Aggressive Burkitt Lymphoma Mimicking Acute Pancreatitis: A Case Report
Abstract
1. Introduction and Clinical Significance
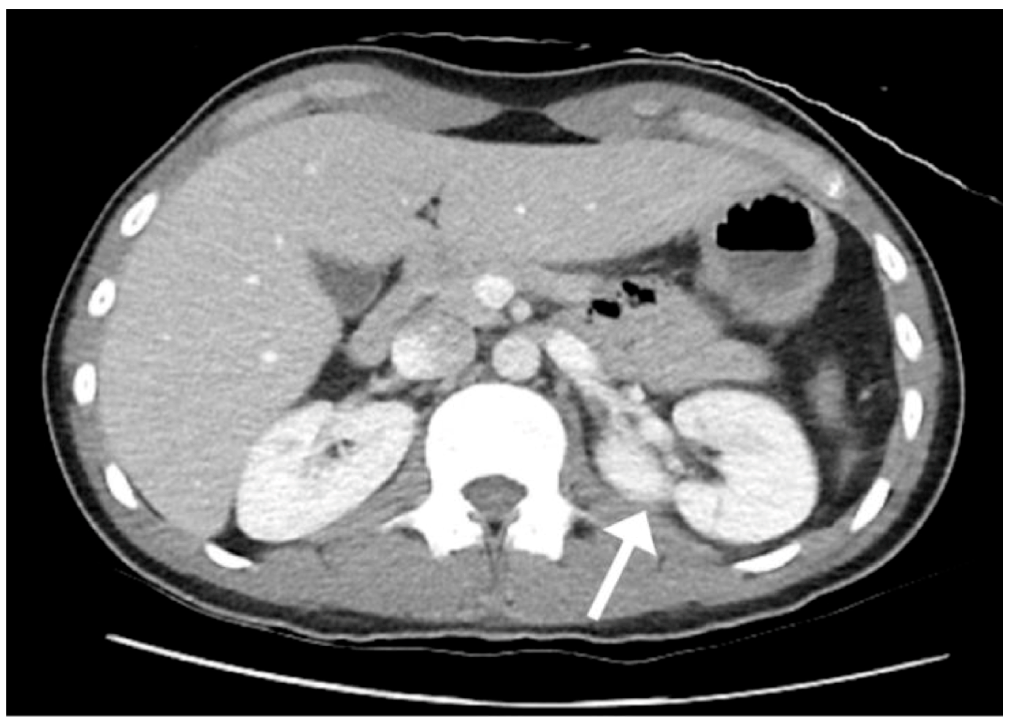
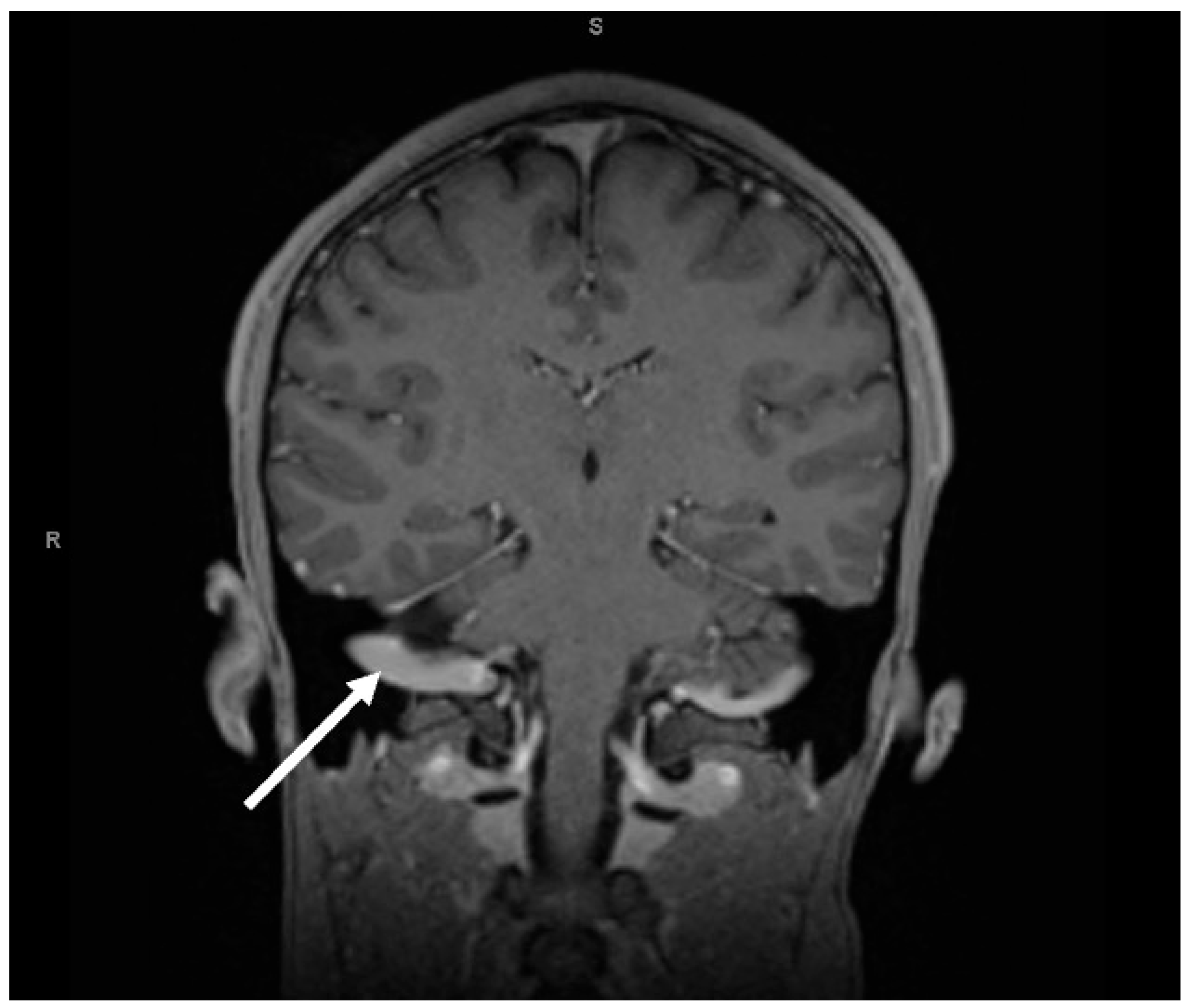
2. Case Presentation
3. Discussion
4. Conclusions
5. Patient Perspective
“The symptoms felt like a combination of illnesses; exhaustion that couldn’t be satisfied with sleep, sporadic numbness, loss of appetite, constant nausea and vomiting, abdominal pain, and weight loss. Of course, with the chemotherapy, I lost even more weight and grew even more exhausted, but the overall pain slowly left. Common side effects (nausea) were also present. After treatment, aside from related complications, I had a swift recovery. Two months after my final discharge, I was able to return to work. A total of six months completely reversed all symptoms I had prior to treatment. Two years after everything happened, I’m as close to 100% as I can be. I’m back to exercising just the same and working just as hard.”
Author Contributions
Funding
Institutional Review Board Statement
Informed Consent Statement
Data Availability Statement
Conflicts of Interest
Abbreviations
| BL | Burkitt lymphoma |
| CNS | Central nervous system |
| CT | Computed Tomography |
| EBV | Epstein–Barr virus |
| EGD | Esophagogastroduodenoscopy |
| EUS | Endoscopy ultrasonography |
| HIV | Human Immunodeficiency Virus |
| LDH | Lactate dehydrogenase |
| MRI | Magnetic Resonance Imaging |
| PET | Positron Emission Tomography |
| WHO | World Health Organization |
References
- de Armas-Castellano, A.; Infante-Ventura, D.; Del Pino-Sedeño, T.; Hernández, Y.G.; Quiros, R.; León-Salas, B.; Ribrag, V.; Trujillo-Martín, M.M.; ERN EuroBlood Working Group. Prognostic Factors for Survival in Adults With Burkitt Lymphoma: A Systematic Review. Cancer Med. 2025, 14, e70513. [Google Scholar] [CrossRef] [PubMed]
- Kalisz, K.; Alessandrino, F.; Beck, R.; Smith, D.; Kikano, E.; Ramaiya, N.H.; Tirumani, S.H. An update on Burkitt lymphoma: A review of pathogenesis and multimodality imaging assessment of disease presentation, treatment response, and recurrence. Insights Imaging 2019, 10, 56. [Google Scholar] [CrossRef] [PubMed]
