Cost-Effectiveness in Alternative Treatment Options for Pancreatic Pseudocysts
Abstract
1. Introduction
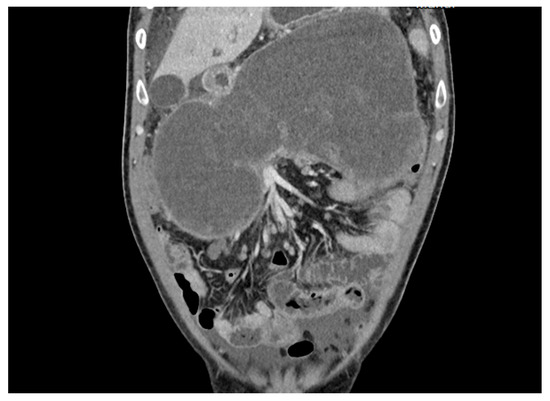
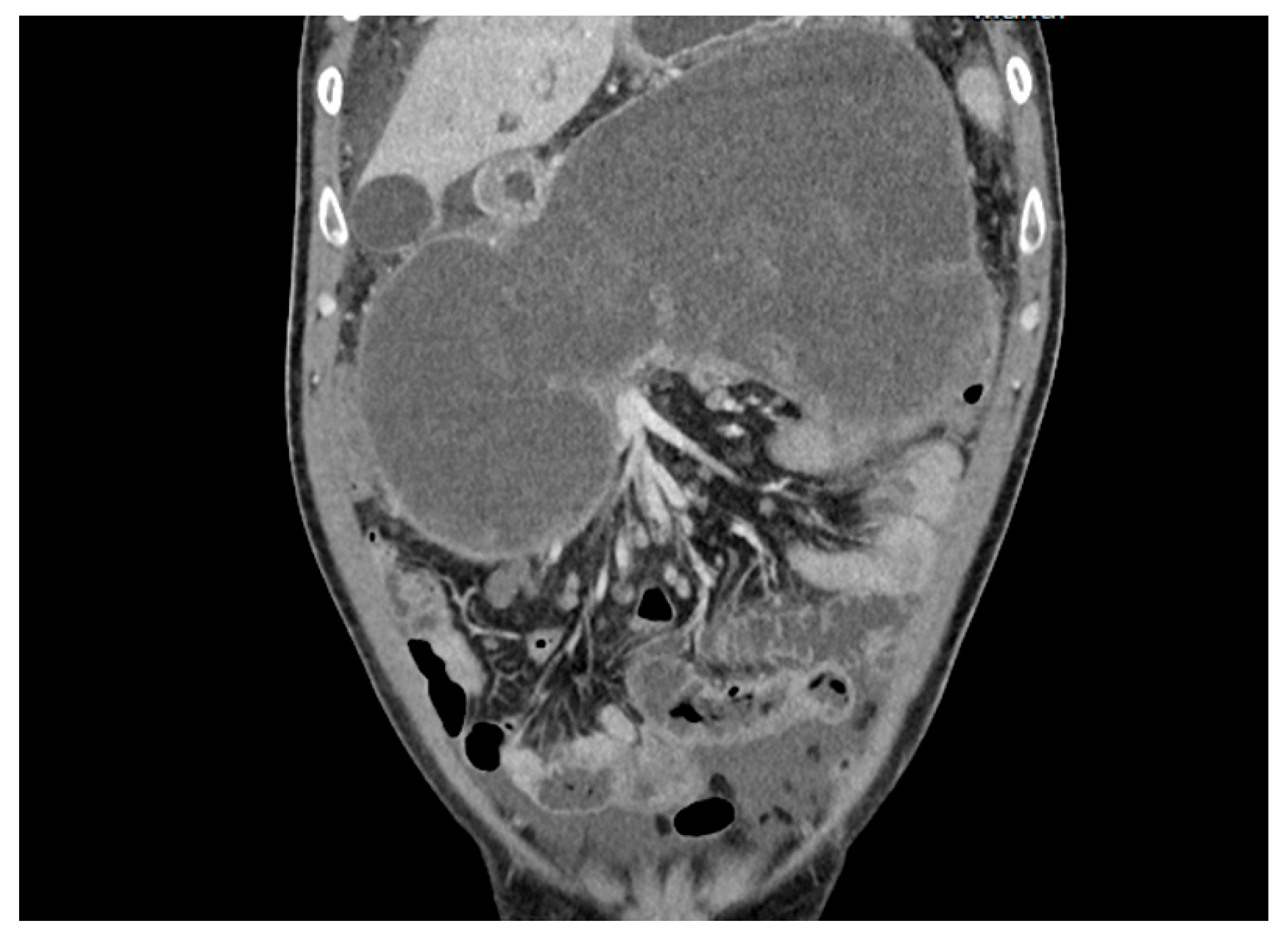
2. Detailed Case Description
2.1. Materials and Methods
2.2. Results
3. Discussion
4. Conclusions
Author Contributions
Funding
Institutional Review Board Statement
Informed Consent Statement
Data Availability Statement
Conflicts of Interest
References
- Banks, P.A.; Bollen, T.L.; Dervenis, C.; Gooszen, H.G.; Johnson, C.D.; Sarr, M.G.; Tsiotos, G.G.; Vege, S.S.; Acute Pancreatitis Classification Working Group. Classification of acute pancreatitis—2012: Revision of the Atlanta classification and definitions by international consensus. Gut 2013, 62, 102–111. [Google Scholar] [CrossRef]
- Aghdassi, A.; Mayerle, J.; Kraft, M.; Sielenkämper, A.W.; Heidecke, C.-D.; Lerch, M.M. Diagnosis and Treatment of Pancreatic Pseudocysts in Chronic Pancreatitis. Pancreas 2008, 36, 105–112. [Google Scholar] [CrossRef] [PubMed]
- Sion, M.K.; Davis, K.A. Step-up approach for the management of pancreatic necrosis: A review of the literature. Trauma Surg. Acute Care Open 2019, 4, e000308. [Google Scholar] [CrossRef]
- Dorrell, R.; Pawa, S.; Pawa, R. Endoscopic Management of Pancreatic Fluid Collections. J. Clin. Med. 2021, 10, 284. [Google Scholar] [CrossRef] [PubMed]
- Rana, S.S.; Shah, J.; Kang, M.; Gupta, R. Complications of endoscopic ultrasound-guided transmural drainage of pancreatic fluid collections and their management. Ann. Gastroenterol. 2019, 32, 441–450. [Google Scholar] [CrossRef] [PubMed]
- Ge, N.; Hu, J.; Sun, S.; Linghu, E.; Jin, Z.; Li, Z. Endoscopic ultrasound-guided pancreatic pseudocyst drainage with lumen-apposing metal stents or plastic double-pigtail stents: A multifactorial analysis. J. Transl. Intern. Med. 2017, 5, 213–219. [Google Scholar] [CrossRef] [PubMed]
- Paramasivam, R. Metal Stents in Management of Pancreatic Pseudocyst and Walled off Necrosis. J. Pancreas 2016, 17, 106–109. [Google Scholar]
- Chen, Y.-I.; Khashab, M.A.; Adam, V.; Bai, G.; Singh, V.K.; Bukhari, M.; Gutierrez, O.B.; Elmunzer, B.J.; Moran, R.A.; Fayad, L.; et al. Plastic stents are more cost-effective than lumen-apposing metal stents in management of pancreatic pseudocysts. Endosc. Int. Open 2018, 06, E780–E788. [Google Scholar] [CrossRef] [PubMed]
