Ιdiosyncratic Non-Cardiogenic Pulmonary Edema Following Acetazolamide Administration: A Case Report and Review of Pathogenic Mechanisms
Abstract
1. Introduction and Clinical Significance
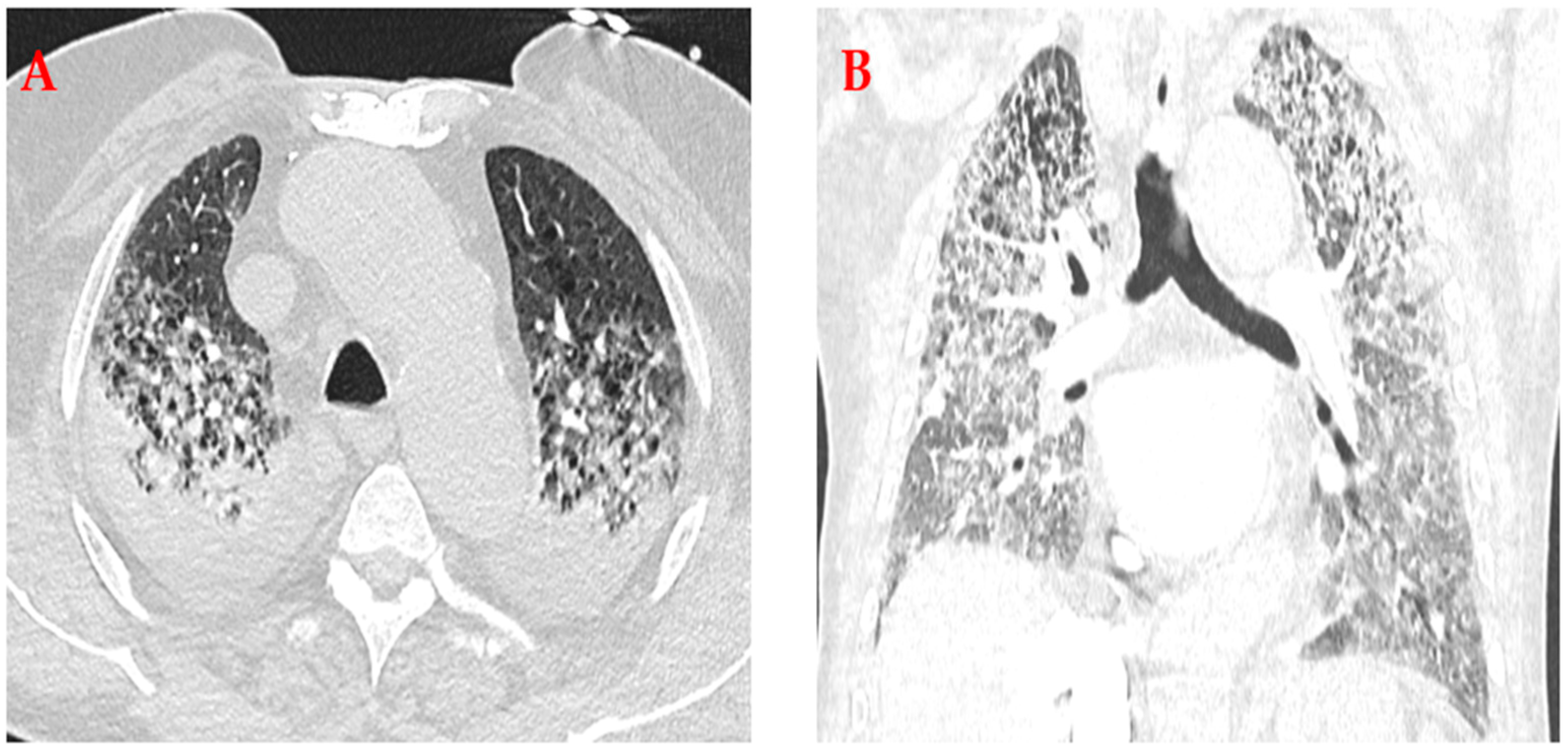
2. Case Presentation
3. Discussion
4. Conclusions
Author Contributions
Funding
Institutional Review Board Statement
Informed Consent Statement
Data Availability Statement
Conflicts of Interest
Abbreviations
| NCPE | Non-cardiogenic pulmonary edema |
| IOP | Intraocular pressure |
| ICU | Intensive Care Unit |
| SpO2 | peripheral oxygen saturation |
| LV | Left ventricular |
| CT | Computed tomography |
| VAP | Ventilator-associated pneumonia |
| ARDS | Acute respiratory distress syndrome |
| PaO2 | Partial pressure of oxygen |
| FiO2 | Fraction of inspired oxygen |
| CTPA | Computed tomography pulmonary angiography |
| GFR | Glomerular filtration rate |
| IgE | Immunoglobulin E |
| DIPPD | Drug-induced pulmonary parenchymal disease |
References
- Gulati, S.; Aref, A.A. Oral Acetazolamide for Intraocular Pressure Lowering: Balancing Efficacy and Safety in Ophthalmic Practice. Expert. Rev. Clin. Pharmacol. 2021, 14, 955–961. [Google Scholar] [CrossRef] [PubMed]
- Popovic, M.M.; Schlenker, M.B.; Thiruchelvam, D.; Redelmeier, D.A. Serious Adverse Events of Oral and Topical Carbonic Anhydrase Inhibitors. JAMA Ophthalmol. 2022, 140, 235–242. [Google Scholar] [CrossRef] [PubMed]
- Schmickl, C.N.; Owens, R.L.; Orr, J.E.; Edwards, B.A.; Malhotra, A. Side Effects of Acetazolamide: A Systematic Review and Meta-Analysis Assessing Overall Risk and Dose Dependence. BMJ Open Respir. Res. 2020, 7, e000557. [Google Scholar] [CrossRef]
- Naser, N.; Shehabi, S.; Maki, K. Non-Cardiogenic Pulmonary Oedema Provoked by Acetazolamide. Respirol. Case Rep. 2025, 13, e70118. [Google Scholar] [CrossRef]
- Schwartz, A.H.; Sieminski, S. Acetazolamide Induced Noncardiogenic Pulmonary Edema, an Underreported Serious Adverse Event. Am. J. Ophthalmol. Case Rep. 2023, 30, 101827. [Google Scholar] [CrossRef]
- Vogiatzis, I.; Koulouris, E.; Sidiropoulos, A.; Giannakoulas, C. Acute Pulmonary Edema after a Single Oral Dose of Acetazolamide. Hippokratia 2013, 17, 177–179. [Google Scholar] [PubMed]
- Ono, Y.; Morifusa, M.; Ikeda, S.; Kunishige, C.; Tohma, Y. A Case of Non-Cardiogenic Pulmonary Edema Provoked by Intravenous Acetazolamide. Acute Med. Surg. 2017, 4, 349–352. [Google Scholar] [CrossRef]
- Ingbar, D.H. Cardiogenic Pulmonary Edema: Mechanisms and Treatment—An Intensivist’s View. Curr. Opin. Crit. Care 2019, 25, 371–378. [Google Scholar] [CrossRef]
- Kratz, A.; Kornhauser, T.; Walter, E.; Abuhasira, R.; Goldberg, I.; Hadad, A. Effect of Acetazolamide on Intraocular Pressure After Uneventful Phacoemulsification Using an Anterior Chamber Maintainer. Vision 2025, 9, 73. [Google Scholar] [CrossRef]
