Post-Transplant Double Malignancy: Multiple Myeloma and Papillary Renal Cell Carcinoma—A Case Report
Abstract
1. Introduction and Clinical Significance
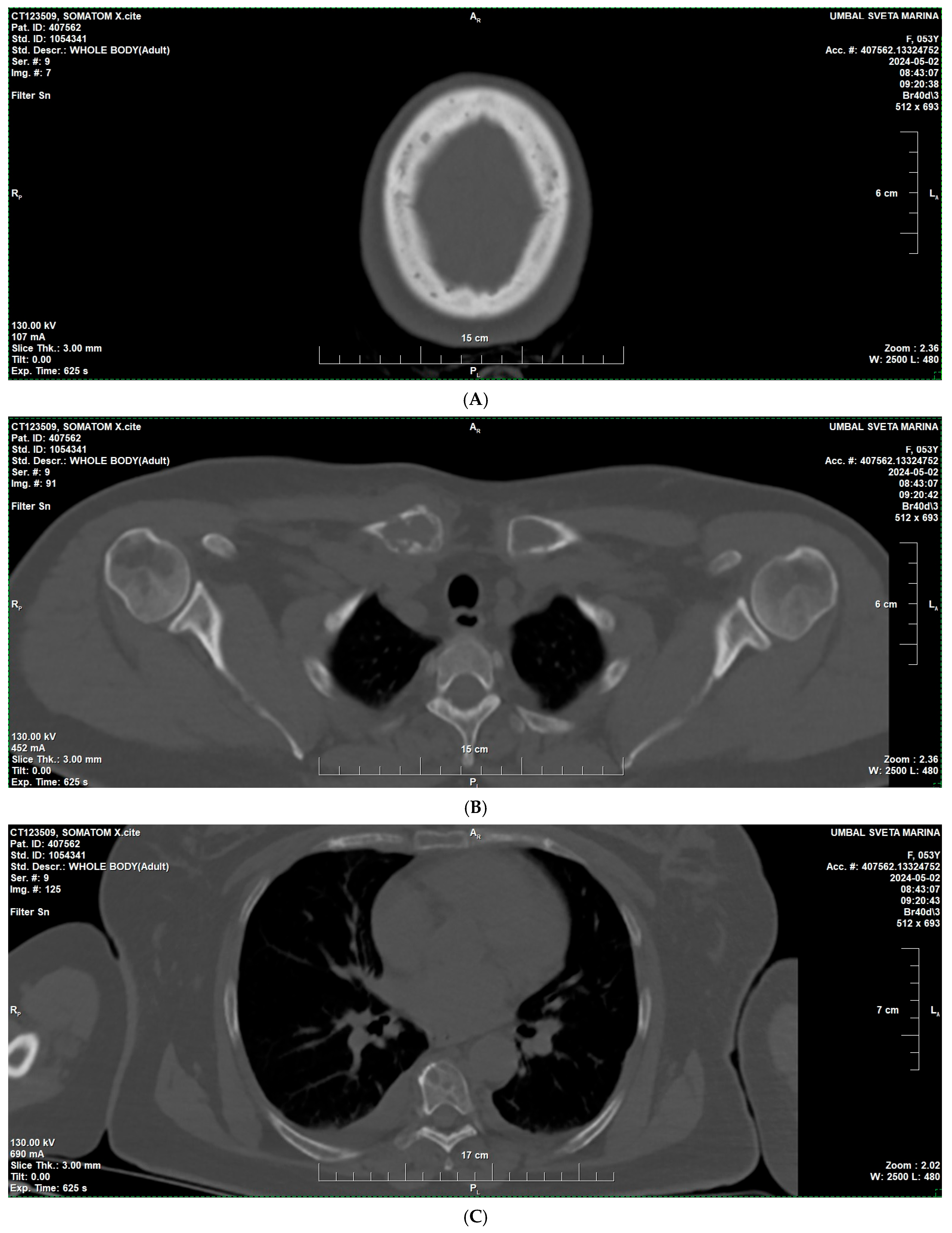
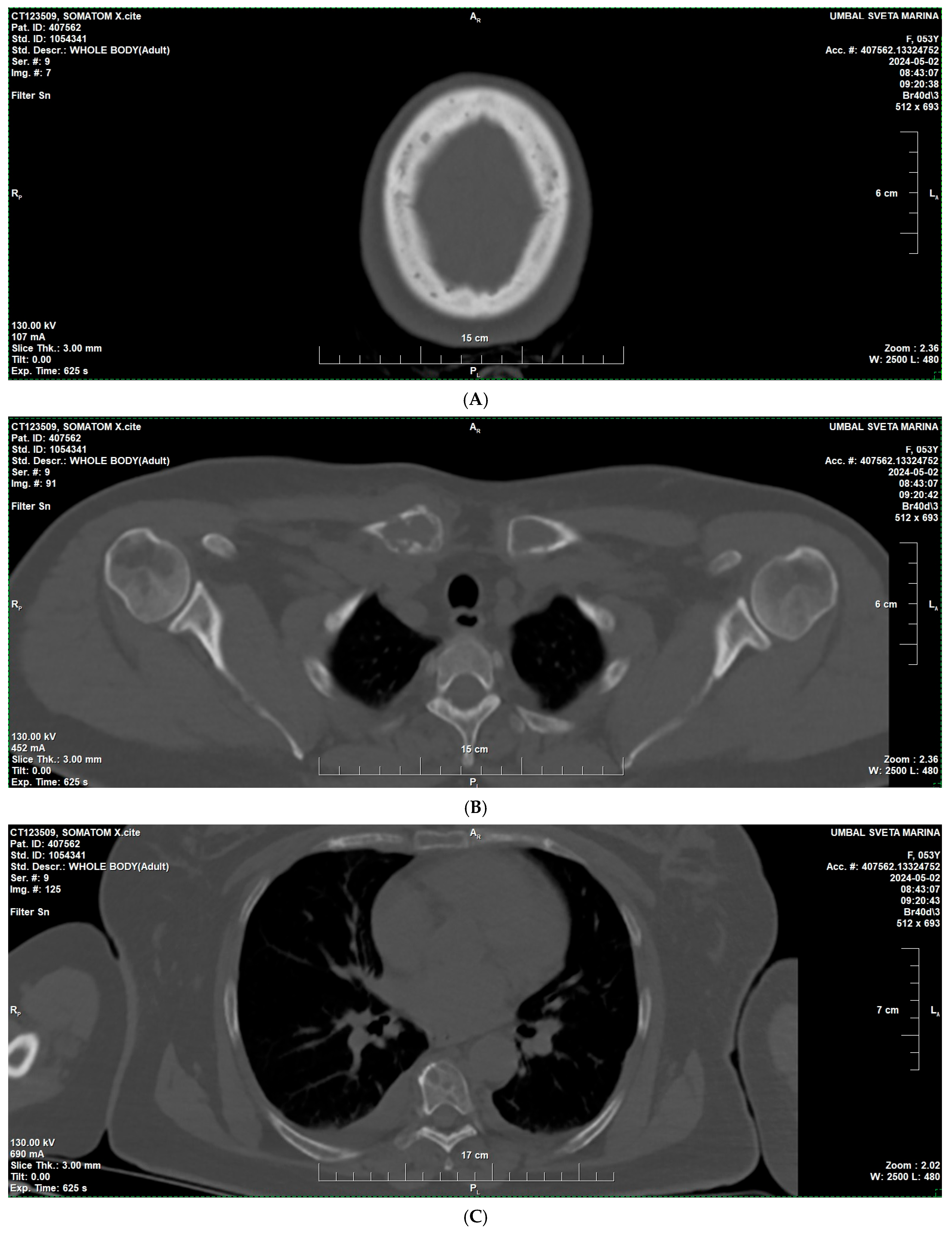
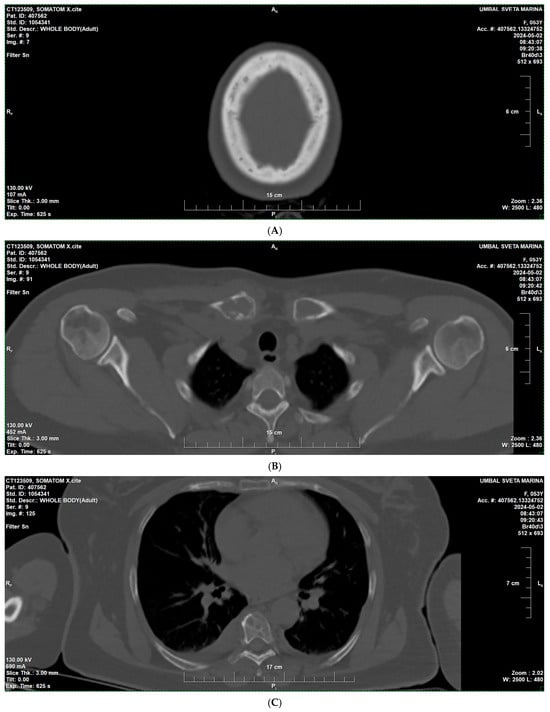
2. Case Presentation
3. Discussion
3.1. Multiple Myeloma and RCC in Transplant Recipients
3.2. Diagnostic Aspects
3.3. Genetic Profile of the Malignancies
3.4. Bone Marrow and Spine Involvement in Multiple Myeloma
3.5. Therapeutic Considerations
3.6. Prognosis and Outcome
4. Conclusions
Author Contributions
Funding
Institutional Review Board Statement
Informed Consent Statement
Data Availability Statement
Conflicts of Interest
References
- Francis, A.; Harhay, M.N.; Ong, A.C.M.; Tummalapalli, S.L.; Ortiz, A.; Fogo, A.B.; Fliser, D.; Roy-Chaudhury, P.; Fontana, M.; Nangaku, M.; et al. Chronic kidney disease and the global public health agenda: An international consensus. Nat. Rev. Nephrol. 2024, 20, 473–485. [Google Scholar] [CrossRef]
- Bradbrook, K.; Gauntt, K.; Klassen, D. Renal transplantation: The last iteration of the rest of the world. Curr. Opin. Organ. Transpl. 2023, 28, 207–211. [Google Scholar] [CrossRef]
- GODT Global Observatory on Donations and Transplantation. Available online: https://www.transplant-observatory.org/ (accessed on 5 March 2025).
- Lentine, K.L.; Smith, J.M.; Lyden, G.R.; Miller, J.M.; Booker, S.E.; Dolan, T.G.; Temple, K.R.; Weiss, S.; Handarova, D.; Israni, A.K.; et al. OPTN/SRTR 2023 Annual Data Report: Kidney. Am. J. Transpl. 2025, 25, S22–S137. [Google Scholar] [CrossRef]
- ANZDATA Australia and New Zealand Dialysis and Transplant. Available online: http://www.anzdata.org.au (accessed on 25 August 2025).
- Krynitz, B.; Edgren, G.; Lindelöf, B.; Baecklund, E.; Brattström, C.; Wilczek, H.; Smedby, K.E. Risk of skin cancer and other malignancies in kidney, liver, heart and lung transplant recipients 1970 to 2008—A Swedish population-based study. Int. J. Cancer 2013, 132, 1429–1438. [Google Scholar] [CrossRef]