- Siddiqui, S.H.; Thakral, B.; Aakash, F.; Ok, C.Y.; Tang, Z.; Medeiros, L.J. From the archives of MD Anderson Cancer Center: Sporadic Burkitt lymphoma with a complex karyotype and SOX11 expression. Ann. Diagn. Pathol. 2023, 66, 152182. [Google Scholar] [CrossRef] [PubMed]
- Francis, I.R.; Glazer, G.M. Case report. Burkitt’s lymphoma of the pancreas presenting as acute pancreatitis. J. Comput. Assist. Tomogr. 1982, 6, 395–397. [Google Scholar] [CrossRef] [PubMed]
- Sainz, A.J.; Encinar, J.C.B.; García-Herola, A.; Parreño, L.D.T. Acute pancreatitis as the first manifestation of pancreatic Burkitt’s lymphoma in a patient infected by the human immunodeficiency virus. Am. J. Med. 2001, 110, 744. [Google Scholar] [CrossRef] [PubMed]
- Novoselac, A.V.; Katz, R.J.; Lessen, D.S.; Yudelman, I. Burkitt’s lymphoma arising in the pancreas. J. Clin. Oncol. 2005, 23, 6740. [Google Scholar] [CrossRef]
- Chang, S.; Casey, L.; Joshi, V. Pancreatic Burkitt’s Lymphoma Presenting as Recurrent Acute Pancreatitis in an HIV Patient: Early Diagnosis Using EUS/FNA: 772. Off. J. Am. Coll. Gastroenterol. ACG 2008, 103, S304. [Google Scholar] [CrossRef]
- Bacchi, L.M.; Ucella, I.; Amancio, T.T.; Gonçalves, M.d.C.; Palhares, R.B.; Siqueira, S.A.C. Burkitt lymphoma mimicking acute pancreatitis. Autops. Case Rep. 2012, 2, 5–11. [Google Scholar] [CrossRef] [PubMed]
- Nakaji, S.; Hirata, N.; Yoshimura, S.; Shiratori, T.; Kobayashi, M.; Ishii, E.; Matsue, K. A case of primary pancreatic Burkitt’s lymphoma diagnosed by EUS-guided FNA. Gastrointest. Endosc. 2013, 77, 958–959. [Google Scholar] [CrossRef] [PubMed]
- Carbonetti, F.; Iannicelli, E.; Federici, M.; Bucciarelli, A.; Pilozzi, E.; Conte, E.; David, V. Primary pancreatic Burkitt lymphoma presenting as acute pancreatitis. J. Gastrointest. Cancer 2014, 45, 265–269. [Google Scholar] [CrossRef] [PubMed]
- Rwegerera, G.M.; Rivera, Y.P.; Zhou, F.; Chobanga, K.J.; Sesay, S.O. Disseminated Burkitt’s Lymphoma with a Pancreatic Mass in a HIV Positive Woman Diagnosed by Axillary Lymph Node Biopsy. J. Clin. Diagn. Res. 2017, 11, OD14–OD16. [Google Scholar] [CrossRef] [PubMed]
