Primary Melanoma of the Pineal Gland Case Report and Review of the Literature
Abstract
1. Introduction
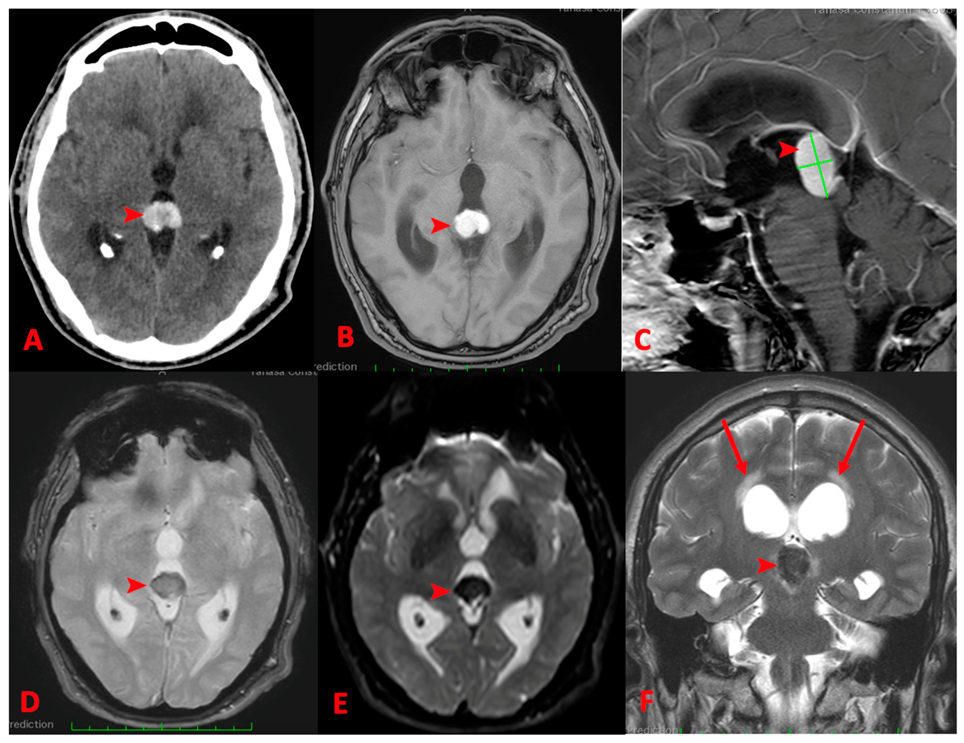
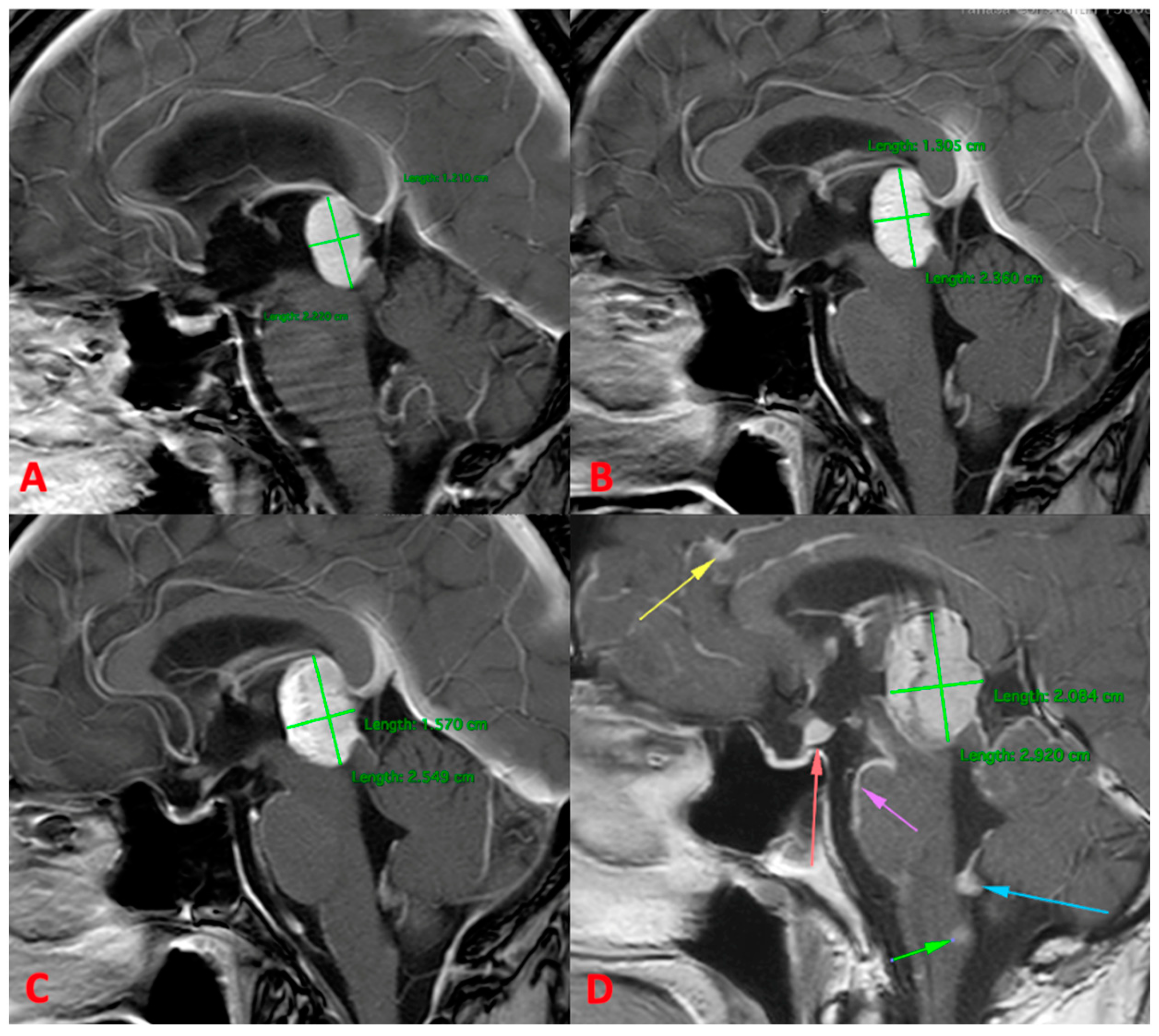
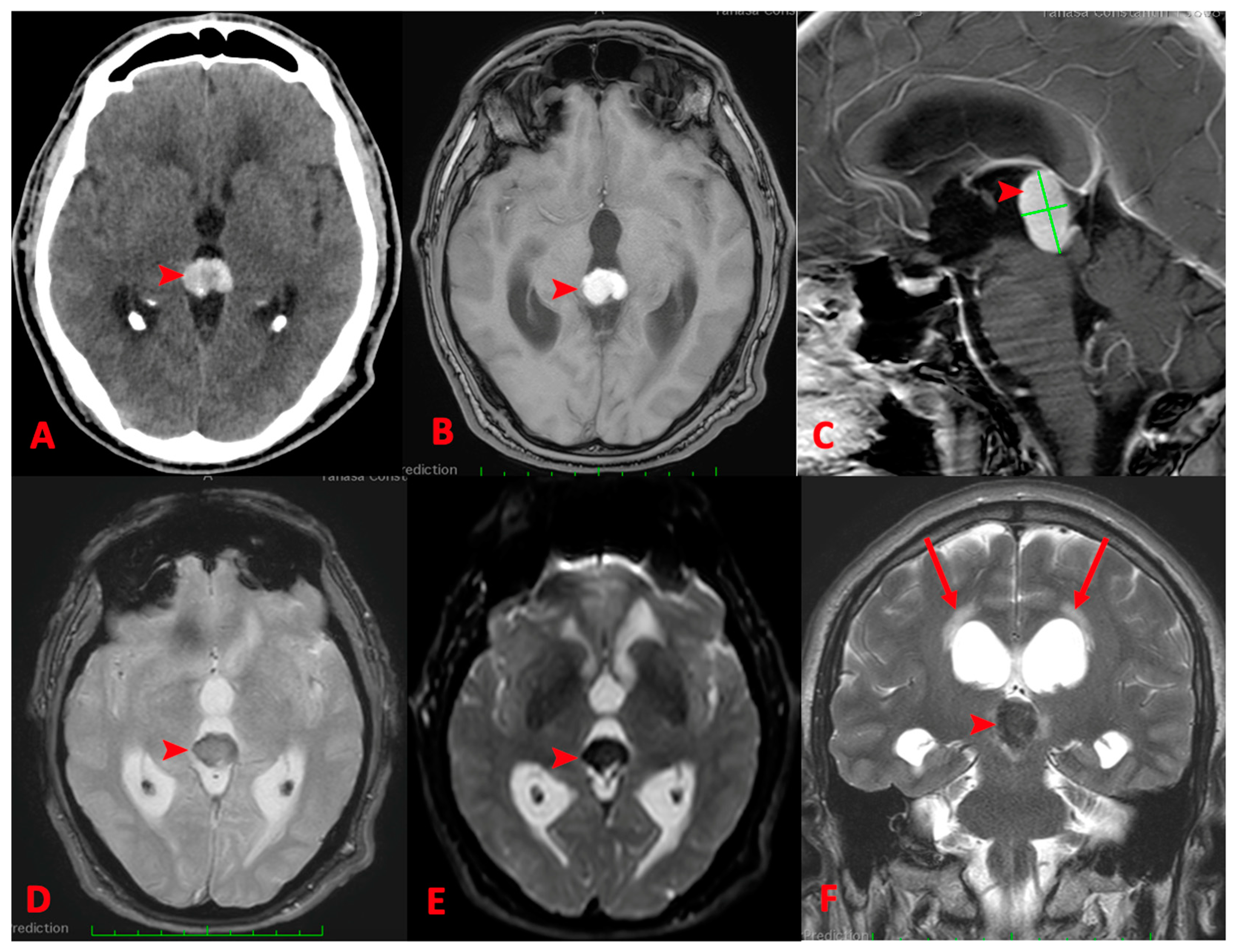
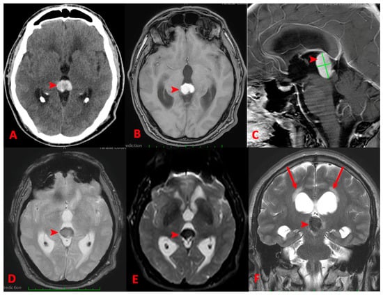
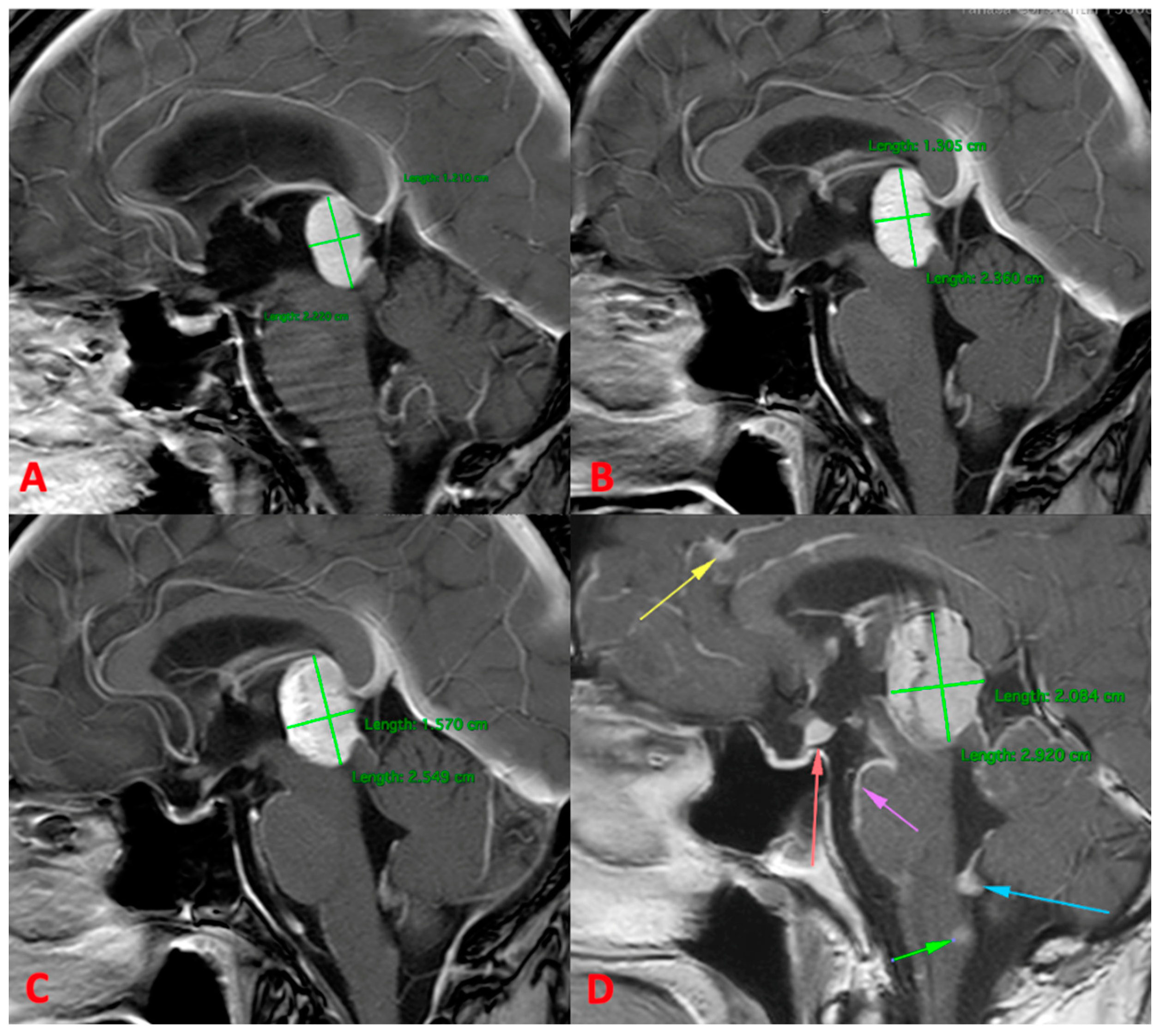
2. Detailed Case Description
3. Discussion
3.1. Origin
3.2. Diagnosis
3.2.1. Presentation
3.2.2. MRI
3.2.3. Two
3.3. Treatment
3.4. Prognosis
4. Conclusions
Author Contributions
Funding
Institutional Review Board Statement
Informed Consent Statement
Data Availability Statement
Conflicts of Interest
References
- Azimi, P.; Mohmmadi, H.R.; Refiezadeh, M. Primary pineal melanoma presenting with leptomeningeal spreading in a 22-year-old woman: A case report. J. Med. Case Rep. 2012, 6, 165. [Google Scholar] [CrossRef]
- Arantes, M.; Castro, A.F.; Romao, H.; Meireles, P.; Garcia, R.; Honavar, M.; Vaz, A.R.; Resende, M. Primary pineal malignant melanoma: Case report and literature review. Clin. Neurol. Neurosurg. 2011, 113, 59–64. [Google Scholar] [CrossRef]
- Rotariu, D. Endoscopic management of posterior third ventricle lesions. Rev. Med.-Chir. 2021, 125, 540–549. [Google Scholar] [CrossRef]