- Peralta, J.; Abelairas, J.; Fernández-Guardiola, J. Anaphylactic Shock and Death after Oral Intake of Acetazolamide. Am. J. Ophthalmol. 1992, 114, 367. [Google Scholar] [CrossRef]
- Tzanakis, N.; Metzidaki, G.; Thermos, K.; Spyraki, C.H.; Bouros, D. Anaphylactic Shock after a Single Oral Intake of Acetazolamide. Br. J. Ophthalmol. 1998, 82, 588. [Google Scholar] [CrossRef]
- Gallerani, M.; Manzoli, N.; Fellin, R.; Simonato, M.; Orzincolo, C. Anaphylactic Shock and Acute Pulmonary Edema after a Single Oral Dose of Acetazolamide. Am. J. Emerg. Med. 2002, 20, 371–372. [Google Scholar] [CrossRef]
- Zimmermann, S.; Achenbach, S.; Wolf, M.; Janka, R.; Marwan, M.; Mahler, V. Recurrent Shock and Pulmonary Edema Due to Acetazolamide Medication after Cataract Surgery. Heart Lung 2014, 43, 124–126. [Google Scholar] [CrossRef] [PubMed]
- Yilmaz, S.G.; Palamar, M.; Gurgun, C. Acute Pulmonary Oedema Due to Single Dose Acetazolamide Taken after Cataract Surgery. Case Rep. 2016, 2016, bcr2016214829. [Google Scholar] [CrossRef]
- Giles, A.; Foushee, J.; Lantz, E.; Gumina, G. Sulfonamide Allergies. Pharmacy 2019, 7, 132. [Google Scholar] [CrossRef]
- Johnson, K.K.; Green, D.L.; Rife, J.P.; Limon, L. Sulfonamide Cross-Reactivity: Fact or Fiction? Ann. Pharmacother. 2005, 39, 290–301. [Google Scholar] [CrossRef]
- Darwish, O.S.; Criley, J. Hydrochlorothiazide-Induced Noncardiogenic Pulmonary Edema: BAL Fluid Analysis. Chest 2011, 139, 193–194. [Google Scholar] [CrossRef]
- Aluthge, P.; Gunasena, P.; Hapuarachchi, T.; Rajapaksha, S.; Gunawardana, K.; Gunathilake, S.; Ekanayake, U.; Alvis, K. Cardiogenic vs. Non-Cardiogenic Pulmonary Edema: Diagnostic and Therapeutic Approaches; Uva Clinical Intensive Care: Charlottesville, VA, USA, 2024. [Google Scholar]
- Gonzales, J.; Verin, A.; Gonzales, J.; Verin, A. Non-Cardiogenic Pulmonary Edema. In Lung Diseases—Selected State of the Art Reviews; IntechOpen: London, UK, 2012. [Google Scholar][Green Version]
- Prasad, R.; Gupta, P.; Singh, A.; Goel, N. Drug Induced Pulmonary Parenchymal Disease. Drug Discov. Ther. 2014, 8, 232–237. [Google Scholar] [CrossRef] [PubMed]
- Bridi, G.d.P.; Fonseca, E.K.U.N.; Kairalla, R.A.; Amaral, A.F.; Baldi, B.G. Drug-Induced Lung Disease: A Narrative Review. J. Bras. Pneumol. 2024, 50, e20240110. [Google Scholar] [CrossRef]
- Skeoch, S.; Weatherley, N.; Swift, A.; Oldroyd, A.; Johns, C.; Hayton, C.; Giollo, A.; Wild, J.; Waterton, J.; Buch, M.; et al. Drug Induced Interstitial Lung Disease: A Systematic Review. Eur. Respir. J. 2018, 52, PA2244. [Google Scholar] [CrossRef]