- Sprangers, B.; Nair, V.; Launay-Vacher, V.; Riella, L.V.; Jhaveri, K.D. Risk factors associated with post-kidney transplant malignancies: An article from the Cancer-Kidney International Network. Clin. Kidney J. 2018, 11, 315–329. [Google Scholar] [CrossRef]
- Atalah, F.; Acarbay, A.; Karakök, A.; Beşiroğlu, M.; Kuş, F.; Arıcı, H.; Dirim, A.B.; Suleymanova, V.; Türkmen, A.; Yazıcı, H. Malignancies After Renal Transplantation: Frequency, Etiology, and Prognosis—A Single Center Experience. J. Clin. Med. 2025, 14, 5858. [Google Scholar] [CrossRef]
- van de Wetering, J.; Roodnat, J.I.; Hemke, A.C.; Hoitsma, A.J.; Weimar, W. Patient survival after the diagnosis of cancer in renal transplant recipients: A nested case-control study. Transplantation 2010, 90, 1542–1546. [Google Scholar] [CrossRef]
- Al-Adra, D.; Al-Qaoud, T.; Fowler, K.; Wong, G. De Novo Malignancies after Kidney Transplantation. Clin. J. Am. Soc. Nephrol. 2022, 17, 434–443. [Google Scholar] [CrossRef]
- Jiang, F.; Wang, F.; Zhang, T.; Dong, H.; Bai, H.; Chen, L. Current Trends and Future Directions of Malignancy After kidney Transplantation: A 1970–2022 Bibliometric Analysis. Ann. Transplant. 2024, 29, e942074. [Google Scholar] [CrossRef]
- Arican, A.; Karakayalı, H.; Çoşkun, M.; Çolak, T.; Erdal, R.; Haberal, M. Incidence and clinical characteristics of malignancies after renal transplantation: One center’s experience. Transplant. Proc. 2001, 33, 2809–2811. [Google Scholar] [CrossRef]
- Chowdhary, G.S.; Jhala, M. Post-transplant Lymphoproliferative Disorder. J. Assoc. Physicians India 2017, 65, 102–103. [Google Scholar]
- Caillard, S.; Lelong, C.; Pessione, F.; Moulin, B. Post-transplant lymphoproliferative disorders after renal transplantation in adults: Report of 230 cases. Am. J. Transplant. 2006, 6, 2735–2742. [Google Scholar] [CrossRef]
- Rajkumar, S.V.; Dimopoulos, M.A.; Palumbo, A.; Blade, J.; Merlini, G.; Mateos, M.-V.; Kumar, S.; Hillengass, J.; Kastritis, E.; Richardson, P.; et al. International Myeloma Working Group updated criteria for the diagnosis of multiple myeloma. Lancet Oncol. 2014, 15, e538–e548. [Google Scholar] [CrossRef]
