Cerebrovascular Thrombosis in Pediatric Ulcerative Colitis: A Case Report
Abstract
1. Introduction and Clinical Significance
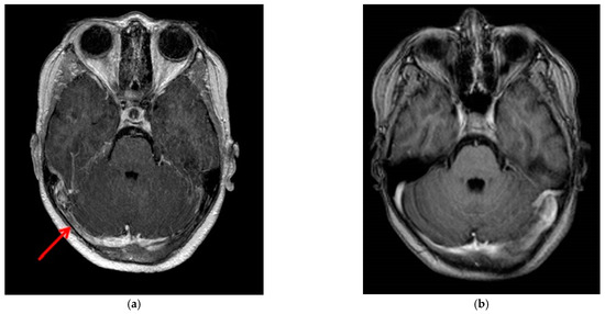
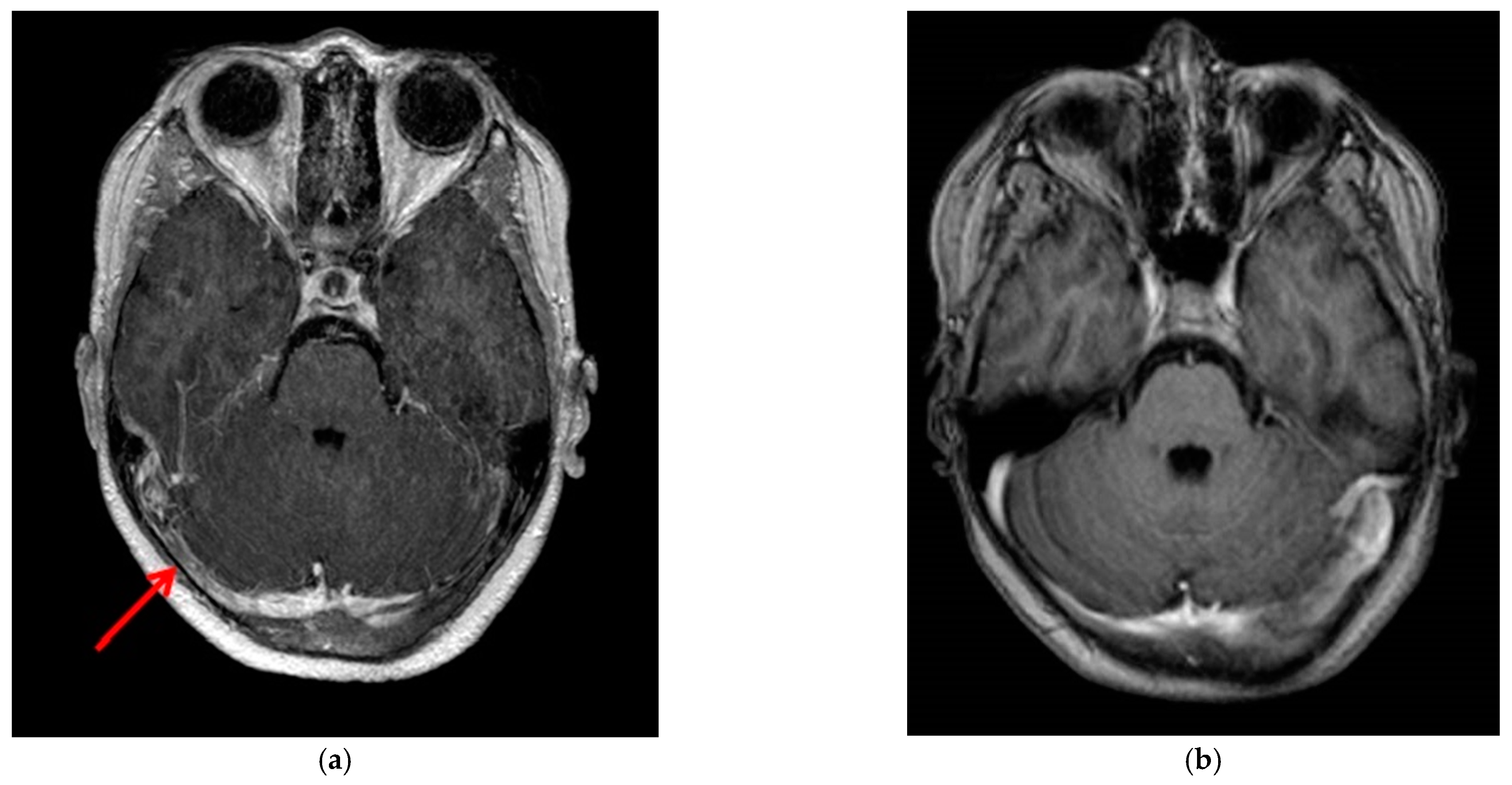
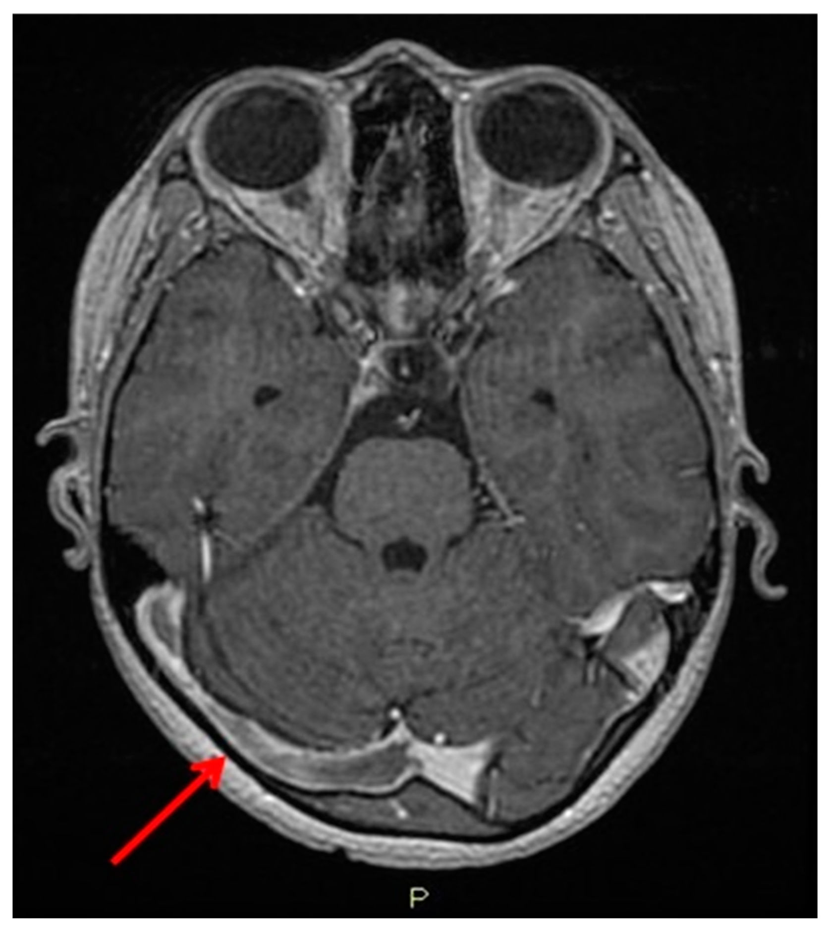
2. Case Presentation
3. Discussion
4. Conclusions
Author Contributions
Funding
Institutional Review Board Statement
Informed Consent Statement
Data Availability Statement
Conflicts of Interest
Abbreviations
References
- Ando, K.; Fujiya, M.; Nomura, Y.; Inaba, Y.; Sugiyama, Y.; Kobayashi, Y.; Iwama, T.; Ijiri, M.; Takahashi, K.; Ueno, N.; et al. The Incidence and Risk Factors of Venous Thromboembolism in Patients with Inflammatory Bowel Disease: A Prospective Multicenter Cohort Study. Digestion 2019, 100, 229–237. [Google Scholar] [CrossRef] [PubMed]
- Turner, D.; Ruemmele, F.M.; Orlanski-Meyer, E.; Griffiths, A.M.; de Carpi, J.M.; Bronsky, J.; Veres, G.; Aloi, M.; Strisciuglio, C.; Braegger, C.P.; et al. Management of Paediatric Ulcerative Colitis, Part 2: Acute Severe Colitis—An Evidence-Based Consensus Guideline From the European Crohn’s and Colitis Organization and the European Society of Paediatric Gastroenterology, Hepatology and Nutrition. J. Pediatr. Gastroenterol. Nutr. 2018, 67, 292–310. [Google Scholar] [CrossRef] [PubMed]
- Papa, A.; Gerardi, V.; Marzo, M.; Felice, C.; Rapaccini, G.L.; Gasbarrini, A. Venous thromboembolism in patients with inflammatory bowel disease: Focus on prevention and treatment. World J. Gastroenterol. 2014, 20, 3173–3179. [Google Scholar] [CrossRef]
- Katsanos, A.H.; Katsanos, K.H.; Kosmidou, M.; Giannopoulos, S.; Kyritsis, A.P.; Tsianos, E.V. Cerebral sinus venous thrombosis in inflammatory bowel diseases. QJM 2013, 106, 401–413. [Google Scholar] [CrossRef] [PubMed]
- Saposnik, G.; Barinagarrementeria, F.; Brown, R.D., Jr.; Bushnell, C.D.; Cucchiara, B.; Cushman, M.; deVeber, G.; Ferro, J.M.; Tsai, F.Y.; American Heart Association Stroke, C.; et al. Diagnosis and management of cerebral venous thrombosis: A statement for healthcare professionals from the American Heart Association/American Stroke Association. Stroke 2011, 42, 1158–1192. [Google Scholar] [CrossRef]