- Chibbaro, S.; Di Rocco, F.; Makiese, O.; Reiss, A.; Poczos, P.; Mirone, G.; Servadei, F.; George, B.; Crafa, P.; Polivka, M.; et al. Neuroendoscopic management of posterior third ventricle and pineal region tumors: Technique, limitation, and possible complication avoidance. Neurosurg. Rev. 2012, 35, 331–338; discussion 338–340. [Google Scholar] [CrossRef]
- Ogle, C. Diseases, etc., of the nervous system. Pathol. Soc. L Trans. 1899, 50, 1–29. [Google Scholar]
- Stoerk, O. Melano-sarkomatosis piae matris. Weiner Klin Wochenschr 1904, 17, 184–189. [Google Scholar]
- Foot, N.C.; Zeek, P. Two cases of melanoma of the meninges with autopsy. Am. J. Pathol. 1931, 7, 605–618. [Google Scholar]
- Gibson, J.B.; Burrows, D.; Weir, W.P. Primary melanoma of the meninges. J. Pathol. Bacteriol. 1957, 74, 419. [Google Scholar] [CrossRef]
- Enriquez, R.; Egbert, B.; Bullock, J. Primary malignant melanoma of the pineal region. Arch. Pathol. 1973, 95, 392–395. [Google Scholar] [PubMed]
- Arlant, P.A.; Grunnet, M.L.; Heilbrun, M.P. Primary malignant melanoma of the pineal region. Surg. Neurol. 1977, 7, 121–123. [Google Scholar] [PubMed]
