Safe Crestal Sinus Elevation Below 3 mm Residual Bone with Tissue-Level Implant Placement: A Case Report
Abstract
1. Introduction and Clinical Significance
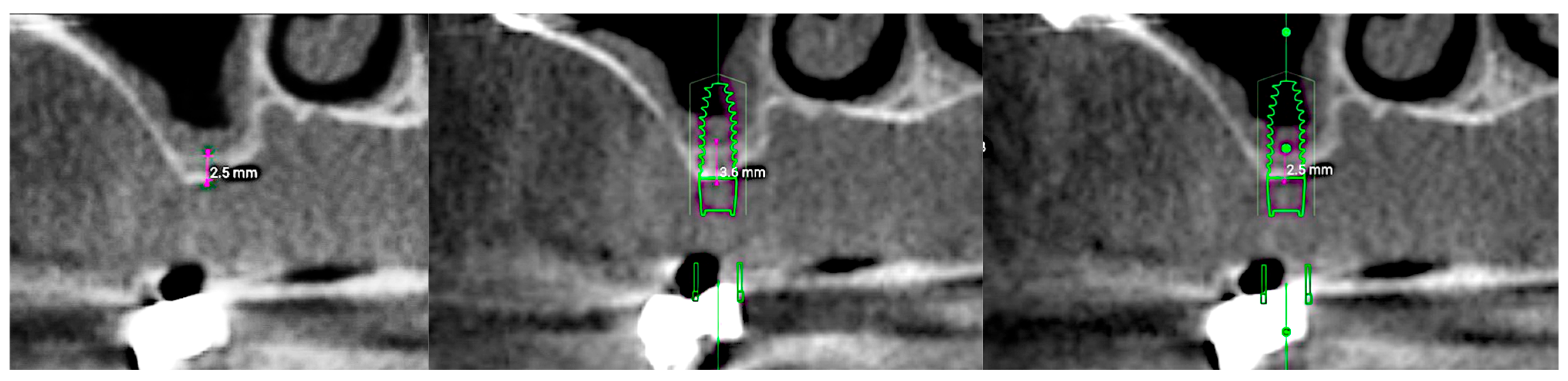
2. Case Presentation
- The same step-by-step procedure was performed at both implant sites (1.6 and 1.7):
- Cortical bone marking was performed using a guide drill (2.0/2.7 mm) with a 1 mm stopper, operated at 1000–1500 rpm.
- A 2.2 mm twist drill was used at site 1.6 with a 2 mm stopper (1 mm shorter than the 3.6 mm bone height) at the same speed.
- A 2.8 mm CAS drill, with rounded apical geometry to minimize the risk of Schneiderian membrane perforation, was used with a 3 mm stopper at 400–800 rpm [13].
- A sinus probe with a 4 mm stopper confirmed bone presence at the base of the osteotomy. The same stopper was then used with the 2.8 mm drill to extend preparation by 1 mm.
- A probe with a 5 mm stopper confirmed sinus floor preparation and membrane integrity. A Valsalva maneuver also confirmed the absence of perforation.
- A 3.1 mm CAS drill was then used with the final stopper to slightly widen the implant site, creating under-preparation for better implant stability.
- Hydraulic membrane elevation was performed using sterile saline, infused gradually in 0.5 cc increments to a total of 2.0 cc across both sites.
- At site 1.7, CAS drills (2.8 mm and 3.1 mm) with 3 mm stoppers were used, and an additional 1.0 cc of saline was infused for complete sinus membrane detachment. The first implant site was sealed to prevent saline leakage.
