Descending Necrotizing Mediastinitis in Healthy Young Adults: The Fatal Consequence of the Delayed Help
Abstract
1. Introduction
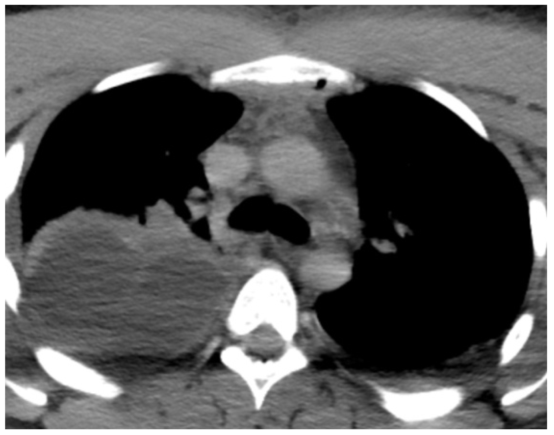
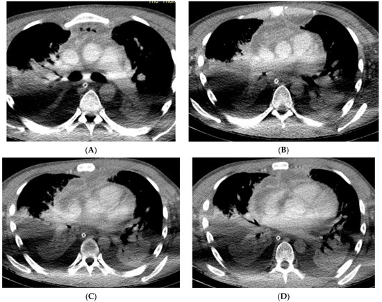
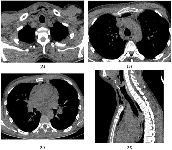
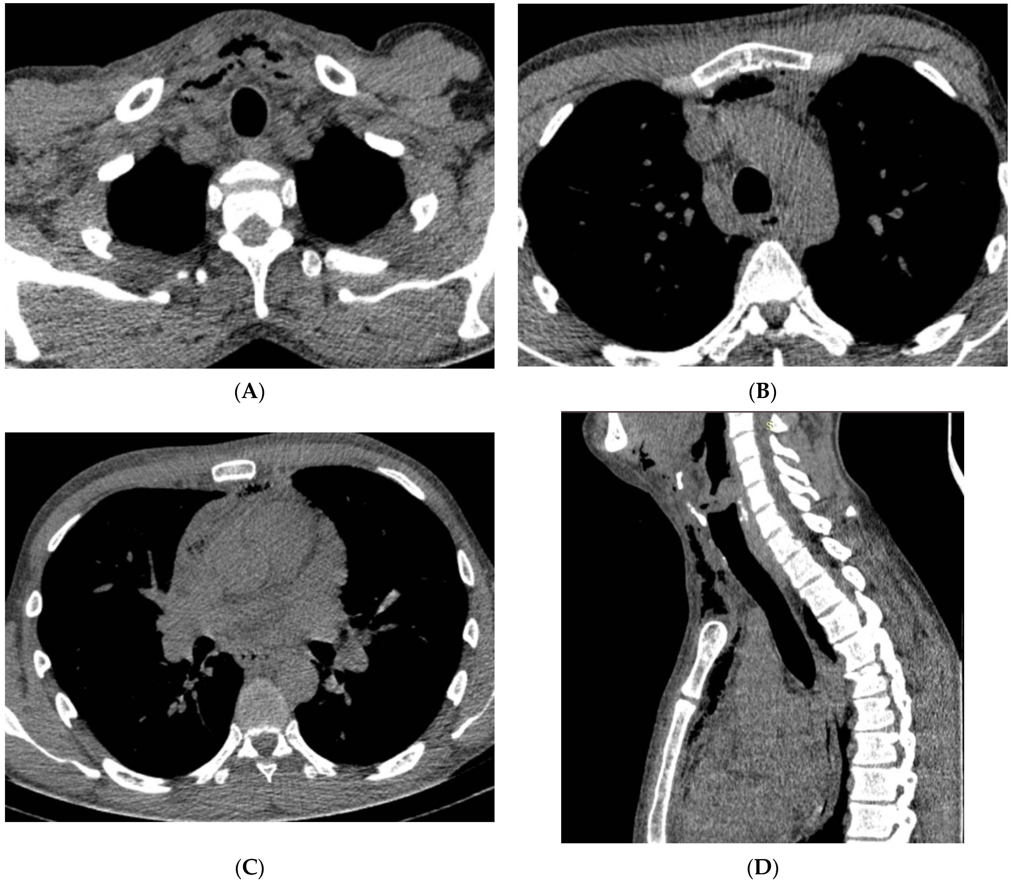
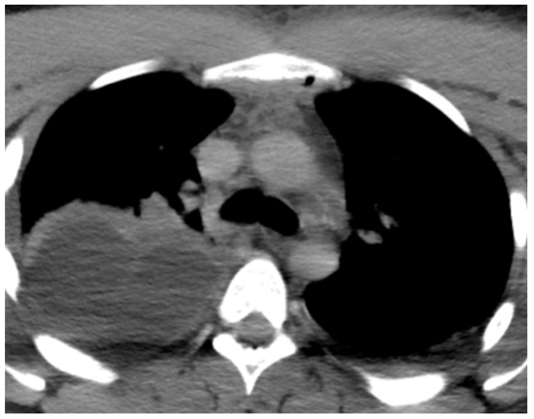
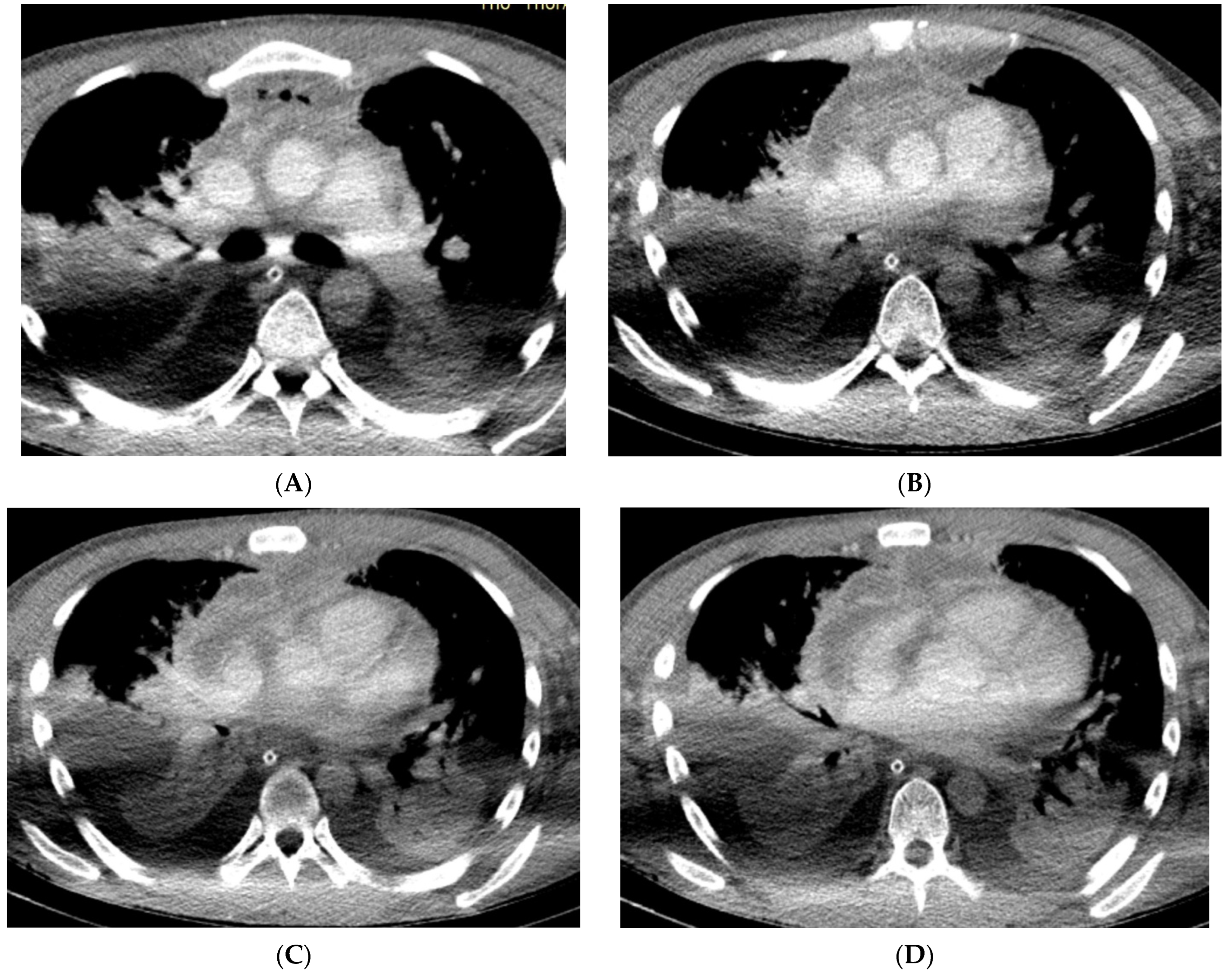
2. Case Series Presentation
3. Discussion
4. Conclusions
Author Contributions
Funding
Institutional Review Board Statement
Informed Consent Statement
Data Availability Statement
Conflicts of Interest
References
- Escobedo, M.; Junquera, L.; Megias, J.; Narciso, L.G.-S.; Fernández, M.; Junquera, S. Mediastinitis of odontogenic origin. A serious complication with 80 years of history. Br. J. Oral Maxillofac. Surg. 2021, 59, 683–689. [Google Scholar] [CrossRef] [PubMed]
- Pearse, H.E.; Pearse, H.E., Jr. Mediastinitis following cervical suppuration. Ann. Surg. 1938, 108, 588–611. [Google Scholar] [CrossRef] [PubMed] [PubMed Central]
- Sugio, O.T.; Maniwa, Y.; Toh, Y.; Okada, M.; Yamashita, T.; Shinohara, S.; Yoshino, I.; Chida, M.; Kuwano, H.; Shiotani, A. Descending necrotizing mediastinitis and the proposal of a new classification. JTCVS Open 2021, 8, 633–647. [Google Scholar] [CrossRef] [PubMed]
- Guan, X.; Liang, X.; Liang, X.; Wang, F.; Qian, W.; Zhang, W. A new classification of descending necrotizing mediastinitis and surgical strategies. Ann. Transl. Med. 2021, 9, 356. [Google Scholar] [CrossRef] [PubMed] [PubMed Central]
- Congedo, M.T.; Nachira, D.; Pennisi, M.A.; Chiappetta, M.; Calabrese, G.; Bello, G.; Parrilla, C.; Franza, L.; Covino, M.; Ciavarella, L.P.; et al. Risk Factors Associated with Post-Operative Complications in Multidisciplinary Treatment of Descending Necrotizing Mediastinitis. J. Clin. Med. 2022, 11, 6364. [Google Scholar] [CrossRef] [PubMed]
