Wandering Spleen Complicated by Thrombocytopenia, Acute Appendicitis, and Sepsis: A Case Report and Literature Review
Abstract
1. Introduction
2. Methods
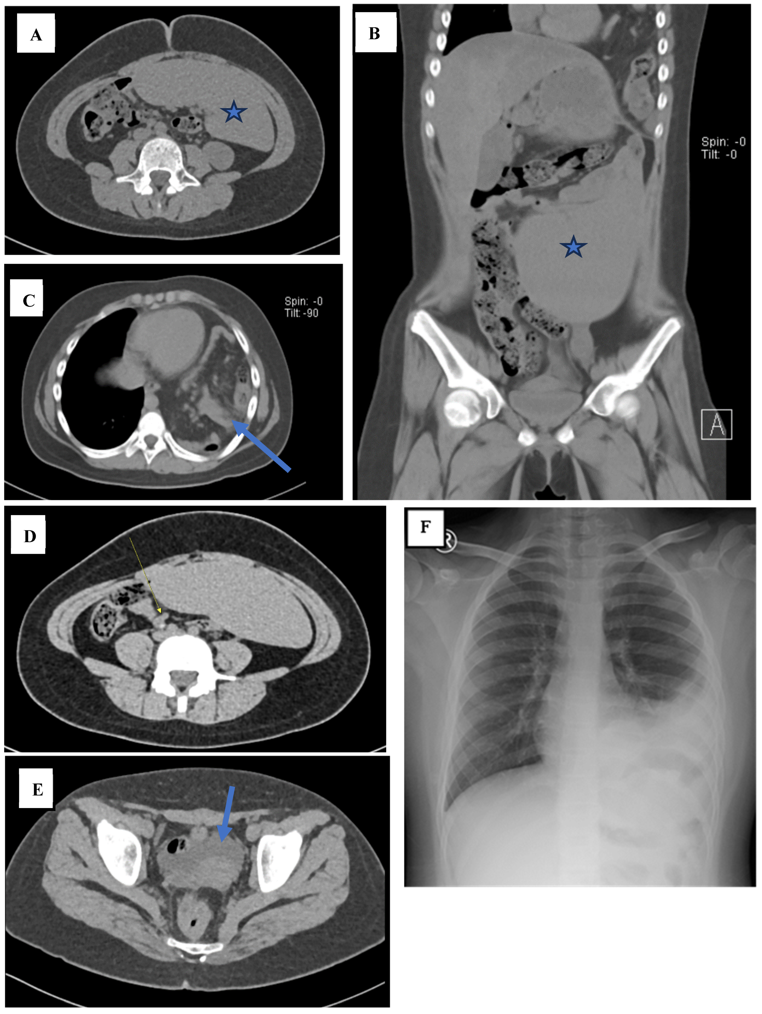
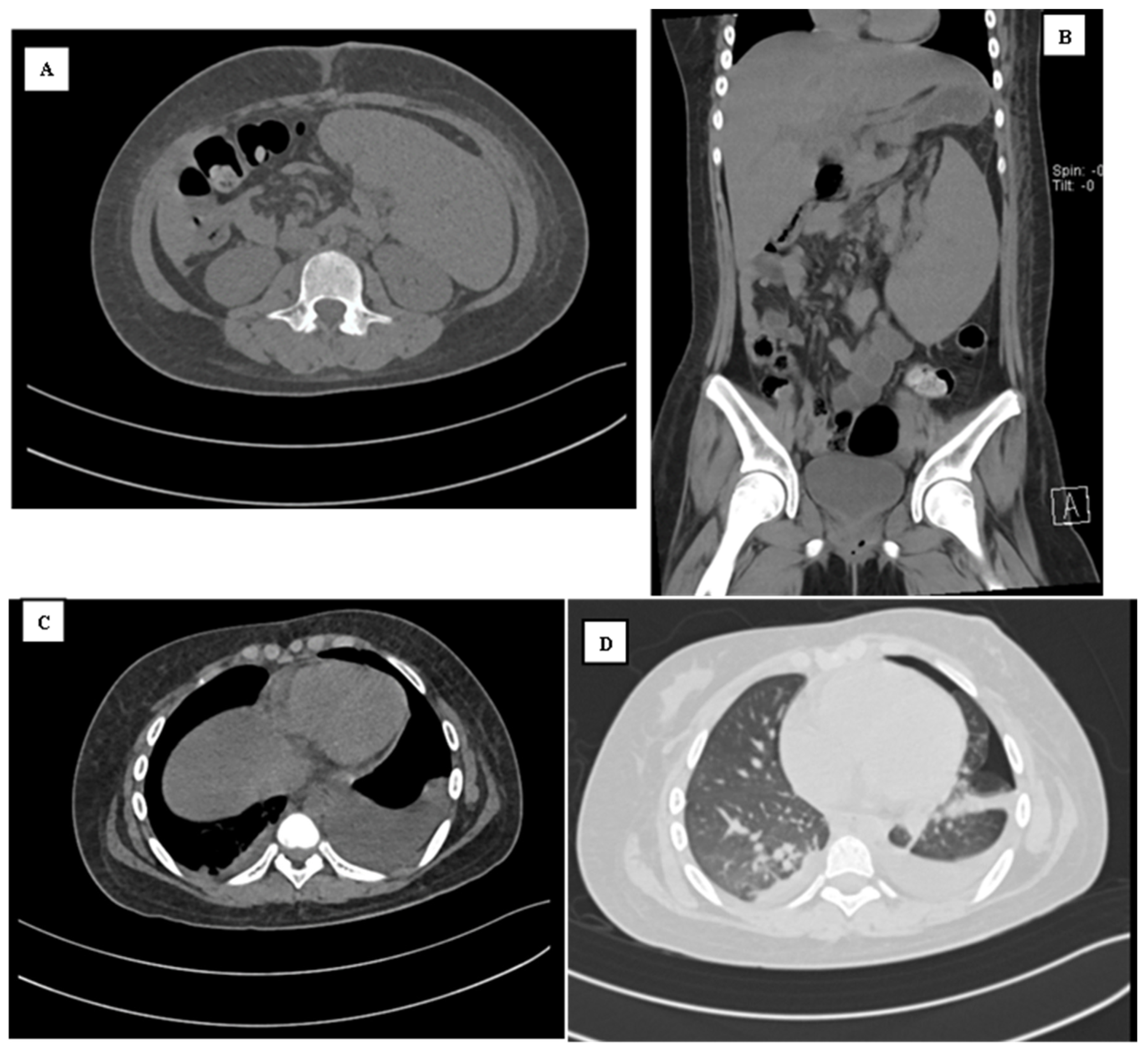
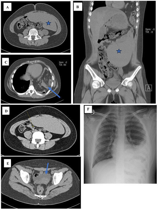
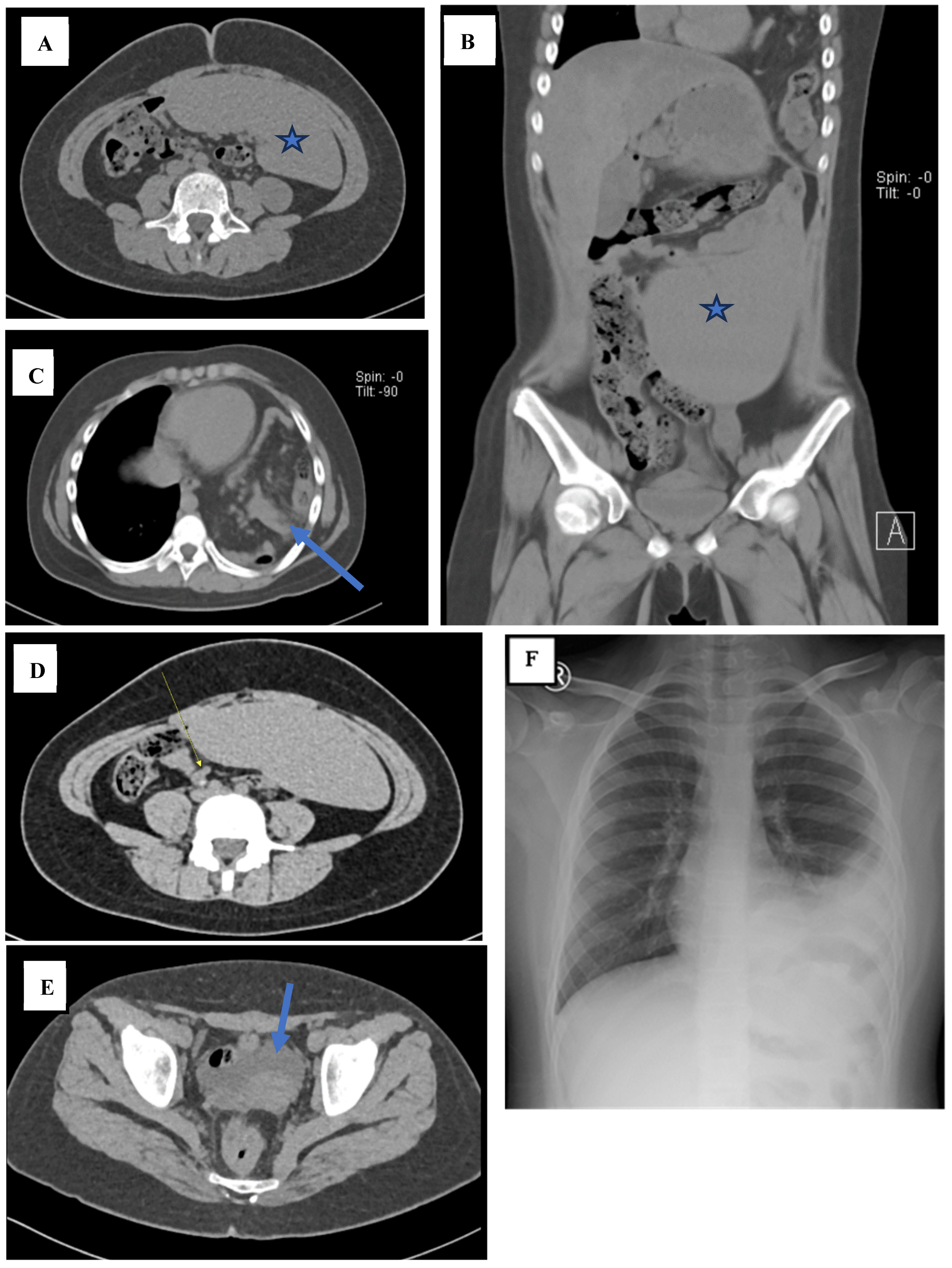
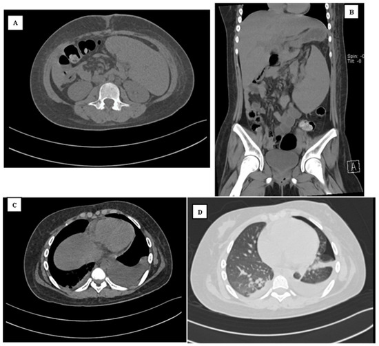
3. Case Presentation
4. Discussion
5. Conclusions
Supplementary Materials
Author Contributions
Funding
Institutional Review Board Statement
Informed Consent Statement
Data Availability Statement
Conflicts of Interest
References
- Lane, T.M.; South, L.M. Management of a wandering spleen. J. R. Soc. Med. 1999, 92, 84–85. [Google Scholar] [CrossRef] [PubMed]
- Ho, C.L. Wandering spleen with chronic torsion in a patient with thalassaemia. Singapore Med. J. 2014, 55, e198–e200. [Google Scholar] [CrossRef] [PubMed]
- Cesta, M.F. Normal Structure, Function, and Histology of the Spleen. Toxicol. Pathol. 2006, 34, 455–465. [Google Scholar] [CrossRef]
- Allen, K.B.; Andrews, G. Pediatric wandering spleen—The case for splenopexy: Review of 35 reported cases in the literature. J. Pediatr. Surg. 1989, 24, 432–435. [Google Scholar] [CrossRef]
- Moran, J.C.; Shah, U.; Singer, J.A. Spontaneous rupture of a wandering spleen: Case report and literature review. Curr. Surg. 2003, 60, 310–312. [Google Scholar] [CrossRef] [PubMed]
- Sharma, A.; Salerno, G. A torted wandering spleen: A case report. J. Med. Case Rep. 2014, 8, 133. [Google Scholar] [CrossRef]
