Concurrent Onset of Central Retinal Vein Occlusion and Inflammation of a Large Maxillary Odontogenic Cyst: Case Report and Analysis
Abstract
1. Introduction
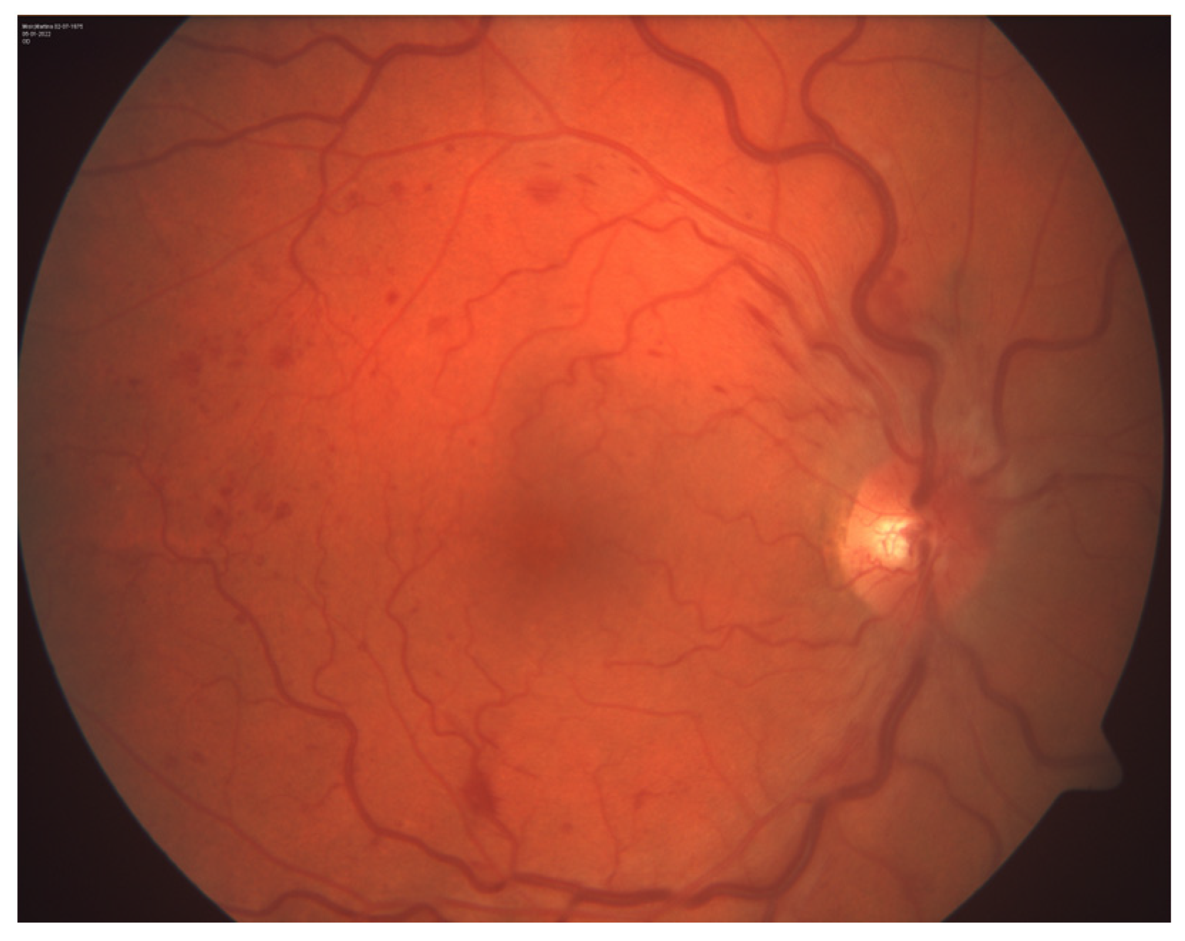
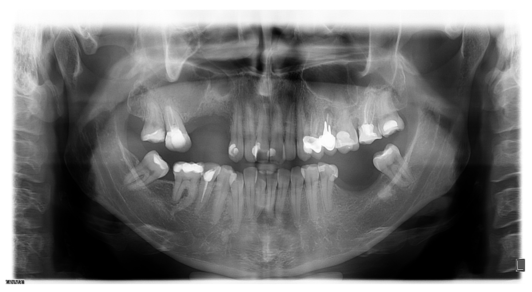
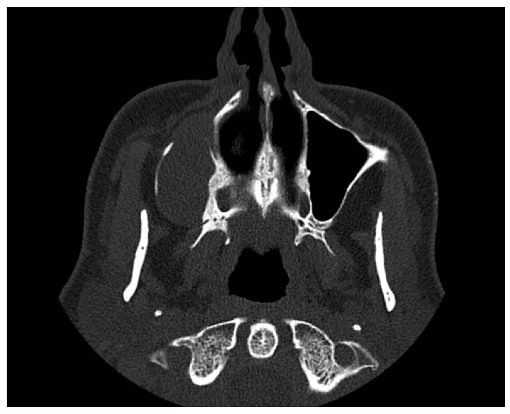
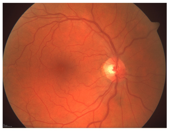
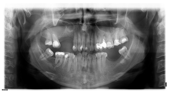
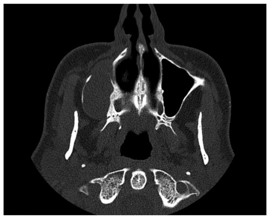
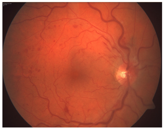
2. Case Presentation
3. Discussion
Author Contributions
Funding
Institutional Review Board Statement
Informed Consent Statement
Data Availability Statement
Conflicts of Interest
References
- Ip, M.; Hendrick, A. Retinal Vein Occlusion Review. Asia Pac. J. Ophthalmol. 2018, 7, 40–45. [Google Scholar] [CrossRef] [PubMed]
- Rehak, M.; Wiedemann, P. Retinal vein thrombosis: Pathogenesis and management. J. Thromb. Haemost. 2010, 8, 1886–1894. [Google Scholar] [CrossRef] [PubMed]
- Chen, T.Y.; Uppuluri, A.; Zarbin, M.A.; Bhagat, N. Risk factors for central retinal vein occlusion in young adults. Eur. J. Ophthalmol. 2021, 31, 2546–2555. [Google Scholar] [CrossRef] [PubMed]
- Song, P.; Xu, Y.; Zha, M.; Zhang, Y.; Rudan, I. Global epidemiology of retinal vein occlusion: A systematic review and meta-analysis of prevalence, incidence, and risk factors. J. Glob. Health 2019, 9, 010427. [Google Scholar] [CrossRef] [PubMed]
- Jaulim, A.; Ahmed, B.; Khanam, T.; Chatziralli, I.P. Branch retinal vein occlusion: Epidemiology, pathogenesis, risk factors, clinical features, diagnosis, and complications. An update of the literature. Retina 2013, 33, 901–910. [Google Scholar] [CrossRef] [PubMed]
- Marcinkowska, A.; Cisiecki, S.; Rozalski, M. Platelet and Thrombophilia-Related Risk Factors of Retinal Vein Occlusion. J. Clin. Med. 2021, 10, 3080. [Google Scholar] [CrossRef] [PubMed] [PubMed Central]
- Scott, I.U.; Campochiaro, P.A.; Newman, N.J.; Biousse, V. Retinal vascular occlusions. Lancet 2020, 396, 1927–1940. [Google Scholar] [CrossRef] [PubMed] [PubMed Central]
