Late Intracerebral Hemorrhage After Successful Endovascular Closure of a Carotid-Cavernous Fistula: A Case Report and Updated Review
Abstract
1. Introduction and Clinical Significance
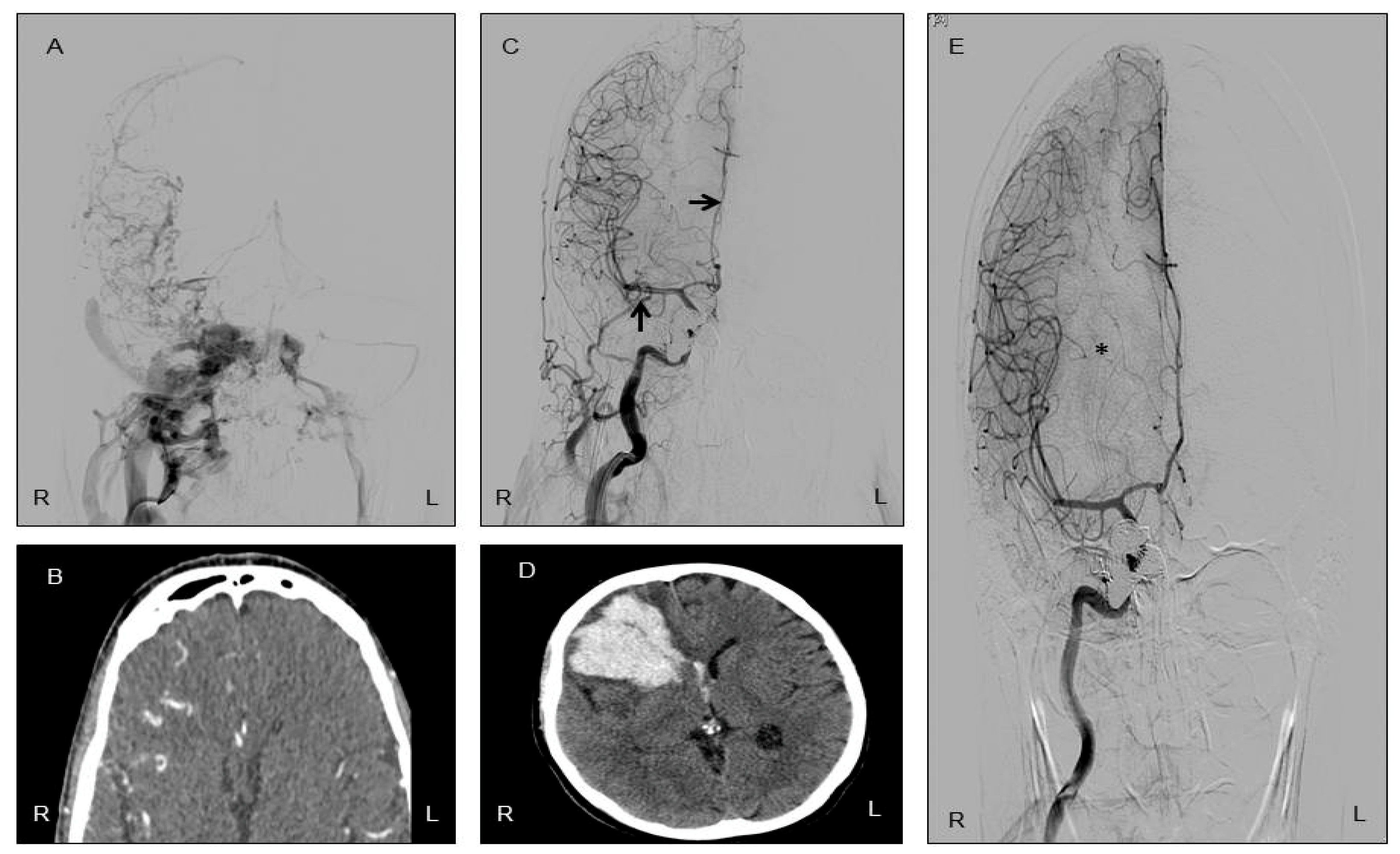
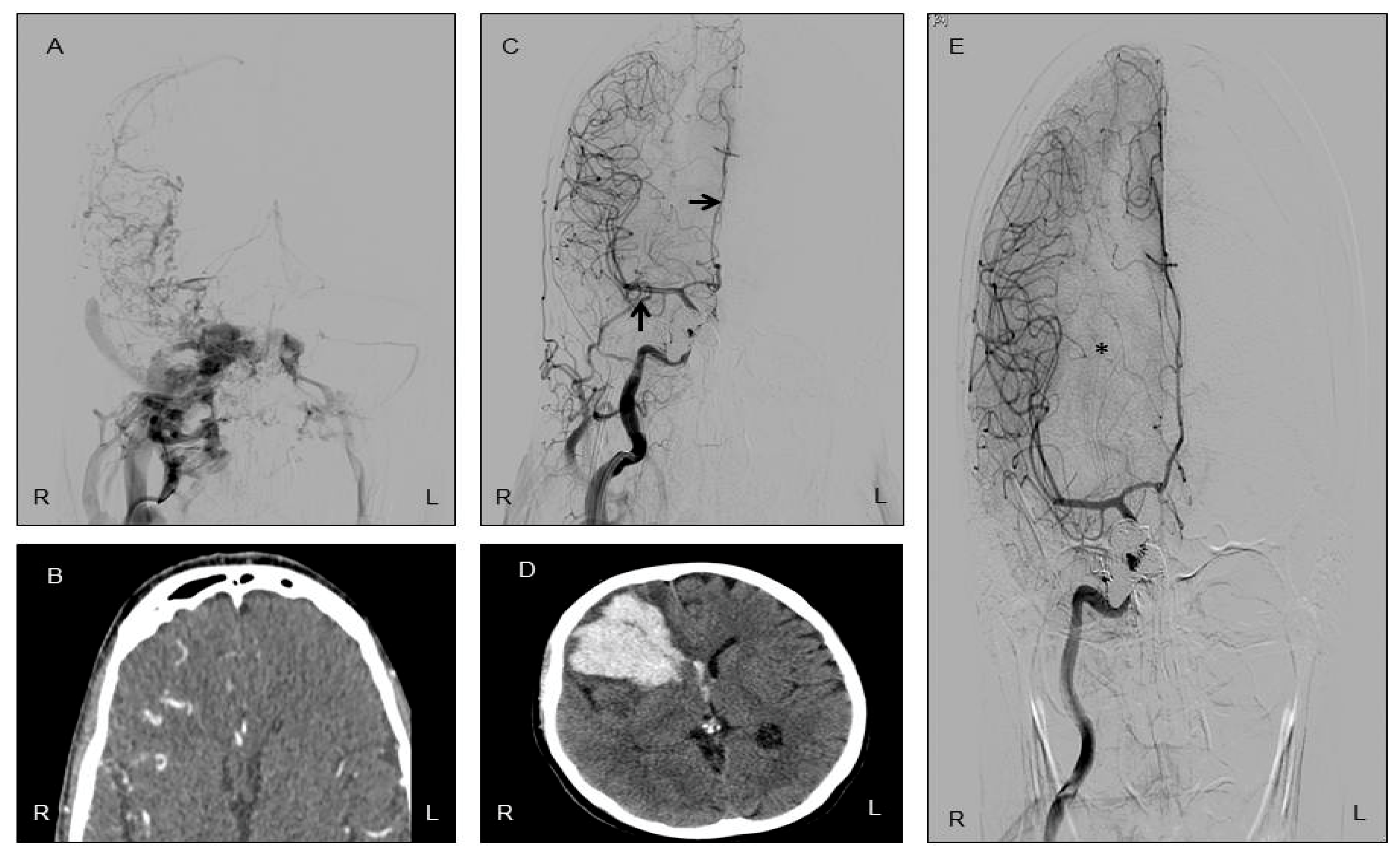
2. Case Presentation
3. Discussion
Molecular Basis of Normal Perfusion Pressure Breakthrough Theory
4. Conclusions
Author Contributions
Funding
Institutional Review Board Statement
Informed Consent Statement
Data Availability Statement
Conflicts of Interest
References
- Henderson, A.D.; Miller, N.R. Carotid-cavernous fistula: Current concepts in aetiology, investigation, and management. Eye 2018, 32, 164–172. [Google Scholar] [CrossRef]
- Ellis, J.A.; Goldstein, H.; Connolly, E.S.; Meyers, P.M. Carotid-cavernous fistulas. Neurosurg. Focus 2012, 32, E9. [Google Scholar] [CrossRef]
- Yuan, J.; Yang, R.; Zhang, J.; Liu, H.; Ye, Z.; Chao, Q. Covered Stent Treatment for Direct Carotid-Cavernous Fistulas: A Meta-Analysis of Efficacy and Safety Outcomes. World Neurosurg. 2024, 187, e302–e312. [Google Scholar] [CrossRef]
- Falcone, G.J.; Biffi, A.; Brouwers, H.B.; Anderson, C.D.; Battey, T.W.K.; Ayres, A.M.; Vashkevich, A.; Schwab, K.; Rost, N.S.; Goldstein, J.N.; et al. Predictors of hematoma volume in deep and lobar supratentorial intracerebral hemorrhage. JAMA Neurol. 2013, 70, 988–994. [Google Scholar] [CrossRef]
- Fernando, S.M.; Qureshi, D.; Talarico, R.; Tanuseputro, P.; Dowlatshahi, D.; Sood, M.M.; Smith, E.E.; Hill, M.D.; McCredie, V.A.; Scales, D.C.; et al. Intracerebral Hemorrhage Incidence, Mortality, and Association with Oral Anticoagulation Use. Stroke 2021, 52, 1673–1681. [Google Scholar] [CrossRef] [PubMed]
- Tsao, C.W.; Aday, A.W.; Almarzooq, Z.I.; Alonso, A.; Beaton, A.Z.; Bittencourt, M.S.; Boehme, A.K.; Buxton, A.E.; Carson, A.P.; Commodore-Mensah, Y.; et al. Heart Disease and Stroke Statistics-2022 Update: A Report from the American Heart Association. Circulation 2022, 145, e153–e639. [Google Scholar] [CrossRef] [PubMed]
- Martínez-Domeño, A.; Martí-Fàbregas, J. Hemorragia cerebral. Med. Programa Form. Médica Contin. Acreditado 2015, 11, 4242–4251. [Google Scholar] [CrossRef]