- Endo, S.; Murayama, F.; Hasegawa, T.; Yamamoto, S.; Yamaguchi, T.; Sohara, Y.; Fuse, K.; Miyata, M.; Nishino, H. Guideline of surgical management based on diffusion of descending necrotizing mediastinitis. Jpn. J. Thorac. Cardiovasc. Surg. 1999, 47, 14–19. [Google Scholar] [CrossRef] [PubMed]
- Wu, P.; Ye, F.; Zhang, Z.; Zhang, L.; Lin, H.; Ye, F.; Zhuang, Z.; Lin, R.; Ye, M.; Lin, X.; et al. Descending Necrotizing Mediastinitis: Analysis of 9 Cases in Our Hospital. Ear Nose Throat J. 2021, 100, 350–353. [Google Scholar] [CrossRef]
- Estrera, A.S.; Landay, M.J.; Grisham, J.M.; Sinn, D.P.; Platt, M.R. Descending necrotizing mediastinitis. Surg. Gynecol. Obstet. 1983, 157, 545–552. [Google Scholar] [PubMed]
- Elagami, M.M.; Ghrewati, M.; Sharaan, A.; Elzomor, T. Acute Descending Mediastinitis: An Unusual Presentation. Cureus 2022, 14, e27302. [Google Scholar] [CrossRef] [PubMed] [PubMed Central]
- Adil, H.; Jroundi, L.; Laamrani, F.Z. Imaging of descending necrotizing mediastinitis: A report of 11 cases and review of the literature. J. Clin. Images Med. Case Rep. 2022, 3, 1648. [Google Scholar] [CrossRef]
- Kimura, A.; Miyamoto, S.; Yamashita, T. Clinical predictors of descending necrotizing mediastinitis after deep neck infections. Laryngoscope 2019, 130, E567–E572. [Google Scholar] [CrossRef] [PubMed]
- Wei, D.; Bi, L.; Zhu, H.; He, J.; Wang, H. Less invasive management of deep neck infection and descending necrotizing mediastinitis. Medicine 2017, 96, e6590. [Google Scholar] [CrossRef] [PubMed] [PubMed Central]
- Ma, C.; Zhou, L.; Zhao, J.-Z.; Lin, R.-T.; Zhang, T.; Yu, L.-J.; Shi, T.-Y.; Wang, M. Multidisciplinary treatment of deep neck infection associated with descending necrotizing mediastinitis: A single-centre experience. J. Int. Med. Res. 2019, 47, 6027–6040. [Google Scholar] [CrossRef] [PubMed] [PubMed Central]
