Caudate Head Ischemic Stroke with Concurrent Tubercular Meningoencephalitis: A Case Report
Abstract
1. Introduction and Clinical Significance
2. Case Presentation
2.1. Patient Information
2.2. Clinical Case
2.3. Follow-Up and Outcomes
2.4. Patient Perspective
3. Discussion
4. Conclusions
Supplementary Materials
Author Contributions
Funding
Institutional Review Board Statement
Informed Consent Statement
Data Availability Statement
Conflicts of Interest
Abbreviations
| CSF | cerebrospinal fluid |
| CT | computed tomography |
| EEG | electroencephalogram |
| MRI | Magnetic Resonance Imaging |
| PCR | Polymerase Chain Reaction |
| TB | tubercular |
| TBM | tuberculous meningitis |
| EDV | external ventricular drain |
| VP | ventriculoperitoneal shunt |
References
- Misra, U.K.; Kalita, J.; Maurya, P.K. Stroke in tuberculous meningitis. J. Neurol. Sci. 2011, 303, 22–30. [Google Scholar] [CrossRef]
- Schaller, M.A.; Wicke, F.; Foerch, C.; Weidauer, S. Central Nervous System Tuberculosis: Etiology, Clinical Manifestations and Neuroradiological Features. Clin. Neuroradiol. 2019, 29, 3–18. [Google Scholar] [CrossRef]
- Furin, J.; Cox, H.; Pai, M. Tuberculosis. Lancet 2019, 393, 1642–1656. [Google Scholar] [CrossRef]
- Lee, H.R.; Yoo, J.E.; Choi, H.; Han, K.; Jung, J.H.; Park, J.; Lee, H.; Shin, D.W. Tuberculosis and Risk of Ischemic Stroke: A Nationwide Cohort Study. Stroke 2022, 53, 3401–3409. [Google Scholar] [CrossRef]
- Wu, C.-H.; Chen, L.-S.; Yen, M.-F.; Chiu, Y.-H.; Fann, C.-Y.; Chen, H.-H.; Pan, S.-L. Does Non-Central Nervous System Tuberculosis Increase the Risk of Ischemic Stroke? A Population-Based Propensity Score-Matched Follow-Up Study. PLoS ONE 2014, 9, e98158. [Google Scholar] [CrossRef] [PubMed]
- Zhang, L.; Zhang, X.; Li, H.; Chen, G. Acute ischemic stroke in young adults with tuberculous meningitis. BMC Infect. Dis. 2019, 19, 362. [Google Scholar] [CrossRef] [PubMed]
- Guo, Y.-J.; Gan, X.-L.; Zhang, R.-Y.; Liu, Y.; Wang, E.-L.; Lu, S.-H.; Jiang, H.; Duan, H.-F.; Yuan, Z.-Z.; Li, W.-M. Acute Ischemic Stroke in Tuberculous Meningitis. Front. Public Health 2024, 12, 1362465. [Google Scholar] [CrossRef]