- Konjeti, V.R.; Hefferman, G.M.; Paluri, S.; Ganjoo, P. Primary Pancreatic Burkitt’s Lymphoma: A Case Report and Review of the Literature. Case Rep. Gastrointest. Med. 2018, 2018, 5952315. [Google Scholar] [CrossRef] [PubMed]
- O’Connor, O.J.; McWilliams, S.; Maher, M.M. Imaging of acute pancreatitis. AJR Am. J. Roentgenol. 2011, 197, W221–W225. [Google Scholar] [CrossRef] [PubMed]
- Kasamon, Y.L.; Swinnen, L.J. Treatment advances in adult Burkitt lymphoma and leukemia. Curr. Opin. Oncol. 2004, 16, 429. [Google Scholar] [CrossRef] [PubMed]
- Blum, K.A.; Lozanski, G.; Byrd, J.C. Adult Burkitt leukemia and lymphoma. Blood 2004, 104, 3009–3020. [Google Scholar] [CrossRef] [PubMed]
- Ribrag, V.; Bron, D.; Rymkiewicz, G.; Hoelzer, D.; Jørgensen, J.; de Armas-Castellano, A.; Trujillo-Martín, M.; Fenaux, P.; Malcovati, L.; Bolaños, N.; et al. Diagnosis and treatment of Burkitt lymphoma in adults: Clinical practice guidelines from ERN-EuroBloodNet. Lancet Haematol. 2025, 12, e138–e150. [Google Scholar] [CrossRef] [PubMed]






| Year | Author | Age/Sex | HIV/EBV | Lipase (U/L) | Imaging Findings | IHC | CNS | Treatment | Outcome | |
|---|---|---|---|---|---|---|---|---|---|---|
| 1 | 1982 | Francis [4] | 59/F | U/U | High | Enlarged pancreas | U | NI | U | U |
| 2 | 2001 | Sainz [5] | 32/M | +/U | 184 | Retroperitoneal masses surrounding the peripancreatic tissue | U | NI | U | U |
| 3 | 2005 | Novoselac [6] | 84/M | U/U | U | Pancreatic head mass, biliary ductal dilation | CD20+, C10+, CD5- | NI | U | U |
| 4 | 2008 | Chang [7] | 34/F | +/U | 1172 | Interstitial pancreatitis | t (8; 14) (q24; q32) | NI | U | U |
| 5 | 2012 | Bacchi [8] | 76/M | -/- | 136 | Enlarged pancreas with infiltrative tissue | CD20+, C10+; Ki-67 100%. CD2- | NI | None | Died 1 h after biopsy |
| 6 | 2013 | Nakaji [9] | 86/M | U/- | U | Pancreatic head mass | CD20+, CD10+; Ki-67 ~100%. t (8; 14) (q24; q32) | NI | U | U |
| 7 | 2014 | Carbonetti [10] | 64/F | -/- | 6872 | Enlarged pancreatic head and peripancreatic lymph nodes | CD20+, C10+; Ki-67 > 90%. t (8; 14) | NI | Prednisolone, vincristine, daunorubicin, L-asparaginase, methotrexate | Died at 7 months |