- Oyachi, N.; Numano, F.; Fukatsu, T.; Nemoto, A.; Naito, A. Volvulus of the stomach and wandering spleen after repair of congenital diaphragmatic hernia: Unexpected manifestations in a neonate. Surg. Case Rep. 2022, 8, 178. [Google Scholar] [CrossRef]
- Mehta, A.; Vana, P.G.; Glynn, L. Splenic torsion after congenital diaphragmatic hernia repair: Case report and review of the literature. J. Pediatr. Surg. 2013, 48, e29–e31. [Google Scholar] [CrossRef]
- Cartesegna, E.; Rassu, P.C.; Accarpio, V.; Barbieri, S.; Bocchio, M.M.; Giaminardi, E.; Malfitano, A.; Montobbio, A.; Olcese, S.; Palombo, D.; et al. Laparoscopic Splenectomy of a Wandering Pelvic Splenomegaly in a Young Woman Treated in Childhood with Surgery for Diaphragmatic Hernia and Adhesiolysis for Intestinal Obstruction. Am. J. Case Rep. 2022, 23, e936964. [Google Scholar] [CrossRef]
- Ng, T.; Lessin, M.S.; Luks, F.I.; Wallach, M.T.; Wesselhoeft, C.W., Jr. Wandering spleen presenting as duodenal obstruction after repair of congenital diaphragmatic hernia. J. Pediatr. Surg. 1997, 32, 1790–1792. [Google Scholar] [CrossRef]
- Yasuda, H.; Inoue, M.; Uchida, K.; Otake, K.; Koike, Y.; Fujikawa, H.; Miki, C.; Kusunoki, M. Wandering spleen causing intestinal obstruction after repair of congenital diaphragmatic hernia. Eur. J. Pediatr. Surg. 2010, 20, 121–123. [Google Scholar] [CrossRef] [PubMed]
- Pelizzo, G.; Lembo, M.A.; Franchella, A.; Giombi, A.; D’Agostino, F.; Sala, S. Gastric volvulus associated with congenital diaphragmatic hernia, wandering spleen, and intrathoracic left kidney: CT findings. Abdom. Imaging. 2001, 26, 306–308. [Google Scholar] [CrossRef] [PubMed]
