Idiopathic Hypertrophic Pachymeningitis with Elevated Anti-Thyroglobulin Antibodies—A Case Report
Abstract
1. Introduction and Clinical Significance
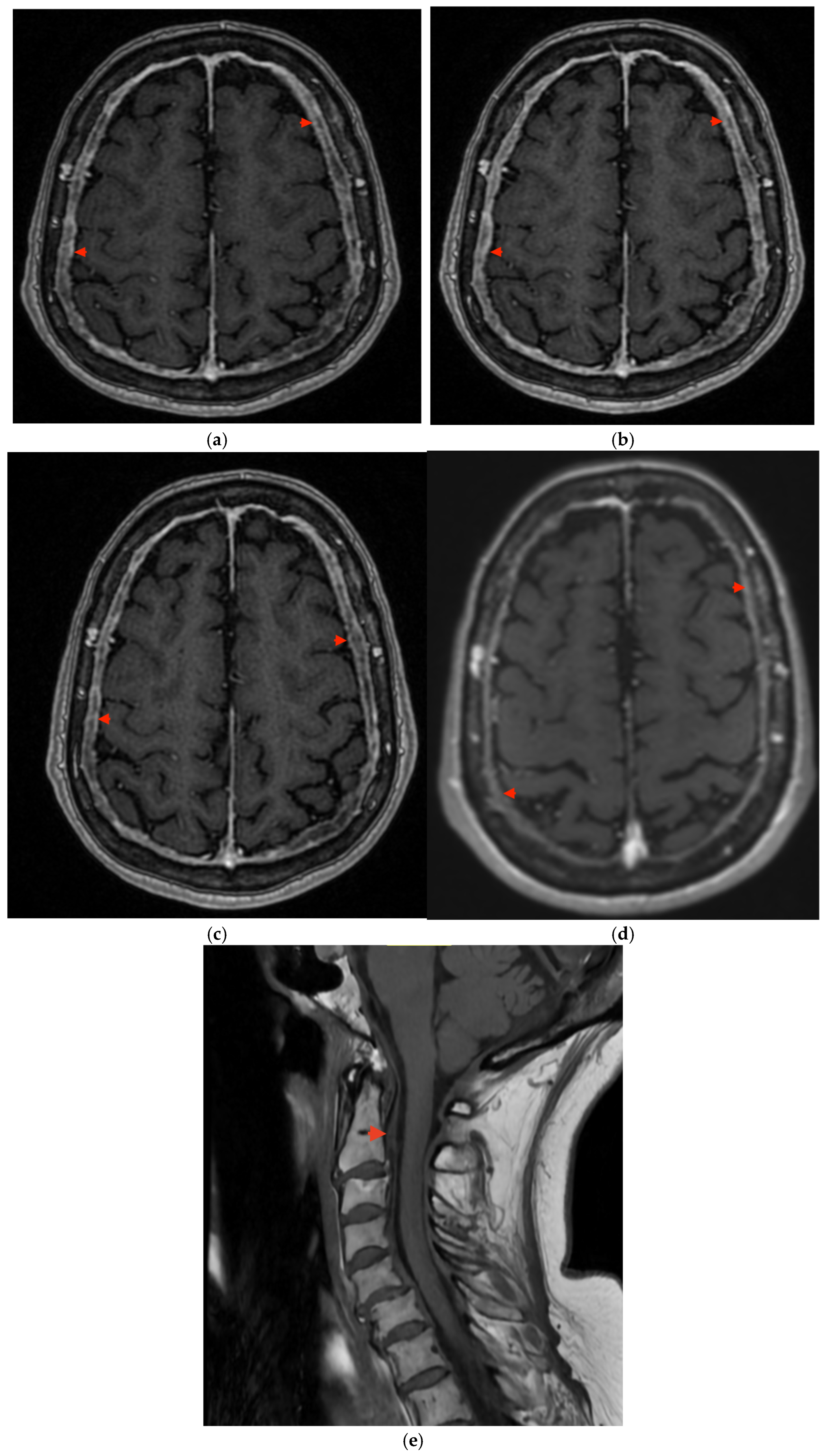
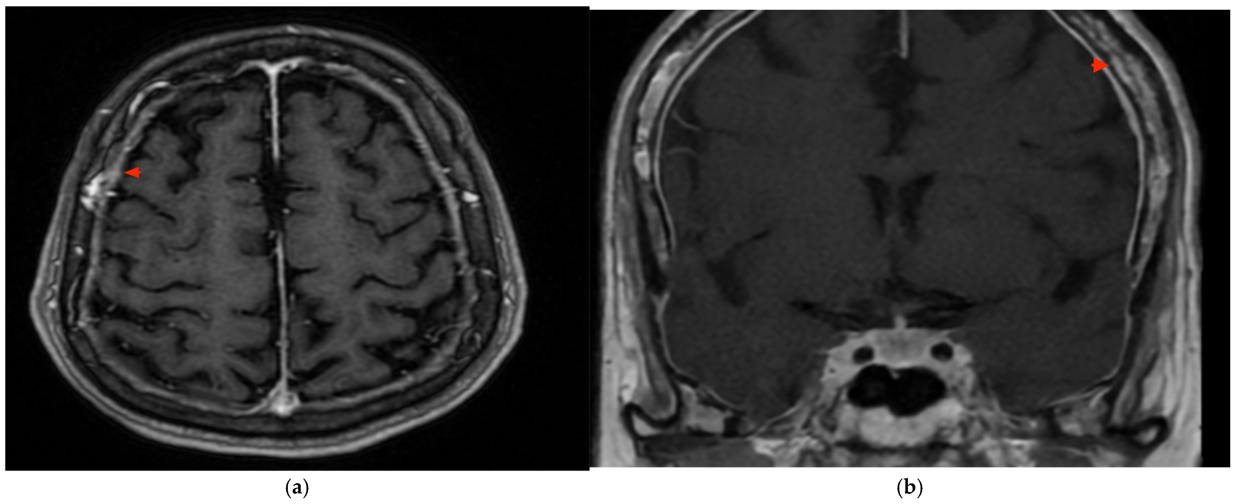
2. Case Presentation
- Inflammatory and autoimmune diseases: systemic connective tissue disorders, immune-related coagulopathies (including rheumatoid factor (RF), lupus anticoagulant, anti-cyclic citrullinated peptide antibodies (anti-CCP), antinuclear antibodies (ANA), anti-double-stranded DNA (anti-dsDNA), COMBI panel—AMA, ASMA, LKM, and anti-neutrophil cytoplasmic antibodies (pANCA, cANCA);
- Metabolic and deficiency disorders: calcium-phosphate metabolism, alkaline phosphatase, vitamin D, vitamin B12, folic acid, kappa and lambda light chains;
- Infectious diseases: viral, bacterial and neuroinfectious causes: including testing for syphilis, tuberculosis, hepatitis B and C, Human Immunodeficiency Virus (HIV) and Lyme disease antibodies;
- Neoplastic and paraneoplastic screening: tumor markers (AFP, CEA, CA19-9, ROMA test) and onconeural antibodies (anti-amphiphysin, anti-CV2, anti-PNMA2, anti-Ri, anti-Yo, anti-Hu, anti-recoverin, anti-SOX1, anti-titin, anti-Zic4, anti-GAD65, anti-Tr);
- Endocrine disorders, including thyroid disorders: thyroid function tests (thyroid-stimulating hormone (TSH), free triiodothyronine (fT3), free thyroxine (fT4), thyrotropin receptor antibodies (TRAb), anti-thyroglobulin (anti-Tg) and anti-thyroid peroxidase antibodies (anti-TPO).