- Shah, P.N.; Shanmugam, M.P.; Vora, U.B.; Agrawal, S.; Sirivella, I.; Suryakanth, S.; Jayasingh, R. Long-term real-world outcomes in retinal vein occlusions: How close are we to the trials? Indian J. Ophthalmol. 2022, 70, 4370–4375. [Google Scholar] [CrossRef] [PubMed] [PubMed Central]
- Patel, A.; Nguyen, C.; Lu, S. Central Retinal Vein Occlusion: A Review of Current Evidence-based Treatment Options. Middle E. Afr. J. Ophthalmol. 2016, 23, 44–48. [Google Scholar] [CrossRef] [PubMed] [PubMed Central]
- Foreman, J.; Xie, J.; Keel, S.; Ang, G.S.; Lee, P.Y.; Bourne, R.; Crowston, J.G.; Taylor, H.R.; Dirani, M. Prevalence and Causes of Unilateral Vision Impairment and Unilateral Blindness in Australia: The National Eye Health Survey. JAMA Ophthalmol. 2018, 136, 240–248. [Google Scholar] [CrossRef] [PubMed] [PubMed Central]
- Joshi, A.; Jain, A.; Chimote, M.M. Etiology and Pathophysiological Pathways of Ocular Complications Associated with Local Dental Anesthesia and Odontogenic Infections: A Systematic Review. J. Maxillofac. Oral. Surg. 2022, 21, 648–667. [Google Scholar] [CrossRef] [PubMed] [PubMed Central]
- Zhang, J.; Stringer, M.D. Ophthalmic and facial veins are not valveless. Clin. Exp. Ophthalmol. 2010, 38, 502–510. [Google Scholar] [CrossRef] [PubMed]
- Laurance, S.; Marin, M.; Colin, Y. Red Blood Cells: A Newly Described Partner in Central Retinal Vein Occlusion Pathophysiology? Int. J. Mol. Sci. 2023, 24, 1072. [Google Scholar] [CrossRef] [PubMed] [PubMed Central]
- Risse, F.; Frank, R.D.; Weinberger, A.W. Thrombophilia in patients with retinal vein occlusion: A retrospective analysis. Ophthalmologica 2014, 232, 46–52. [Google Scholar] [CrossRef] [PubMed]
- Cerit, L. Fibrinogen and Atherosclerosis. Arq. Bras. Cardiol. 2017, 108, 189–190. [Google Scholar] [CrossRef] [PubMed] [PubMed Central]
- Sumner, R.C.; Bennett, R.; Creaven, A.M.; Gallagher, S. Unemployment, employment precarity, and inflammation. Brain Behav. Immun. 2020, 83, 303–308. [Google Scholar] [CrossRef] [PubMed]