- Thabet, A.M.; Kottapally, M.; Hemphill, J.C. Management of intracerebral hemorrhage. Handb. Clin. Neurol. 2017, 140, 177–194. [Google Scholar] [CrossRef]
- Raposo, N.; Zotin, M.C.Z.; Seiffge, D.J.; Li, Q.; Goeldlin, M.B.; Charidimou, A.; Shoamanesh, A.; Jäger, H.R.; Cordonnier, C.; Klijn, C.J.; et al. A Causal Classification System for Intracerebral Hemorrhage Subtypes. Ann. Neurol. 2023, 93, 16–28. [Google Scholar] [CrossRef]
- Mendiola, J.M.F.P.; Arboix, A.; García-Eroles, L.; Sánchez-López, M.J. Acute Spontaneous Lobar Cerebral Hemorrhages Present a Different Clinical Profile and a More Severe Early Prognosis than Deep Subcortical Intracerebral Hemorrhages—A Hospital-Based Stroke Registry Study. Biomedicines 2023, 11, 223. [Google Scholar] [CrossRef]
- Roquer, J.; Rodríguez-Campello, A.; Jiménez-Conde, J.; Cuadrado-Godia, E.; Giralt-Steinhauer, E.; Hidalgo, R.M.V.; Soriano, C.; Ois, A. Sex-related differences in primary intracerebral hemorrhage. Neurology 2016, 87, 257–262. [Google Scholar] [CrossRef]
- Martí-Fàbregas, J.; Prats-Sánchez, L.; Martínez-Domeño, A.; Camps-Renom, P.; Marín, R.; Jiménez-Xarrié, E.; Fuentes, B.; Dorado, L.; Purroy, F.; Arias-Rivas, S.; et al. The H-ATOMIC Criteria for the Etiologic Classification of Patients with Intracerebral Hemorrhage. PLoS ONE 2016, 11, e0156992. [Google Scholar] [CrossRef]
- Qureshi, A.I.; Tuhrim, S.; Broderick, J.P.; Batjer, H.H.; Hondo, H.; Hanley, D.F. Spontaneous intracerebral hemorrhage. N. Engl. J. Med. 2001, 344, 1450–1460. [Google Scholar] [CrossRef]
- Cloft, H.J.; Tong, F.C.; Joseph, G.J.; Dion, J.E.; Barrow, D.L. Early intracerebral hemorrhage complicating the successful occlusion of a carotid-cavernous fistula. Interv. Neuroradiol. 2002, 8, 209–212. [Google Scholar] [CrossRef] [PubMed]
- Cho, K.C.; Seo, D.H.; Choe, I.S.; Park, S.C. Cerebral hemorrhage after endovascular treatment of bilateral traumatic carotid cavernous fistulae with covered stents. J. Korean Neurosurg. Soc. 2011, 50, 126–129. [Google Scholar] [CrossRef] [PubMed]
- Spetzler, R.F.; Wilson, C.B.; Weinstein, P.; Mehdorn, M.; Townsend, J.; Telles, D. Normal perfusion pressure breakthrough theory. Clin. Neurosurg. 1978, 25, 651–672. [Google Scholar] [CrossRef]