3. Discussion
3.1. Differential Diagnosis
3.1.1. Autoimmune Diseases
3.1.2. IgG4-Related Disease
3.1.3. Infectious Causes
3.1.4. Neoplastic and Paraneoplastic Diseases
3.1.5. Other Causes
3.1.6. Differential Diagnosis Conclusions
3.2. Treatment
Steroid-Sparing Treatment Methods
4. Conclusions
Author Contributions
Funding
Institutional Review Board Statement
Informed Consent Statement
Data Availability Statement
Conflicts of Interest
Abbreviations
| IHPM | Idiopathic hypertrophic pachymeningitis |
| Anti-Tg | Anti-thyroglobulin |
| CT | Computed tomography |
| MRI | Magnetic resonance imaging |
| TSH | thyroid-stimulating hormone |
| Anti-TPO | Anti-thyroid peroxidase |
| CSF | Cerebrospinal fluid |
| EEG | Electroencephalography |
| IgG4-RD | IgG4-related disease |
References
- Bosman, T.; Simonin, C.; Launay, D.; Caron, S.; Destée, A.; Defebvre, L. Idiopathic Hypertrophic Cranial Pachymeningitis Treated by Oral Methotrexate: A Case Report and Review of Literature. Rheumatol. Int. 2008, 28, 713–718. [Google Scholar] [CrossRef] [PubMed]
- Charcot, J.M.; Joffroy, A. Deux Cas d’atrophie Musculaire Progresssive: Avec Lésions de La Substance Grise et Des Faisceaux Antérolatéraux de La Moelle Épinière; Masson: Sens, France, 1869. [Google Scholar]
- Chaudhuri, J.; Mukherjee, A.; Chakravarty, A. Hashimoto’s Encephalopathy: Case Series and Literature Review. Curr. Neurol. Neurosci. Rep. 2023, 23, 167–175. [Google Scholar] [CrossRef]
- Choi, I.S.; Park, S.C.; Jung, Y.K.; Lee, S.S. Combined Therapy of Corticosteroid and Azathioprine in Hypertrophic Cranial Pachymeningitis. Eur. Neurol. 2000, 44, 193–198. [Google Scholar] [CrossRef]
- Cui, Y.; Masaki, K.; Zhang, X.; Yamasaki, R.; Fujii, T.; Ogata, H.; Hayashida, S.; Yamaguchi, H.; Hyodo, F.; Eto, H.; et al. A Novel Model for Treatment of Hypertrophic Pachymeningitis. Ann. Clin. Transl. Neurol. 2019, 6, 431–444. [Google Scholar] [CrossRef]
- Dash, G.K.; Thomas, B.; Nair, M.; Radhakrishnan, A. Clinico-Radiological Spectrum and Outcome in Idiopathic Hypertrophic Pachymeningitis. J. Neurol. Sci. 2015, 350, 51–60. [Google Scholar] [CrossRef]
- De Virgilio, A.; De Vincentiis, M.; Inghilleri, M.; Fabrini, G.; Conte, M.; Gallo, A.; Rizzo, M.I.; Greco, A. Idiopathic Hypertrophic Pachymeningitis: An Autoimmune IgG4-Related Disease. Immunol. Res. 2017, 65, 386–394. [Google Scholar] [CrossRef]
- Ekkert, A.; Šaulytė, M.; Jatužis, D. Inflammatory Disorders of the Central Nervous System Vessels: Narrative Review. Medicina 2022, 58, 1446. [Google Scholar] [CrossRef]
- Hahn, L.D.; Fulbright, R.; Baehring, J.M. Hypertrophic Pachymeningitis. J. Neurol. Sci. 2016, 367, 278–283. [Google Scholar] [CrossRef]
- Hamill, M.M.; Ghanem, K.G.; Tuddenham, S. State-of-the-Art Review: Neurosyphilis. Clin. Infect. Dis. 2024, 78, e57–e68. [Google Scholar] [CrossRef] [PubMed]
- Hildenbrand, P.; Craven, D.E.; Jones, R.; Nemeskal, P. Lyme Neuroborreliosis: Manifestations of a Rapidly Emerging Zoonosis. Am. J. Neuroradiol. 2009, 30, 1079–1087. [Google Scholar] [CrossRef] [PubMed]
- Kanekar, S.; Zacharia, T.; Agarwal, A. Neoplastic Meningitis and Paraneoplastic Syndromes. Radiol. Clin. North Am. 2021, 59, 409–423. [Google Scholar] [CrossRef] [PubMed]
- Jagiasi, K.; Barvalia, P.P. Is Hypertrophic Pachymeningitis Really Idiopathic? Neurol. India 2022, 70, 2422–2426. [Google Scholar] [CrossRef] [PubMed]