- Sada-Urmeneta, A.; Agea-Martínez, M.; Monteserín-Martínez, E.; Antúnez-Conde, R.; Gascón-Alonso, D.; Arenas-De-Frutos, G.; Navarro-Cuellar, C.; Navarro-Cuellar, I. Survival rate of odontogenic descending necrotizing mediastinitis. Our experience in last 5 years. Med. Oral Patol. Oral Cir. Bucal 2023, 28, e65–e71. [Google Scholar] [CrossRef] [PubMed] [PubMed Central]
- Karkas, A.; Chahine, K.; Schmerber, S.; Brichon, P.-Y.; A Righini, C. Optimal treatment of cervical necrotizing fasciitis associated with descending necrotizing mediastinitis. Br. J. Surg. 2010, 97, 609–615. [Google Scholar] [CrossRef] [PubMed]
- Panda, N.K.; Mann, S.B.S.; Sharma, S.C. Mediastinitis following deep neck infections: A therapeutic challenge. Indian J. Otolaryngol. Head Neck Surg. 2000, 52, 391–395. [Google Scholar] [CrossRef] [PubMed]
- Wheatley, M.J.; Stirling, M.C.; Kirsh, M.M.; Gago, O.; Orringer, M.B. Descending necrotizing mediastinitis: Transcervical drainage is not enough. Ann. Thorac. Surg. 1990, 49, 780–784. [Google Scholar] [CrossRef] [PubMed]
- Qu, L.; Xu, H.; Liang, X.; Cai, X.; Zhang, W.; Qian, W. A Retrospective Cohort Study of Risk Factors for Descending Necrotizing Mediastinitis Caused by Multispace Infection in the Maxillofacial Region. J. Oral Maxillofac. Surg. 2020, 78, 386–393. [Google Scholar] [CrossRef]
- Dzian, A.; Malík, M.; Fučela, I.; Skaličanová, M.; Stiegler, P.; Hajtman, A.; Bugová, G.; Sániová, B.D. A multidisciplinary approach to the management of descending necrotizing mediastinitis—Case series. Neuro Endocrinol. Lett. 2019, 40, 284–288. [Google Scholar] [PubMed]
- Pilav, I.; Čustović, O.; Horman-Leventa, A.; Alihodžić-Pašalić, A.; Mušanović, S.; Pilav, A.; Grbić, K.; Kadić, K.; Dapčević, M.; Hadžismailović, A.; et al. Acute descending necrotizing mediastinitis as a complication of the retropharyngeal abscess caused by anaerobes. J. Health Sci. 2020, 10, 248–252. [Google Scholar] [CrossRef]