- Dangen, J.; Lau, S.; Abbas, S. Treatment of a congenital diaphragmatic hernia with associated wandering spleen: Case report of a 17-year-old girl. Int. J. Surg. Case Rep. 2020, 77, 32–35. [Google Scholar] [CrossRef] [PubMed]
- Mirkes, C.; Nguyen, G.; Cable, C. The wandering spleen: An unusual case of thrombocytopenia. J. Blood Med. 2011, 2, 161–163. [Google Scholar] [PubMed]
- Moll, S.; Igelhart, J.D.; Ortel, T.L. Thrombocytopenia in association with a wandering spleen. Am. J. Hematol. 1996, 53, 259–263. [Google Scholar] [CrossRef]
- Zhao, S.; Wang, Y.; Wan, Z.; Chen, H.; Zhao, X.; Li, R. A case report of wandering spleen with pedicle torsion and splenic infarction being misdiagnosed as organ inversion complicated with acute appendicitis. Front. Surg. 2022, 9, 916426. [Google Scholar] [CrossRef]
- Koliakos, E.; Papazarkadas, X.; Sleiman, M.J.; Rotas, I.; Christodoulou, M. Wandering Spleen Volvulus: A Case Report and Literature Review of This Diagnostic Challenge. Am. J. Case Rep. 2020, 21, e925301. [Google Scholar] [CrossRef]
- Lam, Y.; Yuen, K.K.; Chong, L.C. Acute torsion of a wandering spleen. Hong. Kong Med. J. 2012, 18, 160–162. [Google Scholar]
- Juliansen, A.; Budiputri, C.L.; Meliani, F.; Muljono, M.P.; Heriyanto, R.S.; Chandra, S.; Octavius, G.S. Clinical characteristics and laboratory parameters in differentiating dengue from other acute febrile illnesses. Egypt. Pediatr. Assoc. Gaz. 2022, 70, 52. [Google Scholar] [CrossRef]
