3D-Printed Model for Surgical Planning in Diverticular Disease: A Case Report
Abstract
1. Introduction and Clinical Significance
2. Case Presentation
2.1. Application of 3D Printing to Surgical Planning
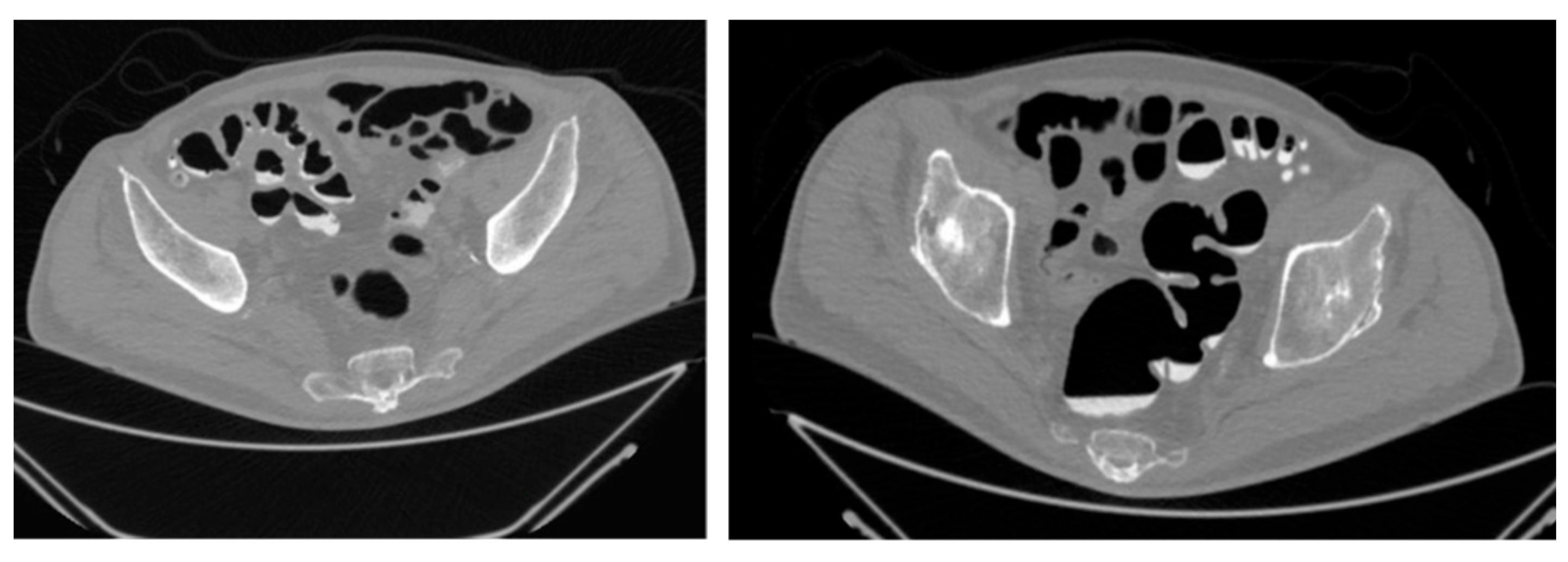
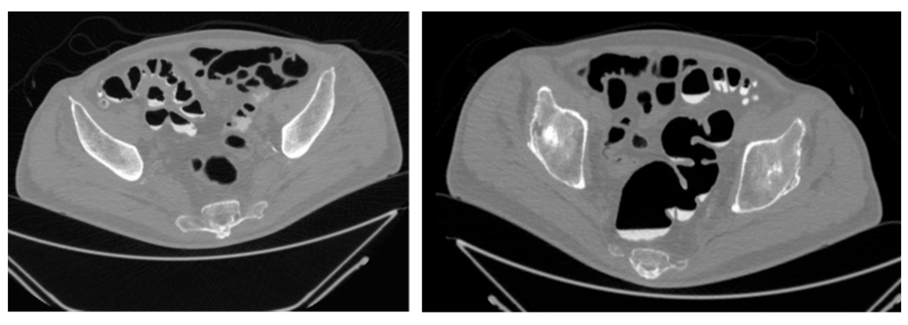
2.2. Case Report
2.3. Three-Dimensional Printing Design and Implementation Phase
3. Discussion
4. Conclusions
Author Contributions
Funding
Institutional Review Board Statement
Informed Consent Statement
Data Availability Statement
Acknowledgments
Conflicts of Interest
Abbreviations
| CT | Computed Tomography |
| DICOM | Digital Imaging and Communications in Medicine |
| MDCT | Multi-Detector Computed Tomography |
| STL | Standard Triangulation Language |
| VTM | Virtual Three-Dimensional Model |
References
- Diana, M.; Marescaux, J. Robotic surgery. Br. J. Surg. 2015, 102, e15–e28. [Google Scholar] [CrossRef] [PubMed]
- Abe, Y.; Itano, O.; Kitago, M.; Shinoda, M.; Yagi, H.; Hibi, T.; Takano, K.; Chiba, N.; Kawachi, S.; Shimazu, M.; et al. Computer assisted surgery, preoperative planning and navigation for pancreatic cancer. J. Hepato-Biliary Pancreat. Sci. 2014, 21, 251–255. [Google Scholar] [CrossRef]
- Papazarkadas, X.; Spartalis, E.; Patsouras, D.; Ioannidis, A.; Schizas, D.; Georgiou, K.; Dimitroulis, D.; Nikiteas, N. The Role of 3D Printing in Colorectal Surgery: Current Evidence and Future Perspectives. In Vivo 2019, 33, 297–302. [Google Scholar] [CrossRef]
- Kurenov, S.N.; Ionita, C.; Sammons, D.; Demmy, T.L. Three-dimensional printing to facilitate anatomic study, device development, simulation, and planning in thoracic surgery. J. Thorac. Cardiovasc. Surg. 2015, 149, 973–979.e1. [Google Scholar] [CrossRef]
- Grimbergen, C.A.; Jaspers, J.E.N.; Herber, J.L.; Stassen, H.G. Development of laparoscopic instruments. Minim. Invasive Ther. Allied Technol. 2001, 10, 145–154. [Google Scholar] [CrossRef]
- Li, J. Design and development of biomedical and surgical instruments in biomedical applications. In Biomedical Engineering—Technical Applications in Medicine; Hudak, R., Ed.; InTech: Rijeka, Croatia, 2012; Chapter 9. [Google Scholar]
- Noecker, A.M.; Chen, J.-F.; Zhou, Q.; White, R.D.; Kopcak, M.W.; Arruda, M.J.; Duncan, B.W. Development of patient-specific three-dimensional pediatric cardiac models. ASAIO J. 2006, 52, 349–353. [Google Scholar] [CrossRef]
