Medial Patellofemoral Ligament and Lateral Patellofemoral Ligament Reconstruction after Tibial Tuberosity Transposition in a Young Woman with Patellar Instability
Abstract
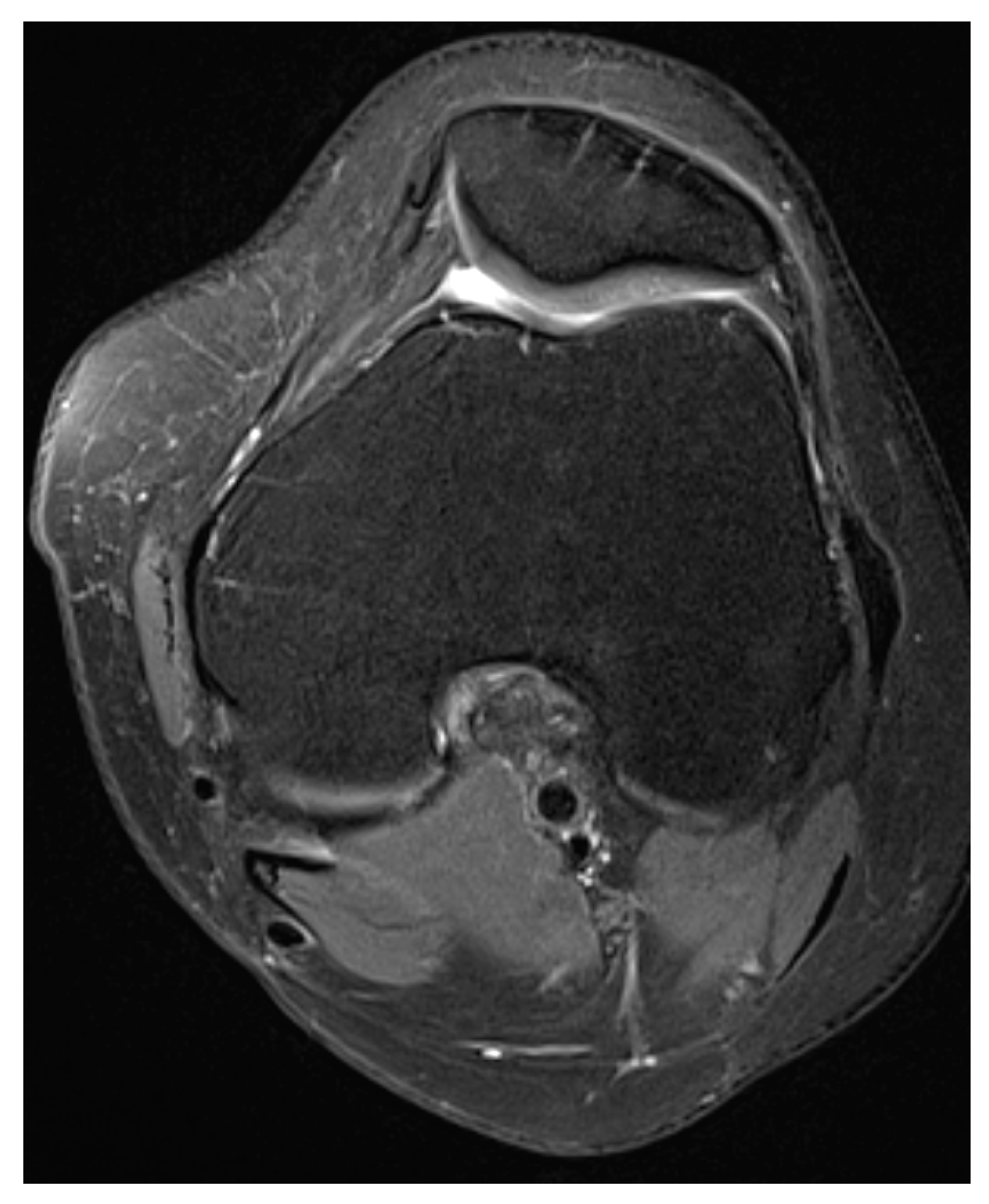
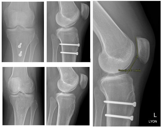
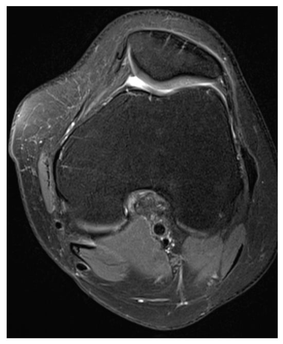
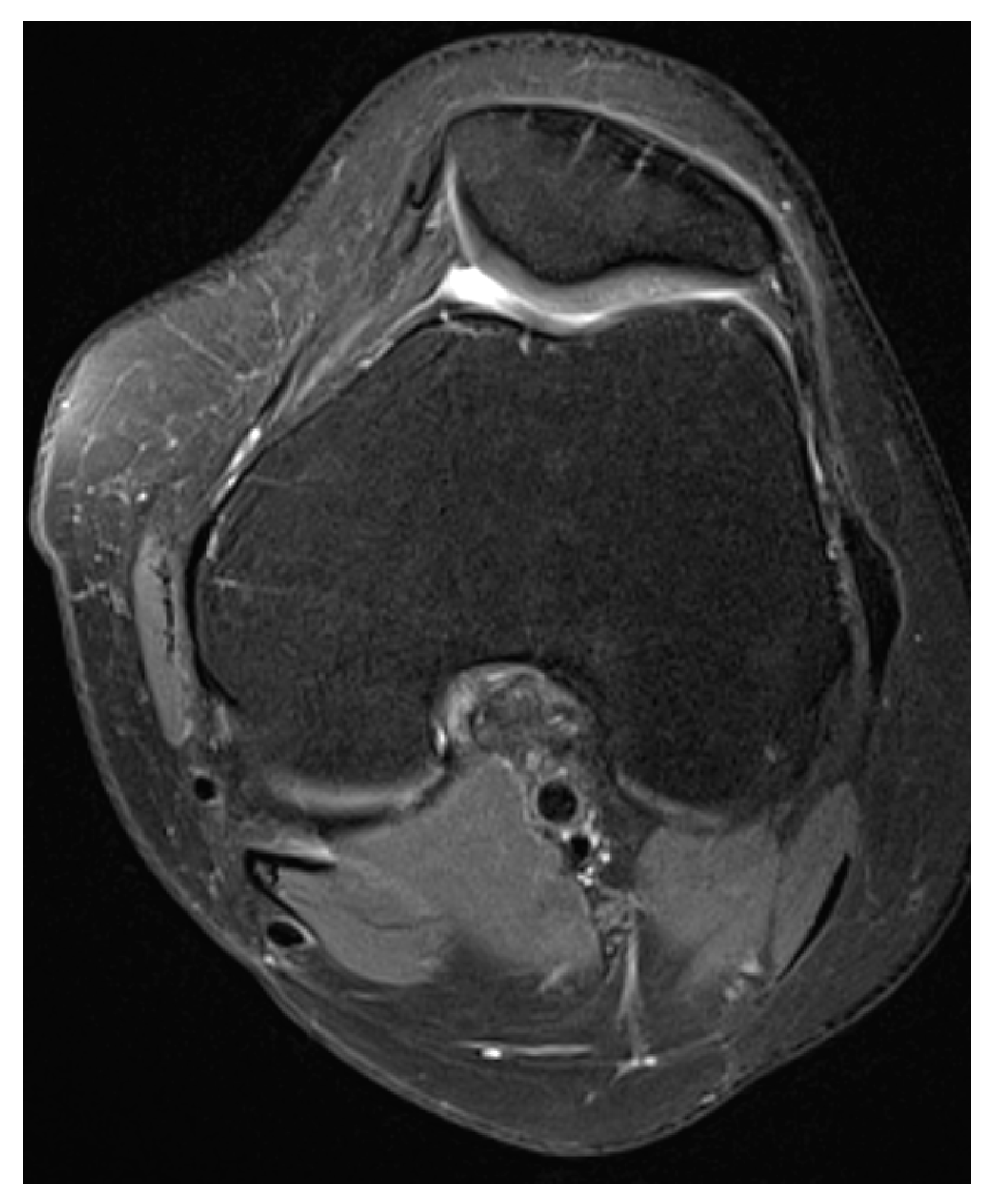
1. Introduction
2. Discussion
3. Conclusions
Author Contributions
Funding
Institutional Review Board Statement
Informed Consent Statement
Data Availability Statement
Conflicts of Interest
References
- Frosch, S.; Balcarek, P.; Walde, T.; Schüttrumpf, J.; Wachowski, M.; Ferleman, K.-G.; Stürmer, K.; Frosch, K.-H. The treatment of patellar dislocation: A systematic review. Z. Orthop. Unfall. 2011, 149, 630–645. [Google Scholar] [CrossRef]
- Desio, S.M.; Burks, R.T.; Bachus, K.N. Soft Tissue Restraints to Lateral Patellar Translation in the Human Knee. Am. J. Sports Med. 1998, 26, 59–65. [Google Scholar] [CrossRef] [PubMed]
- Casteleyn, P.P.; Handelberg, F. Arthroscopy in the diagnosis of occult dislocation of the patella. Acta Orthop. Belg. 1989, 55, 381–383. [Google Scholar] [PubMed]
- Cancienne, J.M.; Christian, D.R.; Redondo, M.L.; Huddleston, H.P.; Shewman, E.F.; Farr, J.; Cole, B.J.; Yanke, A.B. The Biomechanical Effects of Limited Lateral Retinacular and Capsular Release on Lateral Patellar Translation at Various Flexion Angles in Cadaveric Specimens. Arthrosc. Sports Med. Rehabil. 2019, 1, e137–e144. [Google Scholar] [CrossRef] [PubMed]
- Parvaresh, K.; Huddleston, H.P.; Yanke, A.B. Medial Patellofemoral Ligament Reconstruction with Concomitant Lateral Patellofemoral Reconstruction for Patellar Instability. Arthrosc. Tech. 2021, 10, e2099–e2106. [Google Scholar] [CrossRef] [PubMed]
- Williams, A.; Staroseletz, Y.; Zenkova, M.A.; Bichenkova, E.V. 85 Developing a new generation of peptidyl-oligonucleotide conjugates with desired biocatalytic properties against biologically relevant RNA. J. Biomol. Struct. Dyn. 2015, 33, 55–56. [Google Scholar] [CrossRef][Green Version]
- Lewallen, L.; McIntosh, A.; Dahm, D. First-Time Patellofemoral Dislocation: Risk Factors for Recurrent Instability. J. Knee Surg. 2015, 28, 303–310. [Google Scholar] [CrossRef] [PubMed]