- Carlson, B.R.; Glick, A.D.; Cushman, A.R. Primary malignant melanoma of pineal region. J. Tenn. Med. Assoc. 1987, 80, 597–599. [Google Scholar]
- Weindling, S.M.; Press, G.A.; Hesselink, J.R. MR characteristics of a primary melanoma of the quadrigeminal plate. AJNR Am. J. Neuroradiol. 1988, 9, 214–215. [Google Scholar] [PubMed]
- Rubino, G.J.; King, W.A.; Quinn, B.; Marroquin, C.E.; Verity, M.A. Primary pineal melanoma: Case report. Neurosurgery 1993, 33, 511–515; discussion 515. [Google Scholar] [CrossRef] [PubMed]
- Yamane, K.; Shima, T.; Okada, Y.; Nishida, M.; Okita, S.; Hatayama, T.; Nishida, T. Primary pineal melanoma with long-term survival: Case report. Surg. Neurol. 1994, 42, 433–437. [Google Scholar] [CrossRef]
- Mitchell, P.J.; Funt, S.A.; Gonzales, M.F.; Popovic, E.A. Primary pineal and meningeal malignant melanomatosis. J. Clin. Neurosci. 1998, 5, 353–356. [Google Scholar] [CrossRef]
- Czirjak, S.; Vitanovic, D.; Slowik, F.; Magyar, A. Primary meningeal melanocytoma of the pineal region. Case report. J. Neurosurg. 2000, 92, 461–465. [Google Scholar] [CrossRef] [PubMed]