- Benedetto, C.; Tanzariello, V.N.; Militi, A.; Fallica, G.E.; Di Marco, D.; Monaco, F.; Ugo, B. Catastrophic descending necrotizing mediastinitis of the anterior and posterior compartments: A case report. Radiol. Case Rep. 2020, 15, 1832–1836. [Google Scholar] [CrossRef] [PubMed]
- Ridder, G.J.; Maier, W.; Kinzer, S.; Teszler, C.B.; Boedeker, C.C.; Pfeiffer, J. Descending Necrotizing Mediastinitis Contemporary Trends in Etiology, Diagnosis, Management, and Outcome. Ann. Surg. 2010, 251, 528–534. [Google Scholar] [CrossRef] [PubMed]
- Prado-Calleros, H.M.; Jimenez-Fuentes, E.; Jimenez-Escobar, I. Descending necrotizing mediastinitis: Systematic review on its treat- ment in the last 6 years, 75 years after its description. Head Neck 2016, 38, E2275–E2283. [Google Scholar] [CrossRef] [PubMed]
- Kim, Y.; Han, S.; Cho, D.G.; Jung, W.-S.; Cho, J.-H. Optimal airway management in the treatment of descending necrotizing mediastinitis secondary to deep neck infection. J. Oral Maxillofac. Surg. 2022, 80, 223–230. [Google Scholar] [CrossRef]




| Patient | 1 | 2 | 3 | 4 |
|---|---|---|---|---|
| Sex/age | 23/male | 31/male | 32/male | 33/male |
| Toothache | - | - | - | + * |
| Submandibular pain | + * | + * | + * | + |
| Submandibular swelling | + | + | + | + |
| Neck pain | + | + | + | + |
| Neck swelling | + | + | + | + |
| Difficulty swallowing | + | - | + | - |
| Difficulty breathing | + | - | - | + |
| Fever | + | + | + | + |
| Diabetes mellitus | - | - | - | - |
| Kidney failure | - | - | - | - |
| HIV | - | - | - | - |
| Patient | 1 | 2 | 3 | 4 |
|---|---|---|---|---|
| Neck CT | Pus collection - in the left submandibular area - around the hyoid bone - around the left piriform recessus - around the thyroid cartilage - around the sternocleidomastoid muscle | Presence of a gas collection with delamination of the soft tissues of the neck in the area of the parapharyngeal space on the left Gas collections in - both palatine tonsils - anterior cervical space - left carotid space up to the level of the aortic arch - bilateral submandibular and sublingual space | Multiple air collections that stratify the tissues of the neck on the right side | Multiple air collections that stratify the superficial and deep tissues of the neck and enter the mediastinum |