- Lewallen, L.W.; McIntosh, A.L.; Dahm, D.L. Predictors of Recurrent Instability After Acute Patellofemoral Dislocation in Pediatric and Adolescent Patients. Am. J. Sports Med. 2013, 41, 575–581. [Google Scholar] [CrossRef]
- Palmu, S.; E Kallio, P.; Donell, S.T.; Helenius, I.; Nietosvaara, Y. Acute Patellar Dislocation in Children and Adolescents: A Randomized Clinical Trial. J. Bone Jt. Surg. Am. Vol. 2008, 90, 463–470. [Google Scholar] [CrossRef]
- McConnell, J. Rehabilitation and Nonoperative Treatment of Patellar Instability. Sports Med. Arthrosc. Rev. 2007, 15, 95–104. [Google Scholar] [CrossRef]
- Lee, S.-E.; Cho, S.-H. The effect of McConnell taping on vastus medialis and lateralis activity during squatting in adults with patellofemoral pain syndrome. J. Exerc. Rehabil. 2013, 9, 326–330. [Google Scholar] [CrossRef] [PubMed]
- Colvin, A.C.; West, R.V. Patellar Instability. J. Bone Jt. Surg. Am. Vol. 2008, 90, 2751–2762. [Google Scholar] [CrossRef] [PubMed]
- Khormaee, S.; Kramer, D.E.; Yen, Y.-M.; Heyworth, B.E. Evaluation and Management of Patellar Instability in Pediatric and Adolescent Athletes. Sports Health 2015, 7, 115–123. [Google Scholar] [CrossRef] [PubMed]
- Nietosvaara, Y.; Aalto, K.; Kallio, P.E. Acute Patellar Dislocation in Children: Incidence and Associated Osteochondral Fractures. J. Pediatr. Orthop. 1994, 14, 513–515. [Google Scholar] [CrossRef] [PubMed]
- Dall’Oca, C.; Elena, N.; Lunardelli, E.; Ulgelmo, M.; Magnan, B. MPFL reconstruction: Indications and results. Acta Biomed. 2020, 91, 128–135. [Google Scholar] [CrossRef]
- Astur, D.C.; Gouveia, G.B.; de Souza Borges, J.H.; Astur, N.; Arliani, G.G.; Kaleka, C.C.; Cohen, M. Medial Patellofemoral Ligament Reconstruction: A Longitudinal Study Comparison of 2 Techniques with 2 and 5-Years Follow-Up. Open Orthop. J. 2015, 9, 198–203. [Google Scholar] [CrossRef]
- Latt, L.D.; Fornalski, S.; Raiszadeh, K.; Inacio, M.C.; Fithian, D.C.; Csintalan, R.P. Medial Patellofemoral Ligament (MPFL) Reconstruction for the Treatment of Patellofemoral Instability. J. Knee Surg. 2014, 27, 139–146. [Google Scholar] [CrossRef]
- Biedert, R.M.; Albrecht, S. The patellotrochlear index: A new index for assessing patellar height. Knee Surg. Sports Traumatol. Arthrosc. 2006, 14, 707–712. [Google Scholar] [CrossRef]