- Sorimachi, T.; Fujii, Y. Early neurological change in patients with spontaneous supratentorial intracerebral hemorrhage. J. Clin. Neurosci. 2010, 17, 1367–1371. [Google Scholar] [CrossRef]
- Cordonnier, C.; Demchuk, A.; Ziai, W.; Anderson, C.S. Intracerebral haemorrhage: Current approaches to acute management. Lancet 2018, 392, 1257–1268. [Google Scholar] [CrossRef]
- Arboix, A.; Rodríguez-Aguilar, R.; Oliveres, M.; Comes, E.; García-Eroles, L.; Massons, J. Thalamic haemorrhage vs internal capsule-basal ganglia haemorrhage: Clinical profile and predictors of in-hospital mortality. BMC Neurol. 2007, 7, 32. [Google Scholar] [CrossRef]
- Qureshi, A.I.; Mendelow, A.D.; Hanley, D.F. Intracerebral haemorrhage. Lancet 2009, 373, 1632–1644. [Google Scholar] [CrossRef] [PubMed]
- Pérez-Núñez, A.; Lagares, A.; Pascual, B.; Rivas, J.; Alday, R.; González, P.; Cabrera, A.; Lobato, R. Tratamiento quirúrgico de la hemorragia intracerebral espontánea. Parte I: Hemorragia supratentorial. Neurocirugía 2008, 19, 12–24. [Google Scholar] [CrossRef][Green Version]
- Arboix, A.; Massons, J.; Oliveres, M.; García, L.; Titus, F. Análisis de 1.000 pacientes consecutivos con enfermedad cerebrovascular aguda. Registro de patología cerebrovascular de La Alianza-Hospital Central de Barcelona [An analysis of 1000 consecutive patients with acute cerebrovascular disease. The registry of cerebrovascular disease of La Alianza-Hospital Central of Barcelona]. Med. Clin. 1993, 101, 281–285. [Google Scholar]
- Soler, E.P.; Felip, P.F.; Ruiz, V.C.; Orgaz, A.C.; Cartagena, P.S.; Batiste, D.M. Registro de Ictus del Hospital de Mataró: 10 años de registro en un hospital comarcal. Neurología 2015, 30, 283–289. [Google Scholar] [CrossRef]
- Rangel-Castilla, L.; Gasco, J.; Nauta, H.J.; Okonkwo, D.O.; Robertson, C.S. Cerebral pressure autoregulation in traumatic brain injury. Neurosurg. Focus 2008, 25, E7. [Google Scholar] [CrossRef]
- Barnett, G.H.; Little, J.R.; Ebrahim, Z.Y.; Jones, S.C.; Friel, H.T. Cerebral circulation during arteriovenous malformation operation. Neurosurgery 1987, 20, 836–842. [Google Scholar] [CrossRef]
- Batjer, H.H.; Devous, M.D.; Meyer, Y.J.; Purdy, P.D.; Samson, D.S. Cerebrovascular hemodynamics in arteriovenous malformation complicated by normal perfusion pressure breakthrough. Neurosurgery 1988, 22, 503–509. [Google Scholar] [CrossRef] [PubMed]