- Sy, M.C.C.; Espiritu, A.I.; Pascual, J.L.R. Global Frequency and Clinical Features of Stroke in Patients with Tuberculous Meningitis: A Systematic Review. JAMA Netw. Open 2022, 5, e2229282. [Google Scholar] [CrossRef] [PubMed]
- Pasticci, M.B.; Paciaroni, M.; Floridi, P.; Malincarne, L.; Scavizzi, M.; Baldelli, F. Stroke in patients with tuberculous meningitis in a low TB endemic country: An increasing medical emergency? New Microbiol. 2013, 36, 193–198. [Google Scholar]
- Hsieh, F.Y.; Chia, L.G.; Shen, W.C. Location of cerebral infarctions in tuberculosis meningitis. Neuroradiology 1992, 34, 197–199. [Google Scholar] [CrossRef]
- Kalita, J.; Misra, U.K.; Nair, P.P. Predictors of stroke and its significance in the outcome of tuberculous meningitis. J. Stroke Cerebrovasc. Dis. 2009, 18, 251–258. [Google Scholar] [CrossRef] [PubMed]
- Matsuyama, W.; Hashiguchi, T.; Umehara, F.; Matsuura, E.; Kawabata, M.; Arimura, K.; Maruyama, I.; Osame, M. Expression of vascular endothelial growth factor in tuberculous meningitis. J. Neurol. Sci. 2001, 186, 75–79. [Google Scholar] [CrossRef] [PubMed]
- Wilkinson, R.J.; Rohlwink, U.; Misra, U.K.; van Crevel, R.; Mai, N.T.H.; Dooley, K.E.; Caws, M.; Figaji, A.; Savic, R.; Solomons, R.; et al. Tuberculous Meningitis International Research Consortium. Tuberculous meningitis. Nat. Rev. Neurol. 2017, 13, 581–598. [Google Scholar] [CrossRef]
- Kalita, J.; Shukla, R.; Pandey, P.C.; Singh, V.; Haldar, R.; Misra, U.K. mRNA Profiling of Cytokines to Understand Paradoxical Response in HIV-uninfected Tuberculous Meningitis. Tuberculosis 2024, 144, 102463. [Google Scholar] [CrossRef]
- Tai, M.-L.S.; Nor, H.M.; Kadir, K.A.A.; Viswanathan, S.; Rahmat, K.; Zain, N.R.M.; Ong, K.G.; Rafia, M.H.; Tan, C.T. Paradoxical Manifestation Is Common in HIV-negative Tuberculous Meningitis. Medicine 2016, 95, e1997. [Google Scholar] [CrossRef] [PubMed]
- Garg, R.K.; Malhotra, H.S.; Kumar, N. Paradoxical Reaction in HIV Negative Tuberculous Meningitis. J. Neurol. Sci. 2014, 340, 26–36. [Google Scholar] [CrossRef]
- Sütlaş, P.N.; Ünal, A.; Forta, H.; Şenol, S.; Kırbaş, D. Tuberculous meningitis in adults: Review of 61 cases. Infection 2003, 31, 387–391. [Google Scholar] [CrossRef]