- Hopper, G.P.; Leach, W.J.; Rooney, B.P.; Walker, C.R.; Blyth, M.J. Does Degree of Trochlear Dysplasia and Position of Femoral Tunnel Influence Outcome After Medial Patellofemoral Ligament Reconstruction? Am. J. Sports Med. 2014, 42, 716–722. [Google Scholar] [CrossRef]
- Kita, K.; Tanaka, Y.; Toritsuka, Y.; Amano, H.; Uchida, R.; Takao, R.; Horibe, S. Factors Affecting the Outcomes of Double-Bundle Medial Patellofemoral Ligament Reconstruction for Recurrent Patellar Dislocations Evaluated by Multivariate Analysis. Am. J. Sports Med. 2015, 43, 2988–2996. [Google Scholar] [CrossRef]
- Hinterwimmer, S.; Imhoff, A.B.; Minzlaff, P.; Saier, T.; Rosenstiel, N.; Hawe, W.; Feucht, M.J. Anatomical two-bundle medial patellofemoral ligament reconstruction with hardware-free patellar graft fixation: Technical note and preliminary results. Knee Surg. Sports Traumatol. Arthrosc. 2013, 21, 2147–2154. [Google Scholar] [CrossRef] [PubMed]
- Schiphouwer, L.; Rood, A.; Tigchelaar, S.; Koëter, S. Complications of medial patellofemoral ligament reconstruction using two transverse patellar tunnels. Knee Surg. Sports Traumatol. Arthrosc. 2017, 25, 245–250. [Google Scholar] [CrossRef]
- Shah, J.N.; Howard, J.S.; Flanigan, D.C.; Brophy, R.H.; Carey, J.L.; Lattermann, C. A Systematic Review of Complications and Failures Associated with Medial Patellofemoral Ligament Reconstruction for Recurrent Patellar Dislocation. Am. J. Sports Med. 2012, 40, 1916–1923. [Google Scholar] [CrossRef] [PubMed]
- An, V.V.; Sivakumar, B.S.; Phan, K.; A Fritsch, B.; Sher, D. Isolated versus combined medial patellofemoral ligament reconstruction for lateral instability of the patella. J. Orthop. Surg. 2019, 27, 2309499018820698. [Google Scholar] [CrossRef] [PubMed]
- Servien, E.; Verdonk, P.C.; Neyret, P. Tibial Tuberosity Transfer for Episodic Patellar Dislocation. Sports Med. Arthrosc. 2007, 15, 61–67. [Google Scholar] [CrossRef]
- Laidlaw, M.S.; Diduch, D.R. Current Concepts in the Management of Patellar Instability. Indian J. Orthop. 2017, 51, 493–504. [Google Scholar] [CrossRef]
- Migliorini, F.; Maffulli, N.; Eschweiler, J.; Quack, V.; Tingart, M.; Driessen, A. Lateral retinacular release combined with MPFL reconstruction for patellofemoral instability: A systematic review. Arch. Orthop. Trauma Surg. 2021, 141, 283–292. [Google Scholar] [CrossRef] [PubMed]