- Suzuki, T.; Yasumoto, Y.; Kumami, K.; Matsumura, K.; Kumami, M.; Mochizuki, M.; Suzuki, H.; Kojima, H. Primary pineal melanocytic tumor. Case report. J. Neurosurg. 2001, 94, 523–527. [Google Scholar] [CrossRef]
- Bookland, M.; Anderson, W.S.; Biser-Rohrbaugh, A.; Jallo, G.I. Primary pineal malignant melanoma. Pediatr. Neurosurg. 2007, 43, 303–308. [Google Scholar] [CrossRef] [PubMed]
- Barron, J.; Morris-Larkin, C.; Finch, T.; Maroun, F.; Hache, N.; Yousef, G.M. Long survival of primary pineal melanoma with radiation treatment only. Can. J. Neurol. Sci. 2007, 34, 251–253. [Google Scholar] [CrossRef][Green Version]
- Martin-Blondel, G.; Rousseau, A.; Boch, A.L.; Cacoub, P.; Sene, D. Primary pineal melanoma with leptomeningeal spreading: Case report and review of the literature. Clin. Neuropathol. 2009, 28, 387–394. [Google Scholar]
- Cedeno Diaz, O.M.; Leal, R.G.; La Cruz Pelea, C. Primary pineal malignant melanoma. Clin. Pract. 2011, 1, e31. [Google Scholar] [CrossRef] [PubMed]