- Guzmán-Calderón, E.; Chacaltana, A.; Díaz, R.; Li, B.; Martinez-Moreno, B.; Aparicio, J.R. Head-to-head comparison between endoscopic ultrasound guided lumen apposing metal stent and plastic stents for the treatment of pancreatic fluid collections: A systematic review and meta-analysis. J. Hepato-Biliary-Pancreat. Sci. 2021, 29, 198–211. [Google Scholar] [CrossRef] [PubMed]
- Siddiqui, A.A.; DeWitt, J.M.; Strongin, A.; Singh, H.; Jordan, S.; Loren, D.E.; Kowalski, T.; Eloubeidi, M.A. Outcomes of EUS-guided drainage of debris-containing pancreatic pseudocysts by using combined endoprosthesis and a nasocystic drain. Gastrointest. Endosc. 2013, 78, 589–595. [Google Scholar] [CrossRef] [PubMed]
- Teoh, A.Y.B.; Dhir, V.; Jin, Z.-D.; Kida, M.; Seo, D.W.; Ho, K.Y. Systematic review comparing endoscopic, percutaneous and surgical pancreatic pseudocyst drainage. World J. Gastrointest. Endosc. 2016, 8, 310–318. [Google Scholar] [CrossRef] [PubMed]
- Farias, G.F.; Bernardo, W.M.; De Moura, D.T.; Guedes, H.G.; Brunaldi, V.O.; Visconti, T.A.d.C.; Gonçalves, C.V.; Sakai, C.M.; Matuguma, S.E.; dos Santos, M.E.; et al. Endoscopic versus surgical treatment for pancreatic pseudocysts. Medicine 2019, 98, e14255. [Google Scholar] [CrossRef] [PubMed]






| Case | Age | Gender | Hospital Stay (in Days) | Cause of PP | Location of PP | Size of PP (in mm) |
|---|---|---|---|---|---|---|
| 1 | 34 | Male | 9 | Biliary stones | Body, tail | 154 × 66 mm |
| 2 | 35 | Male | 28 | Alcohol abuse | Head, body, tail | 20 cm |
| 3 | 60 | Female | 17 | Biliary stones | Body, tail | 111 × 70 mm |
| 4 | 82 | Female | 17 | Biliary stones | Head, body, tail | 144 × 116 mm |
| Symptoms | Case 1 | Case 2 | Case 3 | Case 4 |
|---|---|---|---|---|
| Abdominal pain | Yes | Yes | Yes | Yes |
| Back pain | - | Yes | Yes | Yes |
| Palpable abdominal mass | Yes | Yes | - | |
| Early satiety | - | Yes | - | Yes |
| Nausea and vomiting | - | Yes | - | Yes |
| Loss of weight | - | Yes | - | Yes |
| Fever | Yes | - | Yes | - |
| Jaundice | - | Yes | - | - |
| Malaise | - | Yes | Yes | Yes |
| Materials | Cost per 1 (EUR) | Number Used | Cost per Total Used (EUR) |
|---|---|---|---|
| 19G Tru-cut needle | 25.52 | 1 | 25.52 |
| Guidewire | 193.73 | 1 | 193.73 |
| Cystotome | 288.83 | 1 | 288.83 |
| Balloon dilator | 214.91 | 1 | 214.91 |
| Nasocystic catheter | 127.85 | 1 | 127.85 |
| IV catheter | 0.20 | 1 | 0.20 |
| Nasogastric tube | 0.32 | 1 | 0.32 |
| Double-pigtail 7Fr/4 cm | 54.22 | 2 | 108.44 |