- Rengier, F.; Mehndiratta, A.; von Tengg-Kobligk, H.; Zechmann, C.M.; Unterhinninghofen, R.; Kauczor, H.-U.; Giesel, F.L. 3D printing based on imaging data: Review of medical applications. Int. J. Comput. Assist. Radiol. Surg. 2010, 5, 335–341. [Google Scholar] [CrossRef] [PubMed]
- Jiang, Y.; Jiang, H.; Yang, Z.; Li, Y. The current application of 3D printing simulator in surgical training. Front. Med. 2024, 11, 1443024. [Google Scholar] [CrossRef] [PubMed]
- Emile, S.H.; Wexner, S.D. Systematic review of the applications of three-dimensional printing in colorectal surgery. Color. Dis. 2019, 21, 261–269. [Google Scholar] [CrossRef]
- Habermann, A.C.; Timmerman, W.R.; Cohen, S.M.; Burkhardt, B.W.; Amendola, M.F. Clinical applications of 3D printing in colorectal surgery: A systematic review. Int. J. Color. Dis. 2024, 39, 127. [Google Scholar] [CrossRef]
- Calhoun, P.S.; Kuszyk, B.S.; Heath, D.G.; Carley, J.C.; Fishman, E.K. Three-dimensional volume rendering of spiral CT data: Theory and method. Radiographics 1999, 19, 745–764. [Google Scholar] [CrossRef]
- Marconi, S.; Pugliese, L.; Botti, M.; Peri, A.; Cavazzi, E.; Latteri, S.; Auricchio, F.; Pietrabissa, A. Value of 3D printing for the comprehension of surgical anatomy. Surg. Endosc. 2017, 31, 4102–4110. [Google Scholar] [CrossRef] [PubMed]
- Lei, J.; Tee, L.B.; Ragunath, K.; Sun, Z. Three-Dimensional-Printed Gastrointestinal Tract Models: Applications in Preoperative Planning. Appl. Sci. 2025, 15, 7384. [Google Scholar] [CrossRef]
- To, G.; Hawke, J.A.; Larkins, K.; Burke, G.; Costello, D.M.; Warrier, S.; Mohan, H.; Heriot, A. A systematic review of the application of 3D-printed models to colorectal surgical training. Tech. Coloproctol. 2023, 27, 257–270. [Google Scholar] [CrossRef]
- Zhao, Z.; Yao, R.; Yao, Y.; Hu, Z.; Zhu, S.; Wang, F. Clinical application of three-dimensional printing technology in laparoscopic right hemicolectomy for colon cancer: A pilot study and video demonstration. 3D Print Med. 2025, 11, 8. [Google Scholar] [CrossRef] [PubMed]
- Marano, L.; Ricci, A.; Savelli, V.; Verre, L.; Di Renzo, L.; Biccari, E.; Costantini, G.; Marrelli, D.; Roviello, F. From digital world to real life: A robotic approach to the esophagogastric junction with a 3D printed model. BMC Surg. 2019, 19, 153. [Google Scholar] [CrossRef]
- Hamabe, A.; Ito, M. A three-dimensional pelvic model made with a three-dimensional printer: Applications for laparoscopic surgery to treat rectal cancer. Tech. Coloproctol. 2017, 21, 383–387. [Google Scholar] [CrossRef] [PubMed]