- Shinsato, Y.; Hanada, T.; Kisanuki, T.; Yonezawa, H.; Yunoue, S.; Yoshioka, T.; Hanaya, R.; Tokimura, H.; Hirano, H.; Arita, K. Primary malignant melanoma in the pineal region treated without chemotherapy. Surg. Neurol. Int. 2012, 3, 123. [Google Scholar] [CrossRef] [PubMed]
- Park, J.H.; Hong, Y.K. Primary malignant melanoma in the pineal region. J. Korean Neurosurg. Soc. 2014, 56, 504–508. [Google Scholar] [CrossRef] [PubMed]
- Biswas, A.; Chaudhari, P.B.; Kumar M, S.; Sigamani, E.; Sharma, M.C.; Kalra, S.K.; Julka, P.K.; Rath, G.K. Primary pineal malignant melanoma—Illustrated review. Turk. Neurosurg. 2015, 25, 201–209. [Google Scholar] [PubMed]
- Jetschke, K.; Viehweger, H.; Freesmeyer, M.; Warnke, J.P.; Mawrin, C. Primary pineal malignant melanoma with B-Raf V600E mutation: A case report and brief review of the literature. Acta Neurochir. 2015, 157, 1267–1270. [Google Scholar] [CrossRef] [PubMed]
- Wendel, C.; Kaech, D.L.; Woodtli, M. Primary Malignant Melanoma in the Pineal Region: Case Report and Literature Review. J. Neurol. Surg. A Cent. Eur. Neurosurg. 2018, 79, 344–352. [Google Scholar] [PubMed]