- Carvalho, A.C.C.; De Iaco, G.; Saleri, N.; Pini, A.; Capone, S.; Manfrin, M.; Matteelli, A. Paradoxical reaction during tuberculosis treatment in HIV-seronegative patients. Clin. Infect. Dis. 2006, 42, 893–895. [Google Scholar] [CrossRef]
- Kim, S.H.; Kim, Y.S. Immunologic paradox in the diagnosis of tuberculous meningitis. Clin. Vaccine Immunol. 2009, 16, 1847–1849. [Google Scholar] [CrossRef]
- Merkler, A.E.; Reynolds, A.S.; Gialdini, G.; Morris, N.A.; Murthy, S.B.; Thakur, K.; Kamel, H. Neurological Complications After Tuberculous Meningitis in a Multi-State Cohort in the United States. J. Neurol. Sci. 2017, 375, 460–463. [Google Scholar] [CrossRef]
- Misra, U.K.; Kalita, J.; Kumar, M.; Neyaz, Z. Hypovolemia Due to Cerebral Salt Wasting May Contribute to Stroke in Tuberculous Meningitis. QJM Mon. J. Assoc. Physicians 2018, 111, 455–460. [Google Scholar] [CrossRef] [PubMed]
- Katwal, S.; Thapa, A.; Adhikari, A.; Baral, P.; Alam Ansari, M. Tuberculous Meningitis with Stroke: A Case Report of Diagnostic Dilemma and Therapeutic Triumph. Radiol. Case Rep. 2024, 19, 1847–1850. [Google Scholar] [CrossRef]
- Bhusal, S.; Dahal, S.; Gautam, N.; Banjade, P. Acute Stroke in Tubercular Meningitis: A Case Report. JNMA J. Nepal Med. Assoc. 2019, 57, 385–387. [Google Scholar] [CrossRef] [PubMed]
- Razmeh, S.; Habibi, A.H.; Ghorchian, Z.; Eslami, M.; Haeri, G. Acute stroke secondary to tuberculous meningitis: A case report and review of literature. Int. J. Prev. Treat. 2017, 6, 1–3. [Google Scholar]
- Pasticci, M.B.; Paciaroni, M.; Floridi, P.; Cecchini, E.; Baldelli, F. Stroke in a patient with tuberculous meningitis and HIV infection. Mediterr. J. Hematol. Infect. Dis. 2013, 5, e2013017. [Google Scholar] [CrossRef]
- Mengstu, A.; Belay, S.; Chakko, M.N.; Bala, A. Basal ganglia ischemic stroke: The unforeseen progression of tuberculosis epididymo-orchitis. Cureus 2023, 15, e46640. [Google Scholar] [CrossRef]
- Peng, X.; Wu, X.; Lv, L.; Xiao, Q.; Zhan, Y.; Wang, C.; Zhang, H. Successful Intravenous Thrombolysis in Ischemic Stroke Caused by Tuberculous Meningitis: A Case Report. Front. Neurol. 2021, 12, 676684. [Google Scholar] [CrossRef] [PubMed]