- Montenovo, M.I.; Ahad, S.; Oelschlager, B.K. Laparoscopic splenopexy for wandering spleen: Case report and review of the literature. Surg. Laparosc. Endosc. Percutan Tech. 2010, 20, e182–e184. [Google Scholar] [CrossRef]
- Ahmed, M.; Nasir, M.; Negash, A.; Haile, K. Wandering Spleen with Splenic Torsion: Unusual Cause of Acute Abdomen. Int. Med. Case Rep. J. 2022, 15, 625–630. [Google Scholar] [CrossRef] [PubMed]
- Yildiz, A.E.; Ariyurek, M.O.; Karcaaltincaba, M. Splenic anomalies of shape, size, and location: Pictorial essay. ScientificWorldJournal 2013, 2013, 321810. [Google Scholar] [CrossRef] [PubMed]
- Opoku-Temeng, C.; Kobayashi, S.D.; DeLeo, F.R. Klebsiella pneumoniae capsule polysaccharide as a target for therapeutics and vaccines. Comput. Struct. Biotechnol. J. 2019, 17, 1360–1366. [Google Scholar] [CrossRef] [PubMed]


| Author (Year) | Sex and Age (Year) | Associated Comorbidities | Surgery | Outcome |
|---|---|---|---|---|
| Dangen (2020) [13] | F, 17 | CDH and splenic torsion | Closure of hernia and splenectomy | Post-operative pneumothorax but recovered well |
| Mirkes (2011) [14] | F. 21 (16 weeks pregnant) | Thrombocytopenia | None | Low platelet even after delivery |
| Zhao (2022) [16] | M, 18 | Appendicitis and splenic torsion | Laparoscopic removal of spleen and appendix | Discharged seven days after surgery |
| Pelizzo (2001) [12] | F, 12 | CDH | Diaphragmatic repair with simple medial dislocation of the spleen | Recovered well |
| Moll (1996) [15] | F, 30 | Thrombocytopenia | Splenectomy | Recovered well and no longer has thrombocytopenia |