- Hajhouji, F.; Ganau, M.; Helene, C.; Romano, A.; Gubian, A.; Proust, F.; Chibbaro, S. Rare encounters: Primary pineal malignant melanoma with lepto-meningeal spread. Case report and literature review on management challenges and outcomes. J. Clin. Neurosci. 2019, 65, 161–165. [Google Scholar] [CrossRef] [PubMed]
- Famoso, J.; Lemole, G.; Sundararajan, S.; Stea, B. Targeting PD-L1 after Adjuvant Radiation in Subtotally Resected Primary Pineal Melanoma: A Case Report and Literature Review. J. Natl. Compr. Cancer Netw. 2019, 17, 1148–1153. [Google Scholar] [CrossRef] [PubMed]
- Zhang, J.; Xiong, Z.; Chen, J. Combined microscope and endoscopy total resection of primary pineal malignant melanoma: Case report and literature review. J. Cancer Res. Clin. Oncol. 2020, 146, 2589–2594. [Google Scholar] [CrossRef] [PubMed]
- Aaroe, A.E.; Glitza Oliva, I.C.; Al-Zubidi, N.; Nader, M.E.; Kaya, D.; Ferguson, S.D.; Wang, C.; Fuller, G.; Harrison, R.A. Pearls & Oy-sters: Primary Pineal Melanoma With Leptomeningeal Carcinomatosis. Neurology 2021, 97, 248–250. [Google Scholar]
- Bruce, J.N.; Sperring, C.P.; Argenziano, M.G.; Yoh, N.T. Pineal Tumors Workup. 2023. Available online: https://emedicine.medscape.com/article/249945-workup?form=fpf#c5 (accessed on 2 June 2024).