- Kmeid, M.; Medrea, I. Review of Tolosa-Hunt Syndrome, Recent Updates. Curr. Pain Headache Rep. 2023, 27, 843–849. [Google Scholar] [CrossRef]
- Kupersmith, M.J.; Martin, V.; Heller, G.; Shah, A.; Mitnick, H.J. Idiopathic Hypertrophic Pachymeningitis. Neurology 2004, 62, 686–694. [Google Scholar] [CrossRef] [PubMed]
- Lu, L.X.; Della-Torre, E.; Stone, J.H.; Clark, S.W. IgG4-Related Hypertrophic Pachymeningitis: Clinical Features, Diagnostic Criteria, and Treatment. JAMA Neurol. 2014, 71, 785. [Google Scholar] [CrossRef]
- Madhavan, A.A.; Carr, C.M.; Morris, P.P.; Flanagan, E.P.; Kotsenas, A.L.; Hunt, C.H.; Eckel, L.J.; Lindell, E.P.; Diehn, F.E. Imaging Review of Paraneoplastic Neurologic Syndromes. Am. J. Neuroradiol. 2020, 41, 2176–2187. [Google Scholar] [CrossRef]
- Matias, T.B.; Cordeiro, R.A.; Duarte, J.A.; De Jarry, V.M.; Appenzeller, S.; Villarinho, L.; Reis, F. Immune-Mediated Hypertrophic Pachymeningitis and Its Mimickers: Magnetic Resonance Imaging Findings. Acad. Radiol. 2023, 30, 2696–2706. [Google Scholar] [CrossRef]
- Park, T.J.; Seo, W.D.; Kim, S.Y.; Cho, J.H.; Kim, D.H.; Kim, K.H. Effective Response of Methotrexate for Recurrent Idiopathic Hypertrophic Spinal Pachymeningitis. Korean J. Spine 2016, 13, 200. [Google Scholar] [CrossRef][Green Version]
- Parums, D.V. IgG4-Related Disease: A Review of Persistent Challenges in the Pathogenesis, Diagnosis, and Approaches to Treatment. Med. Sci. Monit. 2025, 31, e950212. [Google Scholar] [CrossRef]
- Patel, D.D.; Fenton, L.Z.; Lamture, S.; Kandula, V. Pediatric Meningeal Diseases: What Radiologists Need to Know. Tomography 2024, 10, 1970–2013. [Google Scholar] [CrossRef]
- Rizzo, E.; Ritchie, A.E.; Shivamurthy, V.; Siddiqui, A.; Lim, M. Idiopathic Hypertrophic Pachymeningitis: Does Earlier Treatment Improve Outcome? Children 2020, 8, 11. [Google Scholar] [CrossRef] [PubMed]
- Sharma, P.K.; Saikia, B.; Sharma, R.; Gagneja, V.; Khilnani, P. Pachymeningitis in a Young Child Responded to Antitubercular Therapy: A Case Report. J. Child. Neurol. 2014, 29, NP92–NP95. [Google Scholar] [CrossRef] [PubMed]
- Subrati, N.; Vaqas, B.; Peterson, D.; Patel, M.C. Hypertrophic Pachymeningitis with Sarcoidosis: A Rare Cause of Craniocervical Compression. BMJ Case Rep. 2015, 2015, bcr2014208604. [Google Scholar] [CrossRef]
- Timpone, V.M.; Parsons, M.S.; Boulter, D.J.; Burns, J.; Eldaya, R.W.; Grossberg, J.A.; Hassankhani, A.; Hutchins, T.A.; Kelly, A.G.; Khan, M.A.; et al. ACR Appropriateness Criteria® Imaging of Suspected Intracranial Hypotension. J. Am. Coll. Radiol. 2024, 21, S396–S412. [Google Scholar] [CrossRef]
- Umehara, H.; Okazaki, K.; Kawa, S.; Takahashi, H.; Goto, H.; Matsui, S.; Ishizaka, N.; Akamizu, T.; Sato, Y.; Kawano, M.; et al. The 2020 Revised Comprehensive Diagnostic (RCD) Criteria for IgG4-RD. Mod. Rheumatol. 2021, 31, 529–533. [Google Scholar] [CrossRef]
- Vailati, A.; Marena, C.; Comis, S.; Aristia, L.; Sozzé, E.; Galenda, P.; Martignoni, E.; Bossolo, P.A.; Ascari, E. Hashimoto’s Thyroiditis in Association with Tolosa Hunt Syndrome: A Case Report. Thyroid 1993, 3, 125–127. [Google Scholar] [CrossRef] [PubMed]
- Voller, B.; Vass, K.; Wanschitz, J.; Machold, K.; Asenbaum, S.; Hoberstorfer, M.; Auff, E. Hypertrophic Chronic Pachymeningitis as a Localized Immune Process in the Craniocervical Region. Neurology 2001, 56, 107–109. [Google Scholar] [CrossRef]