- García, M.; Albizua Madariaga, I.; Sainz-Gil, M.; Lertxundi, U. Acetazolamide-Induced Pulmonary Oedema: A Disproportionality Analysis from the EudraVigilance Database. Br. J. Clin. Pharmacol. 2024, 90, 1751–1755. [Google Scholar] [CrossRef] [PubMed]

| Parameter | Result | Reference Range | Unit |
|---|---|---|---|
| White blood cell count | 9.04 | 4.0–11.0 | ×109/L |
| Neutrophil count | 7 | 1.7–7.5 | ×109/L |
| Lymphocyte count | 1.26 | 1.0–4.5 | ×109/L |
| Monocyte count | 0.81 | 0.2–0.8 | ×109/L |
| Eosinophil count | 0.0 | 0.0–0.4 | ×109/L |
| Basophil count | 0.0 | 0.0–0.1 | ×109/L |
| Haemoglobin | 11 | 14–18 | g/dL |
| Red blood cell count | 3.8 | 4.20–6.30 | ×1012/L |
| Haematocrit | 34.4 | 40.0–52.0 | % |
| Mean cell volume | 91.5 | 80–100 | fL |
| Mean cell haemoglobin | 28.6 | 27.0–33.0 | Pg |
| Red cell distribution width | 14.7 | 11.5–14.5 | % |
| Platelet count | 164 | 150–450 | ×109/L |
| Prothrombin time | 15.9 | 10.0–14.0 | Sec |
| Activated partial thromboplastin time | 47.7 | 22.0–35.0 | Sec |
| Clauss fibrinogen level | 4.5 | 2.0–4.0 | μg/mL |
| D-dimer | 0.3 | 0–0.5 | μg/mL |
| High sensitivity troponin T | 11 | <58 | pg/mL |
| BNP | 96 | H < 100 | pg/mL |
| Total bilirubin | 0.38 | <1.20 | mg/dL |
| Total protein | 4.97 | 6.40–8.30 | g/dL |
| Albumin | 2.55 | 3.50–5.20 | g/dL |
| Globulin | 2.42 | 1.90–3.70 | g/dL |
| Alkaline phosphatase | 91 | 40–130 | U/L |
| Alanine transaminase | 11 | <41 | U/L |
| C-reactive protein | 3.3 | <0.5 | mg/dL |
| Procalcitonin | 0.47 | <0.5 | ng/mL |
| Presepsin | 303 | <314 | pg/mL |
| Urea | 97 | 17–49 | mg/dL |
| Creatinine | 1.5 | 0.7–1.2 | mg/dL |
| Estimated GFR | 47 | >90 | mL/min/1.73 m2 |
| Sodium | 145 | 133–146 | mmol/L |
| Potassium | 4.38 | 3.5–5.3 | mmol/L |
| Ref. | Date | Sex | Age | Acetazolamide Indication | Comorbidities | Acetazolamide Dosage | Onset to Symptoms | ICU Admission | Possible Underlying Mechanism | Outcome |
|---|---|---|---|---|---|---|---|---|---|---|
| [4] | 2025 | M | 61 | Vitrectomy | Unknown | 250 mg PO | 25 min | Yes | NCPE; increased capillary permeability | Discharged |
| [5] | 2023 | F | 59 | Cataract surgery | Anemia, Hypertension, Dyslipidemia, Diabetes mellitus type 2, COVID-19 infection | 250 mg PO | 30 min | Yes | NCPE; increased capillary permeability | Discharged |
| [7] | 2017 | M | 61 | Metabolic Acidosis | Cardiomyopathy, Chest wall instability | 500 mg IV | 1 h | Yes | NCPE; Drug-induced pulmonary capillary leak; acute inflammatory cascade | Discharged |
| [14] | 2016 | M | 81 | Cataract surgery | Chronic renal insufficiency | 250 mg PO | 45 min | Likely | Cardiogenic pulmonary edema | Discharged |
| [13] | 2014 | M | 76 | Cataract surgery | Hypertension | 250 mg PO | 30 min | Yes | NCPE; increased vascular permeability | Discharged |