Disclaimer/Publisher’s Note: The statements, opinions and data contained in all publications are solely those of the individual author(s) and contributor(s) and not of MDPI and/or the editor(s). MDPI and/or the editor(s) disclaim responsibility for any injury to people or property resulting from any ideas, methods, instructions or products referred to in the content. |
© 2024 by the authors. Licensee MDPI, Basel, Switzerland. This article is an open access article distributed under the terms and conditions of the Creative Commons Attribution (CC BY) license (https://creativecommons.org/licenses/by/4.0/).
Share and Cite
Inggriani, S.; Sulay, C.B.H.; Octavius, G.S. Wandering Spleen Complicated by Thrombocytopenia, Acute Appendicitis, and Sepsis: A Case Report and Literature Review. Reports 2024, 7, 73. https://doi.org/10.3390/reports7030073
Inggriani S, Sulay CBH, Octavius GS. Wandering Spleen Complicated by Thrombocytopenia, Acute Appendicitis, and Sepsis: A Case Report and Literature Review. Reports. 2024; 7(3):73. https://doi.org/10.3390/reports7030073
Chicago/Turabian StyleInggriani, Sri, Callistus Bruce Henfry Sulay, and Gilbert Sterling Octavius. 2024. "Wandering Spleen Complicated by Thrombocytopenia, Acute Appendicitis, and Sepsis: A Case Report and Literature Review" Reports 7, no. 3: 73. https://doi.org/10.3390/reports7030073
APA StyleInggriani, S., Sulay, C. B. H., & Octavius, G. S. (2024). Wandering Spleen Complicated by Thrombocytopenia, Acute Appendicitis, and Sepsis: A Case Report and Literature Review. Reports, 7(3), 73. https://doi.org/10.3390/reports7030073