| Stent pusher catheter | 81.17 | 2 | 162.34 |
| Polypectomy snare | 27.91 | 3 | 83.73 |
| Total (EUR) | 1205.87 |
| Materials | Cost per 1 (EUR) | Number Used | Cost per Total Used (EUR) |
|---|---|---|---|
| Hot LAMS | ~4000 | 1 | ~4000 |
| Cold LAMS | ~1500 | 1 | ~1500 |
| Stent pusher catheter | 81.17 | 1 | 81.17 |
| Nasogastric tube | 0.32 | 1 | 0.32 |
| Nasocystic catheter | 127.85 | 1 | 127.85 |
| IV catheter | 0.20 | 1 | 0.20 |
| Polypectomy snare | 27.91 | 3 | 83.73 |
| Double-pigtail 7Fr/4 cm | 54.22 | 2 | 108.44 |
| Foreign body retriever | 38.64 | 1 | 38.64 |
| Total (EUR) for hot LAMS | 4440.35 | ||
| Total (EUR) for cold LAMS | 1940.35 |
Disclaimer/Publisher’s Note: The statements, opinions and data contained in all publications are solely those of the individual author(s) and contributor(s) and not of MDPI and/or the editor(s). MDPI and/or the editor(s) disclaim responsibility for any injury to people or property resulting from any ideas, methods, instructions or products referred to in the content. |
© 2024 by the authors. Licensee MDPI, Basel, Switzerland. This article is an open access article distributed under the terms and conditions of the Creative Commons Attribution (CC BY) license (https://creativecommons.org/licenses/by/4.0/).
Share and Cite
Boyanov, N.; Milinich, N.; Shtereva, K.; Madzharova, K.; Tufkova, S.; Penkova-Radicheva, M.; Radicheva, D.; Shopov, N. Cost-Effectiveness in Alternative Treatment Options for Pancreatic Pseudocysts. Reports 2024, 7, 38. https://doi.org/10.3390/reports7020038
Boyanov N, Milinich N, Shtereva K, Madzharova K, Tufkova S, Penkova-Radicheva M, Radicheva D, Shopov N. Cost-Effectiveness in Alternative Treatment Options for Pancreatic Pseudocysts. Reports. 2024; 7(2):38. https://doi.org/10.3390/reports7020038
Chicago/Turabian StyleBoyanov, Nikola, Nikol Milinich, Katina Shtereva, Katerina Madzharova, Stoilka Tufkova, Mariana Penkova-Radicheva, Daniela Radicheva, and Neno Shopov. 2024. "Cost-Effectiveness in Alternative Treatment Options for Pancreatic Pseudocysts" Reports 7, no. 2: 38. https://doi.org/10.3390/reports7020038
APA StyleBoyanov, N., Milinich, N., Shtereva, K., Madzharova, K., Tufkova, S., Penkova-Radicheva, M., Radicheva, D., & Shopov, N. (2024). Cost-Effectiveness in Alternative Treatment Options for Pancreatic Pseudocysts. Reports, 7(2), 38. https://doi.org/10.3390/reports7020038