- Brat, D.J.; Giannini, C.; Scheithauer, B.W.; Burger, P.C. Primary melanocytic neoplasms of the central nervous systems. Am. J. Surg. Pathol. 1999, 23, 745–754. [Google Scholar] [CrossRef] [PubMed]
- Cornejo, K.M.; Hutchinson, L.; Cosar, E.F.; Smith, T.; Tomaszewicz, K.; Dresser, K.; Deng, A. Is it a primary or metastatic melanocytic neoplasm of the central nervous system?: A molecular based approach. Pathol. Int. 2013, 63, 559–564. [Google Scholar] [CrossRef]
- Birski, M.; Furtak, J.; Krystkiewicz, K.; Birska, J.; Zielinska, K.; Sokal, P.; Rusinek, M.; Paczkowski, D.; Szylberg, L.; Harat, M. Endoscopic versus stereotactic biopsies of intracranial lesions involving the ventricles. Neurosurg. Rev. 2021, 44, 1721–1727. [Google Scholar] [CrossRef] [PubMed]
- Balossier, A.; Blond, S.; Reyns, N. Endoscopic Versus Stereotactic Procedure for Pineal Tumor Biopsies: Focus on Overall Efficacy Rate. World Neurosurg. 2016, 92, 223–228. [Google Scholar] [CrossRef] [PubMed]
- Balossier, A.; Blond, S.; Touzet, G.; Lefranc, M.; de Saint-Denis, T.; Maurage, C.A.; Reyns, N. Endoscopic versus stereotactic procedure for pineal tumour biopsies: Comparative review of the literature and learning from a 25-year experience. Neurochirurgie 2015, 61, 146–154. [Google Scholar] [CrossRef] [PubMed]
- Classen, J.; Hehr, T.; Paulus, W.; Plate, K.; Bamberg, M. Suprasellar melanocytoma: A case of primary radiotherapy and review of the literature. J. Neurooncol 2002, 58, 39–46. [Google Scholar] [CrossRef] [PubMed]
- Ganau, M.; Foroni, R.I.; Gerosa, M.; Ricciardi, G.K.; Longhi, M.; Nicolato, A. Radiosurgical options in neuro-oncology: A review on current tenets and future opportunities. Part II: Adjuvant radiobiological tools. Tumori 2015, 101, 57–63. [Google Scholar] [CrossRef] [PubMed]
- Chen, Q.; Liu, Y.; Zhu, Y.; Zhu, Z.; Zou, J.; Pan, Y.; Lu, Y.; Chen, W. Cryptotanshinone inhibits PFK-mediated aerobic glycolysis by activating AMPK pathway leading to blockade of cutaneous melanoma. Chin. Med. 2024, 19, 45. [Google Scholar] [CrossRef] [PubMed]
- Saraf, R.S.; Datta, A.; Sima, C.; Hua, J.; Lopes, R.; Bittner, M. An in-silico study examining the induction of apoptosis by Cryptotanshinone in metastatic melanoma cell lines. BMC Cancer 2018, 18, 855. [Google Scholar] [CrossRef]
- Liu, X.; Chen, Y.; Zhang, Y.; Du, J.; Lv, Y.; Mo, S.; Liu, Y.; Ding, F.; Wu, J.; Li, J. Juglone potentiates TRAIL-induced apoptosis in human melanoma cells via activating the ROS-p38-p53 pathway. Mol. Med. Rep. 2017, 16, 9645–9651. [Google Scholar] [CrossRef]




| Case No | Year | Age | Sex | Treatment |
|---|---|---|---|---|
| 1 | 1899 [5] | 32 | F | N/A |
| 2 | 1904 [6] | 31 | M | N/A |
| 3 | 1931 [7] | 49 | M | N/A |
| 4 | 1957 [8] | 68 | F | N/A |
| 5 | 1973 [9] | 43 | M | N/A |
| 6 | 1977 [10] | 56 | M | Radiotherapy |
| 7 | 1987 [11] | 77 | F | Biopsy, VPS |
| 8 | 1988 [12] | 59 | M | Biopsy |
| 9 | 1993 [13] | 60 | M | Resection, Radiotherapy |
| 10 | 1994 [14] | 53 | F | Resection, Chemotherapy |
| 11 | 1998 [15] | 49 | M | Biopsy |
| 12 | 2000 [16] | 48 | M | N/A |
| 13 | 2001 [17] | 50 | F | Resection, Radiotherapy |
| 14 | 2007 [18] | 20 | F | Biopsy, Radiotherapy, Chemotherapy, VPS |
| 15 | 2007 [19] | 73 | F | Radiotherapy |
| 16 | 2009 [20] | 44 | M | Radiotherapy, Chemotherapy |
| 17 | 2011 [21] | 70 | M | Resection, Radiotherapy |
| 18 | 2011 [2] | 54 | F | Resection, Biopsy, Radiotherapy, Chemotherapy, VPS |
| 19 | 2012 [22] | 49 | F | Resection, Radiotherapy |