- Dmytriw, A.A.; Song, J.S.A.; Yu, E.; Poon, C.S. Cerebral venous thrombosis: State of the art diagnosis and management. Neuroradiology 2018, 60, 669–685. [Google Scholar] [CrossRef] [PubMed]
- Monagle, P.; Cuello, C.A.; Augustine, C.; Bonduel, M.; Brandao, L.R.; Capman, T.; Chan, A.K.C.; Hanson, S.; Male, C.; Meerpohl, J.; et al. American Society of Hematology 2018 Guidelines for management of venous thromboembolism: Treatment of pediatric venous thromboembolism. Blood Adv. 2018, 2, 3292–3316. [Google Scholar] [CrossRef]
- Simone, B.; De Stefano, V.; Leoncini, E.; Zacho, J.; Martinelli, I.; Emmerich, J.; Rossi, E.; Folsom, A.R.; Almawi, W.Y.; Scarabin, P.Y.; et al. Risk of venous thromboembolism associated with single and combined effects of Factor V Leiden, Prothrombin 20210A and Methylenetethraydrofolate reductase C677T: A meta-analysis involving over 11,000 cases and 21,000 controls. Eur. J. Epidemiol. 2013, 28, 621–647. [Google Scholar] [CrossRef]
- Lazzerini, M.; Bramuzzo, M.; Maschio, M.; Martelossi, S.; Ventura, A. Thromboembolism in pediatric inflammatory bowel disease: Systematic review. Inflamm. Bowel Dis. 2011, 17, 2174–2183. [Google Scholar] [CrossRef]
- Dave, M.; Loftus, E.V., Jr. Mucosal healing in inflammatory bowel disease-a true paradigm of success? Gastroenterol. Hepatol. 2012, 8, 29–38. [Google Scholar]
- Lambin, T.; Faye, A.S.; Colombel, J.F. Inflammatory Bowel Disease Therapy and Venous Thromboembolism. Curr. Treat. Options Gastroenterol. 2020, 18, 462–475. [Google Scholar] [CrossRef] [PubMed]
- Lalive, P.H.; de Moerloose, P.; Lovblad, K.; Sarasin, F.P.; Mermillod, B.; Sztajzel, R. Is measurement of D-dimer useful in the diagnosis of cerebral venous thrombosis? Neurology 2003, 61, 1057–1060. [Google Scholar] [CrossRef] [PubMed]