| Chest CT | pus collection: ventral from the thyroid gland measuring 68/14 mm, with a density of 34–40 HU reaching the carina | Purulent collection starting from the neck and reaching the anterior mediastinum above the carina, presence of gas collections | Multiple air collections involving all departments of the anterior mediastinum above the carina | Massive pneumomediastinum, presence of fluid-purulent collections in the anterior and posterior lower mediastinum below the carina |
| Surgery | remediating the source of infection and suprasternal mediastinal drainage | Remediating the source of infection and suprasternal mediastinal drainage | Remediating the source of infection and suprasternal mediastinal drainage | Remediating the source of infection and thoracotomy |
| Patient | Hemoglobin (120–160) g/L * | Red Blood Cells (3.9–5.3) 1012/L * | White Blood Cells (3.5–10.5) 109 g/L * | Platelets (140–400) 109 L * | Fibrinogen (2.0–4.5) g/L * | C-Reactive Protein (0–10 mg/L) * | Erythrocyte Sedimentation Rate (2–25 mm/h) * |
|---|---|---|---|---|---|---|---|
| 1 | 156 | 4.93 | 17.7 ↑ | 170 | 8.01 ↑ | 113.0 ↑ | 33 ↑ |
| 2 | 124 | 3.63 ↓ | 24.99 ↑ | 265.0 | 6.81 ↑ | 327.0 ↑ | 70 ↑ |
| 3 | 110 ↓ | 3.2 ↓ | 1.7 ↓ | 40 ↓ | 7.39 ↑ | 205.0 ↑ | 125 ↑ |
| 4 | 163 ↑ | 5.67 ↑ | 4.98 | 139.0 | 7.89 ↑ | 362.0 ↑ | 201 ↑ |
| Patient | 1 | 2 | 3 | 4 |
|---|---|---|---|---|
| FiO2 | 0.4 | 0.4 | 0.5 | 0.5 |
| PEEP | 8.5 cm H2O | 8 cm H2O | 5 cm H2O | 8 cm H2O |
| PS | 14 cm H2O | 13 cm H2O | 10 cm H2O | 9 cm H2O |
| MV | 10.5 L/min | 10.5 L/min | 13 L/min | 13 L/min |