- Garcia-Granero, A.; Sánchez-Guillén, L.; Fletcher-Sanfeliu, D.; Flor-Lorente, B.; Frasson, M.; Muriel, J.S.; Serrado, E.A.; Pellino, G.; Albalat, I.G.; Giner, F.; et al. Application of three-dimensional printing in laparoscopic dissection to facilitate D3-lymphadenectomy for right colon cancer. Tech. Coloproctol. 2018, 22, 129–133. [Google Scholar] [CrossRef]
- Diment, L.E.; Thompson, M.S.; Bergmann, J.H.M. Clinical efficacy and effectiveness of 3D printing: A systematic review. BMJ Open 2017, 7, e016891. [Google Scholar] [CrossRef]
- Pugliese, L.; Marconi, S.; Negrello, E.; Mauri, V.; Peri, A.; Gallo, V.; Auricchio, F.; Pietrabissa, A. The clinical use of 3D printing in surgery. Updat. Surg. 2018, 70, 381–388. [Google Scholar] [CrossRef]
- Rasheed, K.; Mix, D.; Chandra, A. Numerous applications of 3D printing in vascular surgery. Ann. Vasc. Surg. 2015, 29, 643–644. [Google Scholar] [CrossRef]
- von Rundstedt, F.C.; Scovell, J.M.; Agrawal, S.; Zaneveld, J.; Link, R.E. Utility of patient-specific silicone renal models for planning and rehearsal of complex tumour resections prior to robot-assisted laparoscopic partial nephrectomy. BJU Int. 2017, 119, 598–604. [Google Scholar] [CrossRef]
- García-Granero, Á.; Jerí-McFarlane, S.; Torres-Marí, N.; Brogi, L.; Ferrà-Canet, M.; Zoroa, M.Á.N.; Gamundí-Cuesta, M.; González-Argenté, F.X. 3D-reconstruction printed models and virtual reality improve teaching in oncological colorectal surgery. Tech. Coloproctol. 2025, 29, 24. [Google Scholar] [CrossRef] [PubMed]
- Khan, A.; Sellyn, G.E.; Ali, D.; Moazzam, Z.; Samaras, H.; McChesney, S.L.; Hopkins, M.B.; Ford, M.M.; Muldoon, R.L.; Geiger, T.M.; et al. Three-Dimensional-Printed Models and Shared Decision-Making: A Cluster Randomized Clinical Trial. JAMA Netw Open. 2025, 8, e2513187. [Google Scholar] [CrossRef]
- Malik, H.H.; Darwood, A.R.; Shaunak, S.; Kulatilake, P.; El-Hilly, A.A.; Mulki, O.; Baskaradas, A. Three-dimensional printing in surgery: A review of current surgical applications. J. Surg. Res. 2015, 199, 512–522. [Google Scholar] [CrossRef]
- Martelli, N.; Serrano, C.; van den Brink, H.; Pineau, J.; Prognon, P.; Borget, I.; El Batti, S. Advantages and disadvantages of 3-dimensional printing in surgery: A systematic review. Surgery 2016, 159, 1485–1500. [Google Scholar] [CrossRef]