3. Discussion
4. Conclusions
Author Contributions
Funding
Institutional Review Board Statement
Informed Consent Statement
Data Availability Statement
Conflicts of Interest
References
- Chen, L.; Cha, J.K. Clinical and radiographic evaluation of sinus floor augmentation using a crestal approach with osteotomes and various grafting materials. Int. J. Oral Maxillofac. Implant. 2007, 22, 117–124. [Google Scholar]
- Esposito, M.; Grusovin, M.G.; Rees, J.; Karasoulos, D.; Felice, P.; Alissa, R.; Worthington, H.; Coulthard, P. Effectiveness of sinus lift procedures for dental implant rehabilitation: A Cochrane systematic review. Eur. J. Oral Implantol. 2010, 3, 7–26. [Google Scholar] [PubMed]
- Jensen, O.T. The Sinus Bone Graft; Quintessence: Chicago, IL, USA, 1999. [Google Scholar]
- Pjetursson, B.E.; Tan, W.C.; Zwahlen, M.; Lang, N.P. A systematic review of the success of sinus floor elevation and survival of implants inserted in combination with sinus floor elevation. J. Clin. Periodontol. 2008, 35 (Suppl. S8), 216–240. [Google Scholar] [CrossRef]
- Del Corso, M.; Vervelle, A.; Simonpieri, A.; Jimbo, R.; Inchingolo, F.; Sammartino, G.; Dohan Ehrenfest, D.M. Current knowledge and perspectives for the use of platelet-rich plasma (PRP) and platelet-rich fibrin (PRF) in oral and maxillofacial surgery. Curr. Pharm. Biotechnol. 2012, 13, 1231–1236. [Google Scholar] [CrossRef]
- Stübinger, S.; Landes, C.; Seitz, O. Palatal piezosurgical window osteotomy for maxillary sinus augmentation. Int. J. Oral Maxillofac. Surg. 2010, 39, 606–609. [Google Scholar] [CrossRef]
- Summers, R.B. A new concept in maxillary implant surgery: The osteotome technique. Compendium 1994, 15, 152–158. [Google Scholar]
- Tatum, H. Maxillary and sinus implant reconstructions. Dent. Clin. N. Am. 1986, 30, 207–229. [Google Scholar] [CrossRef]
- Wallace, S.S.; Froum, S.J. Effect of maxillary sinus augmentation on the survival of endosseous dental implants: A systematic review. Ann. Periodontol. 2003, 8, 328–343. [Google Scholar] [CrossRef]
- Soltan, M.; Smiler, D.G. Antral membrane balloon elevation. J. Oral Implantol. 2005, 31, 85–90. [Google Scholar] [CrossRef]
- Fugazzotto, P.A.; Vlassis, J. A Simplified classification and repair system for sinus membrane perforations. J. Periodontol. 2003, 74, 1534–1541. [Google Scholar] [CrossRef]
- Testori, T.; Wallace, S.S.; Del Fabbro, M.; Taschieri, S.; Trisi, P.; Capelli, M.; Weinstein, R.L. Repair of large sinus membrane perforations using stabilized collagen barrier membranes: Surgical techniques with histologic and radiographic evidence of success. Int. J. Periodontics Restor. Dent. 2008, 28, 9–17. [Google Scholar]
- Gatti, F.; Gatti, C.; Tallarico, M.; Tommasato, G.; Meloni, S.; Chiapasco, M. Maxillary sinus membrane elevation using a special drilling system and hydraulic pressure: A 2-year prospective cohort study. Int. J. Periodontics Restor. Dent. 2018, 38, 593–599. [Google Scholar] [CrossRef] [PubMed]
- Shah, D.; Chauhan, C.; Shah, R. Survival rate of dental implant placed using various maxillary sinus floor elevation techniques: A systematic review and meta-analysis. J. Indian Prosthodont. Soc. 2022, 22, 215–224. [Google Scholar] [CrossRef] [PubMed]
- European Commission—European Medicines Agency. Report on the Conference on the Operation of the Clinical Trials Directive (Directive 2001/20/EC) and Perspectives for the Future. EMEA/565466/2007. 2007. Available online: https://health.ec.europa.eu/system/files/2017-02/ec_emea_conference_on_clinical%252520_trials_en_0.pdf (accessed on 15 July 2025).