- Kumar, S.K.; Rajkumar, V.; Kyle, R.A.; van Duin, M.; Sonneveld, P.; Mateos, M.-V.; Gay, F.; Anderson, K.C. Multiple myeloma. Nat. Rev. Dis. Primers 2017, 3, 17046. [Google Scholar] [CrossRef] [PubMed]
- Kaseb, H.; Annamaraju, P.; Babiker, H.M. Monoclonal Gammopathy of Undetermined Significance. In StatPearls [Internet]; StatPearls Publishing: Treasure Island, FL, USA, 2022. [Google Scholar]
- Kyle, R.A.; Therneau, T.M.; Rajkumar, S.V.; Offord, J.R.; Larson, D.R.; Plevak, M.F.; Melton, L.J., 3rd. A long-term study of prognosis in monoclonal gammopathy of undetermined significance. N. Engl. J. Med. 2002, 346, 564–569. [Google Scholar] [CrossRef]
- Meuleman, M.-S.; Mouyabi, S.; Gueguen, J.; Vicca, S.; Divard, G.; Aubert, O.; Bienaimé, F.; Arnulf, B.; Anglicheau, D.; Bridoux, F.; et al. Monoclonal gammopathy of unknown significance in kidney transplanted patients: Novel insights into long-term outcomes. Nephrol. Dial. Transpl. 2023, 39, 64–73. [Google Scholar] [CrossRef]
- Nimmo, A.; Elyan, B.; Lakey, J.; Marjoribanks, S.; Methven, S.; Morrison, D.; Bell, S. Increased cancer risk in kidney transplant patients in Scotland: A national registry linkage study. Br. J. Cancer 2025, 133, 555–563. [Google Scholar] [CrossRef]
- Alfano, G.; Fontana, F.; Colaci, E.; Messerotti, A.; Bettelli, F.; Potenza, L.; Luppi, M.; Cappelli, G. Monoclonal Gammopathy of Undetermined Significance After Kidney Transplantation: Single-Center Experience. Transplantation 2017, 101, e337–e342. [Google Scholar] [CrossRef] [PubMed]
- Collett, D.; Mumford, L.; Banner, N.R.; Neuberger, J.; Watson, C. Comparison of the incidence of malignancy in recipients of different types of organ: A UK Registry audit. Transplantation 2010, 90, 299–306. [Google Scholar] [CrossRef]
- Piselli, P.; Serraino, D.; Segoloni, G.P.; Sandrini, S.; Piredda, G.B.; Scolari, M.P.; Rigotti, P.; Busnach, G.; Messa, P.; Donati, D.; et al. Risk of de novo cancers after transplantation: Results from a cohort of 7,000 transplant recipients. Ann. Oncol. 2009, 20, 749–756. [Google Scholar]