- Aasfara, J.; Regragui, W.; El Ouardi, L.; Ait Ben Haddou, E.H.; Benomar, A.; Yahyaoui, M. A case of bilateral thalamic infarct complicating tuberculous meningoencephalitis. Pan Afr. Med. J. 2019, 33, 74. [Google Scholar] [CrossRef]
- Mai, N.T.; Dobbs, N.; Phu, N.H.; Colas, R.A.; Thao, L.T.; Thuong, N.T.; Nghia, H.D.; Hanh, N.H.; Heemskerk, A.D.; Day, J.N.; et al. A Randomised Double Blind Placebo Controlled Phase 2 Trial of Adjunctive Aspirin for Tuberculous Meningitis in HIV-uninfected Adults. eLife 2018, 7, e33478. [Google Scholar] [CrossRef]
- Rohilla, R.; Shafiq, N.; Malhotra, S. Efficacy and safety of aspirin as an adjunctive therapy in tubercular meningitis: A systematic review and meta-analysis. eClinicalMedicine 2021, 34, 100819. [Google Scholar] [CrossRef]
- Thwaites, G.E.; Nguyen, D.B.; Nguyen, H.D.; Hoang, T.Q.; Do, T.T.; Nguyen, T.C.; Nguyen, Q.H.; Nguyen, T.T.; Nguyen, N.H.; Nguyen, T.N.; et al. Dexamethasone for the treatment of tuberculous meningitis in adolescents and adults. N. Engl. J. Med. 2004, 351, 1741–1751. [Google Scholar] [CrossRef] [PubMed]



| Date | Clinical Findings | Diagnostic Exams and Results |
|---|---|---|
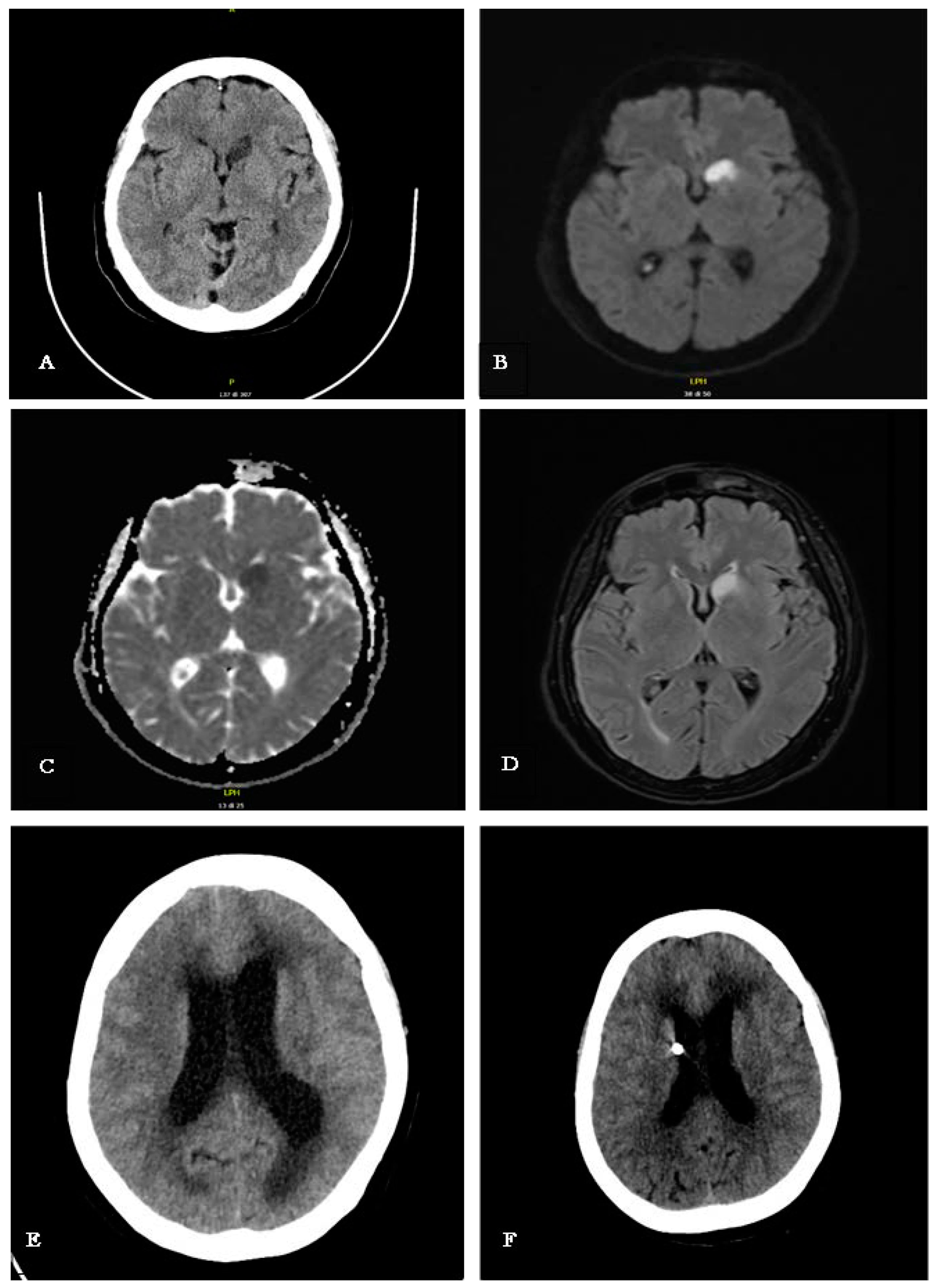
| Day 0 | Generalized weakness, fever (39 °C), persistent headache. | CT scan: Ischemic lesion in the head of the left caudate nucleus. |
| Day 1–3 | Worsening ideomotor slowing, apathy, abulia, night sweats, serotine fever (38.5 °C), tachycardia (HR 115 bpm), fatigue. | Tests: Negative for HSV 1 and 2, EBV, CMV, rubella, measles, HIV, Legionella, SARS-CoV-2, flu A/B, RSV. Urine culture: Negative. Chest X-ray: No abnormalities. Lymphocyte subset: Slight reduction in CD3+ and CD3+ CD4+ T cells. Echocardiography and Doppler ultrasonography of the supra-aortic trunks: Unremarkable. |
| Day 4 | Continued apathy, ideomotor slowing. | EEG: Localized slow waves in anterior regions, suggestive of meningoencephalitis. |
| Day 5 | Neurological symptoms progressively worsened: increased ideomotor slowing, apathy, abulia, and new symptoms such as Romberg oscillations, cautious gait, and vertigo. | Lumbar puncture: Lymphocytic predominance in CSF. |
| Day 6 | Further worsening of neurological symptoms, with continued ideomotor slowing. | TB Diagnosis: Mycobacterium tuberculosis in CSF. Antitubercular therapy started. |