- Chyatte, D. Normal pressure perfusion breakthrough after resection of arteriovenous malformation. J. Stroke Cerebrovasc. Dis. 1997, 6, 130–136. [Google Scholar] [CrossRef] [PubMed]
- Salles, A.A.F.D.; Manchola, I. CO2 reactivity in arteriovenous malformations of the brain: A transcranial Doppler ultrasound study. J. Neurosurg. 1994, 80, 624–630. [Google Scholar] [CrossRef] [PubMed]
- Massaro, A.R.; Young, W.L.; Kader, A.; Ostapkovich, N.; Tatemichi, T.K.; Stein, B.M.; Mohr, J.P. Characterization of arteriovenous malformation feeding vessels by carbon dioxide reactivity. AJNR Am. J. Neuroradiol. 1994, 15, 55–61. [Google Scholar]
- Muraszko, K.; Wang, H.H.; Pelton, G.; Stein, B.M. A study of the reactivity of feeding vessels to arteriovenous malformations: Correlation with clinical outcome. Neurosurgery 1990, 26, 190–199. [Google Scholar] [CrossRef]
- Pennings, F.A.; Ince, C.; Bouma, G.J. Continuous real-time visualization of the human cerebral microcirculation during arteriovenous malformation surgery using orthogonal polarization spectral imaging. Neurosurgery 2006, 59, 167–171. [Google Scholar] [CrossRef] [PubMed]
- Fogarty-Mack, P.; Pile-Spellman, J.; Hacein-Bey, L.; Osipov, A.; DeMeritt, J.; Jackson, E.C.; Young, W.L. The effect of arteriovenous malformations on the distribution of intracerebral arterial pressures. AJNR Am. J. Neuroradiol. 1996, 17, 1443–1449. [Google Scholar]
- Young, W.L.; Solomon, R.A.; Prohovnik, I.; Ornstein, E.; Weinstein, J.; Stein, B.M. 133Xe blood flow monitoring during arteriovenous malformation resection: A case of intraoperative hyperperfusion with subsequent brain swelling. Neurosurgery 1988, 22, 765–769. [Google Scholar] [CrossRef]
- Kader, A.; Young, W.L.; Pile-Spellman, J.; Mast, H.; Sciacca, R.R.; Mohr, J.P.; Stein, B.M. The influence of hemodynamic and anatomic factors on hemorrhage from cerebral arteriovenous malformations. Neurosurgery 1994, 34, 807–808. [Google Scholar] [CrossRef]
- Kader, A.; Young, W.L. The effects of intracranial arteriovenous malformations on cerebral hemodynamics. Neurosurg. Clin. N. Am. 1996, 7, 767–781. [Google Scholar] [CrossRef] [PubMed]