- Lendzioszek, M.; Mrugacz, M.; Bryl, A.; Poppe, E.; Zorena, K. Prevention and Treatment of Retinal Vein Occlusion: The Role of Diet—A Review. Nutrients 2023, 15, 3237. [Google Scholar] [CrossRef] [PubMed] [PubMed Central]
- Edo, A.; Ibrahim, D.G.; Hirooka, K.; Toda, R.; Kamaruddin, M.I.; Kawano, R.; Nagao, A.; Ohno, H.; Yoneda, M.; Kiuchi, Y. Dietary Vitamins A, C, and Potassium Intake Is Associated with Narrower Retinal Venular Caliber. Front. Med. 2022, 9, 818139. [Google Scholar] [CrossRef] [PubMed] [PubMed Central]
- Shi, H.Y.; Yan, S.M.; Guo, Y.M.; Zhang, B.Q.; Guo, X.Y.; Shi, B.L. Vitamin A pretreatment protects NO-induced bovine mammary epithelial cells from oxidative stress by modulating Nrf2 and NF-κB signaling pathways. J. Anim. Sci. 2018, 96, 1305–1316. [Google Scholar] [CrossRef] [PubMed] [PubMed Central]
- Valeriani, E.; Paciullo, F.; Porfidia, A.; Pignatelli, P.; Candeloro, M.; Di Nisio, M.; Donadini, M.P.; Mastroianni, C.M.; Pola, R.; Gresele, P.; et al. Antithrombotic treatment for retinal vein occlusion: A systematic review and meta-analysis. J. Thromb. Haemost. 2023, 21, 284–293. [Google Scholar] [CrossRef] [PubMed]
- Safadi, A.; Kleinman, S.; Gigi, D.; Wengier, A.; Oz, I.; Abergel, A.; Koren, I.; Ungar, O.J. Surgical management of odontogenic cysts involving the maxillary sinus- a retrospective study. J. Craniomaxillofac. Surg. 2020, 48, 800–807. [Google Scholar] [CrossRef] [PubMed]
- Oliveros-Lopez, L.; Fernandez-Olavarria, A.; Torres-Lagares, D.; Serrera-Figallo, M.A.; Castillo-Oyagüe, R.; Segura-Egea, J.J.; Gutierrez-Perez, J.L. Reduction rate by decompression as a treatment of odontogenic cysts. Med. Oral. Patol. Oral. Cir. Bucal 2017, 22, e643–e650. [Google Scholar] [CrossRef] [PubMed] [PubMed Central]
- Hu, Y.K.; Yang, C.; Xu, G.Z.; Xie, Q.Y. Digital design of functional surgery for odontogenic cyst intruding into maxillary sinus. Braz. J. Otorhinolaryngol. 2018, 84, 212–219. [Google Scholar] [CrossRef] [PubMed] [PubMed Central]