- Waliszewska-Prosół, M.; Dziadkowiak, E.; Budrewicz, S.; Koszewicz, M.; Bladowska, J. Idiopatyczny Przerost Opony Twardej—Opis Przypadku. Pol. Przegląd Neurol. 2015, 11, 72–76. [Google Scholar]
- Wallace, Z.S.; Naden, R.P.; Chari, S.; Choi, H.; Della-Torre, E.; Dicaire, J.; Hart, P.A.; Inoue, D.; Kawano, M.; Khosroshahi, A.; et al. The 2019 American College of Rheumatology/European League Against Rheumatism Classification Criteria for IgG4-Related Disease. Arthritis Rheumatol. 2020, 72, 7–19. [Google Scholar] [CrossRef]
- Wang, Y.; Yang, Y.; Guo, X.; You, H.; Xie, M.; Zhang, S.; Yang, Y.; Wu, D.; Peng, L.; Fei, Y.; et al. Clinical and Prognostic Profiles in Immune-Mediated Hypertrophic Meningitis: A Retrospective Analysis of 92 Cases. Clin. Rheumatol. 2025, 44, 3073–3081. [Google Scholar] [CrossRef]
- Xiao, X.; Fu, D.; Feng, L. Hypertrophic Pachymeningitis in a Southern Chinese Population: A Retrospective Study. Front. Neurol. 2020, 11, 565088. [Google Scholar] [CrossRef] [PubMed]
- Zhuoyou, C.; Chuanzhong, Q.; Xinsheng, D. Idiopathic Hypertrophic Pachymeningitis Successfully Treated with Intravenous Cyclophosphamide. Neurol. India 2011, 59, 915. [Google Scholar] [CrossRef] [PubMed]




| Potential Pathogenetic Factors | Exemplary Diseases |
|---|---|
| Systemic diseases | Sarcoidosis, granulomatosis with polyangiitis, Sjögren’s syndrome, rheumatoid arthritis, IgG4-related disease, systemic lupus erythematosus, polyarteritis nodosa |
| Infectious | Tuberculosis, syphilis (especially neurosyphilis), Lyme disease, fungal infections |
| Neoplastic | Metastatic carcinoma to the dura mater, lymphoma, meningioma, reactive dural changes secondary to skull tumors |
| Other | Compensatory meningeal interstitial edema in response to decreased cerebrospinal fluid volume, mucopolysaccharidosis, intrathecal drug administration |
| Treatment Phase | Methylprednisolone Dosage |
|---|---|
| Initial dose | 64 mg, once daily in the morning (1.03 mg/kg) |
| After 7 days | 32 mg, once daily in the morning (0.52 mg/kg) |
| After 14 days | 16 mg, once daily in the morning (0.26 mg/kg) |
| After 3 months | 8 mg, once daily in the morning (0.13 mg/kg) |
| After 5 months | 4 mg, once daily in the morning * (0.06 mg/kg) |
| After 13 months | 2 mg, once daily in the morning (0.03 mg/kg) |
| After 16 months | Discontinuation of corticosteroid therapy |
| Date of Visit | Reported Symptoms | Neurological Examination Findings | Recommended Treatment |
|---|---|---|---|
| January 2022 | Vertigo with two episodes of vomiting | No abnormalities | Pentoxifylline 400 mg (2 times a day), thiethylperazine 6.5 mg (2 times a day) |
| September 2022 | Vertigo during sudden positional changes, transient binocular diplopia | Mild dysmetria of the lower limbs, mild balance disturbances | No recommendations regarding steroid therapy |
| October 2022 | Vertigo | No abnormalities | Methylprednisolone 64 mg for 1 week, then 32 mg for 1 week, followed by 16 mg |
| November 2022 | Vertigo of lesser intensity | No abnormalities | Continuation of steroid therapy |
| January 2023 | Memory disturbances | Mild balance disturbances | Reduction in methylprednisolone dose to 8 mg |
| May 2023 | Vertigo, memory disturbances | Left limbs ataxia | Continuation of steroid therapy |