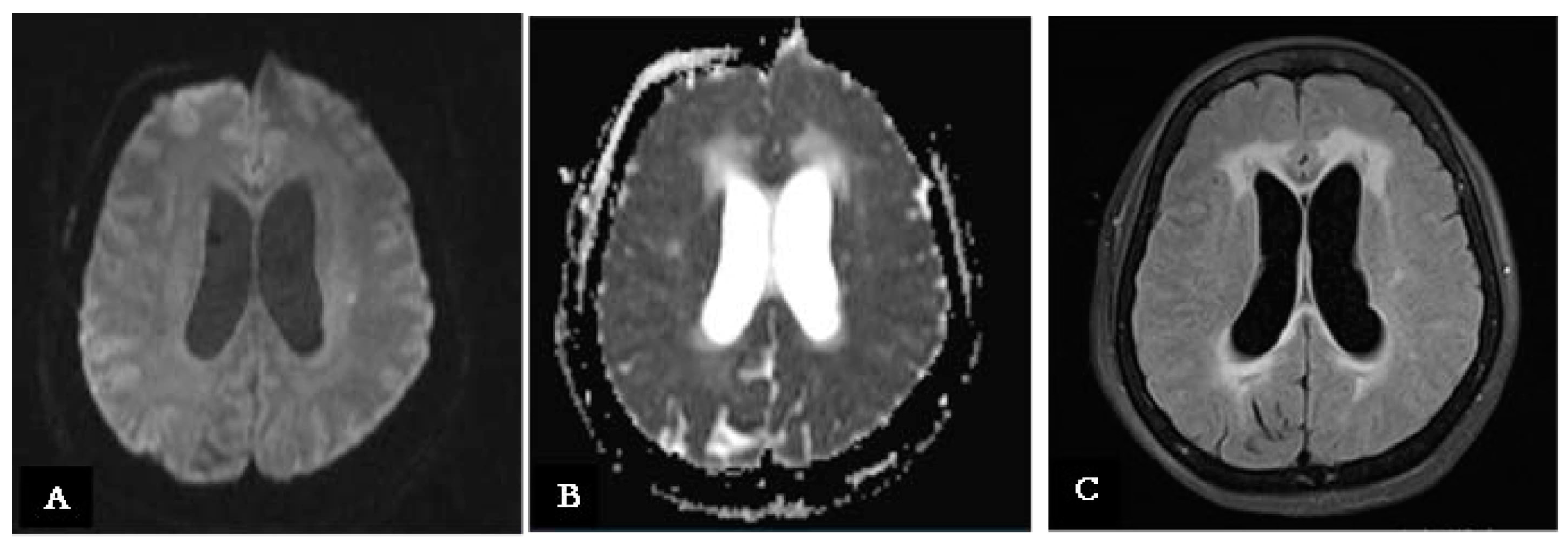
| Day 7–8 | Transferred to Infectious Diseases Department. Progressive decrease in arousal, leading to coma. | CT scan: Acute hydrocephalus detected. Neurosurgery: External ventricular drain inserted urgently. |
| Day 9 | Improvement in consciousness level. Continued ideomotor slowing, apathy, and abulia. | MRI with contrast: Leptomeningeal enhancement and new ischemic lesion at left corona radiata; hydrocephalus with signs of recent transependymal resorption. |
Disclaimer/Publisher’s Note: The statements, opinions and data contained in all publications are solely those of the individual author(s) and contributor(s) and not of MDPI and/or the editor(s). MDPI and/or the editor(s) disclaim responsibility for any injury to people or property resulting from any ideas, methods, instructions or products referred to in the content. |
© 2025 by the authors. Licensee MDPI, Basel, Switzerland. This article is an open access article distributed under the terms and conditions of the Creative Commons Attribution (CC BY) license (https://creativecommons.org/licenses/by/4.0/).
Share and Cite
Nuti, F.; Ruocco, G.; Pasculli, P.; Ciardi, M.R.; Fabbrini, G.; Bologna, M. Caudate Head Ischemic Stroke with Concurrent Tubercular Meningoencephalitis: A Case Report. Reports 2025, 8, 55. https://doi.org/10.3390/reports8020055
Nuti F, Ruocco G, Pasculli P, Ciardi MR, Fabbrini G, Bologna M. Caudate Head Ischemic Stroke with Concurrent Tubercular Meningoencephalitis: A Case Report. Reports. 2025; 8(2):55. https://doi.org/10.3390/reports8020055
Chicago/Turabian StyleNuti, Filippo, Giulia Ruocco, Patrizia Pasculli, Maria Rosa Ciardi, Giovanni Fabbrini, and Matteo Bologna. 2025. "Caudate Head Ischemic Stroke with Concurrent Tubercular Meningoencephalitis: A Case Report" Reports 8, no. 2: 55. https://doi.org/10.3390/reports8020055
APA StyleNuti, F., Ruocco, G., Pasculli, P., Ciardi, M. R., Fabbrini, G., & Bologna, M. (2025). Caudate Head Ischemic Stroke with Concurrent Tubercular Meningoencephalitis: A Case Report. Reports, 8(2), 55. https://doi.org/10.3390/reports8020055