- Abdelrahman, T.; Moatshe, G.; Arendt, E.; Feller, J.; Getgood, A. Combined Medial Patellofemoral Ligament and Medial Patellotibial Ligament Reconstruction for Recurrent Lateral Patellar Dislocation in Flexion. Arthrosc. Tech. 2021, 10, e385–e395. [Google Scholar] [CrossRef]
- Fink, C.; Veselko, M.; Herbort, M.; Hoser, C. MPFL reconstruction using a quadriceps tendon graft. Knee 2014, 21, 1175–1179. [Google Scholar] [CrossRef]
- Schneider, D.K.; Grawe, B.; Magnussen, R.A.; Ceasar, A.; Parikh, S.N.; Wall, E.J.; Colosimo, A.J.; Kaeding, C.C.; Myer, G.D. Outcomes After Isolated Medial Patellofemoral Ligament Reconstruction for the Treatment of Recurrent Lateral Patellar Dislocations. Am. J. Sports Med. 2016, 44, 2993–3005. [Google Scholar] [CrossRef]
- Mountney, J.; Senavongse, W.; Amis, A.A.; Thomas, N.P. Tensile strength of the medial patellofemoral ligament before and after repair or reconstruction. J. Bone Jt. Surg. 2005, 87, 36–40. [Google Scholar] [CrossRef]
- Russo, F.; Doan, J.; Chase, D.C.; Farnsworth, C.L.; Pennock, A.T. Medial Patellofemoral Ligament Reconstruction: Fixation Technique Biomechanics. J. Knee Surg. 2016, 29, 303–309. [Google Scholar] [CrossRef]
- Beckert, M.; Crebs, D.; Nieto, M.; Gao, Y.; Albright, J. Lateral patellofemoral ligament reconstruction to restore functional capacity in patients previously undergoing lateral retinacular release. World J. Clin. Cases 2016, 4, 202–206. [Google Scholar] [CrossRef]
- Moatshe, G.; Cram, T.R.; Chahla, J.; Cinque, M.E.; Godin, J.A.; LaPrade, R.F. Medial Patellar Instability: Treatment and Outcomes. Orthop. J. Sports Med. 2017, 5, 2325967117699816. [Google Scholar] [CrossRef]
- Sanchis-Alfonso, V.; Montesinos-Berry, E.; Monllau, J.C.; Merchant, A.C. Results of Isolated Lateral Retinacular Reconstruction for Iatrogenic Medial Patellar Instability. Arthrosc. J. Arthrosc. Relat. Surg. 2015, 31, 422–427. [Google Scholar] [CrossRef] [PubMed]
- Steensen, R.N.; Dopirak, R.M.; Mcdonald, W.G. The Anatomy and Isometry of Themedial Patellofemoral Ligament. Am. J. Sports Med. 2004, 32, 1509–1513. [Google Scholar] [CrossRef] [PubMed]