| 20 | 2012 [1] | 22 | F | Resection, Biopsy |
| 21 | 2014 [23] | 59 | M | Resection, Radiotherapy |
| 22 | 2015 [24] | 45 | F | Resection, Radiotherapy |
| 23 | 2015 [25] | 57 | M | Chemotherapy |
| 24 | 2018 [26] | 52 | M | Resection, Radiotherapy |
| 25 | 2019 [27] | 52 | F | Resection, Radiotherapy |
| 26 | 2019 [28] | 75 | F | Resection, Radiotherapy |
| 27 | 2020 [29] | 67 | M | Resection, Radiotherapy |
| 28 | 2021 [30] | 62 | M | Biopsy, Chemotherapy, Radiotherapy |
| 29 | 2024 | 65 | M | Biopsy, Chemotherapy, Radiotherapy |
| Tumor Type | Demographics | Imaging Findings | |
|---|---|---|---|
| Germinomas | Second decade of life | Isointense on T1-weighted MRI studies, slightly hyperintense on T2, and strong homogeneous enhancement. May have evidence of calcification. | |
| Germ cell tumors | Teratomas | Children and young adults | Heterogeneous with irregular enhancement. Includes various tissue types. |
| NGGCTs | First and second decade of life | Heterogeneous. Potential presence of hemorrhage depending on specific type. | |
| Pineal parenchymal tumors | Pineocytoma | Young adults | Hypointense to isointense on T1-weighted images, increased signal on T2 and homogeneous enhancement. |
| Pineoblastoma | Typically children | Similar to pineocytomas. However, these will be irregularly shaped, large, poorly defined masses. | |
| Pineal parenchymal tumors | Broad spectrum, average age, 3rd decade of life | Similar to pineocytomas, but more locally invasive and heterogeneously enhancing. | |
| Pineal papillary tumors | Broad spectrum, average age, 4th decade of life | Mildly hyperintense on T1-weighted images. May include a cystic component. | |
| Other lesions | Pineal metastasis | Lung, breast, GI tract | Usually concomitant with leptomeningeal metastases. |
| Primary pineal melanoma | Extremely rare | Depending on the percent of melanin-containing cell: >10%—hyperintense on T1, hypointense on T2. <10%—hypointense on T1and hyperintense on T2. | |
Disclaimer/Publisher’s Note: The statements, opinions and data contained in all publications are solely those of the individual author(s) and contributor(s) and not of MDPI and/or the editor(s). MDPI and/or the editor(s) disclaim responsibility for any injury to people or property resulting from any ideas, methods, instructions or products referred to in the content. |
© 2024 by the authors. Licensee MDPI, Basel, Switzerland. This article is an open access article distributed under the terms and conditions of the Creative Commons Attribution (CC BY) license (https://creativecommons.org/licenses/by/4.0/).
Share and Cite
Rotariu, D.; Iliescu, B.F.; Dumitrescu, G.; Nita, A.; Costachescu, B. Primary Melanoma of the Pineal Gland Case Report and Review of the Literature. Reports 2024, 7, 49. https://doi.org/10.3390/reports7020049
Rotariu D, Iliescu BF, Dumitrescu G, Nita A, Costachescu B. Primary Melanoma of the Pineal Gland Case Report and Review of the Literature. Reports. 2024; 7(2):49. https://doi.org/10.3390/reports7020049
Chicago/Turabian StyleRotariu, Daniel, Bogdan F. Iliescu, Gabriela Dumitrescu, Antonia Nita, and Bogdan Costachescu. 2024. "Primary Melanoma of the Pineal Gland Case Report and Review of the Literature" Reports 7, no. 2: 49. https://doi.org/10.3390/reports7020049
APA StyleRotariu, D., Iliescu, B. F., Dumitrescu, G., Nita, A., & Costachescu, B. (2024). Primary Melanoma of the Pineal Gland Case Report and Review of the Literature. Reports, 7(2), 49. https://doi.org/10.3390/reports7020049