- Åkerlund, J.; Holmberg, E.; Lindblad, P.; Stendahl, M.; Ljungberg, B.; Thorstenson, A.; Lundstam, S. Increased risk for renal cell carcinoma in end stage renal disease—A population-based case-control study. Scand. J. Urol. 2021, 55, 209–214. [Google Scholar] [CrossRef]
- Dahle, D.O.; Skauby, M.; Langberg, C.W.; Brabrand, K.; Wessel, N.; Midtvedt, K. Renal cell carcinoma and kidney transplantation: A narrative review. Transplantation 2022, 106, e52–e63. [Google Scholar] [CrossRef]
- Choueiri, T.K.; Baz, R.C.; McFadden, C.M.; Khasawneh, M.; Karam, M.A.; Kelly, M.; Hussein, M.A. An association between renal cell carcinoma and multiple myeloma: A case series and clinical implications. BJU Int. 2008, 101, 712–715. [Google Scholar] [CrossRef] [PubMed]
- Tatar, E.; Sarsik, B.; Gungor, O.; Yaman, B.; Ozsan, N.; Cagirgan, S.; Demirci, M.S.; Sezer, T.O.; Hoscoskun, C.; Toz, H. Multiple Unrelated Malignancies Following Renal Transplantation: An Evaluation of Four Cases. Intern. Med. 2013, 52, 673–677. [Google Scholar] [CrossRef]
- Singh, N.; Djamali, A.; Gupta, S. Plasma cell dyscrasias after solid organ transplantation. Transpl. Rev. 2020, 34, 100574. [Google Scholar]
- Raanani, P.; Shpilberg, O. Multiple myeloma and renal cell carcinoma: Is there an association? Leuk. Lymphoma 1995, 20, 389–391. [Google Scholar]
- Wu, S.; Huang, H.; Zhang, W.; Wu, D.; Shen, H.; Chen, Y. Synchronous multiple myeloma and renal cell carcinoma: A case report and literature review. Medicine 2018, 97, e0045. [Google Scholar]
- Lu, X.; Andersen, E.F.; Banerjee, R.; Eno, C.C.; Gonzales, P.R.; Kumar, S.; Lager, A.M.; Miron, P.M.; Pugh, T.; Quintero-Rivera, F.; et al. Guidelines for the testing and reporting of cytogenetic results for risk stratification of multiple myeloma: A report of the Cancer Genomics Consortium Plasma Cell Neoplasm Working Group. Blood Cancer J. 2025, 15, 86. [Google Scholar] [CrossRef] [PubMed]
- International Agency for Research on Cancer. WHO Classification of Tumours: Urinary and Male Genital Tumours, 5th ed.; IARC: Lyon, France, 2022; Volume 8. [Google Scholar]