- Schöttle, P.B.; Schmeling, A.; Rosenstiel, N.; Weiler, A. Radiographic Landmarks for Femoral Tunnel Placement in Medial Patellofemoral Ligament Reconstruction. Am. J. Sports Med. 2007, 35, 801–804. [Google Scholar] [CrossRef] [PubMed]
- Bollier, M.; Fulkerson, J.; Cosgarea, A.; Tanaka, M. Technical Failure of Medial Patellofemoral Ligament Reconstruction. Arthrosc. J. Arthrosc. Relat. Surg. 2011, 27, 1153–1159. [Google Scholar] [CrossRef] [PubMed]
- Merican, A.M.; Sanghavi, S.; Iranpour, F.; Amis, A.A. The structural properties of the lateral retinaculum and capsular complex of the knee. J. Biomech. 2009, 42, 2323–2329. [Google Scholar] [CrossRef]




| Disclaimer/Publisher’s Note: The statements, opinions and data contained in all publications are solely those of the individual author(s) and contributor(s) and not of MDPI and/or the editor(s). MDPI and/or the editor(s) disclaim responsibility for any injury to people or property resulting from any ideas, methods, instructions or products referred to in the content. | 
© 2024 by the authors. Licensee MDPI, Basel, Switzerland. This article is an open access article distributed under the terms and conditions of the Creative Commons Attribution (CC BY) license (https://creativecommons.org/licenses/by/4.0/).
Share and Cite
Merkač, J.; Sirše, M. Medial Patellofemoral Ligament and Lateral Patellofemoral Ligament Reconstruction after Tibial Tuberosity Transposition in a Young Woman with Patellar Instability. J 2024, 7, 94-102. https://doi.org/10.3390/j7010005
Merkač J, Sirše M. Medial Patellofemoral Ligament and Lateral Patellofemoral Ligament Reconstruction after Tibial Tuberosity Transposition in a Young Woman with Patellar Instability. J. 2024; 7(1):94-102. https://doi.org/10.3390/j7010005
Chicago/Turabian StyleMerkač, Jakob, and Mateja Sirše. 2024. "Medial Patellofemoral Ligament and Lateral Patellofemoral Ligament Reconstruction after Tibial Tuberosity Transposition in a Young Woman with Patellar Instability" J 7, no. 1: 94-102. https://doi.org/10.3390/j7010005
APA StyleMerkač, J., & Sirše, M. (2024). Medial Patellofemoral Ligament and Lateral Patellofemoral Ligament Reconstruction after Tibial Tuberosity Transposition in a Young Woman with Patellar Instability. J, 7(1), 94-102. https://doi.org/10.3390/j7010005
 
        