- Spetzler, R.F.; Hargraves, R.W.; McCormick, P.W.; Zabramski, J.M.; Flom, R.A.; Zimmerman, R.S. Relationship of perfusion pressure and size to risk of hemorrhage from arteriovenous malformations. J. Neurosurg. 1992, 76, 918–923. [Google Scholar] [CrossRef]
- Sekhon, L.H.; Morgan, M.K.; Spence, I. Normal perfusion pressure breakthrough: The role of capillaries. J. Neurosurg. 1997, 86, 519–524. [Google Scholar] [CrossRef]
- Young, W.L.; Pile-Spellman, J.; Prohovnik, I.; Kader, A.; Stein, B.M. Evidence for adaptive autoregulatory displacement in hypotensive cortical territories adjacent to arteriovenous malformations. Neurosurgery 1994, 34, 610–611. [Google Scholar] [CrossRef] [PubMed]
- Zacharia, B.E.; Bruce, S.; Appelboom, G.; Connolly, E.S. Occlusive hyperemia versus normal perfusion pressure breakthrough after treatment of cranial arteriovenous malformations. Neurosurg. Clin. N. Am. 2012, 23, 147–151. [Google Scholar] [CrossRef] [PubMed]
- Toth, L.; Czigler, A.; Szarka, N.; Toth, P. The role of transient receptor potential channels in cerebral myogenic autoregulation in hypertension and aging. Am. J. Physiol. Heart Circ. Physiol. 2020, 319, H159–H161. [Google Scholar] [CrossRef] [PubMed]
- Liu, Y.; Zhang, H.; Wu, C.Y.; Yu, T.; Fang, X.; Ryu, J.J.; Zheng, B.; Chen, Z.; Roman, R.J.; Fan, F. 20-HETE-promoted cerebral blood flow autoregulation is associated with enhanced pericyte contractility. Prostaglandins Other Lipid Mediat. 2021, 154, 106548. [Google Scholar] [CrossRef] [PubMed]
- Toda, N.; Ayajiki, K.; Okamura, T. Cerebral blood flow regulation by nitric oxide: Recent advances. Pharmacol. Rev. 2009, 61, 62–97. [Google Scholar] [CrossRef] [PubMed]
- Meissner, A. Hypertension and the Brain: A Risk Factor for More Than Heart Disease. Cerebrovasc. Dis. 2016, 42, 255–262. [Google Scholar] [CrossRef]
- Webb, A.J.S.; Werring, D.J. New Insights into Cerebrovascular Pathophysiology and Hypertension. Stroke 2022, 53, 1054–1064. [Google Scholar] [CrossRef] [PubMed]
- Cullell, N.; Gallego-Fábrega, C.; Cárcel-Márquez, J.; Muiño, E.; Llucià-Carol, L.; Lledós, M.; Martín-Campos, J.M.; Molina, J.; Casas, L.; Almeria, M.; et al. ICA1L Is Associated with Small Vessel Disease: A Proteome-Wide Association Study in Small Vessel Stroke and Intracerebral Haemorrhage. Int. J. Mol. Sci. 2022, 23, 3161. [Google Scholar] [CrossRef]