- Ojha, R.P.; Evans, E.L.; Felini, M.J.; Singh, K.P.; Thertulien, R. The association between renal cell carcinoma and multiple myeloma: Insights from population-based data. BJU Int. 2010, 108, 825–830. [Google Scholar] [CrossRef]
- Shahi, F.; Ghalamkari, M.; Mirzania, M.; Khatuni, M. A patient with Multiple myeloma and Renal cell carcinoma. Int. J. Hematol. Oncol. Stem Cell Res. 2016, 10, 56–60. [Google Scholar] [PubMed] [PubMed Central]
- Narwal, A.; Ramteke, P.; Kumar, L.; Mallick, S. Renal cell carcinoma concomitant with multiple myeloma. J. Pathol. Transl. Med. 2022, 56, 111–112. [Google Scholar] [CrossRef]
- Roodman, G.D. Pathogenesis of myeloma bone disease. Blood 2004, 104, 3401–3407. [Google Scholar]
- Kyle, R.A.; Rajkumar, S.V. Multiple Myeloma. N. Engl. J. Med. 2004, 351, 1860–1873. [Google Scholar] [CrossRef]
- Walker, R.; Barlogie, B.; Haessler, J.; Tricot, G.; Anaissie, E.; Shaughnessy, J.D., Jr.; Epstein, J.; van Hemert, R.; Erdem, E.; Hoering, A.; et al. Magnetic resonance imaging in multiple myeloma: Diagnostic and clinical implications. J. Clin. Oncol. 2007, 25, 1121–1128. [Google Scholar] [CrossRef]
- Zand, M.S.; Vo, T.; Huggins, J.; Felgar, R. Bortezomib in antibody-mediated renal allograft rejection: A case series. Am. J. Transplant. 2008, 8, 2106–2113. [Google Scholar]
- Mateos, M.-V.; Dimopoulos, M.A.; Cavo, M.; Suzuki, K.; Jakubowiak, A.; Knop, S.; Doyen, C.; Lúcio, P.; Nagy, Z.; Kaplan, P.; et al. Daratumumab plus bortezomib, melphalan, and prednisone for untreated myeloma. N. Engl. J. Med. 2018, 378, 518–528. [Google Scholar] [CrossRef]
- Nguyen, L.S.; Vautier, M.; Allenbach, Y.; Zahr, N.; Benveniste, O.; Funck-Brentano, C.; Salem, J.-E. Sirolimus and mTOR Inhibitors: A Review of Side Effects and Specific Management in Solid Organ Transplantation. Drug Saf. 2019, 42, 813–825. [Google Scholar] [CrossRef] [PubMed]
- Vural, A.T.; Togral, A.K.; Gulec, A.T.; Haberal, M. Kaposi Sarcoma in the Era of Rapamycin Remains a Therapeutic Challenge in Organ Transplant Recipients. Exp. Clin. Transpl. 2018, 16, 25–27. [Google Scholar]