- Li, C.; Cheung, T.F.; Fan, V.C.; Sin, K.M.; Wong, C.W.Y.; Leung, G.K.K. Applications of three-dimensional printing in surgery. Surg. Innov. 2017, 24, 82–88. [Google Scholar] [CrossRef] [PubMed]





| Feature Evaluated | Virtual Colonoscopy Findings | 3D-Printed Model Findings |
|---|---|---|
| Extent of diverticulosis | Massive diverticulosis of sigmoid and descending colon | Same finding confirmed with clearer visualization of segmental involvement |
| Stenotic area | Suspected narrowing, poorly defined | Stenotic segment clearly delineated, with precise localization and extension |
| Anatomical relationships | Limited perception of spatial relations | Improved understanding of relationship between diseased colon and surrounding structures |
| Surgical planning implications | Suggestive of need for resection | Supported decision for left hemicolectomy |
| Tactile/spatial perception | 2D visualization only | Physical 3D model provided tactile and spatial feedback useful for team discussion and planning |
Disclaimer/Publisher’s Note: The statements, opinions and data contained in all publications are solely those of the individual author(s) and contributor(s) and not of MDPI and/or the editor(s). MDPI and/or the editor(s) disclaim responsibility for any injury to people or property resulting from any ideas, methods, instructions or products referred to in the content. |
© 2025 by the authors. Licensee MDPI, Basel, Switzerland. This article is an open access article distributed under the terms and conditions of the Creative Commons Attribution (CC BY) license (https://creativecommons.org/licenses/by/4.0/).
Share and Cite
Gemini, A.; Cirocchi, R.; Properzi, L.; Duro, F.; Tebala, G.D. 3D-Printed Model for Surgical Planning in Diverticular Disease: A Case Report. Reports 2025, 8, 222. https://doi.org/10.3390/reports8040222
Gemini A, Cirocchi R, Properzi L, Duro F, Tebala GD. 3D-Printed Model for Surgical Planning in Diverticular Disease: A Case Report. Reports. 2025; 8(4):222. https://doi.org/10.3390/reports8040222
Chicago/Turabian StyleGemini, Alessandro, Roberto Cirocchi, Luca Properzi, Francesca Duro, and Giovanni Domenico Tebala. 2025. "3D-Printed Model for Surgical Planning in Diverticular Disease: A Case Report" Reports 8, no. 4: 222. https://doi.org/10.3390/reports8040222
APA StyleGemini, A., Cirocchi, R., Properzi, L., Duro, F., & Tebala, G. D. (2025). 3D-Printed Model for Surgical Planning in Diverticular Disease: A Case Report. Reports, 8(4), 222. https://doi.org/10.3390/reports8040222