Disclaimer/Publisher’s Note: The statements, opinions and data contained in all publications are solely those of the individual author(s) and contributor(s) and not of MDPI and/or the editor(s). MDPI and/or the editor(s) disclaim responsibility for any injury to people or property resulting from any ideas, methods, instructions or products referred to in the content. |
© 2024 by the authors. Licensee MDPI, Basel, Switzerland. This article is an open access article distributed under the terms and conditions of the Creative Commons Attribution (CC BY) license (https://creativecommons.org/licenses/by/4.0/).
Share and Cite
Uchikov, P.; Kraeva, M.; Kraev, K.; Hristov, B.; Chakarov, D.; Ali, N.; Stefanov, C.; Mollova-Kyosebekirova, A.; Tenchev, T.; Dragusheva, S.; et al. Descending Necrotizing Mediastinitis in Healthy Young Adults: The Fatal Consequence of the Delayed Help. Reports 2024, 7, 40. https://doi.org/10.3390/reports7020040
Uchikov P, Kraeva M, Kraev K, Hristov B, Chakarov D, Ali N, Stefanov C, Mollova-Kyosebekirova A, Tenchev T, Dragusheva S, et al. Descending Necrotizing Mediastinitis in Healthy Young Adults: The Fatal Consequence of the Delayed Help. Reports. 2024; 7(2):40. https://doi.org/10.3390/reports7020040
Chicago/Turabian StyleUchikov, Petar, Maria Kraeva, Krasimir Kraev, Bozhidar Hristov, Dzhevdet Chakarov, Nedzhat Ali, Chavdar Stefanov, Angelina Mollova-Kyosebekirova, Tihomir Tenchev, Snezhanka Dragusheva, and et al. 2024. "Descending Necrotizing Mediastinitis in Healthy Young Adults: The Fatal Consequence of the Delayed Help" Reports 7, no. 2: 40. https://doi.org/10.3390/reports7020040
APA StyleUchikov, P., Kraeva, M., Kraev, K., Hristov, B., Chakarov, D., Ali, N., Stefanov, C., Mollova-Kyosebekirova, A., Tenchev, T., Dragusheva, S., Dzhambazova, E., & Dobreva-Yatseva, B. (2024). Descending Necrotizing Mediastinitis in Healthy Young Adults: The Fatal Consequence of the Delayed Help. Reports, 7(2), 40. https://doi.org/10.3390/reports7020040