- Xu, W.; Gao, L.; Li, T.; Ramdoyal, N.D.; Zhang, J.; Shao, A. The Performance of CT versus MRI in the Differential Diagnosis of Cerebral Venous Thrombosis. Thromb. Haemost. 2018, 118, 1067–1077. [Google Scholar] [CrossRef] [PubMed]
- Liang, L.; Korogi, Y.; Sugahara, T.; Onomichi, M.; Shigematsu, Y.; Yang, D.; Kitajima, M.; Hiai, Y.; Takahashi, M. Evaluation of the intracranial dural sinuses with a 3D contrast-enhanced MP-RAGE sequence: Prospective comparison with 2D-TOF MR venography and digital subtraction angiography. AJNR Am. J. Neuroradiol. 2001, 22, 481–492. [Google Scholar] [PubMed]
- Zezos, P.; Kouklakis, G.; Saibil, F. Inflammatory bowel disease and thromboembolism. World J. Gastroenterol. 2014, 20, 13863–13878. [Google Scholar] [CrossRef] [PubMed]
- Middeldorp, S.; Nieuwlaat, R.; Baumann Kreuziger, L.; Coppens, M.; Houghton, D.; James, A.H.; Lang, E.; Moll, S.; Myers, T.; Bhatt, M.; et al. American Society of Hematology 2023 guidelines for management of venous thromboembolism: Thrombophilia testing. Blood Adv. 2023, 7, 7101–7138. [Google Scholar] [CrossRef]
- Shen, J.; Ran, Z.H.; Tong, J.L.; Xiao, S.D. Meta-analysis: The utility and safety of heparin in the treatment of active ulcerative colitis. Aliment. Pharmacol. Ther. 2007, 26, 653–663. [Google Scholar] [CrossRef]
- Betensky, M.; Bittles, M.A.; Colombani, P.; Goldenberg, N.A. How We Manage Pediatric Deep Venous Thrombosis. Semin. Intervent. Radiol. 2017, 34, 35–49. [Google Scholar] [CrossRef]
- Alkim, H.; Koksal, A.R.; Boga, S.; Sen, I.; Alkim, C. Etiopathogenesis, Prevention, and Treatment of Thromboembolism in Inflammatory Bowel Disease. Clin. Appl. Thromb. Hemost. 2017, 23, 501–510. [Google Scholar] [CrossRef] [PubMed]
- Zitomersky, N.L.; Levine, A.E.; Atkinson, B.J.; Harney, K.M.; Verhave, M.; Bousvaros, A.; Lightdale, J.R.; Trenor, C.C., 3rd. Risk factors, morbidity, and treatment of thrombosis in children and young adults with active inflammatory bowel disease. J. Pediatr. Gastroenterol. Nutr. 2013, 57, 343–347. [Google Scholar] [CrossRef]