- Mustanoja, S.; Putaala, J.; Koivunen, R.J.; Surakka, I.; Tatlisumak, T. Blood pressure levels in the acute phase after intracerebral hemorrhage are associated with mortality in young adults. Eur. J. Neurol. 2018, 25, 1034–1040. [Google Scholar] [CrossRef]
- Gutiérrez-González, R.; Pérez-Zamarron, A.; Rodríguez-Boto, G. Normal perfusion pressure breakthrough phenomenon: Experimental models. Neurosurg. Rev. 2014, 37, 559–567. [Google Scholar] [CrossRef]
- Nagasawa, S.; Kawanishi, M.; Kondoh, S.; Yamaguchi, K.; Kajimoto, S.; Tada, Y.; Ohta, T. Normal perfusion pressure hyperperfusion in cerebral arteriovenous malformation surgery: Model study on the hemodynamics and mechanisms. J. Clin. Neurosci. 1998, 5, 30–32. [Google Scholar] [CrossRef]
- Sakaki, T.; Tsujimoto, S.; Nishitani, M.; Ishida, Y.; Morimoto, T. Perfusion pressure breakthrough threshold of cerebral autoregulation in the chronically ischemic brain: An experimental study in cats. J. Neurosurg. 1992, 76, 478–485. [Google Scholar] [CrossRef]
- Revuelta, M.; Zamarrón, A.; Fortes, J.; Rodríguez-Boto, G.; Gutiérrez-González, R. Neuroprotective effect of indomethacin in normal perfusion pressure breakthrough phenomenon. Sci. Rep. 2020, 10, 15466. [Google Scholar] [CrossRef]
- Bai, J.; Lyden, P.D. Revisiting cerebral postischemic reperfusion injury: New insights in understanding reperfusion failure, hemorrhage, and edema. Int. J. Stroke 2015, 10, 143–152. [Google Scholar] [CrossRef]
- Chen, S.; Peng, J.; Sherchan, P.; Ma, Y.; Xiang, S.; Yan, F.; Zhao, H.; Jiang, Y.; Wang, N.; Zhang, J.H.; et al. TREM2 activation attenuates neuroinflammation and neuronal apoptosis via PI3K/Akt pathway after intracerebral hemorrhage in mice. J. Neuroinflamm. 2020, 17, 168. [Google Scholar] [CrossRef]
- Moulakakis, K.G.; Mylonas, S.N.; Sfyroeras, G.S.; Andrikopoulos, V. Hyperperfusion syndrome after carotid revascularization. J. Vasc. Surg. 2009, 49, 1060–1068. [Google Scholar] [CrossRef]