| June 2023 | Unsteadiness, memory disturbances | No abnormalities | Reduction in methylprednisolone dose to 4 mg |
| July 2023 | Vertigo | No abnormalities | Continuation of steroid therapy |
| September 2023 | Headache, mild vertigo | No abnormalities | Continuation of steroid therapy |
| November 2023 | Mild vertigo, mild balance disturbances | Left limbs ataxia, mild balance disturbances | Reduction in methylprednisolone dose to 2 mg |
| February 2024 | No complaints | No abnormalities | Discontinuation of steroid therapy |
| April 2024 | Mild balance disturbances | No abnormalities | No recommendations regarding steroid therapy |
| August 2024 | Headache, nausea, vomiting | Mild balance disturbances | Methylprednisolone 16 mg |
| October 2024 | Positional vertigo | Mild balance disturbances | Methylprednisolone 8 mg with gradual dose tapering |
| February 2025 | Positional vertigo | Mild balance disturbances | In case of balance disturbances, consider initiation of methylprednisolone 16 mg |
| May 2025 | Mild positional vertigo, occasional headache | Mild balance disturbances | No recommendations regarding steroid therapy |
| August 2025 | Vertigo | Left limbs ataxia, gait disturbances, positive Romberg test | Methylprednisolone 16 mg with gradual dose tapering by half each week until discontinuation |
| October 2025 | Mild balance disturbances, paroxysmal vertigo | Mild balance disturbances, limbs ataxia | Discontinuation of steroid therapy |
| Date | Anti-TPO (IU/mL) | Anti-Tg (IU/mL) |
|---|---|---|
| September 2022 | 451 | 748.31 |
| * December 2023 | - | - |
| February 2024 | - | 1130 |
| April 2024 | - | 1000 |
| August 2024 | - | 1039 |
| November 2024 | - | 974 |
| February 2025 | 78.6 | 1022 |
| May 2025 | 69.7 | 1159 |
Disclaimer/Publisher’s Note: The statements, opinions and data contained in all publications are solely those of the individual author(s) and contributor(s) and not of MDPI and/or the editor(s). MDPI and/or the editor(s) disclaim responsibility for any injury to people or property resulting from any ideas, methods, instructions or products referred to in the content. |
© 2025 by the authors. Licensee MDPI, Basel, Switzerland. This article is an open access article distributed under the terms and conditions of the Creative Commons Attribution (CC BY) license.
Share and Cite
Pobudejski, P.; Toś, M.; Zawiślak-Fornagiel, K.; Siuda, J. Idiopathic Hypertrophic Pachymeningitis with Elevated Anti-Thyroglobulin Antibodies—A Case Report. Reports 2026, 9, 15. https://doi.org/10.3390/reports9010015
Pobudejski P, Toś M, Zawiślak-Fornagiel K, Siuda J. Idiopathic Hypertrophic Pachymeningitis with Elevated Anti-Thyroglobulin Antibodies—A Case Report. Reports. 2026; 9(1):15. https://doi.org/10.3390/reports9010015
Chicago/Turabian StylePobudejski, Paweł, Mateusz Toś, Katarzyna Zawiślak-Fornagiel, and Joanna Siuda. 2026. "Idiopathic Hypertrophic Pachymeningitis with Elevated Anti-Thyroglobulin Antibodies—A Case Report" Reports 9, no. 1: 15. https://doi.org/10.3390/reports9010015
APA StylePobudejski, P., Toś, M., Zawiślak-Fornagiel, K., & Siuda, J. (2026). Idiopathic Hypertrophic Pachymeningitis with Elevated Anti-Thyroglobulin Antibodies—A Case Report. Reports, 9(1), 15. https://doi.org/10.3390/reports9010015