| [6] | 2013 | F | 80 | Cataract surgery | Hypertension, Diabetes mellitus type 2, Obesity, Dyslipidemia, Hypothyroidism | 250 mg PO | 30 min | Yes | Possible hypersensitivity reaction | Discharged |
| [12] | 2002 | F | 79 | Cataract surgery | Hypertension | 250 mg PO | 20 min | Yes | Possible hypersensitivity reaction; NCPE could not be definitively excluded | Discharged |
| [11] | 1998 | M | 70 | Cataract surgery | Not provided | 250 mg PO | 30 min | Unknown | Presumed sulfonamide hypersensitivity reaction | Discharged |
| [10] | 1992 | F | 66 | Glaucoma | Not provided | Not provided | Not provided | Yes | Fulminant anaphylactoid reaction with laryngeal edema; airway compromise | Deceased |
Disclaimer/Publisher’s Note: The statements, opinions and data contained in all publications are solely those of the individual author(s) and contributor(s) and not of MDPI and/or the editor(s). MDPI and/or the editor(s) disclaim responsibility for any injury to people or property resulting from any ideas, methods, instructions or products referred to in the content. |
© 2026 by the authors. Licensee MDPI, Basel, Switzerland. This article is an open access article distributed under the terms and conditions of the Creative Commons Attribution (CC BY) license.
Share and Cite
Peristeri, A.-M.; Ampatzidou, F.; Mouskeftara, I.-M.; Akritidou, O.; Tsangaleas, A.; Theocharidou, C.C.; Lavrentieva, A. Ιdiosyncratic Non-Cardiogenic Pulmonary Edema Following Acetazolamide Administration: A Case Report and Review of Pathogenic Mechanisms. Reports 2026, 9, 107. https://doi.org/10.3390/reports9020107
Peristeri A-M, Ampatzidou F, Mouskeftara I-M, Akritidou O, Tsangaleas A, Theocharidou CC, Lavrentieva A. Ιdiosyncratic Non-Cardiogenic Pulmonary Edema Following Acetazolamide Administration: A Case Report and Review of Pathogenic Mechanisms. Reports. 2026; 9(2):107. https://doi.org/10.3390/reports9020107
Chicago/Turabian StylePeristeri, Athanasia-Marina, Fotini Ampatzidou, Ioanna-Maria Mouskeftara, Olympia Akritidou, Anastasios Tsangaleas, Christina Chrysanthi Theocharidou, and Athina Lavrentieva. 2026. "Ιdiosyncratic Non-Cardiogenic Pulmonary Edema Following Acetazolamide Administration: A Case Report and Review of Pathogenic Mechanisms" Reports 9, no. 2: 107. https://doi.org/10.3390/reports9020107
APA StylePeristeri, A.-M., Ampatzidou, F., Mouskeftara, I.-M., Akritidou, O., Tsangaleas, A., Theocharidou, C. C., & Lavrentieva, A. (2026). Ιdiosyncratic Non-Cardiogenic Pulmonary Edema Following Acetazolamide Administration: A Case Report and Review of Pathogenic Mechanisms. Reports, 9(2), 107. https://doi.org/10.3390/reports9020107