- Hashimoto, T.; Matsumoto, S.; Ando, M.; Chihara, H.; Tsujimoto, A.; Hatano, T. Cerebral Hyperperfusion Syndrome After Endovascular Reperfusion Therapy in a Patient with Acute Internal Carotid Artery and Middle Cerebral Artery Occlusions. World Neurosurg. 2018, 110, 145–151. [Google Scholar] [CrossRef]
- McCabe, D.J.; Brown, M.M.; Clifton, A. Fatal cerebral reperfusion hemorrhage after carotid stenting. Stroke 1999, 30, 2483–2486. [Google Scholar] [CrossRef]
- Powers, W.J.; Rabinstein, A.A.; Ackerson, T.; Adeoye, O.M.; Bambakidis, N.C.; Becker, K.; Biller, J.; Brown, M.; Demaerschalk, B.M.; Hoh, B.; et al. Guidelines for the Early Management of Patients With Acute Ischemic Stroke: 2019 Update to the 2018 Guidelines for the Early Management of Acute Ischemic Stroke: A Guideline for Healthcare Professionals From the American Heart Association/American Stroke Association. Stroke 2019, 50, e344–e418. [Google Scholar] [CrossRef]
- Noorani, A.; Sadat, U.; Gaunt, M.E. Cerebral hemodynamic changes following carotid endarterectomy: “cerebral hyperperfusion syndrome”. Expert Rev. Neurother. 2010, 10, 217–223. [Google Scholar] [CrossRef]
- Kim, K.Y.; Shin, K.Y.; Chang, K.A. Potential Biomarkers for Post-Stroke Cognitive Impairment: A Systematic Review and Meta-Analysis. Int. J. Mol. Sci. 2022, 23, 602. [Google Scholar] [CrossRef]
- Giralt-Steinhauer, E.; Jiménez-Balado, J.; Fernández-Pérez, I.; Álvarez, L.R.; Rodríguez-Campello, A.; Ois, Á.; Cuadrado-Godia, E.; Jiménez-Conde, J.; Roquer, J. Genetics and Epigenetics of Spontaneous Intracerebral Hemorrhage. Int. J. Mol. Sci. 2022, 23, 6479. [Google Scholar] [CrossRef]
- Morotti, A.; Goldstein, J.N. Diagnosis and Management of Acute Intracerebral Hemorrhage. Emerg. Med. Clin. N. Am. 2016, 34, 883–899. [Google Scholar] [CrossRef]
- Morotti, A.; Nawabi, J.; Schlunk, F.; Poli, L.; Costa, P.; Mazzacane, F.; Busto, G.; Scola, E.; Arba, F.; Brancaleoni, L.; et al. Characteristics of Early Presenters after Intracerebral Hemorrhage. J. Stroke 2022, 24, 425–428. [Google Scholar] [CrossRef]


| Arterial Hypertension (Deep Perforating Vasculopathy) | Cerebral Amyloid Angiopathy |
|---|---|
Acute Arterial hypertension
| Cerebral vascular malformations
|
Intracranial venous thrombosis (CVT)
| Hemorrhagic transformation of cerebral infarction
|
Cerebral tumors
| Hemostatic and hematologic disorders
|