- Olszewska, B.; Imko-Walczuk, B.; Dębska-Ślizień, A. Non-melanoma skin cancer outcomes in kidney transplant recipients converted from calcineurin inhibitors to mTOR inhibitors: A systematic review. Postep. Dermatol. Alergol. 2023, 40, 187–193. [Google Scholar] [CrossRef]
- Hahn, S.M.; Lee, M.; Hyun, J.; Lim, S.; Kang, J.-M.; Ahn, J.G.; Joo, D.J.; Jung, I.; Ihn, K. Incidence and Features of Lymphoid Proliferation and Lymphomas after Solid Organ or Hematopoietic Stem Cell Transplantation in a National Database Cohort. Cancer Res. Treat. 2024, 56, 305–313. [Google Scholar] [CrossRef]






Disclaimer/Publisher’s Note: The statements, opinions and data contained in all publications are solely those of the individual author(s) and contributor(s) and not of MDPI and/or the editor(s). MDPI and/or the editor(s) disclaim responsibility for any injury to people or property resulting from any ideas, methods, instructions or products referred to in the content. |
© 2025 by the authors. Licensee MDPI, Basel, Switzerland. This article is an open access article distributed under the terms and conditions of the Creative Commons Attribution (CC BY) license.
Share and Cite
Petrov, A.; Benkova, M.; Petrov, Y.; Dimieva, Y.; Hachmeriyan, M.A. Post-Transplant Double Malignancy: Multiple Myeloma and Papillary Renal Cell Carcinoma—A Case Report. Reports 2026, 9, 13. https://doi.org/10.3390/reports9010013
Petrov A, Benkova M, Petrov Y, Dimieva Y, Hachmeriyan MA. Post-Transplant Double Malignancy: Multiple Myeloma and Papillary Renal Cell Carcinoma—A Case Report. Reports. 2026; 9(1):13. https://doi.org/10.3390/reports9010013
Chicago/Turabian StylePetrov, Aleksandar, Miroslava Benkova, Yavor Petrov, Yana Dimieva, and Mari Ara Hachmeriyan. 2026. "Post-Transplant Double Malignancy: Multiple Myeloma and Papillary Renal Cell Carcinoma—A Case Report" Reports 9, no. 1: 13. https://doi.org/10.3390/reports9010013
APA StylePetrov, A., Benkova, M., Petrov, Y., Dimieva, Y., & Hachmeriyan, M. A. (2026). Post-Transplant Double Malignancy: Multiple Myeloma and Papillary Renal Cell Carcinoma—A Case Report. Reports, 9(1), 13. https://doi.org/10.3390/reports9010013