- Aghaloo, T.L.; Moy, P.K. Which hard tissue augmentation techniques are the most successful in furnishing bony support for implant placement? Int. J. Oral Maxillofac. Implant. 2007, 16, 49–70. [Google Scholar]
- Nkenke, E.; Stelzle, F. Clinical outcomes of sinus floor augmentation for implant placement using autogenous bone or bone substitutes: A systematic review. Clin. Oral Implant. Res. 2009, 20 (Suppl. S4), 124–133. [Google Scholar] [CrossRef]
- Dellavia, C.; De Colli, M.; Sartori, S.; Tettamanti, L. Use of allogenic bone in sinus augmentation procedures: A review. Oral Implantol. 2014, 7, 66–73. [Google Scholar]
- Artzi, Z.; Weinreb, M.; Givol, N.; Rohrer, M.D.; Nemcovsky, C.E.; Prasad, H.S.; Tal, H. Biomaterial resorption rate and healing site morphology of inorganic bovine bone and beta-tricalcium phosphate in the canine: A 24-month longitudinal histologic study and morphometric analysis. Int. J. Oral Maxillofac. Implant. 2004, 19, 357–368. [Google Scholar]
- Hench, L.L. Bioceramics: From Concept to Clinic. J. Am. Ceram. Soc. 1991, 74, 1487–1510. [Google Scholar] [CrossRef]
- LeGeros, R.Z. Properties of osteoconductive biomaterials: Calcium phosphates. Clin. Orthop. Relat. Res. 2002, 395, 81–98. [Google Scholar] [CrossRef]
- Esposito, M.; Gatti, F.; Meloni, M.; Muzzi, L.; Baldini, N.; Buti, J.; Minciarelli, A.; Xhanari, E.; Tallarico, M. To splint or not to split short dental implants under the same partial fixed prosthesis: Five-year results from a multicentre randomized controlled trial. Clin. Trials Dent. 2023, 5, 4–16. [Google Scholar] [CrossRef]
- Pereira, J.F.; Costa, R.; Vasques, M.N.; Salazar, F.; Mendes, J.M.; da Câmara, M.I. Osseodensification: An Alternative to Conventional Osteotomy in Implant Site Preparation: A Systematic Review. J. Clin. Med. 2023, 12, 7046. [Google Scholar] [CrossRef]
- Buser, D.; Broggini, N.; Wieland, M.; Schenk, R.K.; Denzer, A.J.; Cochran, D.L.; Hoffmann, B.; Lussi, A.; Steinemann, S.G. Enhanced bone apposition to a chemically modified SLA titanium surface. J. Dent. Res. 2004, 83, 529–533. [Google Scholar] [CrossRef]
- Schwarz, F.; Wieland, M.; Schwartz, Z.; Zhao, G.; Rupp, F.; Geis-Gerstorfer, J.; Schedle, A.; Broggini, N.; Bornstein, M.M.; Buser, D.; et al. Potential of chemically modified hydrophilic surface characteristics to support tissue integration of titanium dental implants. J. Biomed. Mater. Res. Part B Appl. Biomater. 2009, 88, 544–557. [Google Scholar] [CrossRef]



Disclaimer/Publisher’s Note: The statements, opinions and data contained in all publications are solely those of the individual author(s) and contributor(s) and not of MDPI and/or the editor(s). MDPI and/or the editor(s) disclaim responsibility for any injury to people or property resulting from any ideas, methods, instructions or products referred to in the content. |
© 2025 by the authors. Licensee MDPI, Basel, Switzerland. This article is an open access article distributed under the terms and conditions of the Creative Commons Attribution (CC BY) license (https://creativecommons.org/licenses/by/4.0/).
Share and Cite
Di Frischia, C.; Tallarico, M.; Gargari, M.; Magnifico, E.; Cecchetti, F.; Ceruso, F.M. Safe Crestal Sinus Elevation Below 3 mm Residual Bone with Tissue-Level Implant Placement: A Case Report. Reports 2025, 8, 228. https://doi.org/10.3390/reports8040228
Di Frischia C, Tallarico M, Gargari M, Magnifico E, Cecchetti F, Ceruso FM. Safe Crestal Sinus Elevation Below 3 mm Residual Bone with Tissue-Level Implant Placement: A Case Report. Reports. 2025; 8(4):228. https://doi.org/10.3390/reports8040228
Chicago/Turabian StyleDi Frischia, Carola, Marco Tallarico, Marco Gargari, Edoardo Magnifico, Francesco Cecchetti, and Francesco Mattia Ceruso. 2025. "Safe Crestal Sinus Elevation Below 3 mm Residual Bone with Tissue-Level Implant Placement: A Case Report" Reports 8, no. 4: 228. https://doi.org/10.3390/reports8040228
APA StyleDi Frischia, C., Tallarico, M., Gargari, M., Magnifico, E., Cecchetti, F., & Ceruso, F. M. (2025). Safe Crestal Sinus Elevation Below 3 mm Residual Bone with Tissue-Level Implant Placement: A Case Report. Reports, 8(4), 228. https://doi.org/10.3390/reports8040228