| 8 | 2017 | Rwegerera [11] | 22/F | +/+ | U | Enlarged pancreas and peri-pancreatic lymph nodes, pancreatic head mass | CD10+, CD20+; Ki-67 100%. Bcl-6-, Bcl-2-, CD3-, MUM1- | NI | None | Died day 12 of admission |
| 9 | 2018 | Konjeti [12] | 68/F | U/U | U | Periportal hepatic vs. pancreatic mass | CD20+, C10+. Bcl-6+. Ki-67 > 95%. | I | Etoposide, prednisone, vincristine, doxorubicin | Died after 2 cycles of chemotherapy |
| 10 | 2026 | Present case | 23/M | -/- | 402 | Retroperitoneal mass encasing the pancreas, pancreatic head mass | CD10+, CD19+, CD20+. Ki-67 ~100%. c-Myc rearrangement. Bcl-2-, Bcl-6- by FISH. | I | Rituximab, cyclophosphamide, doxorubicin, vincristine, methotrexate, iphosphamide, etoposide, cytarabine | Complete response/Alive at 2-year follow-up |
Disclaimer/Publisher’s Note: The statements, opinions and data contained in all publications are solely those of the individual author(s) and contributor(s) and not of MDPI and/or the editor(s). MDPI and/or the editor(s) disclaim responsibility for any injury to people or property resulting from any ideas, methods, instructions or products referred to in the content. |
© 2026 by the authors. Licensee MDPI, Basel, Switzerland. This article is an open access article distributed under the terms and conditions of the Creative Commons Attribution (CC BY) license.
Share and Cite
Sequeira, N.; Hagen, R.; Ramasamy, C.; Satheeshkumar, P.; Meleveedu, K. Aggressive Burkitt Lymphoma Mimicking Acute Pancreatitis: A Case Report. Reports 2026, 9, 103. https://doi.org/10.3390/reports9020103
Sequeira N, Hagen R, Ramasamy C, Satheeshkumar P, Meleveedu K. Aggressive Burkitt Lymphoma Mimicking Acute Pancreatitis: A Case Report. Reports. 2026; 9(2):103. https://doi.org/10.3390/reports9020103
Chicago/Turabian StyleSequeira, Nicole, Rachael Hagen, Chidambaram Ramasamy, Poolakkad Satheeshkumar, and Kapil Meleveedu. 2026. "Aggressive Burkitt Lymphoma Mimicking Acute Pancreatitis: A Case Report" Reports 9, no. 2: 103. https://doi.org/10.3390/reports9020103
APA StyleSequeira, N., Hagen, R., Ramasamy, C., Satheeshkumar, P., & Meleveedu, K. (2026). Aggressive Burkitt Lymphoma Mimicking Acute Pancreatitis: A Case Report. Reports, 9(2), 103. https://doi.org/10.3390/reports9020103

