkler, J.; Gkantidis, N. Trueness and precision of intraoral scanners in the maxillary dental arch: An in vivo analysis. Sci. Rep. 2020, 10, 1172. [Google Scholar] [CrossRef] [PubMed] [Green Version]
- Nedelcu, R.; Olsson, P.; Nyström, I.; Thor, A. Finish line distinctness and accuracy in 7 intraoral scanners versus conventional impression: An in vitro descriptive comparison. BMC Oral Health 2018, 21, 27. [Google Scholar] [CrossRef] [PubMed]
- Mangano, F.; Gandolfi, A.; Luongo, G.; Logozzo, S. Intraoral scanners in dentistry: A review of the current literature. BMC Oral Health 2017, 17, 149. [Google Scholar] [CrossRef] [PubMed] [Green Version]
- Li, J.; Chen, Z.; Wang, M.; Wang, H.L.; Yu, H. Dynamic changes of peri-implant soft tissue after interim restoration removal during a digital intraoral scan. J. Prosthet. Dent. 2019, 122, 288–294. [Google Scholar] [CrossRef] [PubMed]
- Monaco, C.; Evangelisti, E.; Scotti, R.; Mignani, G.; Zucchelli, G. A fully digital approach to replicate peri-implant soft tissue contours and emergence profile in the esthetic zone. Clin. Oral Implants Res. 2016, 12, 1511–1514. [Google Scholar] [CrossRef] [PubMed]
- Mandelli, F.; Ferrini, F.; Gastaldi, G.; Gherlone, E.; Ferrari, M. Improvement of a Digital Impression with Conventional Materials: Overcoming Intraoral Scanner Limitations. Int. J. Prosthodont. 2017, 4, 373–376. [Google Scholar] [CrossRef] [PubMed] [Green Version]
- Agustín-Panadero, R.; Loi, I.; Fernández-Estevan, L.; Chust, C.; Rech-Ortega, C.; Pérez-Barquero, J.A. Digital protocol for creating a virtual gingiva adjacent to teeth with subgingival dental preparations. J. Prosthodont. Res. 2020, 64, 506–514. [Google Scholar] [CrossRef] [PubMed]
Publisher’s Note: MDPI stays neutral with regard to jurisdictional claims in published maps and institutional affiliations. |
© 2022 by the authors. Licensee MDPI, Basel, Switzerland. This article is an open access article distributed under the terms and conditions of the Creative Commons Attribution (CC BY) license (https://creativecommons.org/licenses/by/4.0/).

