- Javed, I.; Sultan, T.; Rehman, Z.U.; Yaseen, M.R. Clinical Spectrum and Outcome of Cerebral Venous Sinus Thrombosis in Children. J. Coll. Physicians Surg. Pak. 2018, 28, 390–393. [Google Scholar] [CrossRef]
- De Schryver, E.L.; Blom, I.; Braun, K.P.; Kappelle, L.J.; Rinkel, G.J.; Peters, A.C.; Jennekens-Schinkel, A. Long-term prognosis of cerebral venous sinus thrombosis in childhood. Dev. Med. Child Neurol. 2004, 46, 514–519. [Google Scholar] [CrossRef]


Disclaimer/Publisher’s Note: The statements, opinions and data contained in all publications are solely those of the individual author(s) and contributor(s) and not of MDPI and/or the editor(s). MDPI and/or the editor(s) disclaim responsibility for any injury to people or property resulting from any ideas, methods, instructions or products referred to in the content. |
© 2025 by the authors. Licensee MDPI, Basel, Switzerland. This article is an open access article distributed under the terms and conditions of the Creative Commons Attribution (CC BY) license (https://creativecommons.org/licenses/by/4.0/).
Share and Cite
Sansotta, N.; Di Stasio, F.; Amoroso, A.; D’Antiga, L. Cerebrovascular Thrombosis in Pediatric Ulcerative Colitis: A Case Report. Reports 2025, 8, 22. https://doi.org/10.3390/reports8010022
Sansotta N, Di Stasio F, Amoroso A, D’Antiga L. Cerebrovascular Thrombosis in Pediatric Ulcerative Colitis: A Case Report. Reports. 2025; 8(1):22. https://doi.org/10.3390/reports8010022
Chicago/Turabian StyleSansotta, Naire, Fabiana Di Stasio, Angela Amoroso, and Lorenzo D’Antiga. 2025. "Cerebrovascular Thrombosis in Pediatric Ulcerative Colitis: A Case Report" Reports 8, no. 1: 22. https://doi.org/10.3390/reports8010022
APA StyleSansotta, N., Di Stasio, F., Amoroso, A., & D’Antiga, L. (2025). Cerebrovascular Thrombosis in Pediatric Ulcerative Colitis: A Case Report. Reports, 8(1), 22. https://doi.org/10.3390/reports8010022