Vasculitis and related vasculopathies
| Changes in cerebral blood flow
|
Toxic
|
| Case Features | Case 1 | Case 2 | Case 3 |
|---|---|---|---|
| Author | Cloft et al. [14] | Cho et al. [15] | Present Case |
| Year of publication | 2002 | 2011 | 2025 |
| Age | 74 years | 48 years | 48 years |
| Sex | Female | Male | Female |
| Interval from CCF closure to ICH | 40 h | 24 h | 12 days |
| Side of hemorrhage | Left basal ganglia | Right parietal lobe | Right frontal lobe |
| Result | Deceased | Recovery | Recovery |
Disclaimer/Publisher’s Note: The statements, opinions and data contained in all publications are solely those of the individual author(s) and contributor(s) and not of MDPI and/or the editor(s). MDPI and/or the editor(s) disclaim responsibility for any injury to people or property resulting from any ideas, methods, instructions or products referred to in the content. |
© 2025 by the authors. Licensee MDPI, Basel, Switzerland. This article is an open access article distributed under the terms and conditions of the Creative Commons Attribution (CC BY) license (https://creativecommons.org/licenses/by/4.0/).
Share and Cite
Uscamaita, K.; Pla, M.G.; Terceño, M.; Arboix, A.; Silva, Y. Late Intracerebral Hemorrhage After Successful Endovascular Closure of a Carotid-Cavernous Fistula: A Case Report and Updated Review. Reports 2025, 8, 234. https://doi.org/10.3390/reports8040234
Uscamaita K, Pla MG, Terceño M, Arboix A, Silva Y. Late Intracerebral Hemorrhage After Successful Endovascular Closure of a Carotid-Cavernous Fistula: A Case Report and Updated Review. Reports. 2025; 8(4):234. https://doi.org/10.3390/reports8040234
Chicago/Turabian StyleUscamaita, Karol, Marta García Pla, Mikel Terceño, Adrià Arboix, and Yolanda Silva. 2025. "Late Intracerebral Hemorrhage After Successful Endovascular Closure of a Carotid-Cavernous Fistula: A Case Report and Updated Review" Reports 8, no. 4: 234. https://doi.org/10.3390/reports8040234
APA StyleUscamaita, K., Pla, M. G., Terceño, M., Arboix, A., & Silva, Y. (2025). Late Intracerebral Hemorrhage After Successful Endovascular Closure of a Carotid-Cavernous Fistula: A Case Report and Updated Review. Reports, 8(4), 234. https://doi.org/10.3390/reports8040234