- Al-Belasy, F.A. Inferior meatal antrostomy: Is it necessary after radical sinus surgery through the Caldwell-Luc approach? J. Oral. Maxillofac. Surg. 2004, 62, 559–562. [Google Scholar] [CrossRef] [PubMed]
- Anavi, Y.; Gal, G.; Miron, H.; Calderon, S.; Allon, D.M. Decompression of odontogenic cystic lesions: Clinical long-term study of 73 cases. Oral. Surg. Oral. Med. Oral. Pathol. Oral. Radiol. Endodontol. 2011, 112, 164–169. [Google Scholar] [CrossRef] [PubMed]







Disclaimer/Publisher’s Note: The statements, opinions and data contained in all publications are solely those of the individual author(s) and contributor(s) and not of MDPI and/or the editor(s). MDPI and/or the editor(s) disclaim responsibility for any injury to people or property resulting from any ideas, methods, instructions or products referred to in the content. |
© 2024 by the authors. Licensee MDPI, Basel, Switzerland. This article is an open access article distributed under the terms and conditions of the Creative Commons Attribution (CC BY) license (https://creativecommons.org/licenses/by/4.0/).
Share and Cite
Kopić, V.; Kopić, A.; Mišir, M.; Petrović, S. Concurrent Onset of Central Retinal Vein Occlusion and Inflammation of a Large Maxillary Odontogenic Cyst: Case Report and Analysis. Reports 2024, 7, 55. https://doi.org/10.3390/reports7030055
Kopić V, Kopić A, Mišir M, Petrović S. Concurrent Onset of Central Retinal Vein Occlusion and Inflammation of a Large Maxillary Odontogenic Cyst: Case Report and Analysis. Reports. 2024; 7(3):55. https://doi.org/10.3390/reports7030055
Chicago/Turabian StyleKopić, Vlatko, Andrijana Kopić, Mihael Mišir, and Sanjin Petrović. 2024. "Concurrent Onset of Central Retinal Vein Occlusion and Inflammation of a Large Maxillary Odontogenic Cyst: Case Report and Analysis" Reports 7, no. 3: 55. https://doi.org/10.3390/reports7030055
APA StyleKopić, V., Kopić, A., Mišir, M., & Petrović, S. (2024). Concurrent Onset of Central Retinal Vein Occlusion and Inflammation of a Large Maxillary Odontogenic Cyst: Case Report and Analysis. Reports, 7(3), 55. https://doi.org/10.3390/reports7030055

